Optimising Transformation Efficiency in Borrelia: Unravelling the Role of the Restriction-Modification System of Borrelia afzelii and Borrelia garinii
Abstract
1. Introduction
2. Results
2.1. Identification of RMS Genes in Borrelial Patient Isolates
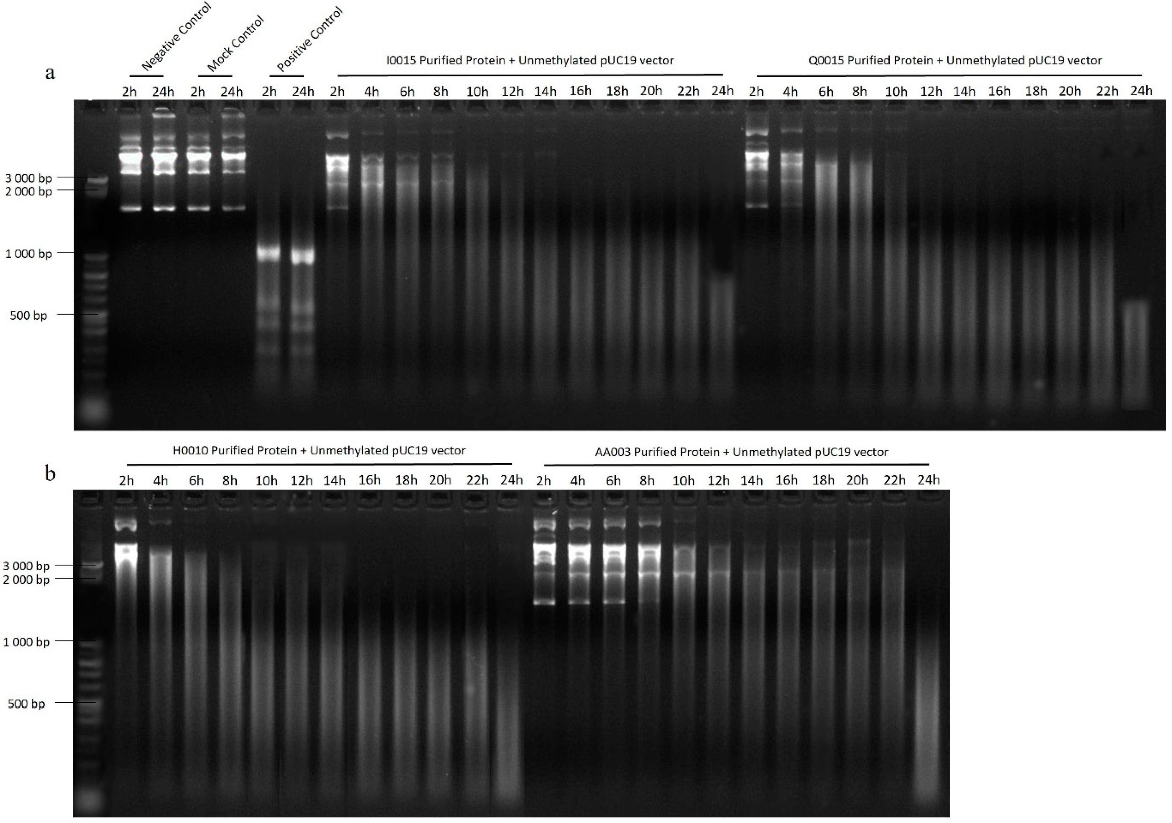
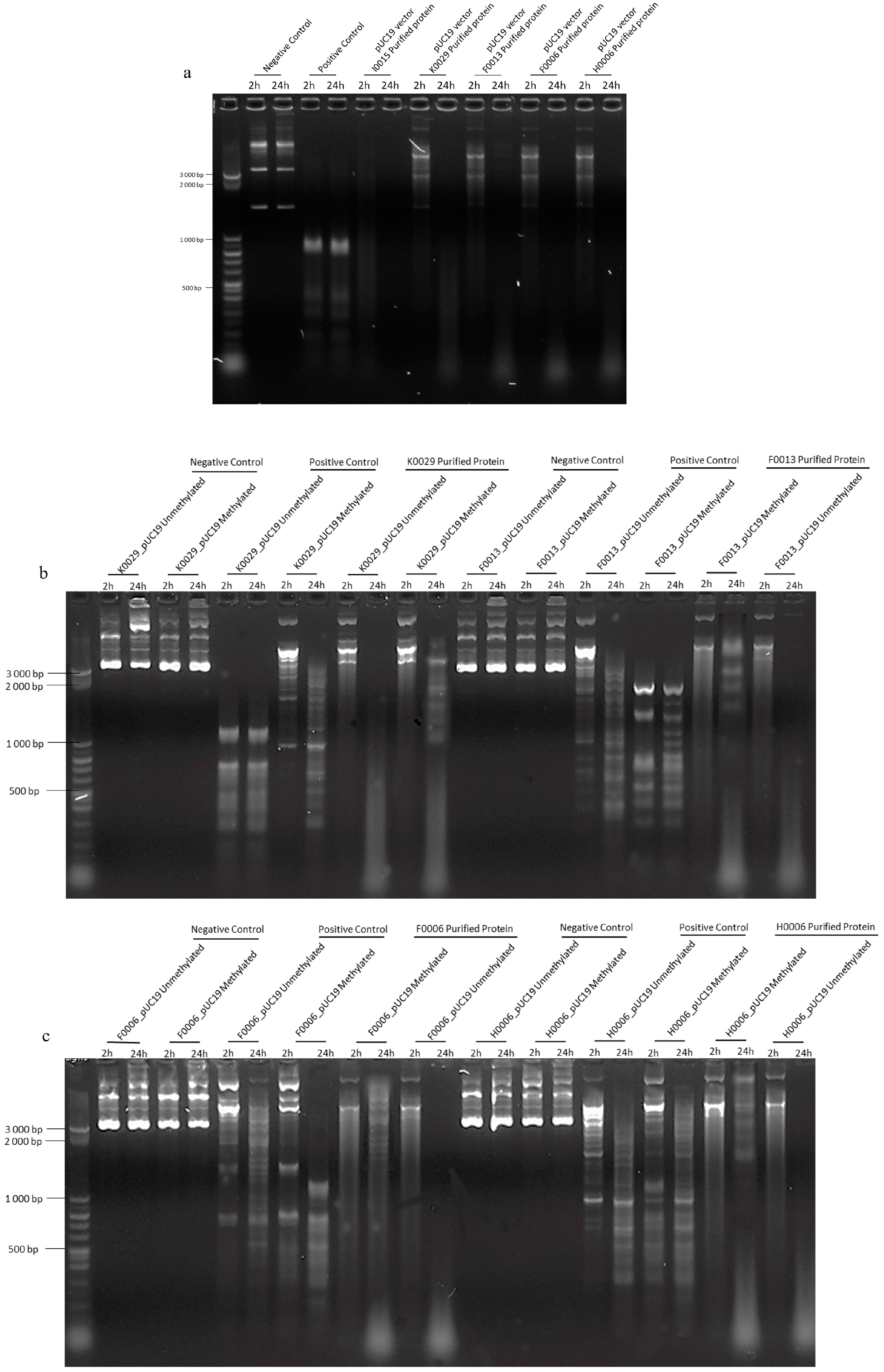
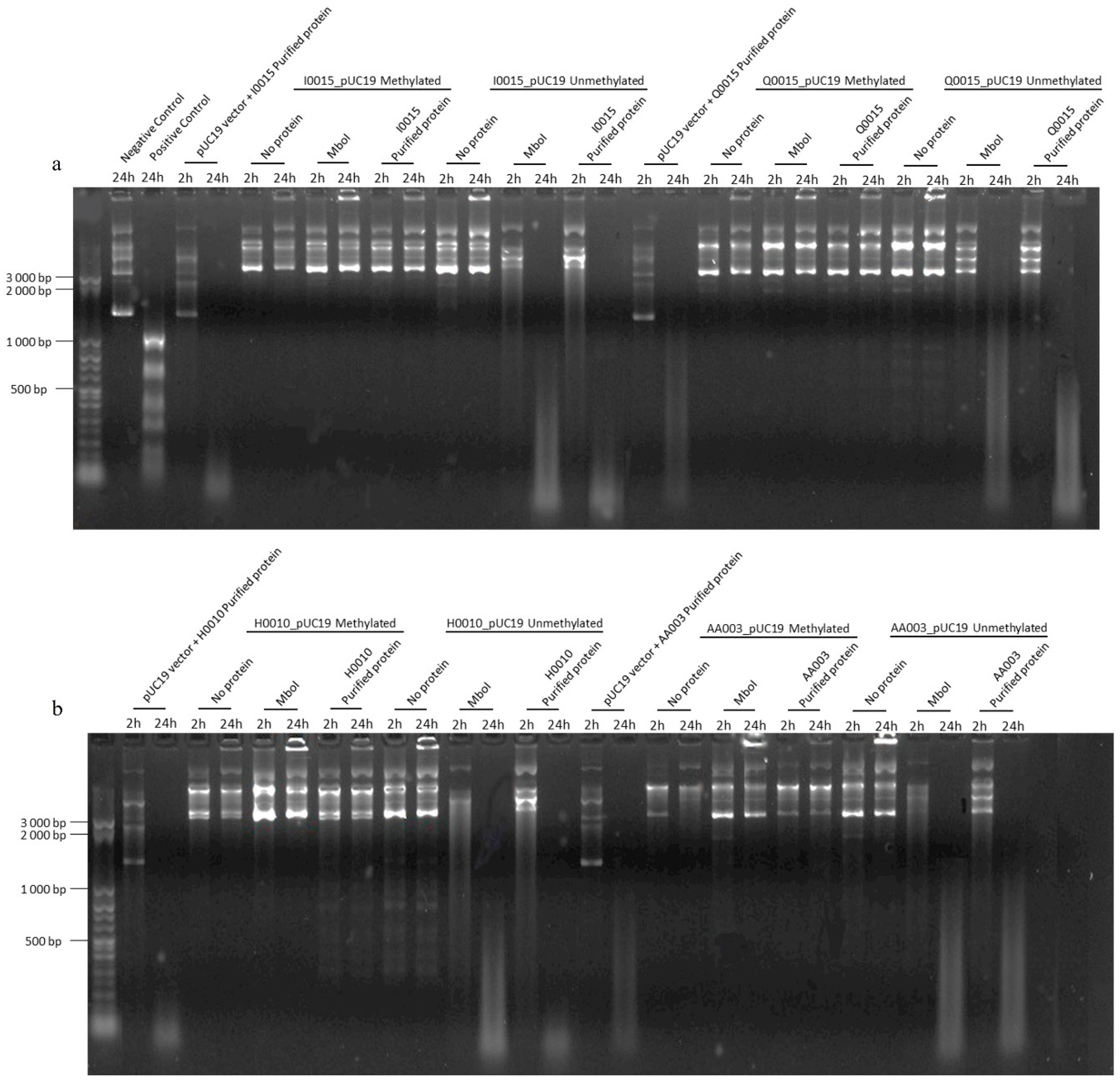
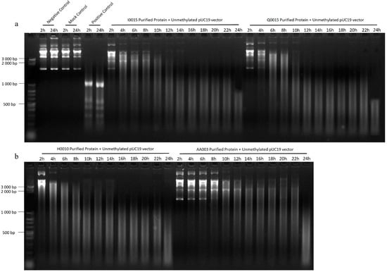
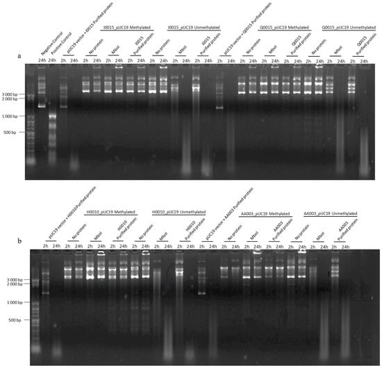
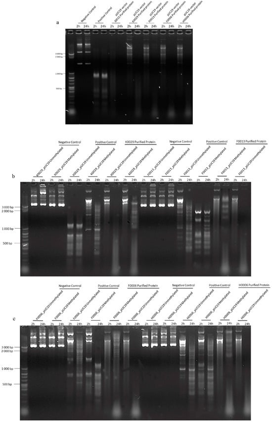
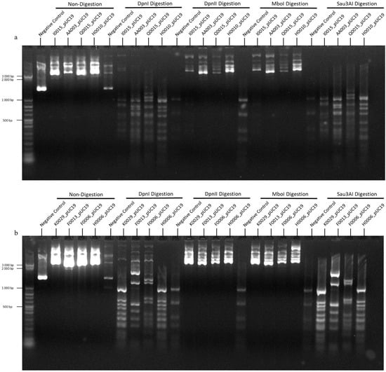
2.2. Confirmation of the Enzymatic Activity of the RMS Proteins
2.3. Transformation Efficiency
3. Discussion
4. Materials and Methods
4.1. Borrelial Cultures and DNA Extraction
4.2. Identification of Hypothetical Restriction-Modification System Genes
4.3. Detection and Amplification of RMS Genes
4.4. Cloning and Transformation
4.5. Gene Expression
4.6. In Vivo Confirmation of Methylase Activity
4.7. In Vivo Confirmation of Endonuclease Activity
4.8. Transformation Efficiency Analysis
5. Conclusions
Supplementary Materials
Author Contributions
Funding
Institutional Review Board Statement
Informed Consent Statement
Data Availability Statement
Acknowledgments
Conflicts of Interest
References
- Marques, A.R.; Strle, F.; Wormser, G.P. Comparison of Lyme disease in the United States and Europe. Emerg. Infect. Dis. 2021, 27, 2017–2024. [Google Scholar] [CrossRef] [PubMed]
 - Stanek, G.; Wormser, G.P.; Gray, J.; Strle, F. Lyme borreliosis. Lancet 2012, 379, 461–473. [Google Scholar] [CrossRef] [PubMed]
 - Kurokawa, C.; Lynn, G.E.; Pedra, J.H.F.; Pal, U.; Narasimhan, S.; Fikrig, E. Interactions between Borrelia burgdorferi and ticks. Nat. Rev. Microbiol. 2020, 18, 587–600. [Google Scholar] [CrossRef]
 - Schwartz, I.; Margos, G.; Casjens, S.R.; Qiu, W.G.; Eggers, C.H. Multipartite genome of Lyme disease Borrelia: Structure, variation and prophages. Curr. Issues Mol. Biol. 2021, 42, 409–454. [Google Scholar] [CrossRef]
 - Chan, K.; Alter, L.; Barthold, S.W.; Parveen, N. Disruption of bbe02 by insertion of a luciferase gene increases transformation efficiency of Borrelia burgdorferi and allows live imaging in Lyme disease susceptible C3H mice. PLoS ONE 2015, 10, e0129532. [Google Scholar] [CrossRef]
 - Lawrenz, M.B.; Kawabata, H.; Purser, J.E.; Norris, S.J. Decreased electroporation efficiency in Borrelia burgdorferi containing linear plasmids lp25 and lp56: Impact on transformation of infectious B. burgdorferi. Infect. Immun. 2002, 70, 4798–4804. [Google Scholar] [CrossRef]
 - Rego, R.O.; Bestor, A.; Rosa, P.A. Defining the plasmid-borne restriction-modification systems of the Lyme disease spirochete Borrelia burgdorferi. J. Bacteriol. 2011, 193, 1161–1171. [Google Scholar] [CrossRef] [PubMed]
 - Margos, G.; Hepner, S.; Mang, C.; Marosevic, D.; Reynolds, S.E.; Krebs, S.; Sing, A.; Derdakova, M.; Reiter, M.A.; Fingerle, V. Lost in plasmids: Next generation sequencing and the complex genome of the tick-borne pathogen Borrelia burgdorferi. BMC Genomics 2017, 18, 422. [Google Scholar] [CrossRef]
 - Grimm, D.; Eggers, C.H.; Caimano, M.J.; Tilly, K.; Stewart, P.E.; Elias, A.F.; Radolf, J.D.; Rosa, P.A. Experimental assessment of the roles of linear plasmids lp25 and lp28-1 of Borrelia burgdorferi throughout the infectious cycle. Infect. Immun. 2004, 72, 5938–5946. [Google Scholar] [CrossRef]
 - Norris, S.J.; Howell, J.K.; Odeh, E.A.; Lin, T.; Gao, L.; Edmondson, D.G. High-throughput plasmid content analysis of Borrelia burgdorferi B31 by using luminex multiplex technology. Appl. Environ. Microbiol. 2011, 77, 1483–1492. [Google Scholar] [CrossRef]
 - Kawabata, H.; Norris, S.J.; Watanabe, H. BBE02 disruption mutants of Borrelia burgdorferi B31 have a highly transformable, infectious phenotype. Infect. Immun. 2004, 72, 7147–7154. [Google Scholar] [CrossRef] [PubMed]
 - Norris, S.J.; Carter, C.J.; Howell, J.K.; Barbour, A.G. Low-passage-associated proteins of Borrelia burgdorferi B31: Characterization and molecular cloning of OspD, a surface-exposed, plasmid-encoded lipoprotein. Infect. Immun. 1992, 60, 4662–4672. [Google Scholar] [CrossRef] [PubMed]
 - Vasu, K.; Rao, D.N.; Nagaraja, V. Restriction-Modification Systems, 4th ed.; Elsevier Inc.: Oxford, UK, 2019; Volume 19, ISBN 9780128117378. [Google Scholar]
 - James, A.E.; Rogovskyy, A.S.; Crowley, M.A.; Bankhead, T. Characterization of a DNA adenine methyltransferase gene of Borrelia hermsii and its dispensability for murine infection and persistence. PLoS ONE 2016, 11, e0155798. [Google Scholar] [CrossRef][Green Version]
 - Wachter, J.; Martens, C.; Barbian, K.; Rego, R.O.M.; Rosa, P. Epigenomic landscape of Lyme disease spirochetes reveals novel motifs. mBio 2021, 12, e0128821. [Google Scholar] [CrossRef]
 - Bontemps-Gallo, S.; Lawrence, K.A.; Richards, C.L.; Gherardini, F.C. Genomic and phenotypic characterization of Borrelia afzelii BO23 and Borrelia garinii CIP 103362. PLoS ONE 2018, 13, e0199641. [Google Scholar] [CrossRef] [PubMed]
 - Fingerle, V.; Goettner, G.; Gern, L.; Wilske, B.; Schulte-Spechtel, U. Complementation of a Borrelia afzelii OspC mutant highlights the crucial role of OspC for dissemination of Borrelia afzelii in Ixodes ricinus. Int. J. Med. Microbiol. 2007, 297, 97–107. [Google Scholar] [CrossRef]
 - Stewart, P.E.; Thalken, R.; Bono, J.L.; Rosa, P. Isolation of a circular plasmid region sufficient for autonomous replication and transformation of infectious Borrelia burgdorferi. Mol. Microbiol. 2001, 39, 714–721. [Google Scholar] [CrossRef]
 - Król, N.; Obiegala, A.; Imholt, C.; Arz, C.; Schmidt, E.; Jeske, K.; Ulrich, R.G.; Rentería-Solís, Z.; Jacob, J.; Pfeffer, M. Diversity of Borrelia burgdorferi sensu lato in ticks and small mammals from different habitats. Parasit. Vectors 2022, 15, 195. [Google Scholar] [CrossRef]
 - Stewart, P.E.; Raffel, S.J.; Gherardini, F.C.; Bloom, M.E. Kinetics of tick infection by the relapsing fever spirochete Borrelia hermsii acquired through artificial membrane feeding chambers. Sci. Rep. 2022, 12, 13479. [Google Scholar] [CrossRef]
 - Becker, N.S.; Rollins, R.E.; Nosenko, K.; Paulus, A.; Martin, S.; Krebs, S.; Takano, A.; Sato, K.; Kovalev, S.Y.; Kawabata, H.; et al. High conservation combined with high plasticity: Genomics and evolution of Borrelia bavariensis. BMC Genom. 2020, 21, 702. [Google Scholar] [CrossRef]
 - Takacs, C.N.; Wachter, J.; Xiang, Y.; Karaboja, X.; Ren, Z.; Scott, M.; Stoner, M.R.; Irnov, I.; Jannetty, N.; Rosa, P.A.; et al. Polyploidy, regular patterning of genome copies, and unusual control of DNA partitioning in the Lyme disease spirochete. bioRxiv 2022, 13, 7173. [Google Scholar] [CrossRef] [PubMed]
 - Seib, K.L.; Srikhanta, Y.N.; Atack, J.M.; Jennings, M.P. Epigenetic regulation of virulence and immunoevasion by phase-variable restriction-modification systems in bacterial pathogens. Annu. Rev. Microbiol. 2020, 74, 655–671. [Google Scholar] [CrossRef] [PubMed]
 - Nye, T.M.; Jacob, K.M.; Holleyid, E.K.; Nevarez, J.M.; Dawidid, S.; Simmons, L.A.; Watson, M.E. DNA methylation from a type I restriction modification system influences gene expression and virulence in Streptococcus pyogenes. PLoS Pathog. 2019, 15, e1007841. [Google Scholar] [CrossRef] [PubMed]
 - Klapatch, T.R.; Demain, A.L.; Lynd, L.R. Restriction endonuclease activity in Clostridium thermocellum and Clostridium thermosaccharolyticum. Appl. Microbiol. Biotechnol. 1996, 45, 127–131. [Google Scholar] [CrossRef] [PubMed]
 - Reiter, M.; Schötta, A.-M.M.; Müller, A.; Stockinger, H.; Stanek, G. A newly established real-time PCR for detection of Borrelia miyamotoi in Ixodes ricinus ticks. Ticks Tick. Borne Dis. 2015, 6, 303–308. [Google Scholar] [CrossRef]
 - Thornton, B.; Basu, C. Real-time PCR (qPCR) primer design using free online software. Biochem. Mol. Biol. Educ. 2011, 39, 145–154. [Google Scholar] [CrossRef]
 - Samuels, D.S. Electrotransformation of the spirochete Borrelia burgdorferi. Methods Mol. Biol. 1995, 47, 253–259. [Google Scholar] [CrossRef]
 - Eggers, C.H.; Gray, C.M.; Preisig, A.M.; Glenn, D.M.; Pereira, J.; Ayers, R.W.; Alshahrani, M.; Acabbo, C.; Becker, M.R.; Bruenn, K.N.; et al. Phage-mediated horizontal gene transfer of both prophage and heterologous DNA by φBB-1, a bacteriophage of Borrelia burgdorferi. Pathog. Dis. 2016, 74, ftw107. [Google Scholar] [CrossRef]
 - Jernigan, D.A.; Hart, M.C.; Dodd, K.K.; Jameson, S.; Farney, T. Induced native phage therapy for the treatment of Lyme disease and relapsing fever: A retrospective review of first 14 months in one clinic. Cureus 2021, 13, e20014. [Google Scholar] [CrossRef]
 





Disclaimer/Publisher’s Note: The statements, opinions and data contained in all publications are solely those of the individual author(s) and contributor(s) and not of MDPI and/or the editor(s). MDPI and/or the editor(s) disclaim responsibility for any injury to people or property resulting from any ideas, methods, instructions or products referred to in the content.  | 
© 2024 by the authors. Licensee MDPI, Basel, Switzerland. This article is an open access article distributed under the terms and conditions of the Creative Commons Attribution (CC BY) license (https://creativecommons.org/licenses/by/4.0/).
Share and Cite
Ruivo, M.; Kovács, N.Z.; Schötta, A.-M.; Stelzer, T.; Hermann, L.; Mündler, V.; Bergthaler, A.; Reiter, M.; Wijnveld, M. Optimising Transformation Efficiency in Borrelia: Unravelling the Role of the Restriction-Modification System of Borrelia afzelii and Borrelia garinii. Int. J. Mol. Sci. 2024, 25, 11343. https://doi.org/10.3390/ijms252111343
Ruivo M, Kovács NZ, Schötta A-M, Stelzer T, Hermann L, Mündler V, Bergthaler A, Reiter M, Wijnveld M. Optimising Transformation Efficiency in Borrelia: Unravelling the Role of the Restriction-Modification System of Borrelia afzelii and Borrelia garinii. International Journal of Molecular Sciences. 2024; 25(21):11343. https://doi.org/10.3390/ijms252111343
Chicago/Turabian StyleRuivo, Margarida, Noémi Zsuzsa Kovács, Anna-Margarita Schötta, Theresa Stelzer, Laura Hermann, Verena Mündler, Andreas Bergthaler, Michael Reiter, and Michiel Wijnveld. 2024. "Optimising Transformation Efficiency in Borrelia: Unravelling the Role of the Restriction-Modification System of Borrelia afzelii and Borrelia garinii" International Journal of Molecular Sciences 25, no. 21: 11343. https://doi.org/10.3390/ijms252111343
APA StyleRuivo, M., Kovács, N. Z., Schötta, A.-M., Stelzer, T., Hermann, L., Mündler, V., Bergthaler, A., Reiter, M., & Wijnveld, M. (2024). Optimising Transformation Efficiency in Borrelia: Unravelling the Role of the Restriction-Modification System of Borrelia afzelii and Borrelia garinii. International Journal of Molecular Sciences, 25(21), 11343. https://doi.org/10.3390/ijms252111343
        
