Improving Atorvastatin Release from Polyelectrolyte Complex-Based Hydrogels Using Freeze-Drying: Formulation and Pharmaceutical Assessment of a Novel Delivery System for Oral Candidiasis Treatment
Abstract
1. Introduction
2. Results and Discussion
2.1. Characterization of Hydrogels and Lyophilizates
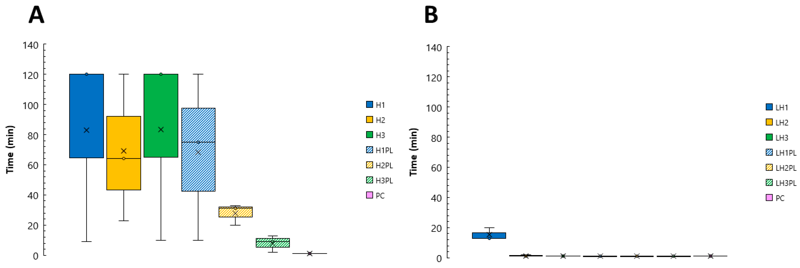
2.2. In Vitro Release Assay
2.3. Fourier-Transform Infrared (FTIR) Spectroscopy
2.4. Thermal Characterization
2.5. Scanning Electron Microscopy (SEM) Analysis
2.6. Swelling Capacity
2.7. Mucoadhesive Properties
2.8. Antimicrobial Activity
2.9. Cytotoxicity
3. Materials and Methods
3.1. Materials
3.2. Methods
3.2.1. Preparation of Hydrogels and Lyophilizates
3.2.2. Quantification of ATC Using High-Performance Liquid Chromatography (HPLC)
3.2.3. ATC Solubility Test
3.2.4. ATC Entrapment Efficiency (%EE)
3.2.5. pH Analysis
3.2.6. Viscosity Measurements
3.2.7. Analysis of the Mechanical Properties: Firmness, Consistency, and Adhesiveness
3.2.8. In Vitro Drug Release Assay
3.2.9. FTIR
3.2.10. Thermal Analysis
3.2.11. SEM Imaging
3.2.12. Swelling Behavior
3.2.13. Evaluation of Mucoadhesive Properties
3.2.14. Antimicrobial Activity Test
3.2.15. Cytotoxicity Testing
Preparation of Eluates for Cytotoxicity Studies
MTT Assay
3.2.16. Statistical Analysis
4. Conclusions
Supplementary Materials
Author Contributions
Funding
Institutional Review Board Statement
Informed Consent Statement
Data Availability Statement
Conflicts of Interest
References
- Drugbank.ca. 2024. Available online: https://go.drugbank.com/drugs/DB01076 (accessed on 7 October 2024).
- Eita, A.S.; Makky, A.M.A.; Anter, A.; Khalil, I.A. Repurposing of Atorvastatin Emulsomes as a Topical Antifungal Agent. Drug Deliv. 2022, 29, 3414–3431. [Google Scholar] [CrossRef] [PubMed]
- Eita, A.S.; Makky, A.M.A.; Anter, A.; Khalil, I.A. Atorvastatin-Loaded Emulsomes Foam as a Topical Antifungal Formulation. Int. J. Pharm. X 2022, 4, 100140. [Google Scholar] [CrossRef] [PubMed]
- Tavakkoli, A.; Johnston, T.P.; Sahebkar, A. Antifungal Effects of Statins. Pharmacol. Ther. 2020, 208, 107483. [Google Scholar] [CrossRef] [PubMed]
- Ajdidi, A.; Sheehan, G.; Abu Elteen, K.; Kavanagh, K. Assessment of the In Vitro and In Vivo Activity of Atorvastatin Against Candida albicans. J. Med. Microbiol. 2019, 68, 1497–1506. [Google Scholar] [CrossRef] [PubMed]
- de Oliveira Neto, A.S.; Souza, I.L.A.; Amorim, M.E.S.; de Freitas Souza, T.; Rocha, V.N.; do Couto, R.O.; Fabri, R.L.; de Freitas Araújo, M.G. Antifungal Efficacy of Atorvastatin-Containing Emulgel in the Treatment of Oral and Vulvovaginal Candidiasis. Med. Mycol. 2021, 59, 476–485. [Google Scholar] [CrossRef]
- Nour, E.M.; El-Habashy, S.E.; Shehat, M.G.; Essawy, M.M.; El-Moslemany, R.M.; Khalafallah, N.M. Atorvastatin Liposomes in a 3D-Printed Polymer Film: A Repurposing Approach for Local Treatment of Oral Candidiasis. Drug Deliv. Transl. Res. 2023, 13, 2847–2868. [Google Scholar] [CrossRef]
- Arafat, E.A.; El-Khair, S.M.A.; Elsamanoudy, A.Z.; Shabaan, D.A. Study of the Possible Alleviated Role of Atorvastatin on Irinotecan-Induced Lingual Mucosal Damage: Histological and Molecular Study. Oxid. Med. Cell Longev. 2021, 2021, 9690047. [Google Scholar] [CrossRef]
- Özdoğan, A.I.; İlarslan, Y.D.; Kösemehmetoğlu, K.; Akca, G.; Kutlu, H.B.; Comerdov, E.; Iskit, A.B.; Şenel, S. In Vivo Evaluation of Chitosan Based Local Delivery Systems for Atorvastatin in Treatment of Periodontitis. Int. J. Pharm. 2018, 550, 470–476. [Google Scholar] [CrossRef]
- Vila, T.; Sultan, A.S.; Montelongo-Jauregui, D.; Jabra-Rizk, M.A. Oral Candidiasis: A Disease of Opportunity. J. Fungi 2020, 6, 15. [Google Scholar] [CrossRef]
- Li, M.; Lv, J.; Yang, Y.; Cheng, G.; Guo, S.; Liu, C.; Ding, Y. Advances of Hydrogel Therapy in Periodontal Regeneration-A Materials Perspective Review. Gels 2022, 8, 624. [Google Scholar] [CrossRef]
- Senebandith, H.; Li, D.; Srivastava, S. Advances, Applications, and Emerging Opportunities in Electrostatic Hydrogels. Langmuir 2023, 39, 16965–16974. [Google Scholar] [CrossRef] [PubMed]
- Meka, V.S.; Sing, M.K.G.; Pichika, M.R.; Nali, S.R.; Kolapalli, V.R.M.; Kesharwani, P. A Comprehensive Review on Polyelectrolyte Complexes. Drug Discov. Today. 2017, 22, 1697–1706. [Google Scholar] [CrossRef] [PubMed]
- Potaś, J.; Szymańska, E.; Basa, A.; Hafner, A.; Winnicka, K. Tragacanth Gum/Chitosan Polyelectrolyte Complexes-based Hydrogels Enriched with Xanthan Gum as Promising Materials for Buccal Application. Materials 2021, 14, 86. [Google Scholar] [CrossRef]
- Potaś, J.; Wach, R.A.; Rokita, B.; Wróblewska, M.; Winnicka, K. Evaluation of the Impact of Tragacanth/Xanthan Gum Interpolymer Complexation with Chitosan on Pharmaceutical Performance of Gels with Secnidazole as Potential Periodontal Treatment. Eur. J. Pharm. Sci. 2024, 192, 106657. [Google Scholar] [CrossRef] [PubMed]
- Russo, E.; Selmin, F.; Baldassari, S.; Gennari, C.G.M.; Caviglioli, G.; Cilurzo, F.; Minghetti, P.; Parodi, B. A focus on mucoadhesive polymers and their application in buccal dosage forms. J. Drug Deliv. Sci. Technol. 2015, 32, 113–125. [Google Scholar] [CrossRef]
- Raghav, N.; Vashisth, C.; Mor, N.; Arya, P.; Sharma, M.R.; Kaur, R.; Bhatti, S.P.; Kennedy, J.F. Recent advances in cellulose, pectin, carrageenan and alginate-based oral drug delivery systems. Int. J. Biol. Macromol. 2023, 244, 125357. [Google Scholar] [CrossRef]
- Yegappan, R.; Selvaprithiviraj, V.; Amirthalingam, S.; Jayakumar, R. Carrageenan based hydrogels for drug delivery, tissue engineering and wound healing. Carbohydr. Polym. 2018, 198, 385–400. [Google Scholar] [CrossRef]
- Polish Pharmacopoeia XIIIth Edition; Office for Registration of Medicinal Products, Medical Devices and Biocidal Products: Warsaw, Poland, 2023.
- Kim, M.S.; Jin, S.J.; Kim, J.S.; Park, H.J.; Song, H.S.; Neubert, R.H.; Hwang, S.J. Preparation, Characterization and In Vivo Evaluation of Amorphous Atorvastatin Calcium Nanoparticles Using Supercritical Antisolvent (SAS) Process. Eur. J. Pharm. Biopharm. 2008, 69, 454–465. [Google Scholar] [CrossRef]
- Tizaoui, C.; Galai, H.; Clevers, S.; Couvrat, N.; Coquerel, G.; Rietveld, I.B. The Persistence and Crystallization Behavior of Atorvastatin Calcium Amorphous Dispersions in Polyvinylpyrrolidone. J. Drug Deliv. Sci. Technol. 2022, 72, 1033375. [Google Scholar] [CrossRef]
- Barbarossa, A.; Rosato, A.; Corbo, F.; Clodoveo, M.L.; Fracchiolla, G.; Carrieri, A.; Carocci, A. Non-Antibiotic Drug Repositioning as an Alternative Antimicrobial Approach. Antibiotics 2022, 11, 816. [Google Scholar] [CrossRef]
- Lima, W.G.; Alves-Nascimento, L.A.; Andrade, J.T.; Vieira, L.; de Azambuja Ribeiro, R.I.M.; Thome, R.G.; Dos Santos, H.B.; Ferreira, J.M.S.; Soares, A.C. Are the Statins promising antifungal agents against invasive candidiasis? Biomed. Pharmacother. 2019, 111, 270–281. [Google Scholar] [CrossRef] [PubMed]
- Marques, M.R.C.; Löbenberg, R.; Almukainzi, M. Simulated Biological Fluids with Possible Application in Dissolution Testing. Dissolution Technol. 2011, 18, 15–28. [Google Scholar] [CrossRef]
- Potaś, J.; Szymańska, E.; Wróblewska, M.; Kurowska, I.; Maciejczyk, M.; Basa, A.; Wolska, E.; Wilczewska, A.Z.; Winnicka, K. Multilayer Films Based on Chitosan/Pectin Polyelectrolyte Complexes as Novel Platforms for Buccal Administration of Clotrimazole. Pharmaceutics 2021, 13, 1588. [Google Scholar] [CrossRef]
- Zhang, H.X.; Wang, J.X.; Zhang, Z.B.; Le, Y.; Shen, Z.G.; Chen, J.F. Micronization of Atorvastatin Calcium by Antisolvent Precipitation Process. Int. J. Pharm. 2009, 374, 106–113. [Google Scholar] [CrossRef]
- Zhu, S.; Gao, H.; Babu, S.; Garad, S. Co-Amorphous Formation of High-Dose Zwitterionic Compounds with Amino Acids To Improve Solubility and Enable Parenteral Delivery. Mol. Pharm. 2018, 15, 97–107. [Google Scholar] [CrossRef]
- Velde, K.V.; Kiekens, P. Structure Analysis and Degree of Substitution of Chitin, Chitosan and Dibutyrylchitin by FT-IR Spectroscopy and Solid State 13C NMR. Carbohydr. Polym. 2004, 58, 409–416. [Google Scholar] [CrossRef]
- Webber, V.; Carvalho, S.; Ogliari, P.; Hayashi, L.; Luiz Manique Barreto, P. Optimization of the Extraction of Carrageenan from Kappaphycus alvarezii Using Response Surface Methodology. Food Sci. Technol. 2012, 32, 812–818. [Google Scholar] [CrossRef]
- Skotnicki, M.; Jadach, B.; Skotnicka, A.; Milanowski, B.; Tajber, L.; Pyda, M.; Kujawski, J. Physicochemical Characterization of a Co-Amorphous Atorvastatin-Irbesartan System with a Potential Application in Fixed-Dose Combination Therapy. Pharmaceutics 2021, 13, 118. [Google Scholar] [CrossRef] [PubMed]
- Hafner, A.; Dürrigl, M.; Pepić, I.; Filipović-Grčić, J. Short- and Long-Term Stability of Lyophilised Melatonin-Loaded Lecithin/Chitosan Nanoparticles. Chem. Pharm. Bull. 2011, 59, 1117–1123. [Google Scholar] [CrossRef]
- Shete, G.; Puri, V.; Kumar, L.; Bansal, A.K. Solid State Characterization of Commercial Crystalline and Amorphous Atorvastatin Calcium Samples. AAPS PharmSciTech 2010, 11, 598–609. [Google Scholar] [CrossRef]
- Valkama, E.; Haluska, O.; Lehto, V.-P.; Korhonen, O.; Pajula, K. Production and Stability of Amorphous Solid Dispersions Produced by a Freeze-Drying Method from DMSO. Int. J. Pharm. 2021, 606, 120902. [Google Scholar] [CrossRef] [PubMed]
- Tsiaxerli, A.; Karagianni, A.; Ouranidis, A.; Kachrimanis, K. Polyelectrolyte Matrices in the Modulation of Intermolecular Electrostatic Interactions for Amorphous Solid Dispersions: A Comprehensive Review. Pharmaceutics 2021, 13, 1467. [Google Scholar] [CrossRef]
- Sungoradee, T.; Srikulkit, K. Preparation and Characterizations of PSS/PDADMAC Polyelectrolyte Complex Hydrogel. Polymers 2022, 14, 1699. [Google Scholar] [CrossRef]
- Schott, H. Kinetics of Swelling of Polymers and Their Gels. J. Pharm. Sci. 1992, 81, 467–470. [Google Scholar] [CrossRef]
- Campos, J.C.; Ferreira, D.C.; Lima, S.; Lima, S.A.C.; Costa, P.J. Swellable Polymeric Particles for the Local Delivery of Budesonide in Oral Mucositis. Int. J. Pharm. 2019, 566, 126–140. [Google Scholar] [CrossRef] [PubMed]
- Jadav, M.; Pooja, D.; Adams, D.J.; Kulhari, H. Advances in Xanthan Gum-Based Systems for the Delivery of Therapeutic Agents. Pharmaceutics 2023, 15, 402. [Google Scholar] [CrossRef] [PubMed]
- Fang, F.; Xu, J.; Li, Q.; Xia, X.; Du, G. Characterization of a Lactobacillus brevis Strain with Potential Oral Probiotic Properties. BMC Microbiol. 2018, 18, 221. [Google Scholar] [CrossRef]
- Hauser, S.; Jung, F.; Pietzsch, J. Human Endothelial Cell Models in Biomaterial Research. Trends Biotechnol. 2017, 35, 265–277. [Google Scholar] [CrossRef]
- Watanabe, S.; Yamamura, Y.; Hoshiai, A.; Morishita, S.; Machiya, A.; Matsuda, S.; Shimojima, T.; Tohnai, I. Salivary Volume in the Mouth Immediately Before and After Swallowing in Children. Dent. Oral Maxillofac. Res. 2021, 7, 1–3. [Google Scholar] [CrossRef]
- Kubala, E.; Strzelecka, P.; Grzegocka, M.; Lietz-Kijak, D.; Gronwald, H.; Skomro, P.; Kijak, E. A Review of Selected Studies That Determine the Physical and Chemical Properties of Saliva in the Field of Dental Treatment. BioMed Res. Int. 2018, 2018, 6572381. [Google Scholar] [CrossRef]
- U.S. Food and Drug Administration. Guidance for Industry: Chemistry, Manufacturing, and Controls (CMC) Information for Human Gene Therapy Investigational New Drug Applications (INDs). Available online: https://www.fda.gov/media/113760/download (accessed on 2 December 2024).
- Lai, J.Y. The Role of Bloom Index of Gelatin on the Interaction with Retinal Pigment Epithelial Cells. Int. J. Mol. Sci. 2009, 10, 3442–3456. [Google Scholar] [CrossRef]
- Korybalska, K.; Kawka, E.; Breborowicz, A.; Witowski, J. Atorvastatin Does Not Impair Endothelial Cell Wound Healing In an In Vitro Model of Vascular Injury. J. Physiol. Pharmacol. 2012, 63, 389–395. [Google Scholar] [PubMed]
- Czajkowska-Kośnik, A.; Szekalska, M.; Amelian, A.; Szymańska, E.; Winnicka, K. Development and Evaluation of Liquid and Solid Self-Emulsifying Drug Delivery Systems for Atorvastatin. Molecules 2015, 20, 21010–21022. [Google Scholar] [CrossRef]
- Nižić, L.; Potaś, J.; Winnicka, K.; Szekalska, M.; Erak, I.; Gretić, M.; Jug, M.; Hafner, A. Development, Characterisation and Nasal Deposition of Melatonin-loaded Pectin/Hypromellose Microspheres. Eur. J. Pharm. Sci. 2020, 141, 105115. [Google Scholar] [CrossRef] [PubMed]
- Nakamura, F.; Ohta, R.; Machida, Y.; Nagai, T. In Vitro and In Vivo Nasal Mucoadhesion of Some Water-soluble Polymers. Int. J. Pharm. 1996, 134, 173–181. [Google Scholar] [CrossRef]
- Szekalska, M.; Wróblewska, M.; Trofimiuk, M.; Basa, A.; Winnicka, K. Alginate Oligosaccharides Affect Mechanical Properties and Antifungal Activity of Alginate Buccal Films with Posaconazole. Mar. Drugs 2019, 17, 692. [Google Scholar] [CrossRef]
- Bassi da Silva, J.; Ferreira, S.B.D.S.; Reis, A.V.; Cook, M.T.; Bruschi, M.L. Assessing Mucoadhesion in Polymer Gels: The Effect of Method Type and Instrument Variables. Polymers 2018, 10, 254. [Google Scholar] [CrossRef]
- Rex, J.H. Reference Method for Broth Dilution Antifungal Susceptibility Testing of Yeasts IIIrd Edition; CLSI Document M27-A3; Clinical & Laboratory Standards Institute: Wayne, PA, USA, 2008. [Google Scholar]
- Wróblewska, M.; Szymańska, E.; Szekalska, M.; Winnicka, K. Different Types of Gel Carriers as Metronidazole Delivery Systems to the Oral Mucosa. Polymers 2020, 12, 680. [Google Scholar] [CrossRef]
- ISO 10993-12:2021; Biological Evaluation of Medical Devices—Part 12: Sample Preparation and Reference Materials. ISO/TC 194 Biological and Clinical Evaluation of Medical Devices, 5th ed. ISO (International Organization for Standarization): Geneva, Switzerland, 2021; 21p.











| Hydrogel | Components (%) | ||||||||
|---|---|---|---|---|---|---|---|---|---|
| Polymeric Carrier | ATC | ||||||||
| TR | XA | LPE | κCA | CH | Glycerol | PEG 400 | SB | ||
| H1 | 4.0 | 0.4 | × | × | 0.4 | 5.0 | 3.0 | 0.04 | 1.5 |
| H2 | 4.0 | × | 0.4 | × | 0.4 | 5.0 | 3.0 | 0.04 | 1.5 |
| H3 | 4.0 | × | × | 0.4 | 0.4 | 5.0 | 3.0 | 0.04 | 1.5 |
| H1PL | 4.0 | 0.4 | × | × | 0.4 | 5.0 | 3.0 | 0.04 | × |
| H2PL | 4.0 | × | 0.4 | × | 0.4 | 5.0 | 3.0 | 0.04 | × |
| H3PL | 4.0 | × | × | 0.4 | 0.4 | 5.0 | 3.0 | 0.04 | × |
| Hydrogel | pH | %EE | Viscosity (cP) |
|---|---|---|---|
| H1 | 5.95 ± 0.03 | 118.2 ± 3.3 | 75 707 ± 3 698 |
| H2 | 6.21 ± 0.04 | 110.7 ± 3.1 | 116 800 ± 2 343 |
| H3 | 5.66 ± 0.02 | 100.3 ± 14.9 | 87 213 ± 3 379 |
| LH1 | × | 107.2 ± 7.0 | × |
| LH2 | × | 117.8 ± 7.3 | × |
| LH3 | × | 100.8 ± 12.2 | × |
Disclaimer/Publisher’s Note: The statements, opinions and data contained in all publications are solely those of the individual author(s) and contributor(s) and not of MDPI and/or the editor(s). MDPI and/or the editor(s) disclaim responsibility for any injury to people or property resulting from any ideas, methods, instructions or products referred to in the content. |
© 2025 by the authors. Licensee MDPI, Basel, Switzerland. This article is an open access article distributed under the terms and conditions of the Creative Commons Attribution (CC BY) license (https://creativecommons.org/licenses/by/4.0/).
Share and Cite
Potaś-Stobiecka, J.; Wach, R.A.; Rokita, B.; Simonik, W.K.; Wróblewska, M.; Borkowska, K.; Mork, S.; Škalko-Basnet, N.; Winnicka, K. Improving Atorvastatin Release from Polyelectrolyte Complex-Based Hydrogels Using Freeze-Drying: Formulation and Pharmaceutical Assessment of a Novel Delivery System for Oral Candidiasis Treatment. Int. J. Mol. Sci. 2025, 26, 2267. https://doi.org/10.3390/ijms26052267
Potaś-Stobiecka J, Wach RA, Rokita B, Simonik WK, Wróblewska M, Borkowska K, Mork S, Škalko-Basnet N, Winnicka K. Improving Atorvastatin Release from Polyelectrolyte Complex-Based Hydrogels Using Freeze-Drying: Formulation and Pharmaceutical Assessment of a Novel Delivery System for Oral Candidiasis Treatment. International Journal of Molecular Sciences. 2025; 26(5):2267. https://doi.org/10.3390/ijms26052267
Chicago/Turabian StylePotaś-Stobiecka, Joanna, Radosław Aleksander Wach, Bożena Rokita, Weronika Kaja Simonik, Magdalena Wróblewska, Karolina Borkowska, Silje Mork, Nataša Škalko-Basnet, and Katarzyna Winnicka. 2025. "Improving Atorvastatin Release from Polyelectrolyte Complex-Based Hydrogels Using Freeze-Drying: Formulation and Pharmaceutical Assessment of a Novel Delivery System for Oral Candidiasis Treatment" International Journal of Molecular Sciences 26, no. 5: 2267. https://doi.org/10.3390/ijms26052267
APA StylePotaś-Stobiecka, J., Wach, R. A., Rokita, B., Simonik, W. K., Wróblewska, M., Borkowska, K., Mork, S., Škalko-Basnet, N., & Winnicka, K. (2025). Improving Atorvastatin Release from Polyelectrolyte Complex-Based Hydrogels Using Freeze-Drying: Formulation and Pharmaceutical Assessment of a Novel Delivery System for Oral Candidiasis Treatment. International Journal of Molecular Sciences, 26(5), 2267. https://doi.org/10.3390/ijms26052267

