Correction: Kardaş et al. Gallic Acid Protects from Sepsis-Induced Acute Lung Injury. Curr. Issues Mol. Biol. 2024, 46, 1–10
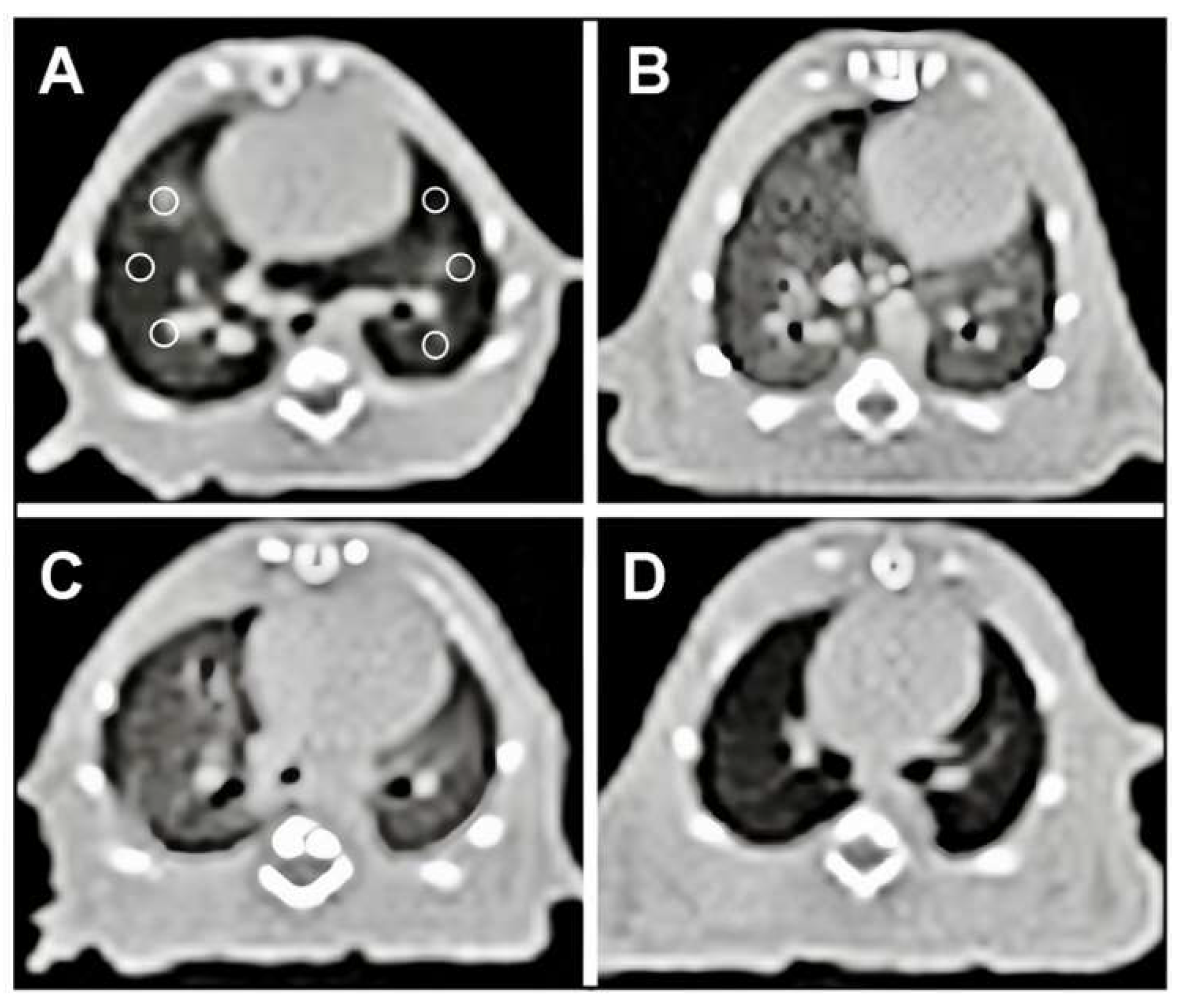
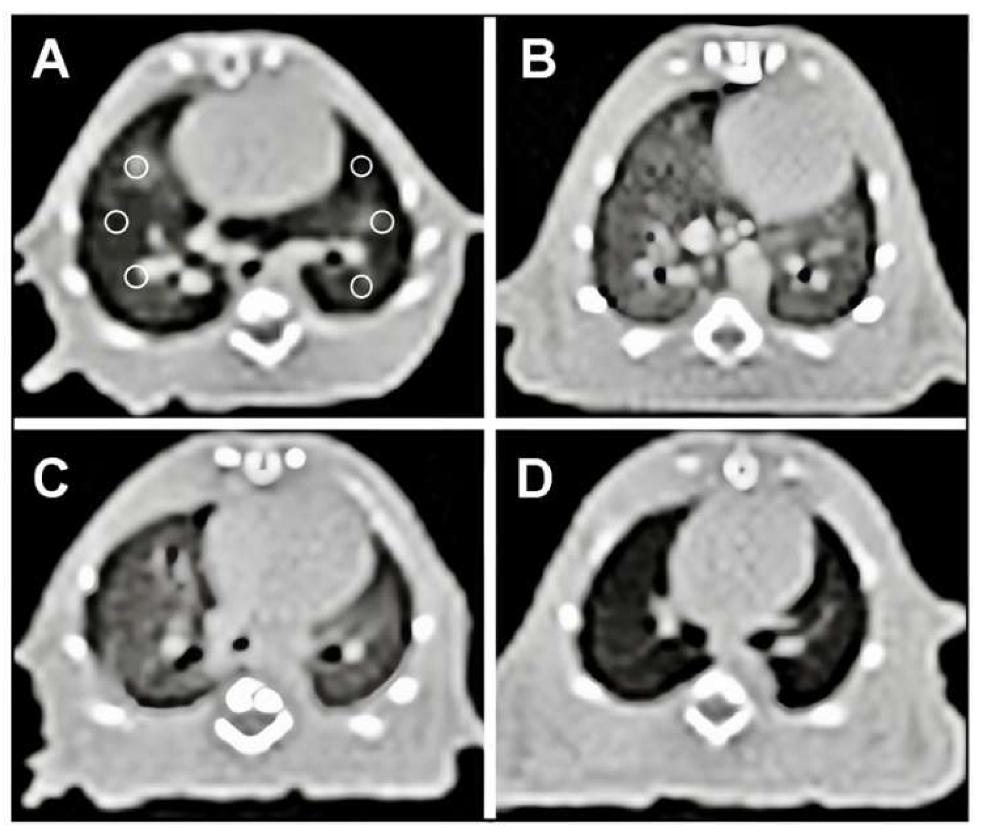
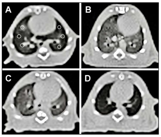
Error in Figure
Reference
- Kardaş, S.; Çınaroğlu, O.S.; Bora, E.S.; Erbaş, O. Gallic Acid Protects from Sepsis-Induced Acute Lung Injury. Curr. Issues Mol. Biol. 2024, 46, 1–10. [Google Scholar] [CrossRef] [PubMed]

Disclaimer/Publisher’s Note: The statements, opinions and data contained in all publications are solely those of the individual author(s) and contributor(s) and not of MDPI and/or the editor(s). MDPI and/or the editor(s) disclaim responsibility for any injury to people or property resulting from any ideas, methods, instructions or products referred to in the content. |
© 2025 by the authors. Licensee MDPI, Basel, Switzerland. This article is an open access article distributed under the terms and conditions of the Creative Commons Attribution (CC BY) license (https://creativecommons.org/licenses/by/4.0/).
Share and Cite
Kardaş, S.; Çınaroğlu, O.S.; Bora, E.S.; Erbaş, O. Correction: Kardaş et al. Gallic Acid Protects from Sepsis-Induced Acute Lung Injury. Curr. Issues Mol. Biol. 2024, 46, 1–10. Curr. Issues Mol. Biol. 2025, 47, 669. https://doi.org/10.3390/cimb47080669
Kardaş S, Çınaroğlu OS, Bora ES, Erbaş O. Correction: Kardaş et al. Gallic Acid Protects from Sepsis-Induced Acute Lung Injury. Curr. Issues Mol. Biol. 2024, 46, 1–10. Current Issues in Molecular Biology. 2025; 47(8):669. https://doi.org/10.3390/cimb47080669
Chicago/Turabian StyleKardaş, Süleyman, Osman Sezer Çınaroğlu, Ejder Saylav Bora, and Oytun Erbaş. 2025. "Correction: Kardaş et al. Gallic Acid Protects from Sepsis-Induced Acute Lung Injury. Curr. Issues Mol. Biol. 2024, 46, 1–10" Current Issues in Molecular Biology 47, no. 8: 669. https://doi.org/10.3390/cimb47080669
APA StyleKardaş, S., Çınaroğlu, O. S., Bora, E. S., & Erbaş, O. (2025). Correction: Kardaş et al. Gallic Acid Protects from Sepsis-Induced Acute Lung Injury. Curr. Issues Mol. Biol. 2024, 46, 1–10. Current Issues in Molecular Biology, 47(8), 669. https://doi.org/10.3390/cimb47080669

