Histomorphometric and Micro-CT Evaluation of Cerabone and Bio-Oss in Maxillary Sinus Lifting: A Randomized Clinical Trial
Abstract
1. Introduction
2. Materials and Methods
2.1. Study Design and Ethical Approval
2.2. Sample Size Determination
2.3. Inclusion and Exclusion Criteria
- -
- Participants aged 18–75 years requiring reconstruction of the posterior maxillary bone height for posterior dental implant placement.
- -
- Residual bone height in the maxillary sinus floor of less than 5 mm, as determined by prior cone-beam computed tomography (CBCT) and measured using OsiriX software version 4.1.2 (OsiriX Foundation, Geneva, Switzerland).
- -
- Male and female participants in good general health.
- -
- Participants with no contraindications for minor oral surgical procedures and who are committed to maintaining good oral hygiene were eligible.
- -
- Participants with uncontrolled periodontal disease.
- -
- Presence of uncontrolled systemic diseases.
- -
- Presence of sinus pathologies.
- -
- Smoking habits.
- -
- Residual roots in the maxillary sinus.
- -
- People who had undergone head and neck radiation therapy for cancer treatment.
2.4. Randomization
2.5. Groups Evaluated
2.6. Surgical Procedure
2.7. Postoperative Care
2.8. Biopsy Collection and Laboratory Procedures
2.9. Histomorphometric Analysis
2.10. Micro-Computed Tomography Analysis (Micro-CT)
2.11. Statistical Analysis
3. Results
3.1. Group 1: Cerabone® Graft
3.2. Group 2: Bio-Oss® Graft
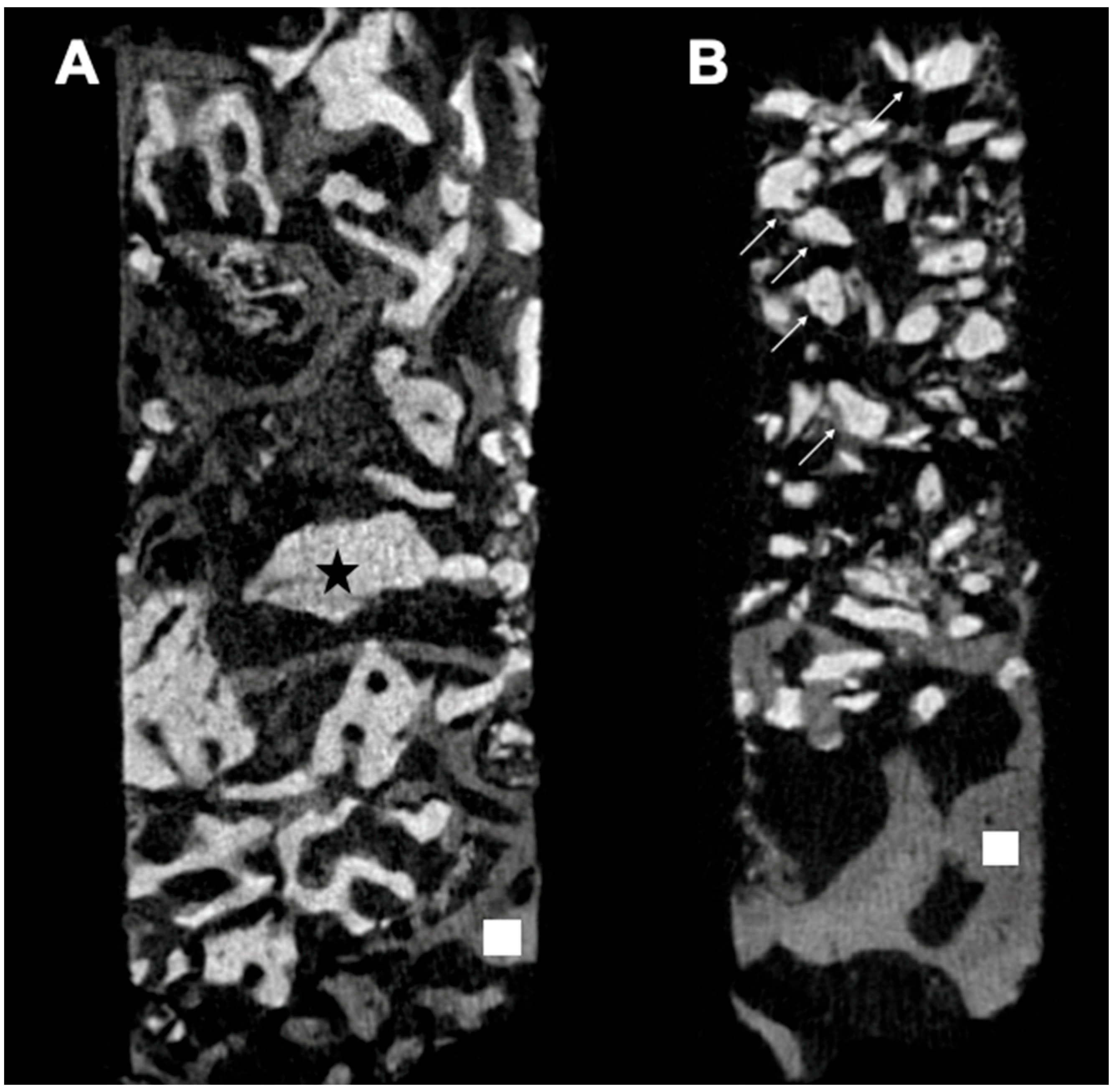
3.3. Micro-CT Analysis
4. Discussion
5. Conclusions
Author Contributions
Funding
Institutional Review Board Statement
Informed Consent Statement
Data Availability Statement
Acknowledgments
Conflicts of Interest
References
- Elani, H.W.; Starr, J.R.; Da Silva, J.D.; Gallucci, G.O. Trends in Dental Implant Use in the U.S., 1999–2016, and Projections to 2026. J. Dent. Res. 2018, 97, 1424–1430. [Google Scholar] [CrossRef] [PubMed]
- Cavalcanti, M.C.; Guirado, T.E.; Sapata, V.M.; Costa, C.; Pannuti, C.M.; Jung, R.E.; Neto, J.B.C. Maxillary Sinus Floor Pneumatization and Alveolar Ridge Resorption after Tooth Loss: A Cross-Sectional Study. Braz. Oral Res. 2018, 32, e64. [Google Scholar] [CrossRef] [PubMed]
- Bennardo, F.; Barone, S.; Buffone, C.; Colangeli, W.; Antonelli, A.; Giudice, A. Removal of Dental Implants Displaced into the Maxillary Sinus: A Retrospective Single-Center Study. Head Face Med. 2022, 18, 2–10. [Google Scholar] [CrossRef] [PubMed]
- Boyne, P.J.; James, R.A. Grafting of the Maxillary Sinus Floor with Autogenous Marrow and Bone. J. Oral Surg. 1980, 38, 613–616. [Google Scholar]
- Tatum, H., Jr. Maxillary and Sinus Implant Reconstructions. Dent. Clin. N. Am. 1986, 30, 207–229. [Google Scholar] [CrossRef]
- Calcei, J.G.; Rodeo, S.A. Orthobiologics for Bone Healing. Clin. Sports Med. 2019, 38, 79–95. [Google Scholar] [CrossRef]
- Janicki, P.; Schmidmaier, G. What Should Be the Characteristics of the Ideal Bone Graft Substitute? Combining Scaffolds with Growth Factors and/or Stem Cells. Injury 2011, 42, S77–S81. [Google Scholar] [CrossRef]
- Rivara, F.; Negri, M.; Lumetti, S.; Parisi, L.; Toffoli, A.; Calciolari, E.; Manfredi, E.; Macaluso, G.M. Maxillary Sinus Floor Augmentation Using an Equine-Derived Graft Material: Preliminary Results in 17 Patients. BioMed Res. Int. 2017, 2017, 9164156. [Google Scholar] [CrossRef]
- Pereira, R.S.; Pavelski, M.D.; Griza, G.L.; Boos, F.; Hochuli-Vieira, E. Prospective Evaluation of Morbidity in Patients Who Underwent Autogenous Bone-Graft Harvesting from the Mandibular Symphysis and Retromolar Regions. Clin. Implant Dent. Relat. Res. 2019, 21, 753–757. [Google Scholar] [CrossRef]
- Adali, E.; Yüce, M.O.; Günbay, T.; Günbay, S. Does Concentrated Growth Factor Used with Allografts in Maxillary Sinus Lifting Have Adjunctive Benefits? J. Oral Maxillofac. Surg. 2021, 79, 98–108. [Google Scholar] [CrossRef]
- Borden, M.; Westerlund, L.E.; Lovric, V.; Walsh, W. Controlling the Bone Regeneration Properties of Bioactive Glass: Effect of Particle Shape and Size. J. Biomed. Mater. Res. B Appl. Biomater. 2022, 110, 910–922. [Google Scholar] [CrossRef] [PubMed]
- Götz, W.; Papageorgiou, S.N. Molecular, Cellular and Pharmaceutical Aspects of Synthetic Hydroxyapatite Bone Substitutes for Oral and Maxillofacial Grafting. Curr. Pharm. Biotechnol. 2017, 18, 95–106. [Google Scholar] [CrossRef] [PubMed]
- La Monaca, G.; Iezzi, G.; Cristalli, M.P.; Pranno, N.; Sfasciotti, G.L.; Vozza, I. Comparative Histological and Histomorphometric Results of Six Biomaterials Used in Two-Stage Maxillary Sinus Augmentation Model after 6-Month Healing. BioMed Res. Int. 2018, 2018, 9430989. [Google Scholar] [CrossRef] [PubMed]
- Lobb, D.C.; DeGeorge, B.R.; Chhabra, A.B. Bone Graft Substitutes: Current Concepts and Future Expectations. J. Hand Surg. Am. 2019, 44, 497–505. [Google Scholar] [CrossRef]
- Yahav, A.; Kurtzman, G.M.; Katzap, M.; Dudek, D.; Baranes, D. Bone Regeneration: Properties and Clinical Applications of Biphasic Calcium Sulfate. Dent. Clin. N. Am. 2020, 64, 453–472. [Google Scholar] [CrossRef]
- Yamada, M.; Egusa, H. Current Bone Substitutes for Implant Dentistry. J. Prosthodont. Res. 2018, 62, 152–161. [Google Scholar] [CrossRef]
- Bezerra, B.T.; Pinho, J.N.A.; Figueiredo, F.E.D.; Brandao, J.R.M.C.B.; Ayres, L.C.G.; da Silva, L.C.F. Autogenous Bone Graft versus Bovine Bone Graft in Association with Platelet-Rich Plasma for the Reconstruction of Alveolar Clefts: A Pilot Study. Cleft Palate Craniofac. J. 2019, 56, 134–140. [Google Scholar] [CrossRef]
- Canellas, J.; Drugos, L.; Ritto, F.G.; Fischer, R.G.; Medeiros, P.J.D. Xenograft Materials in Maxillary Sinus Floor Elevation Surgery: A Systematic Review with Network Meta-Analyses. Br. J. Oral Maxillofac. Surg. 2021, 59, 742–751. [Google Scholar] [CrossRef]
- Merli, M.; Moscatelli, M.; Mariotti, G.; Rotundo, R.; Nieri, M. Autogenous Bone versus Deproteinised Bovine Bone Matrix in 1-Stage Lateral Sinus Floor Elevation in the Severely Atrophied Maxilla: A Randomised Controlled Trial. Eur. J. Oral Implantol. 2013, 6, 27–37. [Google Scholar]
- Nishimoto, M.; Kan, J.K.; Rungcharassaeng, K.; Roe, P.; Lozada, J.L. Histomorphometric Analysis of Maxillary Sinus Grafts: A Pilot Study. Int. J. Oral Maxillofac. Implants 2019, 34, 759–767. [Google Scholar] [CrossRef]
- Pesce, P.; Menini, M.; Canullo, L.; Khijmatgar, S.; Modenese, L.; Gallifante, G.; Del Fabbro, M. Radiographic and Histomorphometric Evaluation of Biomaterials Used for Lateral Sinus Augmentation: A Systematic Review on the Effect of Residual Bone Height and Vertical Graft Size on New Bone Formation and Graft Shrinkage. J. Clin. Med. 2021, 10, 4996. [Google Scholar] [CrossRef] [PubMed]
- Radetic, A.T.J.; Cvek, S.Z.; Tomas, M.; Erjavec, I.; Oguic, M.; Kacarevic, Z.P.; Peloza, O.C. Critical Size Bone Defect Healing in Rats after Application of Bovine Xenogeneic Biomaterial Enriched with Magnesium Alloy. Int. J. Mol. Sci. 2021, 22, 9089. [Google Scholar] [CrossRef] [PubMed]
- Kacarevic, Z.P.; Kavehei, F.; Houshmand, A.; Franke, J.; Smeets, R.; Rimashevskiy, D.; Wenisch, S.; Schnettler, R.; Jung, O.; Barbeck, M. Purification Processes of Xenogeneic Bone Substitutes and Their Impact on Tissue Reactions and Regeneration. Int. J. Artif. Organs 2018, 41, 789–800. [Google Scholar] [CrossRef] [PubMed]
- Panagiotou, D.; Ozkan Karaca, E.; Dirikan Ipci, S.; Cakar, G.; Olgac, V.; Yilmaz, S. Comparison of Two Different Xenografts in Bilateral Sinus Augmentation: Radiographic and Histologic Findings. Quintessence Int. 2015, 46, 611–619. [Google Scholar]
- Schulz, K.F.; Altman, D.G.; Moher, D.; Group, C. CONSORT 2010 Statement: Updated Guidelines for Reporting Parallel Group Randomised Trials. Trials 2010, 11, 32. [Google Scholar] [CrossRef]
- Mendes, B.C.; Pereira, R.D.S.; Mourao, C.; Montemezzi, P.; Santos, A.M.S.; Moreno, J.M.L.; Okamoto, R.; Hochuli-Vieira, E. Evaluation of Two Beta-Tricalcium Phosphates with Different Particle Dimensions in Human Maxillary Sinus Floor Elevation: A Prospective, Randomized Clinical Trial. Materials 2022, 15, 1824. [Google Scholar] [CrossRef]
- Pereira, R.D.S.; Gorla, L.F.; Boos, F.B.J.D.; Okamoto, R.; Garcia, I.R.; Hochuli-Vieira, E. Use of Autogenous Bone and Beta-Tricalcium Phosphate in Maxillary Sinus Lifting: Histomorphometric Study and Immunohistochemical Assessment of RUNX2 and VEGF. Int. J. Oral Maxillofac. Surg. 2017, 46, 503–510. [Google Scholar] [CrossRef]
- Bouxsein, M.L.; Boyd, S.K.; Christiansen, B.A.; Guldberg, R.E.; Jepsen, K.J.; Müller, R. Guidelines for Assessment of Bone Microstructure in Rodents Using Micro-Computed Tomography. J. Bone Miner. Res. 2010, 25, 1468–1486. [Google Scholar] [CrossRef]
- Riachi, F.; Naaman, N.; Tabarani, C.; Aboelsaad, N.; Aboushelib, M.N.; Berberi, A.; Salameh, Z. Influence of Material Properties on Rate of Resorption of Two Bone Graft Materials after Sinus Lift Using Radiographic Assessment. Int. J. Dent. 2012, 2012, 737262. [Google Scholar] [CrossRef]
- Bonardi, J.P.; Pereira, R.D.S.; Boos, F.L.; Faverani, L.P.; Griza, G.L.; Okamoto, R.; Hochuli-Vieira, E. Prospective and Randomized Evaluation of ChronOS and Bio-Oss in Human Maxillary Sinuses: Histomorphometric and Immunohistochemical Assignment for Runx2, Vascular Endothelial Growth Factor, and Osteocalcin. J. Oral Maxillofac. Surg. 2018, 76, 325–335. [Google Scholar] [CrossRef]
- Ramaglia, L.; Saviano, R.; Matarese, G.; Cassandro, F.; Williams, R.C.; Isola, G. Histologic Evaluation of Soft and Hard Tissue Healing Following Alveolar Ridge Preservation with Deproteinized Bovine Bone Mineral Covered with Xenogenic Collagen Matrix. Int. J. Periodontics Restor. Dent. 2018, 38, 737–745. [Google Scholar] [CrossRef] [PubMed]
- Candrlic, M.; Tomas, M.; Karl, M.; Malesic, L.; Vcev, A.; Peric Kacarevic, Z.; Matijevic, M. Comparison of Injectable Biphasic Calcium Phosphate and a Bovine Xenograft in Socket Preservation: Qualitative and Quantitative Histologic Study in Humans. Int. J. Mol. Sci. 2022, 23, 2539. [Google Scholar] [CrossRef] [PubMed]
- Moy, P.K.; Lundgren, S.; Holmes, R.E. Maxillary Sinus Augmentation: Histomorphometric Analysis of Graft Materials for Maxillary Sinus Floor Augmentation. J. Oral Maxillofac. Surg. 1993, 51, 857–862. [Google Scholar] [CrossRef] [PubMed]
- Pereira, R.D.S.; Bonardi, J.P.; Ouverney, F.R.F.; Campos, A.B.; Griza, G.L.; Okamoto, R.; Hochuli-Vieira, E. The New Bone Formation in Human Maxillary Sinuses Using Two Bone Substitutes with Different Resorption Types Associated or Not with Autogenous Bone Graft: A Comparative Histomorphometric, Immunohistochemical and Randomized Clinical Study. J. Appl. Oral Sci. 2021, 29, e20200568. [Google Scholar] [CrossRef]
- Yildirim, M.; Spiekermann, H.; Handt, S.; Edelhoff, D. Maxillary Sinus Augmentation with the Xenograft Bio-Oss and Autogenous Intraoral Bone for Qualitative Improvement of the Implant Site: A Histologic and Histomorphometric Clinical Study in Humans. Int. J. Oral Maxillofac. Implants 2001, 16, 23–35. [Google Scholar]
- Piattelli, M.; Favero, G.A.; Scarano, A.; Orsini, G.; Piattelli, A. Bone Reactions to Anorganic Bovine Bone (Bio-Oss) Used in Sinus Augmentation Procedures: A Histologic Long-Term Report of 20 Cases in Humans. Int. J. Oral Maxillofac. Implants 1999, 14, 835–840. [Google Scholar]
- Mahesh, L.; Mascarenhas, G.; Bhasin, M.T.; Guirado, C.; Juneja, S. Histological Evaluation of Two Different Anorganic Bovine Bone Matrices in Lateral Wall Sinus Elevation Procedure: A Retrospective Study. Natl. J. Maxillofac. Surg. 2020, 11, 258–262. [Google Scholar]
- Cosso, M.G.; de Brito, R.B., Jr.; Piattelli, A.; Shibli, J.A.; Zenobio, E.G. Volumetric Dimensional Changes of Autogenous Bone and the Mixture of Hydroxyapatite and Autogenous Bone Graft in Human Maxillary Sinus Augmentation. A Multislice Tomographic Study. Clin. Oral Implants Res. 2014, 25, 1251–1256. [Google Scholar] [CrossRef]
- Fleming, J.E.; Cornell, C.N.; Muschler, G.E. Bone Cells and Matrices in Orthopedic Tissue Engineering. Orthop. Clin. N. Am. 2000, 31, 357–374. [Google Scholar] [CrossRef]
- Müller, R.; Van Campenhout, H.; Van Damme, B.; Van Der Perre, G.; Dequeker, J.; Hildebrand, T.; Rüegsegger, P. Morphometric Analysis of Human Bone Biopsies: A Quantitative Structural Comparison of Histological Sections and Micro-Computed Tomography. Bone 1998, 23, 59–66. [Google Scholar] [CrossRef]
- Pereira, R.D.S.; Menezes, J.D.; Bonardi, J.P.; Griza, G.L.; Okamoto, R.; Hochuli-Vieira, E. Comparative Study of Volumetric Changes and Trabecular Microarchitecture in Human Maxillary Sinus Bone Augmentation with Bioactive Glass and Autogenous Bone Graft: A Prospective and Randomized Assessment. Int. J. Oral Maxillofac. Surg. 2018, 47, 665–671. [Google Scholar] [CrossRef]
- Jensen, T.; Schou, S.; Stavropoulos, A.; Terheyden, H.; Holmstrup, P. Maxillary Sinus Floor Augmentation with Bio-Oss or Bio-Oss Mixed with Autogenous Bone as Graft: A Systematic Review. Clin. Oral Implants Res. 2012, 23, 263–273. [Google Scholar] [CrossRef]

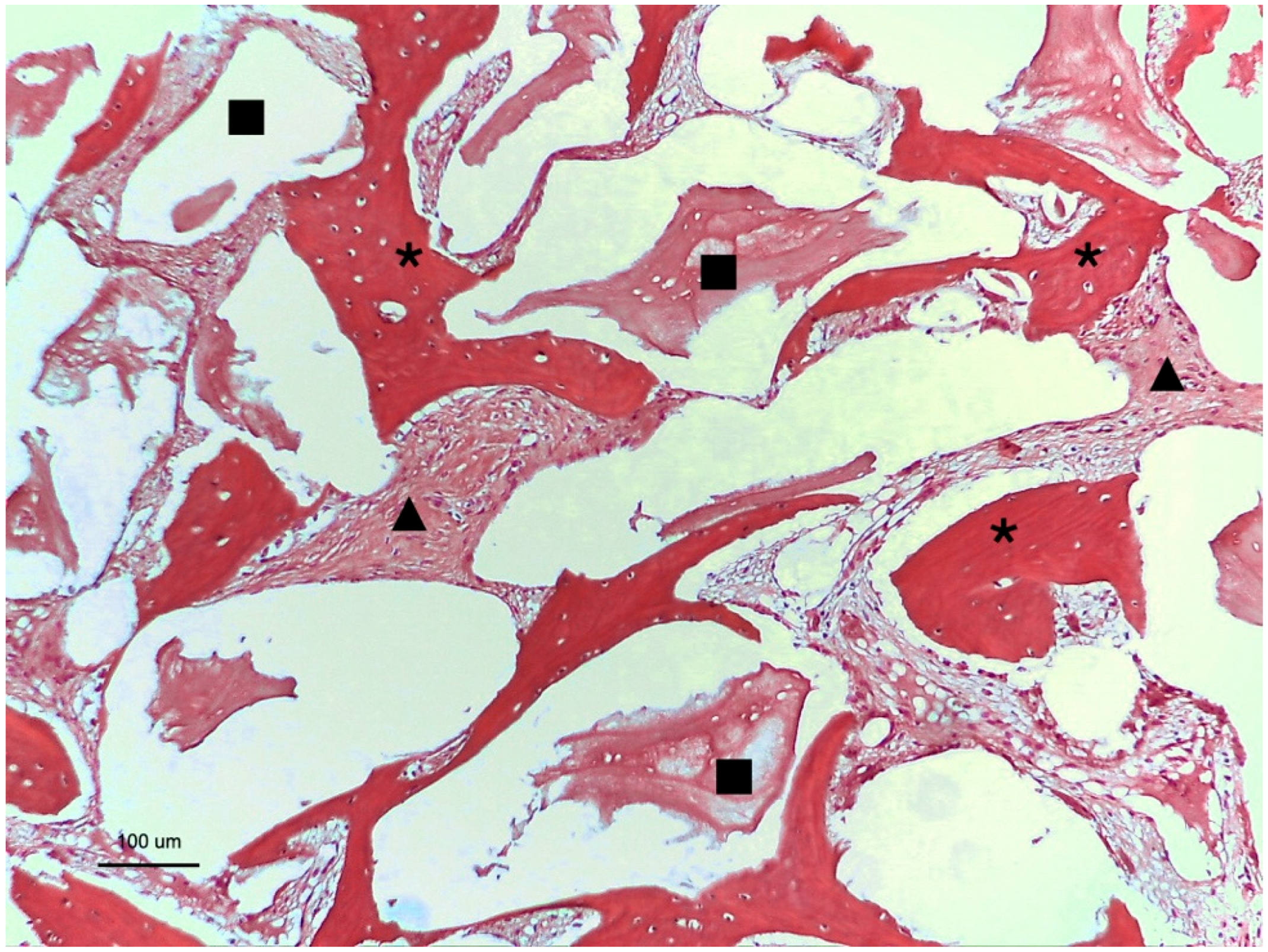
), and Cerabone particle (
).
), and Cerabone particle (
).
), and Bio-Oss particles (
).
), and Bio-Oss particles (
).

), Cerabone particle (
), and Bio-Oss particle (→).
), Cerabone particle (
), and Bio-Oss particle (→).

| Maxillary Sinus | Bone Formed (%) | Connective Tissue (%) | Biomaterial Remaining (%) |
|---|---|---|---|
| 1R | 9.49 | 38.05 | 52.47 |
| 2R | 15.28 | 46.22 | 38.51 |
| 3L | 2.2 | 72.39 | 5.61 |
| 4R | 17.83 | 43.74 | 38.43 |
| 5L | 28.38 | 54.54 | 17.08 |
| 6L | 32.32 | 54.36 | 13.31 |
| 7R | 25.06 | 51.33 | 23.61 |
| 8R | 2.99 | 42.88 | 27.22 |
| 9L | 51.89 | 39.12 | 8.99 |
| 10R | 25.24 | 64.12 | 10.64 |
| 11L | 30.17 | 58.11 | 11.72 |
| 12L | 23.77 | 4.72 | 29.03 |
| Mean | 25.94 | 51.00 | - |
| SD | 10.55 | 10.31 | - |
| Median | - | - | 20.34 |
| Maxillary Sinus | Bone Formed (%) | Connective Tissue (%) | Biomaterial Remaining (%) |
|---|---|---|---|
| 13R | 23.37 | 76.67 | 0 |
| 14L | 1.91 | 80.28 | 0.76 |
| 15L | 10.68 | 22.16 | 42.17 |
| 16R | 18.38 | 35.17 | 46.63 |
| 17E | 16.45 | 25.79 | 37.48 |
| 18R | 20.09 | 51.44 | 28.95 |
| 19L | 23.72 | 64.01 | 12.24 |
| 20R | 1.07 | 50.63 | 38.72 |
| 21R | 16.64 | 41.31 | 42.07 |
| 22L | 13.74 | 47.16 | 39.09 |
| Mean | 17.29 | 49.46 | - |
| SD | 4.61 | 19.69 | - |
| Median | - | - | 38.10 |
Disclaimer/Publisher’s Note: The statements, opinions and data contained in all publications are solely those of the individual author(s) and contributor(s) and not of MDPI and/or the editor(s). MDPI and/or the editor(s) disclaim responsibility for any injury to people or property resulting from any ideas, methods, instructions or products referred to in the content. |
© 2024 by the authors. Published by MDPI on behalf of the Lithuanian University of Health Sciences. Licensee MDPI, Basel, Switzerland. This article is an open access article distributed under the terms and conditions of the Creative Commons Attribution (CC BY) license (https://creativecommons.org/licenses/by/4.0/).
Share and Cite
Pereira, R.d.S.; de Carvalho, M.V.N.B.; Hochuli-Vieira, E.; Statkievicz, C.; Pereira Santos, D.L.; Augusto Neto, R.T.; Pinto, C.d.F.S.; Bennardo, F.; Mourão, C.F. Histomorphometric and Micro-CT Evaluation of Cerabone and Bio-Oss in Maxillary Sinus Lifting: A Randomized Clinical Trial. Medicina 2024, 60, 1834. https://doi.org/10.3390/medicina60111834
Pereira RdS, de Carvalho MVNB, Hochuli-Vieira E, Statkievicz C, Pereira Santos DL, Augusto Neto RT, Pinto CdFS, Bennardo F, Mourão CF. Histomorphometric and Micro-CT Evaluation of Cerabone and Bio-Oss in Maxillary Sinus Lifting: A Randomized Clinical Trial. Medicina. 2024; 60(11):1834. https://doi.org/10.3390/medicina60111834
Chicago/Turabian StylePereira, Rodrigo dos Santos, Marcus Vinicius Neumann Brandão de Carvalho, Eduardo Hochuli-Vieira, Cristian Statkievicz, Déborah Laurindo Pereira Santos, Renato Torres Augusto Neto, Carolina de Fátima Soares Pinto, Francesco Bennardo, and Carlos Fernando Mourão. 2024. "Histomorphometric and Micro-CT Evaluation of Cerabone and Bio-Oss in Maxillary Sinus Lifting: A Randomized Clinical Trial" Medicina 60, no. 11: 1834. https://doi.org/10.3390/medicina60111834
APA StylePereira, R. d. S., de Carvalho, M. V. N. B., Hochuli-Vieira, E., Statkievicz, C., Pereira Santos, D. L., Augusto Neto, R. T., Pinto, C. d. F. S., Bennardo, F., & Mourão, C. F. (2024). Histomorphometric and Micro-CT Evaluation of Cerabone and Bio-Oss in Maxillary Sinus Lifting: A Randomized Clinical Trial. Medicina, 60(11), 1834. https://doi.org/10.3390/medicina60111834

