Therapeutic Effects of Proanthocyanidins on Diabetic Erectile Dysfunction in Rats
Abstract
1. Introduction
2. Results
2.1. Effects of PROs on Glucose and Lipid Metabolism in DMED Rats
2.1.1. Body Weight Changes
2.1.2. Blood Glucose Levels
2.1.3. Effects of PROs on Serum Insulin and Liver Glycogen Levels in DMED Rats
2.1.4. Effects of PROs on Blood Lipid Levels in DMED Rats
2.2. Erectile Function Assessment
2.3. Effects of PROs on Sperm Quality in DMED Rats
2.4. Effects of PROs on Endothelial Function in DMED Rats
2.5. Effects of PROs on Sex Hormones in DMED Rats
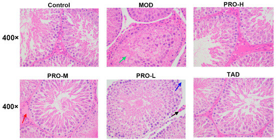
2.6. Testis Histopathological Changes
2.7. Network Pharmacology Reveals Potential Targets and Pathways for PROs Treatment of DMED
2.8. Molecular Docking Results for PROs and Potential Targets
2.9. Effects of PROs on Core Target Levels and the PI3K-Akt Pathway in DMED Rats
3. Discussion
4. Materials and Methods
4.1. Animals
4.2. DMED Rat Model and Experimental Designs
4.3. Glucose Determination
4.4. Assessment of Erectile Function
4.5. Serum Measurements
4.6. Histopathologic Analysis
4.7. Semen Quality Analysis
4.8. Network Pharmacological Analysis
4.8.1. Target Prediction of PRO
4.8.2. Collection of Disease Targets
4.8.3. Construction of the Protein–Protein Interaction Network
4.8.4. Analysis of GO and KEGG Pathway Enrichment
4.9. Molecular Docking
4.10. Validation of Compounds by Experiments
4.11. Statistical Analysis
5. Conclusions
Author Contributions
Funding
Institutional Review Board Statement
Informed Consent Statement
Data Availability Statement
Conflicts of Interest
References
- Kouidrat, Y.; Pizzol, D.; Cosco, T.; Thompson, T.; Carnaghi, M.; Bertoldo, A.; Solmi, M.; Stubbs, B.; Veronese, N. High prevalence of erectile dysfunction in diabetes: A systematic review and meta-analysis of 145 studies. Diabet. Med. 2017, 34, 1185–1192. [Google Scholar] [CrossRef] [PubMed]
- Wu, Z.; Wang, H.; Ni, F.; Jiang, X.; Xu, Z.; Liu, C.; Cai, Y.; Fu, H.; Luo, J.; Chen, W.; et al. Islet transplantation improved penile tissue fibrosis in a rat model of type 1 diabetes. BMC Endocr. Disord. 2018, 18, 49. [Google Scholar] [CrossRef] [PubMed]
- Johannes, C.B.; Araujo, A.B.; Feldman, H.A.; Derby, C.A.; Kleinman, K.P.; McKinlay, J.B. Incidence of erectile dysfunction in men 40 to 69 years old: Longitudinal results from the Massachusetts male aging study. J. Urol. 2000, 163, 460–463. [Google Scholar] [CrossRef]
- Shamloul, R.; Ghanem, H. Erectile dysfunction. Lancet 2013, 381, 153–165. [Google Scholar] [CrossRef] [PubMed]
- Demanou, M.C.D.; Njonnou, S.R.S.; Fouda, A.A.B.; Balti, E.; Lekpa, F.K.; Ouankou, C.N.; Etoga, M.C.E.; Bangbang, C.; Essomba, M.N.; Boli, A.O.; et al. Frequency and determinants of phytotherapy use in patients with type 2 diabetes in the Dschang Health District, Cameroon: A cross-sectional study. Pan Afr. Med. J. 2024, 47, 174. [Google Scholar] [CrossRef]
- Ghorat, F.; Mosavat, S.H.; Hadigheh, S.; Kouhpayeh, S.A.; Naghizadeh, M.M.; Rashidi, A.A.; Hashempur, M.H. Prevalence of Complementary and Alternative Medicine Use and Its Associated Factors among Iranian Diabetic Patients: A Cross-Sectional Study. Curr. Ther. Res. Clin. Exp. 2024, 100, 100746. [Google Scholar] [CrossRef]
- Ilhan, M.; Demir, B.; Yüksel, S.; Çataklı, S.A.; Yıldız, R.S.; Karaman, O.; Taşan, E. The use of complementary medicine in patients with diabetes. North. Clin. Istanb. 2016, 3, 34–38. [Google Scholar] [CrossRef][Green Version]
- Jafari, A.; Movahedzadeh, D.; Barsalani, F.R.; Tehrani, H. Investigation of attitude, awareness, belief, and practice of complementary and alternative medicine among type 2 diabetic patients: A cross sectional study. J. Diabetes Metab. Disord. 2021, 20, 477–484. [Google Scholar] [CrossRef]
- Kifle, Z.D. Prevalence and correlates of complementary and alternative medicine use among diabetic patients in a resource-limited setting. Metab. Open 2021, 10, 100095. [Google Scholar] [CrossRef]
- Zafrilla, P.; Ferreres, F.; Tomás-Barberán, F.A. Effect of processing and storage on the antioxidant ellagic acid derivatives and flavonoids of red raspberry (Rubus idaeus) jams. J. Agric. Food Chem. 2001, 49, 3651–3655. [Google Scholar] [CrossRef]
- Spínola, V.; Pinto, J.; Llorent-Martínez, E.J.; Tomás, H.; Castilho, P.C. Evaluation of Rubus grandifolius L. (wild blackberries) activities targeting management of type-2 diabetes and obesity using in vitro models. Food Chem. Toxicol. 2019, 123, 443–452. [Google Scholar] [CrossRef] [PubMed]
- Nie, Y.; Stürzenbaum, S.R. Proanthocyanidins of Natural Origin: Molecular Mechanisms and Implications for Lipid Disorder and Aging-Associated Diseases. Adv. Nutr. 2019, 10, 464–478. [Google Scholar] [CrossRef] [PubMed]
- Zhou, Q.; Han, X.; Li, R.; Zhao, W.; Bai, B.; Yan, C.; Dong, X. Anti-atherosclerosis of oligomeric proanthocyanidins from Rhodiola rosea on rat model via hypolipemic, antioxidant, anti-inflammatory activities together with regulation of endothelial function. Phytomedicine 2018, 51, 171–180. [Google Scholar] [CrossRef] [PubMed]
- Moore, C.R.; Wang, R. Pathophysiology and treatment of diabetic erectile dysfunction. Asian J. Androl. 2006, 8, 675–684. [Google Scholar] [CrossRef]
- Castela, Â.; Costa, C. Molecular mechanisms associated with diabetic endothelial-erectile dysfunction. Nat. Rev. Urol. 2016, 13, 266–274. [Google Scholar] [CrossRef]
- Zhang, Z.; Li, X.; Zhang, J.; Du, J.; Zhang, Q.; Ge, Z.; Ding, S. Chrono-Aerobic Exercise Optimizes Metabolic State in DB/DB Mice through CLOCK-Mitophagy-Apoptosis. Int. J. Mol. Sci. 2022, 23, 9308. [Google Scholar] [CrossRef]
- Besiroglu, H.; Otunctemur, A.; Ozbek, E. The relationship between metabolic syndrome, its components, and erectile dysfunction: A systematic review and a meta-analysis of observational studies. J. Sex. Med. 2015, 12, 1309–1318. [Google Scholar] [CrossRef]
- Furukawa, S.; Fujita, T.; Shimabukuro, M.; Iwaki, M.; Yamada, Y.; Nakajima, Y.; Nakayama, O.; Makishima, M.; Matsuda, M.; Shimomura, I. Increased oxidative stress in obesity and its impact on metabolic syndrome. J. Clin. Investig. 2004, 114, 1752–1761. [Google Scholar] [CrossRef]
- Luan, Y.; Cui, K.; Tang, Z.; Ruan, Y.; Liu, K.; Wang, T.; Chen, Z.; Wang, S.; Liu, J. Human Tissue Kallikrein 1 Improves Erectile Dysfunction of Streptozotocin-Induced Diabetic Rats by Inhibition of Excessive Oxidative Stress and Activation of the PI3K/AKT/eNOS Pathway. Oxidative Med. Cell. Longev. 2020, 2020, 6834236. [Google Scholar] [CrossRef]
- Lin, Z.; Zhou, P.; von Gise, A.; Gu, F.; Ma, Q.; Chen, J.; Guo, H.; van Gorp, P.R.; Wang, D.Z.; Pu, W.T. Pi3kcb links Hippo-YAP and PI3K-AKT signaling pathways to promote cardiomyocyte proliferation and survival. Circ. Res. 2015, 116, 35–45. [Google Scholar] [CrossRef]
- Linton, M.F.; Moslehi, J.J.; Babaev, V.R. Akt Signaling in Macrophage Polarization, Survival, and Atherosclerosis. Int. J. Mol. Sci. 2019, 20, 2703. [Google Scholar] [CrossRef] [PubMed]
- Brand, C.S.; Lighthouse, J.K.; Trembley, M.A. Protective transcriptional mechanisms in cardiomyocytes and cardiac fibroblasts. J. Mol. Cell. Cardiol. 2019, 132, 1–12. [Google Scholar] [CrossRef]
- Hu, W.F.; Gong, L.; Cao, Z.; Ma, H.; Ji, W.; Deng, M.; Liu, M.; Hu, X.H.; Chen, P.; Yan, Q.; et al. αA- and αB-crystallins interact with caspase-3 and Bax to guard mouse lens development. Curr. Mol. Med. 2012, 12, 177–187. [Google Scholar] [CrossRef]
- Burnett, A.L. Erectile dysfunction in cyclic GMP-dependent kinase I-deficient mice. Int. J. Impot. Res. 2000, 12, 341. [Google Scholar] [PubMed]
- Andersson, K.E. Pharmacology of penile erection. Pharmacol. Rev. 2001, 53, 417–450. [Google Scholar]
- Anwar, M.A.; Samaha, A.A.; Ballan, S.; Saleh, A.I.; Iratni, R.; Eid, A.H. Salvia fruticosa Induces Vasorelaxation In Rat Isolated Thoracic Aorta: Role of the PI3K/Akt/eNOS/NO/cGMP Signaling Pathway. Sci. Rep. 2017, 7, 686. [Google Scholar] [CrossRef] [PubMed]
- Ding, J.; Tang, Y.; Tang, Z.; Zu, X.; Qi, L.; Zhang, X.; Wang, G. Icariin improves the sexual function of male mice through the PI3K/AKT/eNOS/NO signalling pathway. Andrologia 2018, 50, 10. [Google Scholar] [CrossRef]
- Zou, X.; Ouyang, H.; Yu, T.; Chen, X.; Pang, D.; Tang, X.; Chen, C. Preparation of a new type 2 diabetic miniature pig model via the CRISPR/Cas9 system. Cell Death Dis. 2019, 10, 823. [Google Scholar] [CrossRef]
- Okano, Y.; Takeshita, A.; Yasuma, T.; Toda, M.; Nishihama, K.; Fridman D’Alessandro, V.; Inoue, C.; D’Alessandro-Gabazza, C.N.; Kobayashi, T.; Yano, Y.; et al. Protective Role of Recombinant Human Thrombomodulin in Diabetes Mellitus. Cells 2021, 10, 2237. [Google Scholar] [CrossRef]
- Li, C.; Hu, Z. Is liver glycogen fragility a possible drug target for diabetes? FASEB J. 2020, 34, 3–15. [Google Scholar] [CrossRef]
- Bergman, R.N.; Piccinini, F.; Kabir, M.; Ader, M. Novel aspects of the role of the liver in carbohydrate metabolism. Metabolism 2019, 99, 119–125. [Google Scholar] [CrossRef] [PubMed]
- Kim, J.H.; Shim, J.S.; Kim, J.W.; Doo, S.W.; Bae, J.H.; Lee, J.H.; Song, Y.S.; Kim, J.J.; Moon, D.G. Molecular and Histologic Evidence of Novel Erectile Dysfunction Rat Model as an Aging Atherosclerosis Model: A Preliminary Study. World J. Men’s Health 2020, 38, 345–352. [Google Scholar] [CrossRef] [PubMed]
- Hussain, R.; Shah, M.; Iqbal, S.; Rehman, W.; Khan, S.; Rasheed, L.; Naz, H.; Al-Ghulikah, H.A.; Elkaeed, E.B.; Pashameah, R.A.; et al. Molecular iodine-promoted oxidative cyclization for the synthesis of 1,3,4-thiadiazole-fused-[1,2,4]-thiadiazole incorporating 1,4-benzodioxine moiety as potent inhibitors of α-amylase and α-glucosidase: In vitro and in silico study. Front. Chem. 2022, 10, 1023316. [Google Scholar] [CrossRef] [PubMed]
- Senbel, A.M.; Abd Elmoneim, H.M.; Sharabi, F.M.; Mohy El-Din, M.M. Neuronal Voltage Gated Potassium Channels May Modulate Nitric Oxide Synthesis in Corpus Cavernosum. Front. Pharmacol. 2017, 8, 297. [Google Scholar] [CrossRef]
- Meng, H.; Ruan, J.; Chen, Y.; Yan, Z.; Shi, K.; Li, X.; Yang, P.; Meng, F. Investigation of Specific Proteins Related to Different Types of Coronary Atherosclerosis. Front. Cardiovasc. Med. 2021, 8, 758035. [Google Scholar] [CrossRef]
- Saraswati, S.; Alhaider, A.; Abdelgadir, A.M.; Tanwer, P.; Korashy, H.M. Phloretin attenuates STAT-3 activity and overcomes sorafenib resistance targeting SHP-1-mediated inhibition of STAT3 and Akt/VEGFR2 pathway in hepatocellular carcinoma. Cell Commun. Signal. 2019, 17, 127. [Google Scholar] [CrossRef] [PubMed]
- Al-Oanzi, Z.H. Erectile dysfunction attenuation by naringenin in streptozotocin-induced diabetic rats. J. Food Biochem. 2019, 43, e12885. [Google Scholar] [CrossRef]
- Lert-Amornpat, T.; Maketon, C.; Fungfuang, W. Effect of Kaempferia parviflora on sexual performance in streptozotocin-induced diabetic male rats. Andrologia 2017, 49, 10. [Google Scholar] [CrossRef]
- Brownlee, M. Biochemistry and molecular cell biology of diabetic complications. Nature 2001, 414, 813–820. [Google Scholar] [CrossRef]
- Nowotny, K.; Jung, T.; Höhn, A.; Weber, D.; Grune, T. Advanced glycation end products and oxidative stress in type 2 diabetes mellitus. Biomolecules 2015, 5, 194–222. [Google Scholar] [CrossRef]
- Afanas’ev, I. Signaling of reactive oxygen and nitrogen species in Diabetes mellitus. Oxidative Med. Cell. Longev. 2010, 3, 361–373. [Google Scholar] [CrossRef] [PubMed]
- Newsholme, P.; Haber, E.P.; Hirabara, S.M.; Rebelato, E.L.; Procopio, J.; Morgan, D.; Oliveira-Emilio, H.C.; Carpinelli, A.R.; Curi, R. Diabetes associated cell stress and dysfunction: Role of mitochondrial and non-mitochondrial ROS production and activity. J. Physiol. 2007, 583, 9–24. [Google Scholar] [CrossRef] [PubMed]
- Rigal, S.; Casas, B.; Kanebratt, K.P.; Wennberg Huldt, C.; Magnusson, L.U.; Müllers, E.; Karlsson, F.; Clausen, M.; Hansson, S.F.; Leonard, L.; et al. Normoglycemia and physiological cortisone level maintain glucose homeostasis in a pancreas-liver microphysiological system. Commun. Biol. 2024, 7, 877. [Google Scholar] [CrossRef] [PubMed]
- Seböková, E.; Klimes, I.; Stolba, P. Cellular and molecular mechanisms of insulin resistance. Vnitr. Lek. 1995, 41, 76–83. [Google Scholar] [PubMed]
- Titchenell, P.M.; Lazar, M.A.; Birnbaum, M.J. Unraveling the Regulation of Hepatic Metabolism by Insulin. Trends Endocrinol. Metab. 2017, 28, 497–505. [Google Scholar] [CrossRef]
- Lu, K.; He, Y.; Wu, C.; Bao, J. Moderate Hyperglycemia-Preventive Effect and Mechanism of Action of Periplaneta americana Oligosaccharides in Streptozotocin-Induced Diabetic Mice. Nutrients 2022, 14, 4620. [Google Scholar] [CrossRef]
- Anyamaneeratch, K.; Rojvirat, P.; Sukjoi, W.; Jitrapakdee, S. Insights into Transcriptional Regulation of Hepatic Glucose Production. Int. Rev. Cell Mol. Biol. 2015, 318, 203–253. [Google Scholar] [CrossRef]
- Kalinovich, A.; Dehvari, N.; Åslund, A.; van Beek, S.; Halleskog, C.; Olsen, J.; Forsberg, E.; Zacharewicz, E.; Schaart, G.; Rinde, M.; et al. Treatment with a β-2-adrenoceptor agonist stimulates glucose uptake in skeletal muscle and improves glucose homeostasis, insulin resistance and hepatic steatosis in mice with diet-induced obesity. Diabetologia 2020, 63, 1603–1615. [Google Scholar] [CrossRef]
- Yang, T.; Liu, Y.; Li, L.; Zheng, Y.; Wang, Y.; Su, J.; Yang, R.; Luo, M.; Yu, C. Correlation between the triglyceride-to-high-density lipoprotein cholesterol ratio and other unconventional lipid parameters with the risk of prediabetes and Type 2 diabetes in patients with coronary heart disease: A RCSCD-TCM study in China. Cardiovasc. Diabetol. 2022, 21, 93. [Google Scholar] [CrossRef]
- Tanwar, R.S.; Sharma, S.B.; Prabhu, K.M. In vivo assessment of antidiabetic and antioxidative activity of natural phytochemical isolated from fruit-pulp of Eugenia jambolana in streptozotocin-induced diabetic rats. Redox Rep. 2017, 22, 301–307. [Google Scholar] [CrossRef]
- Sharabi, K.; Tavares, C.D.; Rines, A.K.; Puigserver, P. Molecular pathophysiology of hepatic glucose production. Mol. Asp. Med. 2015, 46, 21–33. [Google Scholar] [CrossRef]
- Wang, X.; Ma, X.; Xu, J.; Guo, Y.; Zhou, S.; Yu, H.; Yuan, L. Association of cluster determinant 36, scavenger receptor class B type 1, and major facilitator superfamily domain containing the 2a genetic polymorphism with serum lipid profile in aging population with type 2 diabetes mellitus. Front. Nutr. 2022, 9, 981200. [Google Scholar] [CrossRef] [PubMed]
- Lee, G.H.; Hoang, T.H.; Jung, E.S.; Jung, S.J.; Chae, S.W.; Chae, H.J. Mulberry Extract Attenuates Endothelial Dysfunction through the Regulation of Uncoupling Endothelial Nitric Oxide Synthase in High Fat Diet Rats. Nutrients 2019, 11, 978. [Google Scholar] [CrossRef] [PubMed]
- Agarwal, A.; Nandipati, K.C.; Sharma, R.K.; Zippe, C.D.; Raina, R. Role of oxidative stress in the pathophysiological mechanism of erectile dysfunction. J. Androl. 2006, 27, 335–347. [Google Scholar] [CrossRef]
- Ma, K.; Liu, S.; Liang, H.; Wang, G.; Wang, T.; Luo, S.; Gao, K.; Wang, H.; Liu, M.; Bai, L.; et al. Ca2+-activated Cl− channel TMEM16A inhibition by cholesterol promotes angiogenesis in endothelial cells. J. Adv. Res. 2021, 29, 23–32. [Google Scholar] [CrossRef]
- Formanowicz, D.; Rybarczyk, A.; Radom, M.; Formanowicz, P. A Role of Inflammation and Immunity in Essential Hypertension-Modeled and Analyzed Using Petri Nets. Int. J. Mol. Sci. 2020, 21, 3348. [Google Scholar] [CrossRef]
- Chandra, S.B.; Mohan, S.; Ford, B.M.; Huang, L.; Janardhanan, P.; Deo, K.S.; Cong, L.; Muir, E.R.; Duong, T.Q. Targeted overexpression of endothelial nitric oxide synthase in endothelial cells improves cerebrovascular reactivity in Ins2Akita-type-1 diabetic mice. J. Cereb. Blood Flow Metab. 2016, 36, 1135–1142. [Google Scholar] [CrossRef]
- Giusti, L.; Gabriele, M.; Penno, G.; Garofolo, M.; Longo, V.; Del Prato, S.; Lucchesi, D.; Pucci, L. A Fermented Whole Grain Prevents Lipopolysaccharides-Induced Dysfunction in Human Endothelial Progenitor Cells. Oxidative Med. Cell. Longev. 2017, 2017, 1026268. [Google Scholar] [CrossRef] [PubMed]
- Hein, T.W.; Xu, X.; Ren, Y.; Xu, W.; Tsai, S.H.; Thengchaisri, N.; Kuo, L. Requisite roles of LOX-1, JNK, and arginase in diabetes-induced endothelial vasodilator dysfunction of porcine coronary arterioles. J. Mol. Cell. Cardiol. 2019, 131, 82–90. [Google Scholar] [CrossRef]
- Maiorino, M.I.; Bellastella, G.; Petrizzo, M.; Della Volpe, E.; Orlando, R.; Giugliano, D.; Esposito, K. Circulating endothelial progenitor cells in type 1 diabetic patients with erectile dysfunction. Endocrine 2015, 49, 415–421. [Google Scholar] [CrossRef]
- Francis, S.H.; Corbin, J.D. PDE5 inhibitors: Targeting erectile dysfunction in diabetics. Curr. Opin. Pharmacol. 2011, 11, 683–688. [Google Scholar] [CrossRef] [PubMed]
- Therkelsen, K.E.; Abraham, T.M.; Pedley, A.; Massaro, J.M.; Sutherland, P.; Hoffmann, U.; Fox, C.S. Association Between Prolactin and Incidence of Cardiovascular Risk Factors in the Framingham Heart Study. J. Am. Heart Assoc. 2016, 5, e002640. [Google Scholar] [CrossRef] [PubMed]
- Zhu, G.Q.; Jeon, S.H.; Bae, W.J.; Choi, S.W.; Jeong, H.C.; Kim, K.S.; Kim, S.J.; Cho, H.J.; Ha, U.S.; Hong, S.H.; et al. Efficient Promotion of Autophagy and Angiogenesis Using Mesenchymal Stem Cell Therapy Enhanced by the Low-Energy Shock Waves in the Treatment of Erectile Dysfunction. Stem Cells Int. 2018, 2018, 1302672. [Google Scholar] [CrossRef]
- Alrubaye, A.; Motovali-Bashi, M.; Miroliaei, M. Rosmarinic acid inhibits DNA glycation and modulates the expression of Akt1 and Akt3 partially in the hippocampus of diabetic rats. Sci. Rep. 2021, 11, 20605. [Google Scholar] [CrossRef]
- Shigefuku, R.; Takahashi, H.; Nakano, H.; Watanabe, T.; Matsunaga, K.; Matsumoto, N.; Kato, M.; Morita, R.; Michikawa, Y.; Tamura, T.; et al. Correlations of Hepatic Hemodynamics, Liver Function, and Fibrosis Markers in Nonalcoholic Fatty Liver Disease: Comparison with Chronic Hepatitis Related to Hepatitis C Virus. Int. J. Mol. Sci. 2016, 17, 1545. [Google Scholar] [CrossRef] [PubMed]
- Jeon, S.H.; Zhu, G.Q.; Bae, W.J.; Choi, S.W.; Jeong, H.C.; Cho, H.J.; Ha, U.S.; Hong, S.H.; Lee, J.Y.; Kwon, E.B.; et al. Engineered Mesenchymal Stem Cells Expressing Stromal Cell-derived Factor-1 Improve Erectile Dysfunction in Streptozotocin-Induced Diabetic Rats. Int. J. Mol. Sci. 2018, 19, 3730. [Google Scholar] [CrossRef]
- Li, H.; Chen, L.P.; Wang, T.; Wang, S.G.; Liu, J.H. Calpain inhibition improves erectile function in diabetic mice via upregulating endothelial nitric oxide synthase expression and reducing apoptosis. Asian J. Androl. 2018, 20, 342–348. [Google Scholar] [CrossRef]
- Li, X.X.; Liu, Y.M.; Li, Y.J.; Xie, N.; Yan, Y.F.; Chi, Y.L.; Zhou, L.; Xie, S.Y.; Wang, P.Y. High glucose concentration induces endothelial cell proliferation by regulating cyclin-D2-related miR-98. J. Cell. Mol. Med. 2016, 20, 1159–1169. [Google Scholar] [CrossRef] [PubMed]
- Minaz, N.; Razdan, R.; Pathak, L. Repositioning of molsidomine for its efficacy in diabetes induced erectile dysfunction in rats: In silico, in vitro and in vivo approach. Pharmacol. Rep. 2018, 70, 309–315. [Google Scholar] [CrossRef]









| Primer | Forward Primer | Reverse Primer |
|---|---|---|
| AKT | GTGCTGGAGGACAATGACTACGG | AGCAGCCCTGAAAGCAAGGA |
| CASP3 | ACTGGAAAGCCGAAACTCTTCATCA | GGAAGTCGGCCTCCACTGGTATC |
| β-actin | GGCATCCTGACCCTGAAGTA | AGGAAGGAAGGCTGGAAGAG |
Disclaimer/Publisher’s Note: The statements, opinions and data contained in all publications are solely those of the individual author(s) and contributor(s) and not of MDPI and/or the editor(s). MDPI and/or the editor(s) disclaim responsibility for any injury to people or property resulting from any ideas, methods, instructions or products referred to in the content. |
© 2024 by the authors. Licensee MDPI, Basel, Switzerland. This article is an open access article distributed under the terms and conditions of the Creative Commons Attribution (CC BY) license (https://creativecommons.org/licenses/by/4.0/).
Share and Cite
Zeng, X.; Li, L.; Tong, L. Therapeutic Effects of Proanthocyanidins on Diabetic Erectile Dysfunction in Rats. Int. J. Mol. Sci. 2024, 25, 11004. https://doi.org/10.3390/ijms252011004
Zeng X, Li L, Tong L. Therapeutic Effects of Proanthocyanidins on Diabetic Erectile Dysfunction in Rats. International Journal of Molecular Sciences. 2024; 25(20):11004. https://doi.org/10.3390/ijms252011004
Chicago/Turabian StyleZeng, Xiaoyan, Lanlan Li, and Li Tong. 2024. "Therapeutic Effects of Proanthocyanidins on Diabetic Erectile Dysfunction in Rats" International Journal of Molecular Sciences 25, no. 20: 11004. https://doi.org/10.3390/ijms252011004
APA StyleZeng, X., Li, L., & Tong, L. (2024). Therapeutic Effects of Proanthocyanidins on Diabetic Erectile Dysfunction in Rats. International Journal of Molecular Sciences, 25(20), 11004. https://doi.org/10.3390/ijms252011004

