Low-Dose Pre-Operative Botulinum Toxin A Effectively Facilitates Complex Ventral Hernia Repair: A Case Report and Review of the Literature
Abstract
1. Introduction
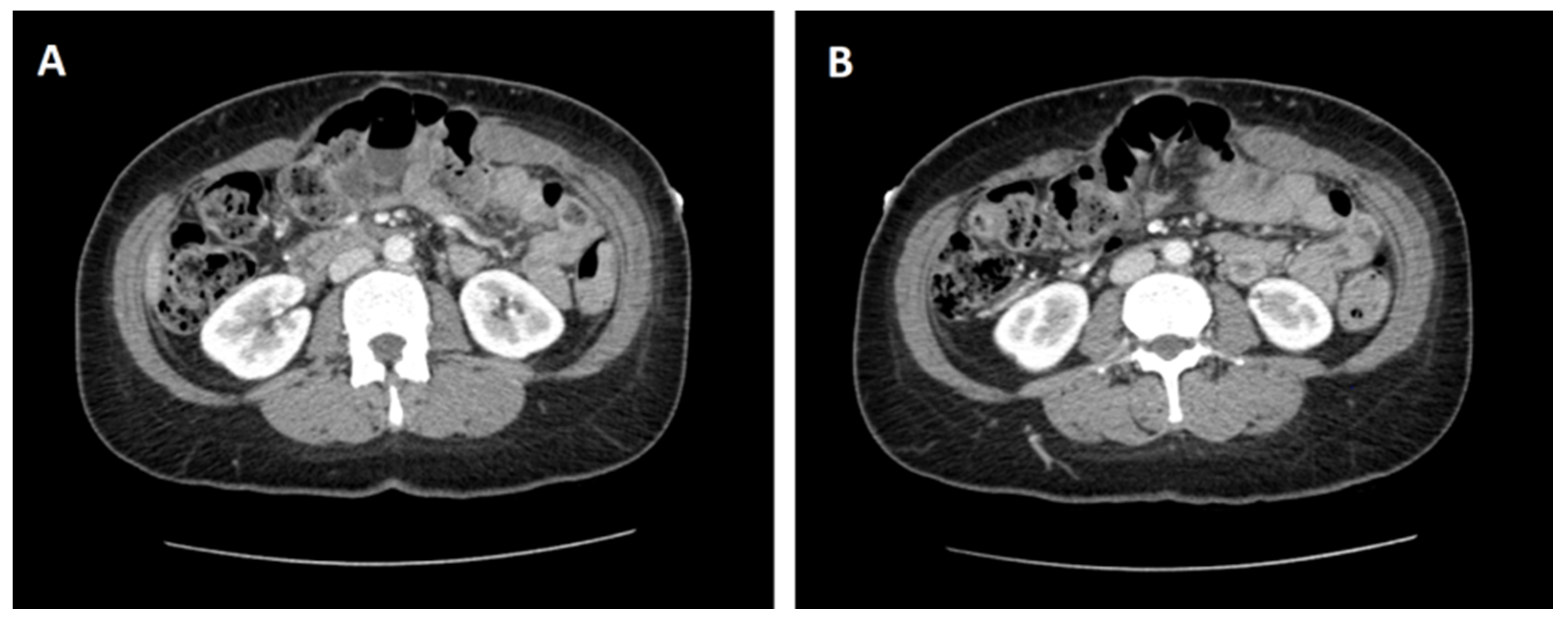
2. Case Presentation
3. Discussion
4. Conclusions
Author Contributions
Funding
Institutional Review Board Statement
Informed Consent Statement
Conflicts of Interest
References
- Ramshorst, G.H.; Eker, H.H.; Hop, W.C.; Jeekel, J.; Lange, J.F. Impact of incisional hernia on health-related quality of life and body image: A prospective cohort study. Am. J. Surg. 2012, 204, 144–150. [Google Scholar] [CrossRef] [PubMed]
- Vries, R.T.S.; Goor, H.; Rosman, C.; Bemelmans, M.H.; Jong, D.; Nieuwenhoven, E.J.; Engelend, M.I.v.A.; Bleichrodt, R.P. "Components separation technique" for the repair of large abdominal wall hernias. J. Am. Coll. Surg. 2003, 196, 32–37. [Google Scholar]
- Scheuerlein, H.; Settmacher, U.; Lenschow, M.; Rauchfuß, F. Complex Incisional Hernias. Arch Clin Gastroenterol. 2016, 2, 17–26. [Google Scholar] [CrossRef]
- Slater, N.J.; Montgomery, A.; Berrevoet, F.; Carbonell, A.M.; Chang, A.; Franklin, M.; Kercher, K.W.; Lammers, B.J.; Parra-Davilla, E.; Towfigh, S.; et al. Criteria for definition of a complex abdominal wall hernia. Hernia. J. Hernias Abdom. Wall Surg. 2014, 18, 7–17. [Google Scholar] [CrossRef]
- Ramirez, O.M.; Ruas, E.; Dellon, A.L. “Components Separation” Method for Closure of Abdominal-Wall Defects: An Anatomic and Clinical Study. Plast. Reconstr. Surg. 1990, 86, 519–526. [Google Scholar] [CrossRef]
- Heller, L.; McNichols, C.H.; Ramirez, O.M. Component separations. Semin Plast Surg. 2012, 26, 25–28. [Google Scholar] [CrossRef]
- Verheyden, J.; Blitzer, A.; Brin, M.F. Other noncosmetic uses of BOTOX. Semin. Cutan. Med. Surg. 2001, 20, 121–126. [Google Scholar] [CrossRef]
- Dressler, D. Clinical applications of botulinum toxin. Curr. Opin. Microbiol. 2012, 15, 325–336. [Google Scholar] [CrossRef]
- Köhler, G. Preoperative conditioning and surgical strategies for treatment of complex abdominal wall hernias. Chirurg 2020, 91, 134–142. [Google Scholar] [CrossRef]
- Ibarra, H.T.R.; Nuño, G.C.M.; Echeagaray, H.J.E.; Robles, V.E.; Jesús, G.J.J. Use of botulinum toxin type a before abdominal wall hernia reconstruction. World J. Surg. 2009, 33, 2553–2556. [Google Scholar] [CrossRef]
- Ibarra, H.T.R.; Nuno, G.C.M.; Miranda, D.A.G.; Troyo, S.R.; Navarro, I.R.; Bravo, C.L. Effect of botulinum toxin type A in lateral abdominal wall muscles thickness and length of patients with midline incisional hernia secondary to open abdomen management. Hernia. J. Hernias Abdom. Wall Surg. 2014, 18, 647–652. [Google Scholar] [CrossRef] [PubMed]
- Farooque, F.; Jacombs, A.S.; Roussos, E.; Read, J.W.; Dardano, A.N.; Edye, M.; Ibrahim, N. Preoperative abdominal muscle elongation with botulinum toxin A for complex incisional ventral hernia repair. ANZ J. Surg. 2016, 86, 79–83. [Google Scholar] [CrossRef] [PubMed]
- Elstner, K.E.; Read, J.W.; Rodriguez, A.O.; Cosman, P.H.; Dardano, A.N.; Jacombs, A.S.; Edye, M.; Zea, A.; Boesel, T.; Mikami, D.J.; et al. Preoperative chemical component relaxation using Botulinum toxin A: Enabling laparoscopic repair of complex ventral hernia. Surg. Endosc. 2017, 31, 761–768. [Google Scholar] [CrossRef] [PubMed]
- Rodriguez, A.O.; Elstner, K.E.; Jacombs, A.S.W.; Read, J.W.; Martins, R.T.; Arduini, F.; Wehrhahm, M.; Craft, C.; Cosman, P.H.; Dardano, A.N.; et al. Preoperative Botulinum toxin A enabling defect closure and laparoscopic repair of complex ventral hernia. Surg. Endosc. 2018, 32, 831–839. [Google Scholar] [CrossRef] [PubMed]
- Christy, M.R.; Apostolides, J.; Rodriguez, E.D.; Manson, P.N.; Gens, D.; Scalea, T. The component separation index: A standardized biometric identity in abdominal wall reconstruction. Eplasty 2012, 12, 169–176. [Google Scholar]
- Blair, L.J.; Ross, S.W.; Huntington, C.R.; Watkins, J.D.; Prasad, T.; Lincourt, A.E.; Augenstein, V.A.; Heniford, B.T. Computed tomographic measurements predict component separation in ventral hernia repair. J. Surg. Res. 2015, 199, 420–427. [Google Scholar] [CrossRef] [PubMed]
- Satriyasa, B.K. Botulinum toxin (Botox) A for reducing the appearance of facial wrinkles: A literature review of clinical use and pharmacological aspect. Clin. Cosmet. Investig. Dermatol. 2019, 12, 223–228. [Google Scholar] [CrossRef] [PubMed]
- Wohlfarth, K.; Sycha, T.; Ranoux, D.; Naver, H.; Caird, D. Dose equivalence of two commercial preparations of botulinum neurotoxin type A: Time for a reassessment? Curr. Med. Res. Opin. 2009, 25, 1573–1584. [Google Scholar] [CrossRef]
- Tamboli, M.; Kitamura, R.; Ma, W.; Kumar, G.; Harrison, T.K.; Wang, R.R.; Mariano, E.R.; Leng, J.C. Preoperative Ultrasound-Guided Botulinum Toxin A Injection Facilitates Closure of a Complex Abdominal Wall Hernia: A Case Report. A&A Pract. 2019, 13, 193–196. [Google Scholar]
- Hsu, T.S.; Dover, J.S.; Arndt, K.A. Effect of volume and concentration on the diffusion of botulinum exotoxin A. Arch. Dermatol. 2004, 140, 1351–1354. [Google Scholar] [CrossRef]
- Cura, J.L. Ultrasound-guided therapeutic procedures in the musculoskeletal system. Curr. Probl. Diagn. Radiol. 2008, 37, 203–218. [Google Scholar] [CrossRef] [PubMed]
- Bueno, L.J.; Carreño, S.O.; Torregrosa, G.A.; Pous, S.S. Preoperative Botulinum Toxin and Progressive Pneumoperitoneum in Loss of Domain Hernias—Our First 100 Cases. Front. Surg. 2020, 7, 3. [Google Scholar] [CrossRef] [PubMed]
- Zendejas, B.; Khasawneh, M.A.; Srvantstyan, B.; Jenkins, D.H.; Schiller, H.J.; Zielinski, M.D. Outcomes of chemical component paralysis using botulinum toxin for incisional hernia repairs. World J. Surg. 2013, 37, 2830–2837. [Google Scholar] [CrossRef] [PubMed]



Publisher’s Note: MDPI stays neutral with regard to jurisdictional claims in published maps and institutional affiliations. |
© 2020 by the authors. Licensee MDPI, Basel, Switzerland. This article is an open access article distributed under the terms and conditions of the Creative Commons Attribution (CC BY) license (http://creativecommons.org/licenses/by/4.0/).
Share and Cite
Mourad, A.P.; De Robles, M.S.; Winn, R.D. Low-Dose Pre-Operative Botulinum Toxin A Effectively Facilitates Complex Ventral Hernia Repair: A Case Report and Review of the Literature. Medicina 2021, 57, 14. https://doi.org/10.3390/medicina57010014
Mourad AP, De Robles MS, Winn RD. Low-Dose Pre-Operative Botulinum Toxin A Effectively Facilitates Complex Ventral Hernia Repair: A Case Report and Review of the Literature. Medicina. 2021; 57(1):14. https://doi.org/10.3390/medicina57010014
Chicago/Turabian StyleMourad, Ali P., Marie Shella De Robles, and Robert D. Winn. 2021. "Low-Dose Pre-Operative Botulinum Toxin A Effectively Facilitates Complex Ventral Hernia Repair: A Case Report and Review of the Literature" Medicina 57, no. 1: 14. https://doi.org/10.3390/medicina57010014
APA StyleMourad, A. P., De Robles, M. S., & Winn, R. D. (2021). Low-Dose Pre-Operative Botulinum Toxin A Effectively Facilitates Complex Ventral Hernia Repair: A Case Report and Review of the Literature. Medicina, 57(1), 14. https://doi.org/10.3390/medicina57010014

