Comparison of Pulsed Radiofrequency, Oxygen-Ozone Therapy and Epidural Steroid Injections for the Treatment of Chronic Unilateral Radicular Syndrome
Abstract
1. Introduction
2. Materials and Methods
2.1. Patient Selection
2.2. Participants
2.3. Equipment
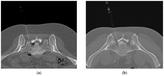
2.4. Interventions
2.5. Outcome Evaluation and Variables
2.6. Statistical Analysis
3. Results
3.1. Patient Inclusion and Demographic Characteristics
3.2. Outcome Data
3.2.1. Vas Scores
3.2.2. ODI Scores
3.2.3. Adverse Effects
4. Discussion
5. Conclusions
Author Contributions
Funding
Institutional Review Board Statement
Informed Consent Statement
Acknowledgments
Conflicts of Interest
References
- Artner, J.; Cakir, B.; Weckbach, S.; Reichel, H.; Lattig, F. Radiation dose reduction in CT–guided periradicular injections in lumbar spine: Feasibility of a new institutional protocol for improved patient safety. Patient Saf. Surg. 2012, 6, 19. [Google Scholar] [CrossRef] [PubMed]
- Cushman, D.; Mattie, R.; Curtis, B.; Flis, A.; McCormick, Z.L. The effect of body mass index on fluoroscopic time and radiation dose during lumbar transforaminal epidural steroid injections. Spine J. 2016, 16, 876–883. [Google Scholar] [CrossRef] [PubMed]
- Boswell, M.V.; Hansen, H.C.; Trescot, A.M.; Hirsch, J.A. Epidural steroids in the management of chronic spinal pain and radiculopathy. Pain Physician 2003, 6, 319–334. [Google Scholar] [PubMed]
- Cyteval, C.; Fescquet, N.; Thomas, E.; Decoux, E.; Blotman, F.; Taourel, P. Predictive factors of efficacy of periradicular corticosteroid injections for lumbar radiculopathy. AJNR Am. J. Neuroradiol. 2006, 27, 978–982. [Google Scholar]
- Mehta, V.; Snidvongs, S.; Ghai, B.; Langford, R.; Wodehouse, T. Characterization of peripheral and central sensitization after dorsal root ganglion intervention in patients with unilateral lumbosacral radicular pain: A prospective pilot study. Br. J. Anaesth. 2017, 118, 924–931. [Google Scholar] [CrossRef] [PubMed]
- Abdi, S.; Datta, S.; Trescot, A.M.; Schultz, D.M.; Adlaka, R.; Atluri, S.; Smith, B.R.; Manchikanti, L. Epidural steroids in the management of chronic spinal pain: A systematic review. Pain Physician 2007, 10, 185–212. [Google Scholar]
- Benoist, M.; Boulu, P.; Hayem, G. Epidural steroid injections in the management of low˗back pain with radiculopathy: An update of their efficacy and safety. Eur. Spine J. 2012, 21, 204–213. [Google Scholar] [CrossRef]
- Dietrich, T.J.; Sutter, R.; Froehlich, J.M.; Pfirrmann, C.H.W.A. Particulate versus non–particulate steroids for lumbar transforaminal or interlaminar epidural steroid injections: An update. Skelet. Radiol. 2015, 44, 149–155. [Google Scholar] [CrossRef]
- Byrd, D.; Mackey, S. Pulsed radiofrequency for chronic pain. Curr. Pain Headache Rep. 2008, 12, 37–41. [Google Scholar] [CrossRef]
- Cosman, E.R., Jr.; Cosman, E.R., Sr. Electric and thermal field effects in tissue around radiofrequency electrodes. Pain Med. 2005, 6, 405–424. [Google Scholar] [CrossRef]
- Vigneri, S.; Sindaco, G.; Gallo, G.; Zanella, M.; Paci, V.; La Grua, M.; Ravaioli, L.; Pari, G. Effectiveness of pulsed radiofrequency with multifunctional epidural electrode in chronic lumbosacral radicular pain with neuropathic features. Pain Physician 2014, 17, 477–486. [Google Scholar] [PubMed]
- Vanneste, T.; Van Lantschoot, A.; Van Boxem, K.; Van Zundert, J. Pulsed radiofrequency in chronic pain. Curr. Opin. Anaesthesiol. 2017, 30, 577–582. [Google Scholar] [CrossRef]
- Bocci, V.; Borelli, E.; Zanardi, I.; Travagli, V. The usefulness of ozone treatment in spinal pain. Drug Des. Devel. Ther. 2015, 15, 2677–2685. [Google Scholar] [CrossRef]
- Bonetti, M.; Fontana, A.; Cotticelli, B.; Volta, G.D.; Guindani, M.; Leonardi, M. Intraforaminal (O)2˗(O)3 versus periradicular steroidal infiltrations in lower back pain: Randomized controlled study. AJNR Am. J. Neuroradiol. 2005, 26, 996–1000. [Google Scholar]
- Latini, E.; Curci, E.R.; Massimiani, A.; Nusca, S.M.; Santoboni, F.; Trischitta, D.; Vetrano, M.; Vulpiani, M.C. Ultrasonography for oxygen–ozone therapy in musculoskeletal diseases. Med. Gas. Res. 2019, 9, 18–23. [Google Scholar] [CrossRef] [PubMed]
- Costa, T.; Linhares, D.; Ribeiro Da Silva, M.; Neves, N. Ozone therapy for low back pain. A systematic review. Acta Reumatol. Port. 2018, 43, 172–181. [Google Scholar] [PubMed]
- Steppan, J.; Meaders, T.; Muto, M.; Murphy, K.J. A metaanalysis of the effectiveness and safety of ozone treatments for herniated lumbar discs. J. Vasc. Interv. Radiol. 2010, 21, 534–548. [Google Scholar] [CrossRef] [PubMed]
- Ding, Y.Y.; Li, H.; Zhy, Y.; Yao, P.; Zhao, G. Transforaminal epidural steroid injection combined with pulsed radio frequency on spinal nerve root for the treatment of lumbar disc herniation. J. Pain Res. 2018, 11, 1531–1539. [Google Scholar] [CrossRef]
- Lee, D.G.; Ahn, S.H.; Lee, J. comparative effectiveness of pulsed radiofrequency and transforaminal steroid injection for radicular pain due to disc herniation: A prospective randomized trial. J. Korean Med. Sci. 2016, 31, 1324–1330. [Google Scholar] [CrossRef]
- De, M.; Mohan, V.K.; Bhoi, D.; Talawar, P.; Kumar, A.; Garg, B.; Trikha, A.; Dehran, M.; Kashyap, L.; Shende, D.R. Transforaminal Epidural Injection of Local Anesthetic and Dorsal Root Ganglion Pulsed Radiofrequency Treatment in Lumbar Radicular Pain: A Randomized, Triple-Blind, Active-Control Trial. Pain Pract. 2020, 20, 154–167. [Google Scholar] [CrossRef]
- Facchini, G.; Spinnato, P.; Guglielmi, G.; Albisinni, U.; Bazzocchi, A. A comprehensive review of pulsed radiofrequency in the treatment of pain associated with different spinal conditions. Br. J. Radiol 2017, 90, 1–10. [Google Scholar] [CrossRef] [PubMed]
- Shanthanna, H.; Chan, P.; McChesney, J.; Thabane, L.; Paul, J. Pulsed radiofrequency treatment of the lumbar dorsal root ganglion in patients with chronic lumbar radicular pain: A randomized, placebo–controlled pilot study. J. Pain Res. 2014, 7, 47–55. [Google Scholar] [CrossRef] [PubMed]
- Gallucci, M.; Limbucci, N.; Zugaro, L.; Barile, A.; Stavroulis, E.; Ricci, A.; Galzio, R.; Masciocchi, C. Sciatica: Treatment with intradiscal and intraforaminal injections of steroid and oxygen–ozone versus steroid only. Radiology 2007, 242, 907–913. [Google Scholar] [CrossRef] [PubMed]
- Perri, M.; Marsecano, C.; Varrassi, M.; Giordano, A.V.; Splendiani, A.; di Cesare, E.; Masciocchi, C.; Gallucci, M. Indications and efficacy of O2–O3 intradiscal versus steroid intraforaminal injection in different types of disco vertebral pathologies: A prospective randomized double–blind trial with 517 patients. Radiol. Med. 2016, 121, 463–471. [Google Scholar] [CrossRef]
- Buenaventura, R.M.; Datta, S.; Abdi, S.; Smith, H.S. Systematic review of therapeutic lumbar transforaminal epidural steroid injections. Pain Physician 2009, 12, 233–251. [Google Scholar]
- Risbud, M.V.; Shapiro, I.M. Role of cytokines in intervertebral disc degeneration: Pain and disc content. Nat. Rev. Rheumatol. 2014, 10, 44–56. [Google Scholar] [CrossRef]
- Knezevic, N.N.; Jovanovic, F.; Voronov, D.; Candido, K.D. Do Corticosteroids Still Have a Place in the Treatment of Chronic Pain? Front. Pharmacol. 2018, 9, 1229. [Google Scholar] [CrossRef]
- Muto, M.; Andreula, C.; Leonardi, M. Treatment of herniated lumbar disc by intradiscal and intraforaminal oxygen–ozone (O2–O3) injection. J. Neuroradiol. 2004, 31, 183–189. [Google Scholar] [CrossRef]
- Muto, M.; Ambrosanio, G.; Guarnieri, G.; Capobianco, E.; Piccolo, G.; Annunziata, G.; Rotondo, A. Low back pain and sciatica: Treatment with intradiscal˗intraforaminal O2˗O3 injection. Our experience. Radiol. Med. 2008, 113, 695–706. [Google Scholar] [CrossRef]
- Dall’Olio, M.; Princiotta, C.; Cirillo, L.; Budai, C.; De Santis, F.; Bartolini, S.; Serchi, E.; Leonardi, M. Oxygen–ozone therapy for herniated lumbar disc in patients with subacute partial motor weakness due to nerve root compression. Interv. Neuroradiol. 2014, 20, 547–554. [Google Scholar] [CrossRef]
- Bonetti, M.; Zambello, A.; Leonardi, M.; Princiotta, C. Herniated disks unchanged over time: Size reduced after oxygen–ozone therapy. Interv. Neuroradiol. 2016, 22, 466–472. [Google Scholar] [CrossRef] [PubMed]
- Magalhaes, F.N.; Dotta, L.; Sasse, A.; Teixeira, M.J.; Fonoff, E.T. Ozone therapy as a treatment for low back pain secondary to herniated disc: A systematic review and meta˗analysis of randomized controlled trials. Pain Physician 2012, 15, E115–E129. [Google Scholar] [PubMed]
- Cunha e Sa, M.; Gonçalves, V.M. Intraforaminal ozone therapy. Acta Neurochir. 2016, 158, 489–490. [Google Scholar] [CrossRef] [PubMed]
- Muto, M.; Giurazza, F.; Silva, R.P.; Guarnieri, G. Rational approach, technique and selection criteria treating lumbar disk herniations by oxygen-ozone therapy. Interv Neuroradiol. 2016, 22, 736–740. [Google Scholar] [CrossRef] [PubMed]
- Vanni, D.; Galzio, R.; Kazakova, A.; Pantalone, A.; Sparvieri, A.; Salini, V.; Magliani, V. Intraforaminal ozone therapy and particular side effects: Preliminary results and early warning. Acta Neurochir. 2016, 158, 491–496. [Google Scholar] [CrossRef] [PubMed]




| Group | PRF | TFOOT | TFESI | p-Value | |
|---|---|---|---|---|---|
| No. of patients, n (%) | 57 (32%) | 69 (38.8%) | 52 (29.2%) | ||
| Age (years) | range (20–84) | 56.0/(63.5–48.5) | 53.0/(64.5–46) | 59.0/(69–43.5) | 0.48580 |
| Sex | male (n = 63) | 22 (38.6%) | 25 (36.2%) | 16 (30.8%) | 0.68276 |
| female (n = 115) | 35 (61.4%) | 44 (63.8%) | 36 (69.2%) | ||
| BMI | 27.6/(31.9–25.0) | 27.4/(32.4–24.5) | 27.9/(31.2–24.5) | 0.89583 | |
| Nerves | L5 dx./sin. S1 dx./sin. | 19/14 10/14 | 15/15 18/21 | 19/13 9/11 | 0.50970 |
| FBSS | yes | 23 (40.4%) | 20 (29.0%) | 12 (23.1%) | 0.13578 |
| no | 34 (59.6%) | 49 (71.0%) | 40 (76.9%) |
Publisher’s Note: MDPI stays neutral with regard to jurisdictional claims in published maps and institutional affiliations. |
© 2021 by the authors. Licensee MDPI, Basel, Switzerland. This article is an open access article distributed under the terms and conditions of the Creative Commons Attribution (CC BY) license (http://creativecommons.org/licenses/by/4.0/).
Share and Cite
Ryska, P.; Jandura, J.; Hoffmann, P.; Dvorak, P.; Klimova, B.; Valis, M.; Vajda, M. Comparison of Pulsed Radiofrequency, Oxygen-Ozone Therapy and Epidural Steroid Injections for the Treatment of Chronic Unilateral Radicular Syndrome. Medicina 2021, 57, 136. https://doi.org/10.3390/medicina57020136
Ryska P, Jandura J, Hoffmann P, Dvorak P, Klimova B, Valis M, Vajda M. Comparison of Pulsed Radiofrequency, Oxygen-Ozone Therapy and Epidural Steroid Injections for the Treatment of Chronic Unilateral Radicular Syndrome. Medicina. 2021; 57(2):136. https://doi.org/10.3390/medicina57020136
Chicago/Turabian StyleRyska, Pavel, Jiri Jandura, Petr Hoffmann, Petr Dvorak, Blanka Klimova, Martin Valis, and Milan Vajda. 2021. "Comparison of Pulsed Radiofrequency, Oxygen-Ozone Therapy and Epidural Steroid Injections for the Treatment of Chronic Unilateral Radicular Syndrome" Medicina 57, no. 2: 136. https://doi.org/10.3390/medicina57020136
APA StyleRyska, P., Jandura, J., Hoffmann, P., Dvorak, P., Klimova, B., Valis, M., & Vajda, M. (2021). Comparison of Pulsed Radiofrequency, Oxygen-Ozone Therapy and Epidural Steroid Injections for the Treatment of Chronic Unilateral Radicular Syndrome. Medicina, 57(2), 136. https://doi.org/10.3390/medicina57020136

