Novel EVI5::BRAF Gene Fusion in Infantile Fibrosarcoma: A Case Report and Review of Literature
Abstract
1. Introduction
2. Case Presentation
2.1. Clinical and Radiological Findings
2.2. Macroscopic Findings
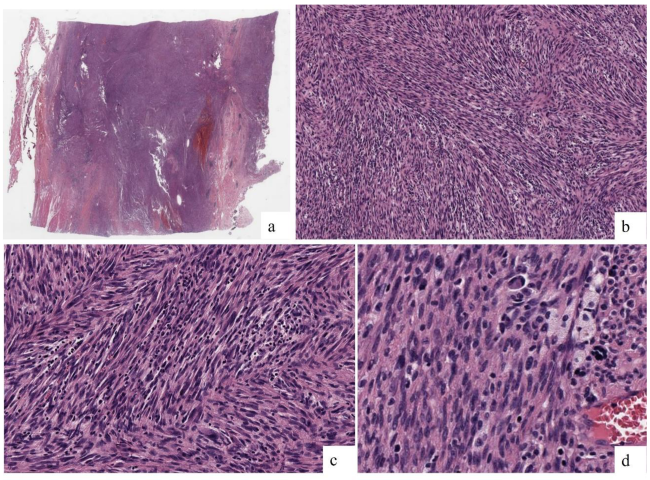
2.3. Microscopic Findings
2.4. Immunohistochemical Findings
2.5. Fluorescence In Situ Hybridization (FISH) and Next-Generation Sequencing (NGS) Results
3. Discussion
Author Contributions
Funding
Institutional Review Board Statement
Informed Consent Statement
Data Availability Statement
Conflicts of Interest
Abbreviations
| IFS | Infantile Fibrosarcoma |
| ETV6 | ETS Variant Transcription Factor 6 |
| NTRK3 | Neurotrophic Receptor Tyrosine Kinase 3 |
| NTRK1 | Neurotrophic Receptor Tyrosine Kinase 1 |
| NTRK2 | Neurotrophic Receptor Tyrosine Kinase 2 |
| RET | Rearranged During Transfection Proto-Oncogene |
| MET | MET Proto-Oncogene, Receptor Tyrosine Kinase |
| RAF1 | RAF Proto-Oncogene Serine/Threonine-Protein Kinase 1 |
| BRAF | B-Raf Proto-Oncogene Serine/Threonine-Protein Kinase |
| MRI | Magnetic Resonance Imaging |
| FD | Fibrous Dysplasia |
| ABC | Aneurysmal Bone Cyst |
| ES | Ewing Sarcoma |
| OS | Osteosarcoma |
| CNB | Core Needle Biopsy |
| CT | Computed Tomography |
| MRI | Magnetic Resonance Imaging |
| NCT | Neoadjuvant Chemotherapy |
| NCRT | Neoadjuvant Radiotherapy |
| LGO | Low-Grade Osteosarcoma |
| IMT | Inflammatory Myofibroblastic Tumor |
| NGS | Next-Generation Sequencing |
| SMA | Smooth Muscle Actin |
| FNLCC | Fédération Nationale des Centres de Lutte Contre le Cancer |
| FISH | Fluorescence In Situ Hybridization |
| SEPT7 | Septin 7 |
| SEPT9 | Septin 9 |
| SEPT11 | Septin 11 |
| ERC1 | ELKS/RAB6-Interacting/CAST Family Member 1 |
| PDE10 | Phosphodiesterase 10 |
| CUX1 | Cut-Like Homeobox 1 |
| EVI5 | Ecotropic Viral Integration Site 5 |
| WHO | World Health Organization |
| MDM2 | Mouse Double Minute 2 Homolog |
| ALK | Anaplastic Lymphoma Kinase |
References
- WHO Classification of Tumours Editorial Board. Paediatric Tumours [Internet]. In WHO Classification of Tumours Series, 5th ed.; International Agency for Research on Cancer: Lyon, France, 2022; Volume 7, Available online: https://tumourclassification.iarc.who.int/chapters/44 (accessed on 15 August 2024).
- Abualola, R.A.; Al-Zaid, T. KIAA1549-BRAF Gene Fusion Spindle Cell Sarcoma with Infantile Fibrosarcoma-Like Pattern in a Pediatric Patient: A Case Report. Cureus 2024, 16, e51981. [Google Scholar] [CrossRef] [PubMed] [PubMed Central]
- Zhou, P.; Liu, W.; Zheng, J.; Zhang, H.; Luo, J. Case report: Primary sarcoma of the mandible with a novel SLMAP-BRAF fusion. Front. Oncol. 2024, 14, 1369046. [Google Scholar] [CrossRef] [PubMed] [PubMed Central]
- Cecchi, R.; Guptil, D.; Haslett, N.; Hristov, A.; Bledsoe, J.R.; Tsai, H.; DeWitt, J.; Ferris, S.P. Primary CNS histiocytic sarcoma: Two case reports highlighting a novel MIGA2::BRAF gene fusion and genome-wide DNA methylation profiling results. J. Neuropathol. Exp. Neurol. 2024, 83, 882–886. [Google Scholar] [CrossRef] [PubMed]
- Zhang, L.; Zhang, G.; Zheng, H.; Jiang, B.; Ju, Y.; Duan, Q.; An, L.; Shi, H. A rare case of primary central nervous system histiocytic sarcoma harboring a novel ARHGAP45::BRAF fusion: A case report and literature review. Brain Tumor Pathol. 2024, 41, 18–29. [Google Scholar] [CrossRef] [PubMed]
- Penning, A.J.; Al-Ibraheemi, A.; Michal, M.; Larsen, B.T.; Cho, S.J.; Lockwood, C.M.; Paulson, V.A.; Liu, Y.J.; Plank, L.; Fritchie, K.; et al. Novel BRAF gene fusions and activating point mutations in spindle cell sarcomas with histologic overlap with infantile fibrosarcoma. Mod. Pathol. 2021, 34, 1530–1540. [Google Scholar] [CrossRef] [PubMed]
- Gourmel, A.; Rouette, A.; Benlimame, N.; El-Jalbout, R.; Dubé, M.; Théorêt, Y.; Piché, N.; Labonté, S.; Sinnett, D.; Cellot, S.; et al. Durable Response to Trametinib in an Infant with ERC1-BRAF Infantile Fibrosarcoma-Like Tumor: A Case Report and Literature Review of BRAF-Altered Infantile Fibrosarcoma-Like Tumors. JCO Precis. Oncol. 2022, 6, e2200200. [Google Scholar] [CrossRef] [PubMed]
- Hughes, C.E.; Correa, H.; Benedetti, D.J.; Smith, B.; Sumegi, J.; Bridge, J. Second Report of PDE10A-BRAF Fusion in Pediatric Spindle Cell Sarcoma with Infantile Fibrosarcoma-Like Morphology Suggesting PDE10A-BRAF Fusion Is a Recurrent Event. Pediatr. Dev. Pathol. 2021, 24, 554–558. [Google Scholar] [CrossRef] [PubMed] [PubMed Central]
- Kao, Y.C.; Fletcher, C.D.M.; Alaggio, R.; Wexler, L.; Zhang, L.; Sung, Y.S.; Orhan, D.; Chang, W.C.; Swanson, D.; Dickson, B.C.; et al. Recurrent BRAF Gene Fusions in a Subset of Pediatric Spindle Cell Sarcomas: Expanding the Genetic Spectrum of Tumors with Overlapping Features with Infantile Fibrosarcoma. Am. J. Surg. Pathol. 2018, 42, 28–38. [Google Scholar] [CrossRef] [PubMed] [PubMed Central]
- Stelzer, G.; Rosen, R.; Plaschkes, I.; Zimmerman, S.; Twik, M.; Fishilevich, S.; Iny Stein, T.; Nudel, R.; Lieder, I.; Mazor, Y.; et al. The GeneCards Suite: From Gene Data Mining to Disease Genome Sequence Analyses. Curr. Protoc. Bioinform. 2016, 54, 1.30.1–1.30.33. [Google Scholar] [CrossRef] [PubMed]
- Liao, X.; Buchberg, A.M.; Jenkins, N.A.; Copeland, N.G. Evi-5, a common site of retroviral integration in AKXD T-cell lymphomas, maps near Gfi-1 on mouse chromosome 5. J. Virol. 1995, 69, 7132–7137. [Google Scholar] [CrossRef] [PubMed] [PubMed Central]
- Cai, T.; Zhou, J.; Zeng, Y.; Du, W.; Zhang, Y.; Liu, T.; Fu, Y.; Huang, J.; Qian, Q.; Zhu, J.; et al. EVI5 is an oncogene that regulates the proliferation and metastasis of NSCLC cells. J. Exp. Clin. Cancer Res. 2020, 39, 84. [Google Scholar] [CrossRef] [PubMed]
- Tang, J.; Ou, J.; Xu, C.; Yi, C.; Xue, F.; Xu, L.; Lai, F.; Tang, J.; Li, S.; Kang, T.; et al. EVI5 is a novel independent prognostic predictor in hepatocellular carcinoma after radical hepatectomy. Oncol. Rep. 2017, 38, 2251–2258. [Google Scholar] [CrossRef] [PubMed]
- Vandepoele, K.; Andries, V.; van Roy, F. The NBPF1 promoter has been recruited from the unrelated EVI5 gene before simian radiation. Mol. Biol. Evol. 2009, 26, 1321–1332. [Google Scholar] [CrossRef] [PubMed]
- Martin, S.B.; Polubothu, S.; Bruzos, A.L.; Kelly, G.; Horswell, S.; Sauvadet, A.; Bryant, D.; Zecchin, D.; Riachi, M.; Michailidis, F.; et al. Mosaic BRAF Fusions Are a Recurrent Cause of Congenital Melanocytic Nevi Targetable by MAPK Pathway Inhibition. J. Investig. Dermatol. 2024, 144, 593–600.e7. [Google Scholar] [CrossRef] [PubMed]
- Sedaghat, S.; Schmitz, F.; Krieger, A.; Reichardt, B. Appearance of recurrent adult fibrosarcoma of the soft tissue and loco-regional post-treatment changes on MRI follow-up. Eur. J. Plast. Surg. 2021, 44, 97–102. [Google Scholar] [CrossRef]
- Basirinia, G.; Ali, M.; Comelli, A.; Sperandeo, A.; Piana, S.; Alongi, P.; Longo, C.; Di Raimondo, D.; Tuttolomondo, A.; Benfante, V. Theranostic Approaches for Gastric Cancer: An Overview of In Vitro and In Vivo Investigations. Cancers 2024, 16, 3323. [Google Scholar] [CrossRef] [PubMed]





| Antibody | Source | Clone | Staining Pattern |
|---|---|---|---|
| S100 | Dako | Polyclonal | Diffuse (Nuclear) |
| SATB2 | Zeta | ZR167 | Diffuse (Nuclear) |
| Caldesmon | Dako | h_CD | Negative |
| Smooth Muscle Actin | Dako | HHF-35 | Negative |
| Desmin | Dako | D33 | Negative |
| Osteonectin | Leica | G-15-G12 | Focal (Cytoplasmic) |
| GFAP | Dako | Polyclonal | Negative |
| SOX10 | Biocare | BC34 | Negative |
| MelanA | Dako | A103 | Negative |
| HMB45 | Dako | HMB-45 | Negative |
| H3K27me3 | Gennova/Biocare | C36B11 | Not evaluable |
| Ki67 | Dako | MIB-1 | 7% |
| ALK | Dako | ALK1 | Negative |
| Age | Sex | Site | S100 | SMA | SATB2 | Ki67 | Mt | Genetics | Treatment | Outcome |
|---|---|---|---|---|---|---|---|---|---|---|
| 14 | Male | Left humerus | Weak, focal | Negative | Intense, difusse | 7% | No | EVI5::BRAF | Resection and reconstruction | No evidence of disease |
Disclaimer/Publisher’s Note: The statements, opinions and data contained in all publications are solely those of the individual author(s) and contributor(s) and not of MDPI and/or the editor(s). MDPI and/or the editor(s) disclaim responsibility for any injury to people or property resulting from any ideas, methods, instructions or products referred to in the content. |
© 2025 by the authors. Licensee MDPI, Basel, Switzerland. This article is an open access article distributed under the terms and conditions of the Creative Commons Attribution (CC BY) license (https://creativecommons.org/licenses/by/4.0/).
Share and Cite
González-López, J.; Rubio-Martínez, L.A.; Atarés, M.; Amaya, J.V.; Huart, M.C.; Mayordomo-Aranda, E.; Giner, F. Novel EVI5::BRAF Gene Fusion in Infantile Fibrosarcoma: A Case Report and Review of Literature. Int. J. Mol. Sci. 2025, 26, 1182. https://doi.org/10.3390/ijms26031182
González-López J, Rubio-Martínez LA, Atarés M, Amaya JV, Huart MC, Mayordomo-Aranda E, Giner F. Novel EVI5::BRAF Gene Fusion in Infantile Fibrosarcoma: A Case Report and Review of Literature. International Journal of Molecular Sciences. 2025; 26(3):1182. https://doi.org/10.3390/ijms26031182
Chicago/Turabian StyleGonzález-López, Judith, Luis Alberto Rubio-Martínez, Miryam Atarés, José Vicente Amaya, Maria Carmen Huart, Empar Mayordomo-Aranda, and Francisco Giner. 2025. "Novel EVI5::BRAF Gene Fusion in Infantile Fibrosarcoma: A Case Report and Review of Literature" International Journal of Molecular Sciences 26, no. 3: 1182. https://doi.org/10.3390/ijms26031182
APA StyleGonzález-López, J., Rubio-Martínez, L. A., Atarés, M., Amaya, J. V., Huart, M. C., Mayordomo-Aranda, E., & Giner, F. (2025). Novel EVI5::BRAF Gene Fusion in Infantile Fibrosarcoma: A Case Report and Review of Literature. International Journal of Molecular Sciences, 26(3), 1182. https://doi.org/10.3390/ijms26031182

