Mandibular Fractures in Edentulous Patients with Bone Atrophy and Osseointegrated Dental Implants: Therapeutic Management in a Case Series
Abstract
1. Introduction
2. Materials and Methods
2.1. Inclusion and Exclusion Criteria
- Edentulous patients with atrophic bone treated with dental implants and implant-retained overdentures.
 - Adult patients (over 18 years old).
 - Patients with a clinical diagnosis of mandibular fracture supported by imaging evidence.
 - Minimum clinical follow-up of one year.
 
- Patients who have undergone previous surgeries that could have altered mandibular anatomy.
 - Pathological mandibular fractures secondary to tumoral pathology.
 - Patients with psychiatric disorders.
 - Patients whose medical records did not include the study variables.
 - Refusal to sign the informed consent.
 - Patients with signs of parafunctional habits (bruxism).
 
- Surgical reports from the Oral and Maxillofacial Surgery Department of HGUGM and HULP.
 - Medical records from HGUGM and HULP.
 - Radiological image archives from HGUGM and HULP.
 
2.2. Study Variables
2.3. Limitation of the Research
3. Results
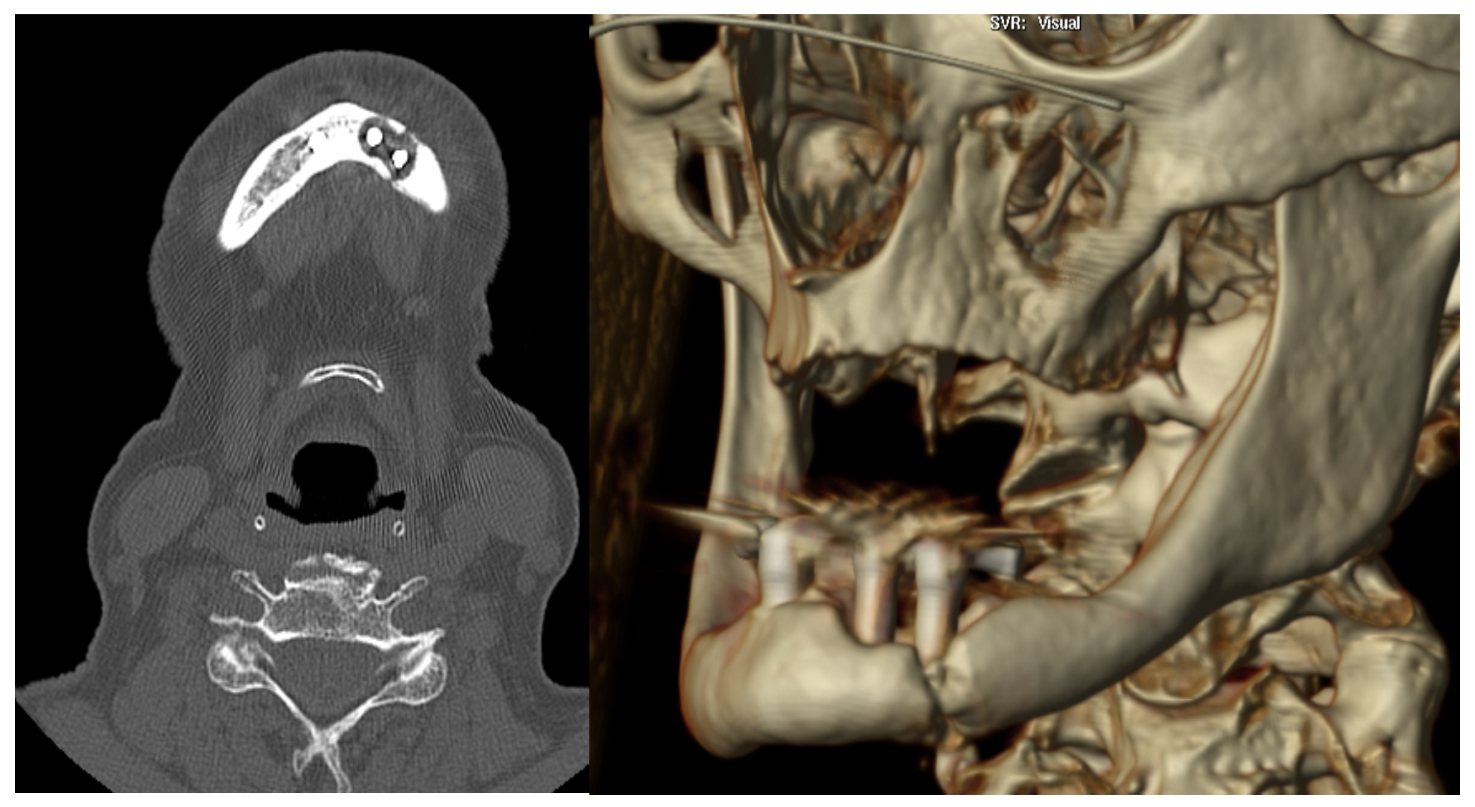
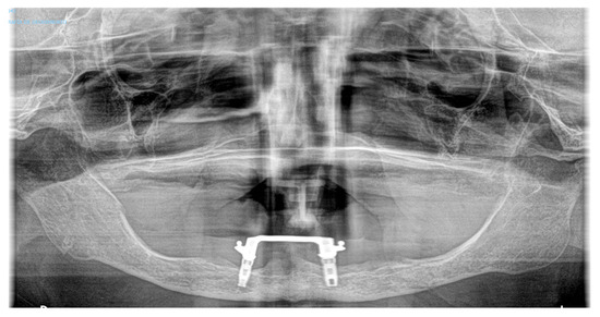
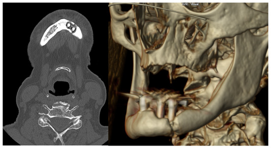
3.1. Case 1
3.2. Case 2
4. Discussion
5. Conclusions
Author Contributions
Funding
Institutional Review Board Statement
Informed Consent Statement
Data Availability Statement
Conflicts of Interest
References
- Ehrenfeld, M.; NManson, P.; Prein, J. Principles of Internal Fixation of the Craniomaxillofacial Skeleton Trauma and Orthognathic Surgery; Thieme Publishing Group: New York, NY, USA, 2012; pp. 83–95. [Google Scholar]
 - Almasri, M.; El-Hakim, M. Fracture of the anterior segment of the atrophic mandible related to dental implants. Int. J. Oral Maxillofac. Surg. 2012, 41, 646–649. [Google Scholar] [CrossRef] [PubMed]
 - Vere, J.; Bhakta, S.; Patel, R. Implant-retained overdentures: A review. Dent. Update 2012, 39, 370–374. [Google Scholar] [CrossRef] [PubMed]
 - Meijer, H.J.A.; Raghoebar, G.M.; Batenburg, R.H.K.; Visser, A.; Vissink, A. Mandibular overdentures supported by two or four endosseous implants: A 10-year clinical trial. Clin. Oral Implant. Res. 2009, 20, 722–728. [Google Scholar] [CrossRef] [PubMed]
 - Hino, S.; Iizuka, T.; Saulacic, N.; Lang, N.P.; Burkhard, J.P.M. No apparent association between dental implants and mandibular fractures resulting from external forces. Clin. Oral Investig. 2022, 26, 2065–2072. [Google Scholar] [CrossRef] [PubMed]
 - Chrcanovic, B.R.; Custódio, A.L.N. Mandibular fractures associated with endosteal implants. Oral Maxillofac. Surg. 2009, 13, 231–238. [Google Scholar] [CrossRef]
 - Soehardi, A.; Meijer, G.; Stoelinga, P. An inventory of mandibular fractures associated in atrophic edentulous mandibles. Int. J. Oral Maxillofac. Surg. 2017, 46, 101. [Google Scholar] [CrossRef]
 - Naval-Gías, L.; Rodriguez-Campo, F.; Naval-Parra, B.; Sastre-Pérez, J. Pathological mandibular fracture: A severe complication of periimplantitis. J. Clin. Exp. Dent. 2015, 7, 328–332. [Google Scholar] [CrossRef]
 - Boffano, P.; Roccia, F.; Gallesio, C.; Berrone, S. Pathological mandibular fractures: A review of the literature of the last two decades. Dent. Traumatol. 2013, 29, 185–196. [Google Scholar] [CrossRef]
 - Kinoshita, H.; Ogasawara, T.; Nishibata, T.; Yoshioka, M.; Makihara, R.; Hashimoto, Y. Dental Implants Acting as External Fixation for the Fracture of Severe Atrophic Mandible: A Case Report. J. Maxillofac. Oral Surg. 2024, 23, 290–293. [Google Scholar] [CrossRef]
 - Raghoebar, G.M.; Stellingsma, K.; Batenburg, R.H.; Vissink, A. Etiology and management of mandibular fractures associated with endosteal implants in the atrophic mandible. Oral Surg. Oral Med. Oral Pathol. Oral Radiol. Endod. 2000, 89, 553–559. [Google Scholar] [CrossRef]
 - Romanos, G.E. Nonsurgical prosthetic management of mandibular fracture associated with dental implant therapy: A case report. Int. J. Oral Maxillofac. Implant. 2009, 24, 143–146. [Google Scholar]
 - Oh, W.S.; Roumanas, E.D.; Beumer, J. Mandibular Fracture in Conjunction with Bicortical Penetration, Using Wide-Diameter Endosseous Dental Implants. J. Prosthodont. 2010, 19, 625–629. [Google Scholar] [CrossRef] [PubMed]
 - Ogasawara, T.; Sano, K.; Hatsusegawa, C.; Miyauchi, K.; Nakamura, M.; Matsuura, H. Pathological fracture of the mandible resulting from osteomyelitis successfully treated with only intermaxillary elastic guiding. Int. J. Oral Maxillofac. Surg. 2008, 37, 581–583. [Google Scholar] [CrossRef] [PubMed]
 - Balanger, M.; Hinet, M.; Vacher, C.; Bellaiche, N.; Charrier, J.L.; Millot, S. Osteomyelitis of the Mandible after Dental Implants in an Immunocompetent Patient. Case Rep. Dent. 2017, 2017, 9525893. [Google Scholar] [CrossRef] [PubMed]
 - Schlund, M.; Raoul, G.; Ferri, J.; Nicot, R. Mandibular Osteomyelitis Following Implant Placement. J. Oral Maxillofac. Surg. 2017, 75, 2560.e1–2560.e7. [Google Scholar] [CrossRef]
 - Ellis, E.; Price, C. Treatment Protocol for Fractures of the Atrophic Mandible. J. Oral Maxillofac. Surg. 2008, 66, 421–435. [Google Scholar] [CrossRef]
 - Eyrich, G.; Klaus, G.S.H. Surgical treatment of fractures of the edentulous mandible. J. Oral Maxillofac. Surg. 1997, 55, 1081–1087. [Google Scholar] [CrossRef]
 - Vajgel, A.; Camargo, I.B.; Willmersdorf, R.B.; De Melo, T.M.; Filho, J.R.L.; De Holanda Vasconcellos, R.J. Comparative finite element analysis of the biomechanical stability of 2.0 fixation plates in atrophic mandibular fractures. J. Oral Maxillofac. Surg. 2013, 71, 335–342. [Google Scholar] [CrossRef]
 - Madsen, M.J.; Haug, R.H. A biomechanical comparison of 2 techniques for reconstructing atrophic edentulous mandible fractures. J. Oral Maxillofac. Surg. 2006, 64, 457–465. [Google Scholar] [CrossRef]
 - Van Sickels, J.E.; Cunningham, L.L. Management of Atrophic Mandible Fractures: Are Bone Grafts Necessary? J. Oral Maxillofac. Surg. 2010, 68, 1392–1395. [Google Scholar] [CrossRef]
 - Luhr, H.G.; Reidick, T.M.H. Results of treatment of fractures of the atrophic edentulous mandible by compression plating. J. Oral Maxillofac. Surg. 1996, 54, 250–254. [Google Scholar] [CrossRef] [PubMed]
 










| Variable | Category | Total (% or Mean) | 
|---|---|---|
| Age (years) | 76.33 | |
| Gender | Male | 0 (0%) | 
| Female | 6 (100%) | |
| Tobacco | Yes | 0 (0%) | 
| No | 6 (100%) | |
| Osteoporosis treated with bisphosphonates | Yes | 2 (33.3%) | 
| No | 4 (66.7%) | |
| Radiotherapy for head and neck | Yes | 0 (0%) | 
| No | 6 (100%) | |
| Symptoms | Pain | 6 (100%) | 
| Inflammation | 6 (100%) | |
| Hypoesthesia | 1 (16.67%) | |
| Diagnostic imaging studies | Orthopantomography (OPG) | 6 (100%) | 
| Computed tomography (TC) | 5 (83.3%) | |
| Location | Left parasymphyseal | 2 (33.3%) | 
| Left body | 3 (50%) | |
| Bifocal (left body and right ramus) | 1 (16.67%) | |
| Fracture pattern | Simple | 5 (83.3%) | 
| Bifocal | 1 (16.67%) | |
| Etiology | Peri-implantitis | 3 (50%) | 
| Traumatism | 1 (16.67%) | |
| Osteonecrosis | 2 (33.3%) | |
| Treatment | Conservative | 1 (16.67%) | 
| Surgical | 5 (83.3%) | |
| Surgical approach | Combined | 2 (33.3%) | 
| Cervical | 2 (33.3%) | |
| Intraoral | 1 (16.67%) | |
| Type of internal fixation | 2.5 mm thick mandibular locking plate with 2.4 mm screw diameter | 3 (50%) | 
| 2.0 mm thick mandibular locking plate with 2 mm screw diameter + 1.0 mm thick mandibular plate with 2 mm screw diameter | 1 (16.67%) | |
| 2.0 mm thick mandibular locking plate with 2 mm screw diameter + titanium mesh | 1 (16.67%) | |
| Use of bone grafts | Non-bone graft | 3 (50%) | 
| Autologous graft (iliac crest) | 1 (16.67%) | |
| Autologous graft (mandibular ramus) | 1 (16.67%) | |
| Non-autologous graft | 1 (16.67%) | |
| Implants removal | Yes | 2 (33.33%) | 
| No | 4 (66.7%) | |
| Length of hospital stay (days) | 4 | |
| Complications | No complication | 3 (50%) | 
| Delayed consolidation | 1 (16.67%) | |
| Hypoesthesia of the inferior alveolar nerve | 1 (16.67%) | |
| Bone sequestration | 1 (16.67%) | |
| Follow-up duration (months) | 34 | 
Disclaimer/Publisher’s Note: The statements, opinions and data contained in all publications are solely those of the individual author(s) and contributor(s) and not of MDPI and/or the editor(s). MDPI and/or the editor(s) disclaim responsibility for any injury to people or property resulting from any ideas, methods, instructions or products referred to in the content.  | 
© 2024 by the authors. Published by MDPI on behalf of the Lithuanian University of Health Sciences. Licensee MDPI, Basel, Switzerland. This article is an open access article distributed under the terms and conditions of the Creative Commons Attribution (CC BY) license (https://creativecommons.org/licenses/by/4.0/).
Share and Cite
Benito Anguita, M.; del Castillo Pardo de Vera, J.L.; Khayat, S.; López López, A.M.; González Martín Moro, J.; Arenas de Frutos, G.; Antúnez-Conde Hidalgo, R.; Pampín Martínez, M.; Gómez Larren, E.; Navarro Cuéllar, C.; et al. Mandibular Fractures in Edentulous Patients with Bone Atrophy and Osseointegrated Dental Implants: Therapeutic Management in a Case Series. Medicina 2024, 60, 1835. https://doi.org/10.3390/medicina60111835
Benito Anguita M, del Castillo Pardo de Vera JL, Khayat S, López López AM, González Martín Moro J, Arenas de Frutos G, Antúnez-Conde Hidalgo R, Pampín Martínez M, Gómez Larren E, Navarro Cuéllar C, et al. Mandibular Fractures in Edentulous Patients with Bone Atrophy and Osseointegrated Dental Implants: Therapeutic Management in a Case Series. Medicina. 2024; 60(11):1835. https://doi.org/10.3390/medicina60111835
Chicago/Turabian StyleBenito Anguita, Marta, Jose Luis del Castillo Pardo de Vera, Saad Khayat, Ana María López López, Javier González Martín Moro, Gema Arenas de Frutos, Raúl Antúnez-Conde Hidalgo, Marta Pampín Martínez, Estela Gómez Larren, Carlos Navarro Cuéllar, and et al. 2024. "Mandibular Fractures in Edentulous Patients with Bone Atrophy and Osseointegrated Dental Implants: Therapeutic Management in a Case Series" Medicina 60, no. 11: 1835. https://doi.org/10.3390/medicina60111835
APA StyleBenito Anguita, M., del Castillo Pardo de Vera, J. L., Khayat, S., López López, A. M., González Martín Moro, J., Arenas de Frutos, G., Antúnez-Conde Hidalgo, R., Pampín Martínez, M., Gómez Larren, E., Navarro Cuéllar, C., Carretero, J. L. C., & Navarro Cuéllar, I. (2024). Mandibular Fractures in Edentulous Patients with Bone Atrophy and Osseointegrated Dental Implants: Therapeutic Management in a Case Series. Medicina, 60(11), 1835. https://doi.org/10.3390/medicina60111835
        
