The Effect of Water-Soluble Alpinia Galanga Extract on Sleep and the Activation of the GABAAergic/Serotonergic Pathway in Mice
Abstract
1. Introduction
2. Results
2.1. Sleep Duration and Latency
2.2. Wakefulness and NREMS
2.3. Brain Serotonin and Dopamine
2.4. GABAergic Receptors
2.5. Glutamatergic and Serotonergic Receptors
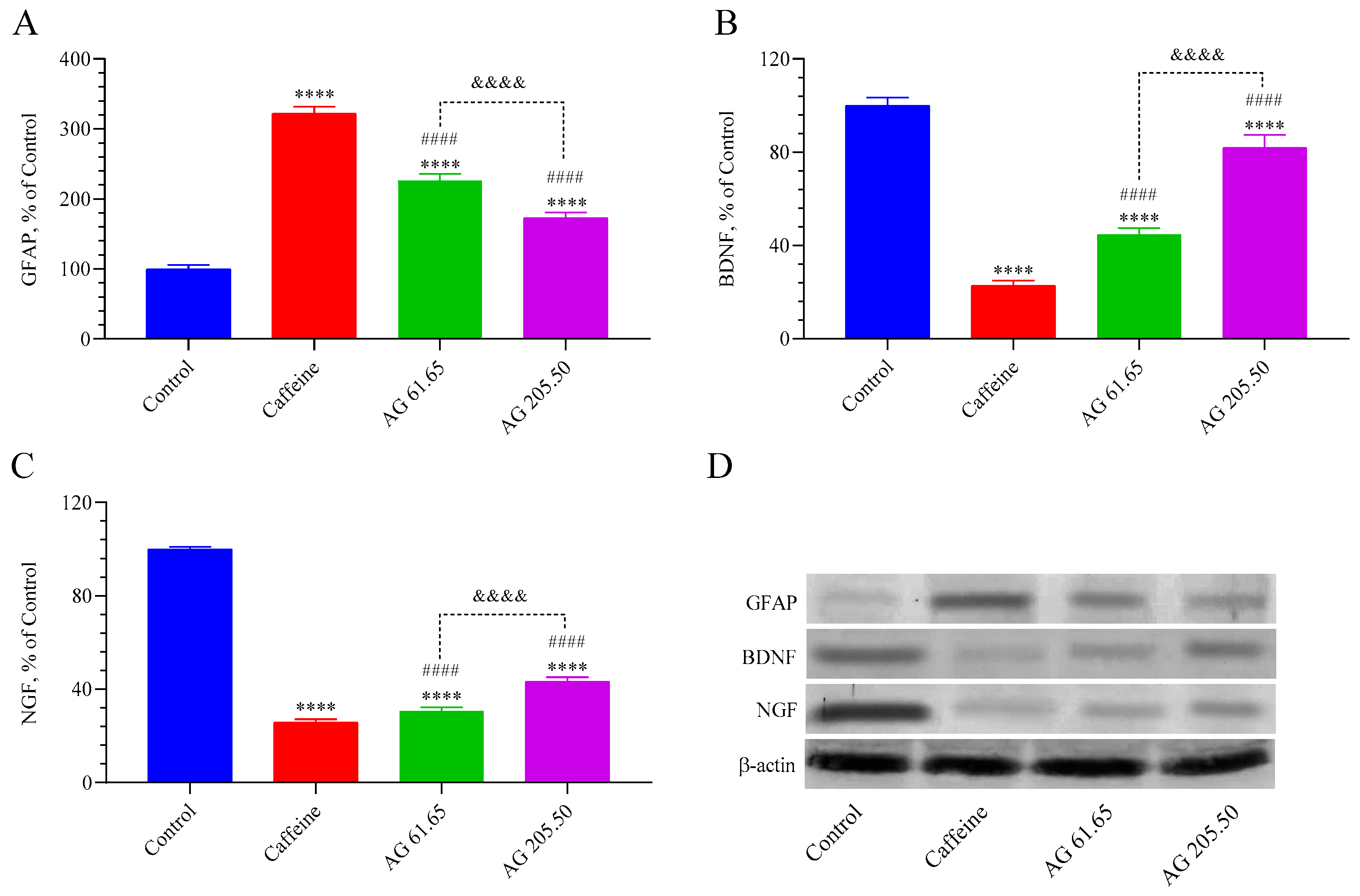
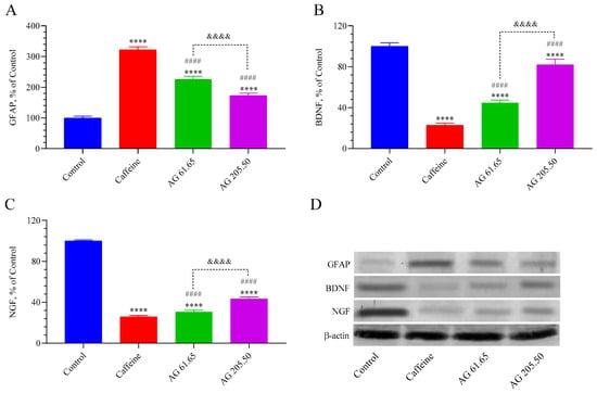
2.6. Neurotrophic Factors
3. Discussion
4. Materials and Methods
4.1. Animals
4.2. Experimental Procedures and Sampling
4.3. Laboratory Analysis
4.4. Statistical Analyses
Supplementary Materials
Author Contributions
Funding
Institutional Review Board Statement
Informed Consent Statement
Data Availability Statement
Conflicts of Interest
References
- Liew, S.C.; Aung, T. Sleep deprivation and its association with diseases—A review. Sleep Med. 2021, 77, 192–204. [Google Scholar] [CrossRef]
- Bishir, M.; Bhat, A.; Essa, M.M.; Ekpo, O.; Ihunwo, A.O.; Veeraraghavan, V.P.; Mohan, S.K.; Mahalakshmi, A.M.; Ray, B.; Tuladhar, S.; et al. Sleep deprivation and neurological disorders. Biomed. Res. Int. 2020, 2020, 5764017. [Google Scholar] [CrossRef] [PubMed]
- Streatfeild, J.; Smith, J.; Mansfield, D.; Pezzullo, L.; Hillman, D. The social and economic cost of sleep disorders. Sleep 2021, 44, zsab132. [Google Scholar] [CrossRef] [PubMed]
- Konduru, S.S.; Pan, Y.-Z.; Wallace, E.; Pfammatter, J.A.; Jones, M.V.; Maganti, R.K. Sleep deprivation exacerbates seizures and diminishes GABAergic tonic inhibition. Ann. Neurol. 2021, 90, 840–844. [Google Scholar] [CrossRef] [PubMed]
- Gottesmann, C. GABA mechanisms and sleep. Neuroscience 2002, 111, 231–239. [Google Scholar] [CrossRef] [PubMed]
- Chen, Z.-K.; Dong, H.; Liu, C.-W.; Liu, W.-Y.; Zhao, Y.-N.; Xu, W.; Sun, X.; Xiong, Y.-Y.; Liu, Y.-Y.; Yuan, X.-S.; et al. A cluster of mesopontine GABAergic neurons suppresses REM sleep and curbs cataplexy. Cell Discov. 2022, 8, 115. [Google Scholar] [CrossRef]
- Xiang, T.; Liao, J.; Cai, Y.; Fan, M.; Li, C.; Zhang, X.; Li, H.; Chen, Y.; Pan, J. Impairment of GABA inhibition in insomnia disorders: Evidence from the peripheral blood system. Front. Psychiatry 2023, 14, 1134434. [Google Scholar] [CrossRef]
- Gvilia, I. Underlying brain mechanisms that regulate sleep–wakefulness cycles. In International Review of Neurobiology; Clow, A., Thorn, L., Eds.; Academic Press: Cambridge, MA, USA, 2010; Volume 93, pp. 1–21. [Google Scholar]
- Lopez, J.; Roffwarg, H.P.; Dreher, A.; Bissette, G.; Karolewicz, B.; Shaffery, J.P. Rapid eye movement sleep deprivation decreases long-term potentiation stability and affects some glutamatergic signaling proteins during hippocampal development. Neuroscience 2008, 153, 44–53. [Google Scholar] [CrossRef] [PubMed]
- Kim, D.; Kim, J.; Kim, S.; Yoon, M.; Um, M.; Kim, D.; Kwon, S.; Cho, S. Arousal-inducing effect of garcinia cambogia peel extract in pentobarbital-induced sleep test and electroencephalographic analysis. Nutrients 2021, 13, 2845. [Google Scholar] [CrossRef]
- Shilo, L.; Sabbah, H.; Hadari, R.; Kovatz, S.; Weinberg, U.; Dolev, S.; Dagan, Y.; Shenkman, L. The effects of coffee consumption on sleep and melatonin secretion. Sleep Med. 2002, 3, 271–273. [Google Scholar] [CrossRef]
- Amer, S.A.; AlAmri, F.A.; AlRadini, F.A.; Alenezi, M.A.; Shah, J.; Fagehy, A.A.; Shajeri, G.M.; Abdullah, D.M.; Zaitoun, N.A.; Elsayed, M. Caffeine addiction and determinants of caffeine consumption among health care providers: A descriptive national study. Eur. Rev. Med. Pharmacol. Sci. 2023, 27, 3230–3242. [Google Scholar] [PubMed]
- Alasmari, F. Caffeine induces neurobehavioral effects through modulating neurotransmitters. Saudi Pharm. J. 2020, 28, 445–451. [Google Scholar] [CrossRef] [PubMed]
- Isokawa, M. Caffeine-induced suppression of gabaergic inhibition and calcium-independent metaplasticity. Neural Plast. 2016, 2016, 1239629. [Google Scholar] [CrossRef] [PubMed]
- Ramanunny, A.K.; Wadhwa, S.; Gulati, M.; Vishwas, S.; Khursheed, R.; Paudel, K.R.; Gupta, S.; Porwal, O.; Alshahrani, S.M.; Jha, N.K.; et al. Journey of Alpinia galanga from kitchen spice to nutraceutical to folk medicine to nanomedicine. J. Ethnopharmacol. 2022, 291, 115144. [Google Scholar] [CrossRef] [PubMed]
- Saha, S.; Banerjee, S. Central nervous system stimulant actions of Alpinia galanga (L.) rhizome: A preliminary study. Indian J. Exp. Biol. 2013, 51, 828–832. [Google Scholar]
- Srivastava, S. Selective enhancement of focused attention by Alpinia galanga in subjects with moderate caffeine consumption. Open Access J. Clin. Trials 2018, 10, 43–49. [Google Scholar] [CrossRef]
- Srivastava, S.; Mennemeier, M.; Pimple, S. Effect of Alpinia galanga on mental alertness and sustained attention with or without caffeine: A randomized placebo-controlled study. J. Am. Coll. Nutr. 2017, 36, 631–639. [Google Scholar] [CrossRef]
- Hanish Singh, J.C.; Alagarsamy, V.; Diwan, P.V.; Sathesh Kumar, S.; Nisha, J.C.; Narsimha Reddy, Y. Neuroprotective effect of Alpinia galanga (L.) fractions on Aβ(25-35) induced amnesia in mice. J. Ethnopharmacol. 2011, 138, 85–91. [Google Scholar] [CrossRef]
- Mundugaru, R.; Sivanesan, S.; Udaykumar, P.; Vidyadhara, D.; Prabhu, S.N.; Ravishankar, B. Neuroprotective functions of Alpinia galanga in forebrain ischemia induced neuronal damage and oxidative insults in rat hippocampus. Indian J. Pharm. Educ. Res. 2018, 52, s77–s85. [Google Scholar] [CrossRef]
- Swathi, N.; Tripathy, S. Protective effect of alpinia galanga aganist d-galactose induced brain aging. Int. J. Med. Sci. Phar. 2016, 2, 7–17. [Google Scholar] [CrossRef]
- Abd Rahman, I.Z.; Adam, S.H.; Hamid, A.A.; Mokhtar, M.H.; Mustafar, R.; Kashim, M.I.; Febriza, A.; Mansor, N.I. Potential neuroprotective effects of Alpinia officinarum Hance (galangal): A review. Nutrients 2024, 16, 3378. [Google Scholar] [CrossRef] [PubMed]
- Gardiner, C.; Weakley, J.; Burke, L.M.; Roach, G.D.; Sargent, C.; Maniar, N.; Townshend, A.; Halson, S.L. The effect of caffeine on subsequent sleep: A systematic review and meta-analysis. Sleep Med. Rev. 2023, 69, 101764. [Google Scholar] [CrossRef] [PubMed]
- Eraiah, M.M.; Kundapur, M.; Joshua, L.; Thomas, J.V. Acute effects of alpinia galanga extract on mental alertness, accuracy and fatigue in human subjects: A randomized, double-blind, placebo-controlled, cross-over study. Adv. Complement. Alt. Med. 2023, 7, 717–726. [Google Scholar]
- Pérez-Jiménez, J.; Agnant, K.; Lamuela-Raventós, R.M.; St-Onge, M.-P. Dietary polyphenols and sleep modulation: Current evidence and perspectives. Sleep Med. Rev. 2023, 72, 101844. [Google Scholar] [CrossRef]
- Woo, J.; Lee, C.J. Sleep-enhancing effects of phytoncide via behavioral, electrophysiological, and molecular modeling approaches. Exp. Neurobiol. 2020, 29, 120–129. [Google Scholar] [CrossRef]
- Dasdelen, M.F.; Er, S.; Kaplan, B.; Celik, S.; Beker, M.C.; Orhan, C.; Tuzcu, M.; Sahin, N.; Mamedova, H.; Sylla, S.; et al. A novel theanine complex, Mg-L-theanine improves sleep quality via regulating brain electrochemical activity. Front. Nutr. 2022, 9, 874254. [Google Scholar] [CrossRef]
- Ursin, R. Serotonin and sleep. Sleep Med. Rev. 2002, 6, 55–67. [Google Scholar] [CrossRef]
- Tu, Y.; Cheng, S.-X.; Sun, H.-T.; Ma, T.-Z.; Zhang, S. Ferulic acid potentiates pentobarbital-induced sleep via the serotonergic system. Neurosci. Lett. 2012, 525, 95–99. [Google Scholar] [CrossRef]
- Dubey, P.; Pandey, K.B. Neurotransmitter Modulation by Phytochemicals. In Phytochemical Drug Discovery for Central Nervous System Disorders; Wiley: Hoboken, NJ, USA, 2023; pp. 311–325. [Google Scholar]
- Bateson, A.N. Further potential of the GABA receptor in the treatment of insomnia. Sleep Med. 2006, 7, S3–S9. [Google Scholar] [CrossRef]
- Wan, X.; Mathers, D.A.; Puil, E. Pentobarbital modulates intrinsic and GABA-receptor conductances in thalamocortical inhibition. Neuroscience 2003, 121, 947–958. [Google Scholar] [CrossRef]
- Savage, K.; Firth, J.; Stough, C.; Sarris, J. GABA-modulating phytomedicines for anxiety: A systematic review of preclinical and clinical evidence. Phytother. Res. 2018, 32, 3–18. [Google Scholar] [CrossRef] [PubMed]
- Wang, J.; Akbari, A.; Chardahcherik, M.; Wu, J. Ginger (Zingiber officinale Roscoe) ameliorates ethanol-induced cognitive impairment by modulating NMDA and GABA-A receptors in rat hippocampus. Metab. Brain Dis. 2024, 39, 67–76. [Google Scholar] [CrossRef] [PubMed]
- Zhao, X.; Wang, C.; Zhang, J.-F.; Liu, L.; Liu, A.-M.; Ma, Q.; Zhou, W.-H.; Xu, Y. Chronic curcumin treatment normalizes depression-like behaviors in mice with mononeuropathy: Involvement of supraspinal serotonergic system and GABAA receptor. Psychopharmacology 2014, 231, 2171–2187. [Google Scholar] [CrossRef] [PubMed]
- Vyleta, N.P.; Smith, S.M. Fast inhibition of glutamate-activated currents by caffeine. PLoS ONE 2008, 3, e3155. [Google Scholar] [CrossRef]
- Fiszman, M.L.; Barberis, A.; Lu, C.; Fu, Z.; Erdélyi, F.; Szabó, G.; Vicini, S. NMDA receptors increase the size of GABAergic terminals and enhance GABA release. J. Neurosci. 2005, 25, 2024–2031. [Google Scholar] [CrossRef]
- Ostrowski, T.D.; Ostrowski, D.; Hasser, E.M.; Kline, D.D. Depressed GABA and glutamate synaptic signaling by 5-HT1A receptors in the nucleus tractus solitarii and their role in cardiorespiratory function. J. Neurophysiol. 2014, 111, 2493–2504. [Google Scholar] [CrossRef]
- Sahin, K.; Gencoglu, H.; Korkusuz, A.K.; Orhan, C.; Aldatmaz, İ.E.; Erten, F.; Er, B.; Morde, A.; Padigaru, M.; Kilic, E. Impact of a novel valerian extract on sleep quality, relaxation, and GABA/Serotonin receptor activity in a murine model. Antioxidants 2024, 13, 657. [Google Scholar] [CrossRef]
- Kaczmarski, P.; Sochal, M.; Strzelecki, D.; Białasiewicz, P.; Gabryelska, A. Influence of glutamatergic and GABAergic neurotransmission on obstructive sleep apnea. Front. Neurosci. 2023, 17, 1213971. [Google Scholar] [CrossRef]
- Ríos, J.-L.; Schinella, G.R.; Moragrega, I. Phenolics as GABAA receptor ligands: An updated review. Molecules 2022, 27, 1770. [Google Scholar] [CrossRef]
- Ciranna, L. Serotonin as a modulator of glutamate- and GABA-mediated neurotransmission: Implications in physiological functions and in pathology. Curr. Neuropharmacol. 2006, 4, 101–114. [Google Scholar] [CrossRef]
- Benedetto, L.; Chase, M.H.; Torterolo, P. GABAergic processes within the median preoptic nucleus promote NREM sleep. Behav. Brain Res. 2012, 232, 60–65. [Google Scholar] [CrossRef] [PubMed]
- Sanchez-Vives, M.V.; Barbero-Castillo, A.; Perez-Zabalza, M.; Reig, R. GABAB receptors: Modulation of thalamocortical dynamics and synaptic plasticity. Neuroscience 2021, 456, 131–142. [Google Scholar] [CrossRef] [PubMed]
- Portas, C.M.; Bjorvatn, B.; Ursin, R. Serotonin and the sleep/wake cycle: Special emphasis on microdialysis studies. Prog. Neurobiol. 2000, 60, 13–35. [Google Scholar] [CrossRef] [PubMed]
- Vaseghi, S.; Arjmandi-Rad, S.; Nasehi, M.; Zarrindast, M.-R. Cannabinoids and sleep-wake cycle: The potential role of serotonin. Behav. Brain Res. 2021, 412, 113440. [Google Scholar] [CrossRef] [PubMed]
- Dong, H.; Wang, J.; Yang, Y.-F.; Shen, Y.; Qu, W.-M.; Huang, Z.-L. Dorsal striatum dopamine levels fluctuate across the sleep–wake cycle and respond to salient stimuli in mice. Front. Neurosci. 2019, 13, 242. [Google Scholar] [CrossRef]
- Monteiro, B.C.; Monteiro, S.; Candida, M.; Adler, N.; Paes, F.; Rocha, N.; Nardi, A.E.; Murillo-Rodriguez, E.; Machado, S. Relationship between brain-derived neurotrofic factor (Bdnf) and sleep on depression: A critical review. Clin. Pract. Epidemiol. Ment. Health 2017, 13, 213–219. [Google Scholar] [CrossRef]
- Silva Junior, J.F.; Eckeli, A.L.; Ribeiro, C.C.C.; Batista, R.F.L.; da Silva, A.A.M.; Alves, C.M.C. Influence of excessive daily sleeping and sleep quality on BDNF and NGF serum levels in adolescents. Sleep Med. 2021, 84, 415–423. [Google Scholar] [CrossRef]
- Zhang, P.; Li, Y.-X.; Zhang, Z.-Z.; Yang, Y.; Rao, J.-X.; Xia, L.; Li, X.-Y.; Chen, G.-H.; Wang, F. Astroglial mechanisms underlying chronic insomnia disorder: A clinical study. Nat. Sci. Sleep 2020, 12, 693–704. [Google Scholar] [CrossRef]
- Abd El-Aal, S.A.; AbdElrahman, M.; Reda, A.M.; Afify, H.; Ragab, G.M.; El-Gazar, A.A.; Ibrahim, S.S.A. Galangin mitigates DOX-induced cognitive impairment in rats: Implication of NOX-1/Nrf-2/HMGB1/TLR4 and TNF-α/MAPKs/RIPK/MLKL/BDNF. NeuroToxicology 2022, 92, 77–90. [Google Scholar] [CrossRef]
- Hurley, L.L.; Akinfiresoye, L.; Nwulia, E.; Kamiya, A.; Kulkarni, A.A.; Tizabi, Y. Antidepressant-like effects of curcumin in WKY rat model of depression is associated with an increase in hippocampal BDNF. Behav. Brain Res. 2013, 239, 27–30. [Google Scholar] [CrossRef]
- Ruan, S.-S.; He, P.-C.; Cao, Q.-Q.; Ma, T. Curcumin inhibits expression of brain derived neurotrophic factor (BDNF) in hippocampus of mice with sleep deprivation. Trop. J. Med. Res. 2023, 22, 99–103. [Google Scholar] [CrossRef]
- Cho, S.; Yoon, M.; Kim, D.; Kim, J.-S.; Yang, H.; Lee, C.-H.; Kim, I.-H.; Shimizu, M.; Han, D. Effect of the licorice flavonoid isoliquiritigenin on the sleep architecture and profile in mice. Food Sci. Biotechnol. 2012, 21, 1221–1225. [Google Scholar] [CrossRef]






Disclaimer/Publisher’s Note: The statements, opinions and data contained in all publications are solely those of the individual author(s) and contributor(s) and not of MDPI and/or the editor(s). MDPI and/or the editor(s) disclaim responsibility for any injury to people or property resulting from any ideas, methods, instructions or products referred to in the content. |
© 2024 by the authors. Licensee MDPI, Basel, Switzerland. This article is an open access article distributed under the terms and conditions of the Creative Commons Attribution (CC BY) license (https://creativecommons.org/licenses/by/4.0/).
Share and Cite
Sahin, K.; Korkusuz, A.K.; Sahin, E.; Orhan, C.; Er, B.; Morde, A.; Padigaru, M.; Kilic, E. The Effect of Water-Soluble Alpinia Galanga Extract on Sleep and the Activation of the GABAAergic/Serotonergic Pathway in Mice. Pharmaceuticals 2024, 17, 1649. https://doi.org/10.3390/ph17121649
Sahin K, Korkusuz AK, Sahin E, Orhan C, Er B, Morde A, Padigaru M, Kilic E. The Effect of Water-Soluble Alpinia Galanga Extract on Sleep and the Activation of the GABAAergic/Serotonergic Pathway in Mice. Pharmaceuticals. 2024; 17(12):1649. https://doi.org/10.3390/ph17121649
Chicago/Turabian StyleSahin, Kazim, Ahmet Kayhan Korkusuz, Emre Sahin, Cemal Orhan, Besir Er, Abhijeet Morde, Muralidhara Padigaru, and Ertugrul Kilic. 2024. "The Effect of Water-Soluble Alpinia Galanga Extract on Sleep and the Activation of the GABAAergic/Serotonergic Pathway in Mice" Pharmaceuticals 17, no. 12: 1649. https://doi.org/10.3390/ph17121649
APA StyleSahin, K., Korkusuz, A. K., Sahin, E., Orhan, C., Er, B., Morde, A., Padigaru, M., & Kilic, E. (2024). The Effect of Water-Soluble Alpinia Galanga Extract on Sleep and the Activation of the GABAAergic/Serotonergic Pathway in Mice. Pharmaceuticals, 17(12), 1649. https://doi.org/10.3390/ph17121649

