Changes in the Level of hs-CRP in the Blood and Morphometric Parameters of Tissues Following Implantation of Polypropylene
Abstract
1. Introduction
2. Results
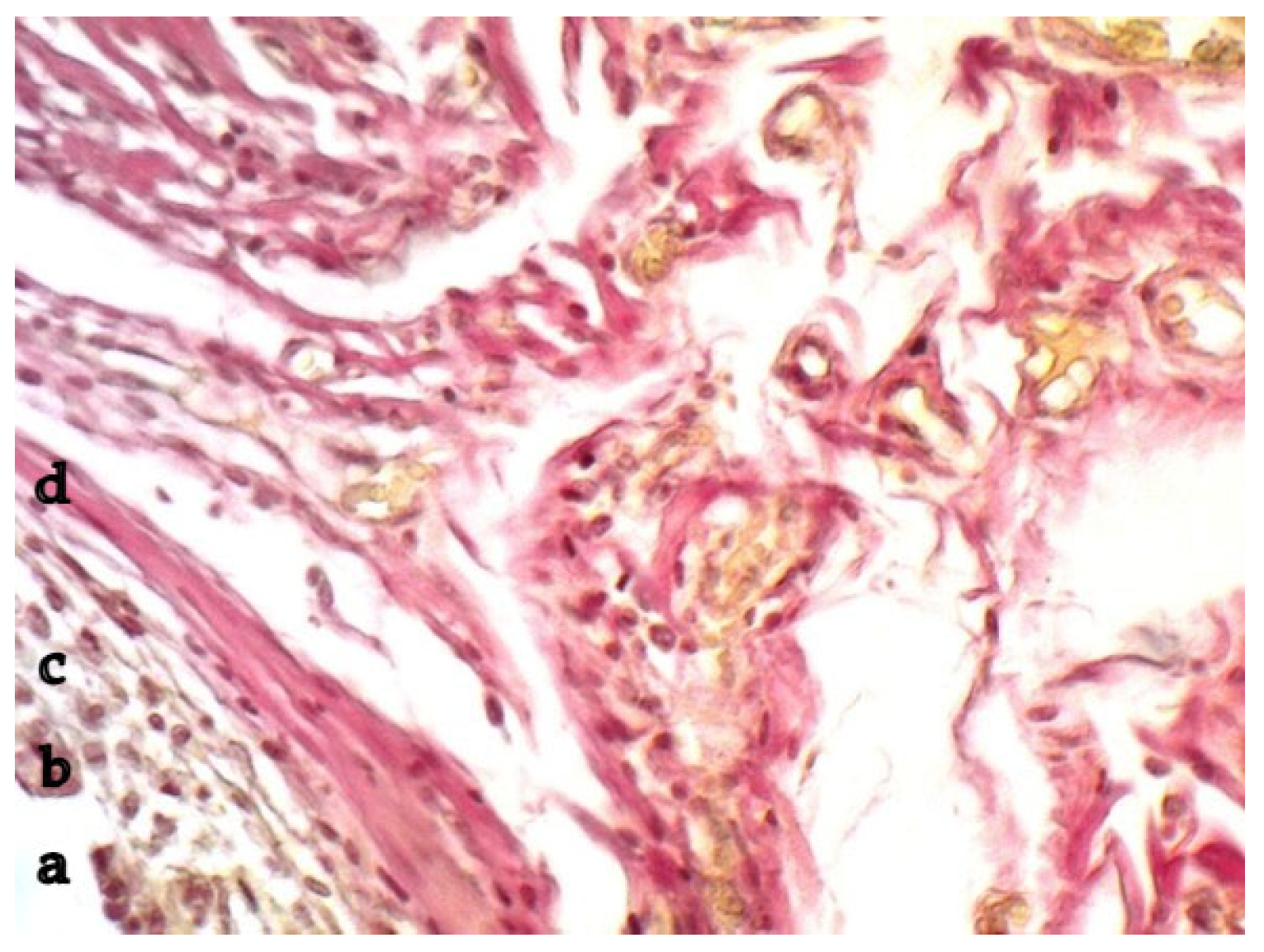
2.1. Tissue Response to Polypropylene (Macropreparation, Morphometry)
2.2. Animal Experiment, Level of hs-CRP in Blood, ELISA (Enzyme-Linked Immunosorbent Assay)
3. Discussion
4. Materials and Methods
4.1. Animal Experiment, Tissue Research, and Morphometry
4.2. Animal Experiment, Study of hs-CRP, ELISA
5. Conclusions
Author Contributions
Funding
Institutional Review Board Statement
Informed Consent Statement
Data Availability Statement
Acknowledgments
Conflicts of Interest
Abbreviations
| Hs-CRP | Highly sensitive C-reactive protein |
| ASIA | Autoimmune syndrome induced by adjuvants |
| CRP | C-reactive protein |
| ELISA | Enzyme-linked immunosorbent assay |
| EDTA | Ethylenediaminetetraacetic acid |
| FBGC | Foreign body giant cells |
References
- Ianu, P.B.; Tutuianu, F.; Radoi, C.; Ladanyi, E.; Maria, A. Early Outcome after Sublay versus Onlay Polypropylene Mesh Repair for Ventral Midline Incisional Hernia—A Single Center Retrospective Analysis. Chirurgia 2023, 118, 673–679. [Google Scholar] [CrossRef]
- Christou, N.; Ris, F.; Naumann, D.; Robert-Yap, J.; Mathonnet, M.; Gillion, J. Risk factors for surgical site infection after groin hernia repair: Does the mesh or technique matter? Multicent. Study 2022, 26, 233–242. [Google Scholar] [CrossRef] [PubMed]
- Knight, K.M.; King, G.E.; Palcsey, S.L.; Suda, A.; Liang, R.; Moalli, P.A. Mesh deformation: A mechanism underlying polypropylene prolapse mesh complications in vivo. Acta Biomater. 2022, 148, 323–335. [Google Scholar] [CrossRef] [PubMed]
- Kokanali, M.K.; Doganay, M.; Aksakal, O.; Cavkaytar, S.; Topçu, H.O.; Оzer, I. Risk factors for mesh erosion after vaginal sling procedures for urinary incontinence. Eur. J. Obstet. Gynecol. Reprod. Biol. 2014, 177, 146–150. [Google Scholar] [CrossRef] [PubMed]
- Mangir, N.; Dikici, B.A.; Chapple, C.R.; MacNeil, S. Landmarks in vaginal mesh development: Polypropylene mesh for treatment of SUI and POP. Nat. Rev. Urol. 2019, 16, 675–689. [Google Scholar] [CrossRef]
- D’Angelo, W.; Dziki, J.; Badylak, S.F. The challenge of stress incontinence and pelvic organ prolapse: Revisiting biologic mesh materials. Curr. Opin. Urol. 2019, 29, 437–442. [Google Scholar] [CrossRef]
- MacCraith, E.; Cunnane, E.M.; Joyce, M.; Forde, J.C.; O’Brien, F.J.; Davis, N.F. Comparison of synthetic mesh erosion and chronic pain rates after surgery for pelvic organ prolapse and stress urinary incontinence: A systematic review. Int. Urogynecol. J. 2021, 32, 573–580. [Google Scholar] [CrossRef]
- Cohen Tervaert, J.W.; Mohazab, N.; Redmond, D.; Eeden, C.; Osman, M. Breast implant illness: Scientific evidence of its existence. Expert Rev. Clin. Immunol. 2022, 18, 15–29. [Google Scholar] [CrossRef]
- Heymann, F.; von Trotha, K.-T.; Preisinger, C.; Lynen-Jansen, P.; Roeth, A.A.; Geiger, M.; Geisler, L.J.; Frank, A.K.; Conze, J.; Luedde, T.; et al. Polypropylene mesh implantation for hernia repair causes myeloid cell-driven persistent inflammation. JCI Insign. 2019, 24, e123862. [Google Scholar] [CrossRef]
- Cardoso Ribeiro, P.D.; Sato, E.I. Autoimmune/autoinflammatory syndrome induced by adjuvants: A focus on silicone. Clin. Rheumatol. 2022, 41, 3275–3283. [Google Scholar] [CrossRef]
- Cordel, E.; Reix, N.; Mathelin, C. ASIA syndrome associated with breast implants: Fortuitous link or association? Gynecol. Obstet. Fertil Senol. 2020, 48, 754–762. [Google Scholar] [CrossRef] [PubMed]
- Cohen Tervaert, J.W. Autoinflammatory/autoimmunity syndrome induced by adjuvants (Shoenfeld’s syndrome) in patients after a polypropylene mesh implantation. Best Pract. Res. Clin. Rheumatol. 2018, 23, 511–520. [Google Scholar] [CrossRef] [PubMed]
- Cohen Tervaert, J.W.; Shoenfeld, Y.; Cruciani, C.; Scarpa, C.; Bassetto, F. Breast implant illness: Is it causally related to breast implants? Autoimmun. Rev. 2024, 23, 1034. [Google Scholar] [CrossRef]
- Adamiak, A.; Jankiewicz, K.; Miotła, P.; Rechberger, T. Tape erosion-local process or general reaction of the organism. The erosion rate and localization of implanted polypropylene tape in female pelvis. Ginekol. Pol. 2007, 78, 210–213. [Google Scholar]
- Banzaraksheev, V.G. Pathophysiological substantiation of the results of modeling atherogenic dyslipidemia in rats. Bull. VSRC RAMS 2016, 1, 33–36. [Google Scholar]
- Birulina, Y.G.; Voronkova, O.V.; Ivanov, V.V.; Buyko, E.E.; Shcherbakov, M.M.; Chernyshev, N.A.; Motlokhova, E.A. Markers of systemic inflammation in rats in the model of diet-induced metabolic syndrome. Bull. Russ. State Med. Univ. 2022, 4, 43–49. [Google Scholar] [CrossRef]
- Iordanskii, A.L.; Rudakova, Т.Е.; Zaikov, G.E. New Concepts in Polymer Science. Interaction of Polymers with Bioactive and Corrosive Media, 1st ed.; Taylor & Francis: London, UK, 1994; p. 298. [Google Scholar]
- Mishra, M. Encyclopedia of Biomedical Polymers and Polymeric Biomaterials, 1st ed.; CRC Press: Boca Raton, FL, USA, 2015; p. 10444. [Google Scholar]
- Shtilman, M.I. Biodegradation. In Encyclopedia of Biomedical Polymers and Polymeric Biomaterials, 1st ed.; Mishra, M., Ed.; CRC Press: Boca Raton, FL, USA, 2015; pp. 804–816. [Google Scholar]
- Guo, B.; Ma, P.X. Conducting Polymers for Tissue Engineering. Biomacromolecules 2018, 19, 1764–1782. [Google Scholar] [CrossRef]
- Darzi, S.; Urbankova, I.; Su, K.; White, J.; Lo, C.; Alexander, D.; Werkmeister, J.A.; Gargett, C.E.; Deprest, J. Tissue response to collagen containing polypropylene meshes in an ovine vaginal repair model. Acta Biomater. 2016, 39, 114–123. [Google Scholar] [CrossRef]
- Souza, J.M.; Dumanian, G.A. Routine use of bioprosthetic mesh is not necessary: A retrospective review of 100 consecutive cases of intra-abdominal midweight polypropylene mesh for ventral hernia repair. Surgery 2013, 153, 393–399. [Google Scholar] [CrossRef]
- Jonathan, S.S. Old wine into new wineskins: An update for female stress urinary incontinence. Curr. Opin. Obstet. Gynecol. 2019, 31, 494–500. [Google Scholar] [CrossRef]
- Maskal, S.; Miller, B.; Ellis, R.; Phillips, S.; Prabhu, A.; Beffa, L.; Krpata, D.; Rosenblatt, S.; Rosen, M.; Petro, C. Mediumweight polypropylene mesh fractures after open retromuscular ventral hernia repair: Incidence and associated risk factors. Surg. Endosc. 2023, 37, 5438–5443. [Google Scholar] [CrossRef] [PubMed]
- Ellis, R.C.; Maskal, S.M.; Messer, N.; Miller, B.T.; Petro, C.C.; Prabhu, A.C.; Rosen, M.J.; Zheng, X.; Beffa, L.R.A. Short-term outcomes of heavyweight versus mediumweight synthetic mesh in a retrospective cohort of clean-contaminated and contaminated retromuscular ventral hernia repairs. Surg. Endos. 2024, 38, 4006–4013. [Google Scholar] [CrossRef]
- Hympanova, L.; Rynkevic, R.; Roman, S.; Mori da Cunha, M.G.M.C.; Mazza, E.; Zundel, M.; Urbankova, I.; Gallego, M.R.; Vange, J.; Callewaert, G.; et al. Assessment of Electrospun and Ultra-lightweight Polypropylene Meshes in the Sheep Model for Vaginal Surgery. Eur. Urol. Focus 2020, 6, 190–198. [Google Scholar] [CrossRef] [PubMed]
- Costantini, E.; Zucchi, A.; Lazzeri, M.; Del Zingaro, M.; Vianello, A.; Porena, M. Managing mesh erosion after abdominal pelvic organ prolapse repair: Ten years’ experience in a single center. Urol. Int. 2011, 86, 419–423. [Google Scholar] [CrossRef] [PubMed]
- Shah, H.N.; Badlani, G.H. Mesh complications in female pelvic floor reconstructive surgery and their management: A systematic review. Indian J. Urol. 2012, 28, 129–153. [Google Scholar] [CrossRef]



is outlying data).
is outlying data).
is outlying data).
is outlying data).


Disclaimer/Publisher’s Note: The statements, opinions and data contained in all publications are solely those of the individual author(s) and contributor(s) and not of MDPI and/or the editor(s). MDPI and/or the editor(s) disclaim responsibility for any injury to people or property resulting from any ideas, methods, instructions or products referred to in the content. |
© 2025 by the authors. Licensee MDPI, Basel, Switzerland. This article is an open access article distributed under the terms and conditions of the Creative Commons Attribution (CC BY) license (https://creativecommons.org/licenses/by/4.0/).
Share and Cite
Eisenach, I.A.; Lapii, G.A.; Uzyumova, A.K.; Lushnikova, E.L.; Ovchinnikov, V.S.; Solovieva, A.O.; Oorzhak, O.V.; Kuznetsov, A.V. Changes in the Level of hs-CRP in the Blood and Morphometric Parameters of Tissues Following Implantation of Polypropylene. Int. J. Mol. Sci. 2025, 26, 1419. https://doi.org/10.3390/ijms26041419
Eisenach IA, Lapii GA, Uzyumova AK, Lushnikova EL, Ovchinnikov VS, Solovieva AO, Oorzhak OV, Kuznetsov AV. Changes in the Level of hs-CRP in the Blood and Morphometric Parameters of Tissues Following Implantation of Polypropylene. International Journal of Molecular Sciences. 2025; 26(4):1419. https://doi.org/10.3390/ijms26041419
Chicago/Turabian StyleEisenach, Igor A., Galina A. Lapii, Alexandra K. Uzyumova, Elena L. Lushnikova, Victor S. Ovchinnikov, Anastasia O. Solovieva, Orlan V. Oorzhak, and Alexey V. Kuznetsov. 2025. "Changes in the Level of hs-CRP in the Blood and Morphometric Parameters of Tissues Following Implantation of Polypropylene" International Journal of Molecular Sciences 26, no. 4: 1419. https://doi.org/10.3390/ijms26041419
APA StyleEisenach, I. A., Lapii, G. A., Uzyumova, A. K., Lushnikova, E. L., Ovchinnikov, V. S., Solovieva, A. O., Oorzhak, O. V., & Kuznetsov, A. V. (2025). Changes in the Level of hs-CRP in the Blood and Morphometric Parameters of Tissues Following Implantation of Polypropylene. International Journal of Molecular Sciences, 26(4), 1419. https://doi.org/10.3390/ijms26041419

