Interactive Blood Vessel Segmentation from Retinal Fundus Image Based on Canny Edge Detector
Abstract
:1. Introduction
2. Preliminaries
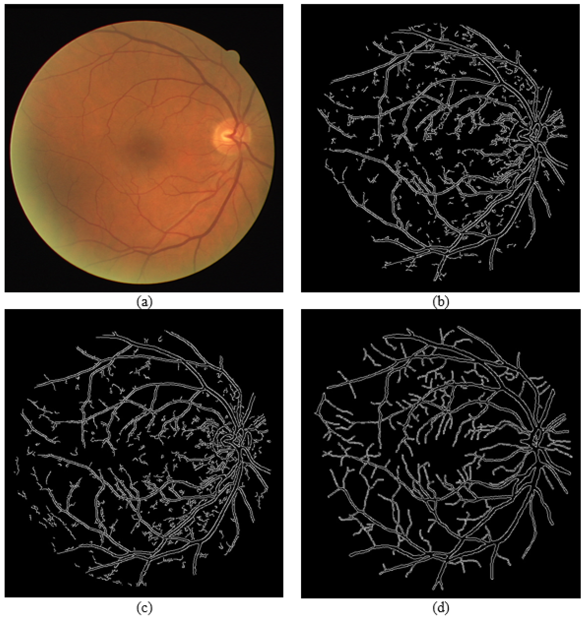
2.1. Canny Edge Detection Technique
- 1.
- As the edges would be affected by noise, the noise reduction technique is applied. For this purpose, the input image is convolved with a Gaussian filter.
- 2.
- Information about the edges—the edge magnitude and direction—is calculated from the gradient components. The gradient components are obtained from the first difference gradient operator.
- 3.
- Edge candidates are identified by applying the non-maximal or critical suppression to the gradient magnitude.
- 4.
- The edges are further refined by applying the threshold to the non-maximal suppression image.
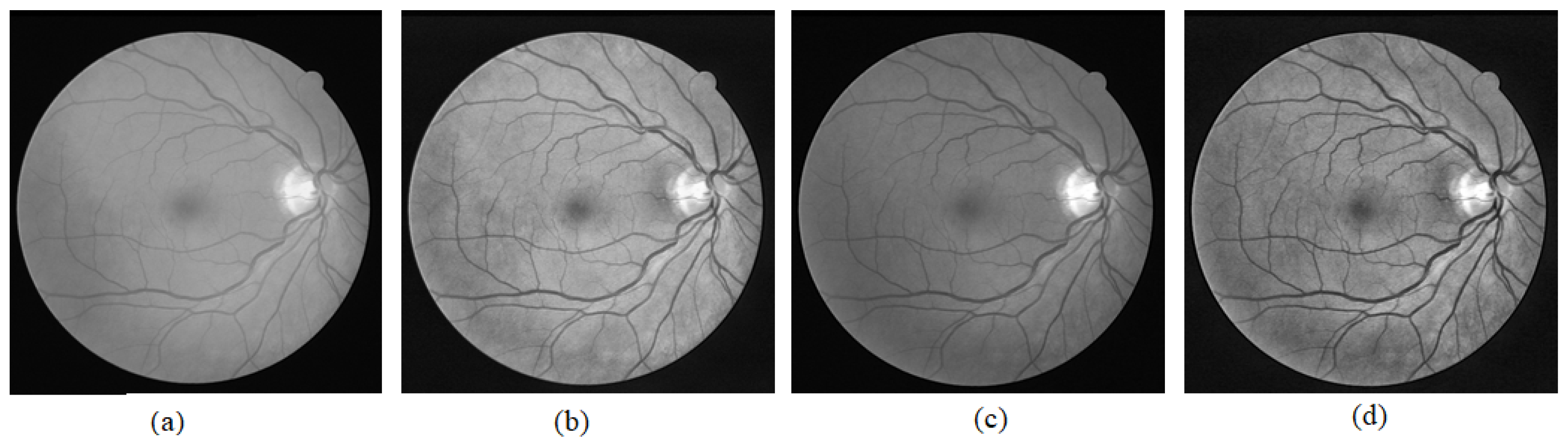
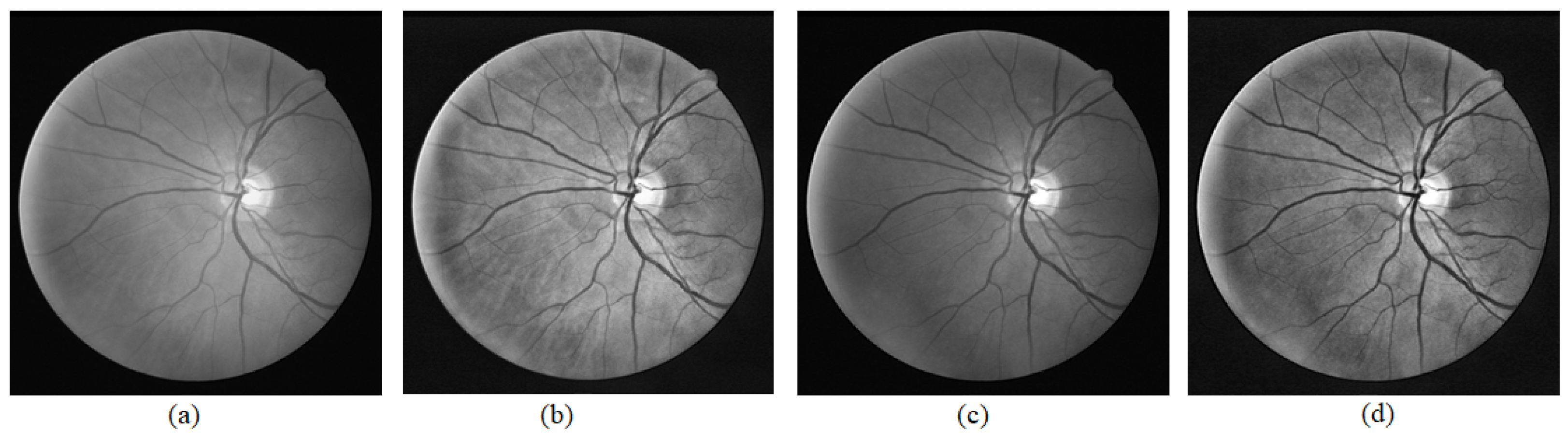
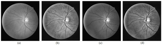
2.2. Image Processing Techniques
2.3. Pratt’S Figure of Merit (PFOM)
3. Proposed Segmentation Approach
3.1. Dataset
3.2. Overall Flow of Program
3.3. Edge Detection Method
- 1.
- Interactively changing the size of the filters used for CLAHE and Gaussian smoothing. By changing the parameters of the filter, it may help us to get a better-contrasted image.
- 2.
- Changing the threshold values (i.e., low or high threshold values) for the Canny edge detector. As the threshold value can be changed interactively, we can set the threshold values locally. Regions with strong edges can utilize high threshold values, whereas regions with weak edges can utilize relatively lower threshold values.
- 3.
- If both approaches mentioned above fail to produce the intended weak edges, our approach allows the user to switch to a manual mode. Using this mode, the user can define the edges themselves. However, we believe that the quantity of these weak edges is relatively low compared to the strong edges. Thus, in general, the partition where the edges need to be segmented is low in this approach.
3.4. Toolbar Parameters
3.5. Graphical User Interface (GUI)
4. Results and Discussions
4.1. Graphical User Interface Design
4.2. Graphical User Interface Toolbar
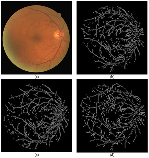
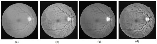
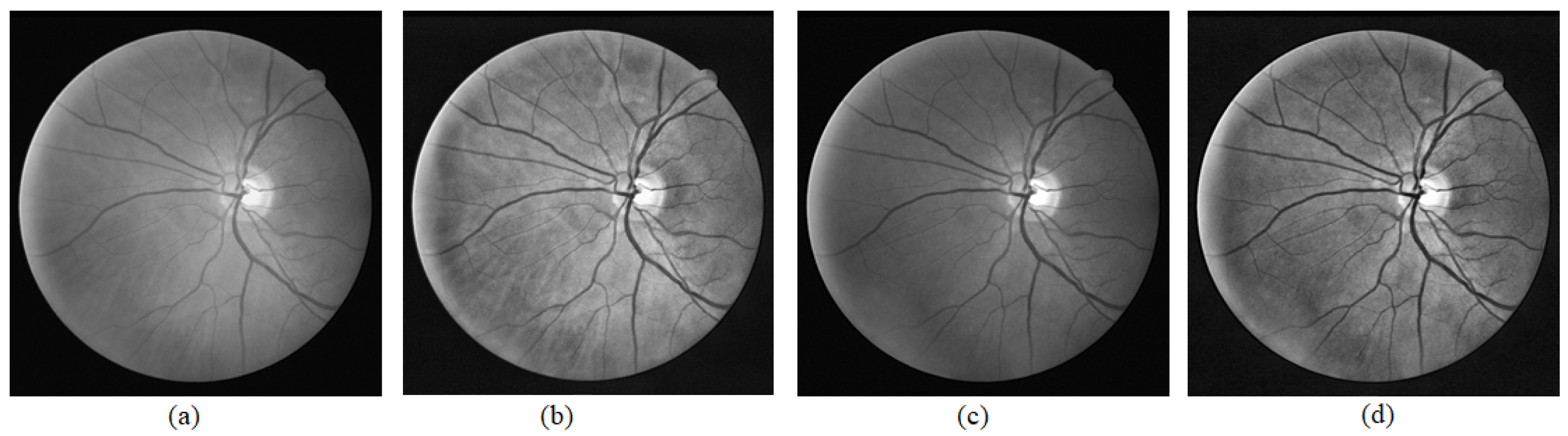
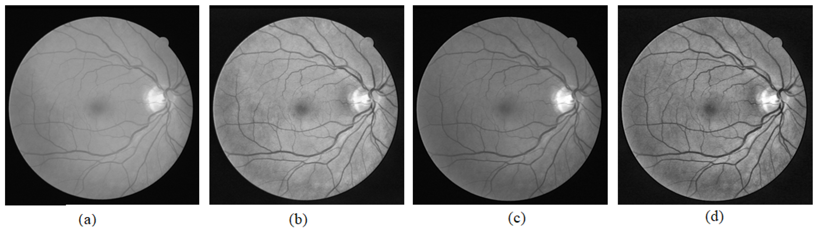
4.3. Edge Detection Technique Results and Evaluation
5. Conclusions
Author Contributions
Funding
Institutional Review Board Statement
Data Availability Statement
Conflicts of Interest
References
- Khanamiri, H.; Nakatsuka, A.; El-Annan, J. Smartphone fundus photography. J. Vis. Exp. 2017, 125, 55958. [Google Scholar] [CrossRef] [PubMed] [Green Version]
- Vilela, M.A.; Valença, F.M.; Barreto, P.K.; Amaral, C.E.; Pellanda, L.C. Agreement between retinal images obtained via smartphones and images obtained with retinal cameras or fundoscopic exams–systematic review and meta-analysis. Clin. Ophthalmol. 2018, 12, 2581–2589. [Google Scholar] [CrossRef] [PubMed] [Green Version]
- Besenczi, R.; Toth, J.; Hajdu, A. A review on automatic analysis techniques for color fundus photographs. Comput. Struct. Biotechnol. J. 2016, 14, 371–384. [Google Scholar] [CrossRef] [PubMed] [Green Version]
- Venkatesh, P.; Sharma, R.; Vashist, N.; Vohra, R.; Garg, S. Detection of retinal lesions in diabetic retinopathy: Comparative evaluation of 7-field digital color photography versus red-free photography. Int. Ophthalmol. 2012, 35, 635–640. [Google Scholar] [CrossRef] [PubMed]
- Ng, E.Y.K.; Acharya, U.R.; Rangayyan, R.M.; Suri, J.S. Ophthalmological Imaging and Applications; CRC Press: Boca Raton, FL, USA, 2014. [Google Scholar]
- Staurenghi, G.; Bottoni, F.; Giani, A. Chapter 2—Clinical applications of diagnostic indocyanine green angiography. In Retina, 5th ed.; W. B. Saunders: Philadelphia, PA, USA, 2013; pp. 51–81. [Google Scholar]
- Sonka, M.; Fitzpatrick, J.; Masters, B. Handbook of Medical Imaging, Volume 2: Medical Image Processing and Analysis; Society of Photo-Optical Instrumentation Engineers, SPIE Publications: Bellingham, WA, USA, 2002. [Google Scholar]
- Abramoff, M.D.; Garvin, M.K.; Sonka, M. Retinal imaging and image analysis. IEEE Rev. Biomed. Eng. 2010, 3, 169–208. [Google Scholar] [CrossRef] [PubMed] [Green Version]
- Tan, C.S.; Ting, D.S.; Lim, L.W. Multicolor fundus imaging of polypoidal choroidal vasculopathy. Ophthalmol. Retin. 2019, 3, 400–409. [Google Scholar] [CrossRef]
- Tan, C.S.; Chew, M.C.; Lim, L.W.; Sadda, S.R. Advances in retinal imaging for diabetic retinopathy and diabetic macular edema. Indian J. Ophthalmol. 2016, 64, 76–83. [Google Scholar]
- Paquet-Dur, F.; Beck, S.C.; Das, S.; Huber, G.; Chang, L.; Schubert, T.; Tanimoto, N.; Garcia-Garrido, M.; Mühlfriedel, R.; Bolz, S.; et al. A retinal model of cerebral malaria. Sci. Rep. 2019, 9, 3470. [Google Scholar] [CrossRef] [Green Version]
- Robertson, G.; Fleming, A.; Williams, M.C.; Trucco, E.; Quinn, N.; Hogg, R.; McKay, G.J.; Kee, F.; Young, I.; Pellegrini, E.; et al. Association between hypertension and retinal vascular features in ultra-widefield fundus imaging. Open Heart 2020, 7, e001124. [Google Scholar] [CrossRef]
- Lee, G.I.; Park, K.A.; Oh, S.Y.; Kong, D.-S. Analysis of optic chiasmal compression caused by brain tumors using optical coherence tomography angiography. Sci. Rep. 2020, 10, 2088. [Google Scholar] [CrossRef] [Green Version]
- Armaly, M.F. Optic cup in normal and glaucomatous eyes. Investig. Ophthalmol. Vis. Sci. 1970, 9, 425–429. [Google Scholar]
- Constantinou, M.; Ferraro, J.G.; Lamoureux, E.L.; Taylor, H.R. Assessment of optic disc cupping with digital fundus photographs. Am. J. Ophthalmol. 2005, 140, 529–531. [Google Scholar] [CrossRef]
- Boever, P.D.; Louwies, T.; Provost, E.; Panis, L.I.; Nawrot, T.S. Fundus photography as a convenient tool to study microvascular responses to cardiovascular disease risk factors in epidemiological studies. J. Vis. Exp. 2014, 92, 51904. [Google Scholar] [CrossRef] [PubMed] [Green Version]
- Almotiri, J.; Elleithy, K.; Elleithy, A. Retinal vessels segmentation techniques and algorithms: A survey. Appl. Sci. 2018, 8, 155. [Google Scholar] [CrossRef] [Green Version]
- Singh, N.; Kaur, L. A survey on blood vessel segmentation methods in retinal images. In Proceedings of the 2015 International Conference on Electronic Design, Computer Networks & Automated Verification (EDCAV), Shillong, India, 29–30 January 2015; pp. 23–28. [Google Scholar] [CrossRef]
- Chakraborty, S.; Chatterjee, S.; Dey, N.; Ashour, A.S.; Shi, F. Gradient approximation in retinal blood vessel segmentation. In Proceedings of the 2017 4th IEEE Uttar Pradesh Section International Conference on Electrical, Computer and Electronics (UPCON), Mathura, India, 26–28 October 2017; pp. 618–623. [Google Scholar] [CrossRef]
- Ansari, M.A.; Kurchaniya, D.; Dixit, M. A comprehensive analysis of image edge detection techniques. Int. J. Multimed. Ubiquitous Eng. 2017, 12, 1–12. [Google Scholar] [CrossRef]
- Xiao, Z.; Zou, Y.; Wang, Z. An improved dynamic double threshold Canny edge detection algorithm. In MIPPR 2019: Pattern Recognition and Computer Vision; International Society for Optics and Photonics: Bellingham, WA, USA, 2020; p. 1143016. [Google Scholar]
- Muthukrishnan, R.; Radha, M. Edge detection techniques for image segmentation. Int. J. Comput. Sci. Inf. Technol. 2011, 3, 259–267. [Google Scholar] [CrossRef]
- Mittal, M.; Verma, A.; Kaur, I.; Kaur, B.; Sharma, M.; Goyal, L.M.; Roy, S.; Kim, T.-H. An efficient edge detection approach to provide better edge connectivity for image analysis. IEEE Access 2019, 7, 33240–33255. [Google Scholar] [CrossRef]
- Guang, D.; Cahill, L.W. An adaptive Gaussian filter for noise reduction and edge detection. In Proceedings of the 1993 IEEE Conference Record Nuclear Science Symposium and Medical Imaging Conference, San Francisco, CA, USA, 31 October–6 November 1993; Volume 3, pp. 1615–1619. [Google Scholar]
- Mortensen, E.N.; Barrett, W.A. Intelligent scissors for image composition. In Proceedings of the 22nd Annual Conference on Computer Graphics and Interactive Techniques, Los Angeles, CA, USA, 6–11 August 1995; pp. 191–198. [Google Scholar]
- Kass, M.; Witkin, A.; Terzopoulos, D. Snakes: Active contour models. Int. J. Comput. Vis. 1988, 1, 321–331. [Google Scholar] [CrossRef]
- Tavakoli, M.; Nazar, M.; Mehdizadeh, A. The efficacy of microaneurysms detection with and without vessel segmentation in color retinal images. In Medical Imaging 2020: Computer-Aided Diagnosis; International Society for Optics and Photonics: Bellingham, WA, USA, 2020; p. 113143Y. [Google Scholar]
- Imran, A.; Li, J.; Pei, Y.; Yang, J.; Wang, Q. Comparative analysis of vessel segmentation techniques in retinal images. IEEE Access 2019, 7, 114862–114887. [Google Scholar] [CrossRef]
- Canny, J.F. A computational approach to edge detection. IEEE Trans. Pattern Anal. Mach. Intell. 1986, 8, 679–698. [Google Scholar] [CrossRef]
- Chang, S.H.; Gong, L.; Li, M.; Hu, X.; Yan, J. Small retinal vessel extraction using modified Canny edge detection. In 2008 International Conference on Audio, Language and Image Processing; IEEE: Piscataway, NJ, USA, 2008; pp. 1255–1259. [Google Scholar]
- Yitao, L.; Fangsheng, Q.; Hua, C.; Weiyang, L. The application study on the improved canny algorithm for edge detection in fundus image. In Software Engineering and Knowledge Engineering: Theory and Practice. Advances in Intelligent and Soft Computing; Zhang, W., Ed.; Springer: Berlin/Heidelberg, Germany, 2012; Volume 162. [Google Scholar]
- Patwari, M.B.; Manza, R.R.; Rajput, Y.M.; Saswade, M.; Deshpande, N. Detection and counting the microaneurysms using image processing techniques. Int. J. Appl. Inform. Syst. 2013, 6, 11–17. [Google Scholar]
- Sisodia, D.S.; Nair, S.; Khobragade, P. Diabetic Retinal Fundus Images: Preprocessing and Feature Extraction for Early Detection of Diabetic Retinopathy. Biomed. Pharmacol. J. 2017, 10, 615–626. [Google Scholar] [CrossRef]
- Ketcham, D.J.; Lowe, R.W.; Weber, J.W. Image Enhancement Techniques for Cockpit Displays; Tech. Rep.; Hughes Aircraft: Philadelphia, PA, USA, 1974. [Google Scholar]
- Pizer, S.M.; Amburn, E.P.; Austin, J.D.; Cromartie, R.; Geselowitz, A.; Greer, T.; Romeny, B.T.H.; Zimmerman, J.B.; Zuiderveld, K. Adaptive histogram equalization and its variations. Comput. Vision Graph. Image Process. 1987, 39, 355–368. [Google Scholar] [CrossRef]
- dos Santos, J.C.M.; Carrijo, G.A.; dos Santos Cardoso, C.D.F.; Ferreira, J.C.; Sousa, P.M.; Patrocínio, A.C. Fundus image quality enhancement for blood vessel detection via a neural network using CLAHE and Wiener filter. Res. Biomed. Eng. 2020, 36, 107–119. [Google Scholar] [CrossRef]
- Aurangzeb, K.; Aslam, S.; Alhussein, M.; Naqvi, R.A.; Arsalan, M.; Haider, S.I. Contrast enhancement of fundus images by employing modified pso for improving the performance of deep learning models. IEEE Access 2021, 9, 47930–47945. [Google Scholar] [CrossRef]
- Alwazzan, M.J.; Ismael, M.A.; Ahmed, A.N. A hybrid algorithm to enhance colour retinal fundus images using a Wiener filter and CLAHE. J. Digit. Imaging 2021, 34, 750–759. [Google Scholar] [CrossRef] [PubMed]
- Chang, C.-C.; Lin, C.-C.; Pai, P.-Y.; Chen, Y.-C. A novel retinal blood vessel segmentation method based on line operator and edge detector. In Proceedings of the 2009 Fifth International Conference on Intelligent Information Hiding and Multimedia Signal Processing (IIH-MSP ’09), Kyoto, Japan, 12–14 September 2009; IEEE Computer Society: Washington, DC, USA, 2009; pp. 299–302. [Google Scholar] [CrossRef]
- Chatterjee, S.; Suman, A.; Gaurav, R.; Banerjee, S.; Singh, A.K.; Ghosh, B.K.; Mandal, R.K.; Biswas, M.; Maji, D. Retinal blood vessel segmentation using edge detection method. J. Physics Conf. Ser. 2020, 1717, 012008. [Google Scholar] [CrossRef]
- Pratt, W. Digital Image Processing; Wiley: Hoboken, NJ, USA, 1978. [Google Scholar]
- Tariq, N.; Hamzah, R.A.; Ng, T.F.; Wang, S.L.; Ibrahim, H. Quality assessemnt methods to evaluate the performance of edge detection algorithms for digital image: A systematic literature review. IEEE Access 2021, 9, 87763–87776. [Google Scholar] [CrossRef]
- Saleh, M.D.; Eswaran, C.; Mueen, A. An automated blood vessel segmentation algorithm using histogram equalization and automatic threshold selection. J. Digit. Imaging 2011, 24, 564–572. [Google Scholar] [CrossRef] [Green Version]
- Hoover, A.; Kouznetsova, V.; Goldbaum, M. Locating blood vessels in retinal images by piece-wise threshold probing of a matched filter response. IEEE Trans. Med. Imaging 2000, 19, 203–210. [Google Scholar] [CrossRef] [Green Version]
- STARE. Structured Analysis of the Retina. Available online: https://cecas.clemson.edu/~ahoover/stare/ (accessed on 11 September 2021).
- Kingston University London. Retinal Image Analysis: Retinal Image Database. Available online: https://blogs.kingston.ac.uk/retinal/chasedb1/ (accessed on 10 September 2021).





















| Key | Function |
|---|---|
| q | End program |
| b | Detect edges with blue-colored lines |
| g | Detect edges with green-colored lines |
| p | Detect edges with purple-colored lines |
| y | Detect edges with yellow-colored lines |
| w | Remove detected edges line drawn |
| m | Change to manual segmentation mode |
| a | Change to automated segmentation mode |
| d | Produce output images |
| Fundus Image | Highest PFOM Value (Ideal Low Threshold, Ideal High Threshold) | ||
|---|---|---|---|
| Grayscale Image | Extracted Green Channel | Apply CLAHE on Extracted Green Channel | |
| 1 | 0.6269 (4/5, 27) | 0.6310 (8/9, 35) | 0.6508 (30/32, 76) |
| 2 | 0.5977 (6/7, 29) | 0.6058 (10/11, 31) | 0.6186 (28/29, 64) |
| 3 | 0.6152 (8/9, 21) | 0.6188 (8/9, 25) | 0.6207 (26/27, 57) |
| 4 | 0.6015 (8/9, 25) | 0.6097 (14/15, 23) | 0.6110 (22/23, 75) |
| 5 | 0.6132 (10/11, 21) | 0.6180 (10/11, 23) | 0.6230 (24/25, 63) |
| 6 | 0.6285 (14/15, 23) | 0.6339 (12/13, 27) | 0.6362 (36/37, 67) |
| 7 | 0.6151 (8/9, 31) | 0.6210 (8/9, 39) | 0.6223 (26/27, 90) |
| 8 | 0.6401 (8/9, 27) | 0.6455 (14/15, 25) | 0.6478 (30/31, 70) |
| 9 | 0.6110 (14/15, 25) | 0.6210 (8/9, 39) | 0.6325 (26/27, 100) |
| 10 | 0.6475 (10/11, 25) | 0.6479 (10/11, 29) | 0.6516 (30/31, 72) |
| Fundus Image | Pratt’s Figure of Merit (PFOM) Value | |
|---|---|---|
| Segmented Image Using the Default Canny Detector (Ideal Low Threshold, Ideal High Threshold) | Segmented Image Using the Proposed Method (GUI Based Method) | |
| Photo 1 | 0.6269 (5, 27) | 0.6542 |
| Photo 2 | 0.5977 (7, 29) | 0.6242 |
| Photo 3 | 0.6152 (9, 21) | 0.6266 |
Publisher’s Note: MDPI stays neutral with regard to jurisdictional claims in published maps and institutional affiliations. |
© 2021 by the authors. Licensee MDPI, Basel, Switzerland. This article is an open access article distributed under the terms and conditions of the Creative Commons Attribution (CC BY) license (https://creativecommons.org/licenses/by/4.0/).
Share and Cite
Ooi, A.Z.H.; Embong, Z.; Abd Hamid, A.I.; Zainon, R.; Wang, S.L.; Ng, T.F.; Hamzah, R.A.; Teoh, S.S.; Ibrahim, H. Interactive Blood Vessel Segmentation from Retinal Fundus Image Based on Canny Edge Detector. Sensors 2021, 21, 6380. https://doi.org/10.3390/s21196380
Ooi AZH, Embong Z, Abd Hamid AI, Zainon R, Wang SL, Ng TF, Hamzah RA, Teoh SS, Ibrahim H. Interactive Blood Vessel Segmentation from Retinal Fundus Image Based on Canny Edge Detector. Sensors. 2021; 21(19):6380. https://doi.org/10.3390/s21196380
Chicago/Turabian StyleOoi, Alexander Ze Hwan, Zunaina Embong, Aini Ismafairus Abd Hamid, Rafidah Zainon, Shir Li Wang, Theam Foo Ng, Rostam Affendi Hamzah, Soo Siang Teoh, and Haidi Ibrahim. 2021. "Interactive Blood Vessel Segmentation from Retinal Fundus Image Based on Canny Edge Detector" Sensors 21, no. 19: 6380. https://doi.org/10.3390/s21196380
APA StyleOoi, A. Z. H., Embong, Z., Abd Hamid, A. I., Zainon, R., Wang, S. L., Ng, T. F., Hamzah, R. A., Teoh, S. S., & Ibrahim, H. (2021). Interactive Blood Vessel Segmentation from Retinal Fundus Image Based on Canny Edge Detector. Sensors, 21(19), 6380. https://doi.org/10.3390/s21196380

