Effects of the DL76 Antagonist/Inverse Agonist of Histamine H3 Receptors on Experimental Periodontitis in Rats: Morphological Studies
Abstract
1. Introduction
2. Results
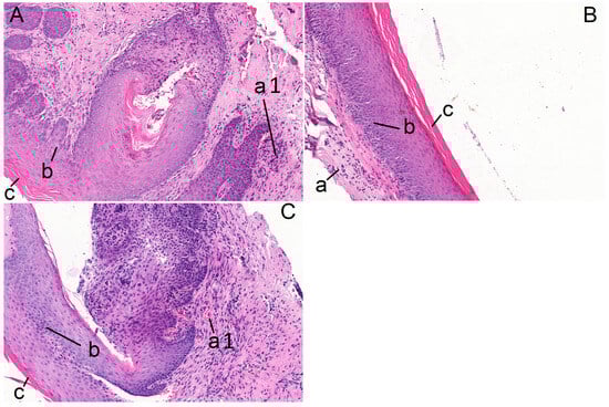
2.1. Histopathological Results
2.2. IHC Results
2.3. Radiological Results
3. Discussion
4. Limitations of the Study
5. Materials and Methods
5.1. Characteristics of the Inverse Agonist/Antagonist of the Histamine H3 Receptor, DL76
5.2. Immunohistochemical Analysis
5.3. X-ray Pictures of the Rat Maxillas
5.4. Linear Measurement of Alveolar Bone Loss
5.5. Description of the Applied Statistical Methods
5.6. Statistics concerning Bone Loss in Rat Maxillas
5.7. Statistics concerning IHC Variables
6. Conclusions
Author Contributions
Funding
Institutional Review Board Statement
Informed Consent Statement
Data Availability Statement
Conflicts of Interest
References
- Könönen, E.; Gursoy, M.; Gursoy, U.K. Periodontitis: A Multifaceted Disease of Tooth-Supporting Tissues. J. Clin. Med. 2019, 8, 1135. [Google Scholar] [CrossRef] [PubMed]
- Tonetti, M.S.; Jepsen, S.; Jin, L.; Otomo-Corgel, J. Impact of the global burden of periodontal diseases on health; nutrition and wellbeing of mankind: A call for global action. J. Clin. Periodontol. 2017, 44, 456–462. [Google Scholar] [CrossRef] [PubMed]
- Corridore, D.; Saccucci, M.; Zumbo, G.; Fontana, E.; Lamazza, L.; Stamegna, C.; Di Carlo, G.; Vozza, I.; Guerra, F. Impact of Stress on Periodontal Health: Literature Revision. Healthcare 2023, 11, 1516. [Google Scholar] [CrossRef]
- Sharma, A. Virulence mechanisms of Tannarella forsythia. Periodontology 2000 2010, 54, 106–116. [Google Scholar] [CrossRef] [PubMed]
- Jepsen, S.; Blanco, J.; Buchalla, W.; Carvalho, J.C.; Dietrich, T.; Dörfer, C.; Eaton, K.A.; Figuero, E.; Frencken, J.E.; Graziani, F.; et al. Prevention and control of dental caries and periodontal diseases at individual and population level: Consensus report of group 3 of joint EFP/ORCA workshop on the boundaries between caries and periodontal diseases. J. Clin. Periodontol. 2017, 44, 85–93. [Google Scholar] [CrossRef] [PubMed]
- Mihai, S.; Dumitrescu, D.E.; Popescu, A.; Stoicescu, I.; Matroud, N.; Răducanu, A.M.; Mititelu, M. Semperivium Ruthenicum Koch Extract-Loaded Bio-Adhesive Formulation: A Novel Oral Antioxidant Delivery System for Oxidative Stress Reduction. Pharmaceuticals 2023, 16, 1110. [Google Scholar] [CrossRef] [PubMed]
- Tamura, H.; Maekawa, T.; Domon, H.; Sirisereephap, K.; Isono, T.; Hirayama, S.; Hiyoshi, T.; Sasagawa, K.; Takizawa, F.; Maeda, T.; et al. Erythromycin Restores Osteoblast Differentiation and Osteogenesis Suppressed by Porphyromonas gingivalis Lipopolysaccharide. Pharmaceuticals 2023, 16, 303. [Google Scholar] [CrossRef] [PubMed]
- Martínez-García, M.; Hernández-Lemus, E. Periodontal Inflammation and Systemic Diseases: An Overview. Front. Physiol. 2021, 12, 709438. [Google Scholar] [CrossRef] [PubMed]
- Cekici, A.; Kantarci, A.; Hasturk, H.; Van Dyke, T.E. Inflammatory and immune pathways in the pathogenesis of periodontal disease. Periodontology 2000 2014, 64, 57–80. [Google Scholar] [CrossRef]
- Silva, N.; Abusleme, L.; Bravo, D.; Dutzan, N.; Garcia-Sesnich, J.; Vernal, R.; Hernandez, M.; Gamonal, J. Host response mechanisms in periodontal diseases. J. Appl. Oral. Sci. 2015, 23, 329–355. [Google Scholar] [CrossRef]
- Pan, W.; Wang, Q.; Chen, Q. The cytokine network involved in the host immune response to periodontitis. Int. J. Oral. Sci. 2019, 11, 30. [Google Scholar] [CrossRef] [PubMed]
- Delatola, C.; Loos, B.G.; Laine, M.L. Three periodontitis phenotypes: Bone loss patterns; antibiotic—Surgical treatment and the new classification. J. Clin. Periodontol. 2020, 47, 1371–1378. [Google Scholar] [CrossRef] [PubMed]
- Sirisereephap, K.; Maekawa, T.; Tamura, H.; Hiyoshi, T.; Domon, H.; Isono, T.; Terao, Y.; Maeda, T.; Tabeta, K. Osteoimmunology in Periodontitis: Local Proteins and Compounds to Alleviate Periodontitis. Int. J. Mol. Sci. 2022, 22, 5540. [Google Scholar] [CrossRef]
- Hienz, S.A.; Paliwal, S.; Ivanovski, S. Mechanisms of Bone Resorption in Periodontitis. J. Immunol. Res. 2015, 2015, 615486. [Google Scholar] [CrossRef] [PubMed]
- Chen, B.; Wu, W.; Sun, W.; Zhang, Q.; Yan, F.; Xiao, Y. RANKL Expression in Periodontal Disease: Where Does RANKL Come from? Biomed. Res. Int. 2014, 2014, 731039. [Google Scholar] [CrossRef] [PubMed]
- Guo, Y.; Xu, C.; Wu, X.; Zhang, W.; Sun, Y.; Shrestha, A. Leptin regulates OPG and RANKL expression in Gingival Fibroblasts and Tissues of Chronic Periodontitis Patients. Int. J. Med. Sci. 2021, 18, 2431–2437. [Google Scholar] [CrossRef]
- Parsons, M.E.; Ganellin, C.R. Histamine and its receptors. Br. J. Pharmacol. 2006, 147, 127–135. [Google Scholar] [CrossRef]
- Xie, H.; Shao-Heng, H. Roles of histamine and its receptors in allergic and inflammatory bowel diseases. World J. Gastroenterol. 2005, 11, 2851–2857. [Google Scholar] [CrossRef] [PubMed]
- Minami, T.; Kuroishi, T.; Ozawa, A.; Shimauch, H.; Mendo, Y.; Sugawara, S. Histamine amplifies Immune response of gingival fibroblasts. J. Dent. Res. 2007, 86, 1083–1088. [Google Scholar] [CrossRef]
- Biosse-Duplan, M.; Baroukh, B.; Dy, M.; De Vernejoul, M.C.; Saffar, J.L. Histamine promotes osteoclastogenesis through the differential expression of histamine receptors on osteoclasts and osteoblasts. Am. J. Pathol. 2009, 174, 1426–1434. [Google Scholar] [CrossRef]
- Ikawa, Y.; Yonekawa, T.; Ohkuni, Y.; Kuribayashi, M.; Fukino, K.; Ueno, K.A. comparative study of histamine activities on differentiation of osteoblasts and osteoclasts. J. Toxicol. Sci. 2007, 32, 555–564. [Google Scholar] [CrossRef] [PubMed]
- Arrang, J.M.; Garbarg, M.; Schwartz, J.C. Autoinhibition of brain histamine release mediated by a novel class (H3) receptor of histamine. Nature 1983, 302, 832–837. [Google Scholar] [CrossRef] [PubMed]
- Gomez-Ramirez, J.; Ortiz, J.; Blanco, I. Presynaptic H3 autoreceptors modulate histamine synthesis through cAMP pathway. Mol. Pharmacol. 2002, 61, 239–245. [Google Scholar] [CrossRef] [PubMed]
- Hanoun, M.; Maryanovich, M.; Arnal-Estapé, A.; Frenette, P.S. Neural regulation of hematopoiesis, inflammation, and cancer. Neuron 2015, 86, 360–373. [Google Scholar] [CrossRef] [PubMed]
- Maryanovich, M.; Takeishi, S.; Frenette, P.S. Neural regulation of bone and bone marrow. Cold Spring Harb. Perspect. Med. 2018, 8, a031344. [Google Scholar] [CrossRef] [PubMed]
- Yu, X.; Gong, Z.; Lin, Q.; Wang, W.; Liu, S.; Li, S. Denervation effectively aggravates rat experimental periodontitis. J. Periodontal Res. 2017, 52, 1011–1020. [Google Scholar] [CrossRef] [PubMed]
- Mahalakshmi, K.; Krishan, P.; Arumugan, S.B. Association of periodontopathic anaerobic bacterial co-occurrence to atherosclerosis—A cross-sectional study. Anaerobe 2017, 44, 66–72. [Google Scholar] [CrossRef] [PubMed]
- Tonetti, M.S.; Van Dyke, T.E. Periodontitis and atherosclerotic cardiovascular disease: Consesnsus report of the EFP/AAP Workshop on Periodontitis and Systemic Diseases. J. Periodontol. 2013, 84, 24–29. [Google Scholar] [CrossRef] [PubMed]
- Deschamps-Lenhardt, S.; Martin Cabezas, R.; Hannedouche, T.; Huck, O. Association between periodontitis and chronic kidney disease: Systematic review and meta-analysis. Oral. Dis. 2019, 25, 385–402. [Google Scholar] [CrossRef]
- Saini, R.; Saini, S.; Saini, S.R. Periodontitis: A risk for delivery of premature labor and low-birth-weight infants. J. Nat. Sci. Biol. Med. 2010, 1, 40–42. [Google Scholar] [CrossRef]
- Nowotny, A.; Sanavi, F. Induction of nonspecific tolerance to endotoxins reduces the alveolar bone resorption in ligature-treated rats. Infect. Immun. 1983, 39, 873–878. [Google Scholar] [CrossRef] [PubMed]
- Zhang, Y.; Zhuang, D.; Zhang, Y.; Lu, H.; Zhang, H.; Li, T.; Bi, L. Super activated platelet lysate; a novel autologous platelet lysate regulates the expression of inflammasome and cytokine in the experimental periodontitis in rats. Drug Des. Dev. Ther. 2020, 14, 5535–5543. [Google Scholar] [CrossRef] [PubMed]
- Inagaki, Y.; Kido, J.; Nishikawa, Y.; Kido, R.; Sakamoto, E.; Bando, M.; Naruishi, K.; Nagata, T.; Yumoto, H. Gan-Lu-Yin (Kanroin), traditional Chinese herbal extracts, reduces osteoclast differentiation in vitro and prevents alveolar bone resorption in rat experimental periodontitis. J. Clin. Med. 2021, 10, 386. [Google Scholar] [CrossRef] [PubMed]
- Sawada, N.; Kei, A.; Nakamura, N.; Miyabe, M.; Ito, M.; Kobayashi, S.; Miyajima, S.; Suzuki, Y.; Kikuchi, T.; Mizutanim, M.; et al. Glucagon-Like Peptide-1 Receptor Agonist Liraglutide Ameliorates the Development of Periodontitis. J. Diabetes Res. 2020, 15, 437–444. [Google Scholar]
- Shalehin, N.; Hosoya, A.; Hiroaki, T.; Hasan, R.; Kazuharu, I. Boric acid inhibits alveolar bone loss in rat experimental periodontitis through diminished bone resorption and enhanced osteoblast formation. J. Dent. Sci. 2020, 15, 437–444. [Google Scholar] [CrossRef] [PubMed]
- Kwang Ku, S.; Rae Cho, H.; Sub Sung, Y.; Jin Kang, S.; Joon Lee, Y. Effects of calcium gluconate on experimental periodontitis and alveolar bone loss in rats. Basic. Clin. Pharmacol. Toxicol. 2010, 108, 241–250. [Google Scholar] [CrossRef] [PubMed]
- Longhini, R.; Aparecida de Oliveira, P.; Sasso-Cerri, E.; Cerri, P.S. Cimetidine reduces alveolar bone loss in induced periodontitis in rat molars. J. Periodontol. 2014, 85, 1115–1125. [Google Scholar] [CrossRef]
- Van Dyke, T.E.; Cutler, C.W.; Kowolik, M.; Singer, R.S.; Buchanan, W.; Biesbrock, A.R. Effect of topical cimetidine rinse on gingival crevicular neutrophil leukocyte function. J. Periodontol. 2005, 76, 998–1005. [Google Scholar] [CrossRef]
- Prestifilippo, J.P.; Fernández-Solari, J.; Martinel Lamas, D.J.; Rio, C.E.; Mohn, C.; Perazzo, J.C.; Rivera, E.S.; Elverdin, J.C.; Medina, V.A. Pharmacological targeting of histamine H4 receptor in periodontal disease. Oral. Dis. 2016, 22, 423–429. [Google Scholar] [CrossRef]
- Roldan, A.L.; García Giménez, J.L.; Illueca, F.A. Impact of periodontal treatment on the RANKL/OPG ratio in crevicular fluid. PLoS ONE 2020, 15, e0227757. [Google Scholar]
- Kim, J.H.; Kim, A.R.; Choi, Y.H.; Jang, S.; Woo, G.H.; Cha, J.H.; Bak, E.J.; Yoo, Y.J. Tumor necrosis factor-α antagonist diminishes osteocytic RANKL and sclerostin expression in diabetes rats with periodontitis. PLoS ONE 2017, 12, e0189702. [Google Scholar] [CrossRef]
- Zhou, T.; Chen, D.; Li, Q.; Sun, X.; Song, Y.; Wang, C. Curcumin inhibits inflammatory response and bone loss during experimental periodontitis in rats. Acta Odontol. Scand. 2013, 71, 349–356. [Google Scholar] [CrossRef]
- Karatas, O.; Balci Yuce, H.; Taskan, M.M.; Gevrek, F.; Alkan, C.; Isiker Kara, G.; Temiz, C. Cinnamic acid decreases periodontal inflammation and alveolar bone loss in experimental periodontitis. J. Periodontal Res. 2020, 55, 676–685. [Google Scholar] [CrossRef] [PubMed]
- Araújo, A.A.; Souza, T.O.; Moura, L.M.; Brito, G.A.; Aragão, K.S.; Araújo, L.S.; Medeiros, C.A.; Alves, M.S.; Araújo, R.F., Jr. Effect of telmisartan on levels of IL-1, TNF-α, down-regulated COX-2, MMP-2, MMP-9 and RANKL/RANK in an experimental periodontitis model. J. Clin. Periodontol. 2013, 40, 1104–1111. [Google Scholar] [CrossRef] [PubMed]
- Ezzat, B.A.; Abbass, M.M. The ability of H1 or H2 receptor antagonists or their combination in counteracting the glucocorticoid-induced alveolar bone loss in rats. J. Oral. Pathol. Med. 2014, 43, 148–156. [Google Scholar] [CrossRef] [PubMed]
- Sun, Y.; Peng, X.; Li, Y.; Ma, H.; Li, D.; Shi, X. The effects of histamine H1 type receptor (H1R) in regulating osteoblastic cell differentiation and mineralization. Artif. Cells Nanomed. Biotechnol. 2019, 47, 1281–1287. [Google Scholar] [CrossRef] [PubMed]
- De Oliveira, P.A.; De Pizzol-Júnior, J.P.; Longhini, R.; Sasso-Cerr, E. Cimetidine reduced Interleukin-6; Matrix Metalloproteinases-1 and -9 Immunoexpression in the gingival mucosa of rat molars with induced periodontal disease. J. Periodontol. 2017, 88, 100–111. [Google Scholar] [CrossRef]
- Hasturk, H.; Kantarci, A.; Ebrahimi, N.; Andry, C.; Holick, M.; Jones, V.L.; Van Dyke, E. Topical H2 Antagonist Prevents Periodontitis in a Rabbit Model. Infect. Immun. 2006, 74, 2402–2414. [Google Scholar] [CrossRef]
- Kim, K.W.; Kim, B.M.; Lee, K.A.; Lee, S.H.; Firestein, G.S.; Kim, H.R. Histamine and histamine H4 receptor promotes osteoclastogenesis in rheumatoid arthritis. Sci. Rep. 2017, 7, 1197. [Google Scholar] [CrossRef]
- Łażewska, D.; Ligneau, X.; Schwartz, J.C.; Schunack, W.; Stark, H.; Kieć-Kononowicz, K. Ether derivatives of 3-piperidinopropan-1-ol as non-imidazole histamine H3 receptor antagonists. Bioorg. Med. Chem. 2006, 14, 3522–3529. [Google Scholar] [CrossRef]
- Grosicki, M.; Adami, M.; Micheloni, C.; Chłopicki, S.; Łażewska, D.; Więcek, M.; Kieć-Kononowicz, K. Why it is a good idea to perform pharmacological studies on human primary cells- the story of DL-76 the histamine H3 Ligand. Inflamm. Res. 2019, 68 (Suppl. S1), 24. [Google Scholar]
- Mogilski, S.; Łażewska, D.; Kubacka, M.; Gluch-Lutwin, M.; Mordyl, B.; Filipek, B.; Kieć-Kononowicz, K. Antinociceptive and antipruritic effects of the histamine H3 receptor antagonist (DL-76) in acute inflammatory and neuropathic pain and histamine-dependent and -independent itch. Inflam. Res. 2019, 68 (Suppl. S1), 33. [Google Scholar]
- Łażewska, D.; Kaleta, M.; Schwed, J.S.; Karcz, T.; Mogilski, S.; Latacz, G.; Olejarz, A.; Siwek, A.; Kubacka, M.; Lubelska, A.; et al. Biphenyloxy-alkyl-piperidine and azepane derivatives as histamine H3 receptor ligands. Bioorg. Med. Chem. 2017, 25, 5341–5354. [Google Scholar] [CrossRef] [PubMed]
- Prestifilippo, J.P.; Carabajal, E.; Croci, M.; Fernández-Solari, J.; Rivera, E.S.; Elverdin, J.C.; Medina, V.A. Histamine modulates salivary secretion and diminishes the progression of periodontal disease in rat experimental periodontitis. Inflamm. Res. 2012, 61, 455–464. [Google Scholar] [CrossRef]
- Clinical Signs of Pain and Disease in Laboratory Animals. Available online: https://your.yale.edu/policies-procedures/guides/4446-clinical-signs-pain-and-disease-laboratory-animals (accessed on 26 May 2024).
- Szafarz, M. Ocena Procesów ADME Nowego Antagonisty Receptora Histaminowego H3 z Grupy Pochodnych Piperydyny; Uniwersytet Jagielloński Collegium Medicum: Kraków, Poland, 2012. [Google Scholar]
- Szafarz, M.; Kryczyk, A.; Łażewska, D.; Kieć-Kononowicz, K.; Wyska, E. Pharmacokinetics and tissue distribution of the new non-imidazole histamine H3 receptor antagonist 1-[3-(4-tert-butylphenoxy) propyl]piperidine in rats. Xenobiotica 2015, 45, 912–920. [Google Scholar] [CrossRef]
- Ribeiro, D.D.S.F.; Freire, J.M.O.; Teixeira, A.H.; Val, D.R.D.; Freitas, A.R.; Gomes, F.I.F.; Silva, A.A.R.E.; Bandeira, P.N.; Santos, H.S.D.; Santos, W.P.D.; et al. Tocoyena sellowiana extract decreases bone loss in an experimental model of periodontitis in rats: Putative role for cyclooxygenase-2 and IL-1 β inhibition. Biomed. Pharmacother. 2018, 98, 863–872. [Google Scholar] [CrossRef] [PubMed]
- Goto, A.; Sonoda, J.; Seki, Y.; Taketa, Y.; Ohta, E.; Nakano, K.; Inomata, A.; Hayakawa, K.; Aoki, T.; Tsukidate, K.; et al. Spontaneous gingivitis related to hair penetration in rats. J. Toxicol. Pathol. 2012, 25, 229–232. [Google Scholar] [CrossRef]
- Kisielowski, K.; Drozdzowska, B.; Koszowski, R.; Rynkiewicz, M.; Szuta, M.; Rahnama, M.; Babiuch, K.; Tyrakowski, M.; Bednarczyk, A.; Kaczmarzyk, T. Immunoexpression of RANK, RANKL and OPG in sporadic odontogenic keratocysts and their potential association with recurrence. Adv. Clin. Exp. Med. 2021, 30, 301–307. [Google Scholar] [CrossRef] [PubMed]
- Gadot, M.; Arad, I.; Atenafu, E.G.; Levartovsky, M.; Portnoy, O.; Davidson, T.; Schor-Bardach, R.; Berger, R.; Leibowitz, R. Response to Anti-PD1/L1 Antibodies in Advanced Urothelial Cancer in the ‘Real-Life’ Setting. Pharmaceuticals 2022, 15, 1154. [Google Scholar] [CrossRef]
- Stepien, K.; Nowak, K.; Kachnic, N.; Horosin, G.; Walczak, P.; Karcinska, A.; Schwarz, T.; Wojtas, M.; Zalewska, M.; Pastuszak, M.; et al. Statin Use in Cancer Patients with Acute Myocardial Infarction and Its Impact on Long-Term Mortality. Pharmaceuticals 2022, 15, 919. [Google Scholar] [CrossRef]


| Variable | M | Me | SD | Min | Max | Statistical Test Result * | |
|---|---|---|---|---|---|---|---|
| RANK-e | SL | 55% | 67.5% | 28.64% | 10% | 80% | χ2(3) = 2.07; p = 0.56 |
| SR | 71.67% | 72.5% | 6.83% | 60% | 80% | ||
| DLL | 60.83% | 65% | 13.57% | 40% | 75% | ||
| DLR | 66.67% | 70% | 11.69% | 50% | 80% | ||
| RANKL-e | SL | 0.83% | 0% | 2.04% | 0% | 5% | χ2(3) = 9.3; p = 0.03 |
| SR | 15% | 20% | 12.25% | 0% | 25% | ||
| DLL | 0% | 0% | 0% | 0% | 0% | ||
| DLR | 0.83% | 0% | 2.04% | 0% | 5% | ||
| OPG-e | SL | 0% | 0% | 0% | 0% | 0% | χ2(3) = 10.77; p = 0.01 |
| SR | 5% | 5% | 4.47% | 0% | 10% | ||
| DLL | 0% | 0% | 0% | 0% | 0% | ||
| DLR | 0.83% | 0% | 2.04% | 0% | 5% | ||
| Variable | n (%) | Statistical Test Result * | ||||
|---|---|---|---|---|---|---|
| Lack of Expression | Low Expression | Average Expression | High Expression | |||
| RANK-e | SL | 0 (0%) | 1 (16,7%) | 1 (16.7%) | 4 (66.6%) | χ2(6) = 5.58; p = 0.47 |
| SR | 0 (0%) | 0 (0%) | 0 (0%) | 6 (100%) | ||
| DLL | 0 (0%) | 0 (0%) | 2 (33.3%) | 4 (66.7%) | ||
| DLR | 0 (0%) | 0 (0%) | 1 (16.7%) | 5 (83.3%) | ||
| RANK-s | SL | 0 (0%) | 6 (100%) | 0 (0%) | 0 (0%) | χ2(3) = 9.78; p = 0.02 |
| SR | 0 (0%) | 6 (100%) | 0 (0%) | 0 (0%) | ||
| DLL | 4 (66.7%) | 2 (33.3%) | 0 (0%) | 0 (0%) | ||
| DLR | 2 (33.3%) | 4 (66.7%) | 0 (0%) | 0 (0%) | ||
| RANKL-e | SL | 5 (83.3%) | 1 (16.7%) | 0 (0%) | 0 (0%) | χ2(3) = 8; p = 0.046 |
| SR | 2 (33.3%) | 4 (66.7%) | 0 (0%) | 0 (0%) | ||
| DLL | 6 (100%) | 0 (0%) | 0 (0%) | 0 (0%) | ||
| DLR | 5 (83.3%) | 1 (16.7%) | 0 (0%) | 0 (0%) | ||
| RANKL-s | SL | 5 (83.3%) | 1 (16.7) | 0 (0%) | 0 (0%) | χ2(3) = 2.18; p = 0.54 |
| SR | 5 (83.3%) | 1 (16.7) | 0 (0%) | 0 (0%) | ||
| DLL | 6 (100%) | 0 (0%) | 0 (0%) | 0 (0%) | ||
| DLR | 6 (100%) | 0 (0%) | 0 (0%) | 0 (0%) | ||
| OPG-e | SL | 6 (100%) | 0 (0%) | 0 (0%) | 0 (0%) | χ2(3) = 10.86; p = 0.01 |
| SR | 2 (33.3%) | 4 (66.7%) | 0 (0%) | 0 (0%) | ||
| DLL | 6 (100%) | 0 (0%) | 0 (0%) | 0 (0%) | ||
| DLR | 5 (83.3%) | 1 (16.7%) | 0 (0%) | 0 (0%) | ||
| OPG-s | SL | 6 (100%) | 0 (0%) | 0 (0%) | 0 (0%) | χ2(3) = 10.29; p = 0.02 |
| SR | 3 (50%) | 3 (50%) | 0 (0%) | 0 (0%) | ||
| DLL | 6 (100%) | 0 (0%) | 0 (0%) | 0 (0%) | ||
| DLR | 6 (100%) | 0 (0%) | 0 (0%) | 0 (0%) | ||
| Variable | M. | Me | SD | Min | Max | Statistical Test Result * | |
|---|---|---|---|---|---|---|---|
| Mesial space | SL | 0.39 | 0.41 | 0.09 | 0.25 | 0.51 | χ2 (3) = 20.25; p < 0.001 |
| SR | 0.79 | 0.82 | 0.17 | 0.54 | 0.98 | ||
| DLL | 0 | 0 | 0 | 0 | 0 | ||
| DLR | 0.18 | 0.23 | 0.16 | 0 | 0.33 | ||
| Distal space | SL | 0.37 | 0.15 | 0.14 | 0.25 | 0.64 | χ2 (3) = 20.85; p < 0.001 |
| SR | 0.84 | 0.8 | 0.2 | 0.58 | 1.13 | ||
| DLL | 0 | 0 | 0 | 0 | 0 | ||
| DLR | 0.09 | 0.08 | 0.1 | 0 | 0.2 | ||
Disclaimer/Publisher’s Note: The statements, opinions and data contained in all publications are solely those of the individual author(s) and contributor(s) and not of MDPI and/or the editor(s). MDPI and/or the editor(s) disclaim responsibility for any injury to people or property resulting from any ideas, methods, instructions or products referred to in the content. |
© 2024 by the authors. Licensee MDPI, Basel, Switzerland. This article is an open access article distributed under the terms and conditions of the Creative Commons Attribution (CC BY) license (https://creativecommons.org/licenses/by/4.0/).
Share and Cite
Geremek, M.; Drozdzowska, B.; Łażewska, D.; Kieć-Kononowicz, K.; Jochem, J. Effects of the DL76 Antagonist/Inverse Agonist of Histamine H3 Receptors on Experimental Periodontitis in Rats: Morphological Studies. Pharmaceuticals 2024, 17, 792. https://doi.org/10.3390/ph17060792
Geremek M, Drozdzowska B, Łażewska D, Kieć-Kononowicz K, Jochem J. Effects of the DL76 Antagonist/Inverse Agonist of Histamine H3 Receptors on Experimental Periodontitis in Rats: Morphological Studies. Pharmaceuticals. 2024; 17(6):792. https://doi.org/10.3390/ph17060792
Chicago/Turabian StyleGeremek, Mariusz, Bogna Drozdzowska, Dorota Łażewska, Katarzyna Kieć-Kononowicz, and Jerzy Jochem. 2024. "Effects of the DL76 Antagonist/Inverse Agonist of Histamine H3 Receptors on Experimental Periodontitis in Rats: Morphological Studies" Pharmaceuticals 17, no. 6: 792. https://doi.org/10.3390/ph17060792
APA StyleGeremek, M., Drozdzowska, B., Łażewska, D., Kieć-Kononowicz, K., & Jochem, J. (2024). Effects of the DL76 Antagonist/Inverse Agonist of Histamine H3 Receptors on Experimental Periodontitis in Rats: Morphological Studies. Pharmaceuticals, 17(6), 792. https://doi.org/10.3390/ph17060792

