Image-Guided Prostate Cryoablation: State-of-the-Art
Abstract
1. Introduction
1.1. Background and Diagnosis
1.2. Prostate Cancer: An Overview
1.3. Primary Prostate Cancer
1.4. Recurrent Prostate Cancer
2. Image-Guided Tumor Ablation in Prostate Cancer
3. The Role of Cryoablation in Prostate Cancer
3.1. Patient Selection for Cryoablation
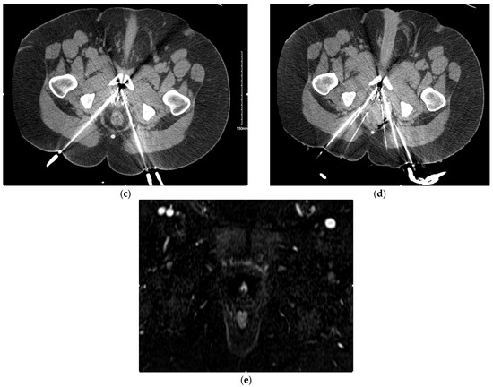
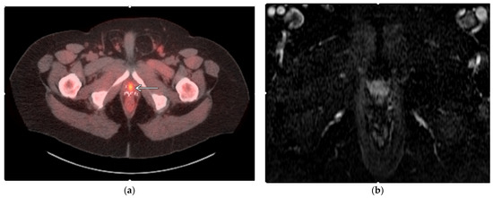
3.2. Technical Component
3.3. Follow-Up
3.4. Limitations
4. Reported Outcomes
5. Conclusions
Author Contributions
Funding
Conflicts of Interest
References
- Culp, M.B.; Soerjomataram, I.; Efstathiou, J.A.; Bray, F.; Jemal, A. Recent Global Patterns in Prostate Cancer Incidence and Mortality Rates. Eur. Urol. 2020, 77, 38–52. [Google Scholar] [CrossRef] [PubMed]
- Cooperberg, M.R.; Lubeck, D.P.; Meng, M.V.; Mehta, S.S.; Carroll, P.R. The changing face of low-risk prostate cancer: Trends in clinical presentation and primary management. J. Clin. Oncol. 2004, 22, 2141–2149. [Google Scholar] [CrossRef]
- Hamdy, F.C.; Donovan, J.L.; Lane, J.A.; Metcalfe, C.; Davis, M.; Turner, E.L.; Martin, R.M.; Young, G.J.; Walsh, E.I.; Bryant, R.J.; et al. Fifteen-Year Outcomes after Monitoring, Surgery, or Radiotherapy for Prostate Cancer. N. Engl. J. Med. 2023, 388, 1547–1558. [Google Scholar] [CrossRef] [PubMed]
- Lei, J.H.; Liu, L.R.; Wei, Q.; Yan, S.B.; Song, T.R.; Lin, F.S.; Yang, L.; Cao, D.H.; Yuan, H.C.; Xue, W.B.; et al. Systematic review and meta-analysis of the survival outcomes of first-line treatment options in high-risk prostate cancer. Sci. Rep. 2015, 5, 7713. [Google Scholar] [CrossRef] [PubMed][Green Version]
- Petrelli, F.; Vavassori, I.; Coinu, A.; Borgonovo, K.; Sarti, E.; Barni, S. Radical prostatectomy or radiotherapy in high-risk prostate cancer: A systematic review and metaanalysis. Clin. Genitourin. Cancer 2014, 12, 215–224. [Google Scholar] [CrossRef]
- Hoffman, K.E.; Penson, D.F.; Zhao, Z.; Huang, L.C.; Conwill, R.; Laviana, A.A.; Joyce, D.D.; Luckenbaugh, A.N.; Goodman, M.; Hamilton, A.S.; et al. Patient-Reported Outcomes through 5 Years for Active Surveillance, Surgery, Brachytherapy, or External Beam Radiation with or without Androgen Deprivation Therapy for Localized Prostate Cancer. JAMA 2020, 323, 149–163. [Google Scholar] [CrossRef]
- Mottet, N.; Bellmunt, J.; Bolla, M.; Briers, E.; Cumberbatch, M.G.; De Santis, M.; Fossati, N.; Gross, T.; Henry, A.M.; Joniau, S.; et al. EAU-ESTRO-SIOG Guidelines on Prostate Cancer. Part 1: Screening, Diagnosis, and Local Treatment with Curative Intent. Eur. Urol. 2017, 71, 618–629. [Google Scholar] [CrossRef]
- Onik, G.; Narayan, P.; Vaughan, D.; Dineen, M.; Brunelle, R. Focal “nerve-sparing” cryosurgery for treatment of primary prostate cancer: A new approach to preserving potency. Urology 2002, 60, 109–114. [Google Scholar] [CrossRef]
- Onik, G.M.; Cohen, J.K.; Reyes, G.D.; Rubinsky, B.; Chang, Z.; Baust, J. Transrectal ultrasound-guided percutaneous radical cryosurgical ablation of the prostate. Cancer 1993, 72, 1291–1299. [Google Scholar] [CrossRef]
- Ehdaie, B.; Tempany, C.M.; Holland, F.; Sjoberg, D.D.; Kibel, A.S.; Trinh, Q.D.; Durack, J.C.; Akin, O.; Vickers, A.J.; Scardino, P.T.; et al. MRI-guided focused ultrasound focal therapy for patients with intermediate-risk prostate cancer: A phase 2b, multicentre study. Lancet Oncol. 2022, 23, 910–918. [Google Scholar] [CrossRef]
- Woodrum, D.A.; Kawashima, A.; Gorny, K.R.; Mynderse, L.A. Magnetic Resonance-Guided Prostate Ablation. Semin. Intervent. Radiol. 2019, 36, 351–366. [Google Scholar] [CrossRef] [PubMed]
- Gardner, T.A.; Koch, M.O. Prostate cancer therapy with high-intensity focused ultrasound. Clin. Genitourin. Cancer 2005, 4, 187–192. [Google Scholar] [CrossRef] [PubMed]
- Arcot, R.; Polascik, T.J. Evolution of Focal Therapy in Prostate Cancer: Past, Present, and Future. Urol. Clin. N. Am. 2022, 49, 129–152. [Google Scholar] [CrossRef] [PubMed]
- Bozzini, G.; Colin, P.; Nevoux, P.; Villers, A.; Mordon, S.; Betrouni, N. Focal therapy of prostate cancer: Energies and procedures. Urol. Oncol. 2013, 31, 155–167. [Google Scholar] [CrossRef]
- Valerio, M.; Cerantola, Y.; Eggener, S.E.; Lepor, H.; Polascik, T.J.; Villers, A.; Emberton, M. New and Established Technology in Focal Ablation of the Prostate: A Systematic Review. Eur. Urol. 2017, 71, 17–34. [Google Scholar] [CrossRef]
- Vickers, A.J.; Ulmert, D.; Sjoberg, D.D.; Bennette, C.J.; Björk, T.; Gerdtsson, A.; Manjer, J.; Nilsson, P.M.; Dahlin, A.; Bjartell, A.; et al. Strategy for detection of prostate cancer based on relation between prostate specific antigen at age 40-55 and long term risk of metastasis: Case-control study. BMJ 2013, 346, f2023. [Google Scholar] [CrossRef]
- Weinreb, J.C.; Barentsz, J.O.; Choyke, P.L.; Cornud, F.; Haider, M.A.; Macura, K.J.; Margolis, D.; Schnall, M.D.; Shtern, F.; Tempany, C.M.; et al. PI-RADS Prostate Imaging—Reporting and Data System: 2015, Version 2. Eur. Urol. 2016, 69, 16–40. [Google Scholar] [CrossRef]
- Hambrock, T.; Somford, D.M.; Huisman, H.J.; van Oort, I.M.; Witjes, J.A.; Hulsbergen-van de Kaa, C.A.; Scheenen, T.; Barentsz, J.O. Relationship between apparent diffusion coefficients at 3.0-T MR imaging and Gleason grade in peripheral zone prostate cancer. Radiology 2011, 259, 453–461. [Google Scholar] [CrossRef]
- Rouvière, O.; Puech, P.; Renard-Penna, R.; Claudon, M.; Roy, C.; Mège-Lechevallier, F.; Decaussin-Petrucci, M.; Dubreuil-Chambardel, M.; Magaud, L.; Remontet, L.; et al. Use of prostate systematic and targeted biopsy on the basis of multiparametric MRI in biopsy-naive patients (MRI-FIRST): A prospective, multicentre, paired diagnostic study. Lancet Oncol. 2019, 20, 100–109. [Google Scholar] [CrossRef]
- Kasivisvanathan, V.; Rannikko, A.S.; Borghi, M.; Panebianco, V.; Mynderse, L.A.; Vaarala, M.H.; Briganti, A.; Budäus, L.; Hellawell, G.; Hindley, R.G.; et al. MRI-Targeted or Standard Biopsy for Prostate-Cancer Diagnosis. N. Engl. J. Med. 2018, 378, 1767–1777. [Google Scholar] [CrossRef]
- Heidenreich, A.; Bastian, P.J.; Bellmunt, J.; Bolla, M.; Joniau, S.; van der Kwast, T.; Mason, M.; Matveev, V.; Wiegel, T.; Zattoni, F.; et al. EAU guidelines on prostate cancer. part 1: Screening, diagnosis, and local treatment with curative intent-update 2013. Eur. Urol. 2014, 65, 124–137. [Google Scholar] [CrossRef] [PubMed]
- Mottet, N.; van den Bergh, R.C.N.; Briers, E.; Van den Broeck, T.; Cumberbatch, M.G.; De Santis, M.; Fanti, S.; Fossati, N.; Gandaglia, G.; Gillessen, S.; et al. EAU-EANM-ESTRO-ESUR-SIOG Guidelines on Prostate Cancer-2020 Update. Part 1: Screening, Diagnosis, and Local Treatment with Curative Intent. Eur. Urol. 2021, 79, 243–262. [Google Scholar] [CrossRef] [PubMed]
- Wang, A.; O’Connor, L.P.; Yerram, N.K.; Nandanan, N.; Ahdoot, M.; Lebastchi, A.H.; Gurram, S.; Chalfin, H.; Pinto, P.A. Focal therapy for prostate cancer: Recent advances and future directions. Clin. Adv. Hematol. Oncol. 2020, 18, 116–125. [Google Scholar]
- Martin, R.M.; Donovan, J.L.; Turner, E.L.; Metcalfe, C.; Young, G.J.; Walsh, E.I.; Lane, J.A.; Noble, S.; Oliver, S.E.; Evans, S.; et al. Effect of a Low-Intensity PSA-Based Screening Intervention on Prostate Cancer Mortality: The CAP Randomized Clinical Trial. JAMA 2018, 319, 883–895. [Google Scholar] [CrossRef] [PubMed]
- Valerio, M.; Shah, T.T.; Shah, P.; Mccartan, N.; Emberton, M.; Arya, M.; Ahmed, H.U. Magnetic resonance imaging-transrectal ultrasound fusion focal cryotherapy of the prostate: A prospective development study. Urol. Oncol. 2017, 35, 150.e151–150.e157. [Google Scholar] [CrossRef] [PubMed]
- Wallis, C.J.D.; Saskin, R.; Choo, R.; Herschorn, S.; Kodama, R.T.; Satkunasivam, R.; Shah, P.S.; Danjoux, C.; Nam, R.K. Surgery Versus Radiotherapy for Clinically-localized Prostate Cancer: A Systematic Review and Meta-analysis. Eur. Urol. 2016, 70, 21–30. [Google Scholar] [CrossRef]
- Potosky, A.L.; Davis, W.W.; Hoffman, R.M.; Stanford, J.L.; Stephenson, R.A.; Penson, D.F.; Harlan, L.C. Five-year outcomes after prostatectomy or radiotherapy for prostate cancer: The prostate cancer outcomes study. J. Natl. Cancer Inst. 2004, 96, 1358–1367. [Google Scholar] [CrossRef]
- Freedland, S.J.; Humphreys, E.B.; Mangold, L.A.; Eisenberger, M.; Dorey, F.J.; Walsh, P.C.; Partin, A.W. Risk of prostate cancer-specific mortality following biochemical recurrence after radical prostatectomy. JAMA 2005, 294, 433–439. [Google Scholar] [CrossRef]
- Trock, B.J.; Han, M.; Freedland, S.J.; Humphreys, E.B.; DeWeese, T.L.; Partin, A.W.; Walsh, P.C. Prostate cancer-specific survival following salvage radiotherapy vs observation in men with biochemical recurrence after radical prostatectomy. JAMA 2008, 299, 2760–2769. [Google Scholar] [CrossRef]
- Stephenson, A.J.; Scardino, P.T.; Kattan, M.W.; Pisansky, T.M.; Slawin, K.M.; Klein, E.A.; Anscher, M.S.; Michalski, J.M.; Sandler, H.M.; Lin, D.W.; et al. Predicting the outcome of salvage radiation therapy for recurrent prostate cancer after radical prostatectomy. J. Clin. Oncol. 2007, 25, 2035–2041. [Google Scholar] [CrossRef]
- Uddin Ahmed, H.; Cathcart, P.; Chalasani, V.; Williams, A.; McCartan, N.; Freeman, A.; Kirkham, A.; Allen, C.; Chin, J.; Emberton, M. Whole-gland salvage high-intensity focused ultrasound therapy for localized prostate cancer recurrence after external beam radiation therapy. Cancer 2012, 118, 3071–3078. [Google Scholar] [CrossRef] [PubMed]
- Woodrum, D.A.; Kawashima, A.; Karnes, R.J.; Davis, B.J.; Frank, I.; Engen, D.E.; Gorny, K.R.; Felmlee, J.P.; Callstrom, M.R.; Mynderse, L.A. Magnetic resonance imaging-guided cryoablation of recurrent prostate cancer after radical prostatectomy: Initial single institution experience. Urology 2013, 82, 870–875. [Google Scholar] [CrossRef] [PubMed]
- Gotto, G.T.; Yunis, L.H.; Vora, K.; Eastham, J.A.; Scardino, P.T.; Rabbani, F. Impact of prior prostate radiation on complications after radical prostatectomy. J. Urol. 2010, 184, 136–142. [Google Scholar] [CrossRef]
- Heidenreich, A.; Bastian, P.J.; Bellmunt, J.; Bolla, M.; Joniau, S.; van der Kwast, T.; Mason, M.; Matveev, V.; Wiegel, T.; Zattoni, F.; et al. EAU guidelines on prostate cancer. Part II: Treatment of advanced, relapsing, and castration-resistant prostate cancer. Eur. Urol. 2014, 65, 467–479. [Google Scholar] [CrossRef] [PubMed]
- Duchesne, G.M.; Woo, H.H.; Bassett, J.K.; Bowe, S.J.; D’Este, C.; Frydenberg, M.; King, M.; Ledwich, L.; Loblaw, A.; Malone, S.; et al. Timing of androgen-deprivation therapy in patients with prostate cancer with a rising PSA (TROG 03.06 and VCOG PR 01-03 [TOAD]): A randomised, multicentre, non-blinded, phase 3 trial. Lancet Oncol. 2016, 17, 727–737. [Google Scholar] [CrossRef] [PubMed]
- Keating, N.L.; O’Malley, A.J.; Freedland, S.J.; Smith, M.R. Diabetes and cardiovascular disease during androgen deprivation therapy: Observational study of veterans with prostate cancer. J. Natl. Cancer Inst. 2010, 102, 39–46. [Google Scholar] [CrossRef]
- Saigal, C.S.; Gore, J.L.; Krupski, T.L.; Hanley, J.; Schonlau, M.; Litwin, M.S.; Project, U.D.i.A. Androgen deprivation therapy increases cardiovascular morbidity in men with prostate cancer. Cancer 2007, 110, 1493–1500. [Google Scholar] [CrossRef]
- Crawford, E.D.; Moul, J.W. ADT risks and side effects in advanced prostate cancer: Cardiovascular and acute renal injury. Oncology 2015, 29, 55–58, 65–66. [Google Scholar]
- Nanda, A.; Chen, M.H.; Braccioforte, M.H.; Moran, B.J.; D’Amico, A.V. Hormonal therapy use for prostate cancer and mortality in men with coronary artery disease-induced congestive heart failure or myocardial infarction. JAMA 2009, 302, 866–873. [Google Scholar] [CrossRef]
- Ahmed, H.U. The index lesion and the origin of prostate cancer. N. Engl. J. Med. 2009, 361, 1704–1706. [Google Scholar] [CrossRef]
- Algaba, F.; Montironi, R. Impact of prostate cancer multifocality on its biology and treatment. J. Endourol. 2010, 24, 799–804. [Google Scholar] [CrossRef] [PubMed]
- Fernández-Pascual, E.; Manfredi, C.; Martín, C.; Martínez-Ballesteros, C.; Balmori, C.; Lledó-García, E.; Quintana, L.M.; Curvo, R.; Carballido-Rodríguez, J.; Bianco, F.J.; et al. mpMRI-US Fusion-Guided Targeted Cryotherapy in Patients with Primary Localized Prostate Cancer: A Prospective Analysis of Oncological and Functional Outcomes. Cancers 2022, 14, 2988. [Google Scholar] [CrossRef]
- Kinsman, K.A.; White, M.L.; Mynderse, L.A.; Kawashima, A.; Rampton, K.; Gorny, K.R.; Atwell, T.D.; Felmlee, J.P.; Callstrom, M.R.; Woodrum, D.A. Whole-Gland Prostate Cancer Cryoablation with Magnetic Resonance Imaging Guidance: One-Year Follow-Up. Cardiovasc. Intervent. Radiol. 2018, 41, 344–349. [Google Scholar] [CrossRef] [PubMed]
- Gangi, A.; Tsoumakidou, G.; Abdelli, O.; Buy, X.; de Mathelin, M.; Jacqmin, D.; Lang, H. Percutaneous MR-guided cryoablation of prostate cancer: Initial experience. Eur. Radiol. 2012, 22, 1829–1835. [Google Scholar] [CrossRef] [PubMed]
- De Marini, P.; Cazzato, R.L.; Garnon, J.; Tricard, T.; Koch, G.; Tsoumakidou, G.; Ramamurthy, N.; Lang, H.; Gangi, A. Percutaneous MR-guided whole-gland prostate cancer cryoablation: Safety considerations and oncologic results in 30 consecutive patients. Br. J. Radiol. 2019, 92, 20180965. [Google Scholar] [CrossRef] [PubMed]
- Overduin, C.G.; Jenniskens, S.F.M.; Sedelaar, J.P.M.; Bomers, J.G.R.; Fütterer, J.J. Percutaneous MR-guided focal cryoablation for recurrent prostate cancer following radiation therapy: Retrospective analysis of iceball margins and outcomes. Eur. Radiol. 2017, 27, 4828–4836. [Google Scholar] [CrossRef]
- Bomers, J.G.; Yakar, D.; Overduin, C.G.; Sedelaar, J.P.; Vergunst, H.; Barentsz, J.O.; de Lange, F.; Fütterer, J.J. MR imaging-guided focal cryoablation in patients with recurrent prostate cancer. Radiology 2013, 268, 451–460. [Google Scholar] [CrossRef]
- Eastham, J.A.; Auffenberg, G.B.; Barocas, D.A.; Chou, R.; Crispino, T.; Davis, J.W.; Eggener, S.; Horwitz, E.M.; Kane, C.J.; Kirkby, E.; et al. Clinically Localized Prostate Cancer: AUA/ASTRO Guideline, Part I: Introduction, Risk Assessment, Staging, and Risk-Based Management. J. Urol. 2022, 208, 10–18. [Google Scholar] [CrossRef]
- Ginsburg, K.B.; Elshafei, A.; Yu, C.; Jones, J.S.; Cher, M.L. Avoidance of androgen deprivation therapy in radiorecurrent prostate cancer as a clinically meaningful endpoint for salvage cryoablation. Prostate 2017, 77, 1446–1450. [Google Scholar] [CrossRef]
- de la Rosette, J.; Ahmed, H.; Barentsz, J.; Johansen, T.B.; Brausi, M.; Emberton, M.; Frauscher, F.; Greene, D.; Harisinghani, M.; Haustermans, K.; et al. Focal therapy in prostate cancer-report from a consensus panel. J. Endourol. 2010, 24, 775–780. [Google Scholar] [CrossRef]
- Edison, E.; Tariq Shah, T.; Ahmed, H.U. Focal Ablation of Early-Stage Prostate Cancer: Candidate Selection, Treatment Guidance, and Assessment of Outcome. Urol. Clin. N. Am. 2017, 44, 575–585. [Google Scholar] [CrossRef] [PubMed]
- Tay, K.J.; Polascik, T.J.; Elshafei, A.; Tsivian, E.; Jones, J.S. Propensity Score-Matched Comparison of Partial to Whole-Gland Cryotherapy for Intermediate-Risk Prostate Cancer: An Analysis of the Cryo On-Line Data Registry Data. J. Endourol. 2017, 31, 564–571. [Google Scholar] [CrossRef] [PubMed]
- Uchida, T.; Shoji, S.; Nakano, M.; Hongo, S.; Nitta, M.; Usui, Y.; Nagata, Y. High-intensity focused ultrasound as salvage therapy for patients with recurrent prostate cancer after external beam radiation, brachytherapy or proton therapy. BJU Int. 2011, 107, 378–382. [Google Scholar] [CrossRef] [PubMed]
- Phillips, R.; Shi, W.Y.; Deek, M.; Radwan, N.; Lim, S.J.; Antonarakis, E.S.; Rowe, S.P.; Ross, A.E.; Gorin, M.A.; Deville, C.; et al. Outcomes of Observation vs Stereotactic Ablative Radiation for Oligometastatic Prostate Cancer: The ORIOLE Phase 2 Randomized Clinical Trial. JAMA Oncol. 2020, 6, 650–659. [Google Scholar] [CrossRef]
- Campbell, C.; Lubner, M.G.; Hinshaw, J.L.; Muñoz del Rio, A.; Brace, C.L. Contrast media-doped hydrodissection during thermal ablation: Optimizing contrast media concentration for improved visibility on CT images. AJR Am. J. Roentgenol. 2012, 199, 677–682. [Google Scholar] [CrossRef]
- Tay, K.J.; Amin, M.B.; Ghai, S.; Jimenez, R.E.; Kench, J.G.; Klotz, L.; Montironi, R.; Muto, S.; Rastinehad, A.R.; Turkbey, B.; et al. Surveillance after prostate focal therapy. World J. Urol. 2019, 37, 397–407. [Google Scholar] [CrossRef]
- Muller, B.G.; van den Bos, W.; Brausi, M.; Fütterer, J.J.; Ghai, S.; Pinto, P.A.; Popeneciu, I.V.; de Reijke, T.M.; Robertson, C.; de la Rosette, J.J.; et al. Follow-up modalities in focal therapy for prostate cancer: Results from a Delphi consensus project. World J. Urol. 2015, 33, 1503–1509. [Google Scholar] [CrossRef]
- Lebastchi, A.H.; George, A.K.; Polascik, T.J.; Coleman, J.; de la Rosette, J.; Turkbey, B.; Wood, B.J.; Gorin, M.A.; Sidana, A.; Ghai, S.; et al. Standardized Nomenclature and Surveillance Methodologies After Focal Therapy and Partial Gland Ablation for Localized Prostate Cancer: An International Multidisciplinary Consensus. Eur. Urol. 2020, 78, 371–378. [Google Scholar] [CrossRef]
- Eggener, S.E.; Yousuf, A.; Watson, S.; Wang, S.; Oto, A. Phase II Evaluation of Magnetic Resonance Imaging Guided Focal Laser Ablation of Prostate Cancer. J. Urol. 2016, 196, 1670–1675. [Google Scholar] [CrossRef]
- Guillaumier, S.; Peters, M.; Arya, M.; Afzal, N.; Charman, S.; Dudderidge, T.; Hosking-Jervis, F.; Hindley, R.G.; Lewi, H.; McCartan, N.; et al. A Multicentre Study of 5-year Outcomes Following Focal Therapy in Treating Clinically Significant Nonmetastatic Prostate Cancer. Eur. Urol. 2018, 74, 422–429. [Google Scholar] [CrossRef]
- Walser, E.; Nance, A.; Ynalvez, L.; Yong, S.; Aoughsten, J.S.; Eyzaguirre, E.J.; Williams, S.B. Focal Laser Ablation of Prostate Cancer: Results in 120 Patients with Low- to Intermediate-Risk Disease. J. Vasc. Interv. Radiol. 2019, 30, 401–409.e402. [Google Scholar] [CrossRef] [PubMed]
- Ahdoot, M.; Lebastchi, A.H.; Turkbey, B.; Wood, B.; Pinto, P.A. Contemporary treatments in prostate cancer focal therapy. Curr. Opin. Oncol. 2019, 31, 200–206. [Google Scholar] [CrossRef] [PubMed]
- Klotz, L.; Pavlovich, C.P.; Chin, J.; Hatiboglu, G.; Koch, M.; Penson, D.; Raman, S.; Oto, A.; Fütterer, J.; Serrallach, M.; et al. Magnetic Resonance Imaging-Guided Transurethral Ultrasound Ablation of Prostate Cancer. J. Urol. 2021, 205, 769–779. [Google Scholar] [CrossRef] [PubMed]
- Chopra, R.; Colquhoun, A.; Burtnyk, M.; N’djin, W.A.; Kobelevskiy, I.; Boyes, A.; Siddiqui, K.; Foster, H.; Sugar, L.; Haider, M.A.; et al. MR imaging-controlled transurethral ultrasound therapy for conformal treatment of prostate tissue: Initial feasibility in humans. Radiology 2012, 265, 303–313. [Google Scholar] [CrossRef]
- Baskin, A.; Charondo, L.B.; Balakrishnan, A.; Cowan, J.E.; Cooperberg, M.R.; Carroll, P.R.; Nguyen, H.; Shinohara, K. Medium Term Outcomes of Focal Cryoablation for Intermediate and High Risk Prostate Cancer: MRI and PSA are Not Predictive of Residual or Recurrent Disease. Urol. Oncol. 2022, 40, 451.e415–451.e420. [Google Scholar] [CrossRef]
- Campbell, S.P.; Deivasigamani, S.; Arcot, R.; Adams, E.S.; Orabi, H.; Elshafei, A.; Tan, W.P.; Davis, L.; Wu, Y.; Chang, A.; et al. Salvage Cryoablation for Recurrent Prostate Cancer Following Primary External Beam Radiotherapy or Primary Cryotherapy: A Propensity Score Matched Analysis of Mid-term Oncologic and Functional Outcomes. Clin. Genitourin. Cancer 2023. [Google Scholar] [CrossRef]
- Cornelis, F.; Havez, M.; Le Bras, Y.; Descat, E.; Richaud, P.; Grenier, N. Salvage CT-guided transgluteal cryoablation for locally recurrent prostate cancer: Initial experiences. J. Vasc. Interv. Radiol. 2013, 24, 685–689. [Google Scholar] [CrossRef]
- Blazevski, A.; Geboers, B.; Scheltema, M.J.; Gondoputro, W.; Doan, P.; Katelaris, A.; Agrawal, S.; Baretto, D.; Matthews, J.; Haynes, A.M.; et al. Salvage irreversible electroporation for radio-recurrent prostate cancer—The prospective FIRE trial. BJU Int. 2023, 131 (Suppl. S4), 23–31. [Google Scholar] [CrossRef]
- Haas, J.A.; Mendez, C.; Sanchez, A.; Mirza, A.; Carpenter, T.J.; Witten, M.R.; Demircioglu, G.; Katz, A.E.; Repka, M.C.; Blacksburg, S.R. Evidence of Stage Migration to Higher Risk Prostate Cancer and its Financial Implications in a Single Institution. Int. J. Radiat. Oncol. Biol. Phys. 2019, 105, E277. [Google Scholar] [CrossRef]
- Boehm, K.; Borgmann, H.; Ebert, T.; Höfner, T.; Khaljani, E.; Schmid, M.; Schulze-Seemann, W.; Weib, P.; Herden, J. Stage and Grade Migration in Prostate Cancer Treated with Radical Prostatectomy in a Large German Multicenter Cohort. Clin. Genitourin. Cancer 2021, 19, 162–166.e161. [Google Scholar] [CrossRef]
- Di Mauro, E.; Di Bello, F.; Califano, G.; Morra, S.; Creta, M.; Celentano, G.; Abate, M.; Fraia, A.; Pezone, G.; Marino, C.; et al. Incidence and Predicting Factors of Histopathological Features at Robot-Assisted Radical Prostatectomy in the mpMRI Era: Results of a Single Tertiary Referral Center. Medicina 2023, 59, 625. [Google Scholar] [CrossRef] [PubMed]




| Year | Authors | Whole Gland/Focal | Image Guidance | Thermal Modality | Number of Patients Treated | Type of Study | Reference |
|---|---|---|---|---|---|---|---|
| 2002 | Onik et al. | Focal | Ultrasound | Cryoablation | 9 | Retrospective | [8] |
| 2012 | Gangi et al. | Whole gland | MRI | Cryoablation | 11 | Retrospective | [44] |
| 2012 | Chopra et al. | Whole gland | MRI | HIFU | 8 | Retrospective | [64] |
| 2012 | Uddin Ahmed et al. | Whole gland | Ultrasound | HIFU | 84 | Retrospective | [31] |
| 2013 | Woodrum et al. | Focal | MRI | Cryoablation | 18 | Retrospective | [32] |
| 2013 | Bomers et al. | Focal | MRI | Cryoablation | 10 | Retrospective | [47] |
| 2016 | Eggener et al. | Focal | MRI | Laser | 27 | Phase 2 trial | [59] |
| 2017 | Klotz et al. | Whole gland | MRI | Laser | 115 | Prospective | [63] |
| 2017 | Valerio et al. | Focal | MRI/US fusion | Cryoablation | 18 | Prospective | [25] |
| 2017 | Overduin et al. | Focal | MRI | Cryoablation | 47 | Retrospective | [46] |
| 2018 | Kinsman et al. | Whole gland | MRI | Cryoablation | 4 | Retrospective | [43] |
| 2019 | De Marini et al. | Whole gland | MRI | Cryoablation | 30 | Retrospective | [45] |
| 2019 | Walser et al. | Focal | MRI | Laser | 120 | Prospective | [61] |
| 2022 | Ehdaie et al. | Focal | MRI | HIFU | 101 | Multicentre, phase 2b study | [10] |
| 2022 | Fernández-Pascual et al. | Focal | MRI/US fusion | Cryoablation | 75 | Prospective | [42] |
| 2022 | Baskin et al. | Focal | US | Cryoablation | 75 | Retrospective | [65] |
Disclaimer/Publisher’s Note: The statements, opinions and data contained in all publications are solely those of the individual author(s) and contributor(s) and not of MDPI and/or the editor(s). MDPI and/or the editor(s) disclaim responsibility for any injury to people or property resulting from any ideas, methods, instructions or products referred to in the content. |
© 2023 by the authors. Licensee MDPI, Basel, Switzerland. This article is an open access article distributed under the terms and conditions of the Creative Commons Attribution (CC BY) license (https://creativecommons.org/licenses/by/4.0/).
Share and Cite
Ramalingam, V.; McCarthy, C.J.; Degerstedt, S.; Ahmed, M. Image-Guided Prostate Cryoablation: State-of-the-Art. Medicina 2023, 59, 1589. https://doi.org/10.3390/medicina59091589
Ramalingam V, McCarthy CJ, Degerstedt S, Ahmed M. Image-Guided Prostate Cryoablation: State-of-the-Art. Medicina. 2023; 59(9):1589. https://doi.org/10.3390/medicina59091589
Chicago/Turabian StyleRamalingam, Vijay, Colin J. McCarthy, Spencer Degerstedt, and Muneeb Ahmed. 2023. "Image-Guided Prostate Cryoablation: State-of-the-Art" Medicina 59, no. 9: 1589. https://doi.org/10.3390/medicina59091589
APA StyleRamalingam, V., McCarthy, C. J., Degerstedt, S., & Ahmed, M. (2023). Image-Guided Prostate Cryoablation: State-of-the-Art. Medicina, 59(9), 1589. https://doi.org/10.3390/medicina59091589
