Antiproliferative and Anti-Inflammatory Effects of the Polyphenols Phloretin and Balsacone C in a Coculture of T Cells and Psoriatic Keratinocytes
Abstract
1. Introduction
2. Results and Discussion
2.1. Antiproliferative Potential of Polyphenols and Cellular Metabolic Activity
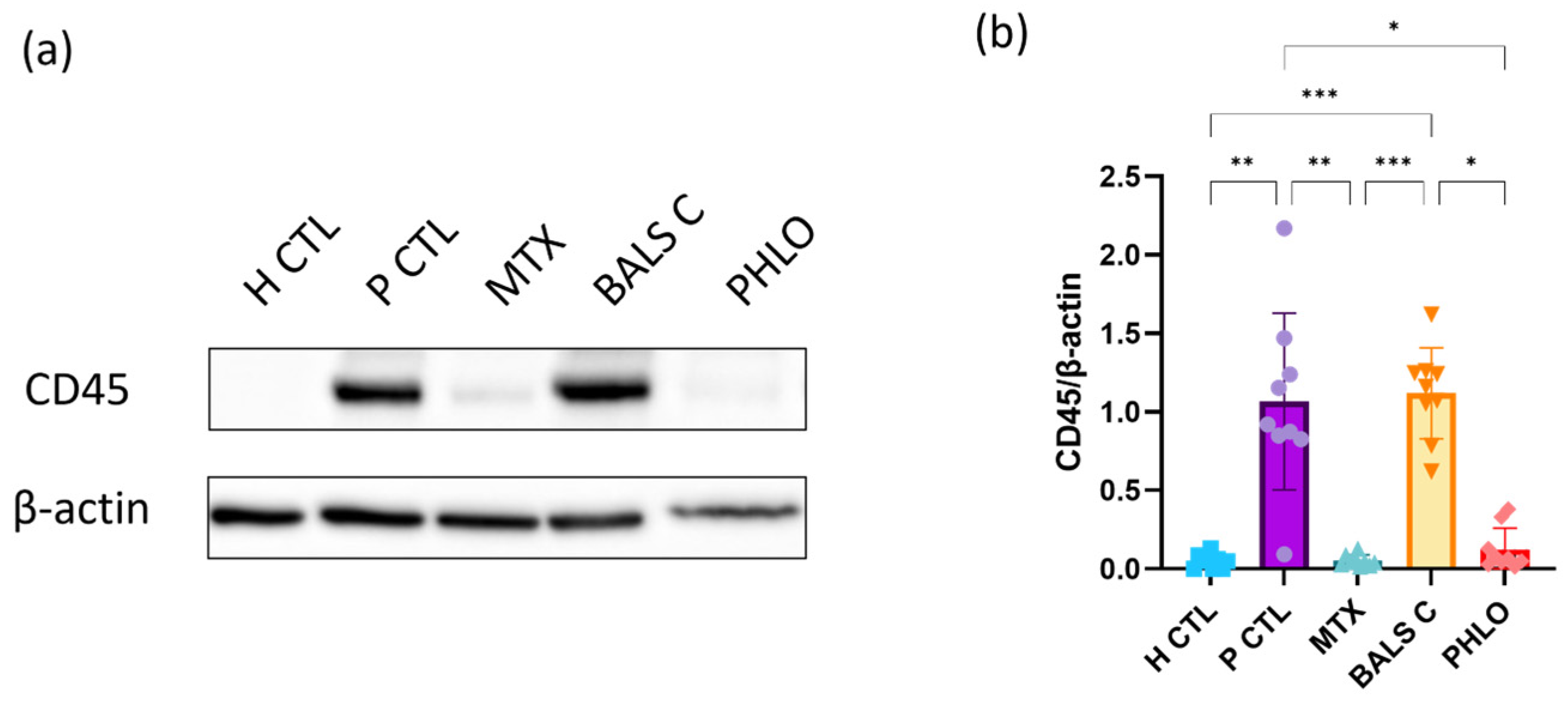
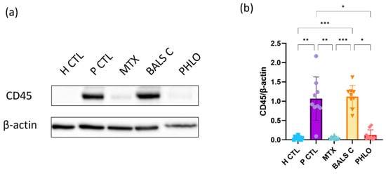
2.2. Antiproliferative Effects of Polyphenols on Cocultures of T Cells and Psoriatic Keratinocytes
2.2.1. Ki67 Expression
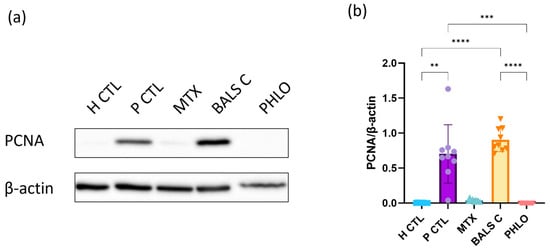
2.2.2. PCNA Expression
2.3. Impact of Polyphenols on Inflammatory Cytokine Secretion
3. Materials and Methods
3.1. Compound Preparation
3.2. Skin Biopsies and Donors
3.3. Cell Culture Medium
3.4. Antiproliferative Potential and Cellular Metabolic Activity
3.5. Isolation and Activation of T Cells
3.6. Coculture of Keratinocytes and T Cells
3.7. Immunofluorescence Analyses
3.8. Western Blot Analysis
3.9. Cytokine Array
3.10. ELISA Analyses
3.11. Statistical Analysis
4. Conclusions
Supplementary Materials
Author Contributions
Funding
Institutional Review Board Statement
Informed Consent Statement
Data Availability Statement
Acknowledgments
Conflicts of Interest
Abbreviations
References
- Perera, G.K.; Di Meglio, P.; Nestle, F.O. Psoriasis. Annu. Rev. Pathol. 2012, 7, 385–422. [Google Scholar] [CrossRef] [PubMed]
- Lowes, M.A.; Bowcock, A.M.; Krueger, J.G. Pathogenesis and therapy of psoriasis. Nature 2007, 445, 866–873. [Google Scholar] [CrossRef] [PubMed]
- Timotijevic, Z.S.; Majcan, P.; Trajkovic, G.; Relic, M.; Novakovic, T.; Mirkovic, M.; Djuric, S.; Nikolic, S.; Lazic, B.; Jankovic, S. The Impact of Changes in Psoriasis Area and Severity Index by Body Region on Quality of Life in Patients with Psoriasis. Acta Dermatovenerol. Croat. 2017, 25, 215–222. [Google Scholar]
- Menter, A.; Stoff, B. Psoriasis; CRC Press: London, UK, 2010. [Google Scholar]
- Sarkar, R.; Chugh, S.; Bansal, S. General measures and quality of life issues in psoriasis. Indian Dermatol. Online J. 2016, 7, 481–488. [Google Scholar] [CrossRef] [PubMed]
- Weiss, S.C.; Kimball, A.B.; Liewehr, D.J.; Blauvelt, A.; Turner, M.L.; Emanuel, E.J. Quantifying the harmful effect of psoriasis on health-related quality of life. J. Am. Acad. Dermatol. 2002, 47, 512–518. [Google Scholar] [CrossRef]
- Oliveira Mde, F.; Rocha Bde, O.; Duarte, G.V. Psoriasis: Classical and emerging comorbidities. Bras. Dermatol. 2015, 90, 9–20. [Google Scholar] [CrossRef]
- Gottlieb, A.B.; Chao, C.; Dann, F. Psoriasis comorbidities. J. Dermatol. Treat. 2008, 19, 5–21. [Google Scholar] [CrossRef]
- Parisi, R.; Iskandar, I.Y.K.; Kontopantelis, E.; Augustin, M.; Griffiths, C.E.M.; Ashcroft, D.M. National, regional, and worldwide epidemiology of psoriasis: Systematic analysis and modelling study. Bmj 2020, 369, m1590. [Google Scholar] [CrossRef]
- Dhabale, A.; Nagpure, S. Types of Psoriasis and Their Effects on the Immune System. Cureus J. Med. Sci. 2022, 14. [Google Scholar] [CrossRef]
- Kelly-Sell, M.; Gudjonsson, J.E. Chapter 1—Overview of Psoriasis. In Therapy for Severe Psoriasis; Wu, J.J., Feldman, S.R., Lebwohl, M.G., Eds.; Elsevier: Amsterdam, The Netherlands, 2016; pp. 1–15. [Google Scholar] [CrossRef]
- Wilson, F.C.; Icen, M.; Crowson, C.S.; McEvoy, M.T.; Gabriel, S.E.; Kremers, H.M. Incidence and Clinical Predictors of Psoriatic Arthritis in Patients With Psoriasis: A Population-Based Study. Arthritis Rheum. -Arthritis Care Res. 2009, 61, 233–239. [Google Scholar] [CrossRef]
- Griffiths, C.E.M.; Barker, J. Psoriasis 1—Pathogenesis and clinical features of psoriasis. Lancet 2007, 370, 263–271. [Google Scholar] [CrossRef] [PubMed]
- Lowes, M.A.; Suárez-Fariñas, M.; Krueger, J.G. Immunology of psoriasis. Annu. Rev. Immunol. 2014, 32, 227–255. [Google Scholar] [CrossRef] [PubMed]
- Weinstein, G.D.; McCullough, J.L.; Ross, P. Cell proliferation in normal epidermis. J. Investig. Dermatol. 1984, 82, 623–628. [Google Scholar] [CrossRef] [PubMed]
- Iizuka, H. Epidermal turnover time. J. Dermatol. Sci. 1994, 8, 215–217. [Google Scholar] [CrossRef] [PubMed]
- Halprin, K.M. Epidermal “Turnover Time”—A Re-Examination. Br. J. Dermatol. 1972, 86, 14–19. [Google Scholar] [CrossRef] [PubMed]
- Ohno, K.; Kobayashi, Y.; Uesaka, M.; Gotoda, T.; Denda, M.; Kosumi, H.; Watanabe, M.; Natsuga, K.; Nagayama, M. A computational model of the epidermis with the deformable dermis and its application to skin diseases. Sci. Rep. 2021, 11, 13234. [Google Scholar] [CrossRef] [PubMed]
- Orsmond, A.; Bereza-Malcolm, L.; Lynch, T.; March, L.; Xue, M. Skin Barrier Dysregulation in Psoriasis. Int. J. Mol. Sci. 2021, 22, 841. [Google Scholar] [CrossRef] [PubMed]
- Ogawa, E.; Sato, Y.; Minagawa, A.; Okuyama, R. Pathogenesis of psoriasis and development of treatment. J. Dermatol. 2018, 45, 264–272. [Google Scholar] [CrossRef] [PubMed]
- Bruner, C.R.; Feldman, S.R.; Ventrapragada, M.; Fleischer, A.B., Jr. A systematic review of adverse effects associated with topical treatments for psoriasis. Dermatol. Online J. 2003, 9, 2. [Google Scholar] [CrossRef] [PubMed]
- Malatjalian, D.A.; Ross, J.B.; Williams, C.N.; Colwell, S.J.; Eastwood, B.J. Methotrexate hepatotoxicity in psoriatics: Report of 104 patients from Nova Scotia, with analysis of risks from obesity, diabetes and alcohol consumption during long term follow-up. Can. J. Gastroenterol. 1996, 10, 369–375. [Google Scholar] [CrossRef] [PubMed]
- Li, Z.; Xiao, S.; Ren, J.; Zhang, Y.; Tu, C.; Ji, F. Hepatotoxicity due to etanercept abated after dose reduction in a patient with pustular psoriasis and without compromised efficacy. Rev. Esp. Enferm. Dig. 2014, 106, 492–493. [Google Scholar] [PubMed]
- Kalb, R.E.; Fiorentino, D.F.; Lebwohl, M.G.; Toole, J.; Poulin, Y.; Cohen, A.D.; Goyal, K.; Fakharzadeh, S.; Calabro, S.; Chevrier, M.; et al. Risk of Serious Infection With Biologic and Systemic Treatment of Psoriasis: Results From the Psoriasis Longitudinal Assessment and Registry (PSOLAR). JAMA Dermatol. 2015, 151, 961–969. [Google Scholar] [CrossRef] [PubMed]
- Sivamani, R.K.; Goodarzi, H.; Garcia, M.S.; Raychaudhuri, S.P.; Wehrli, L.N.; Ono, Y.; Maverakis, E. Biologic Therapies in the Treatment of Psoriasis: A Comprehensive Evidence-Based Basic Science and Clinical Review and a Practical Guide to Tuberculosis Monitoring. Clin. Rev. Allergy Immunol. 2013, 44, 121–140. [Google Scholar] [CrossRef] [PubMed]
- Nijsten, T.E.; Stern, R.S. The increased risk of skin cancer is persistent after discontinuation of psoralen+ultraviolet A: A cohort study. J. Investig. Dermatol. 2003, 121, 252–258. [Google Scholar] [CrossRef] [PubMed]
- Florek, A.G.; Wang, C.J.; Armstrong, A.W. Treatment preferences and treatment satisfaction among psoriasis patients: A systematic review. Arch. Dermatol. Res. 2018, 310, 271–319. [Google Scholar] [CrossRef] [PubMed]
- Armstrong, A.W.; Robertson, A.D.; Wu, J.L.; Schupp, C.; Lebwohl, M.G. Undertreatment, Treatment Trends, and Treatment Dissatisfaction Among Patients With Psoriasis and Psoriatic Arthritis in the United States Findings From the National Psoriasis Foundation Surveys, 2003–2011. JAMA Dermatol. 2013, 149, 1180–1185. [Google Scholar] [CrossRef] [PubMed]
- Tveit, K.S.; Duvetorp, A.; Østergaard, M.; Skov, L.; Danielsen, K.; Iversen, L.; Seifert, O. Treatment use and satisfaction among patients with psoriasis and psoriatic arthritis: Results from the NORdic PAtient survey of Psoriasis and Psoriatic arthritis (NORPAPP). J. Eur. Acad. Dermatol. Venereol. 2019, 33, 340–354. [Google Scholar] [CrossRef] [PubMed]
- Elkhawaga, O.Y.; Ellety, M.M.; Mofty, S.O.; Ghanem, M.S.; Mohamed, A.O. Review of natural compounds for potential psoriasis treatment. Inflammopharmacology 2023, 31, 1183–1198. [Google Scholar] [CrossRef] [PubMed]
- Koycheva, I.K.; Marchev, A.S.; Stoykova, I.D.; Georgiev, M.I. Natural alternatives targeting psoriasis pathology and key signaling pathways: A focus on phytochemicals. Phytochem. Rev. 2023, 1–27. [Google Scholar] [CrossRef]
- Morin, S.; Simard, M.; Rioux, G.; Julien, P.; Pouliot, R. Alpha-Linolenic Acid Modulates T Cell Incorporation in a 3D Tissue-Engineered Psoriatic Skin Model. Cells 2022, 11, 1513. [Google Scholar] [CrossRef] [PubMed]
- Bélanger, A.; Grenier, A.; Simard, F.; Gendreau, I.; Pichette, A.; Legault, J.; Pouliot, R. Dihydrochalcone Derivatives from Populus balsamifera L. Buds for the Treatment of Psoriasis. Int. J. Mol. Sci. 2019, 21, 256. [Google Scholar] [CrossRef] [PubMed]
- Lavoie, S.; Legault, J.; Simard, F.; Chiasson, É.; Pichette, A. New antibacterial dihydrochalcone derivatives from buds of Populus balsamifera. Tetrahedron Lett. 2013, 54, 1631–1633. [Google Scholar] [CrossRef]
- Gurley, B.; Tonsing-Carter, P.A.; Thomas, S.; Fifer, E. Clinically Relevant Herb-Micronutrient Interactions: When Botanicals, Minerals, and Vitamins Collide. Adv. Nutr. 2018, 9, 524S–532S. [Google Scholar] [CrossRef] [PubMed]
- Huang, W.C.; Dai, Y.W.; Peng, H.L.; Kang, C.W.; Kuo, C.Y.; Liou, C.J. Phloretin ameliorates chemokines and ICAM-1 expression via blocking of the NF-κB pathway in the TNF-α-induced HaCaT human keratinocytes. Int. Immunopharmacol. 2015, 27, 32–37. [Google Scholar] [CrossRef] [PubMed]
- Wu, C.S.; Lin, S.C.; Li, S.; Chiang, Y.C.; Bracci, N.; Lehman, C.W.; Tang, K.T.; Lin, C.C. Phloretin alleviates dinitrochlorobenzene-induced dermatitis in BALB/c mice. Int. J. Immunopathol. Pharmacol. 2020, 34, 2058738420929442. [Google Scholar] [CrossRef]
- Kum, H.; Roh, K.B.; Shin, S.; Jung, K.; Park, D.; Jung, E. Evaluation of anti-acne properties of phloretin in vitro and in vivo. Int. J. Cosmet. Sci. 2016, 38, 85–92. [Google Scholar] [CrossRef]
- Lu, X.Y.; Zeng, Y.Y.; Ye, Y.X.; Zhou, Y.Y.; Mu, J.J.; Zhao, X.H. Anti-inflammatory and immunosuppressive effect of phloretin. Yao Xue Xue Bao 2009, 44, 480–485. [Google Scholar] [PubMed]
- Carrascosa, J.M.; de la Cueva, P.; Ara, M.; Puig, L.; Bordas, X.; Carretero, G.; Ferrándiz, L.; Sánchez-Carazo, J.L.; Daudén, E.; López-Estebaranz, J.L.; et al. Methotrexate in Moderate to Severe Psoriasis: Review of the Literature and Expert Recommendations. Actas Dermo-Sifiliográficas 2016, 107, 194–206. [Google Scholar] [CrossRef] [PubMed]
- Martin, G.; Guérard, S.; Fortin, M.M.; Rusu, D.; Soucy, J.; Poubelle, P.E.; Pouliot, R. Pathological crosstalk in vitro between T lymphocytes and lesional keratinocytes in psoriasis: Necessity of direct cell-to-cell contact. Lab. Investig. 2012, 92, 1058–1070. [Google Scholar] [CrossRef]
- Xintaropoulou, C.; Ward, C.; Wise, A.; Marston, H.; Turnbull, A.; Langdon, S.P. A comparative analysis of inhibitors of the glycolysis pathway in breast and ovarian cancer cell line models. Oncotarget 2015, 6, 25677–25695. [Google Scholar] [CrossRef]
- Zhu, J.; Thompson, C.B. Metabolic regulation of cell growth and proliferation. Nat. Rev. Mol. Cell Biol. 2019, 20, 436–450. [Google Scholar] [CrossRef] [PubMed]
- Warren, R.B.; Weatherhead, S.C.; Smith, C.H.; Exton, L.S.; Mohd Mustapa, M.F.; Kirby, B.; Yesudian, P.D. British Association of Dermatologists’ guidelines for the safe and effective prescribing of methotrexate for skin disease 2016. Br. J. Dermatol. 2016, 175, 23–44. [Google Scholar] [CrossRef] [PubMed]
- National Health Service, How and When to Take Methotrexate. 2023. Available online: https://www.nhs.uk/medicines/methotrexate/how-and-when-to-take-methotrexate/ (accessed on 19 March 2024).
- Bouchard, C.; Grenier, A.; Cardinal, S.; Bélanger, S.; Voyer, N.; Pouliot, R. Antipsoriatic Potential of Quebecol and Its Derivatives. Pharmaceutics 2022, 14, 1129. [Google Scholar] [CrossRef] [PubMed]
- Sawhney, N.; Hall, P.A. Ki67—structure, function, and new antibodies. J. Pathol. 1992, 168, 161–162. [Google Scholar] [CrossRef] [PubMed]
- Yuan, J.; Wang, L.; Qu, A.; Chen, J.; Xiang, Q.; Chen, C.; Sun, S.-R.; Pang, D.-W.; Liu, J. Quantum Dots-Based Quantitative and In Situ Multiple Imaging on Ki67 and Cytokeratin to Improve Ki67 Assessment in Breast Cancer. PLoS ONE 2015, 10, e0122734. [Google Scholar] [CrossRef] [PubMed]
- Ihmann, T.; Liu, J.; Schwabe, W.; Häusler, P.; Behnke, D.; Bruch, H.P.; Broll, R.; Windhövel, U.; Duchrow, M. High-level mRNA quantification of proliferation marker pKi-67 is correlated with favorable prognosis in colorectal carcinoma. J. Cancer Res. Clin. Oncol. 2004, 130, 749–756. [Google Scholar] [CrossRef] [PubMed]
- Gerdes, J.; Lemke, H.; Baisch, H.; Wacker, H.H.; Schwab, U.; Stein, H. Cell cycle analysis of a cell proliferation-associated human nuclear antigen defined by the monoclonal antibody Ki-67. J. Immunol. 1984, 133, 1710–1715. [Google Scholar] [CrossRef] [PubMed]
- Sun, X.; Kaufman, P.D. Ki-67: More than a proliferation marker. Chromosoma 2018, 127, 175–186. [Google Scholar] [CrossRef]
- Lopez, F.; Belloc, F.; Lacombe, F.; Dumain, P.; Reiffers, J.; Bernard, P.; Boisseau, M.R. Modalities of synthesis of Ki67 antigen during the stimulation of lymphocytes. Cytometry 1991, 12, 42–49. [Google Scholar] [CrossRef]
- Ortiz-Lopez, L.I.; Choudhary, V.; Bollag, W.B. Updated Perspectives on Keratinocytes and Psoriasis: Keratinocytes are More Than Innocent Bystanders. Psoriasis 2022, 12, 73–87. [Google Scholar] [CrossRef]
- Doger, F.K.; Dikicioglu, E.; Ergin, F.; Unal, E.; Sendur, N.; Uslu, M. Nature of cell kinetics in psoriatic epidermis. J. Cutan. Pathol. 2007, 34, 257–263. [Google Scholar] [CrossRef] [PubMed]
- Khairutdinov, V.R.; Mikhailichenko, A.F.; Belousova, I.E.; Kuligina, E.S.; Samtsov, A.V.; Imyanitov, E.N. The role of intradermal proliferation of T-cells in the pathogenesis of psoriasis. Bras. Dermatol. 2017, 92, 41–44. [Google Scholar] [CrossRef] [PubMed]
- Yazici, A.C.; Tursen, U.; Apa, D.D.; Ikizoglu, G.; Api, H.; Baz, K.; Tasdelen, B. The changes in expression of ICAM-3, Ki-67, PCNA, and CD31 in psoriatic lesions before and after methotrexate treatment. Arch. Dermatol. Res. 2005, 297, 249–255. [Google Scholar] [CrossRef] [PubMed]
- Niehues, H.; Rikken, G.; van Vlijmen-Willems, I.M.J.J.; Rodijk-Olthuis, D.; van Erp, P.E.J.; Zeeuwen, P.L.J.M.; Schalkwijk, J.; van den Bogaard, E.H. Identification of Keratinocyte Mitogens: Implications for Hyperproliferation in Psoriasis and Atopic Dermatitis. JID Innov. 2022, 2, 100066. [Google Scholar] [CrossRef] [PubMed]
- Strzalka, W.; Ziemienowicz, A. Proliferating cell nuclear antigen (PCNA): A key factor in DNA replication and cell cycle regulation. Ann. Bot. 2011, 107, 1127–1140. [Google Scholar] [CrossRef] [PubMed]
- Bologna-Molina, R.; Mosqueda-Taylor, A.; Molina-Frechero, N.; Mori-Estevez, A.D.; Sánchez-Acuña, G. Comparison of the value of PCNA and Ki-67 as markers of cell proliferation in ameloblastic tumors. Med. Oral. Patol. Oral. Cir. Bucal 2013, 18, e174–e179. [Google Scholar] [CrossRef] [PubMed]
- Kelman, Z. PCNA: Structure, functions and interactions. Oncogene 1997, 14, 629–640. [Google Scholar] [CrossRef] [PubMed]
- Hwang, Y.J.; Na, J.I.; Byun, S.Y.; Kwon, S.H.; Yang, S.H.; Lee, H.S.; Choi, H.R.; Cho, S.; Youn, S.W.; Park, K.C. Histone Deacetylase 1 and Sirtuin 1 Expression in Psoriatic Skin: A Comparison between Guttate and Plaque Psoriasis. Life 2020, 10, 157. [Google Scholar] [CrossRef] [PubMed]
- Lorthois, I.; Simard, M.; Morin, S.; Pouliot, R. Infiltration of T Cells into a Three-Dimensional Psoriatic Skin Model Mimics Pathological Key Features. Int. J. Mol. Sci. 2019, 20, 1670. [Google Scholar] [CrossRef] [PubMed]
- Myoung, H.; Kim, M.J.; Lee, J.H.; Ok, Y.J.; Paeng, J.Y.; Yun, P.Y. Correlation of proliferative markers (Ki-67 and PCNA) with survival and lymph node metastasis in oral squamous cell carcinoma: A clinical and histopathological analysis of 113 patients. Int. J. Oral. Maxillofac. Surg. 2006, 35, 1005–1010. [Google Scholar] [CrossRef] [PubMed]
- Barrett, T.L.; Smith, K.J.; Hodge, J.J.; Butler, R.; Hall, F.W.; Skelton, H.G. Immunohistochemical nuclear staining for p53, PCNA, and Ki-67 in different histologic variants of basal cell carcinoma. J. Am. Acad. Dermatol. 1997, 37 Pt 1, 430–437. [Google Scholar] [CrossRef] [PubMed]
- Mighell, A. Proliferating cell nuclear antigen. Oral. Surg. Oral. Med. Oral. Pathol. Oral. Radiol. Endod. 1995, 80, 3–4. [Google Scholar] [CrossRef] [PubMed]
- Lembo, S.; Capasso, R.; Balato, A.; Cirillo, T.; Flora, F.; Zappia, V.; Balato, N.; Ingrosso, D.; Ayala, F. MCP-1 in psoriatic patients: Effect of biological therapy. J. Dermatol. Treat. 2014, 25, 83–86. [Google Scholar] [CrossRef] [PubMed]
- Carr, M.W.; Roth, S.J.; Luther, E.; Rose, S.S.; Springer, T.A. Monocyte chemoattractant protein 1 acts as a T-lymphocyte chemoattractant. Proc. Natl. Acad. Sci. USA 1994, 91, 3652–3656. [Google Scholar] [CrossRef] [PubMed]
- Liddle, D.M.; Kavanagh, M.E.; Wright, A.J.; Robinson, L.E. Apple Flavonols Mitigate Adipocyte Inflammation and Promote Angiogenic Factors in LPS- and Cobalt Chloride-Stimulated Adipocytes, in Part by a Peroxisome Proliferator-Activated Receptor-γ-Dependent Mechanism. Nutrients 2020, 12, 1386. [Google Scholar] [CrossRef] [PubMed]
- Dai, Y.J.; Li, Y.Y.; Zeng, H.M.; Liang, X.A.; Xie, Z.J.; Zheng, Z.A.; Pan, Q.H.; Xing, Y.X. Effect of pharmacological intervention on MIP-1α, MIP-1β and MCP-1 expression in patients with psoriasis vulgaris. Asian Pac. J. Trop. Med. 2014, 7, 582–584. [Google Scholar] [CrossRef] [PubMed]
- Dorner, B.G.; Scheffold, A.; Rolph, M.S.; Huser, M.B.; Kaufmann, S.H.; Radbruch, A.; Flesch, I.E.; Kroczek, R.A. MIP-1alpha, MIP-1beta, RANTES, and ATAC/lymphotactin function together with IFN-gamma as type 1 cytokines. Proc. Natl. Acad. Sci. USA 2002, 99, 6181–6186. [Google Scholar] [CrossRef] [PubMed]
- Fukuoka, M.; Ogino, Y.; Sato, H.; Ohta, T.; Komoriya, K.; Nishioka, K.; Katayama, I. RANTES expression in psoriatic skin, and regulation of RANTES and IL-8 production in cultured epidermal keratinocytes by active vitamin D3 (tacalcitol). Br. J. Dermatol. 1998, 138, 63–70. [Google Scholar] [CrossRef] [PubMed]
- de Groot, M.; Teunissen, M.B.; Ortonne, J.P.; Lambert, J.R.; Naeyaert, J.M.; Picavet, D.I.; Arreaza, M.G.; Simon, J.S.; Kraan, M.; Bos, J.D.; et al. Expression of the chemokine receptor CCR5 in psoriasis and results of a randomized placebo controlled trial with a CCR5 inhibitor. Arch. Dermatol. Res. 2007, 299, 305–313. [Google Scholar] [CrossRef] [PubMed]
- Boiardi, L.; Macchioni, P.; Meliconi, R.; Pulsatelli, L.; Facchini, A.; Salvarani, C. Relationship between serum RANTES levels and radiological progression in rheumatoid arthritis patients treated with methotrexate. Clin. Exp. Rheumatol. 1999, 17, 419–425. [Google Scholar] [PubMed]
- Katakura, F.; Nishiya, K.; Wentzel, A.S.; Hino, E.; Miyamae, J.; Okano, M.; Wiegertjes, G.F.; Moritomo, T. Paralogs of Common Carp Granulocyte Colony-Stimulating Factor (G-CSF) Have Different Functions Regarding Development, Trafficking and Activation of Neutrophils. Front. Immunol. 2019, 10, 255. [Google Scholar] [CrossRef] [PubMed]
- Wang, L.; Pan, J.; Jin, H. Profiling and multivariate analysis of serum cytokines in patients with generalized pustular psoriasis. Eur. J. Inflamm. 2022, 20, 20587392221076450. [Google Scholar] [CrossRef]
- Marrakchi, S.; Puig, L. Pathophysiology of Generalized Pustular Psoriasis. Am. J. Clin. Dermatol. 2022, 23 (Suppl. S1), 13–19. [Google Scholar] [CrossRef] [PubMed]
- Fordham, J.B.; Naqvi, A.R.; Nares, S. Leukocyte production of inflammatory mediators is inhibited by the antioxidants phloretin, silymarin, hesperetin, and resveratrol. Mediat. Inflamm. 2014, 2014, 938712. [Google Scholar] [CrossRef] [PubMed]
- Al-Mossawi, M.H.; Ridley, A.; Chen, L.Y.; de Wit, J.; Bowness, P. Role of lymphocytes producing GM-CSF in human spondyloarthritis. Lancet 2017, 389, 21. [Google Scholar] [CrossRef]
- Takematsu, H.; Tagami, H. Granulocyte-macrophage colony-stimulating factor in psoriasis. Dermatologica 1990, 181, 16–20. [Google Scholar] [CrossRef] [PubMed]
- Hamilton, J.A.; Anderson, G.P. GM-CSF biology. Growth Factors 2004, 22, 225–231. [Google Scholar] [CrossRef] [PubMed]
- Lotfi, N.; Thome, R.; Rezaei, N.; Zhang, G.-X.; Rezaei, A.; Rostami, A.; Esmaeil, N. Roles of GM-CSF in the Pathogenesis of Autoimmune Diseases: An Update. Front. Immunol. 2019, 10, 1265. [Google Scholar] [CrossRef] [PubMed]
- Lecewicz-Torun, B.; Chodorowska, G.; Borowiec, M.; Wojnowska, D.; Jazienicka, I.; Czelej, D. Granulocyte-macrophage colony stimulating factor in plasma of psoriatic patients. In Proceedings of the 10th Congress of the European-Academy-of-Dermatology-and-Venereology, Munich, Germany, 10–14 October 2001; pp. 379–382. [Google Scholar]
- Gruaz, D.; Didierjean, L.; Grassi, J.; Frobert, Y.; Dayer, J.M.; Saurat, J.H. Interleukin-1 Alpha and Beta in Psoriatic Skin—Enzymoimmunoassay, Immunoblot Studies and Effect of Systemic Retinoids. Dermatologica 1989, 179, 202–206. [Google Scholar] [CrossRef] [PubMed]
- Tamilselvi, E.; Haripriya, D.; Hemamalini, M.; Pushpa, G.; Swapna, S. Association of disease severity with IL-1 levels in methotrexate-treated psoriasis patients. Scand. J. Immunol. 2013, 78, 545–553. [Google Scholar] [CrossRef] [PubMed]
- Van Den Eeckhout, B.; Tavernier, J.; Gerlo, S. Interleukin-1 as Innate Mediator of T Cell Immunity. Front. Immunol. 2020, 11, 621931. [Google Scholar] [CrossRef] [PubMed]
- Heufler, C.; Koch, F.; Schuler, G. Granulocyte/macrophage colony-stimulating factor and interleukin 1 mediate the maturation of murine epidermal Langerhans cells into potent immunostimulatory dendritic cells. J. Exp. Med. 1988, 167, 700–705. [Google Scholar] [CrossRef] [PubMed]
- Cai, Y.; Xue, F.; Quan, C.; Qu, M.; Liu, N.; Zhang, Y.; Fleming, C.; Hu, X.; Zhang, H.G.; Weichselbaum, R.; et al. A Critical Role of the IL-1β-IL-1R Signaling Pathway in Skin Inflammation and Psoriasis Pathogenesis. J. Investig. Dermatol. 2019, 139, 146–156. [Google Scholar] [CrossRef]
- Ross, S.H.; Cantrell, D.A. Signaling and Function of Interleukin-2 in T Lymphocytes. Annu. Rev. Immunol. 2018, 36, 411–433. [Google Scholar] [CrossRef] [PubMed]
- Rioux, G.; Simard, M.; Morin, S.; Lorthois, I.; Guérin, S.L.; Pouliot, R. Development of a 3D psoriatic skin model optimized for infiltration of IL-17A producing T cells: Focus on the crosstalk between T cells and psoriatic keratinocytes. Acta Biomater. 2021, 136, 210–222. [Google Scholar] [CrossRef]
- Wrone-Smith, T.; Nickoloff, B.J. Dermal injection of immunocytes induces psoriasis. J. Clin. Investig. 1996, 98, 1878–1887. [Google Scholar] [CrossRef]
- Laurence, A.; Tato, C.M.; Davidson, T.S.; Kanno, Y.; Chen, Z.; Yao, Z.; Blank, R.B.; Meylan, F.; Siegel, R.; Hennighausen, L.; et al. Interleukin-2 signaling via STAT5 constrains T helper 17 cell generation. Immunity 2007, 26, 371–381. [Google Scholar] [CrossRef]
- Kim, J.; Moreno, A.; Krueger, J.G. The imbalance between Type 17 T-cells and regulatory immune cell subsets in psoriasis vulgaris. Front. Immunol. 2022, 13, 1005115. [Google Scholar] [CrossRef]
- Qiao, Z.S.; Zhao, W.P.; Liu, Y.; Feng, W.L.; Ma, Y.; Jin, H.Z. Low-dose Interleukin-2 For Psoriasis Therapy Based on the Regulation of Th17/Treg Cell Balance in Peripheral Blood. Inflammation 2023, 46, 2359–2373. [Google Scholar] [CrossRef]
- Sharfe, N.; Dadi, H.K.; Shahar, M.; Roifman, C.M. Human immune disorder arising from mutation of the alpha chain of the interleukin-2 receptor. Proc. Natl. Acad. Sci. USA 1997, 94, 3168–3171. [Google Scholar] [CrossRef]
- Todd, J.A. Etiology of type 1 diabetes. Immunity 2010, 32, 457–467. [Google Scholar] [CrossRef] [PubMed]
- Grossman, R.M.; Krueger, J.; Yourish, D.; Granelli-Piperno, A.; Murphy, D.P.; May, L.T.; Kupper, T.S.; Sehgal, P.B.; Gottlieb, A.B. Interleukin 6 is expressed in high levels in psoriatic skin and stimulates proliferation of cultured human keratinocytes. Proc. Natl. Acad. Sci. USA 1989, 86, 6367–6371. [Google Scholar] [CrossRef] [PubMed]
- Taniguchi, K.; Arima, K.; Masuoka, M.; Ohta, S.; Shiraishi, H.; Ontsuka, K.; Suzuki, S.; Inamitsu, M.; Yamamoto, K.-I.; Simmons, O.; et al. Periostin Controls Keratinocyte Proliferation and Differentiation by Interacting with the Paracrine IL-1α/IL-6 Loop. J. Investig. Dermatol. 2014, 134, 1295–1304. [Google Scholar] [CrossRef] [PubMed]
- Smola, H.; Thiekötter, G.; Fusenig, N.E. Mutual induction of growth factor gene expression by epidermal-dermal cell interaction. J. Cell Biol. 1993, 122, 417–429. [Google Scholar] [CrossRef] [PubMed]
- Huang, W.C.; Lai, C.L.; Liang, Y.T.; Hung, H.C.; Liu, H.C.; Liou, C.J. Phloretin attenuates LPS-induced acute lung injury in mice via modulation of the NF-κB and MAPK pathways. Int. Immunopharmacol. 2016, 40, 98–105. [Google Scholar] [CrossRef] [PubMed]
- Lee, J.H.; Regmi, S.C.; Kim, J.A.; Cho, M.H.; Yun, H.; Lee, C.S.; Lee, J. Apple flavonoid phloretin inhibits Escherichia coli O157:H7 biofilm formation and ameliorates colon inflammation in rats. Infect. Immun. 2011, 79, 4819–4827. [Google Scholar] [CrossRef] [PubMed]
- Morita, Y.; Fukazawa, T.; Hirashima, M.; Kaga, K.; Kusaoi, M.; Morita, T.; Touyama, S.; Morita, K.; Takasaki, Y.; Hashimoto, H. The effect of methotrexate (MTX) on expression of signalling lymphocytic activation molecule (SLAM) in patients with rheumatoid arthritis (RA) and its role in the regulation of cytokine production. Scand. J. Rheumatol. 2006, 35, 268–272. [Google Scholar] [CrossRef] [PubMed]
- Kapoor, S.; Padwad, Y.S. Phloretin suppresses intestinal inflammation and maintained epithelial tight junction integrity by modulating cytokines secretion in in vitro model of gut inflammation. Cell. Immunol. 2023, 391–392, 104754. [Google Scholar] [CrossRef] [PubMed]
- Altin, J.G.; Sloan, E.K. The role of CD45 and CD45-associated molecules in T cell activation. Immunol. Cell Biol. 1997, 75, 430–445. [Google Scholar] [CrossRef]
- Alsarraf, J.; Bilodeau, J.-F.; Legault, J.; Simard, F.; Pichette, A. Exploring the Biomass-Derived Chemical Space Emerging from Natural Dihydrochalcones through the Single-Step Hemisynthesis of Antibacterial Balsacones. ACS Sustain. Chem. Eng. 2020, 8, 6194–6199. [Google Scholar] [CrossRef]
- Ardaillou, A.; Alsarraf, J.; Legault, J.; Simard, F.; Pichette, A. Hemisynthesis and Biological Evaluation of Cinnamylated, Benzylated, and Prenylated Dihydrochalcones from a Common Bio-Sourced Precursor. Antibiotcs 2021, 10, 620. [Google Scholar] [CrossRef] [PubMed]
- Gosch, C.; Halbwirth, H.; Stich, K. Phloridzin: Biosynthesis, distribution and physiological relevance in plants. Phytochemistry 2010, 71, 838–843. [Google Scholar] [CrossRef] [PubMed]
- Germain, L.; Rouabhia, M.; Guignard, R.; Carrier, L.; Bouvard, V.; Auger, F.A. Improvement of Human Keratinocyte Isolation and Culture Using Thermolysin. Burns 1993, 19, 99–104. [Google Scholar] [CrossRef] [PubMed]
- Vichai, V.; Kirtikara, K. Sulforhodamine B colorimetric assay for cytotoxicity screening. Nat. Protoc. 2006, 1, 1112–1116. [Google Scholar] [CrossRef] [PubMed]






| Compound | IC50 (μM) a | Cellular Metabolic Activity (%) b |
|---|---|---|
| Balsacone C (BALS C) | 125 | 61 |
| Phloretin (PHLO) | 166 | 73 |
| Age | Sex | Region of the Biopsy | Percentage of Body Surface Involved | Treatments Received |
|---|---|---|---|---|
| 36 | Female | Back | 5% of the body | NA |
| 46 | Male | Lower back | NA | NA |
| 49 | Male | Back | 10% of the body | Methotrexate |
| 65 | Female | Back | 20% of the body | PUVA therapy, methotrexate, alefacept, and under methotrexate on the day of the biopsy |
| 69 | Female | Back | 15% of the body | Methotrexate and UVB before/biopsy performed before the new treatment |
Disclaimer/Publisher’s Note: The statements, opinions and data contained in all publications are solely those of the individual author(s) and contributor(s) and not of MDPI and/or the editor(s). MDPI and/or the editor(s) disclaim responsibility for any injury to people or property resulting from any ideas, methods, instructions or products referred to in the content. |
© 2024 by the authors. Licensee MDPI, Basel, Switzerland. This article is an open access article distributed under the terms and conditions of the Creative Commons Attribution (CC BY) license (https://creativecommons.org/licenses/by/4.0/).
Share and Cite
Ruel, Y.; Moawad, F.; Alsarraf, J.; Pichette, A.; Legault, J.; Brambilla, D.; Pouliot, R. Antiproliferative and Anti-Inflammatory Effects of the Polyphenols Phloretin and Balsacone C in a Coculture of T Cells and Psoriatic Keratinocytes. Int. J. Mol. Sci. 2024, 25, 5639. https://doi.org/10.3390/ijms25115639
Ruel Y, Moawad F, Alsarraf J, Pichette A, Legault J, Brambilla D, Pouliot R. Antiproliferative and Anti-Inflammatory Effects of the Polyphenols Phloretin and Balsacone C in a Coculture of T Cells and Psoriatic Keratinocytes. International Journal of Molecular Sciences. 2024; 25(11):5639. https://doi.org/10.3390/ijms25115639
Chicago/Turabian StyleRuel, Yasmine, Fatma Moawad, Jérôme Alsarraf, André Pichette, Jean Legault, Davide Brambilla, and Roxane Pouliot. 2024. "Antiproliferative and Anti-Inflammatory Effects of the Polyphenols Phloretin and Balsacone C in a Coculture of T Cells and Psoriatic Keratinocytes" International Journal of Molecular Sciences 25, no. 11: 5639. https://doi.org/10.3390/ijms25115639
APA StyleRuel, Y., Moawad, F., Alsarraf, J., Pichette, A., Legault, J., Brambilla, D., & Pouliot, R. (2024). Antiproliferative and Anti-Inflammatory Effects of the Polyphenols Phloretin and Balsacone C in a Coculture of T Cells and Psoriatic Keratinocytes. International Journal of Molecular Sciences, 25(11), 5639. https://doi.org/10.3390/ijms25115639

