In Vitro and In Vivo Studies of Melanoma Cell Migration by Antagonistic Mimetics of Adhesion Molecule L1CAM
Abstract
1. Introduction
2. Results
2.1. Isolation and Characterization of Mouse Melanoma Cells, MASS 3 with Luciferase Reporter
2.2. L1 Antagonistic Mimetics Reduced Migration of Mouse Melanoma Cells
2.3. Cell Viability and Cell Proliferation MTT Assay
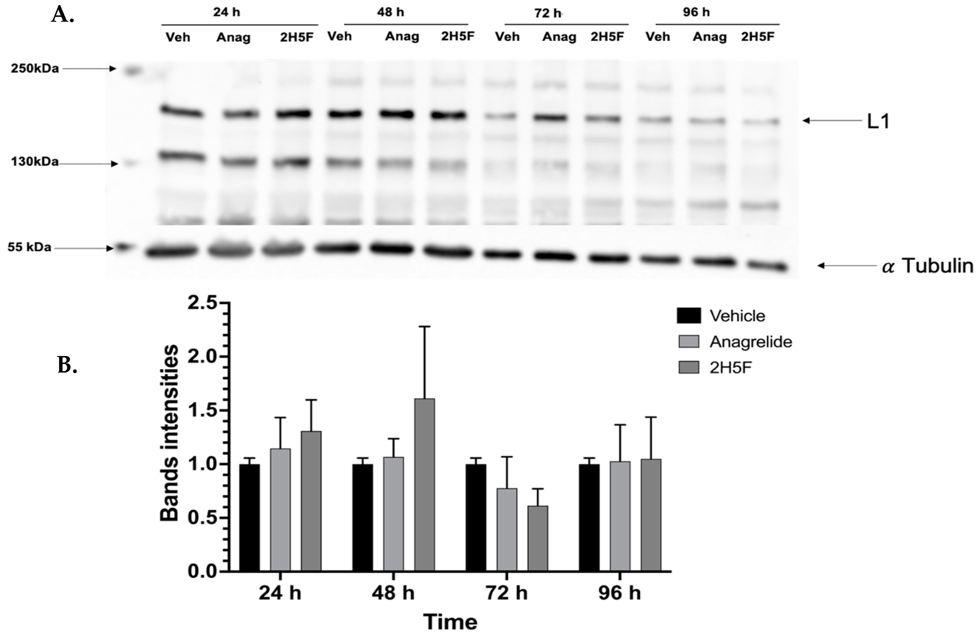
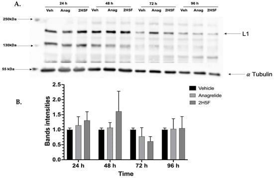
2.4. No Alterations in L1 Expression in Luciferase-Tagged MASS 3 Clone 1 Melanoma Cells
2.5. In Vivo Assessments of Allografts by Vernier Caliper and IVIS
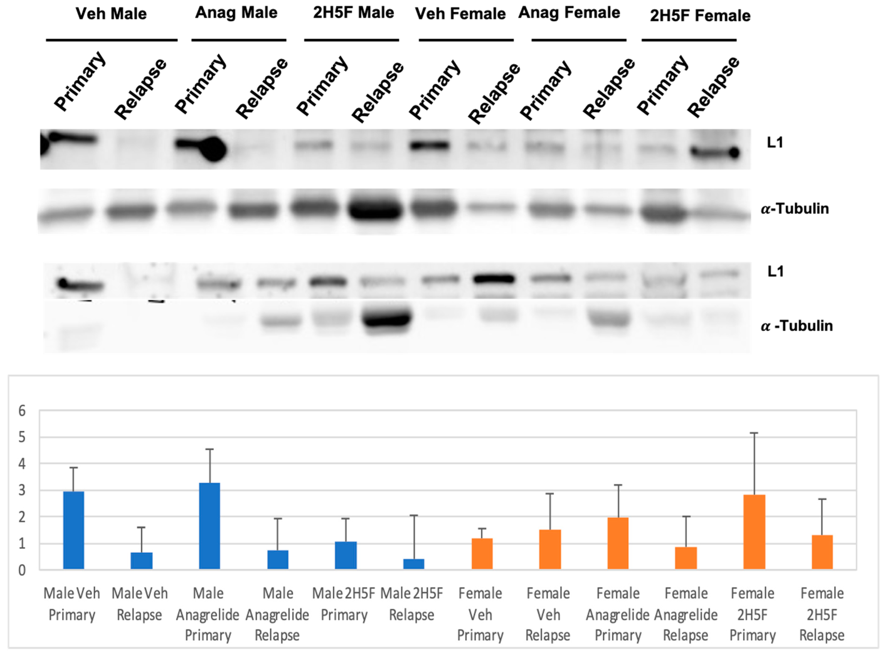
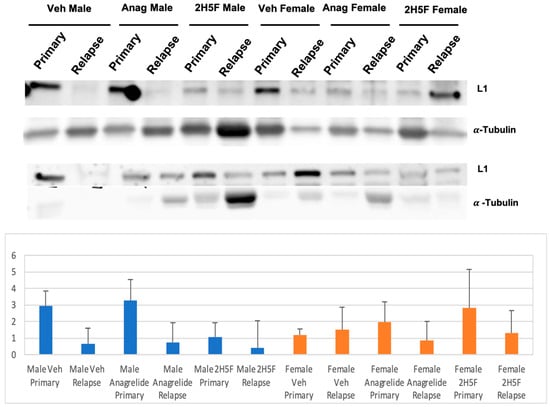
2.6. Expression of L1 in Excised Tumors
3. Discussion
4. Materials and Methods
4.1. Selection of Luciferase-Tagged Mouse Melanoma Cell Lines
4.2. Luminescence Assays
4.3. Protein Lysate Preparations from Mouse Melanoma Cell Lines
4.4. In Vivo Tumor Lysate Preparations
4.5. Western Immunoblots
4.6. MTT Cell Viability/Proliferation Assay
4.7. Migration Scratch Assays
4.8. In Vivo Allografts
4.9. Measurement of Tumor Volume with Vernier Caliper In Vivo
4.10. In Vivo Imaging Using the Smalll Animal Imaging IVIS System
4.11. Statistical Analysis
Supplementary Materials
Author Contributions
Funding
Institutional Review Board Statement
Informed Consent Statement
Data Availability Statement
Acknowledgments
Conflicts of Interest
References
- Arslanbaeva, L.R.; Santoro, M.M. Adaptive redox homeostasis in cutaneous melanoma. Redox Biol. 2020, 37, 101753. [Google Scholar] [CrossRef]
- Venza, I.; Venza, M.; Visalli, M.; Lentini, G.; Teti, D.; d’Alcontres, F.S. ROS as Regulators of Cellular Processes in Melanoma. Oxid. Med. Cell. Longev. 2021, 2021, 1208690. [Google Scholar] [CrossRef] [PubMed]
- Kamiński, K.; Kazimierczak, U.; Kolenda, T. Oxidative stress in melanogenesis and melanoma development. Contemp. Oncol. (Pozn.) 2022, 26, 1–7. [Google Scholar] [CrossRef] [PubMed]
- Flaherty, K.T.; McArthur, G. BRAF, a target in melanoma: Implications for solid tumor drug development. Cancer 2010, 116, 4902–4913. [Google Scholar] [CrossRef] [PubMed]
- Flaherty, K.T.; Smalley, K.S. Preclinical and clinical development of targeted therapy in melanoma: Attention to schedule. Pigment Cell Melanoma Res. 2009, 22, 529–531. [Google Scholar] [CrossRef] [PubMed]
- Chapman, P.B.; Hauschild, A.; Robert, C.; Haanen, J.B.; Ascierto, P.; Larkin, J.; Dummer, R.; Garbe, C.; Testori, A.; Maio, M.; et al. Improved survival with vemurafenib in melanoma with BRAF V600E mutation. N. Engl. J. Med. 2011, 364, 2507–2516. [Google Scholar] [CrossRef] [PubMed]
- Marin-Acevedo, J.A.; Chirila, R.M.; Dronca, R.S. Immune Checkpoint Inhibitor Toxicities. Mayo Clin. Proc. 2019, 94, 1321–1329. [Google Scholar] [CrossRef] [PubMed]
- Latchman, J.; Guastella, A.; Tofthagen, C. Neurologic Complications: Effects of Ipilimumab and Nivolumab Therapy in Patients With Metastatic Melanoma. Clin. J. Oncol. Nurs. 2019, 23, 355–358. [Google Scholar] [CrossRef]
- Rathjen, F.G.; Schachner, M. Immunocytological and biochemical characterization of a new neuronal cell surface component (L1 antigen) which is involved in cell adhesion. EMBO J 1984, 3, 1–10. [Google Scholar] [CrossRef] [PubMed]
- Lindner, J.; Zinser, G.; Werz, W.; Goridis, C.; Bizzini, B.; Schachner, M. Experimental modification of postnatal cerebellar granule cell migration in vitro. Brain Res. 1986, 377, 298–304. [Google Scholar] [CrossRef] [PubMed]
- Schäfer, H.; Dieckmann, C.; Korniienko, O.; Moldenhauer, G.; Kiefel, H.; Salnikov, A.; Krüger, A.; Altevogt, P.; Sebens, S. Combined treatment of L1CAM antibodies and cytostatic drugs improve the therapeutic response of pancreatic and ovarian carcinoma. Cancer Lett. 2012, 319, 66–82. [Google Scholar] [CrossRef] [PubMed]
- Nagaraj, V.; Mikhail, M.; Baronio, M.; Gatto, A.; Nayak, A.; Theis, T.; Cavallaro, U.; Schachner, M. Antagonistic L1 Adhesion Molecule Mimetic Compounds Inhibit Glioblastoma Cell Migration In Vitro. Biomolecules 2022, 12, 439. [Google Scholar] [CrossRef] [PubMed]
- Meier, F.; Busch, S.; Gast, D.; Göppert, A.; Altevogt, P.; Maczey, E.; Riedle, S.; Garbe, C.; Schittek, B. The adhesion molecule L1 (CD171) promotes melanoma progression. Int. J. Cancer 2006, 119, 549–555. [Google Scholar] [CrossRef] [PubMed]
- Schäfer, M.K.; Nam, Y.C.; Moumen, A.; Keglowich, L.; Bouché, E.; Küffner, M.; Bock, H.H.; Rathjen, F.G.; Raoul, C.; Frotscher, M. L1 syndrome mutations impair neuronal L1 function at different levels by divergent mechanisms. Neurobiol. Dis. 2010, 40, 222–237. [Google Scholar] [CrossRef] [PubMed]
- Katic, J.; Loers, G.; Kleene, R.; Karl, N.; Schmidt, C.; Buck, F.; Zmijewski, J.W.; Jakovcevski, I.; Preissner, K.T.; Schachner, M. Interaction of the cell adhesion molecule CHL1 with vitronectin, integrins, and the plasminogen activator inhibitor-2 promotes CHL1-induced neurite outgrowth and neuronal migration. J. Neurosci. 2014, 34, 14606–14623. [Google Scholar] [CrossRef] [PubMed]
- Kiefel, H.; Bondong, S.; Hazin, J.; Ridinger, J.; Schirmer, U.; Riedle, S.; Altevogt, P. L1CAM: A major driver for tumor cell invasion and motility. Cell Adhes. Migr. 2012, 6, 374–384. [Google Scholar] [CrossRef] [PubMed]
- Fankhauser, C.D.; Bode, P.K.; Hermanns, T.; Sander, S.; Beyer, J.; Sulser, T.; Altevogt, P.; Moch, H.; Tischler, V. L1-CAM is commonly expressed in testicular germ cell tumours. J. Clin. Pathol. 2016, 69, 460–462. [Google Scholar] [CrossRef] [PubMed]
- Ganesh, K.; Basnet, H.; Kaygusuz, Y.; Laughney, A.M.; He, L.; Sharma, R.; O’Rourke, K.P.; Reuter, V.P.; Huang, Y.H.; Turkekul, M.; et al. L1CAM defines the regenerative origin of metastasis-initiating cells in colorectal cancer. Nat. Cancer 2020, 1, 28–45. [Google Scholar] [CrossRef] [PubMed]
- Er, E.E.; Valiente, M.; Ganesh, K.; Zou, Y.; Agrawal, S.; Hu, J.; Griscom, B.; Rosenblum, M.; Boire, A.; Brogi, E.; et al. Pericyte-like spreading by disseminated cancer cells activates YAP and MRTF for metastatic colonization. Nat. Cell Biol. 2018, 20, 966–978. [Google Scholar] [CrossRef] [PubMed]
- Marks, L. Sexual Chemistry: A History of the Contraceptive Pill; Yale University Press: New Haven, CT, USA, 2010. [Google Scholar]
- Dorfman, R.I. Pharmacology of estrogens-general. Pharmacol. Ther. 1980, 9, 107–119. [Google Scholar] [CrossRef] [PubMed]
- Jackson, H. Progress towards a male oral contraceptive. Clin. Endocrinol. Metab. 1975, 4, 643–663. [Google Scholar] [CrossRef] [PubMed]
- Heller, C.G.; Moore, D.J.; Paulsen, C.A.; Nelson, W.O.; Laidlaw, W.M. Effects of progesterone and synthetic progestins on the reproductive physiology of normal men. Fed. Proc. 1959, 18, 1057–1065. [Google Scholar] [PubMed]
- Meanwell, N.A. Anagrelide: A Clinically Effective cAMP Phosphodiesterase 3A Inhibitor with Molecular Glue Properties. ACS Med. Chem. Lett. 2023, 14, 350–361. [Google Scholar] [CrossRef] [PubMed]
- Kawata, S.; Noda, S.; Imai, Y.; Tamura, S.; Saitoh, R.; Miyoshi, S.; Minami, Y.; Tarui, S. Hepatic conversion of 1-(tetrahydro-2-furanyl)-5-fluorouracil into 5-fluorouracil in patients with hepatocellular carcinoma. Gastroenterol. Jpn. 1987, 22, 55–62. [Google Scholar] [CrossRef] [PubMed]
- Guo, X.; Lerner-Tung, M.; Chen, H.X.; Chang, C.N.; Zhu, J.L.; Chang, C.P.; Pizzorno, G.; Lin, T.S.; Cheng, Y.C. 5-Fluoro-2-pyrimidinone, a liver aldehyde oxidase-activated prodrug of 5-fluorouracil. Biochem. Pharmacol. 1995, 49, 1111–1116. [Google Scholar] [CrossRef] [PubMed]
- Pinedo, H.M.; Peters, G.F. Fluorouracil: Biochemistry and pharmacology. J. Clin. Oncol. 1988, 6, 1653–1664. [Google Scholar] [CrossRef] [PubMed]
- Chalabi-Dchar, M.; Fenouil, T.; Machon, C.; Vincent, A.; Catez, F.; Marcel, V.; Mertani, H.C.; Saurin, J.C.; Bouvet, P.; Guitton, J.; et al. A novel view on an old drug, 5-fluorouracil: An unexpected RNA modifier with intriguing impact on cancer cell fate. NAR Cancer 2021, 3, zcab032. [Google Scholar] [CrossRef] [PubMed]
- Pollock, P.M.; Cohen-Solal, K.; Sood, R.; Namkoong, J.; Martino, J.J.; Koganti, A.; Zhu, H.; Robbins, C.; Makalowska, I.; Shin, S.S.; et al. Melanoma mouse model implicates metabotropic glutamate signaling in melanocytic neoplasia. Nat. Genet. 2003, 34, 108–112. [Google Scholar] [CrossRef] [PubMed]
- Lee, H.J.; Wall, B.A.; Wangari-Talbot, J.; Shin, S.S.; Rosenberg, S.; Chan, J.L.; Namkoong, J.; Goydos, J.S.; Chen, S. Glutamatergic pathway targeting in melanoma: Single-agent and combinatorial therapies. Clin. Cancer Res. 2011, 17, 7080–7092. [Google Scholar] [CrossRef]
- Zhu, H.; Reuhl, K.; Zhang, X.; Botha, R.; Ryan, K.; Wei, J.; Chen, S. Development of heritable melanoma in transgenic mice. J. Investig. Dermatol. 1998, 110, 247–252. [Google Scholar] [CrossRef] [PubMed]
- Phelan-Dickinson, S.J.; Palmer, B.C.; Chen, Y.; DeLouise, L.A. The UVR Filter Octinoxate Modulates Aryl Hydrocarbon Receptor Signaling in Keratinocytes via Inhibition of CYP1A1 and CYP1B1. Toxicol Sci 2020, 177, 188–201. [Google Scholar] [CrossRef] [PubMed]
- Siegel, R.L.; Giaquinto, A.N.; Jemal, A. Cancer statistics, 2024. CA Cancer J. Clin. 2024, 74, 12–49. [Google Scholar] [CrossRef] [PubMed]
- Raimondi, S.; Suppa, M.; Gandini, S. Melanoma Epidemiology and Sun Exposure. Acta Derm. Venereol. 2020, 100, adv00136. [Google Scholar] [CrossRef] [PubMed]
- Olson, D.J.; Eroglu, Z.; Brockstein, B.; Poklepovic, A.S.; Bajaj, M.; Babu, S.; Hallmeyer, S.; Velasco, M.; Lutzky, J.; Higgs, E.; et al. Pembrolizumab Plus Ipilimumab Following Anti-PD-1/L1 Failure in Melanoma. J. Clin. Oncol. 2021, 39, 2647–2655. [Google Scholar] [CrossRef] [PubMed]
- Ascierto, P.A.; McArthur, G.A.; Dréno, B.; Atkinson, V.; Liszkay, G.; Di Giacomo, A.M.; Mandalà, M.; Demidov, L.; Stroyakovskiy, D.; Thomas, L.; et al. Cobimetinib combined with vemurafenib in advanced BRAF(V600)-mutant melanoma (coBRIM): Updated efficacy results from a randomised, double-blind, phase 3 trial. Lancet Oncol. 2016, 17, 1248–1260. [Google Scholar] [CrossRef] [PubMed]
- Long, G.V.; Flaherty, K.T.; Stroyakovskiy, D.; Gogas, H.; Levchenko, E.; de Braud, F.; Larkin, J.; Garbe, C.; Jouary, T.; Hauschild, A.; et al. Dabrafenib plus trametinib versus dabrafenib monotherapy in patients with metastatic BRAF V600E/K-mutant melanoma: Long-term survival and safety analysis of a phase 3 study. Ann. Oncol. 2017, 28, 1631–1639. [Google Scholar] [CrossRef] [PubMed]
- Robert, C.; Karaszewska, B.; Schachter, J.; Rutkowski, P.; Mackiewicz, A.; Stroiakovski, D.; Lichinitser, M.; Dummer, R.; Grange, F.; Mortier, L.; et al. Improved overall survival in melanoma with combined dabrafenib and trametinib. N. Engl. J. Med. 2015, 372, 30–39. [Google Scholar] [CrossRef] [PubMed]
- Robert, C.; Schachter, J.; Long, G.V.; Arance, A.; Grob, J.J.; Mortier, L.; Daud, A.; Carlino, M.S.; McNeil, C.; Lotem, M.; et al. Pembrolizumab versus Ipilimumab in Advanced Melanoma. N. Engl. J. Med. 2015, 372, 2521–2532. [Google Scholar] [CrossRef] [PubMed]
- Valiente, M.; Obenauf, A.C.; Jin, X.; Chen, Q.; Zhang, X.H.; Lee, D.J.; Chaft, J.E.; Kris, M.G.; Huse, J.T.; Brogi, E.; et al. Serpins promote cancer cell survival and vascular co-option in brain metastasis. Cell 2014, 156, 1002–1016. [Google Scholar] [CrossRef] [PubMed]
- Silletti, S.; Yebra, M.; Perez, B.; Cirulli, V.; McMahon, M.; Montgomery, A.M. Extracellular signal-regulated kinase (ERK)-dependent gene expression contributes to L1 cell adhesion molecule-dependent motility and invasion. J. Biol. Chem. 2004, 279, 28880–28888. [Google Scholar] [CrossRef] [PubMed]
- Yang, M.; Li, Y.; Chilukuri, K.; Brady, O.A.; Boulos, M.I.; Kappes, J.C.; Galileo, D.S. L1 stimulation of human glioma cell motility correlates with FAK activation. J. Neurooncol. 2011, 105, 27–44. [Google Scholar] [CrossRef] [PubMed]
- Ye, D.Z.; Field, J. PAK signaling in cancer. Cell. Logist. 2012, 2, 105–116. [Google Scholar] [CrossRef] [PubMed]
- Baljinnyam, E.; Umemura, M.; De Lorenzo, M.S.; Iwatsubo, M.; Chen, S.; Goydos, J.S.; Iwatsubo, K. Epac1 promotes melanoma metastasis via modification of heparan sulfate. Pigment Cell Melanoma Res. 2011, 24, 680–687. [Google Scholar] [CrossRef] [PubMed]
- Eddy, K.; Gupta, K.; Pelletier, J.C.; Isola, A.L.; Marinaro, C.; Rasheed, M.A.; Campagnolo, J.; Eddin, M.N.; Rossi, M.; Fateeva, A.; et al. A Spontaneous Melanoma Mouse Model Applicable for a Longitudinal Chemotherapy and Immunotherapy Study. J. Investig. Dermatol. 2023, 143, 2007–2018.e2006. [Google Scholar] [CrossRef] [PubMed]
- Bellenghi, M.; Puglisi, R.; Pontecorvi, G.; De Feo, A.; Carè, A.; Mattia, G. Sex and Gender Disparities in Melanoma. Cancers 2020, 12, 1819. [Google Scholar] [CrossRef] [PubMed]
- Rampen, F.H. Sex differences in survival from cutaneous melanoma. Int. J. Dermatol. 1984, 23, 444–452. [Google Scholar] [CrossRef] [PubMed]
- Cosci, I.; Grande, G.; Di Nisio, A.; Rocca, M.S.; Del Fiore, P.; Benna, C.; Mocellin, S.; Ferlin, A. Cutaneous Melanoma and Hormones: Focus on Sex Differences and the Testis. Int. J. Mol. Sci. 2022, 24, 599. [Google Scholar] [CrossRef] [PubMed]
- Rubin, J.B.; Lagas, J.S.; Broestl, L.; Sponagel, J.; Rockwell, N.; Rhee, G.; Rosen, S.F.; Chen, S.; Klein, R.S.; Imoukhuede, P.; et al. Sex differences in cancer mechanisms. Biol. Sex Differ. 2020, 11, 17. [Google Scholar] [CrossRef] [PubMed]
- Vichaya, E.G.; Ford, B.G.; Moltenkine, J.M.; Taniguchi, C.M.; Phillip West, A.; Dantzer, R. Sex differences in the behavioral and immune responses of mice to tumor growth and cancer therapy. Brain Behav. Immun. 2021, 98, 161–172. [Google Scholar] [CrossRef] [PubMed]
- Dakup, P.P.; Porter, K.I.; Little, A.A.; Zhang, H.; Gaddameedhi, S. Sex differences in the association between tumor growth and T cell response in a melanoma mouse model. Cancer Immunol. Immunother. 2020, 69, 2157–2162. [Google Scholar] [CrossRef]
- Martínez-Sellés, M.; Datino, T.; Figueiras-Graillet, L.; Gama, J.G.; Jones, C.; Franklin, R.; Fernández-Avilés, F. Cardiovascular safety of anagrelide in healthy subjects: Effects of caffeine and food intake on pharmacokinetics and adverse reactions. Clin. Drug Investig. 2013, 33, 45–54. [Google Scholar] [CrossRef] [PubMed]
- Shin, S.S.; Martino, J.J.; Chen, S. Metabotropic glutamate receptors (mGlus) and cellular transformation. Neuropharmacology 2008, 55, 396–402. [Google Scholar] [CrossRef] [PubMed]







Disclaimer/Publisher’s Note: The statements, opinions and data contained in all publications are solely those of the individual author(s) and contributor(s) and not of MDPI and/or the editor(s). MDPI and/or the editor(s) disclaim responsibility for any injury to people or property resulting from any ideas, methods, instructions or products referred to in the content. |
© 2024 by the authors. Licensee MDPI, Basel, Switzerland. This article is an open access article distributed under the terms and conditions of the Creative Commons Attribution (CC BY) license (https://creativecommons.org/licenses/by/4.0/).
Share and Cite
Pompili, S.V.B.; Fanzini, S.; Schachner, M.; Chen, S. In Vitro and In Vivo Studies of Melanoma Cell Migration by Antagonistic Mimetics of Adhesion Molecule L1CAM. Int. J. Mol. Sci. 2024, 25, 4811. https://doi.org/10.3390/ijms25094811
Pompili SVB, Fanzini S, Schachner M, Chen S. In Vitro and In Vivo Studies of Melanoma Cell Migration by Antagonistic Mimetics of Adhesion Molecule L1CAM. International Journal of Molecular Sciences. 2024; 25(9):4811. https://doi.org/10.3390/ijms25094811
Chicago/Turabian StylePompili, Stefano Vito Boccadamo, Sophia Fanzini, Melitta Schachner, and Suzie Chen. 2024. "In Vitro and In Vivo Studies of Melanoma Cell Migration by Antagonistic Mimetics of Adhesion Molecule L1CAM" International Journal of Molecular Sciences 25, no. 9: 4811. https://doi.org/10.3390/ijms25094811
APA StylePompili, S. V. B., Fanzini, S., Schachner, M., & Chen, S. (2024). In Vitro and In Vivo Studies of Melanoma Cell Migration by Antagonistic Mimetics of Adhesion Molecule L1CAM. International Journal of Molecular Sciences, 25(9), 4811. https://doi.org/10.3390/ijms25094811

