Conservative Treatment for Spontaneous Resolution of Postoperative Symptomatic Thoracic Spinal Epidural Hematoma—A Case Report
Abstract
:1. Introduction
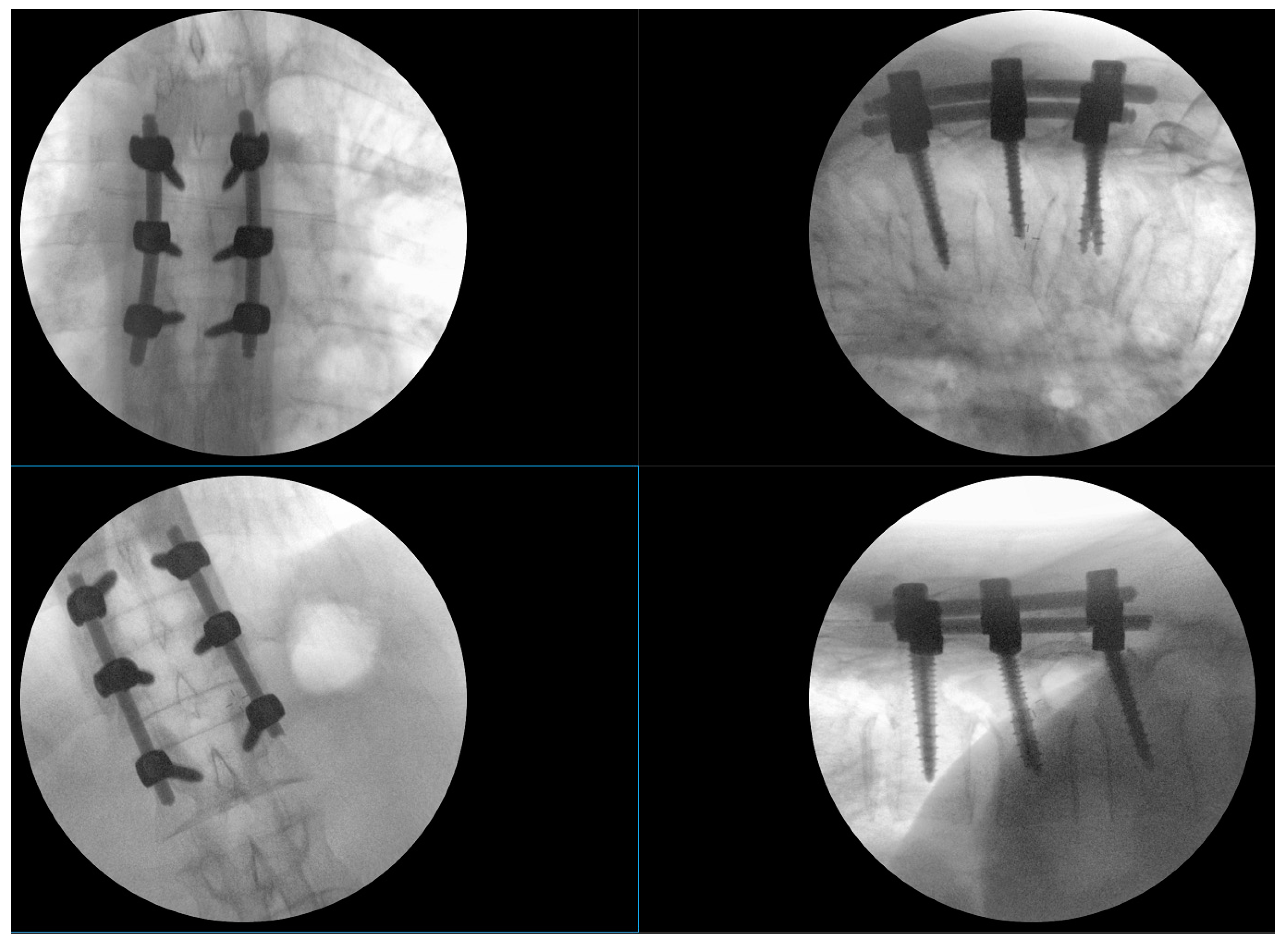
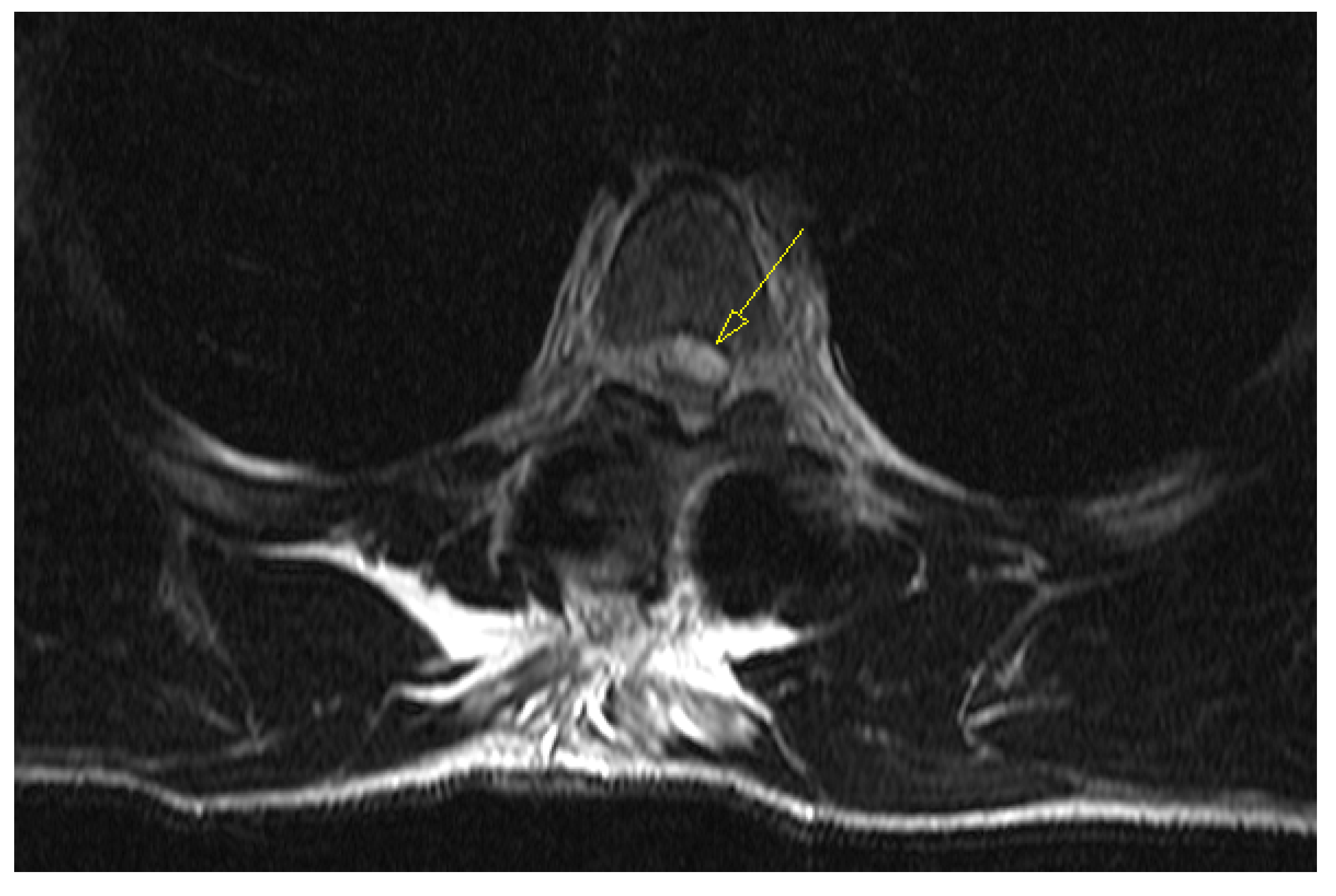
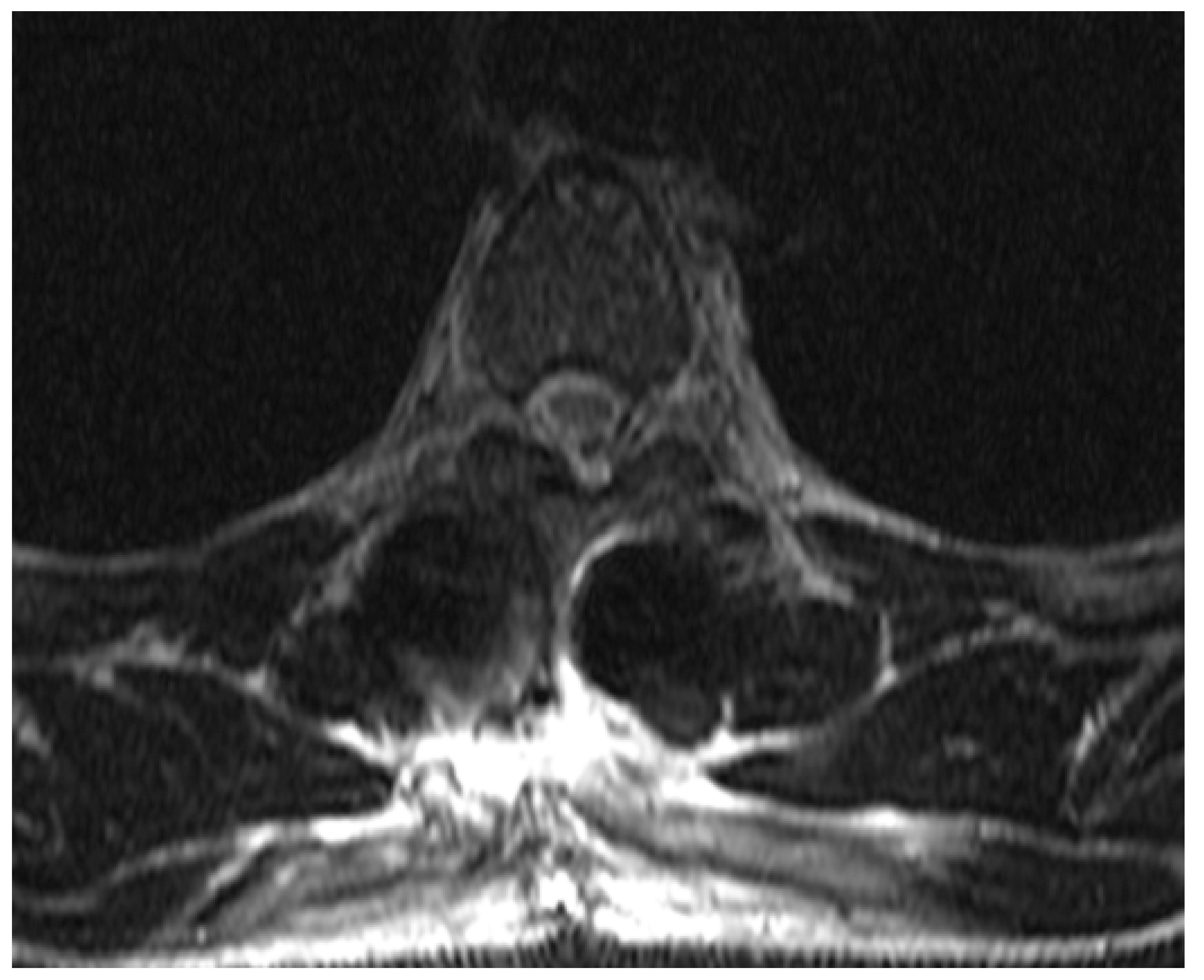
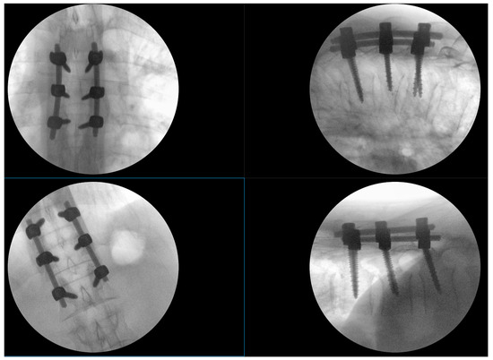
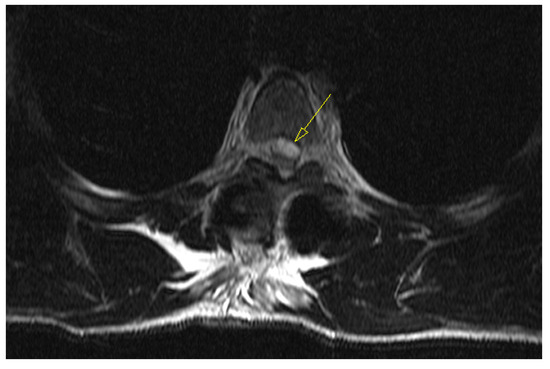
2. Case Report
3. Discussion
4. Conclusions
Author Contributions
Funding
Institutional Review Board Statement
Informed Consent Statement
Data Availability Statement
Conflicts of Interest
References
- Glotzbecker, M.; Bono, C.; Wood, K.; Harris, M. Postoperative Spinal Epidural Hematoma: A Systematic Review. Spine 2010, 35, E413–E420. [Google Scholar] [CrossRef] [PubMed]
- Bhosle, R.; Raju, D.; Patel, S.S.; Aditya, G.; Shukla, J.; Ghosh, N.; Krishnan, P. Spinal Subdural Hematoma Following Epidural Anesthesia. Asian J. Neurosurg. 2023, 18, 347–351. [Google Scholar] [CrossRef] [PubMed]
- Brown, M.W.; Yilmaz, T.S.; Kasper, E.M. Iatrogenic Spinal Hematoma as a Complication of Lumbar Puncture: What Is the Risk and Best Management Plan? Surg. Neurol. Int. 2016, 7, S581–S589. [Google Scholar] [CrossRef] [PubMed]
- Benyaich, Z.; Laghmari, M.; Lmejjati, M.; Aniba, K.; Ghannane, H.; Ait Benali, S. Acute Lumbar Spinal Subdural Hematoma Inducing Paraplegia After Lumbar Spinal Manipulation: Case Report and Literature Review. World Neurosurg. 2019, 128, 182–185. [Google Scholar] [CrossRef] [PubMed]
- Amiri, A.R.; Fouyas, I.P.; Cro, S.; Casey, A.T.H. Postoperative Spinal Epidural Hematoma (SEH): Incidence, Risk Factors, Onset, and Management. Spine J. 2013, 13, 134–140. [Google Scholar] [CrossRef] [PubMed]
- Aono, H.; Ohwada, T.; Hosono, N.; Tobimatsu, H.; Ariga, K.; Fuji, T.; Iwasaki, M. Incidence of Postoperative Symptomatic Epidural Hematoma in Spinal Decompression Surgery. J. Neurosurg. Spine 2011, 15, 202–205. [Google Scholar] [CrossRef] [PubMed]
- Alvarado, A.M.; Porto, G.B.F.; Wessell, J.; Buchholz, A.L.; Arnold, P.M. Venous Thromboprophylaxis in Spine Surgery. Glob. Spine J. 2020, 10, 65S–70S. [Google Scholar] [CrossRef] [PubMed]
- Muthu, S.; Ramakrishnan, E.; Natarajan, K.K.; Chellamuthu, G. Risk-Benefit Analysis of Wound Drain Usage in Spine Surgery: A Systematic Review and Meta-Analysis with Evidence Summary. Eur. Spine J. 2020, 29, 2111–2128. [Google Scholar] [CrossRef] [PubMed]
- Modi, H.N.; Lee, D.Y.; Lee, S.-H. Postoperative Spinal Epidural Hematoma after Microscopic Lumbar Decompression: A Prospective Magnetic Resonance Imaging Study in 89 Patients. J. Spinal Disord. Tech. 2011, 24, 146–150. [Google Scholar] [CrossRef] [PubMed]
- Domenicucci, M.; Mancarella, C.; Santoro, G.; Dugoni, D.E.; Ramieri, A.; Arezzo, M.F.; Missori, P. Spinal Epidural Hematomas: Personal Experience and Literature Review of More than 1000 Cases. J. Neurosurg. Spine 2017, 27, 198–208. [Google Scholar] [CrossRef] [PubMed]
- Butler, A.J.; Mohile, N.; Phillips, F.M. Postoperative Spinal Hematoma and Seroma. J. Am. Acad. Orthop. Surg. 2023, 31, 908–913. [Google Scholar] [CrossRef] [PubMed]
- Kao, F.-C.; Tsai, T.-T.; Chen, L.-H.; Lai, P.-L.; Fu, T.-S.; Niu, C.-C.; Ho, N.Y.-J.; Chen, W.-J.; Chang, C.-J. Symptomatic Epidural Hematoma after Lumbar Decompression Surgery. Eur. Spine J. 2015, 24, 348–357. [Google Scholar] [CrossRef] [PubMed]
- Djurasovic, M.; Campion, C.; Dimar, J.R.; Glassman, S.D.; Gum, J.L. Postoperative Epidural Hematoma. Orthop. Clin. N. Am. 2022, 53, 113–121. [Google Scholar] [CrossRef] [PubMed]
- Sokolowski, M.J.; Garvey, T.A.; Perl, J.; Sokolowski, M.S.; Akesen, B.; Mehbod, A.A.; Mullaney, K.J.; Dykes, D.C.; Transfeldt, E.E. Postoperative Lumbar Epidural Hematoma: Does Size Really Matter? Spine 2008, 33, 114–119. [Google Scholar] [CrossRef] [PubMed]
- Mukerji, N.; Todd, N. Spinal Epidural Haematoma; Factors Influencing Outcome. Br. J. Neurosurg. 2013, 27, 712–717. [Google Scholar] [CrossRef] [PubMed]
- Fattahi, A.; Taheri, M. Spontaneous Resolved Cervical Spine Epidural Hematoma: A Case Report. Surg. Neurol. Int. 2017, 8, 183. [Google Scholar] [CrossRef] [PubMed]
- Jang, J.-W.; Lee, J.-K.; Seo, B.-R.; Kim, S.-H. Spontaneous Resolution of Tetraparesis Because of Postoperative Cervical Epidural Hematoma. Spine J. 2010, 10, e1–e5. [Google Scholar] [CrossRef] [PubMed]






Disclaimer/Publisher’s Note: The statements, opinions and data contained in all publications are solely those of the individual author(s) and contributor(s) and not of MDPI and/or the editor(s). MDPI and/or the editor(s) disclaim responsibility for any injury to people or property resulting from any ideas, methods, instructions or products referred to in the content. |
© 2023 by the authors. Licensee MDPI, Basel, Switzerland. This article is an open access article distributed under the terms and conditions of the Creative Commons Attribution (CC BY) license (https://creativecommons.org/licenses/by/4.0/).
Share and Cite
Dokuzović, S.; Španić, M.; Muthu, S.; Pavešić, J.; Ivandić, S.; Eder, G.; Bošnjak, B.; Prodan, K.; Lončar, Z.; Ćorluka, S. Conservative Treatment for Spontaneous Resolution of Postoperative Symptomatic Thoracic Spinal Epidural Hematoma—A Case Report. Medicina 2023, 59, 1590. https://doi.org/10.3390/medicina59091590
Dokuzović S, Španić M, Muthu S, Pavešić J, Ivandić S, Eder G, Bošnjak B, Prodan K, Lončar Z, Ćorluka S. Conservative Treatment for Spontaneous Resolution of Postoperative Symptomatic Thoracic Spinal Epidural Hematoma—A Case Report. Medicina. 2023; 59(9):1590. https://doi.org/10.3390/medicina59091590
Chicago/Turabian StyleDokuzović, Stjepan, Mario Španić, Sathish Muthu, Jure Pavešić, Stjepan Ivandić, Gregor Eder, Bogdan Bošnjak, Ksenija Prodan, Zoran Lončar, and Stipe Ćorluka. 2023. "Conservative Treatment for Spontaneous Resolution of Postoperative Symptomatic Thoracic Spinal Epidural Hematoma—A Case Report" Medicina 59, no. 9: 1590. https://doi.org/10.3390/medicina59091590
APA StyleDokuzović, S., Španić, M., Muthu, S., Pavešić, J., Ivandić, S., Eder, G., Bošnjak, B., Prodan, K., Lončar, Z., & Ćorluka, S. (2023). Conservative Treatment for Spontaneous Resolution of Postoperative Symptomatic Thoracic Spinal Epidural Hematoma—A Case Report. Medicina, 59(9), 1590. https://doi.org/10.3390/medicina59091590

