Immunohistochemical Expression of p53 and FGFR3 Predicts Response to Enfortumab Vedotin in Metastatic Urothelial Carcinoma
Abstract
1. Introduction
2. Results
2.1. Patient Characteristics
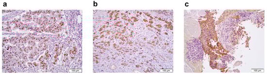
2.2. p53/FGFR3/Nectin-4 Immunohistochemistry (IHC) and Response to EV Treatment
2.3. p53/FGFR3/Nectin-4 IHC and Response to EV Treatment in UC with Histological Variants
2.4. Relation between p53/FGFR3/Nectin-4 and Survival
3. Discussion
4. Materials and Methods
4.1. Patient Population
4.2. Patient Management
4.3. Immunohistochemical Staining
4.4. Scoring of IHC
4.5. Statistical Analysis
5. Conclusions
Author Contributions
Funding
Institutional Review Board Statement
Informed Consent Statement
Data Availability Statement
Conflicts of Interest
References
- Torre, L.A.; Bray, F.; Siegel, R.L.; Ferlay, J.; Lortet-Tieulent, J.; Jemal, A. Global cancer statistics, 2012. CA Cancer J. Clin. 2015, 65, 87–108. [Google Scholar] [CrossRef] [PubMed]
- Bray, F.; Laversanne, M.; Sung, H.; Ferlay, J.; Siegel, R.L.; Soerjomataram, I.; Jemal, A. Global cancer statistics 2022: GLOBOCAN estimates of incidence and mortality worldwide for 36 cancers in 185 countries. CA Cancer J. Clin. 2024, 74, 229–263. [Google Scholar] [CrossRef] [PubMed]
- SEER Cancer Stat Facts: Bladder Cancer; National Cancer Institute: Bethesda, MD, USA. Available online: http://seer.cancer.gov/statfacts/html/urinb.html (accessed on 25 August 2024).
- Powles, T.; Rosenberg, J.E.; Sonpavde, G.P.; Loriot, Y.; Durán, I.; Lee, J.L.; Matsubara, N.; Vulsteke, C.; Castellano, D.; Wu, C.; et al. Enfortumab vedotin in previously treated advanced urothelial carcinoma. N. Engl. J. Med. 2021, 384, 1125–1135. [Google Scholar] [CrossRef] [PubMed]
- Koshkin, V.S.; Henderson, N.; James, M.; Natesan, D.; Freeman, D.; Nizam, A.; Su, C.T.; Khaki, A.R.; Osterman, C.K.; Glover, M.J.; et al. Efficacy of enfortumab vedotin in advanced urothelial cancer: Analysis from the Urothelial Cancer Network to Investigate Therapeutic Experiences (UNITE) study. Cancer 2022, 128, 1194–1205. [Google Scholar] [CrossRef]
- Hara, T.; Matsushita, Y.; Harada, K.; Fujimoto, N.; Fujisawa, M.; Miyake, H. Clinical outcomes in patients with advanced urothelial carcinoma treated with enfortumab vedotin: A retrospective multicenter study in Japan. Int. J. Urol. 2024, 31, 696–698. [Google Scholar] [CrossRef]
- Minato, A.; Kimuro, R.; Ohno, D.; Tanigawa, K.; Kuretake, K.; Matsukawa, T.; Takaba, T.; Jojima, K.; Harada, M.; Higashijima, K.; et al. Efficacy and Tolerability of Enfortumab Vedotin for Metastatic Urothelial Carcinoma: Early Experience in the Real World. Anticancer Res. 2023, 43, 4055–4060. [Google Scholar] [CrossRef]
- Kawahara, T.; Hasizume, A.; Uemura, K.; Yamaguchi, K.; Ito, H.; Takeshima, T.; Hasumi, H.; Teranishi, J.; Ousaka, K.; Makiyama, K.; et al. Administration of Enfortumab Vedotin after Immune-Checkpoint Inhibitor and the Prognosis in Japanese Metastatic Urothelial Carcinoma: A Large Database Study on Enfortumab Vedotin in Metastatic Urothelial Carcinoma. Cancers 2023, 23, 4227. [Google Scholar] [CrossRef] [PubMed]
- Minato, A.; Furubayashi, N.; Nagata, Y.; Tomoda, T.; Masaoka, H.; Song, Y.; Hori, Y.; Kiyoshima, K.; Negishi, T.; Kuroiwa, K.; et al. Prognostic Impact of Histologic Subtype and Divergent Differentiation in Patients with Metastatic Urothelial Carcinoma Treated with Enfortumab Vedotin: A Multicenter Retrospective Study. Curr. Oncol. 2024, 31, 862–871. [Google Scholar] [CrossRef]
- Endo, Y.; Akatsuka, J.; Takeda, H.; Hasegawa, H.; Yanagi, M.; Toyama, Y.; Mikami, H.; Shibasaki, M.; Kimura, G.; Kondo, Y. Real-World Insights into Efficacy and Safety of Enfortumab Vedotin in Japanese Patients with Metastatic Urothelial Carcinoma: Findings, Considerations, and Future Directions. Curr. Oncol. 2024, 31, 759–768. [Google Scholar] [CrossRef]
- Chu, C.E.; Sjöström, M.; Egusa, E.A.; Gibb, E.A.; Badura, M.L.; Zhu, J.; Koshkin, V.S.; Stohr, B.A.; Meng, M.V.; Pruthi, R.S.; et al. Heterogeneity in NECTIN4 Expression Across Molecular Subtypes of Urothelial Cancer Mediates Sensitivity to Enfortumab Vedotin. Clin. Cancer Res. 2021, 27, 5123–5130. [Google Scholar] [CrossRef]
- Khoury, R.; Saleh, K.; Khalife, N.; Saleh, M.; Chahine, C.; Ibrahim, R.; Lecesne, A. Mechanisms of Resistance to Antibody-Drug Conjugates. Int. J. Mol. Sci. 2023, 24, 9674. [Google Scholar] [CrossRef]
- Powles, T.; Valderrama, B.P.; Gupta, S.; Bedke, J.; Kikuchi, E.; Hoffman-Censits, J.; Iyer, G.; Vulsteke, C.; Park, S.H.; Shin, S.J.; et al. Enfortumab Vedotin and Pembrolizumab in Untreated Advanced Urothelial Cancer. N. Engl. J. Med. 2024, 390, 875–888. [Google Scholar] [CrossRef]
- Cancer Genome Atlas Research Network. Comprehensive molecular characterization of urothelial bladder carcinoma. Nature 2014, 507, 315–322. [Google Scholar] [CrossRef]
- Robertson, A.G.; Kim, J.; Al-Ahmadie, H.; Bellmunt, J.; Guo, G.; Cherniack, A.D.; Hinoue, T.; Laird, P.W.; Hoadley, K.A.; Akbani, R.; et al. Comprehensive Molecular Characterization of Muscle-Invasive Bladder Cancer. Cell 2017, 171, 540–556.e25. [Google Scholar] [CrossRef]
- McConkey, D.J.; Choi, W.; Shen, Y.; Lee, I.L.; Porten, S.; Matin, S.F.; Kamat, A.M.; Corn, P.; Millikan, R.E.; Dinney, C.; et al. A Prognostic Gene Expression Signature in the Molecular Classification of Chemotherapy-naïve Urothelial Cancer is Predictive of Clinical Outcomes from Neoadjuvant Chemotherapy: A Phase 2 Trial of Dose-dense Methotrexate, Vinblastine, Doxorubicin, and Cisplatin with Bevacizumab in Urothelial Cancer. Eur. Urol. 2016, 69, 855–862. [Google Scholar] [CrossRef]
- Sharma, P.; Retz, M.; Siefker-Radtke, A.; Baron, A.; Necchi, A.; Bedke, J.; Plimack, E.R.; Vaena, D.; Grimm, M.O.; Bracarda, S.; et al. Nivolumab in metastatic urothelial carcinoma after platinum therapy (CheckMate 275): A multicentre, single-arm, phase 2 trial. Lancet Oncol. 2017, 18, 312–322. [Google Scholar] [CrossRef]
- Rosenberg, J.E.; Hoffman-Censits, J.; Powles, T.; Van Der Heijden, M.S.; Balar, A.V.; Necchi, A.; Dawson, N.; O’Donnell, P.H.; Balmanoukian, A.; Loriot, Y.; et al. Atezolizumab in patients with locally advanced and metastatic urothelial carcinoma who have progressed following treatment with platinum-based chemotherapy: A single-arm, multicentre, phase 2 trial. Lancet 2016, 387, 1909–1920. [Google Scholar] [CrossRef]
- Kamoun, A.; de Reyniès, A.; Allory, Y.; Sjödahl, G.; Robertson, A.G.; Seiler, R.; Hoadley, K.A.; Groeneveld, C.S.; Al-Ahmadie, H.; Choi, W.; et al. A Consensus Molecular Classification of Muscle-Invasive Bladder Cancer. Eur. Urol. 2020, 77, 420–433. [Google Scholar] [CrossRef]
- Sfakianos, J.P.; Gul, Z.; Shariat, S.F.; Matin, S.F.; Daneshmand, S.; Plimack, E.; Lerner, S.; Roupret, M.; Pal, S. Genetic Differences Between Bladder and Upper Urinary Tract Carcinoma: Implications for Therapy. Eur. Urol. Oncol. 2021, 4, 170–179. [Google Scholar] [CrossRef]
- Audenet, F.; Isharwal, S.; Cha, E.K.; Donoghue, M.T.A.; Drill, E.N.; Ostrovnaya, I.; Pietzak, E.J.; Sfakianos, J.P.; Bagrodia, A.; Murugan, P.; et al. Clonal Relatedness and Mutational Differences between Upper Tract and Bladder Urothelial Carcinoma. Clin. Cancer Res. 2019, 25, 967–976. [Google Scholar] [CrossRef]
- Ascione, C.M.; Napolitano, F.; Esposito, D.; Servetto, A.; Belli, S.; Santaniello, A.; Scagliarini, S.; Crocetto, F.; Bianco, R.; Formisano, L. Role of FGFR3 in bladder cancer: Treatment landscape and future challenges. Cancer Treat. Rev. 2023, 115, 102530. [Google Scholar] [CrossRef]
- Fujii, Y.; Sato, Y.; Suzuki, H.; Kakiuchi, N.; Yoshizato, T.; Lenis, A.T.; Maekawa, S.; Yokoyama, A.; Takeuchi, Y.; Inoue, Y.; et al. Molecular classification and diagnostics of upper urinary tract urothelial carcinoma. Cancer Cell. 2021, 39, 793–809.e8. [Google Scholar] [CrossRef]
- Hodgson, A.; Van Rhijn, B.W.G.; Kim, S.S.; Ding, C.; Saleeb, R.; Vesprini, D.; Liu, S.K.; Yousef, G.M.; Van Der Kwast, T.H.; Xu, B.; et al. Reassessment of p53 immunohistochemistry thresholds in invasive high grade bladder cancer shows a better correlation with TP53 and FGFR3 mutations. Pathol.-Res. Pract. 2020, 216, 153186. [Google Scholar] [CrossRef]
- Oken, M.M.; Creech, R.H.; Tormey, D.C.; Horton, J.; Davis, T.E.; McFadden, E.T.; Carbone, P.P. Toxicity and response criteria of the Eastern Cooperative Oncology Group. Am. J. Clin. Oncol. 1982, 5, 649–655. [Google Scholar] [CrossRef]
- Bellmunt, J.; Choueiri, T.K.; Fougeray, R.; Schutz, F.A.; Salhi, Y.; Winquist, E.; Culine, S.; Von Der Maase, H.; Vaughn, D.J.; Rosenberg, J.E. Prognostic factors in patients with advanced transitional cell carcinoma of the urothelial tract experiencing treatment failure with platinum-containing regimens. J. Clin. Oncol. 2010, 28, 1850–1855. [Google Scholar] [CrossRef]
- Choi, W.; Ochoa, A.; McConkey, D.J.; Aine, M.; Höglund, M.; Kim, W.Y.; Real, F.X.; Kiltie, A.E.; Milsom, I.; Dyrskjøt, L.; et al. Genetic Alterations in the Molecular Subtypes of Bladder Cancer: Illustration in the Cancer Genome Atlas Dataset. Eur. Urol. 2017, 72, 354–365. [Google Scholar] [CrossRef]
- Hodgson, A.; Xu, B.; Downes, M.R. p53 immunohistochemistry in high-grade urothelial carcinoma of the bladder is prognostically significant. Histopathology 2017, 71, 296–304. [Google Scholar] [CrossRef]
- Yu, Q. Restoring p53-mediated apoptosis in cancer cells: New opportunities for cancer therapy. Drug Resist. Updat. 2006, 9, 19–25. [Google Scholar] [CrossRef]
- Williams, A.B.; Schumacher, B. p53 in the DNA-Damage-Repair Process. Cold Spring Harb. Perspect. Med. 2016, 6, a026070. [Google Scholar] [CrossRef]
- Jindal, T.; Zhu, X.; Bose, R.; Kumar, V.; Maldonado, E.; Deshmukh, P.; Shipp, C.; Feng, S.; Johnson, M.S.; Angelidakis, A.; et al. Somatic alterations of TP53 and MDM2 associated with response to enfortumab vedotin in patients with advanced urothelial cancer. Front. Oncol. 2023, 13, 1161089. [Google Scholar] [CrossRef]
- McConkey, D.J.; Choi, W.; Ochoa, A.; Siefker-Radtke, A.; Czerniak, B.; Dinney, C.P. Therapeutic opportunities in the intrinsic subtypes of muscle-invasive bladder cancer. Hematol. Oncol. Clin. N. Am. 2015, 29, 377–394. [Google Scholar] [CrossRef]
- Bakkar, A.A.; Wallerand, H.; Radvanyi, F.; Lahaye, J.B.; Pissard, S.; Lecerf, L.; Kouyoumdjian, J.C.; Abbou, C.C.; Pairon, J.C.; Jaurand, M.C.; et al. FGFR3 and TP53 gene mutations define two distinct pathways in urothelial cell carcinoma of the bladder. Cancer Res. 2003, 63, 8108–8112. [Google Scholar]
- Lefort, F.; Rhanine, Y.; Larroquette, M.; Domblides, C.; Heraudet, L.; Sionneau, B.; Lambert, S.; Lasserre, M.; Robert, G.; Ravaud, A.; et al. Clinical and Biological Differences between Upper Tract Carcinoma and Bladder Urothelial Cancer, Including Implications for Clinical Practice. Cancers 2023, 15, 5558. [Google Scholar] [CrossRef]
- Eisenhauer, E.A.; Therasse, P.; Bogaerts, J.; Schwartz, L.H.; Sargent, D.; Ford, R.; Dancey, J.; Arbuck, S.; Gwyther, S.; Mooney, M.; et al. New response evaluation criteria in solid tumours: Revised RECIST guideline, version 1.1. Eur. J. Cancer 2009, 45, 228–247. [Google Scholar] [CrossRef]
- Minato, A.; Kudo, Y.; Noguchi, H.; Kohi, S.; Hasegawa, Y.; Sato, N.; Hirata, K.; Fujimoto, N. Receptor for Hyaluronic Acid-mediated Motility (RHAMM) Is Associated with Prostate Cancer Migration and Poor Prognosis. Cancer Genom. Proteom. 2023, 20, 203–210. [Google Scholar] [CrossRef]
- Yemelyanova, A.; Vang, R.; Kshirsagar, M.; Lu, D.; Marks, M.A.; Shih, I.M.; Kurman, R.J. Immunohistochemical staining patterns of p53 can serve as a surrogate marker for TP53 mutations in ovarian carcinoma: An immunohistochemical and nucleotide sequencing analysis. Mod. Pathol. 2011, 24, 1248–1253. [Google Scholar] [CrossRef]
- Esrig, D.; Spruck, C.H., 3rd; Nichols, P.W.; Chaiwun, B.; Steven, K.; Groshen, S.; Chen, S.C.; Skinner, D.G.; Jones, P.A.; Cote, R.J. p53 nuclear protein accumulation correlates with mutations in the p53 gene, tumor grade, and stage in bladder cancer. Am. J. Pathol. 1993, 143, 1389–1397. [Google Scholar]
- Challita-Eid, P.M.; Satpayev, D.; Yang, P.; An, Z.; Morrison, K.; Shostak, Y.; Raitano, A.; Nadell, R.; Liu, W.; Lortie, D.R.; et al. Enfortumab Vedotin Antibody-Drug Conjugate Targeting Nectin-4 Is a Highly Potent Therapeutic Agent in Multiple Preclinical Cancer Models. Cancer Res. 2016, 76, 3003–3013. [Google Scholar] [CrossRef]
- Kanda, Y. Investigation of the freely available easy-to-use software ‘EZR’ for medical statistics. Bone Marrow Transpl. 2013, 48, 452–458. [Google Scholar] [CrossRef]


| Characteristics | All Patients (n = 28) | Patients with PUC (n = 18) |
|---|---|---|
| Age (years), median (IQR) | 74 (66–79) | 73 (64–75) |
| Sex, n (%) | ||
| Male | 25 (89.3) | 16 (88.9) |
| Female | 3 (10.7) | 2 (11.1) |
| ECOG-PS score, n (%) | ||
| 0 | 13 (46.4) | 9 (50.0) |
| 1 | 9 (32.1) | 4 (22.2) |
| 2 | 5 (17.9) | 4 (22.2) |
| 3 | 1 (3.6) | 1 (5.6) |
| Primary tumor site, n (%) | ||
| Bladder | 13 (46.4) | 8 (44.4) |
| Upper urinary tract | 15 (53.6) | 10 (55.6) |
| Metastatic lesion, n (%) | ||
| Lymph node | 22 (78.6) | 15 (83.3) |
| Lung | 11 (39.3) | 7 (38.9) |
| Liver | 4 (14.3) | 2 (11.1) |
| Bone | 5 (17.9) | 3 (16.7) |
| Bellmunt risk score, n (%) | ||
| 0, 1 | 17 (60.7) | 11 (61.1) |
| ≥2 | 11 (39.3) | 7 (38.9) |
| Number of prior lines of systemic therapy, n (%) | ||
| 2 | 22 (78.6) | 13 (72.2) |
| ≥3 | 6 (21.4) | 5 (27.8) |
| Prior systemic chemotherapy, n (%) | ||
| Gemcitabine + cisplatin | 13 (46.4) | 9 (50.0) |
| Gemcitabine + carboplatin | 12 (42.9) | 7 (38.9) |
| Paclitaxel + gemcitabine | 8 (28.6) | 7 (38.9) |
| Dose-dense MVAC | 1 (3.6) | 1 (5.6) |
| Cisplatin + etoposide | 1 (3.6) | 0 (0.0) |
| Prior immune checkpoint blockade, n (%) | ||
| Avelumab | 11 (39.3) | 8 (44.4) |
| Pembrolizumab | 17 (60.7) | 10 (55.6) |
| EV cycles, median (IQR) | 5 (4–8) | 6 (4–10) |
| Follow-up duration (months), median (IQR) | 9 (6–17) | 12 (7–18) |
| In All (n = 28) | In PUC (n = 18) | ||||
|---|---|---|---|---|---|
| No. % | WT-p53 | AB-p53 | No. % | WT-p53 | AB-p53 |
| low FGFR3 | 14 (50.0) | 9 (32.1) | low FGFR3 | 9 (50.0) | 5 (27.8) |
| high FGFR3 | 3 (10.7) | 2 (7.1) | high FGFR3 | 2 (11.1) | 2 (11.1) |
| Response in All (n = 28) | WT p53 | AB p53 | p Value | Low FGFR3 | High FGFR3 | p Value | Response in All (n = 28) | AB p53 & Low FGFR3 | WT p53 & High FGFR3 | DN/DP | p Value |
|---|---|---|---|---|---|---|---|---|---|---|---|
| No. % | No. % | No. % | No. % | No. % | No. % | No. % | |||||
| Best response | 0.024 | 0.126 | Best response | 0.001 | |||||||
| CR | 0 (0.0) | 3 (10.7) | 3 (10.7) | 0 (0.0) | CR | 3 (10.7) | 0 (0.0) | 0 (0.0) | |||
| PR | 4 (14.3) | 11 (39.3) | 14 (50.0) | 1 (3.6) | PR | 10 (35.7) | 0 (0.0) | 5 (17.9) | |||
| SD | 3 (10.7) | 3 (10.7) | 4 (14.3) | 2 (7.1) | SD | 1 (3.6) | 0 (0.0) | 5 (17.9) | |||
| PD | 4 (14.3) | 0 (0.0) | 2 (7.1) | 2 (7.1) | PD | 0 (0.0) | 2 (7.1) | 2 (7.1) | |||
| ORR | 4 (14.3) | 14 (50.0) | 0.038 | 17 (60.7) | 1 (3.6) | 0.078 | ORR | 13 (46.4) | 0 (0.0) | 5 (17.9) | 0.004 |
| DCR | 7 (25.0) | 17 (60.7) | 0.033 | 21 (75.0) | 3 (10.7) | 0.268 | DCR | 14 (50.0) | 0 (0.0) | 10 (35.7) | <0.001 |
| Responsein PUC (n = 18) | WT p53 | AB p53 | p Value | Low FGFR3 | High FGFR3 | p Value | Responsein PUC (n = 18) | AB p53 & Low FGFR3 | WT p53 & High FGFR3 | DN/DP | p Value |
|---|---|---|---|---|---|---|---|---|---|---|---|
| No. % | No. % | No. % | No. % | No. % | No. % | No. % | |||||
| Best response | 0.073 | 0.039 | Best response | 0.012 | |||||||
| CR | 0 (0.0) | 3 (16.7) | 3 (16.7) | 0 (0.0) | CR | 3 (16.7) | 0 (0.0) | 0 (0.0) | |||
| PR | 3 (16.7) | 5 (27.8) | 8 (44.4) | 0 (0.0) | PR | 5 (27.8) | 0 (0.0) | 3 (16.7) | |||
| SD | 1 (5.6) | 3 (16.7) | 2 (11.1) | 2 (11.1) | SD | 1 (5.6) | 0 (0.0) | 3 (16.7) | |||
| PD | 3 (16.7) | 0 (0.0) | 1 (5.6) | 2 (11.1) | PD | 0 (0.0) | 2 (11.1) | 1 (5.6) | |||
| ORR | 3 (16.7) | 8 (44.4) | 0.441 | 11 (61.1) | 0 (0.0) | 0.024 | ORR | 8 (44.4) | 0 (0.0) | 3 (16.7) | 0.030 |
| DCR | 4 (22.2) | 11 (61.1) | 0.084 | 13 (72.2) | 2 (11.1) | 0.205 | DCR | 9 (50.0) | 0 (0.0) | 6 (33.3) | 0.003 |
Disclaimer/Publisher’s Note: The statements, opinions and data contained in all publications are solely those of the individual author(s) and contributor(s) and not of MDPI and/or the editor(s). MDPI and/or the editor(s) disclaim responsibility for any injury to people or property resulting from any ideas, methods, instructions or products referred to in the content. |
© 2024 by the authors. Licensee MDPI, Basel, Switzerland. This article is an open access article distributed under the terms and conditions of the Creative Commons Attribution (CC BY) license (https://creativecommons.org/licenses/by/4.0/).
Share and Cite
Nagata, Y.; Minato, A.; Aono, H.; Kimuro, R.; Higashijima, K.; Tomisaki, I.; Harada, K.; Miyamoto, H.; Fujimoto, N. Immunohistochemical Expression of p53 and FGFR3 Predicts Response to Enfortumab Vedotin in Metastatic Urothelial Carcinoma. Int. J. Mol. Sci. 2024, 25, 10348. https://doi.org/10.3390/ijms251910348
Nagata Y, Minato A, Aono H, Kimuro R, Higashijima K, Tomisaki I, Harada K, Miyamoto H, Fujimoto N. Immunohistochemical Expression of p53 and FGFR3 Predicts Response to Enfortumab Vedotin in Metastatic Urothelial Carcinoma. International Journal of Molecular Sciences. 2024; 25(19):10348. https://doi.org/10.3390/ijms251910348
Chicago/Turabian StyleNagata, Yujiro, Akinori Minato, Hisami Aono, Rieko Kimuro, Katsuyoshi Higashijima, Ikko Tomisaki, Kenichi Harada, Hiroshi Miyamoto, and Naohiro Fujimoto. 2024. "Immunohistochemical Expression of p53 and FGFR3 Predicts Response to Enfortumab Vedotin in Metastatic Urothelial Carcinoma" International Journal of Molecular Sciences 25, no. 19: 10348. https://doi.org/10.3390/ijms251910348
APA StyleNagata, Y., Minato, A., Aono, H., Kimuro, R., Higashijima, K., Tomisaki, I., Harada, K., Miyamoto, H., & Fujimoto, N. (2024). Immunohistochemical Expression of p53 and FGFR3 Predicts Response to Enfortumab Vedotin in Metastatic Urothelial Carcinoma. International Journal of Molecular Sciences, 25(19), 10348. https://doi.org/10.3390/ijms251910348

