Paricalcitol Has a Potent Anti-Inflammatory Effect in Rat Endothelial Denudation-Induced Intimal Hyperplasia
Abstract
1. Introduction
2. Results
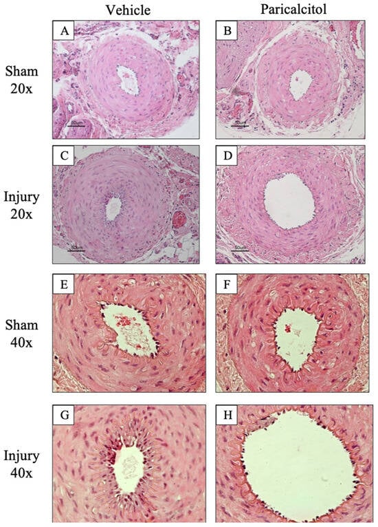
2.1. Paricalcitol, Intimal Hyperplasia and Stenosis Secondary to Endothelial Injury
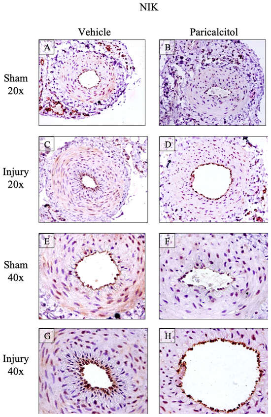
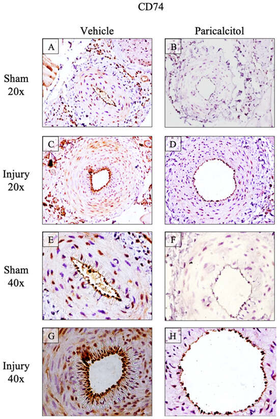
2.2. Endothelial Denudation-Induced Intimal Hyperplasia Is Associated with Increased Local Gene Expressions of GDF15, CD74, NIK and MCP-1
2.3. Paricalcitol Blunts the Changes in Gene Expression of Growth Factors and Mediators of Inflammation
2.4. Paricalcitol Prevents Vascular Inflammation during Endothelial Denudation-Induced Intimal Hyperplasia
3. Discussion
4. Materials and Methods
4.1. Study Protocol
4.2. Animal Model
4.3. Histomorphometry
4.4. Immunohistochemistry
4.5. Gene Expression Studies: Reverse Transcription and Real-Time Polymerase Chain Reaction
4.6. Statistical Analysis
Author Contributions
Funding
Institutional Review Board Statement
Informed Consent Statement
Data Availability Statement
Conflicts of Interest
References
- Epstein, F.H.; Gibbons, G.H.; Dzau, V.J. The Emerging Concept of Vascular Remodeling. N. Engl. J. Med. 1994, 330, 1431–1438. [Google Scholar] [CrossRef] [PubMed]
- Schwartz, S.M.; DeBlois, D.; O’Brien, E.R.M. The Intima. Soil for Atherosclerosis and Restenosis. Circ. Res. 1995, 77, 445–465. [Google Scholar] [CrossRef] [PubMed]
- Pashova, A.; Work, L.M.; Nicklin, S.A. The Role of Extracellular Vesicles in Neointima Formation Post Vascular Injury. Cell. Signal. 2020, 76, 109783. [Google Scholar] [CrossRef] [PubMed]
- Moriarty, J.P.; Murad, M.H.; Shah, N.D.; Prasad, C.; Montori, V.M.; Erwin, P.J.; Forbes, T.L.; Meissner, M.H.; Stoner, M.C. A Systematic Review of Lower Extremity Arterial Revascularization Economic Analyses. J. Vasc. Surg. 2011, 54, 1131–1144. [Google Scholar] [CrossRef] [PubMed]
- Dosluoglu, H.H.; Lall, P.; Harris, L.M.; Dryjski, M.L. Long-Term Limb Salvage and Survival after Endovascular and Open Revascularization for Critical Limb Ischemia after Adoption of Endovascular-First Approach by Vascular Surgeons. J. Vasc. Surg. 2012, 56, 361–371. [Google Scholar] [CrossRef] [PubMed]
- Carthy, E.P.; Yamashita, W.; Hsu, A.; Ooi, B.S. 1,25-Dihydroxyvitamin D3 and Rat Vascular Smooth Muscle Cell Growth. Hypertension 1989, 13, 954–959. [Google Scholar] [CrossRef] [PubMed]
- Cummings, L.C.; Thota, P.N.; Willis, J.E.; Chen, Y.; Cooper, G.S.; Furey, N.; Bednarchik, B.; Alashkar, B.M.; Dumot, J.; Faulx, A.L.; et al. A Nonrandomized Trial of Vitamin D Supplementation for Barrett’s Esophagus. PLoS ONE 2017, 12, e0184928. [Google Scholar] [CrossRef] [PubMed]
- Agarwal, P.; Agarwal, Y.; Hameed, M. Recent Advances in Association Between Vitamin D Levels and Cardiovascular Disorders. Curr. Hypertens. Rep. 2023, 25, 185–209. [Google Scholar] [CrossRef] [PubMed]
- Hinek, A.; Botney, M.D.; Mecham, R.R.; Parks, W.C. Inhibition of Tropoelastin Expression by 1,25-Dihydroxyvitamin D3. Connect. Tissue Res. 1991, 26, 155–166. [Google Scholar] [CrossRef]
- Yurekli, I.; Gokalp, O.; Kiray, M.; Bademci, M.; Yetkin, U.; Ergunes, K.; Yilmaz, O.; Bayrak, S.; Gurbuz, A. Effect of 1α-25-Dihydroxyvitamin D3 on Intimal Hyperplasia Developing in Vascular Anastomoses: A Rabbit Model. Arch. Med. Sci. 2013, 9, 404–408. [Google Scholar] [CrossRef]
- Satish, M.; Gunasekar, P.; Asensio, J.A.; Agrawal, D.K. Vitamin D Attenuates HMGB1-Mediated Neointimal Hyperplasia after Percutaneous Coronary Intervention in Swine. Mol. Cell. Biochem. 2020, 474, 219–228. [Google Scholar] [CrossRef] [PubMed]
- Rayego-Mateos, S.; Morgado-Pascual, J.L.; Valdivielso, J.M.; Sanz, A.B.; Bosch-Panadero, E.; Rodrigues-Díez, R.R.; Egido, J.; Ortiz, A.; González-Parra, E.; Ruiz-Ortega, M. TRAF3 Modulation: Novel Mechanism for the Anti-Inflammatory Effects of the Vitamin D Receptor Agonist Paricalcitol in Renal Disease. J. Am. Soc. Nephrol. 2020, 31, 2026–2042. [Google Scholar] [CrossRef] [PubMed]
- KDIGO 2017 Clinical Practice Guideline Update for the Diagnosis, Evaluation, Prevention, and Treatment of Chronic Kidney Disease-Mineral and Bone Disorder (CKD-MBD). Kidney Int. Suppl. 2017, 7, 1–59. [CrossRef] [PubMed]
- Andress, D.L. Vitamin D in Chronic Kidney Disease: A Systemic Role for Selective Vitamin D Receptor Activation. Kidney Int. 2006, 69, 33–43. [Google Scholar] [CrossRef] [PubMed]
- Wu-Wong, J.R.; Nakane, M.; Ma, J.; Ruan, X.; Kroeger, P.E. Effects of Vitamin D Analogs on Gene Expression Profiling in Human Coronary Artery Smooth Muscle Cells. Atherosclerosis 2006, 186, 20–28. [Google Scholar] [CrossRef] [PubMed]
- Sanchez-Niño, M.D.; Bozic, M.; Córdoba-Lanús, E.; Valcheva, P.; Gracia, O.; Ibarz, M.; Fernandez, E.; Navarro-Gonzalez, J.F.; Ortiz, A.; Valdivielso, J.M. Beyond Proteinuria: VDR Activation Reduces Renal Inflammation in Experimental Diabetic Nephropathy. Am. J. Physiol. Renal Physiol. 2012, 302, F647–F657. [Google Scholar] [CrossRef] [PubMed]
- Easty, D.J.; Farr, C.J.; Hennessy, B.T. New Roles for Vitamin D Superagonists: From COVID to Cancer. Front. Endocrinol. 2021, 12, 644298. [Google Scholar] [CrossRef]
- Martínez-Arias, L.; Panizo, S.; Alonso-Montes, C.; Martín-Vírgala, J.; Martín-Carro, B.; Fernández-Villabrille, S.; Gil-Albert, C.G.; Palomo-Antequera, C.; Fernández-Martín, J.L.; Ruiz-Torres, M.P.; et al. Effects of calcitriol and paricalcitol on renal fibrosis in CKD. Nephrol. Dial. Transplant. 2021, 36, 793–803. [Google Scholar] [CrossRef] [PubMed]
- Icardi, A.; Paoletti, E.; De Nicola, L.; Mazzaferro, S.; Russo, R.; Cozzolino, M. Renal anaemia and EPO hyporesponsiveness associated with vitamin D deficiency: The potential role of inflammation. Nephrol. Dial. Transplant. 2013, 28, 1672–1679. [Google Scholar] [CrossRef]
- Gupta, G.K.; Agrawal, T.; Rai, V.; Del Core, M.G.; Hunter, W.J.; Agrawal, D.K. Vitamin D Supplementation Reduces Intimal Hyperplasia and Restenosis Following Coronary Intervention in Atherosclerotic Swine. PLoS ONE 2016, 11, e0156857. [Google Scholar] [CrossRef]
- Sato, T.; Iwasaki, Y.; Kikkawa, Y.; Fukagawa, M. An Efficacy of Intensive Vitamin D Delivery to Neointimal Hyperplasia in Recurrent Vascular Access Stenosis. J. Vasc. Access 2016, 17, 72–77. [Google Scholar] [CrossRef] [PubMed]
- Lamawansa, M.D.; Wysocki, S.J.; House, A.K.; Norman, P.E. Vitamin D3 Exacerbates Intimal Hyperplasia in Balloon-Injured Arteries. Br. J. Surg. 1996, 83, 1101–1103. [Google Scholar] [CrossRef] [PubMed]
- Sato, T.; Otsuka, Y.; Kikkawa, Y.; Iwasaki, Y.; Fukagawa, M. Semiquantitative Analysis of Virtual Histology Derived from Intravascular Ultrasound Images at Vascular Access Stenosis. J. Vasc. Access 2019, 20, 55–59. [Google Scholar] [CrossRef] [PubMed]
- Valiño-Rivas, L.; Cuarental, L.; Ceballos, M.I.; Pintor-Chocano, A.; Perez-Gomez, M.V.; Sanz, A.B.; Ortiz, A.; Sanchez-Niño, M.D. Growth Differentiation Factor-15 Preserves Klotho Expression in Acute Kidney Injury and Kidney Fibrosis. Kidney Int. 2022, 101, 1200–1215. [Google Scholar] [CrossRef] [PubMed]
- Sanchez-Niño, M.D.; Sanz, A.B.; Ihalmo, P.; Lassila, M.; Holthofer, H.; Mezzano, S.; Aros, C.; Groop, P.H.; Saleem, M.A.; Mathieson, P.W.; et al. The MIF Receptor CD74 in Diabetic Podocyte Injury. J. Am. Soc. Nephrol. 2009, 20, 353–362. [Google Scholar] [CrossRef] [PubMed]
- Martín-Ventura, J.L.; Madrigal-Matute, J.; Muñoz-Garcia, B.; Blanco-Colio, L.M.; Van Oostrom, M.; Zalba, G.; Fortuño, A.; Gomez-Guerrero, C.; Ortega, L.; Ortiz, A.; et al. Increased CD74 Expression in Human Atherosclerotic Plaques: Contribution to Inflammatory Responses in Vascular Cells. Cardiovasc. Res. 2009, 83, 586–594. [Google Scholar] [CrossRef] [PubMed]
- Valiño-Rivas, L.; Vaquero, J.J.; Sucunza, D.; Gutierrez, S.; Sanz, A.B.; Fresno, M.; Ortiz, A.; Sanchez-Niño, M.D. NIK as a Druggable Mediator of Tissue Injury. Trends Mol. Med. 2019, 25, 341–360. [Google Scholar] [CrossRef] [PubMed]
- Grudzinska, M.K.; Kurzejamska, E.; Bojakowski, K.; Soin, J.; Lehmann, M.H.; Reinecke, H.; Murry, C.E.; Soderberg-Naucler, C.; Religa, P. Monocyte Chemoattractant Protein 1-Mediated Migration of Mesenchymal Stem Cells Is a Source of Intimal Hyperplasia. Arterioscler. Thromb. Vasc. Biol. 2013, 33, 1271–1279. [Google Scholar] [CrossRef] [PubMed]
- Alkundi, A.; Momoh, R.; Musa, A.; Nwafor, N. Vitamin D Intoxication and Severe Hypercalcaemia Complicating Nutritional Supplements Misuse. BMJ Case Rep. 2022, 15, e250553. [Google Scholar] [CrossRef]
- Levita, J.; Wilar, G.; Wahyuni, I.; Bawono, L.C.; Ramadaini, T.; Rohani, R.; Diantini, A. Clinical Toxicology of Vitamin D in Pediatrics: A Review and Case Reports. Toxics 2023, 11, 642. [Google Scholar] [CrossRef]
- Manolis, A.A.; Manolis, T.A.; Melita, H.; Manolis, A.S. Role of Vitamins in Cardiovascular Health: Know Your Facts-Part 2. Curr. Vasc. Pharmacol. 2023, 21, 399–423. [Google Scholar] [CrossRef]
- Cozzolino, M.; Bernard, L.; Csomor, P.A. Active Vitamin D Increases the Risk of Hypercalcaemia in Non-Dialysis Chronic Kidney Disease Patients with Secondary Hyperparathyroidism: A Systematic Review and Meta-Analysis. Clin. Kidney J. 2021, 14, 2437–2443. [Google Scholar] [CrossRef] [PubMed]
- Sprague, S.M.; Llach, F.; Amdahl, M.; Taccetta, C.; Batlle, D. Paricalcitol versus Calcitriol in the Treatment of Secondary Hyperparathyroidism. Kidney Int. 2003, 63, 1483–1490. [Google Scholar] [CrossRef]
- Han, Y.C.; Liu, Y.T.; Zhang, H.; Xu, Y.; Liu, J.; Chen, H.; Song, N.; Qin, D.; Yang, S. VDR Alleviates Endothelial Cell Injury in Arteriovenous Fistula through Inhibition of P66Shc-Mediated Mitochondrial ROS. Sci. Rep. 2023, 13, 11088. [Google Scholar] [CrossRef] [PubMed]
- Köksal, M.M.; Şekerler, T.; Çevik, Ö.; Şener, A. Paricalcitol Protects against Hydrogen Peroxide-Induced Injury in Endothelial Cells through Suppression of Apoptosis. Exp. Biol. Med. 2023, 248, 186–192. [Google Scholar] [CrossRef] [PubMed]
- Cuenca, M.V.; Ferrantelli, E.; Meinster, E.; Pouw, S.M.; Kovačević, I.; de Menezes, R.X.; Niessen, H.W.; Beelen, R.H.J.; Hordijk, P.L.; Vervloet, M.G. Vitamin D Attenuates Endothelial Dysfunction in Uremic Rats and Maintains Human Endothelial Stability. J. Am. Heart Assoc. 2018, 7, e008776. [Google Scholar] [CrossRef]
- Lundwall, K.; Jacobson, S.H.; Jörneskog, G.; Spaak, J. Treating Endothelial Dysfunction with Vitamin D in Chronic Kidney Disease: A Meta-Analysis. BMC Nephrol. 2018, 19, 247. [Google Scholar] [CrossRef]
- Zoccali, C.; Curatola, G.; Panuccio, V.; Tripepi, R.; Pizzini, P.; Versace, M.; Bolignano, D.; Cutrupi, S.; Politi, R.; Tripepi, G.; et al. Paricalcitol and Endothelial Function in Chronic Kidney Disease Trial. Hypertension 2014, 64, 1005–1011. [Google Scholar] [CrossRef]
- Carlberg, C. Genomic Signaling of Vitamin D. Steroids 2023, 198, 109271. [Google Scholar] [CrossRef]
- Warwick, T.; Schulz, M.H.; Günther, S.; Gilsbach, R.; Neme, A.; Carlberg, C.; Brandes, R.P.; Seuter, S. A Hierarchical Regulatory Network Analysis of the Vitamin D Induced Transcriptome Reveals Novel Regulators and Complete VDR Dependency in Monocytes. Sci. Rep. 2021, 11, 6518. [Google Scholar] [CrossRef]
- Available online: https://Maayanlab.Cloud/Harmonizome/Gene_set/VDR/CHEA+Transcription+Factor+Targets (accessed on 18 March 2024).
- Dusso, A. Update on the Biologic Role of the Vitamin D Endocrine System. Curr. Vasc. Pharmacol. 2014, 12, 272–277. [Google Scholar] [CrossRef] [PubMed]
- Sanchez-Niño, M.D.; Sanz, A.B.; Carrasco, S.; Saleem, M.A.; Mathieson, P.W.; Valdivielso, J.M.; Ruiz-Ortega, M.; Egido, J.; Ortiz, A. Globotriaosylsphingosine Actions on Human Glomerular Podocytes: Implications for Fabry Nephropathy. Nephrol. Dial. Transpl. 2011, 26, 1797–1802. [Google Scholar] [CrossRef] [PubMed]
- Padi, S.K.R.; Zhang, Q.; Rustum, Y.M.; Morrison, C.; Guo, B. MicroRNA-627 Mediates the Epigenetic Mechanisms of Vitamin D to Suppress Proliferation of Human Colorectal Cancer Cells and Growth of Xenograft Tumors in Mice. Gastroenterology 2013, 145, 437–446. [Google Scholar] [CrossRef] [PubMed]
- Lambert, J.R.; Kelly, J.A.; Shim, M.; Huffer, W.E.; Nordeen, S.K.; Baek, S.J.; Eling, T.E.; Lucia, M.S. Prostate Derived Factor in Human Prostate Cancer Cells: Gene Induction by Vitamin D via a P53-Dependent Mechanism and Inhibition of Prostate Cancer Cell Growth. J. Cell. Physiol. 2006, 208, 566–574. [Google Scholar] [CrossRef] [PubMed]
- Hénaut, L.; Sanz, A.B.; Martin-Sanchez, D.; Carrasco, S.; Villa-Bellosta, R.; Aldamiz-Echevarria, G.; Massy, Z.A.; Sanchez-Nino, M.D.; Ortiz, A. TWEAK Favors Phosphate-Induced Calcification of Vascular Smooth Muscle Cells through Canonical and Non-Canonical Activation of NFκB. Cell Death Dis. 2016, 7, e2305. [Google Scholar] [CrossRef] [PubMed]
- Heduschke, A.; Ackermann, K.; Wilhelm, B.; Mey, L.; Bonaterra, G.A.; Kinscherf, R.; Schwarz, A. GDF-15 Deficiency Reduces Autophagic Activity in Human Macrophages In Vitro and Decreases P62-Accumulation in Atherosclerotic Lesions in Mice. Cells 2021, 10, 2346. [Google Scholar] [CrossRef] [PubMed]
- Bonaterra, G.A.; Zügel, S.; Thogersen, J.; Walter, S.A.; Haberkorn, U.; Strelau, J.; Kinscherf, R. Growth Differentiation Factor-15 Deficiency Inhibits Atherosclerosis Progression by Regulating Interleukin-6-Dependent Inflammatory Response to Vascular Injury. J. Am. Heart Assoc. 2012, 1, e002550. [Google Scholar] [CrossRef] [PubMed]
- Li, Q.L.; Tang, J.; Zhao, L.; Ruze, A.; Shan, X.F.; Gao, X.M. The role of CD74 in cardiovascular disease. Front. Cardiovasc. Med. 2023, 9, 1049143. [Google Scholar] [CrossRef] [PubMed]
- Chen, L.; Yin, Z.; Qin, X.; Zhu, X.; Chen, X.; Ding, G.; Sun, D.; Wu, N.N.; Fei, J.; Bi, Y.; et al. CD74 Ablation Rescues Type 2 Diabetes Mellitus-Induced Cardiac Remodeling and Contractile Dysfunction through Pyroptosis-Evoked Regulation of Ferroptosis. Pharmacol. Res. 2022, 176, 106086. [Google Scholar] [CrossRef]
- Farr, L.; Ghosh, S.; Moonah, S. Role of MIF Cytokine/CD74 Receptor Pathway in Protecting Against Injury and Promoting Repair. Front. Immunol. 2020, 11, 1273. [Google Scholar] [CrossRef]
- Tornel, W.; Sharma, I.; Osmani, H.; Moonah, S. Pro-Survival Pathway Protects from C. Difficile Toxin-Mediated Cell Death. J. Infect. Dis. [CrossRef]
- Farr, L.; Ghosh, S.; Jiang, N.; Watanabe, K.; Parlak, M.; Bucala, R.; Moonah, S. CD74 Signaling Links Inflammation to Intestinal Epithelial Cell Regeneration and Promotes Mucosal Healing. Cell. Mol. Gastroenterol. Hepatol. 2020, 10, 101–112. [Google Scholar] [CrossRef] [PubMed]
- Wong, M.S.; Delansorne, R.; Man, R.Y.; Vanhoutte, P.M. Vitamin D derivatives acutely reduce endothelium-dependent contractions in the aorta of the spontaneously hypertensive rat. Am. J. Physiol. Heart Circ. Physiol. 2008, 295, H289–H296. [Google Scholar] [CrossRef] [PubMed]
- Available online: https://www.proteinatlas.org/ENSG00000111424-VDR/single+cell+type (accessed on 19 April 2024).
- Slatopolsky, E.; Cozzolino, M.; Finch, J.L. Differential effects of 19-nor-1,25-(OH)2D2 and 1alpha-hydroxyvitamin D2 on calcium and phosphorus in normal and uremic rats. Kidney Int. 2002, 62, 1277–1284. [Google Scholar] [CrossRef] [PubMed]
- Coyne, D.W.; Grieff, M.; Ahya, S.N.; Giles, K.; Norwood, K.; Slatopolsky, E. Differential effects of acute administration of 19-Nor-1,25-dihydroxy-vitamin D2 and 1,25-dihydroxy-vitamin D3 on serum calcium and phosphorus in hemodialysis patients. Am. J. Kidney Dis. 2002, 40, 1283–1288. [Google Scholar] [CrossRef] [PubMed]
- Paricalcitol: Drug Information. Available online: https://www.uptodate.com/contents/paricalcitol-drug-information (accessed on 14 April 2024).
- Gallo, R.; Padurean, A.; Toschi, V.; Bichler, J.; Fallon, J.T.; Chesebro, J.H.; Fuster, V.; Badimon, J.J. Prolonged Thrombin Inhibition Reduces Restenosis after Balloon Angioplasty in Porcine Coronary Arteries. Circulation 1998, 97, 581–588. [Google Scholar] [CrossRef] [PubMed][Green Version]
- Silvestre-Roig, C.; Fernández, P.; Esteban, V.; Pello, Ó.M.; Indolfi, C.; Rodríguez, C.; Rodríguez-Calvo, R.; López-Maderuelo, M.D.; Bauriedel, G.; Hutter, R.; et al. Inactivation of Nuclear Factor-Y Inhibits Vascular Smooth Muscle Cell Proliferation and Neointima Formation. Arterioscler. Thromb. Vasc. Biol. 2013, 33, 1036–1045. [Google Scholar] [CrossRef]
- Cuarental, L.; Ribagorda, M.; Ceballos, M.I.; Pintor-Chocano, A.; Carriazo, S.M.; Dopazo, A.; Vazquez, E.; Suarez-Alvarez, B.; Cannata-Ortiz, P.; Sanz, A.B.; et al. The Transcription Factor Fosl1 Preserves Klotho Expression and Protects from Acute Kidney Injury. Kidney Int. 2023, 103, 686–701. [Google Scholar] [CrossRef]






| Sham Vehicle | Injury Vehicle | Sham Paricalcitol | Injury Paricalcitol | p Value (Injury Paricalcitol vs. Injury Vehicle) | |
|---|---|---|---|---|---|
| N | 5 | 5 | 5 | 4 * | |
| Intima/media ratio | 0 (0, 0) | 0.18 (0.11, 0.40) | 0 (0, 0) | 0.17 (0.07, 0.29) | 0.41 |
| % stenosis | 0 (0, 0) | 64.5 (55.1, 95.4) | 0 (0, 0) | 28.3 (6.6, 74.7) | 0.11 |
Disclaimer/Publisher’s Note: The statements, opinions and data contained in all publications are solely those of the individual author(s) and contributor(s) and not of MDPI and/or the editor(s). MDPI and/or the editor(s) disclaim responsibility for any injury to people or property resulting from any ideas, methods, instructions or products referred to in the content. |
© 2024 by the authors. Licensee MDPI, Basel, Switzerland. This article is an open access article distributed under the terms and conditions of the Creative Commons Attribution (CC BY) license (https://creativecommons.org/licenses/by/4.0/).
Share and Cite
Baeza, C.; Pintor-Chocano, A.; Carrasco, S.; Sanz, A.; Ortiz, A.; Sanchez-Niño, M.D. Paricalcitol Has a Potent Anti-Inflammatory Effect in Rat Endothelial Denudation-Induced Intimal Hyperplasia. Int. J. Mol. Sci. 2024, 25, 4814. https://doi.org/10.3390/ijms25094814
Baeza C, Pintor-Chocano A, Carrasco S, Sanz A, Ortiz A, Sanchez-Niño MD. Paricalcitol Has a Potent Anti-Inflammatory Effect in Rat Endothelial Denudation-Induced Intimal Hyperplasia. International Journal of Molecular Sciences. 2024; 25(9):4814. https://doi.org/10.3390/ijms25094814
Chicago/Turabian StyleBaeza, Ciro, Arancha Pintor-Chocano, Susana Carrasco, Ana Sanz, Alberto Ortiz, and Maria Dolores Sanchez-Niño. 2024. "Paricalcitol Has a Potent Anti-Inflammatory Effect in Rat Endothelial Denudation-Induced Intimal Hyperplasia" International Journal of Molecular Sciences 25, no. 9: 4814. https://doi.org/10.3390/ijms25094814
APA StyleBaeza, C., Pintor-Chocano, A., Carrasco, S., Sanz, A., Ortiz, A., & Sanchez-Niño, M. D. (2024). Paricalcitol Has a Potent Anti-Inflammatory Effect in Rat Endothelial Denudation-Induced Intimal Hyperplasia. International Journal of Molecular Sciences, 25(9), 4814. https://doi.org/10.3390/ijms25094814

