Lung Adenocarcinoma Presenting as a Soft Tissue Metastasis to the Shoulder: A Case Report
Abstract
1. Introduction
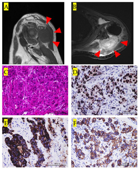
2. Case Presentation
3. Discussion
4. Conclusions
Author Contributions
Funding
Institutional Review Board Statement
Informed Consent Statement
Data Availability Statement
Conflicts of Interest
Ethical Code Approved Date
References
- Plaza, J.A.; Perez-Montiel, D.; Mayerson, J.; Morrison, C.; Suster, S. Metastases to soft tissue: A review of 118 cases over a 30-year period. Cancer 2008, 112, 193–203. [Google Scholar] [CrossRef]
- Prior, C. Metastatic tumors in striated muscle; review and case report. Riv. Anat. Patol. Oncol. 1953, 6, 543–560. [Google Scholar]
- Damron, T.A.; Heiner, J. Distant soft tissue metastases: A series of 30 new patients and 91 cases from the literature. Ann. Surg. Oncol. 2000, 7, 526–534. [Google Scholar] [CrossRef]
- Watmough, P.J.; Canty, S.J.; Higgins, G.; Paul, A.S. Soft tissues metastases from malignant tumours. J. Bone Jt. Surg. B 2005, 87, 2–3. [Google Scholar]
- Perisano, C.; Marzetti, E.; Spinelli, M.S.; Callà, C.A.; Graci, C.; Maccauro, G. Physiopathology of Bone Modifications in β-Thalassemia. Anemia 2012, 2012, 320737. [Google Scholar] [CrossRef]
- Zhang, P.; Meng, X.; Xia, L.; Xie, P.; Sun, X.; Gao, Y.; Zhao, X.; Yu, J. Non-small cell lung cancer with concomitant intramuscular myxoma of the right psoas mimicking intramuscular metastasis: A case report and literature review. Oncol. Lett. 2015, 10, 3059–3063. [Google Scholar] [CrossRef] [PubMed]
- Spencer, P.S.; Helm, T.N. Skin metastases in cancer patients. Cutis 1987, 39, 119–121. [Google Scholar] [PubMed]
- Hidaka, T.; Ishii, Y.; Kitamura, S. Clinical features of skin metastasis from lung cancer. Int. Med. 1996, 35, 459–462. [Google Scholar] [CrossRef] [PubMed]
- Picken, J.W. Use and limitations of autopsy data. In Fundamental Aspects of Metastasis; Weiss, L., Ed.; North-Holland Publishing Co.: Amsterdam, The Netherlands; American Elsevier Publishing Co.: New York, NY, USA,, 1976; pp. 377–384. [Google Scholar]
- Sinha, N.; Niazi, M.; Diaz-Fuentes, G.; Duncalf, R. An innocent appearing subcutaneous nodule diagnoses a small cell lung cancer in a never-smoker female. Case Rep. Oncol. Med. 2014, 2014, 268404. [Google Scholar] [CrossRef]
- Tuoheti, Y.; Okada, K.; Osanai, T.; Nishida, J.; Ehara, S.; Hashimoto, M.; Itoi, E. Skeletal muscle metastases of carcinoma: A clinicopathological study of 12 cases. Jpn. J. Clin. Oncol. 2004, 34, 210–214. [Google Scholar] [CrossRef] [PubMed]
- Pop, D.; Nadeemy, A.S.; Venissac, N.; Guiraudet, P.; Otto, J.; Poudenx, M.; Mouroux, J. Skeletal muscle metastasis from non-small cell lung cancer. J. Thorac. Oncol. 2009, 4, 1236–1241. [Google Scholar] [CrossRef]
- Nakaya, H.; Kawashiri, S.; Tanaka, A.; Noguchi, N.; Kato, K.; Hase, T.; Yamamoto, E. Influences of angiogenesis and lymphangiogenesis on cancerous invasion in experimentally induced tongue carcinoma. J. Oral Pathol. Med. 2005, 34, 87–92. [Google Scholar] [CrossRef]
- Czernin, J.; Allen-Auerbach, M.; Schelbert, H.R. Improvements in cancer staging with PET/CT: Literature-based evidence as of September 2006. J. Nucl. Med. 2007, 48 (Suppl. 1), 78S–88S. [Google Scholar]
- Rochwerger, A.; Mattei, J.C. Management of soft tissue tumors of the musculoskeletal system. Orthop. Traumatol. Surg. Res. 2018, 104, S9–S17. [Google Scholar] [CrossRef] [PubMed]
- Pathak, S.; Joshi, S.R.; Jaison, J.; Kendre, D. Cutaneous metastasis from carcinoma of lung. Indian Derm. Online J. 2013, 4, 185–187. [Google Scholar] [CrossRef]
- Mignani, G.; McDonald, D.; Boriani, S.; Avella, M.; Gaiani, L.; Campanacci, M. Soft tissue metastasis from carcinoma. A case report. Tumori 1989, 75, 630–633. [Google Scholar] [CrossRef] [PubMed]
- Sudo, A.; Ogihara, Y.; Shiokawa, Y.; Fujinami, S.; Sekiguchi, S. Intramuscular metastasis of carcinoma. Clin. Orthop. Relat. Res. 1993, 296, 213–217. [Google Scholar] [CrossRef]
- De La Hoz Polo, M.; Dick, E.; Bhumbra, R.; Pollock, R.; Sandhu, R.; Saifuddin, A. Surgical considerations when reporting MRI studies of soft tissue sarcoma of the limbs. Skelet. Radiol. 2017, 46, 1667–1678. [Google Scholar] [CrossRef] [PubMed]
- Pavlidis, N.; Briasoulis, E.; Hainsworth, J.; Greco, F.A. Diagnostic and therapeutic management of cancer of an unknown primary. Eur. J. Cancer 2003, 39, 1990–2005. [Google Scholar] [CrossRef]
- Varadhachary, G.R.; Abbruzzese, J.L.; Lenzi, R. Diagnostic strategies for unknown primary cancer. Cancer 2004, 100, 1776–1785. [Google Scholar] [CrossRef]
- Hewitt, M.J.; Anderson, K.; Hall, G.D.; Weston, M.; Hutson, R.; Wilkinson, N.; Perren, T.J.; Lane, G.; Spencer, J.A. Women with peritoneal carcinomatosis of unknown origin: Efficacy of image-guided biopsy to determine site-specific diagnosis. BJOG 2007, 114, 46–50. [Google Scholar] [CrossRef]
- Johansson, L. Histopathologic classification of lung cancer: Relevance of cytokeratin and TTF-1 immunophenotyping. Ann. Diagn. Pathol. 2004, 8, 259–267. [Google Scholar] [CrossRef]
- Rusthoven, K.E.; Koshy, M.; Paulino, A.C. The role of fluorodeoxyglucose positron emission tomography in cervical lymph node metastases from an unknown primary tumor. Cancer 2004, 101, 2641–2649. [Google Scholar] [CrossRef]
- Sève, P.; Billotey, C.; Broussolle, C.; Dumontet, C.; Mackey, J.R. The role of 2-deoxy-2-[F-18] fluoro-D-glucose positron emission tomography in disseminated carcinoma of unknown primary site. Cancer 2007, 109, 292–299. [Google Scholar] [CrossRef]
- Delgado-Bolton, R.C.; Fernández-Pérez, C.; González-Maté, A.; Carreras, J.L. Meta-analysis of the performance of 18F-FDG PET in primary tumor detection in unknown primary tumors. J. Nucl. Med. 2003, 44, 1301–1314. [Google Scholar]
- Kwee, T.C.; Kwee, R.M. Combined FDG-PET/CT for the detection of unknown primary tumors: Systematic review and meta-analysis. Eur. Radiol. 2009, 19, 731–744. [Google Scholar] [CrossRef] [PubMed]
- Hashimoto, K.; Nishimura, S.; Hara, Y.; Oka, N.; Tanaka, H.; Iemura, S.; Akagi, M. Clinical outcomes of patients with primary malignant bone and soft tissue tumor aged 65 years or older. Exp. Ther. Med. 2019, 17, 888–894. [Google Scholar] [CrossRef] [PubMed]


| Year/Author | Age (Years) | Size (cm) | Pain | Deep or Subcutaneous | Diagnostic Imaging Tools | Histology | Metastasis at Initial Presentation |
|---|---|---|---|---|---|---|---|
| 2007/Plaza JA, et al. | 56 | 1.7 × 1.6 × 1.5 | N/A | N/A | N/A | Adenocarcinoma | Yes |
| Current case | 93 | 10 × 8 × 7 | Yes | Deep | MRI, PET-CT | Adenocarcinoma | Yes |
Publisher’s Note: MDPI stays neutral with regard to jurisdictional claims in published maps and institutional affiliations. |
© 2021 by the authors. Licensee MDPI, Basel, Switzerland. This article is an open access article distributed under the terms and conditions of the Creative Commons Attribution (CC BY) license (http://creativecommons.org/licenses/by/4.0/).
Share and Cite
Hashimoto, K.; Nishimura, S.; Akagi, M. Lung Adenocarcinoma Presenting as a Soft Tissue Metastasis to the Shoulder: A Case Report. Medicina 2021, 57, 181. https://doi.org/10.3390/medicina57020181
Hashimoto K, Nishimura S, Akagi M. Lung Adenocarcinoma Presenting as a Soft Tissue Metastasis to the Shoulder: A Case Report. Medicina. 2021; 57(2):181. https://doi.org/10.3390/medicina57020181
Chicago/Turabian StyleHashimoto, Kazuhiko, Shunji Nishimura, and Masao Akagi. 2021. "Lung Adenocarcinoma Presenting as a Soft Tissue Metastasis to the Shoulder: A Case Report" Medicina 57, no. 2: 181. https://doi.org/10.3390/medicina57020181
APA StyleHashimoto, K., Nishimura, S., & Akagi, M. (2021). Lung Adenocarcinoma Presenting as a Soft Tissue Metastasis to the Shoulder: A Case Report. Medicina, 57(2), 181. https://doi.org/10.3390/medicina57020181

