Agarwood Chromone Alleviates Gastric Ulcers by Inhibiting the NF-κB and Caspase Pathways Based on Network Pharmacology and Molecular Docking
Abstract
1. Introduction
2. Results
2.1. Target Disease Spectra and Mechanism Signaling Pathways of Agarwood Chromone Compounds
2.2. Targets of Agarwood Chromone Compounds
2.3. Effect of CHRs on Gastric Lesions and Ulcer Inhibition Rates
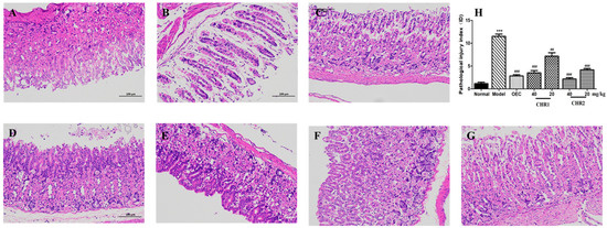
2.4. Effect of CHRs on Tissue Damage
2.5. Effect of CHRs on Inflammatory Cytokines Production
2.6. CHRs Inhibit the Expression of ABCB1, ALOX5, NF-κB, Caspase9, and Bcl-2
2.7. CHRs Inhibit the Expression of NF-κB, Caspase3, and Caspase9 by WB
2.8. Molecular Docking and Visualization
3. Discussion
4. Materials and Methods
4.1. Materials and Reagents
4.2. Prediction of Disease Spectrum and Target of Agarwood Chromone via Network Pharmacology
4.3. Construction of Inflammatory and Apoptotic Gene Sets
4.4. Animals and Experimental Procedure
4.5. Determination of Ulcer Index
4.6. Tissue Damage Evaluation
4.7. Detection of IL-6, IL-12, IL-18, and TNF-α in Serum
4.8. Detection of Protein Expression via Immunohistochemistry (IHC)
4.9. Detection of Protein Expression via Western Blotting (WB)
4.10. Molecular Docking Verification and Visualization
4.11. Statistical Analysis
5. Conclusions
Supplementary Materials
Author Contributions
Funding
Institutional Review Board Statement
Informed Consent Statement
Data Availability Statement
Conflicts of Interest
Abbreviations
References
- Liu, Y.Y.; Chen, H.Q.; Yang, Y.; Zhang, Z.; Wei, J.H.; Meng, H.; Chen, W.P.; Feng, J.D.; Gan, B.C.; Chen, X.Y.; et al. Whole-tree agarwood-inducing technique: An efficient novel technique for producing high-quality agarwood in cultivated Aquilaria sinensis trees. Molecules 2013, 18, 3086–3106. [Google Scholar] [CrossRef] [PubMed]
- Borris, R.P.; Blasko, G.; Cordell, G.A. Ethnopharmacologic and phytochemical studies of the Thymelaeaceae. J. Ethnopharmacol. 1988, 24, 41–91. [Google Scholar] [CrossRef] [PubMed]
- Wang, S.; Yu, Z.X.; Wang, C.H.; Wu, C.M.; Guo, P.; Wei, J.H. Chemical Constituents and Pharmacological Activity of Agarwood and Aquilaria Plants. Molecules 2018, 23, 342. [Google Scholar] [CrossRef] [PubMed]
- Urme, S.R.A.; Ahmed, S.F.; Quadir, M.M.A. Evaluation of the Antimicrobial Activity of Phytochemicals from Tea and Agarwood Leaf Extracts against Isolated Bacteria from Poultry and Curd. Sci. World J. 2023, 2023, 6674891. [Google Scholar] [CrossRef]
- Li, W.; Cai, C.H.; Dong, W.H.; Guo, Z.K.; Wang, H.; Mei, W.L. 2-(2-phenylethyl)-chromone derivatives from Chinese agarwood induced by artificial holing. Fitoterapia 2014, 98, 117–123. [Google Scholar] [CrossRef]
- Wang, C.H.; Wang, S.; Peng, D.Q.; Yu, Z.X.; Guo, P.; Wei, J.H. Protective effect of agarwood alcohol extracts produced by whole-tree agarwood-inducing technique on the Fluorouracil-induced liver injury in mice. J. Int. Pharm. Res. 2018, 45, 187–197. [Google Scholar]
- Zhou, M.; Wang, H.; Kou, J.; Yu, B. Antinociceptive and anti-inflammatory activities of Aquilaria sinensis (Lour.) Gilg. leaves extract. J. Ethnopharmacol. 2008, 117, 345–350. [Google Scholar] [CrossRef]
- Zhu, Z.; Zhao, Y.; Huo, H.; Gao, X.; Zheng, J.; Li, J. Hhx-5, a derivative of sesquiterpene from Chinese agarwood, suppresses innate and adaptive immunity via inhibiting stat signaling pathways. Eur. J. Pharmacol. 2016, 791, 412–423. [Google Scholar] [CrossRef]
- Okugawa, H.; Ueda, R.; Matsumoto, K.; Kawanishi, K.; Kato, A. Effects of agarwood extracts on the central nervous system in mice. Plant Med. 1993, 59, 32–36. [Google Scholar] [CrossRef]
- Wang, C.H.; Wang, Y.Y.; Gong, B.; Wu, Y.L.; Chen, X.Q.; Liu, Y.Y.; Wei, J.H. Effective components and molecular mechanism of agarwood essential oil inhalation on the sedative and hypnotic effects based on GC-MS-Qtof and molecular docking. Molecules 2022, 27, 3843. [Google Scholar] [CrossRef]
- Huo, H.X.; Zhu, Z.X.; Pang, D.R.; Li, Y.T.; Huang, Z.; Shi, S.P. Anti-neuroinflammatory sesquiterpenes from Chinese eaglewood. Fitoterapia 2015, 106, 115–121. [Google Scholar] [PubMed]
- Kakino, M.; Izuta, H.; Ito, T.; Tsuruma, K.; Araki, Y.; Shimazawa, M. Agarwood induced laxative effects via acetylcholine receptors on loperamide-induced constipation in mice. Biosci. Biotech. Bioch. 2010, 74, 1550–1555. [Google Scholar]
- Yang, X.B.; Feng, J.; Yang, X.W.; Zhao, B.; Liu, J.X. Aquisifl avoside, a new nitric oxide production inhibitor from the leaves of Aquilaria sinensis. J. Asian Nat. Prod. Res. 2012, 14, 867–872. [Google Scholar]
- Sattayasai, J.; Bantadkit, J.; Aromdee, C.; Lattmann, E.; Airarat, W. Antipyretic, analgesic and anti-oxidative activities of Aquilaria crassna leaves extract in rodents. J. Ayurveda Integr. Med. 2012, 3, 175–179. [Google Scholar]
- Zhu, Z.; Gu, Y.; Zhao, Y.; Song, Y.; Li, J.; Tu, P. Gyf-17, a chloride substituted 2-(2-phenethyl)-chromone, suppresses LPS-induced inflammatory mediator production in RAW264.7 cells by inhibiting STAT1/3 and ERK1/2 signaling pathways. Int. Immunopharmacol. 2016, 35, 185–192. [Google Scholar]
- Yu, Z.X.; Wang, C.H.; Zheng, W.; Chen, D.L.; Liu, Y.Y.; Yang, Y.; Wei, J.H. Anti-inflammatory 5,6,7,8-tetrahydro-2-(2-phenylethyl) chromones from agarwood of Aquilaria sinensis. Bioorg. Chem. 2020, 99, 103789. [Google Scholar]
- Kamonwannasit, S.; Nantapong, N.; Kumkrai, P.; Luecha, P.; Kupittayanant, S.; Chudapongse, N. Antibacterial activity of Aquilaria crassna leaf extract against Staphylococcus epidermidisby disruption of cell wall. Ann Clin. Microbiol. Antimicrob. 2013, 20, 12–20. [Google Scholar]
- Chen, S.S.; Guan, C. Treatment of 103 Cases of Stomachache with Agarwood Zhitong Powder. Jilin Trad. Chin. Med. 2001, 21, 37. [Google Scholar]
- Maupin. Clinical Observation on 65 Cases of Peptic ulcer treated with Modified Agarwood Powder. Yunnan J. Trad. Chin. Med. 2009, 30, 39–40. [Google Scholar]
- Cai, Z.Z.; Wang, J.Z.; Cao, S.G. Therapeutic effect of Agarwood Hua-Qi Capsule on intestinal gas in patients with functional dyspepsia. J. App. Med. 2010, 26, 1036–1037. [Google Scholar]
- Ma, J.L.; Pang, X.P.; Xue, W.G.; Wang, J.X.; Huo, H.X.; Zhao, M.Y.; Huang, Y.L.; Yin, Z.Y.; Gao, Y.; Zhao, Y.F.; et al. Sesquiterpene-enriched extract of Chinese agarwood (Aquilaria sinensis) alleviates bile reflux gastritis through suppression of gastric mucosal cell apoptosis via the Wnt/β-catenin signaling pathway. J. Ethnopharmacol. 2025, 338, 119037. [Google Scholar] [PubMed]
- Ma, L.; Zhang, X.; Chen, H.X. Protective effect and mechanism of agarwood extract on ethanol-induced gastric ulcer in rats. Chin. Med. Her. 2019, 24, 15–18. [Google Scholar]
- Ma, J.L.; Huo, H.X.; Zhang, H.; Wang, L.X.; Meng, Y.X.; Jin, F.Y.; Wang, X.Y.; Zhao, Y.M.; Zhao, Y.F.; Tu, P.F.; et al. 2-(2-phenylethyl)chromone-enriched extract of the resinous heartwood of Chinese agarwood (Aquilaria sinensis) protects against taurocholic acid-induced gastric epithelial cells apoptosis through Perk/eIF2α/ CHOP pathway. Phytomedicine 2022, 98, 153935. [Google Scholar] [PubMed]
- Wang, C.H.; Peng, D.Q.; Liu, Y.Y.; Wu, Y.L.; Guo, P.; Wei, J.H. Agarwood alcohol extract protects against gastric ulcer by inhibiting oxidation and inflammation. Evid. Based. Compl. Alt. 2021, 2021, 9944685. [Google Scholar]
- Dovjak, P. Duodenal ulcers, gastric ulcers and Helicobacter pylori. Z. Gerontol. Geriatr. 2017, 50, 159–169. [Google Scholar]
- Yang, Y.; Wang, Z.; Bing, Z.Y.; Zhang, Y.M. Protective effect of gentiopicroside from Gentiana macrophylla Pall. in ethanol-induced gastric mucosal injury in mice. Phytother. Res. 2018, 32, 259–266. [Google Scholar]
- Etani, R.; Kataoka, T.; Kanzaki, N.; Sakoda, A.; Tanaka, H.; Ishimori, Y.; Mitsunobu, F.; Taguchi, T.; Yamaoka, K. Protective effects of hot spring water drinking and radon inhalation on ethanol-induced gastric mucosal injury in mice. J. Radiat. Res. 2017, 58, 614–625. [Google Scholar]
- Ren, S.; Wei, Y.; Wang, R.L.; Wei, S.Z.; Wen, J.X.; Yang, T.; Chen, X.; Wu, S.H.; Jin, M.Y.; Li, H.T.; et al. Rutaecarpine Ameliorates Ethanol-Induced Gastric Mucosal Injury in Mice by Modulating Genes Related to Inflammation, Oxidative Stress and Apoptosis. Front. Pharmacol. 2020, 11, 600295. [Google Scholar]
- Liang, J.; Dou, Y.; Wu, X.; Li, H.L.; Wu, J.Z.; Huang, Q.H.; Luo, D.D.; Yi, T.G.; Liu, Y.H.; Su, Z.R. Prophylactic efficacy of patchoulene epoxide against ethanol-induced gastric ulcer in rats: Influence on oxidative stress, inflammation and apoptosis. Chem. Biol. Interact. 2018, 283, 30–37. [Google Scholar]
- Bandyopadhyay, D.; Biswas, K.; Bhattacharyya, M.; Reiter, R.J.; Banerjee, R.K. Involvement of reactive oxygen species in gastric ulceration: Protection by melatonin. Indian J. Exp. Biol. 2002, 40, 693–705. [Google Scholar]
- Mota, K.S.D.L.; Dias, G.E.N.; Pinto, M.E.F.; Luiz-Ferreira, Â.; Souza-Brito, A.R.M.; Hiruma-Lima, C.A.; Barbosa-Filho, J.M.; Batista, L.M. Flavonoids with gastroprotective activity. Molecules 2009, 14, 979–1012. [Google Scholar] [CrossRef] [PubMed]
- Li, C.Y.; Xu, H.D.; Zhao, B.T.; Chang, H.I.; Rhee, H.I. Gastroprotective effect of cyanidin 3-glucoside on ethanol-induced gastric lesions in rats. Alcohol 2008, 42, 683–687. [Google Scholar] [PubMed]
- Bharti, S.; Wahane, V.D.; Kumar, V.L. Protective effect of Calotropis procera, latex extracts on experimentally induced gastric ulcers in rat. J. Ethnopharmacol. 2010, 127, 440–444. [Google Scholar] [PubMed]
- Sinha, K.P.; Sadhukhan, S.; Saha, P.B.; Pal, P.; Sil, C. Morin protects gastric mucosa from nonsteroidal anti-inflammatory drug, indomethacin induced inflammatory damage and apoptosis by modulating NF-kB pathway. Biochem. Biophys. Acta 2015, 1850, 769–783. [Google Scholar]
- Gambhir, S.; Vyas, D.; Hollis, M.; Aekka, A.; Vyas, A. Nuclear factor kappa B role in inflammation associated gastrointestinal malignancies. World J. Gastroenterol. 2015, 21, 3174–3183. [Google Scholar]
- de Souza, M.C.; Vieira, A.J.; Beserra, F.P.; Pellizzon, C.H.; Nóbrega, R.H.; Rozza, A.L. Gastroprotective effect of limonene in rats: Influence on oxidative stress, inflammation and gene expression. Phytomedicine 2019, 53, 37–42. [Google Scholar]
- Wang, C.H.; Wang, S.; Peng, D.Q.; Liu, Y.Y.; Guo, P.; Wei, J.H. Agarwood extract mitigates intestinal injury in fluorouracil-induced mice. Biol. Pharm. Bull. 2019, 42, 1112–1119. [Google Scholar] [CrossRef]
- Wang, C.H.; Peng, D.Q.; Liu, Y.Y.; Yu, Z.X.; Guo, P.; Wei, J.H. Agarwood alcohol extract ameliorates isoproterenol-induced myocardial ischemia by inhibiting oxidation and apoptosis. Cardiol. Res. Pract. 2020, 2020, 3640815. [Google Scholar]
- Raish, M.; Ahmad, A.; Ansari, M.A.; Alkharfy, K.M.; Aljenoobi, F.I.; Jan, B.L. Momordica charantia polysaccharides ameliorate oxidative stress, inflammation, and apoptosis in ethanol-induced gastritis in mucosa through NF-kB signaling pathway inhibition. Int. J. Biol. Macromol. 2018, 111, 193–199. [Google Scholar]
- Zhou, D.; Yang, Q.; Tian, T.; Chang, Y.; Yao, L.; Duane, L.R.; Lia, H.; Wang, S.W. Gastroprotective effect of gallic acid against ethanol-induced gastric ulcer in rats: Involvement of the Nrf2/HO-1 signaling and anti-apoptosis role. Biomed. Pharmacotherap. 2020, 126, 11007. [Google Scholar]
- Tamer, S.A.; Gamze, G.E.; Ercan, F. Gastroprotective effect of vanillic acid against ethanol-induced gastric injury in rats: Involvement of the NF-κB signalling and anti-apoptosis role. Mol. Bio. Rep. 2024, 51, 744. [Google Scholar]
- Abdelwahab, I.S. Protective mechanism of gallic acid and its novel derivative against ethanol-induced gastric ulcerogenesis: Involvement of immunomodulation markers, Hsp70 and Bcl-2-associated X protein. Int. Immunopharm. 2013, 16, 296–305. [Google Scholar]
- Liu, X.N.; Yuan, Z.; Luo, L.F.; Wang, T.; Zhao, F.; Zhang, J.Z.; Liu, D.L. Protective role of fruits of Rosa odorata var. gigantea against WIRS induced gastric mucosal injury in rats by modulating pathway related to inflammation, oxidative stress and apoptosis. Chin. Her. Med. 2024, 16, 263–273. [Google Scholar]
- Amirshahrokhi, K.; Khalili, A.R. The effect of thalidomide on ethanol-induced gastric mucosal damage in mice: Involvement of inflammatory cytokines and nitric oxide. Chem. Biol. Interact. 2015, 225, 63–69. [Google Scholar]
- Laine, L.; Weinstein, W.M. Histology of alcoholic hemorrhagic “gastritis”: A prospective evaluation. Gastroenterology 1988, 94, 1254–1262. [Google Scholar]
- Sebastian, S.; Sven, S.; Joachim, H.V.; Adasme, M.F.; Michael, S. Plip: Fully automated protein-ligand interaction profiler. Nucleic Acids Res. 2015, 43, W443–W447. [Google Scholar]
- Sunghwan, K.; Thiessen, P.A.; Bolton, E.E.; Jie, C.; Fu, G.; Asta, G.; Han, L.; He, J.S.; He, S.; Shoemaker, B.A. Pubchem substance and compound databases. Nucleic Acids Res. 2016, 44, D1202–D1213. [Google Scholar]
- Tong, H.J.; Yu, M.T.; Fei, C.H.; De, J.I.; Zeng, B. Bioactive constituents and the molecular mechanism of curcumae rhizoma in the treatment of primary dysmenorrhea based on network pharmacology and molecular docking. Phytomedicine 2021, 86, 153558. [Google Scholar]
- Trott, O.; Olson, A.J. AutoDock Vina: Improving the speed and accuracy of docking with a new scoring function, efficient optimization, and multithreading. J. Comput. Chem. 2010, 31, 455–461. [Google Scholar]











| Name | Gene Name | PDB_id | Gene Symbol |
|---|---|---|---|
| ABCB1 | ABCB1 | 7a69 | ATP binding box transporter B1 |
| ALOX5 | ALOX5 | 3v99 | arachidonic acid-5-lipoxygenase |
| NF-κB | NFKB1 | 3gut | nuclear factor of kappa light polypeptide gene enhancer in B cells 1 |
| Bcl-2 | BCL2 | 3sp7 | B cell leukemia/lymphoma 2 |
| Caspase9 | CASP9 | 1nw9 | caspase 9 |
| CID | Compound Name | Molecular Formula | Molecular Weight | CHEMBL_ID |
|---|---|---|---|---|
| 441,964 | 2-(2-phenylethyl)chromone | C17H14O2 | 250.29 | CHEMBL481060 |
| 185,208 | 2-(2-(4-methoxyphenyI)ethyl)chromone | C18H16O3 | 280.3 | CHEMBL4468180 |
Disclaimer/Publisher’s Note: The statements, opinions and data contained in all publications are solely those of the individual author(s) and contributor(s) and not of MDPI and/or the editor(s). MDPI and/or the editor(s) disclaim responsibility for any injury to people or property resulting from any ideas, methods, instructions or products referred to in the content. |
© 2025 by the authors. Licensee MDPI, Basel, Switzerland. This article is an open access article distributed under the terms and conditions of the Creative Commons Attribution (CC BY) license (https://creativecommons.org/licenses/by/4.0/).
Share and Cite
Wang, C.; Wu, Y.; Gong, B.; Mou, J.; Cheng, X.; Zhang, L.; Wei, J. Agarwood Chromone Alleviates Gastric Ulcers by Inhibiting the NF-κB and Caspase Pathways Based on Network Pharmacology and Molecular Docking. Pharmaceuticals 2025, 18, 514. https://doi.org/10.3390/ph18040514
Wang C, Wu Y, Gong B, Mou J, Cheng X, Zhang L, Wei J. Agarwood Chromone Alleviates Gastric Ulcers by Inhibiting the NF-κB and Caspase Pathways Based on Network Pharmacology and Molecular Docking. Pharmaceuticals. 2025; 18(4):514. https://doi.org/10.3390/ph18040514
Chicago/Turabian StyleWang, Canhong, Yulan Wu, Bao Gong, Junyu Mou, Xiaoling Cheng, Ling Zhang, and Jianhe Wei. 2025. "Agarwood Chromone Alleviates Gastric Ulcers by Inhibiting the NF-κB and Caspase Pathways Based on Network Pharmacology and Molecular Docking" Pharmaceuticals 18, no. 4: 514. https://doi.org/10.3390/ph18040514
APA StyleWang, C., Wu, Y., Gong, B., Mou, J., Cheng, X., Zhang, L., & Wei, J. (2025). Agarwood Chromone Alleviates Gastric Ulcers by Inhibiting the NF-κB and Caspase Pathways Based on Network Pharmacology and Molecular Docking. Pharmaceuticals, 18(4), 514. https://doi.org/10.3390/ph18040514

