Conventional Versus Regenerative Methods for Wound Healing: A Comparative Experimental Study on a Sheep Model
Abstract
1. Introduction
2. Materials and Methods
2.1. Experimental Models and Procedure
- Lesion A (control area). It was treated exclusively with a sterile gauze and physiological solution (wet-to-dry).
- Lesion B (experimental). It was treated with a superficial disinfection of 0.05% diluted chlorhexidine.
- Lesion C (experimental). It was treated with a 0.05% sodium hypochlorite solution.
- Lesion D (experimental). It was treated intraoperatively with the Rigenera® (Human Brain Wave, Turin, Italy) system. The protocol consists of four steps: (i) collection of a small piece of skin tissue, (ii) disaggregation of tissue through the addition of sterile saline solution, (iii) collection of autologous micro-grafts obtained after the disaggregation, and (iv) injection of these micro-grafts alone into the site of injury. Specifically, the surgically excised skin as full thickness was preserved and destined for processing accordingly. A total of 1.2 mL sterile injectable physiologic solution was added through the specific connector into the Micronized dermis system application © device. The harvested tissue sample was placed on the grid inside the machine, which was connected to the Sicurdrill Device. The Sicurdrill Device was activated for 2 cycles (with each cycle lasting 1 min). The micro-graft suspension was collected with a syringe from the same hole in which the saline solution was previously injected, being diluted to 2 mL of solution. One-half of the obtained micrograft solution was injected in the wound bed, and the remaining half into the wound edges (4 mm deep) (Figure 2).
- Lesion E (experimental). It was treated intraoperatively by the application of PELNAC™ (Gunze, Japan), a dermal matrix with a double fenestrated layer. It is composed of porcine atelocollagen and a layer of silicone; it is available in different sizes and types based on the surgeon’s needs and the characteristics of the lesion. The entire lesion area was covered with a single piece of the dermal substitute. A secondary medication with sterile gauze was performed.
2.2. Outcome Evaluation
2.3. Statistical Analysis
3. Results
3.1. Wound Dimension
3.2. Presence of Exudate
3.3. Color of Exudate
3.4. Type of Exudate
3.5. Appearance of the Gauze
3.6. Hydration of the Gauze
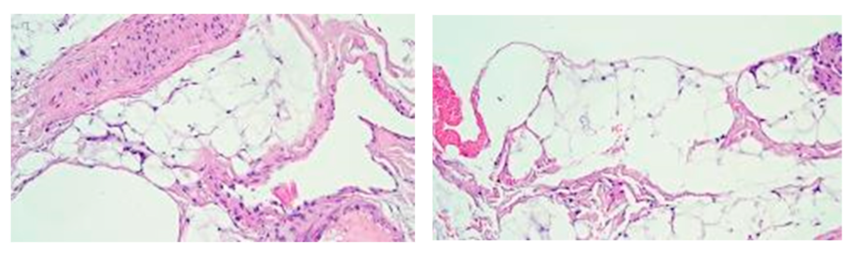
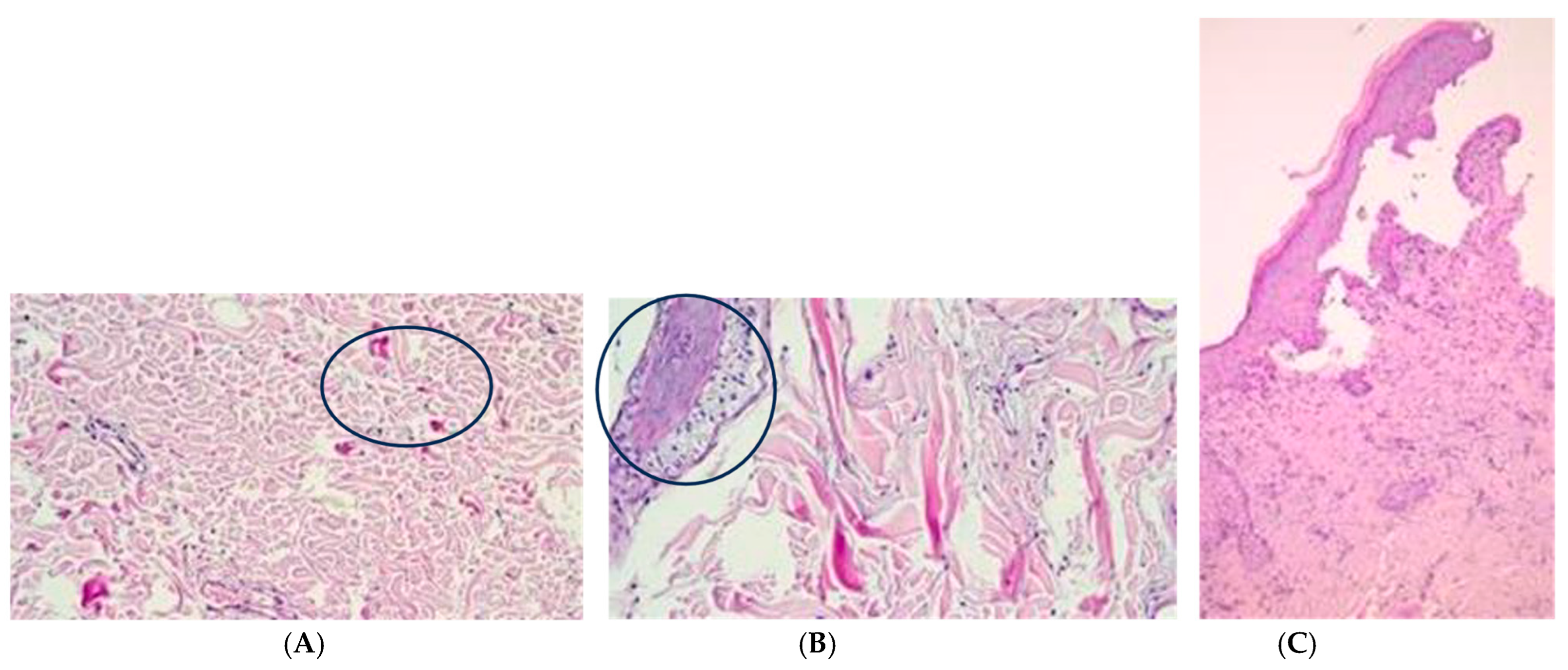
3.7. Histological Results
4. Discussion
5. Conclusions
Author Contributions
Funding
Institutional Review Board Statement
Informed Consent Statement
Data Availability Statement
Conflicts of Interest
References
- Masson-Meyers, D.S.; Andrade, T.A.M.; Caetano, G.F.; Guimaraes, F.R.; Leite, M.N.; Leite, S.N.; Frade, M.A.C. Experimental models and methods for cutaneous wound healing assessment. Int. J. Exp. Pathol. 2020, 101, 21–37. [Google Scholar] [CrossRef] [PubMed]
- Velnar, T.; Bailey, T.; Smrkolj, V. The Wound Healing Process: An Overview of the Cellular and Molecular Mechanisms. J. Int. Med. Res. 2009, 37, 1528–1542. [Google Scholar] [CrossRef] [PubMed]
- Frykberg, R.G.; Banks, J. Challenges in the Treatment of Chronic Wounds. Adv. Wound Care 2015, 4, 560–582. [Google Scholar] [CrossRef] [PubMed]
- Nunan, R.; Harding, K.G.; Martin, P. Clinical challenges of chronic wounds: Searching for an optimal animal model to recapitulate their complexity. Dis. Models Mech. 2014, 7, 1205–1213. [Google Scholar] [CrossRef]
- Järbrink, K.; Ni, G.; Sönnergren, H.; Schmidtchen, A.; Pang, C.; Bajpai, R.; Car, J. Prevalence and incidence of chronic wounds and related complications: A protocol for a systematic review. Syst. Rev. 2016, 5, 152. [Google Scholar] [CrossRef]
- Woo, K.; Ayello, E.A.; Sibbald, R.G. The edge effect: Current therapeutic options to advance the wound edge. Adv. Ski. Wound Care 2007, 20, 99–117; quiz 118–119. [Google Scholar] [CrossRef]
- Stojadinovic, A.; Carlson, J.W.; Schultz, G.S.; Davis, T.A.; Elster, E.A. Topical advances in wound care. Gynecol. Oncol. 2008, 111, S70–S80. [Google Scholar] [CrossRef]
- Attinger, C.E.; Janis, J.E.; Steinberg, J.; Schwartz, J.; Al-Attar, A.; Couch, K. Clinical Approach to Wounds: Débridement and Wound Bed Preparation Including the Use of Dressings and Wound-Healing Adjuvants. Plast. Reconstr. Surg. 2006, 117, 72S–109S. [Google Scholar] [CrossRef]
- Edmonds, M. Body of knowledge around the diabetic foot and limb salvage. J. Cardiovasc. Surg. 2012, 53, 605–616. [Google Scholar]
- Kolimi, P.; Narala, S.; Nyavanandi, D.; Youssef, A.A.A.; Dudhipala, N. Innovative Treatment Strategies to Accelerate Wound Healing: Trajectory and Recent Advancements. Cells 2022, 11, 2439. [Google Scholar] [CrossRef]
- Mascré, G.; Dekoninck, S.; Drogat, B.; Youssef, K.K.; Brohée, S.; Sotiropoulou, P.A.; Simons, B.D.; Blanpain, C. Distinct contribution of stem and progenitor cells to epidermal maintenance. Nature 2012, 489, 257–262. [Google Scholar] [CrossRef] [PubMed]
- Hosseini, M.; Shafiee, A. Engineering Bioactive Scaffolds for Skin Regeneration. Small 2021, 17, 2101384. [Google Scholar] [CrossRef] [PubMed]
- Han, G.; Ceilley, R. Chronic Wound Healing: A Review of Current Management and Treatments. Adv. Ther. 2017, 34, 599–610. [Google Scholar] [CrossRef]
- Okur, M.E.; Karantas, I.D.; Şenyiğit, Z.; Okur, N.; Siafaka, P.I. Recent trends on wound management: New therapeutic choices based on polymeric carriers. Asian J. Pharm. Sci. 2020, 15, 661–684. [Google Scholar] [CrossRef]
- Broeckx, S.Y.; Borena, B.M.; Van Hecke, L.; Chiers, K.; Maes, S.; Guest, D.J.; Meyer, E.; Duchateau, L.; Martens, A.; Spaas, J.H. Comparison of autologous versus allogeneic epithelial-like stem cell treatment in an in vivo equine skin wound model. Cytotherapy 2015, 17, 1434–1446. [Google Scholar] [CrossRef]
- Hadley, H.S.; Stanley, B.J.; Fritz, M.C.; Hauptman, J.G.; Steficek, B.A. Effects of a Cross-linked Hyaluronic Acid Based Gel on the Healing of Open Wounds in Dogs. Vet. Surg. 2012, 42, 161–169. [Google Scholar] [CrossRef]
- Camacho, P.; Fan, H.; Liu, Z.; He, J.-Q. Large Mammalian Animal Models of Heart Disease. J. Cardiovasc. Dev. Dis. 2016, 3, 30. [Google Scholar] [CrossRef]
- Gottrup, F.; Ågren, M.S.; Karlsmark, T. Models for use in wound healing research: A survey focusing on in vitro and in vivo adult soft tissue. Wound Repair Regen. 2000, 8, 83–96. [Google Scholar] [CrossRef]
- Badis, D.; Omar, B. The effectiveness of platelet-rich plasma on the skin wound healing process: A comparative experimental study in sheep. Vet. World 2018, 11, 800–808. [Google Scholar] [CrossRef]
- Martinello, T.; Gomiero, C.; Perazzi, A.; Iacopetti, I.; Gemignani, F.; DeBenedictis, G.M.; Ferro, S.; Zuin, M.; Martines, E.; Brun, P.; et al. Allogeneic mesenchymal stem cells improve the wound healing process of sheep skin. BMC Vet. Res. 2018, 14, 202. [Google Scholar] [CrossRef]
- Maruccia, M.; Marannino, P.; Elia, R.; Ribatti, D.; Tamma, R.; Nacchiero, E.; Manrique, O.; Giudice, G. Treatment of finger degloving injury with acellular dermal matrices: Functional and aesthetic results. J. Plast. Reconstr. Aesthetic Surg. JPRAS 2019, 72, 1509–1517. [Google Scholar] [CrossRef] [PubMed]
- Maruccia, M.; Onesti, M.G.; Sorvillo, V.; Albano, A.; Dessy, L.A.; Carlesimo, B.; Tarallo, M.; Marcasciano, M.; Giudice, G.; Cigna, E.; et al. An Alternative Treatment Strategy for Complicated Chronic Wounds: Negative Pressure Therapy over Mesh Skin Graft. BioMed Res. Int. 2017, 2017, 8395219. [Google Scholar] [CrossRef]
- Onesti, M.G.; Carella, S.; Maruccia, M.; Ciotti, M.; Scuderi, N. The Use of Hyalomatrix PA in the Treatment of Extravasation Affecting Premature Neonates. Plast. Reconstr. Surg. 2012, 129, 219e–221e. [Google Scholar] [CrossRef] [PubMed]
- Schiraldi, L.; Sapino, G.; Meuli, J.; Maruccia, M.; Cherubino, M.; Raffoul, W.; di Summa, P.G. Facial Fat Grafting (FFG): Worth the Risk? A Systematic Review of Complications and Critical Appraisal. J. Clin. Med. 2022, 11, 4708. [Google Scholar] [CrossRef]
- Guarro, G.; Cozzani, F.; Rossini, M.; Bonati, E.; Del Rio, P. The modified TIME-H scoring system, a versatile tool in wound management practice: A preliminary report. Acta Biomed. Atenei Parm. 2021, 92, e2021226. [Google Scholar] [CrossRef]
- Cazzato, G.; Mazzia, G.; Cimmino, A.; Colagrande, A.; Sablone, S.; Lettini, T.; Rossi, R.; Santarella, N.; Elia, R.; Nacchiero, E.; et al. SARS-CoV-2 and Skin: The Pathologist’s Point of View. Biomolecules 2021, 11, 838. [Google Scholar] [CrossRef]
- Maruccia, M.; Elia, R.; Caizzi, G.; Carrozzo, M.; Vicenti, G.; Moretti, B.; Giudice, G. Free flap and kickstand external fixator in foot and ankle soft tissue reconstruction. The versatility of a microsurgical-friendly application of an orthopedic device. Injury 2018, 49 (Suppl. S3), S105–S109. [Google Scholar] [CrossRef]
- Ciudad, P.; Agko, M.; Manrique, O.J.; Date, S.; Kiranantawat, K.; Chang, W.L.; Nicoli, F.; Torto, F.L.; Maruccia, M.; Orfaniotis, G.; et al. The retrograde transverse cervical artery as a recipient vessel for free tissue transfer in complex head and neck reconstruction with a vessel-depleted neck. Microsurgery 2017, 37, 902–909. [Google Scholar] [CrossRef]
- Wainwright, D.J.; Bury, S.B. Acellular Dermal Matrix in the Management of the Burn Patient. Aesthetic Surg. J. 2011, 31, 13S–23S. [Google Scholar] [CrossRef]
- Kirsner, R.S.; Bohn, G.; Driver, V.R.; Mills, J.L.; Nanney, L.B.; Williams, M.L.; Wu, S.C. Human acellular dermal wound matrix: Evidence and experience. Int. Wound J. 2013, 12, 646–654. [Google Scholar] [CrossRef]
- Cigna, E.; Pierazzi, D.M.; Sereni, S.; Marcasciano, M.; Losco, L.; Bolletta, A. Lymphatico-venous anastomosis in chronic ulcer with venous insufficiency: A case report. Microsurgery 2021, 41, 574–578. [Google Scholar] [CrossRef] [PubMed]
- Di Taranto, G.; Chen, S.; Elia, R.; Bolletta, A.; Amorosi, V.; Sitpahul, N.; Chan, J.C.; Ribuffo, D.; Chen, H. Free gastroepiploic lymph nodes and omentum flap for treatment of lower limb ulcers in severe lymphedema: Killing two birds with one stone. J. Surg. Oncol. 2019, 121, 168–174. [Google Scholar] [CrossRef] [PubMed]
- Riccio, M.; Marchesini, A.; Zingaretti, N.; Carella, S.; Senesi, L.; Onesti, M.G.; Parodi, P.C.; Ribuffo, D.; Vaienti, L.; De Francesco, F. A Multicentre Study: The Use of Micrografts in the Reconstruction of Full-Thickness Posttraumatic Skin Defects of the Limbs—A Whole Innovative Concept in Regenerative Surgery. Stem Cells Int. 2019, 2019, 5043518. [Google Scholar] [CrossRef] [PubMed]







| Parameter | Score |
|---|---|
| Presence of exudate | 1 absent 2 small 3 moderate 4 abundant |
| Color of exudate | 1 clear 2 pink/red 3 brown 4 yellow 5 green |
| Character of exudate | 1 serous 2 serosanguineous 3 sanguineous 4 purulent + 5 purulent ++ 6 purulent +++ |
| Gauze | 1 dry/clean 2 dry/stained 3 moist 4 wet |
| Hydration | 1 normal 2 maceration + 3 maceration ++ 4 desiccation + 5 desiccation ++ |
| Group | T0 | T7 | T14 | T21 | T28 | T35 | T42 |
|---|---|---|---|---|---|---|---|
| Control | 40.0 ± 0.0 (40–40) | 29.8 ± 4.1 (23.4–34.3) | 25.6 ± 4.9 (17.3–29.9) | 17.6 ± 4.7 (9.7–23.2) | 4.2 ± 6.8 (0.0–16.1) | 0 | 0 |
| Sodium hypochlorite | 400 ± 0.0 (40–40) | 37.3 ± 4.5 (32.1–45.0) | 29.5 ± 1.9 (26.6–32.2) | 22.3 ± 3.0 (18.9–26.1) | 7.0 ± 8.0 (0.0–18.3) | 0 | 0 |
| Chlorhexidine | 40.0 ± 0.0 (40–40) | 36.3 ± 5.2 (28.9–40.6) | 27.0 ± 4.6 (18.7–31.6) | 19.1 ± 10.1 (0.0–25.7) | 9.3 ± 10.6 (0.0–23.0) | 0 | 0 |
| Dermal matrix | 40.0 ± 0.0 (40–40) | * | 26.5 ± 4.0 (22.2–32.7) | 20.0 ± 2.6 (16.7–23.7) | 3.8 ± 6.2 (0.0–14.3) | 0 | 0 |
| Micronized dermis system | 40.0 ± 0.0 (40–40) | 36.0 ± 4.0 (29.3–40.8) | 27.4 ± 3.0 (24.2–31.2) | 22.2 ± 2.8 (18.9–25.4) | 7.9 ± 9.0 (0.0–19.7) | 0 | 0 |
| Mean ± SD | 40.0 ± 0.0 (40–40) | 34.9 ± 5.1 (23.4–45.0) | 27.2 ± 3.8 (17.3–32.7) | 20.2 ± 5.4 (0.0–26.1) | 6.4 ± 8.0 (0.0–23.0) | 0 | 0 |
| Group | Time | Group by Time | |
|---|---|---|---|
| Dermal matrix vs. control | 0.585 | <0.0001 | 0.937 |
| Micronized dermis vs. control | 0.008 | <0.0001 | 0.348 |
| Chlorhexidine vs. control | 0.189 | <0.0001 | 0.495 |
| Sodium hypochlorite vs. control | 0.008 | <0.0001 | 0.144 |
| Dermal matrix vs. chlorhexidine | 0.582 | <0.0001 | 0.596 |
| Micronized dermis vs. chlorhexidine | 0.859 | <0.0001 | 0.967 |
| Sodium hypochlorite vs. chlorhexidine | 0.674 | <0.0001 | 0.854 |
| Dermal matrix vs. sodium hypochlorite | 0.084 | <0.0001 | 0.709 |
| Micronized dermis vs. sodium hypochlorite | 0.524 | <0.0001 | 0.979 |
| Dermal matrix vs. micronized dermis | 0.062 | <0.0001 | 0.726 |
| Group | T0 | T7 | T14 | T21 | T28 | T35 | T42 |
|---|---|---|---|---|---|---|---|
| Control | 1.8 ± 0.8 (1–3) | 1.3 ± 0.5 (1–2) | 1.0 ± 0.0 (1–1) | 1.0 ± 0.0 (1–1) | 1.2 ± 0.4 (1–2) | 1.0 ± 0.0 (1–1) | 1.0 ± 0.0 (1–1) |
| Sodium hypochlorite | 1.8 ± 0.8 (1–3) | 2.2 ± 0.8 (1–3) | 1.0 ± 0.0 (1–1) | 1.0 ± 0.0 (1–1) | 1.0 ± 0.0 (1–1) | 1.0 ± 0.0 (1–1) | 1.0 ± 0.0 (1–1) |
| Chlorhexidine | 2.0 ± 0.9 (1–3) | 2.2 ± 0.4 (2–3) | 1.0 ± 0.0 (1–1) | 1.0 ± 0.0 (1–1) | 1.0 ± 0.0 (1–1) | 1.0 ± 0.0 (1–1) | 1.0 ± 0.0 (1–1) |
| Dermal matrix ® | 1.3 ± 0.5 (1–2) | 1.7 ± 0.5 (1–2) | 1.5 ± 0.5 (1–2) | 1.2 ± 0.4 (1–2) | 1.2 ± 0.4 (1–2) | 1.0 ± 0.0 (1–1) | 1.0 ± 0.0 (1–1) |
| Micronized dermis system application © | 1.8 ± 0.8 (1–3) | 2.2 ± 0.4 (2–3) | 1.2 ± 0.4 (1–2) | 1.0 ± 0.0 (1–1) | 1.0 ± 0.0 (1–1) | 1.0 ± 0.0 (1–1) | 1.0 ± 0.0 (1–1) |
| Mean ± SD | 1.8 ± 0.7 (1–3) | 1.9 ± 0.6 (1–3) | 1.1 ± 0.3 (1–2) | 1.0 ± 0.2 (1–2) | 1.1 ± 0.3 (1–2) | 1.0 ± 0.0 (1–1) | 1.0 ± 0.0 (1–1) |
| Group | Time | Group by Time | |
|---|---|---|---|
| Dermal matrix vs. control | 0.574 | <0.0001 | 0.13 |
| Micronized dermis vs. control | 0.257 | <0.0001 | 0.066 |
| Chlorhexidine vs. control | 0.196 | <0.0001 | 0.085 |
| Sodium hypochlorite vs. control | 0.358 | <0.0001 | 0.092 |
| Dermal matrix vs. chlorhexidine | 0.651 | <0.0001 | 0.019 |
| Micronized dermis vs. chlorhexidine | 0.971 | <0.0001 | 0.983 |
| Sodium hypochlorite vs. chlorhexidine | 0.781 | <0.0001 | 0.999 |
| Dermal matrix vs. sodium hypochlorite | 0.831 | <0.0001 | 0.051 |
| Micronized dermis vs. sodium hypochlorite | 0.791 | <0.0001 | 0.999 |
| Dermal matrix vs. micronized dermis | 0.670 | <0.0001 | 0.08 |
| Group | T0 | T7 | T14 | T21 | T28 | T35 | T42 |
|---|---|---|---|---|---|---|---|
| Control | 1.0 ± 1.1 (0–2) | 0.7 ± 1.0 (0–2) | 0 | 0.2 ± 0.4 (0–1) | 0.3 ± 0.8 (0–2) | 0 | 0 |
| Sodium hypochlorite | 1.2 ± 1.0 (0–2) | 1.5 ± 1.0 (0–3) | 0 | 0.2 ± 0.4 (0–1) | 0 | 0 | 0 |
| Chlorhexidine | 1.3 ± 1.0 (0–2) | 2.3 ± 0.5 (2–3) | 0 | 0.2 ± 0.4 (0–1) | 0 | 0 | 0 |
| Dermal matrix® | 0.2 ± 0.4 (0–1) | 0.7 ± 0.5 (0–1) | 1.2 ± 1.0 (0–2) | 0.3 ± 0.8 (0–2) | 0.3 ± 0.8 (0–2) | 0 | 0 |
| Micronized dermis system application © | 1.2 ± 1.0 (0–2) | 2.0 ± 0.6 (1–3) | 0.2 ± 0.4 (0–1) | 0.2 ± 0.4 (0–1) | 0 | 0 | 0 |
| Mean ± SD | 1.0 ± 1.0 (0–2) | 1.4 ± 1.0 (0–3) | 0.3 ± 0.6 (0–2) | 0.2 ± 0.5 (0–2) | 0.1 ± 0.5 (0–2) | 0 | 0 |
| Group | Time | Group by Time | |
|---|---|---|---|
| Dermal matrix vs. control | 0.682 | 0.138 | 0.028 |
| Micronized dermis vs. control | 0.153 | <0.0001 | 0.047 |
| Chlorhexidine vs. control | 0.033 | <0.0001 | 0.007 |
| Sodium hypochlorite vs. control | 0.47 | <0.0001 | 0.426 |
| Dermal matrix vs. chlorhexidine | 0.325 | <0.0001 | <0.0001 |
| Micronized dermis vs. chlorhexidine | 0.679 | <0.0001 | 0.884 |
| Sodium hypochlorite vs. chlorhexidine | 0.245 | <0.0001 | 0.381 |
| Dermal matrix vs. sodium hypochlorite | 0.898 | <0.0001 | 0.0 |
| Micronized dermis vs. sodium hypochlorite | 0.508 | <0.0001 | 0.840 |
| Dermal matrix vs. micronized dermis | 0.52 | <0.0001 | <0.0001 |
| Group | T0 | T7 | T14 | T21 | T28 | T35 | T42 |
|---|---|---|---|---|---|---|---|
| Control | 1.3 ± 1.0 (0–2) | 0.8 ± 1.1 (0–2) | 0 | 0 | 0 | 0 | 0 |
| Sodium hypochlorite | 1.2 ± 1.0 (0–2) | 1.5–1.0 (0–3) | 0 | 0 | 0 | 0 | 0 |
| Chlorhexidine | 1.6 ± 0.9 (0–2) | 2.5 ± 0.8 (2–4) | 0 | 0 | 0 | 0 | 0 |
| Dermal matrix ® | 0.2 ± 0.4 (0–1) | 0.7 ± 0.5 (0–1) | 1.2 ± 1.0 (0–2) | 0.2 ± 0.4 (0–1) | 0 | 0 | 0 |
| Micronized dermis system application © | 1.2 ± 1.0 (0–2) | 2.0 ± 0.6 (1–3) | 0.2 ± 0.4 (0–1) | 0 | 0 | 0 | 0 |
| Mean ± SD | 1.1 ± 1.0 (0–2) | 1.5 ± 1.1 (0–4) | 0.3 ± 0.6 (0–2) | 0.1 ± 0.2 (0–1) | 0 | 0 | 0 |
| Group | Time | Group by Time | |
|---|---|---|---|
| Dermal matrix vs. control | 0.99 | <0.0001 | 0.0 |
| Micronized dermis vs. control | 0.183 | <0.0001 | 0.051 |
| Chlorhexidine vs. control | 0.028 | <0.0001 | 0.001 |
| Sodium hypochlorite vs. control | 0.548 | <0.0001 | 0.6660 |
| Dermal matrix vs. chlorhexidine | 0.052 | <0.0001 | <0.0001 |
| Micronized dermis vs. chlorhexidine | 0.360 | <0.0001 | 0.453 |
| Sodium hypochlorite vs. chlorhexidine | 0.106 | <0.0001 | 0.103 |
| Dermal matrix vs. sodium hypochlorite | 0.604 | <0.0001 | <0.0001 |
| Micronized dermis vs. sodium hypochlorite | 0.461 | <0.0001 | 0.852 |
| Dermal matrix vs. micronized dermis | 0.24 | <0.0001 | <0.0001 |
| Group | T0 | T7 | T14 | T21 | T28 | T35 | T42 |
|---|---|---|---|---|---|---|---|
| Control | 1.5 ± 1.7 (1–3) | 1.2 ± 0.4 (1–2) | 1 | 1.3 ± 0.8 (1–3) | 1.2 ± 0.4 (1–2) | 1 | 1 |
| Sodium hypochlorite | 1.5 ± 1.7 (1–3) | 1–1.4 (1–3) | 1 | 1.3 ± 0.8 (1–3) | 1 | 1 | 1 |
| Chlorhexidine | 1.5 ± 1.7 (1–3) | 1.2 ± 1.3 (1–3) | 1 | 1.3 ± 0.8 (1–3) | 1 | 1 | 1 |
| Dermal matrix ® | 1 ± 1.7 (1–3) | 1.8 ± 1.5 (1–3) | 1.3 ± 0.8 (1–2) | 1.3 ± 0.8 (1–3) | 1.2 ± 0.4 (1–2) | 1 | 1 |
| Micronized dermis system application © | 1.5 ± 1.7 (1–3) | 1.3 ± 1.2 (1–2) | 1 | 1 | 1 | 1 | 1 |
| Mean ± SD | 1.4 ± 1.5 (1–3) | 1.8 ± 1.2 (1–3) | 1.1 ± 0.4 (1–2) | 1.3 ± 0.7 (1–2) | 1.1 ± 0.3 (1–2) | 1 | 1 |
| Group | Time | Group by Time | |
|---|---|---|---|
| Dermal matrix vs. control | 0.815 | 0.001 | 0.825 |
| Micronized dermis vs. control | 0.0635 | <0.0001 | 0.473 |
| Chlorhexidine vs. control | 0.576 | <0.0001 | 0.456 |
| Sodium hypochlorite vs. control | 0.71 | 0 | 0.769 |
| Dermal matrix vs. chlorhexidine | 0.845 | 0.001 | 0.873 |
| Micronized dermis vs. chlorhexidine | 0.837 | <0.0001 | 0.999 |
| Sodium hypochlorite vs. chlorhexidine | 0.855 | <0.0001 | 1 |
| Dermal matrix vs. sodium hypochlorite | 0.959 | 0.002 | 0.958 |
| Micronized dermis vs. sodium hypochlorite | 0.991 | <0.0001 | 0.995 |
| Dermal matrix vs. micronized dermis | 0.949 | 0 | 0.818 |
| Group | T0 | T7 | T14 | T21 | T28 | T35 | T42 |
|---|---|---|---|---|---|---|---|
| Control | 1 | 1 | 1 | 1 | 1 | 1 | 1 |
| Sodium hypochlorite | 1 | 1.2 ± 0.4 | 1 | 1 | 1 | 1 | 1 |
| Chlorhexidine | 1.2 ± 0.4 (1–2) | 1 | 1 | 1 | 1 | 1 | 1 |
| Dermal matrix ® | 1 | 1 | 1 | 1 | 1 | 1 | 1 |
| Micronized dermis system application © | 1 | 1 | 1 | 1 | 1 | 1 | 1 |
| Mean ± SD | 1.03 ± 0.18 (1–2) | 1.03 ± 0.18 (1–2) | 1 | 1 | 1 | 1 | 1 |
| Group | Time | Group by Time | |
|---|---|---|---|
| Dermal matrix vs. control | 1.000 | <0.0001 | 1.000 |
| Micronized dermis vs. control | 1.000 | <0.0001 | 1.000 |
| Chlorhexidine vs. control | 0.549 | <0.0001 | 0.921 |
| Sodium hypochlorite vs. control | 0.549 | <0.0001 | 0.921 |
| Dermal matrix vs. chlorhexidine | 0.549 | <0.0001 | 0.921 |
| Micronized dermis vs. chlorhexidine | 0.549 | <0.0001 | 0.921 |
| Sodium hypochlorite vs. chlorhexidine | 1.000 | <0.0001 | 0.757 |
| Dermal matrix vs. sodium hypochlorite | 0.549 | <0.0001 | 0.921 |
| Micronized dermis vs. sodium hypochlorite | 0.549 | <0.0001 | 0.921 |
| Dermal matrix vs. micronized dermis | 1.000 | <0.0001 | 1.000 |
Disclaimer/Publisher’s Note: The statements, opinions and data contained in all publications are solely those of the individual author(s) and contributor(s) and not of MDPI and/or the editor(s). MDPI and/or the editor(s) disclaim responsibility for any injury to people or property resulting from any ideas, methods, instructions or products referred to in the content. |
© 2024 by the authors. Published by MDPI on behalf of the Lithuanian University of Health Sciences. Licensee MDPI, Basel, Switzerland. This article is an open access article distributed under the terms and conditions of the Creative Commons Attribution (CC BY) license (https://creativecommons.org/licenses/by/4.0/).
Share and Cite
Elia, R.; Maruccia, M.; Di Summa, P.G.; Trisciuzzi, R.; Lovero, G.; Cazzato, G.; Lacitignola, L.; Staffieri, F.; Crovace, A.M. Conventional Versus Regenerative Methods for Wound Healing: A Comparative Experimental Study on a Sheep Model. Medicina 2024, 60, 1836. https://doi.org/10.3390/medicina60111836
Elia R, Maruccia M, Di Summa PG, Trisciuzzi R, Lovero G, Cazzato G, Lacitignola L, Staffieri F, Crovace AM. Conventional Versus Regenerative Methods for Wound Healing: A Comparative Experimental Study on a Sheep Model. Medicina. 2024; 60(11):1836. https://doi.org/10.3390/medicina60111836
Chicago/Turabian StyleElia, Rossella, Michele Maruccia, Pietro Giovanni Di Summa, Rodrigo Trisciuzzi, Giuditta Lovero, Gerardo Cazzato, Luca Lacitignola, Francesco Staffieri, and Alberto Maria Crovace. 2024. "Conventional Versus Regenerative Methods for Wound Healing: A Comparative Experimental Study on a Sheep Model" Medicina 60, no. 11: 1836. https://doi.org/10.3390/medicina60111836
APA StyleElia, R., Maruccia, M., Di Summa, P. G., Trisciuzzi, R., Lovero, G., Cazzato, G., Lacitignola, L., Staffieri, F., & Crovace, A. M. (2024). Conventional Versus Regenerative Methods for Wound Healing: A Comparative Experimental Study on a Sheep Model. Medicina, 60(11), 1836. https://doi.org/10.3390/medicina60111836

