Two Novel Membranes Based on Collagen and Polyphenols for Enhanced Wound Healing
Abstract
1. Introduction
2. Results
2.1. Characterization of the Membranes Based on Collagen and Polyphenols by FTIR
2.2. Characterization of the Membranes Based on Collagen and Polyphenols by SEM
2.3. Attachment and Spreading of NIH/3T3 Fibroblasts on the Surface of the Collagen-Based Membranes Containing Polyphenols
2.4. Wound Closure
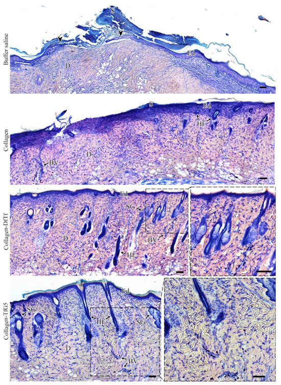
2.5. Histological Examination
2.6. Levels of Thiobarbituric Acid Reactive Substances and Low-Molecular-Weight SH-Containing Compounds in the Tissue
3. Discussion
4. Materials and Methods
4.1. Materials
4.2. Preparation of Collagen Membranes
4.3. Preparation of Polyphenol-Incorporated Collagen Membranes
4.4. Characterization of the Samples
4.5. Cell Culture
4.6. Attachment and Spreading of NIH/3T3 Fibroblasts on the Surface of the Membranes Obtained
4.7. Wound Healing
4.8. Wound Histology
4.9. Levels of TBARS and RSH in the Tissue
4.10. Statistical Analysis
Supplementary Materials
Author Contributions
Funding
Institutional Review Board Statement
Informed Consent Statement
Data Availability Statement
Acknowledgments
Conflicts of Interest
References
- World Health Organization. A WHO Plan for Burn Prevention and Care; World Health Organization: Geneva, Switzerland, 2008; ISBN 978-92-4-159629-9. [Google Scholar]
- Tian, H.; Wang, L.; Xie, W.; Shen, C.; Guo, G.; Liu, J.; Han, C.; Ren, L.; Liang, Y.; Tang, Y.; et al. Epidemiologic and Clinical Characteristics of Severe Burn Patients: Results of a Retrospective Multicenter Study in China, 2011–2015. Burns Trauma 2018, 6, 14. [Google Scholar] [CrossRef] [PubMed]
- Li, M.; Xia, W.; Khoong, Y.M.; Huang, L.; Huang, X.; Liang, H.; Zhao, Y.; Mao, J.; Yu, H.; Zan, T. Smart and Versatile Biomaterials for Cutaneous Wound Healing. Biomater. Res. 2023, 27, 87. [Google Scholar] [CrossRef] [PubMed]
- Farahani, M.; Shafiee, A. Wound Healing: From Passive to Smart Dressings. Adv. Healthc. Mater. 2021, 10, e2100477. [Google Scholar] [CrossRef] [PubMed]
- Peña, O.A.; Martin, P. Cellular and Molecular Mechanisms of Skin Wound Healing. Nat. Rev. Mol. Cell Biol. 2024, 25, 599–616. [Google Scholar] [CrossRef] [PubMed]
- Shi, C.; Wang, C.; Liu, H.; Li, Q.; Li, R.; Zhang, Y.; Liu, Y.; Shao, Y.; Wang, J. Selection of Appropriate Wound Dressing for Various Wounds. Front. Bioeng. Biotechnol. 2020, 8, 182. [Google Scholar] [CrossRef]
- Nuutila, K.; Eriksson, E. Moist Wound Healing with Commonly Available Dressings. Adv. Wound Care 2021, 10, 685–698. [Google Scholar] [CrossRef]
- Nguyen, H.M.; Ngoc Le, T.T.; Nguyen, A.T.; Thien Le, H.N.; Pham, T.T. Biomedical Materials for Wound Dressing: Recent Advances and Applications. RSC Adv. 2023, 13, 5509–5528. [Google Scholar] [CrossRef]
- Laurano, R.; Boffito, M.; Ciardelli, G.; Chiono, V. Wound Dressing Products: A Translational Investigation from the Bench to the Market. Eng. Regen. 2022, 3, 182–200. [Google Scholar] [CrossRef]
- Fayzullin, A.L.; Shekhter, A.B.; Istranov, L.P.; Istranova, E.V.; Rudenko, T.G.; Guller, A.E.; Aboyants, R.K.; Timashev, P.S.; Butnaru, D.V. Bioresorbable Collagen Materials in Surgery: 50 Years of Success. Sechenov. Med. J. 2020, 11, 59–70. [Google Scholar] [CrossRef]
- Gu, L.; Shan, T.; Ma, Y.; Tay, F.R.; Niu, L. Novel Biomedical Applications of Crosslinked Collagen. Trends Biotechnol. 2019, 37, 464–491. [Google Scholar] [CrossRef]
- Mathew-Steiner, S.S.; Roy, S.; Sen, C.K. Collagen in Wound Healing. Bioengineering 2021, 8, 63. [Google Scholar] [CrossRef] [PubMed]
- Gajbhiye, S.; Wairkar, S. Collagen Fabricated Delivery Systems for Wound Healing: A New Roadmap. Biomater. Adv. 2022, 142, 213152. [Google Scholar] [CrossRef] [PubMed]
- Fleck, C.A.; Simman, R. Modern Collagen Wound Dressings: Function and Purpose. J. Am. Coll. Certif. Wound Spec. 2010, 2, 50–54. [Google Scholar] [CrossRef] [PubMed]
- Zhu, R.; Huang, Z.; Zhang, J.; Shi, G.; Cai, X.; Dou, R.; Tang, J.; Zhang, C.; Zhao, Y.; Chen, J. The Potential of Collagen-Based Materials for Wound Management. Mater. Today Chem. 2024, 41, 102295. [Google Scholar] [CrossRef]
- Adhirajan, N.; Shanmugasundaram, N.; Shanmuganathan, S.; Babu, M. Collagen-Based Wound Dressing for Doxycycline Delivery: In-Vivo Evaluation in an Infected Excisional Wound Model in Rats. J. Pharm. Pharmacol. 2009, 61, 1617–1623. [Google Scholar] [CrossRef]
- Jana, P.; Mitra, T.; Selvaraj, T.K.R.; Gnanamani, A.; Kundu, P.P. Preparation of Guar Gum Scaffold Film Grafted with Ethylenediamine and Fish Scale Collagen, Cross-Linked with Ceftazidime for Wound Healing Application. Carbohydr. Polym. 2016, 153, 573–581. [Google Scholar] [CrossRef]
- Simões, D.; Miguel, S.P.; Ribeiro, M.P.; Coutinho, P.; Mendonça, A.G.; Correia, I.J. Recent Advances on Antimicrobial Wound Dressing: A Review. European J. Pharm. Biopharm. 2018, 127, 130–141. [Google Scholar] [CrossRef] [PubMed]
- Gough, J.E.; Scotchford, C.A.; Downes, S. Cytotoxicity of Glutaraldehyde Crosslinked Collagen/Poly(Vinyl Alcohol) Films Is by the Mechanism of Apoptosis. J. Biomed. Mater. Res. 2002, 61, 121–130. [Google Scholar] [CrossRef]
- Reddy, N.; Reddy, R.; Jiang, Q. Crosslinking Biopolymers for Biomedical Applications. Trends Biotechnol. 2015, 33, 362–369. [Google Scholar] [CrossRef]
- Wang, X.; Ma, B.; Chang, J. Preparation of Decellularized Vascular Matrix by Co-Crosslinking of Procyanidins and Glutaraldehyde. BME 2015, 26, 19–30. [Google Scholar] [CrossRef]
- Bax, D.V.; Davidenko, N.; Gullberg, D.; Hamaia, S.W.; Farndale, R.W.; Best, S.M.; Cameron, R.E. Fundamental Insight into the Effect of Carbodiimide Crosslinking on Cellular Recognition of Collagen-Based Scaffolds. Acta Biomater. 2017, 49, 218–234. [Google Scholar] [CrossRef] [PubMed]
- Maiti, S.; Maji, B.; Yadav, H. Progress on Green Crosslinking of Polysaccharide Hydrogels for Drug Delivery and Tissue Engineering Applications. Carbohydr. Polym. 2024, 326, 121584. [Google Scholar] [CrossRef]
- Zhang, X.; Li, Z.; Yang, P.; Duan, G.; Liu, X.; Gu, Z.; Li, Y. Polyphenol Scaffolds in Tissue Engineering. Mater. Horiz. 2021, 8, 145–167. [Google Scholar] [CrossRef] [PubMed]
- Han, B.; Jaurequi, J.; Tang, B.W.; Nimni, M.E. Proanthocyanidin: A Natural Crosslinking Reagent for Stabilizing Collagen Matrices. J. Biomed. Mater. Res. 2003, 65A, 118–124. [Google Scholar] [CrossRef]
- Greco, K.V.; Francis, L.; Huang, H.; Ploeg, R.; Boccaccini, A.R.; Ansari, T. Is Quercetin an Alternative Natural Crosslinking Agent to Genipin for Long-term Dermal Scaffolds Implantation? J. Tissue Eng. Regen. Med. 2018, 12, e1716–e1724. [Google Scholar] [CrossRef]
- He, L.; Mu, C.; Shi, J.; Zhang, Q.; Shi, B.; Lin, W. Modification of Collagen with a Natural Cross-Linker, Procyanidin. International. J. Biol. Macromol. 2011, 48, 354–359. [Google Scholar] [CrossRef] [PubMed]
- Pinheiro, A.; Cooley, A.; Liao, J.; Prabhu, R.; Elder, S. Comparison of Natural Crosslinking Agents for the Stabilization of Xenogenic Articular Cartilage. J. Orthop. Res. 2016, 34, 1037–1046. [Google Scholar] [CrossRef]
- Tarahovsky, Y.S.; Selezneva, I.I.; Vasilieva, N.A.; Egorochkin, M.A.; Kim, Y.A. Acceleration of Fibril Formation and Thermal Stabilization of Collagen Fibrils in the Presence of Taxifolin (Dihydroquercetin). Bull. Exp. Biol. Med. 2007, 144, 791–794. [Google Scholar] [CrossRef]
- Liu, Y.; Wang, Y. Proanthocyanidins’ Efficacy in Stabilizing Dentin Collagen against Enzymatic Degradation: MALDI-TOF and FTIR Analyses. J. Dent. 2013, 41, 535–542. [Google Scholar] [CrossRef]
- Liu, H.; Guo, J.; Wang, R.; Wang, Y. Theaflavins as a Novel Cross-Linker Quickly Stabilize Demineralized Dentin Collagen against Degradation. Sci. Rep. 2021, 11, 19699. [Google Scholar] [CrossRef]
- Nashchekina, Y.A.; Lukonina, O.A.; Mikhailova, N.A. Chemical cross-linking agents for collagen: Interaction mechanisms and perspectives for regenerative medicine. Tsitologiya 2020, 62, 459–472. [Google Scholar] [CrossRef]
- Kaczmarek, B. Tannic Acid with Antiviral and Antibacterial Activity as A Promising Component of Biomaterials—A Minireview. Materials 2020, 13, 3224. [Google Scholar] [CrossRef] [PubMed]
- Chen, C.; Yang, H.; Yang, X.; Ma, Q. Tannic Acid: A Crosslinker Leading to Versatile Functional Polymeric Networks: A Review. RSC Adv. 2022, 12, 7689–7711. [Google Scholar] [CrossRef] [PubMed]
- Kaczmarek-Szczepańska, B.; Polkowska, I.; Małek, M.; Kluczyński, J.; Paździor-Czapula, K.; Wekwejt, M.; Michno, A.; Ronowska, A.; Pałubicka, A.; Nowicka, B.; et al. The Characterization of Collagen-Based Scaffolds Modified with Phenolic Acids for Tissue Engineering Application. Sci. Rep. 2023, 13, 9966. [Google Scholar] [CrossRef] [PubMed]
- Shevelev, A.B.; La Porta, N.; Isakova, E.P.; Martens, S.; Biryukova, Y.K.; Belous, A.S.; Sivokhin, D.A.; Trubnikova, E.V.; Zylkova, M.V.; Belyakova, A.V.; et al. In Vivo Antimicrobial and Wound-Healing Activity of Resveratrol, Dihydroquercetin, and Dihydromyricetin against Staphylococcus aureus, Pseudomonas aeruginosa, and Candida albicans. Pathogens 2020, 9, 296. [Google Scholar] [CrossRef] [PubMed]
- Nguyen, V.-L.; Truong, C.-T.; Nguyen, B.C.Q.; Vo, T.-N.V.; Dao, T.-T.; Nguyen, V.-D.; Trinh, D.-T.T.; Huynh, H.K.; Bui, C.-B. Anti-Inflammatory and Wound Healing Activities of Calophyllolide Isolated from Calophyllum inophyllum Linn. PLoS ONE 2017, 12, e0185674. [Google Scholar] [CrossRef]
- Carvalho, M.T.B.; Araújo-Filho, H.G.; Barreto, A.S.; Quintans-Júnior, L.J.; Quintans, J.S.S.; Barreto, R.S.S. Wound Healing Properties of Flavonoids: A Systematic Review Highlighting the Mechanisms of Action. Phytomedicine 2021, 90, 153636. [Google Scholar] [CrossRef]
- El-Sherbeni, S.A.; Negm, W.A. The Wound Healing Effect of Botanicals and Pure Natural Substances Used in in Vivo Models. Inflammopharmacology 2023, 31, 755–772. [Google Scholar] [CrossRef]
- Selvakumar, G.; Lonchin, S. Bioactive Functional Collagen-Oxidized Pullulan Scaffold Loaded with Polydatin for Treating Chronic Wounds. Biomater. Adv. 2022, 140, 213078. [Google Scholar] [CrossRef]
- Bhaskar Rao, A.; Ernala, P.; Deepthi Seelam, S.; Vennapusa, H.; Sistla, R.; Kuncha, M.; Surekha Mullapudi, V.; Rao Yerramilli, S. Wound Healing: A New Perspective on Glucosylated Tetrahydrocurcumin. Drug Des. Dev. Ther. 2015, 9, 3579–3588. [Google Scholar] [CrossRef]
- Yeh, C.-J.; Chen, C.-C.; Leu, Y.-L.; Lin, M.-W.; Chiu, M.-M.; Wang, S.-H. The Effects of Artocarpin on Wound Healing: In Vitro and in Vivo Studies. Sci. Rep. 2017, 7, 15599. [Google Scholar] [CrossRef] [PubMed]
- Shubina, V.S.; Shatalin, Y.V. Skin Regeneration after Chemical Burn under the Effect of Taxifolin-Based Preparations. Bull Exp. Biol. Med. 2012, 154, 152–157. [Google Scholar] [CrossRef]
- Gomathi, K.; Gopinath, D.; Rafiuddin Ahmed, M.; Jayakumar, R. Quercetin Incorporated Collagen Matrices for Dermal Wound Healing Processes in Rat. Biomaterials 2003, 24, 2767–2772. [Google Scholar] [CrossRef]
- Gopinath, D.; Ahmed, M.R.; Gomathi, K.; Chitra, K.; Sehgal, P.K.; Jayakumar, R. Dermal Wound Healing Processes with Curcumin Incorporated Collagen Films. Biomaterials 2004, 25, 1911–1917. [Google Scholar] [CrossRef]
- Ang, L.; Darwis, Y.; Koh, R.; Gah Leong, K.; Yew, M.; Por, L.; Yam, M. Wound Healing Property of Curcuminoids as a Microcapsule-Incorporated Cream. Pharmaceutics 2019, 11, 205. [Google Scholar] [CrossRef] [PubMed]
- Sivaraman, K.; Sujitha, P.; Arunkumar, A.; Shanthi, C. Biocompatible Films of Collagen-Procyanidin for Wound Healing Applications. Appl. Biochem. Biotechnol. 2022, 194, 4002–4017. [Google Scholar] [CrossRef] [PubMed]
- Stani, C.; Vaccari, L.; Mitri, E.; Birarda, G. FTIR Investigation of the Secondary Structure of Type I Collagen: New Insight into the Amide III Band. Spectrochim. Acta Part A Mol. Biomol. Spectrosc. 2020, 229, 118006. [Google Scholar] [CrossRef]
- Martínez Cortizas, A.; López-Costas, O. Linking Structural and Compositional Changes in Archaeological Human Bone Collagen: An FTIR-ATR Approach. Sci. Rep. 2020, 10, 17888. [Google Scholar] [CrossRef]
- Qi, P.; Zhou, Y.; Wang, D.; He, Z.; Li, Z. A New Collagen Solution with High Concentration and Collagen Native Structure Perfectly Preserved. RSC Adv. 2015, 5, 87180–87186. [Google Scholar] [CrossRef]
- Zhao, Y.; He, X.; Wang, H.; Wang, H.; Shi, Z.; Zhu, S.; Cui, Z. Polyphenol-Enriched Extract of Lacquer Sap Used as a Dentine Primer with Benefits of Improving Collagen Cross-Linking and Antibacterial Functions. ACS Biomater. Sci. Eng. 2022, 8, 3741–3753. [Google Scholar] [CrossRef]
- Riaz, T.; Zeeshan, R.; Zarif, F.; Ilyas, K.; Muhammad, N.; Safi, S.Z.; Rahim, A.; Rizvi, S.A.A.; Rehman, I.U. FTIR Analysis of Natural and Synthetic Collagen. Appl. Spectrosc. Rev. 2018, 53, 703–746. [Google Scholar] [CrossRef]
- Stuart, B.H. Infrared Spectroscopy: Fundamentals and Applications; Analytical Techniques in the Sciences, 1st ed.; Wiley: Hoboken, NJ, USA, 2004; ISBN 978-0-470-85427-3. [Google Scholar]
- Brăzdaru, L.; Staicu, T.; Albu Kaya, M.G.; Chelaru, C.; Ghica, C.; Cîrcu, V.; Leca, M.; Ghica, M.V.; Micutz, M. 3D Porous Collagen Matrices—A Reservoir for In Vitro Simultaneous Release of Tannic Acid and Chlorhexidine. Pharmaceutics 2022, 15, 76. [Google Scholar] [CrossRef]
- Ju, H.; Liu, X.; Zhang, G.; Liu, D.; Yang, Y. Comparison of the Structural Characteristics of Native Collagen Fibrils Derived from Bovine Tendons Using Two Different Methods: Modified Acid-Solubilized and Pepsin-Aided Extraction. Materials 2020, 13, 358. [Google Scholar] [CrossRef] [PubMed]
- Sizeland, K.H.; Hofman, K.A.; Hallett, I.C.; Martin, D.E.; Potgieter, J.; Kirby, N.M.; Hawley, A.; Mudie, S.T.; Ryan, T.M.; Haverkamp, R.G.; et al. Nanostructure of Electrospun Collagen: Do Electrospun Collagen Fibers Form Native Structures? Materialia 2018, 3, 90–96. [Google Scholar] [CrossRef]
- Gurtner, G.C.; Werner, S.; Barrandon, Y.; Longaker, M.T. Wound Repair and Regeneration. Nature 2008, 453, 314–321. [Google Scholar] [CrossRef]
- Aguilar Diaz De Leon, J.; Borges, C.R. Evaluation of Oxidative Stress in Biological Samples Using the Thiobarbituric Acid Reactive Substances Assay. J. Vis. Exp. 2020, 159, 61122. [Google Scholar] [CrossRef]
- Wu, G.; Lupton, J.R.; Turner, N.D.; Fang, Y.-Z.; Yang, S. Glutathione Metabolism and Its Implications for Health. J. Nutr. 2004, 134, 489–492. [Google Scholar] [CrossRef] [PubMed]
- Shatalin, Y.V.; Kobyakova, M.I.; Shubina, V.S. Modulation of Adhesion and Migration of NIH/3T3 Cells in Collagen Materials by Taxifolin Derivatives. Biochem. Mosc. Suppl. Ser. A 2023, 17, S85–S93. [Google Scholar] [CrossRef]
- Shatalin, Y.V.; Shubina, V.S. Iron-Binding and Iron-Reducing Properties of Material Based on Collagen and Taxifolin (Dihydroquercetin) Under Physiological and Pathophysiological Conditions. Pharm. Chem. J. 2019, 53, 165–169. [Google Scholar] [CrossRef]
- Magne, D.; Weiss, P.; Bouler, J.-M.; Laboux, O.; Daculsi, G. Study of the Maturation of the Organic (Type I Collagen) and Mineral (Nonstoichiometric Apatite) Constituents of a Calcified Tissue (Dentin) as a Function of Location: A Fourier Transform Infrared Microspectroscopic Investigation. J. Bone Miner. Res. 2001, 16, 750–757. [Google Scholar] [CrossRef]
- Rodrigues, F.T.; Martins, V.C.A.; Plepis, A.M.G. Porcine Skin as a Source of Biodegradable Matrices: Alkaline Treatment and Glutaraldehyde Crosslinking. Polímeros 2010, 20, 92–97. [Google Scholar] [CrossRef]
- Shatalin, Y.V.; Shubina, V.S. A New Material Based on Collagen and Taxifolin: Preparation and Properties. Biophysics 2015, 60, 474–478. [Google Scholar] [CrossRef]
- Shubina, V.S.; Shatalin, Y.V. Antioxidant and Iron-Chelating Properties of Taxifolin and Its Condensation Product with Glyoxylic Acid. J. Food Sci. Technol. 2017, 54, 1467–1475. [Google Scholar] [CrossRef] [PubMed]
- Shubina, V.S.; Kozina, V.I.; Shatalin, Y.V. Comparison of Antioxidant Properties of a Conjugate of Taxifolin with Glyoxylic Acid and Selected Flavonoids. Antioxidants 2021, 10, 1262. [Google Scholar] [CrossRef]
- Shubina, V.S.; Kozina, V.I.; Shatalin, Y.V. A Comparative Study of the Inhibitory Effect of Some Flavonoids and a Conjugate of Taxifolin with Glyoxylic Acid on the Oxidative Burst of Neutrophils. Int. J. Mol. Sci. 2023, 24, 15068. [Google Scholar] [CrossRef]
- Shubina, V.S.; Kobyakova, M.I.; Shatalin, Y.V. The Effect of Taxifolin, a Conjugate of Taxifolin with Glyoxylic Acid, and Naringenin on the Functional Activity of Neutrophils. Biophysics 2023, 68, 772–778. [Google Scholar] [CrossRef]
- Herrero-Cervera, A.; Soehnlein, O.; Kenne, E. Neutrophils in Chronic Inflammatory Diseases. Cell Mol. Immunol. 2022, 19, 177–191. [Google Scholar] [CrossRef]
- de Oliveira, S.; Rosowski, E.E.; Huttenlocher, A. Neutrophil Migration in Infection and Wound Repair: Going Forward in Reverse. Nat. Rev. Immunol. 2016, 16, 378–391. [Google Scholar] [CrossRef]
- Peiseler, M.; Kubes, P. More Friend than Foe: The Emerging Role of Neutrophils in Tissue Repair. J. Clin. Investig. 2019, 129, 2629–2639. [Google Scholar] [CrossRef]
- Bochner, B.S.; Luscinskas, F.W.; Gimbrone, M.A.; Newman, W.; Sterbinsky, S.A.; Derse-Anthony, C.P.; Klunk, D.; Schleimer, R.P. Adhesion of Human Basophils, Eosinophils, and Neutrophils to Interleukin 1-Activated Human Vascular Endothelial Cells: Contributions of Endothelial Cell Adhesion Molecules. J. Exp. Med. 1991, 173, 1553–1557. [Google Scholar] [CrossRef]
- Baiula, M.; Greco, R.; Ferrazzano, L.; Caligiana, A.; Hoxha, K.; Bandini, D.; Longobardi, P.; Spampinato, S.; Tolomelli, A. Integrin-Mediated Adhesive Properties of Neutrophils Are Reduced by Hyperbaric Oxygen Therapy in Patients with Chronic Non-Healing Wound. PLoS ONE 2020, 15, e0237746. [Google Scholar] [CrossRef]
- Kourtzelis, I.; Mitroulis, I.; von Renesse, J.; Hajishengallis, G.; Chavakis, T. From Leukocyte Recruitment to Resolution of Inflammation: The Cardinal Role of Integrins. J. Leukoc. Biol. 2017, 102, 677–683. [Google Scholar] [CrossRef]
- Gomes, R.N.; Manuel, F.; Nascimento, D.S. The Bright Side of Fibroblasts: Molecular Signature and Regenerative Cues in Major Organs. NPJ Regen. Med. 2021, 6, 43. [Google Scholar] [CrossRef]
- Kim, H.; Kawazoe, T.; Han, D.-W.; Matsumara, K.; Suzuki, S.; Tsutsumi, S.; Hyon, S.-H. Enhanced Wound Healing by an Epigallocatechin Gallate-Incorporated Collagen Sponge in Diabetic Mice: Wound Healing by EGCG-Incorporated Collagen Sponge. Wound Repair Regen. 2008, 16, 714–720. [Google Scholar] [CrossRef]
- Zhao, P.; Sui, B.-D.; Liu, N.; Lv, Y.-J.; Zheng, C.-X.; Lu, Y.-B.; Huang, W.-T.; Zhou, C.-H.; Chen, J.; Pang, D.-L.; et al. Anti-Aging Pharmacology in Cutaneous Wound Healing: Effects of Metformin, Resveratrol, and Rapamycin by Local Application. Aging Cell 2017, 16, 1083–1093. [Google Scholar] [CrossRef]
- Park, B.-K.; Lee, S.-H.; Seo, J.-N.; Rhee, J.-W.; Park, J.-B.; Kim, Y.-S.; Choi, I.-G.; Kim, Y.-E.; Lee, Y.-H.; Kwon, H.-J. Protection of Burn-Induced Skin Injuries by the Flavonoid Kaempferol. BMB Rep. 2010, 43, 46–51. [Google Scholar] [CrossRef]
- Gouma, F.; Simos, Y.; Verginadis, I.; Batistatou, A.; Karkabounas, S.; Evangelou, A.; Ragos, V.; Peschos, D. Healing Effects of Quercetin on Full Thickness Epidermal Thermal Injury in Wistar Rats. Int. J. Phytomedicine 2016, 8, 277–281. [Google Scholar]
- Kant, V.; Jangir, B.L.; Nigam, A.; Kumar, V.; Sharma, S. Dose Regulated Cutaneous Wound Healing Potential of Quercetin in Male Rats. Wound Med. 2017, 19, 82–87. [Google Scholar] [CrossRef]
- Bhatia, N.; Kaur, G.; Soni, V.; Kataria, J.; Dhawan, R.K. Evaluation of the Wound Healing Potential of Isoquercetin-Based Cream on Scald Burn Injury in Rats. Burns Trauma 2016, 4, s41038–016–0032–1. [Google Scholar] [CrossRef]
- Da Cunha, L.R.; Muniz-Junqueira, M.I.; Dos Santos Borges, T.K. Impact of Polyphenols in Phagocyte Functions. J Inflamm. Res. 2019, 12, 205–217. [Google Scholar] [CrossRef]
- Zulkefli, N.; Che Zahari, C.N.M.; Sayuti, N.H.; Kamarudin, A.A.; Saad, N.; Hamezah, H.S.; Bunawan, H.; Baharum, S.N.; Mediani, A.; Ahmed, Q.U.; et al. Flavonoids as Potential Wound-Healing Molecules: Emphasis on Pathways Perspective. Int. J. Mol. Sci. 2023, 24, 4607. [Google Scholar] [CrossRef]
- Casini, A.F.; Ferrali, M.; Pompella, A.; Maellaro, E.; Comporti, M. Lipid Peroxidation and Cellular Damage in Extrahepatic Tissues of Bromobenzene-Intoxicated Mice. Am. J. Pathol. 1986, 123, 520–531. [Google Scholar]
- Riddles, P.W.; Blakeley, R.L.; Zerner, B. Reassessment of Ellman’s Reagent. In Methods in Enzymology; Elsevier: Amsterdam, The Netherlands, 1983; Volume 91, pp. 49–60. [Google Scholar] [CrossRef]







| Group | TBARS, nmol/g-tissue | RSH, µmol/g-tissue | ||
|---|---|---|---|---|
| 4th Day | 8th Day | 4th Day | 8th Day | |
| Control (negative control group) | 13.91 ± 0.09 * | 10.85 ± 0.05 * | 1.41 ± 0.06 * | 2.18 ± 0.07 * |
| Collagen | 10.84 ± 0.11 * | 8.40 ± 0.22 | 1.95 ± 0.10 * | 2.84 ± 0.09 * |
| Collagen-TfG5 | 8.86 ± 0.09 * | 7.87 ± 0.23 # | 2.17 ± 0.11 * | 3.31 ± 0.10 |
| Collagen-Df-Tf | 9.51 ± 0.16 * | 8.11 ± 0.10 | 2.01 ± 0.10 * | 3.17 ± 0.10 |
| Healthy skin (normal control group) | 7.33 ± 0.02 | 3.28 ± 0.09 | ||
Disclaimer/Publisher’s Note: The statements, opinions and data contained in all publications are solely those of the individual author(s) and contributor(s) and not of MDPI and/or the editor(s). MDPI and/or the editor(s) disclaim responsibility for any injury to people or property resulting from any ideas, methods, instructions or products referred to in the content. |
© 2024 by the authors. Licensee MDPI, Basel, Switzerland. This article is an open access article distributed under the terms and conditions of the Creative Commons Attribution (CC BY) license (https://creativecommons.org/licenses/by/4.0/).
Share and Cite
Shubina, V.S.; Kobyakova, M.I.; Penkov, N.V.; Mitenko, G.V.; Udaltsov, S.N.; Shatalin, Y.V. Two Novel Membranes Based on Collagen and Polyphenols for Enhanced Wound Healing. Int. J. Mol. Sci. 2024, 25, 12353. https://doi.org/10.3390/ijms252212353
Shubina VS, Kobyakova MI, Penkov NV, Mitenko GV, Udaltsov SN, Shatalin YV. Two Novel Membranes Based on Collagen and Polyphenols for Enhanced Wound Healing. International Journal of Molecular Sciences. 2024; 25(22):12353. https://doi.org/10.3390/ijms252212353
Chicago/Turabian StyleShubina, Victoria S., Margarita I. Kobyakova, Nikita V. Penkov, Gennady V. Mitenko, Sergey N. Udaltsov, and Yuri V. Shatalin. 2024. "Two Novel Membranes Based on Collagen and Polyphenols for Enhanced Wound Healing" International Journal of Molecular Sciences 25, no. 22: 12353. https://doi.org/10.3390/ijms252212353
APA StyleShubina, V. S., Kobyakova, M. I., Penkov, N. V., Mitenko, G. V., Udaltsov, S. N., & Shatalin, Y. V. (2024). Two Novel Membranes Based on Collagen and Polyphenols for Enhanced Wound Healing. International Journal of Molecular Sciences, 25(22), 12353. https://doi.org/10.3390/ijms252212353

