Post-Cholecystectomy Right Hepatic Artery Pseudoaneurysm Induced by Generalized Seizure: A Case Report
Abstract
:1. Introduction
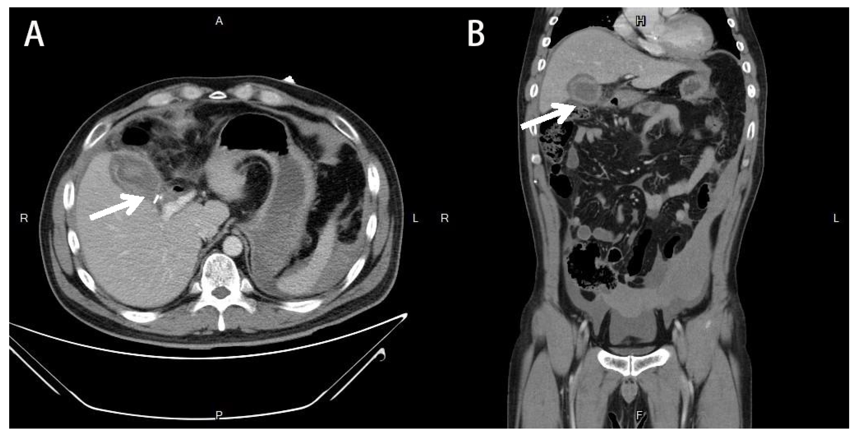
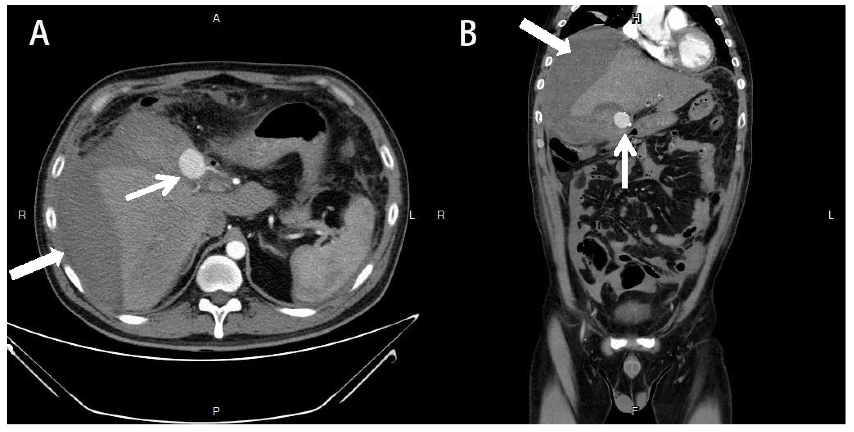
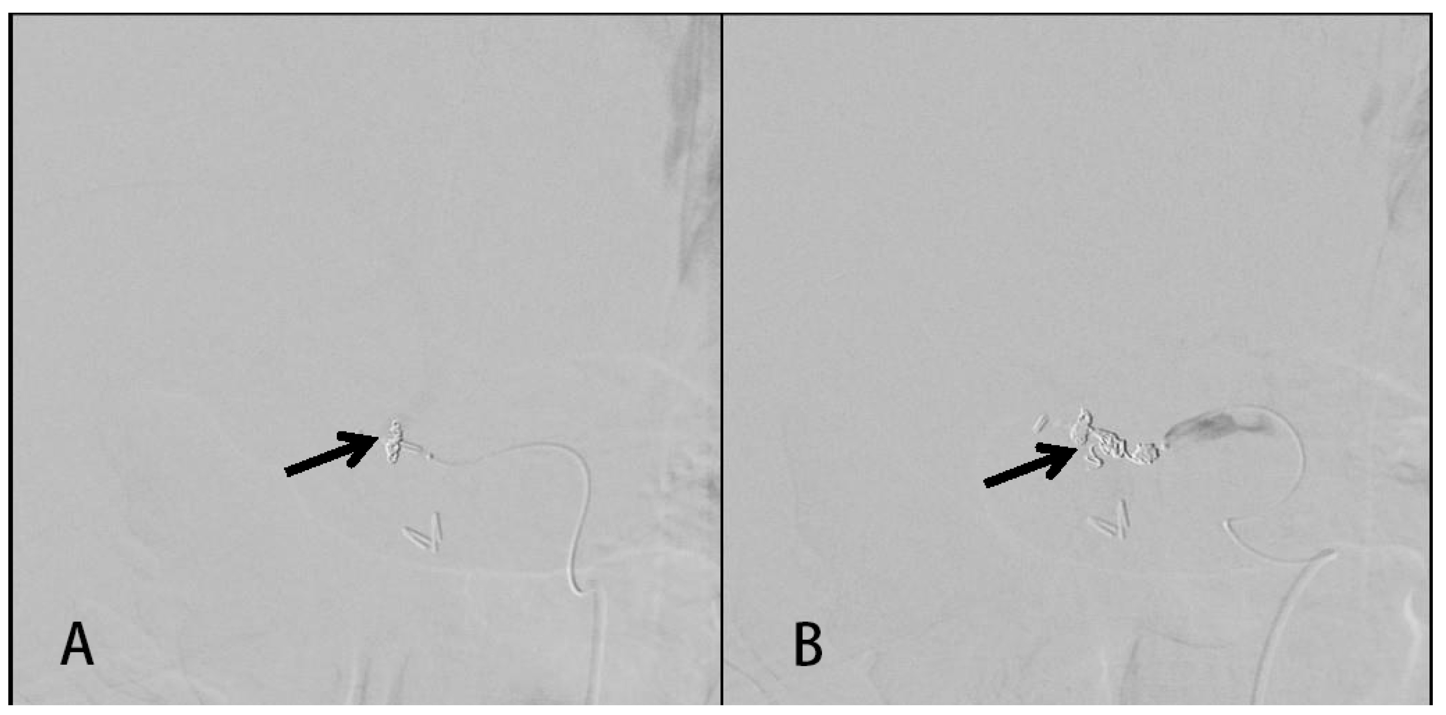
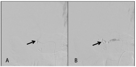
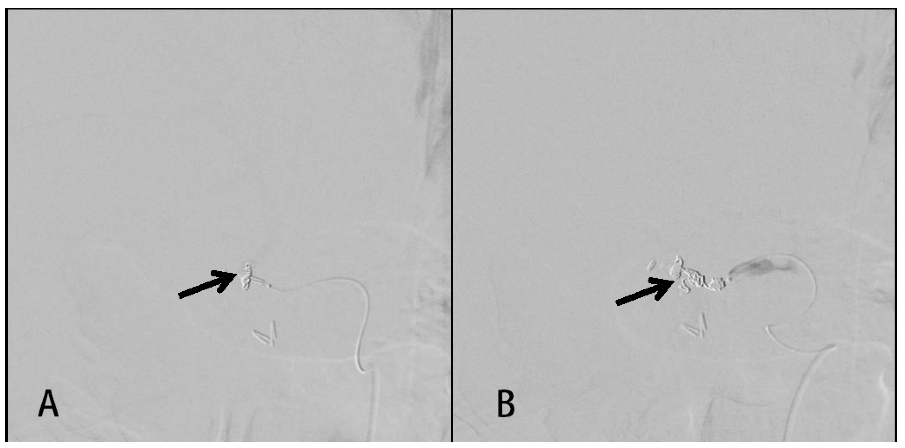
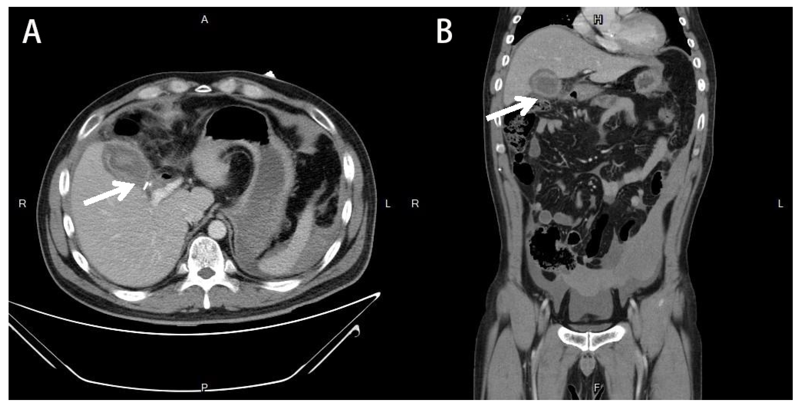
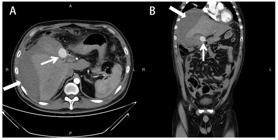
2. Detailed Case Description
3. Discussion
4. Conclusions
Author Contributions
Funding
Institutional Review Board Statement
Informed Consent Statement
Data Availability Statement
Acknowledgments
Conflicts of Interest
References
- Thurley, P.D.; Dhingsa, R. Laparoscopic cholecystectomy: Postoperative imaging. AJR Am. J. Roentgenol. 2008, 191, 794–801. [Google Scholar] [CrossRef] [PubMed]
- Bishoff, J.T.; Allaf, M.E.; Kirkels, W.; Moore, R.G.; Kavoussi, L.R.; Schroder, F. Laparoscopic bowel injury: Incidence and clinical presentation. J. Urol. 1999, 161, 887–890. [Google Scholar] [CrossRef]
- Schäfer, M.; Lauper, M.; Krähenbühl, L. A nation’s experience of bleeding complications during laparoscopy. Am. J. Surg. 2000, 180, 73–77. [Google Scholar] [CrossRef]
- Taghavi, S.M.J.; Jaya Kumar, M.; Damodaran Prabha, R.; Puhalla, H.; Sommerville, C. Cystic Artery Pseudoaneurysm: Current Review of Aetiology, Presentation, and Management. Surg. Res. Pract. 2021, 2021, 4492206. [Google Scholar] [CrossRef] [PubMed]
- Machado, N.O.; Al-Zadjali, A.; Kakaria, A.K.; Younus, S.; Rahim, M.A.; Al-Sukaiti, R. Hepatic or Cystic Artery Pseudoaneurysms Following a Laparoscopic Cholecystectomy: Literature review of aetiopathogenesis, presentation, diagnosis and management. Sultan Qaboos Univ. Med. J. 2017, 17, e135–e146. [Google Scholar] [CrossRef] [PubMed]
- Sansonna, F.; Boati, S.; Sguinzi, R.; Migliorisi, C.; Pugliese, F.; Pugliese, R. Severe hemobilia from hepatic artery pseudoaneurysm. Case Rep. Gastrointest. Med. 2011, 2011, 925142. [Google Scholar] [CrossRef] [PubMed]
- Strasberg, S.M.; Helton, W.S. An analytical review of vasculobiliary injury in laparoscopic and open cholecystectomy. HPB 2011, 13, 1–14. [Google Scholar] [CrossRef] [PubMed] [Green Version]
- Berry, R.; Han, J.Y.; Kardashian, A.A.; LaRusso, N.F.; Tabibian, J.H. Hemobilia: Etiology, diagnosis, and treatment. Liver Res. 2018, 2, 200–208. [Google Scholar] [CrossRef] [PubMed]
- Carrafiello, G.; Laganà, D.; Dizonno, M.; Cotta, E.; Ianniello, A.; Fugazzola, C. Emergency percutaneous treatment in iatrogenic hepatic arterial injuries. Emerg. Radiol. 2008, 15, 249–254. [Google Scholar] [CrossRef] [PubMed]



Publisher’s Note: MDPI stays neutral with regard to jurisdictional claims in published maps and institutional affiliations. |
© 2022 by the authors. Licensee MDPI, Basel, Switzerland. This article is an open access article distributed under the terms and conditions of the Creative Commons Attribution (CC BY) license (https://creativecommons.org/licenses/by/4.0/).
Share and Cite
Tsai, Y.-H.; Chang, H.-M. Post-Cholecystectomy Right Hepatic Artery Pseudoaneurysm Induced by Generalized Seizure: A Case Report. Medicina 2022, 58, 568. https://doi.org/10.3390/medicina58050568
Tsai Y-H, Chang H-M. Post-Cholecystectomy Right Hepatic Artery Pseudoaneurysm Induced by Generalized Seizure: A Case Report. Medicina. 2022; 58(5):568. https://doi.org/10.3390/medicina58050568
Chicago/Turabian StyleTsai, Yueh-Hsun, and Hao-Ming Chang. 2022. "Post-Cholecystectomy Right Hepatic Artery Pseudoaneurysm Induced by Generalized Seizure: A Case Report" Medicina 58, no. 5: 568. https://doi.org/10.3390/medicina58050568
APA StyleTsai, Y.-H., & Chang, H.-M. (2022). Post-Cholecystectomy Right Hepatic Artery Pseudoaneurysm Induced by Generalized Seizure: A Case Report. Medicina, 58(5), 568. https://doi.org/10.3390/medicina58050568

