Biparental and Androgenetic Somatic Mosaicism with Presentation of Non-Syndromic Severe Neonatal Hyperinsulinemia
Abstract
1. Introduction
2. Results
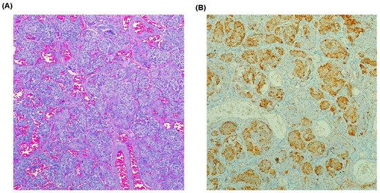
2.1. Case Presentation
2.2. Genetic Evaluation and Clinical Follow-Up
2.3. Genomic DNA Profiling and WES Analysis
3. Discussion
4. Materials and Methods
4.1. WES and DNA Profiling to Determine GWpUPIDM
4.2. Ethical Considerations
Author Contributions
Funding
Institutional Review Board Statement
Informed Consent Statement
Data Availability Statement
Acknowledgments
Conflicts of Interest
References
- Sheppard, S.E.; Lalonde, E.; Adzick, N.S.; Beck, A.E.; Bhatti, T.; De Leon, D.D.; Duffy, K.A.; Ganguly, A.; Hathaway, E.; Ji, J.; et al. Androgenetic chimerism as an etiology for Beckwith-Wiedemann syndrome: Diagnosis and management. Genet. Med. 2019, 21, 2644–2649. [Google Scholar] [CrossRef]
- Kalish, J.M.; Conlin, L.K.; Bhatti, T.R.; Dubbs, H.A.; Harris, M.C.; Izumi, K.; Mostoufi-Moab, S.; Mulchandani, S.; Saitta, S.; States, L.J.; et al. Clinical features of three girls with mosaic genome-wide paternal uniparental isodisomy. Am. J. Med. Genet. A 2013, 161, 1929–1939. [Google Scholar] [CrossRef]
- Kaiser-Rogers, K.A.; McFadden, D.E.; Livasy, C.A.; Dansereau, J.; Jiang, R.; Knops, J.F.; Lefebvre, L.; Rao, K.W.; Robinson, W.P. Androgenetic/biparental mosaicism causes placental mesenchymal dysplasia. J. Med. Genet. 2006, 43, 187–192. [Google Scholar] [CrossRef] [PubMed]
- Postema, F.A.M.; Bliek, J.; van Noesel, C.J.M.; van Zutven, L.J.C.M.; Oosterwijk, J.C.; Hopman, S.M.J.; Merks, J.H.M.; Hennekam, R.C. Multiple tumors due to mosaic genome-wide paternal uniparental disomy. Pediatr. Blood Cancer 2019, 66, e27715. [Google Scholar] [CrossRef]
- Xing, D.; Adams, E.; Huang, J.; Ronnett, B.M. Refined diagnosis of hydatidiform moles with p57 immunohistochemistry and molecular genotyping: Updated analysis of a prospective series of 2217 cases. Mod. Pathol. 2021, 34, 961–982. [Google Scholar] [CrossRef]
- Gogiel, M.; Begemann, M.; Spengler, S.; Soellner, L.; Göretzlehner, U.; Eggermann, T.; Strobl-Wildemann, G. Genome-wide paternal uniparental disomy mosaicism in a woman with Beckwith-Wiedemann syndrome and ovarian steroid cell tumour. Eur. J. Hum. Genet. 2013, 21, 788–791. [Google Scholar] [CrossRef] [PubMed]
- Morales, C.; Soler, A.; Badenas, C.; Rodríguez-Revenga, L.; Nadal, A.; Martínez, J.M.; Mademont-Soler, I.; Borrell, A.; Milà, M.; Sánchez, A. Reproductive consequences of genome-wide paternal uniparental disomy mosaicism: Description of two cases with different mechanisms of origin and pregnancy outcomes. Fertil. Steril. 2009, 92, 393.e5–393.e9. [Google Scholar] [CrossRef] [PubMed]
- Surti, U.; Hill, L.M.; Dunn, J.; Prosen, T.; Hoffner, L. Twin pregnancy with a chimeric androgenetic and biparental placenta in one twin displaying placental mesenchymal dysplasia phenotype. Prenat. Diagn. 2005, 25, 1048–1056. [Google Scholar] [CrossRef] [PubMed]
- Spier, I.; Engels, H.; Stutte, S.; Reutter, H.; Bartels, E.; Matos Meder, S.; Begemann, M.; Mangold, E.; Eggermann, T. Male infant with paternal uniparental diploidy mosaicism and a 46,XX/46,XY karyotype. Am. J. Med. Genet. A 2019, 179, 2252–2256. [Google Scholar] [CrossRef] [PubMed]
- Ohtsuka, Y.; Higashimoto, K.; Oka, T.; Yatsuki, H.; Jozaki, K.; Maeda, T.; Kawahara, K.; Hamasaki, Y.; Matsuo, M.; Nishioka, K.; et al. Identification of consensus motifs associated with mitotic recombination and clinical characteristics in patients with paternal uniparental isodisomy of chromosome 11. Hum. Mol. Genet. 2016, 25, 1406–1419. [Google Scholar] [CrossRef] [PubMed]
- Inbar-Feigenberg, M.; Choufani, S.; Cytrynbaum, C.; Chen, Y.A.; Steele, L.; Shuman, C.; Ray, P.N.; Weksberg, R. Mosaicism for genome-wide paternal uniparental disomy with features of multiple imprinting disorders: Diagnostic and management issues. Am. J. Med. Genet. A 2013, 161, 13–20. [Google Scholar] [CrossRef]
- Christesen, H.T.; Christensen, L.G.; Löfgren, Å.M.; Brøndum-Nielsen, K.; Svensson, J.; Brusgaard, K.; Samuelsson, S.; Elfving, M.; Jonson, T.; Grønskov, K.; et al. Tissue variations of mosaic genome-wide paternal uniparental disomy and phenotype of multi-syndromal congenital hyperinsulinism. Eur. J. Med. Genet. 2020, 63, 103632. [Google Scholar] [CrossRef]
- Wilson, M.; Peters, G.; Bennetts, B.; McGillivray, G.; Wu, Z.H.; Poon, C.; Algar, E. The clinical phenotype of mosaicism for genome-wide paternal uniparental disomy: Two new reports. Am. J. Med. Genet. A 2008, 146, 137–148. [Google Scholar] [CrossRef]
- Kapur, R.P.; Cole, B.; Zhang, M.; Lin, J.; Fligner, C.L. Placental mesenchymal dysplasia and fetal renal-hepatic-pancreatic dysplasia: Androgenetic-biparental mosaicism and pathogenesis of an autosomal recessive disorder. Pediatr. Dev. Pathol. 2013, 16, 191–200. [Google Scholar] [CrossRef] [PubMed]
- Ohtsuka, Y.; Higashimoto, K.; Sasaki, K.; Jozaki, K.; Yoshinaga, H.; Okamoto, N.; Takama, Y.; Kubota, A.; Nakayama, M.; Yatsuki, H.; et al. Autosomal recessive cystinuria caused by genome-wide paternal uniparental isodisomy in a patient with Beckwith-Wiedemann syndrome. Clin. Genet. 2015, 88, 261–266. [Google Scholar] [CrossRef] [PubMed]
- Borgulová, I.; Soldatova, I.; Putzová, M.; Malíková, M.; Neupauerová, J.; Marková, S.P.; Trková, M.; Seeman, P. Genome-wide uniparental diploidy of all paternal chromosomes in an 11-year-old girl with deafness and without malignancy. J. Hum. Genet. 2018, 63, 803–810. [Google Scholar] [CrossRef]
- Dharmadhikari, A.V.; Ghosh, R.; Yuan, B.; Liu, P.; Dai, H.; Al Masri, S.; Scull, J.; Posey, J.E.; Jiang, A.H.; He, W. Copy number variant and runs of homozygosity detection by microarrays enabled more precise molecular diagnoses in 11,020 clinical exome cases. Genome Med. 2019, 11, 30. [Google Scholar] [CrossRef]
- Vela-Amieva, M.; Alcántara-Ortigoza, M.A.; González-Del Angel, A.; Fernández-Hernández, L.; Reyna-Fabián, M.E.; Estandía-Ortega, B.; Guillén-López, S.; López-Mejía, L.; Belmont-Martínez, L.; Carrillo-Nieto, R.I.; et al. Concordance Between Biochemical and Molecular Diagnosis Obtained by WES in Mexican Patients with Inborn Errors of Intermediary Metabolism: Utility for Therapeutic Management. Int. J. Mol. Sci. 2024, 25, 11722. [Google Scholar] [CrossRef] [PubMed]
- Del Gaudio, D.; Shinawi, M.; Astbury, C.; Tayeh, M.K.; Deak, K.L.; Raca, G.; ACMG Laboratory Quality Assurance Committee. Diagnostic testing for uniparental disomy: A points to consider statement from the American College of Medical Genetics and Genomics (ACMG). Genet. Med. 2020, 22, 1133–1141. [Google Scholar] [CrossRef] [PubMed]
- Giurgea, I.; Sanlaville, D.; Fournet, J.C.; Sempoux, C.; Bellanné-Chantelot, C.; Touati, G.; Hubert, L.; Groos, M.S.; Brunelle, F.; Rahier, J.; et al. Congenital hyperinsulinism and mosaic abnormalities of the ploidy. J. Med. Genet. 2006, 43, 248–254. [Google Scholar] [CrossRef]
- Colpaert, R.M.; Ramseyer, A.M.; Luu, T.; Quick, C.M.; Frye, L.T.; Magann, E.F. Diagnosis and Management of Placental Mesenchymal Disease. A Review of the Literature. Obs. Obstet. Gynecol. Surv. 2019, 74, 611–622. [Google Scholar] [CrossRef]
- Jüppner, H. Pseudohypoparathyroidism: Complex disease variants with unfortunate names. J. Mol. Endocrinol. 2023, 72, e230104. [Google Scholar] [CrossRef]
- Yorifuji, T.; Higuchi, S.; Hosokawa, Y.; Kawakita, R. Chromosome 6q24-related diabetes mellitus. Clin. Pediatr. Endocrinol. 2018, 27, 59–65. [Google Scholar] [CrossRef]
- Darcy, D.; Atwal, P.S.; Angell, C.; Gadi, I.; Wallerstein, R. Mosaic paternal genome-wide uniparental isodisomy with down syndrome. Am. J. Med. Genet. A 2015, 167, 2463–2469. [Google Scholar] [CrossRef] [PubMed]
- Yamazawa, K.; Ogata, T.; Ferguson-Smith, A.C. Uniparental disomy and human disease: An overview. Am. J. Med. Genet. C Semin. Med. Genet. 2010, 154, 329–334. [Google Scholar] [CrossRef]
- Li, S.C.; Chen, C.M.; Goldstein, J.L.; Wu, J.Y.; Lemyre, E.; Burrow, T.A.; Kang, P.B.; Chen, Y.T.; Bali, D.S. Glycogen storage disease type IV: Novel mutations and molecular characterization of a heterogeneous disorder. J. Inherit. Metab. Dis. 2010, 33 (Suppl. S3), S83–S90. [Google Scholar] [CrossRef] [PubMed]
- Magoulas, P.L.; El-Hattab, A.W. Glycogen Storage Disease Type IV. In GeneReviews® [Internet]; Adam, M.P., Feldman, J., Mirzaa, G.M., Pagon, R.A., Wallace, S.E., Amemiya, A., Eds.; University of Washington: Seattle, WA, USA, 1993. [Google Scholar] [PubMed]
- Sagnelli, A.; Savoiardo, M.; Marchesi, C.; Morandi, L.; Mora, M.; Morbin, M.; Farina, L.; Mazzeo, A.; Toscano, A.; Pagliarani, S.; et al. Adult polyglucosan body disease in a patient originally diagnosed with Fabry’s disease. Neuromuscul. Disord. 2014, 24, 272–276. [Google Scholar] [CrossRef]
- Soejima, H.; Hara, S.; Ohba, T.; Higashimoto, K. Placental Mesenchymal Dysplasia and Beckwith-Wiedemann Syndrome. Cancers 2022, 14, 5563. [Google Scholar] [CrossRef] [PubMed]




| Patient gDNA Sample | TH01 | D3S1358 | VWA | D21S11 | D19S433 | D2S1338 | D16S539 | CSF1PO | FGA | D18S51 | Overall % Estimation of Androgenetic Cell Line 1 |
|---|---|---|---|---|---|---|---|---|---|---|---|
| Peripheral blood leukocytes | 88% | 88% | 82% | 88% | 81% | 87% | 82% | 82% | 89% | 75% | 75–89% (mean: 84%) |
| Pancreas | 80% | 80% | 66% | 78% | 74% | NA 2 | 68% | 70% | 85% | 65% | 65–85% (mean: 74%) |
| Buccal cells | 51% | 54% | 48% | 58% | 42% | 43% | 34% | 46% | 55% | 37% | 34–58% (mean: 47%) |
| Hair follicles | 4% | 0% | 0% | 0% | 3% | 0% | 0% | 0% | 0% | 0% | 0–4% (mean: 0.7%) |
Disclaimer/Publisher’s Note: The statements, opinions and data contained in all publications are solely those of the individual author(s) and contributor(s) and not of MDPI and/or the editor(s). MDPI and/or the editor(s) disclaim responsibility for any injury to people or property resulting from any ideas, methods, instructions or products referred to in the content. |
© 2025 by the authors. Licensee MDPI, Basel, Switzerland. This article is an open access article distributed under the terms and conditions of the Creative Commons Attribution (CC BY) license (https://creativecommons.org/licenses/by/4.0/).
Share and Cite
Alcántara-Ortigoza, M.A.; Vela-Amieva, M.; González-del Angel, A.; Reyna-Fabián, M.E.; Fernández-Hernández, L.; Estandía-Ortega, B.; Guillén-López, S.; López-Mejía, L.; Ibarra-González, I.; Ruiz-Reyes, M.d.l.L.; et al. Biparental and Androgenetic Somatic Mosaicism with Presentation of Non-Syndromic Severe Neonatal Hyperinsulinemia. Int. J. Mol. Sci. 2025, 26, 7985. https://doi.org/10.3390/ijms26167985
Alcántara-Ortigoza MA, Vela-Amieva M, González-del Angel A, Reyna-Fabián ME, Fernández-Hernández L, Estandía-Ortega B, Guillén-López S, López-Mejía L, Ibarra-González I, Ruiz-Reyes MdlL, et al. Biparental and Androgenetic Somatic Mosaicism with Presentation of Non-Syndromic Severe Neonatal Hyperinsulinemia. International Journal of Molecular Sciences. 2025; 26(16):7985. https://doi.org/10.3390/ijms26167985
Chicago/Turabian StyleAlcántara-Ortigoza, Miguel Angel, Marcela Vela-Amieva, Ariadna González-del Angel, Miriam Erandi Reyna-Fabián, Liliana Fernández-Hernández, Bernardette Estandía-Ortega, Sara Guillén-López, Lizbeth López-Mejía, Isabel Ibarra-González, María de la Luz Ruiz-Reyes, and et al. 2025. "Biparental and Androgenetic Somatic Mosaicism with Presentation of Non-Syndromic Severe Neonatal Hyperinsulinemia" International Journal of Molecular Sciences 26, no. 16: 7985. https://doi.org/10.3390/ijms26167985
APA StyleAlcántara-Ortigoza, M. A., Vela-Amieva, M., González-del Angel, A., Reyna-Fabián, M. E., Fernández-Hernández, L., Estandía-Ortega, B., Guillén-López, S., López-Mejía, L., Ibarra-González, I., Ruiz-Reyes, M. d. l. L., Calzada-de León, R., Rojas-Maruri, M., Zárate-Mondragón, F., Hun-Seo, G., Lee, H., & Fernández-Lainez, C., on behalf of the Rare Diseases Mexican Effort Group (RaDiMEG). (2025). Biparental and Androgenetic Somatic Mosaicism with Presentation of Non-Syndromic Severe Neonatal Hyperinsulinemia. International Journal of Molecular Sciences, 26(16), 7985. https://doi.org/10.3390/ijms26167985

