Pneumomediastinum and Pneumothorax as Relevant Complications of Sub-Intensive Care of Patients with COVID-19: Description of a Case Series
Abstract
:1. Background
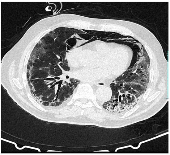
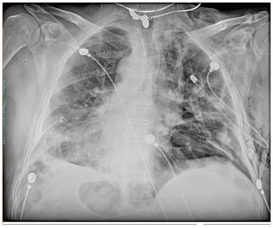
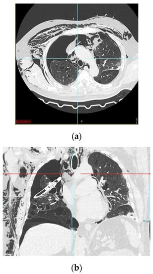
2. Description of Cases
Author Contributions
Funding
Institutional Review Board Statement
Informed Consent Statement
Data Availability Statement
Conflicts of Interest
References
- Noppen, M. Spontaneous pneumothorax: Epidemiology, pathophysiology and cause. Eur. Respir. Rev. 2010, 19, 217–219. [Google Scholar] [CrossRef] [Green Version]
- Caceres, M.; Ali, S.Z.; Braud, R.; Weiman, D.; Garrett, H.E. Spontaneous Pneumomediastinum: A Comparative Study and Review of the Literature. Ann. Thorac. Surg. 2008, 86, 962–966. [Google Scholar] [CrossRef]
- González García, L.; Rey, C.; Medina, A.; Mayordomo-Colunga, J. Severe subcutaneous emphysema and pneumomediastinum sec-ondary to noninvasive ventilation support in status asthmaticus. Indian J. Crit. Care Med. 2016, 20, 242–244. [Google Scholar] [CrossRef]
- Hosoda, T.; Sakamoto, M. Pneumomediastinum Associated with HIV-positive Pneumocystis jirovecii Pneumonia. Intern. Med. 2019, 58, 3607–3608. [Google Scholar] [CrossRef] [PubMed] [Green Version]
- López Vega, J.M.; Parra Gordo, M.L.; Diez Tascón, A.; Ossaba Vélez, S. Pneumomediastinum and spontaneous pneumothorax as an extrapulmonary complication of COVID-19 disease. Emerg. Radiol. 2020, 27, 727–730. [Google Scholar] [CrossRef]
- Maes, M.; Higginson, E.; Pereira-Dias, J.; Curran, M.D.; Parmar, S.; Khokhar, F.; Cuchet-Lourenço, D.; Lux, J.; Sharma-Hajela, S.; Ravenhill, B.; et al. Ventilator-associated pneumonia in critically ill patients with COVID-19. Erratum Crit. Care. 2021, 25, 25. [Google Scholar] [CrossRef] [PubMed]
- Yam, L.Y.C.; Chen, R.C.; Zhong, N.S. SARS: Ventilatory and intensive care. Respirology 2003, 8, S31–S35. [Google Scholar] [CrossRef]
- Shi, S.; Li, G.; Lei, W.; Yang, X. Spontaneous pneumomediastinum, pneumothorax and subcutaneous emphysema in COVID-19: Case report and literature review. Rev. Inst. Med. Trop. 2020, 62, e76. [Google Scholar]
- Thein, O.S.; Niazi, M.; Ali, A.; Sahal, M.A. Pneumomediastinum in patients with SARS-CoV-2 treated with non-invasive ventilation. BMJ Case Rep. 2021, 14, e241809. [Google Scholar] [CrossRef]
- Akdogan, R.E.; Mohammed, T.; Syeda, A.; Jiwa, N.; Ibrahim, O.; Mutneja, R. Pneumothorax in Mechanically Ventilated Patients with COVID19 Infection. Case Rep. Crit. Care 2021, 2021, 6657533. [Google Scholar] [PubMed]
- McGuinness, G.; Zhan, C.; Rosenberg, N.; Azour, L.; Wickstrom, M.; Mason, D.M.; Thomas, K.M.; Moore, W.H. Increased Incidence of Barotrauma in Patients with COVID-19 on Invasive Mechanical Ventilation. Radiology 2020, 297, E252–E262. [Google Scholar] [CrossRef] [PubMed]
- Fujioka, T.; Takahashi, M.; Mori, M.; Tsuchiya, J.; Yamaga, E.; Horii, T.; Yamada, H.; Kimura, M.; Kimura, K.; Kitazume, Y.; et al. Evaluation of the Usefulness of CO-RADS for Chest CT in Patients Suspected of Having COVID-19. Diagnostics 2020, 10, 608. [Google Scholar] [CrossRef] [PubMed]
- Khatami, F.; Saatchi, M.; Zadeh, S.S.; Aghamir, Z.S.; Shabestari, A.N. Leonardo Oliveira Reis & Seyed Mohammad Kazem Aghamir A meta-analysis of accuracy and sensitivity of chest CT and RT-PCR in COVID-19 diagnosis. Sci. Rep. 2020, 10, 22402. [Google Scholar] [PubMed]
- Horii, T.; Fujioka, T.; Takahashi, M.; Mori, M.; Tsuchiya, J.; Yamaga, E.; Yamada, H.; Kimura, M.; Kishino, M.; Tateishi, U. Late-onset pneumothorax in a COVID-19 patient treated with ventilation and ECMO: A case report and literature review. Radiol. Case Rep. 2020, 15, 2560–2564. [Google Scholar] [CrossRef] [PubMed]



| Case 1 | Case 2 | Case 3 | Case 4 | Case 5 | Case 6 | |
|---|---|---|---|---|---|---|
| Pneumomediastinum | 1 | 1 | 1 | 1 | 1 | 1 |
| Pneumothorax | 0 | 0 | 0 | 0 | 0 | 1 |
| Age | 63 | 59 | 68 | 78 | 20 | 76 |
| Smoking | 0 | 0 | 0 | 1 | 0 | 0 |
| Males | 1 | 1 | 1 | 1 | 1 | 1 |
| Diabetes | 0 | 0 | 0 | 1 | 0 | 0 |
| Coronary disease | 0 | 0 | 0 | 1 | 0 | 0 |
| Hypertension | 0 | 0 | 1 | 1 | 0 | 0 |
| COPD | 0 | 0 | 0 | 0 | 0 | 1 |
| NIPVV | 1 | 1 | 1 | 1 | 0 | 0 |
| Hospitalization length (days) | 33 | 30 | 51 | 40 | 27 | 41 |
| Overlapping bacterial pneumonia | 0 | 0 | 1 | 1 | 0 | 1 |
| Death for non-lung failure | 0 | 0 | 0 | 0 | 0 | 0 |
| Death for lung failure | 0 | 0 | 0 | 1 | 0 | 0 |
Publisher’s Note: MDPI stays neutral with regard to jurisdictional claims in published maps and institutional affiliations. |
© 2021 by the authors. Licensee MDPI, Basel, Switzerland. This article is an open access article distributed under the terms and conditions of the Creative Commons Attribution (CC BY) license (https://creativecommons.org/licenses/by/4.0/).
Share and Cite
Coppola, M.G.; Lugarà, M.; Tamburrini, S.; Madonna, P.; Panico, C.; Noschese, G.; Pone, E. Pneumomediastinum and Pneumothorax as Relevant Complications of Sub-Intensive Care of Patients with COVID-19: Description of a Case Series. Medicina 2021, 57, 919. https://doi.org/10.3390/medicina57090919
Coppola MG, Lugarà M, Tamburrini S, Madonna P, Panico C, Noschese G, Pone E. Pneumomediastinum and Pneumothorax as Relevant Complications of Sub-Intensive Care of Patients with COVID-19: Description of a Case Series. Medicina. 2021; 57(9):919. https://doi.org/10.3390/medicina57090919
Chicago/Turabian StyleCoppola, Maria Gabriella, Marina Lugarà, Stefania Tamburrini, Pasquale Madonna, Claudio Panico, Giuseppe Noschese, and Eduardo Pone. 2021. "Pneumomediastinum and Pneumothorax as Relevant Complications of Sub-Intensive Care of Patients with COVID-19: Description of a Case Series" Medicina 57, no. 9: 919. https://doi.org/10.3390/medicina57090919
APA StyleCoppola, M. G., Lugarà, M., Tamburrini, S., Madonna, P., Panico, C., Noschese, G., & Pone, E. (2021). Pneumomediastinum and Pneumothorax as Relevant Complications of Sub-Intensive Care of Patients with COVID-19: Description of a Case Series. Medicina, 57(9), 919. https://doi.org/10.3390/medicina57090919

