Anal Canal Duplication in an Adult Female—Case Report and Pathology Guiding
Abstract
:1. Introduction
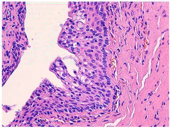
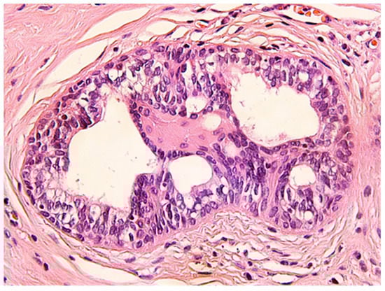
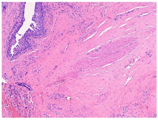
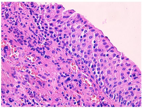
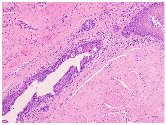
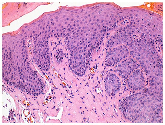
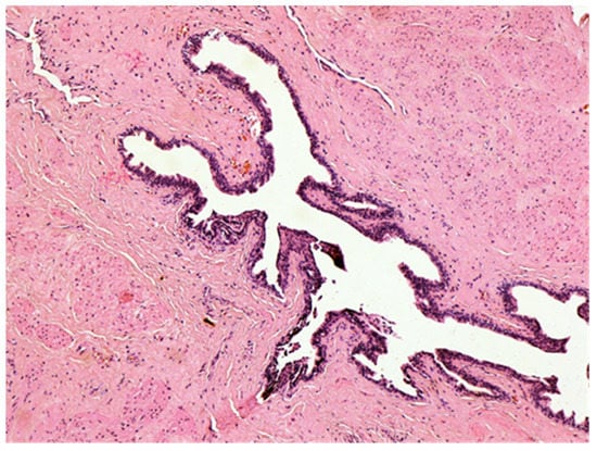
2. Case Report
3. Discussion
4. Conclusions
Author Contributions
Funding
Institutional Review Board Statement
Informed Consent Statement
Data Availability Statement
Conflicts of Interest
References
- Choi, S.O.; Park, W.H. Anal canal duplication in infants. J. Pediatric Surg. 2003, 38, 758–762. [Google Scholar] [CrossRef] [PubMed]
- Koga, H.; Okazaki, T.; Kato, Y.; Lane, G.J.; Yamataka, A. Anal canal duplication: Experience at a single institution and literature review. Pediatric Surg. Int. 2010, 26, 985–988. [Google Scholar] [CrossRef] [PubMed]
- Trecartin, A.C.; Peña, A.; Lovell, M.; Bruny, J.; Mueller, C.; Urquidi, M.; Bischoff, A. Anal duplication: Is surgery indicated? A report of three cases and review of the literature. Pediatric Surg. Int. 2019, 35, 971–978. [Google Scholar] [CrossRef] [PubMed]
- Van Biervliet, S.; Maris, E.; Vande Velde, S.; Vande Putte, D.; Meerschaut, V.; Herregods, N.; De Bruyne, R.; Van Winckel, M.; Van Renterghem, K. Anal Canal Duplication in an 11-Year-Old-Child. Case Rep. Gastrointest. Med. 2013, 2013, 503–691. [Google Scholar] [CrossRef] [PubMed] [Green Version]
- Toyonaga, T.; Matsuda, H.; Mibu, R.; Tominaga, Y.; Hirata, K.; Takeyoshi, M.; Tsuneyoshi, M. Anal Canal Duplication Associated with Presacral Cyst in an Adult. J. Anus Rectum Colon 2018, 2, 31–35. [Google Scholar] [CrossRef] [PubMed] [Green Version]
- Ochiai, K.; Umeda, T.; Murahashi, O.; Sugitoh, T. Anal-canal duplication in a 6-year-old child. Pediatric Surg. Int. 2002, 18, 195–197. [Google Scholar] [CrossRef] [PubMed]
- Mirzaei, R.; Mahjubi, B.; Alvandipoor, M.; Karami, M.Y. Late presentation of anal canal duplication in adults: A series of four rare cases. Ann. Coloproctol. 2015, 31, 34–36. [Google Scholar] [CrossRef] [PubMed]
- Gulen, M.; Leventoglu, S.; Ege, B.; Mentes, B.B. Anal Canal Duplication in Adults: Report of Five Cases. Int. Surg. 2016, 101, 20–23. [Google Scholar] [CrossRef]
- Grandjean, J.P.; Mantion, G.A.; Guinier, D.; Henry, L.; Cherki, S.; Passebois, L.; Chalabreysse, P.; Viennet, G.; Pujol, B.; Chabanon, J. Vestigial retrorectal cystic tumors in adults: A review of 30 cases. Gastroenterol. Clin. Et Biol. 2008, 32, 769–778. [Google Scholar] [CrossRef] [PubMed]
- Sakr, A.; Kim, H.S.; Han, Y.D.; Cho, M.S.; Hur, H.; Min, B.S.; Lee, K.Y.; Kim, N.Y. Single-center Experience of 24 Cases of Tailgut Cyst. Ann. Coloproctol. 2019, 35, 268–274. [Google Scholar] [CrossRef] [Green Version]
- Lisi, G.; Illiceto, M.T.; Rossi, C.; Broto, J.M.; Jil-Vernet, J.M.; Lelli Chiesa, P. Anal canal duplication: A retrospective analysis of 12 cases from two European pediatric surgical departments. Pediatric Surg. Int. 2006, 22, 967–973. [Google Scholar] [CrossRef] [PubMed]
- Dukes, C.E.; Galvin, C. Colloid carcinoma arising within fistulae in the anorectal region. Ann. R. Coll. Surg. Engl. 1956, 18, 246–261. [Google Scholar] [PubMed]
- Tiryaki, T.; Senel, E.; Atayurt, H. Anal canal duplicationin children: A new technique. Pediatric Surg. Int. 2006, 22, 560–561. [Google Scholar] [CrossRef] [PubMed]
- Levitt, M.A.; Peña, A. Anorectal malformations. Orphanet J. Rare Dis. 2007, 26, 2–33. [Google Scholar] [CrossRef] [PubMed] [Green Version]








Publisher’s Note: MDPI stays neutral with regard to jurisdictional claims in published maps and institutional affiliations. |
© 2021 by the authors. Licensee MDPI, Basel, Switzerland. This article is an open access article distributed under the terms and conditions of the Creative Commons Attribution (CC BY) license (https://creativecommons.org/licenses/by/4.0/).
Share and Cite
Mateescu, T.; Tarta, C.; Stanciu, P.; Dema, A.; Lazar, F. Anal Canal Duplication in an Adult Female—Case Report and Pathology Guiding. Medicina 2021, 57, 1205. https://doi.org/10.3390/medicina57111205
Mateescu T, Tarta C, Stanciu P, Dema A, Lazar F. Anal Canal Duplication in an Adult Female—Case Report and Pathology Guiding. Medicina. 2021; 57(11):1205. https://doi.org/10.3390/medicina57111205
Chicago/Turabian StyleMateescu, Tudor, Cristi Tarta, Paul Stanciu, Alis Dema, and Fulger Lazar. 2021. "Anal Canal Duplication in an Adult Female—Case Report and Pathology Guiding" Medicina 57, no. 11: 1205. https://doi.org/10.3390/medicina57111205
APA StyleMateescu, T., Tarta, C., Stanciu, P., Dema, A., & Lazar, F. (2021). Anal Canal Duplication in an Adult Female—Case Report and Pathology Guiding. Medicina, 57(11), 1205. https://doi.org/10.3390/medicina57111205

