Studies on the Oxidative Damage of the Wobble 5-Methylcarboxymethyl-2-Thiouridine in the tRNA of Eukaryotic Cells with Disturbed Homeostasis of the Antioxidant System
Abstract
1. Introduction
2. Results and Discussion
2.1. Characteristics of Cells Used in Research
2.1.1. Application of the CRISPR/Cas9 Gene Editing System for the Genome Modification of Human HEK293 Cells
2.2. Optimization of Yeast Cell Culture Conditions Under Oxidative Stress
2.2.1. Evaluation of Yeast Viability in the Presence of Oxidative Stress-Inducing Reagents
2.2.2. Determination of the ROS Level in Yeast Cells After Incubation with H2O2, NaAsO2 or NaClO
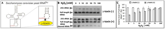
2.2.3. Monitoring the Reduction in the Amount of mcm5S2U-tRNA in Yeast Treated with H2O2, the γ-toxin Assay
2.3. Optimization of Culture Conditions for Human Cancer Cells Under Oxidative Stress: Evaluation of Human Cells Viability and Intracellular ROS Level
2.4. Identification of R5S2U Desulfuration Products by LC-MS/MS (MRMhr) Analysis
2.4.1. R5S2U Desulfuration in Yeast tRNAGlu
2.4.2. Search for mcm5S2U Desulfuration Products in the tRNA Fraction of Cancer Cells
2.4.3. Analysis of HEK293ΔSOD2 and HEK293ΔCat tRNA Fraction Content
3. Materials and Methods
3.1. Chemical Synthesis of a R5-Substituted-2-Thiouridines and Derivatives
3.2. Protocols for Yeast
3.2.1. Yeast Cell Culture
3.2.2. Yeast Viability Assay
3.2.3. Yeast Intracellular ROS Level
3.2.4. γ-Toxin Preparation
3.2.5. γ-Toxin tRNA Digestion
3.2.6. Northern Blot (NB) Analysis
3.2.7. qRT-PCR Analysis
3.2.8. Yeast Total RNA Preparation and Pull-Down of tRNAGlu
3.3. Protocols for Human Cells
3.3.1. Human Cell Culture
3.3.2. Cytotoxicity Assay
3.3.3. Intracellular ROS-Level Determination
3.3.4. Isolation of Total Cellular RNA and the Total Cellular tRNA Fraction
3.3.5. tRNA Hydrolysis to Nucleosides
3.4. CRISPR/Cas9 Genome Editing Experiments
3.4.1. Transfection
3.4.2. Western Blot
3.4.3. T7 Endonuclease I-Based Mutation Detection
3.5. Analysis of tRNA-Derived Nucleosides by LC-MS/MS
4. Conclusions
Supplementary Materials
Author Contributions
Funding
Institutional Review Board Statement
Informed Consent Statement
Data Availability Statement
Acknowledgments
Conflicts of Interest
References
- Zheng, G.; Qin, Y.; Clark, W.C.; Dai, Q.; Yi, C.; He, C.; Lambowitz, A.M.; Pan, T. Efficient and quantitative high-throughput tRNA sequencing. Nat. Methods 2015, 12, 835–837. [Google Scholar] [CrossRef] [PubMed]
- Yoluc, Y.; van de Logt, E.; Kellner-Kaiser, S. The Stress-Dependent Dynamics of Saccharomyces cerevisiae tRNA and rRNA Modification Profiles. Genes 2021, 28, 1344. [Google Scholar] [CrossRef]
- Yoluç, Y.; Ammann, G.; Barraud, P.; Jora, M.; Limbach, P.A.; Motorin, Y.; Marchand, V.; Tisné, C.; Borland, K.; Kellner, S. Instrumental analysis of RNA modifications. Crit. Rev. Biochem. Mol. Biol. 2021, 56, 178–204. [Google Scholar] [CrossRef]
- Sarin, L.P.; Kienast, S.D.; Leufken, J.; Ross, R.L.; Dziergowska, A.; Debiec, K.; Sochacka, E.; Limbach, P.A.; Fufezan, C.; Drexler, H.C.A.; et al. Nano LC-MS using capillary columns enables accurate quantification of modified ribonucleosides at low femtomol levels. RNA 2018, 24, 1403–1417. [Google Scholar] [CrossRef]
- Heiss, M.; Hagelskamp, F.; Marchand, V.; Motorin, Y.; Kellner, S. Cell culture NAIL-MS allows insight into human tRNA and rRNA modification dynamics in vivo. Nat. Commun. 2021, 12, 89. [Google Scholar] [CrossRef]
- Amalric, A.; Bastide, A.; Attina, A.; Choquet, A.; Vialaret, J.; Lehmann, S.; David, A.; Hirtz, C. Quantifying RNA modifications by mass spectrometry: A novel source of biomarkers in oncology. Crit. Rev. Clin. Lab. Sci. 2022, 59, 1–18. [Google Scholar] [CrossRef]
- de Crécy-Lagard, V.; Boccaletto, P.; Manglebrg, C.G.; Sharma, P.; Lowe, T.M.; Leidel, S.A.; Bujnicki, J.M. Matching tRNA modifications in humans to their known and predicted enzymes. Nucleic Acids Res. 2019, 47, 2143–2159. [Google Scholar] [CrossRef] [PubMed]
- Boccaletto, P.; Stefaniak, F.; Ray, A.; Cappannini, A.; Mukherjee, S.; Purta, E.; Kurkowska, M.; Shirvanizadeh, N.; Destefanis, E.; Groza, P.; et al. MODOMICS: A database of RNA modification pathways. 2021 update. Nucleic Acids Res. 2022, 50, D231–D235. [Google Scholar] [CrossRef]
- Cantara, W.A.; Crain, P.F.; Rozenski, J.; McCloskey, J.A.; Harris, K.A.; Zhang, X.; Vendeix, F.A.; Fabris, D.; Agris, P.F. The RNA Modification Database, RNAMDB: 2011 update. Nucleic Acids Res. 2011, 39, D195–D201. [Google Scholar] [CrossRef]
- McCown, P.J.; Ruszkowska, A.; Kunkler, C.N.; Breger, K.; Hulewicz, J.P.; Wang, M.C.; Springer, N.A.; Brown, J.A. Naturally occurring modified ribonucleosides. Wiley Interdiscip. Rev. RNA 2020, 11, e1595. [Google Scholar] [CrossRef]
- Machnicka, M.A.; Olchowik, A.; Grosjean, H.; Bujnicki, J.M. Distribution and frequencies of post-transcriptional modifications in tRNAs. RNA Biol. 2014, 11, 1619–1629. [Google Scholar] [CrossRef] [PubMed]
- Pan, T. Modifications and functional genomics of human transfer RNA. Cell Res. 2018, 28, 395–404. [Google Scholar] [CrossRef] [PubMed]
- Grosjean, H.; de Crecy-Lagard, V.; Marck, C. Deciphering synonymous codons in the three domains of life: Co-evolution with specific tRNA modification enzymes. FEBS Lett. 2010, 584, 252–264. [Google Scholar] [CrossRef] [PubMed]
- Agris, P.F.; Eruysal, E.R.; Narendran, A.; Väre, V.Y.P.; Vangaveti, S.; Ranganathan, S.V. Celebrating wobble decoding: Half a century and still much is new. RNA Biol. 2018, 15, 537–553. [Google Scholar] [CrossRef]
- Agris, P.F.; Narendran, A.; Sarachan, K.; Väre, V.Y.P.; Eruysal, E. The Importance of Being Modified: The Role of RNA Modifications in Translational Fidelity. Enzymes 2017, 41, 1–50. [Google Scholar] [CrossRef]
- Lorenz, C.; Lünse, C.E.; Mörl, M. tRNA Modifications: Impact on Structure and Thermal Adaptation. Biomolecules 2017, 7, 35. [Google Scholar] [CrossRef]
- Chanfreau, G.F. Impact of RNA Modifications and RNA-Modifying Enzymes on Eukaryotic Ribonucleases. Enzymes 2017, 41, 299–329. [Google Scholar] [CrossRef]
- Dunbar, K.L.; Scharf, D.H.; Litomska, A.; Hertweck, C. Enzymatic Carbon-Sulfur Bond Formation in Natural Product Biosynthesis. Chem. Rev. 2017, 117, 5521–5577. [Google Scholar] [CrossRef]
- Zheng, Y.Y.; Wu, Y.; Begley, T.J.; Sheng, J. Sulfur modification in natural RNA and therapeutic oligonucleotides. RSC Chem. Biol. 2021, 2, 990–1003. [Google Scholar] [CrossRef]
- El Yacoubi, B.; Bailly, M.; de Crécy-Lagard, V. Biosynthesis and function of posttranscriptional modifications of transfer RNAs. Annu. Rev. Genet. 2012, 46, 69–95. [Google Scholar] [CrossRef]
- Tomikawa, C.; Ohira, T.; Inoue, Y.; Kawamura, T.; Yamagishi, A.; Suzuki, T.; Hori, H. Distinct tRNA modifications in the thermo-acidophilic archaeon, Thermoplasma acidophilum. FEBS Lett. 2013, 587, 3575–3580. [Google Scholar] [CrossRef]
- Björk, G.R.; Hagervall, T.G. Transfer RNA modification: Presence, synthesis, and function. EcoSal Plus 2014, 6. [Google Scholar] [CrossRef]
- Durant, P.C.; Bajji, A.C.; Sundaram, M.; Kumar, R.K.; Davis, D.R. Structural effects of hypermodified nucleosides in the Escherichia coli and human tRNALys anticodon loop: The effect of nucleosides s2U, mcm5U, mcm5s2U, mnm5s2U, t6A, and ms2t6A. Biochemistry 2005, 44, 8078–8089. [Google Scholar] [CrossRef] [PubMed]
- Nawrot, B.; Sierant, M.; Szczupak, P. Selenium modified bacterial tRNAs. In Handbook of Chemical Biology of Nucleic Acids; Sugimoto, N., Ed.; Springer: Singapore, 2023. [Google Scholar] [CrossRef]
- Shigi, N. Biosynthesis and functions of sulfur modifications in tRNA. Front. Genet. 2014, 5, 67. [Google Scholar] [CrossRef] [PubMed]
- Madore, E.; Florentz, C.; Giegé, R.; Sekine, S.; Yokoyama, S.; Lapointe, J. Effect of modified nucleotides on Escherichia coli tRNAGlu structure and on its aminoacylation by glutamyl-tRNA synthetase. Predominant and distinct roles of the mnm5 and s2 modifications of U34. Eur. J. Biochem. 1999, 266, 1128–1135. [Google Scholar] [CrossRef] [PubMed]
- Rodriguez-Hernandez, A.; Spears, J.L.; Gaston, K.W.; Limbach, P.A.; Gamper, H.; Hou, Y.M.; Kaiser, R.; Agris, P.F.; Perona, J.J. Structural and mechanistic basis for enhanced translational efficiency by 2-thiouridine at the tRNA anticodon wobble position. J. Mol. Biol. 2013, 425, 3888–3906. [Google Scholar] [CrossRef]
- Urbonavicius, J.; Stahl, G.; Durand, J.M.; Ben Salem, S.N.; Qian, Q.; Farabaugh, P.J.; Björk, G.R. Transfer RNA modifications that alter +1 frameshifting in general fail to affect −1 frameshifting. RNA 2003, 9, 760–768. [Google Scholar] [CrossRef]
- Brégeon, D.; Colot, V.; Radman, M.; Taddei, F. Translational misreading: A tRNA modification counteracts a +2 ribosomal frameshift. Genes Dev. 2001, 15, 2295–2306. [Google Scholar] [CrossRef]
- Corsaro, A.; Pistara, V. Conversion of the Thiocarbonyl Group into the Carbonyl Group. Tetrahedron 1998, 54, 15027–15062. [Google Scholar] [CrossRef]
- Sochacka, E.; Kraszewska, K.; Sochacki, M.; Sobczak, M.; Janicka, M.; Nawrot, B. The 2-thiouridine unit in the RNA strand is desulfured predominantly to 4-pyrimidinone nucleoside under in vitro oxidative stress conditions. Chem. Commun. 2011, 47, 4914–4916. [Google Scholar] [CrossRef]
- Sochacka, E.; Bartos, P.; Kraszewska, K.; Nawrot, B. Desulfuration of 2-thiouridine with hydrogen peroxide in the physiological pH range 6.6–7.6 is pH-dependent and results in two distinct products. Bioorg. Med. Chem. Lett. 2013, 23, 5803–5805. [Google Scholar] [CrossRef] [PubMed]
- Chwialkowska, A.; Wielgus, E.; Leszczynska, G.; Sobczak, M.; Mikolajczyk, B.; Sochacka, E.; Nawrot, B. An efficient approach for conversion of 5-substituted 2-thiouridines built in RNA oligomers into corresponding desulfured 4-pyrimidinone products. Bioorg. Med. Chem. Lett. 2015, 25, 3100–3104. [Google Scholar] [CrossRef] [PubMed]
- Bartos, P.; Ebenryter-Olbinska, K.; Sochacka, E.; Nawrot, B. The influence of the C5 substituent on the 2-thiouridine desulfuration pathway and the conformational analysis of the resulting 4-pyrimidinone products. Bioorg. Med. Chem. 2015, 23, 5587–5594. [Google Scholar] [CrossRef] [PubMed]
- Sochacka, E.; Szczepanowski, R.H.; Cypryk, M.; Sobczak, M.; Janicka, M.; Kraszewska, K.; Bartos, P.; Chwialkowska, A.; Nawrot, B. 2-Thiouracil deprived of thiocarbonyl function preferentially base pairs with guanine rather than adenine in RNA and DNA duplexes. Nucleic Acids Res. 2015, 43, 2499–2512. [Google Scholar] [CrossRef]
- Su, D.; Chan, C.T.; Gu, C.; Lim, K.S.; Chionh, Y.H.; McBee, M.E.; Russell, B.S.; Babu, I.R.; Begley, T.J.; Dedon, P.C. Quantitative analysis of ribonucleoside modifications in tRNA by HPLC-coupled mass spectrometry. Nat. Protoc. 2014, 9, 828–841. [Google Scholar] [CrossRef]
- Robbins, D.; Zhao, Y. Manganese superoxide dismutase in cancer prevention. Antioxid. Redox Signal. 2014, 20, 1628–1645. [Google Scholar] [CrossRef]
- Scibior-Bentkowska, D.; Czeczot, H. Cancer cells and oxidative stress. Postęp. Hig. Med. Dośw. 2009, 63, 58–72. [Google Scholar]
- Lentini, J.M.; Ramos, J.; Fu, D. Monitoring the 5-methoxycarbonylmethyl-2-thiouridine (mcm5s2U) modification in eukaryotic tRNAs via the γ-toxin endonuclease. RNA 2018, 24, 749–758. [Google Scholar] [CrossRef]
- Fu, Y.; Dai, Q.; Zhang, W.; Ren, J.; Pan, T.; He, C. The AlkB domain of mammalian ABH8 catalyzes hydroxylation of 5-methoxycarbonylmethyluridine at the wobble position of tRNA. Angew. Chem. Int. Ed. Engl. 2010, 49, 8885–8888. [Google Scholar] [CrossRef]
- Vorbruggen, H.; Strehlke, P. Nucleosidsynthesen, VII. Eine einfache Synthese von 2-Thiopyrimidin-nucleosiden. Chem. Berichte 1973, 106, 3039–3061. [Google Scholar] [CrossRef]
- Blachly-Dyson, E.; Song, J.; Wolfgang, W.J.; Colombini, M.; Forte, M. Multicopy suppressors of phenotypes resulting from the absence of yeast VDAC encode a VDAC-like protein. Mol. Cell. Biol. 1997, 17, 5727–5738. [Google Scholar] [CrossRef] [PubMed]
- Gałgańska, H.; Karachitos, A.; Baranek, M.; Budzińska, M.; Jordán, J.; Kmita, H. Viability of Saccharomyces cerevisiae cells following exposure to H2O2 and protective effect of minocycline depend on the presence of VDAC. Eur. J. Pharmacol. 2010, 643, 42–47. [Google Scholar] [CrossRef] [PubMed]
- Kwolek-Mirek, M.; Zadrag-Tecza, R. Comparison of methods used for assessing the via-bility and vitality of yeast cells. FEMS Yeast Res. 2014, 14, 1068–1079. [Google Scholar] [CrossRef] [PubMed]
- Szczupak, P.; Sierant, M.; Wielgus, E.; Radzikowska-Cieciura, E.; Kulik, K.; Krakowiak, A.; Kuwerska, P.; Leszczynska, G.; Nawrot, B. Escherichia coli tRNA 2-Selenouridine Synthase (SelU): Elucidation of Substrate Specificity to Understand the Role of S-Geranyl-tRNA in the Conversion of 2-Thio- into 2-Selenouridines in Bacterial tRNA. Cells 2022, 11, 1522. [Google Scholar] [CrossRef] [PubMed]
- Boveris, A. Determination of the production of superoxide radicals and hydrogen peroxide in mitochondria. Methods Enzymol. 1984, 105, 429–435. [Google Scholar] [CrossRef]
- Cadenas, E.; Davies, K.J. Mitochondrial free radical generation, oxidative stress, and aging. Free Radic. Biol. Med. 2000, 29, 222–230. [Google Scholar] [CrossRef]
- Nohl, H. Generation of superoxide radicals as byproduct of cellular respiration. Ann. Biol. Clin. 1994, 52, 199–204. [Google Scholar]










| Yeast Strain | H2O2 [mM] | NaAsO2 [mM] | NaClO [mM] |
|---|---|---|---|
| INVSc1 | 50 | 100 | 10 |
| M3 | 25 | 40 | 7 |
| M3Δsod1 | 5 | 20 | 7 |
| Cell Lines | H2O2 IC50 [µM] | NaAsO2 IC50 [µM] | NaClO IC50 [µM] |
|---|---|---|---|
| HEK293 | 14.5 | 200 | 100 |
| HEK293ΔSOD2 | 10 | nd | nd |
| HEK293ΔCat | 10 | nd | nd |
| HeLa | 50 | >200 | >100 |
| A375 | 70 | >200 | >100 |
| A549 | 50 | >200 | >200 |
| MCF-7 | 100 | 200 | 100 |
| U-87 MG | 100 | 200 | 100 |
| K562 | >200 | >200 | >100 |
| MOLT-4 | >200 | >200 | >100 |
| A431 | 100 | 200 | 100 |
Disclaimer/Publisher’s Note: The statements, opinions and data contained in all publications are solely those of the individual author(s) and contributor(s) and not of MDPI and/or the editor(s). MDPI and/or the editor(s) disclaim responsibility for any injury to people or property resulting from any ideas, methods, instructions or products referred to in the content. |
© 2024 by the authors. Licensee MDPI, Basel, Switzerland. This article is an open access article distributed under the terms and conditions of the Creative Commons Attribution (CC BY) license (https://creativecommons.org/licenses/by/4.0/).
Share and Cite
Sierant, M.; Szewczyk, R.; Dziergowska, A.; Krolewska-Golinska, K.; Szczupak, P.; Bernat, P.; Nawrot, B. Studies on the Oxidative Damage of the Wobble 5-Methylcarboxymethyl-2-Thiouridine in the tRNA of Eukaryotic Cells with Disturbed Homeostasis of the Antioxidant System. Int. J. Mol. Sci. 2024, 25, 12336. https://doi.org/10.3390/ijms252212336
Sierant M, Szewczyk R, Dziergowska A, Krolewska-Golinska K, Szczupak P, Bernat P, Nawrot B. Studies on the Oxidative Damage of the Wobble 5-Methylcarboxymethyl-2-Thiouridine in the tRNA of Eukaryotic Cells with Disturbed Homeostasis of the Antioxidant System. International Journal of Molecular Sciences. 2024; 25(22):12336. https://doi.org/10.3390/ijms252212336
Chicago/Turabian StyleSierant, Malgorzata, Rafal Szewczyk, Agnieszka Dziergowska, Karolina Krolewska-Golinska, Patrycja Szczupak, Przemyslaw Bernat, and Barbara Nawrot. 2024. "Studies on the Oxidative Damage of the Wobble 5-Methylcarboxymethyl-2-Thiouridine in the tRNA of Eukaryotic Cells with Disturbed Homeostasis of the Antioxidant System" International Journal of Molecular Sciences 25, no. 22: 12336. https://doi.org/10.3390/ijms252212336
APA StyleSierant, M., Szewczyk, R., Dziergowska, A., Krolewska-Golinska, K., Szczupak, P., Bernat, P., & Nawrot, B. (2024). Studies on the Oxidative Damage of the Wobble 5-Methylcarboxymethyl-2-Thiouridine in the tRNA of Eukaryotic Cells with Disturbed Homeostasis of the Antioxidant System. International Journal of Molecular Sciences, 25(22), 12336. https://doi.org/10.3390/ijms252212336

