Effects of a High-Protein Diet on Kidney Injury under Conditions of Non-CKD or CKD in Mice
Abstract
1. Introduction
2. Results
2.1. HPD Loading Did Not Increase the Systolic Blood Pressure in Sham-Operated or Remnant Kidney Mice
2.2. HPD Loading Increased the Creatinine Clearance in Sham-Operated Mice and Urinary Albumin Excretion in Remnant Kidney Mice
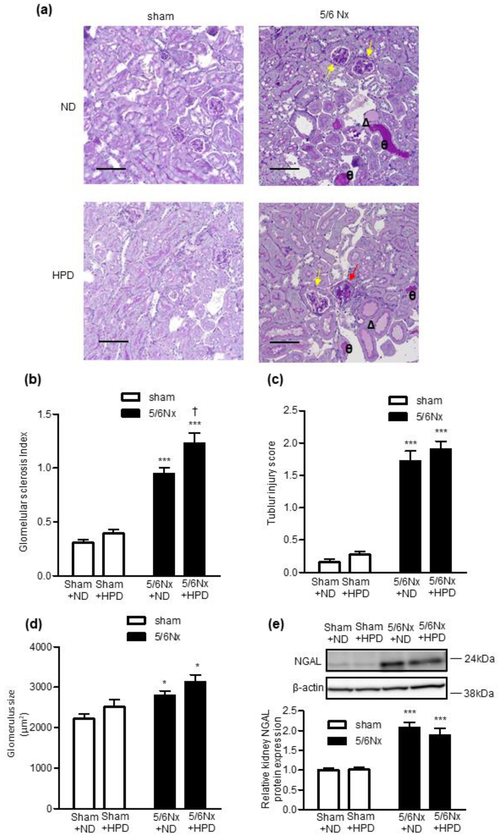
2.3. HPD Loading Exacerbated Glomerular Injury in Remnant Kidney Mice
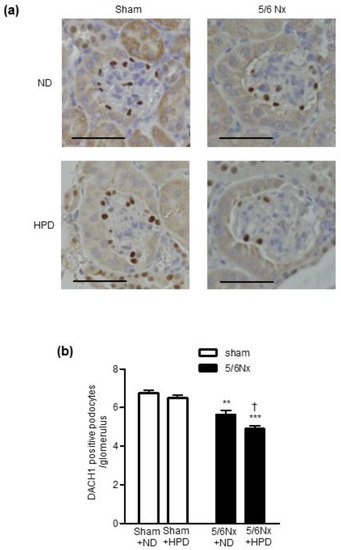
2.4. HPD Loading Exacerbated Podocyte Injury in Remnant Kidney Mice
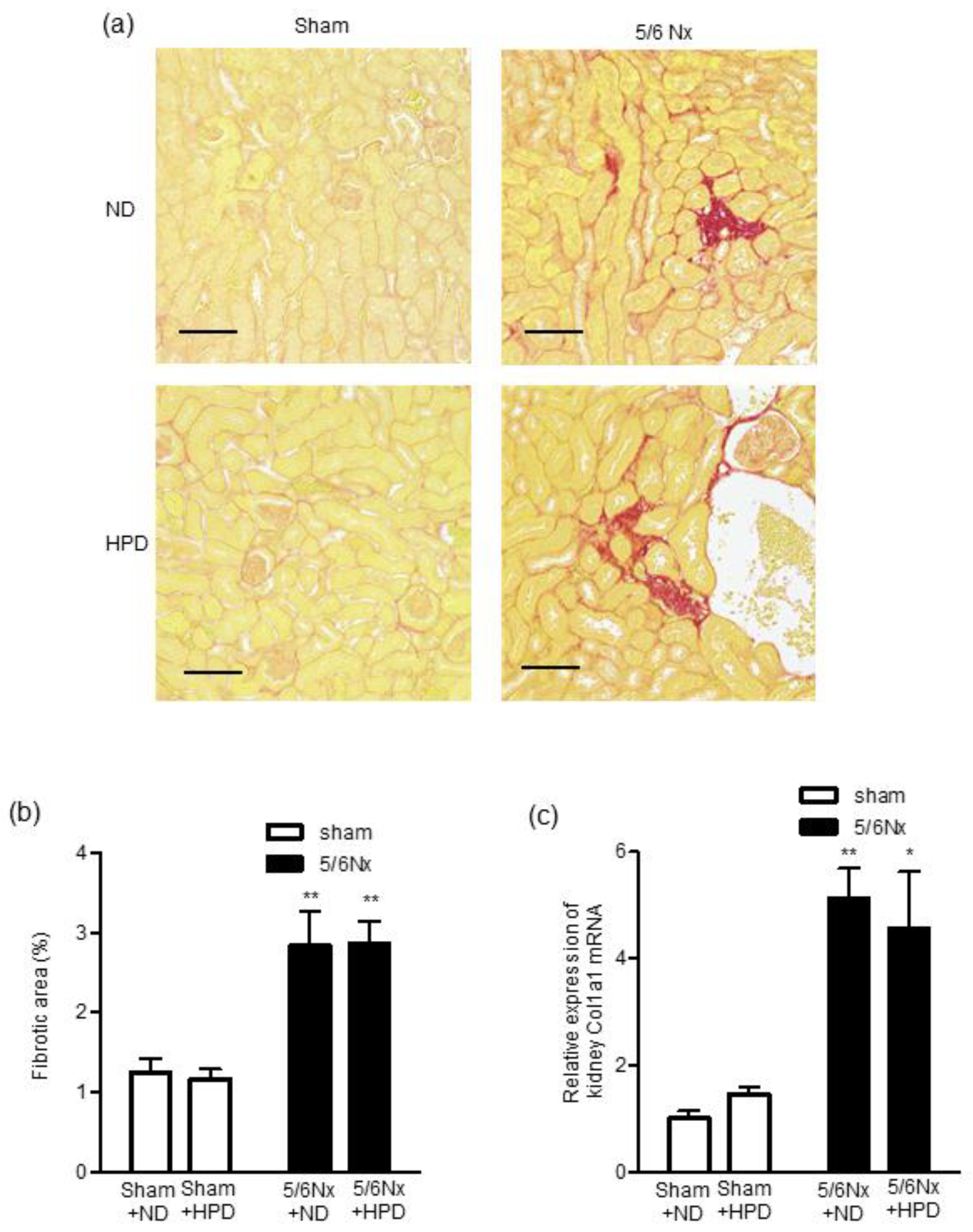
2.5. HPD Loading Did Not Exacerbate Tubulointerstitial Fibrosis and Fibrosis-Related Genes in Sham-Operated or Remnant Kidney Mice
3. Discussion
4. Materials and Methods
4.1. Animals
4.2. Methods of 5/6 Nephrectomy and High-Protein Diet Loading
4.3. BP Measurement
4.4. Biochemical Analysis
4.5. Metabolic Cage Analysis
4.6. Histological Analysis
4.7. Real-Time Quantitative Reverse Transcription Polymerase Chain Reaction (PCR) Analysis
4.8. Western Blotting Analysis
4.9. Statistical Analysis
Supplementary Materials
Author Contributions
Funding
Institutional Review Board Statement
Informed Consent Statement
Data Availability Statement
Acknowledgments
Conflicts of Interest
Abbreviations
| BP | Blood pressure |
| BUN | Blood urea nitrogen |
| BW | Body weight |
| CKD | Chronic kidney disease |
| DACH1 | Dachshund family transcription factor 1 |
| GFR | Glomerular filtration rate |
| HPD | High-protein diet |
| NGAL | Neutrophil gelatinase-associated lipocalin |
| ND | Normal diet |
| Nx | Nephrectomy |
| PAS | Periodic acid–Schiff |
| PSR | Picrosirius red |
References
- Hartman, J.W.; Tang, J.E.; Wilkinson, S.B.; Tarnopolsky, M.A.; Lawrence, R.L.; Fullerton, A.V.; Phillips, S.M. Consumption of Fat-Free Fluid Milk after Resistance Exercise Promotes Greater Lean Mass Accretion than Does Consumption of Soy or Carbohydrate in Young, Novice, Male Weightlifters. Am. J. Clin. Nutr. 2007, 86, 373–381. [Google Scholar] [CrossRef] [PubMed]
- Bauer, J.; Biolo, G.; Cederholm, T.; Cesari, M.; Cruz-Jentoft, A.J.; Morley, J.E.; Phillips, S.; Sieber, C.; Stehle, P.; Teta, D.; et al. Evidence-Based Recommendations for Optimal Dietary Protein Intake in Older People: A Position Paper from the PROT-AGE Study Group. J. Am. Med. Dir. Assoc. 2013, 14, 542–559. [Google Scholar] [CrossRef] [PubMed]
- Deutz, N.E.P.; Bauer, J.M.; Barazzoni, R.; Biolo, G.; Boirie, Y.; Bosy-Westphal, A.; Cederholm, T.; Cruz-Jentoft, A.; Krznariç, Z.; Nair, K.S.; et al. Protein Intake and Exercise for Optimal Muscle Function with Aging: Recommendations from the ESPEN Expert Group. Clin. Nutr. 2014, 33, 929–936. [Google Scholar] [CrossRef] [PubMed]
- Kerstetter, J.E.; Caseria, D.M.; Mitnick, M.E.; Ellison, A.F.; Gay, L.F.; Liskov, T.A.; Carpenter, T.O.; Insogna, K.L. Increased Circulating Concentrations of Parathyroid Hormone in Healthy, Young Women Consuming a Protein-Restricted Diet. Am. J. Clin. Nutr. 1997, 66, 1188–1196. [Google Scholar] [CrossRef]
- Kerstetter, J.E.; O’Brien, K.O.; Caseria, D.M.; Wall, D.E.; Insogna, K.L. The Impact of Dietary Protein on Calcium Absorption and Kinetic Measures of Bone Turnover in Women. J. Clin. Endocrinol. Metab. 2005, 90, 26–31. [Google Scholar] [CrossRef]
- Munger, R.G.; Cerhan, J.R.; Chiu, B.C. Prospective Study of Dietary Protein Intake and Risk of Hip Fracture in Postmenopausal Women. Am. J. Clin. Nutr. 1999, 69, 147–152. [Google Scholar] [CrossRef]
- Energy and Protein Requirements. Report of a Joint FAO/WHO/UNU Expert Consultation. World Health Organ. Tech. Rep. Ser. 1985, 724, 1–206. [Google Scholar]
- Rand, W.M.; Pellett, P.L.; Young, V.R. Meta-Analysis of Nitrogen Balance Studies for Estimating Protein Requirements in Healthy Adults. Am. J. Clin. Nutr. 2003, 77, 109–127. [Google Scholar] [CrossRef]
- Skov, A.; Toubro, S.; Rønn, B.; Holm, L.; Astrup, A. Randomized Trial on Protein vs Carbohydrate in Ad Libitum Fat Reduced Diet for the Treatment of Obesity. Int. J. Obes. 1999, 23, 528–536. [Google Scholar] [CrossRef]
- Westerterp, K.R.; Wilson, S.A.; Rolland, V. Diet Induced Thermogenesis Measured over 24h in a Respiration Chamber: Effect of Diet Composition. Int. J. Obes. Relat. Metab. Disord. 1999, 23, 287–292. [Google Scholar] [CrossRef]
- Wycherley, T.P.; Moran, L.J.; Clifton, P.M.; Noakes, M.; Brinkworth, G.D. Effects of Energy-Restricted High-Protein, Low-Fat Compared with Standard-Protein, Low-Fat Diets: A Meta-Analysis of Randomized Controlled Trials. Am. J. Clin. Nutr. 2012, 96, 1281–1298. [Google Scholar] [CrossRef]
- Josse, A.R.; Atkinson, S.A.; Tarnopolsky, M.A.; Phillips, S.M. Increased Consumption of Dairy Foods and Protein during Diet- and Exercise-Induced Weight Loss Promotes Fat Mass Loss and Lean Mass Gain in Overweight and Obese Premenopausal Women. J. Nutr. 2011, 141, 1626–1634. [Google Scholar] [CrossRef]
- Gannon, M.C.; Nuttall, F.Q.; Saeed, A.; Jordan, K.; Hoover, H. An Increase in Dietary Protein Improves the Blood Glucose Response in Persons with Type 2 Diabetes. Am. J. Clin. Nutr. 2003, 78, 734–741. [Google Scholar] [CrossRef]
- Gannon, M.C.; Nuttall, F.Q. Effect of a High-Protein, Low-Carbohydrate Diet on Blood Glucose Control in People with Type 2 Diabetes. Diabetes 2004, 53, 2375–2382. [Google Scholar] [CrossRef]
- Layman, D.K.; Shiue, H.; Sather, C.; Erickson, D.J.; Baum, J. Increased Dietary Protein Modifies Glucose and Insulin Homeostasis in Adult Women during Weight Loss. J. Nutr. 2003, 133, 405–410. [Google Scholar] [CrossRef]
- Fumeron, F.; Lamri, A.; Abi Khalil, C.; Jaziri, R.; Porchay-Baldérelli, I.; Lantieri, O.; Vol, S.; Balkau, B.; Marre, M.; Data from the Epidemiological Study on the Insulin Resistance Syndrome (DESIR) Study Group. Dairy Consumption and the Incidence of Hyperglycemia and the Metabolic Syndrome: Results from a French Prospective Study, Data from the Epidemiological Study on the Insulin Resistance Syndrome (DESIR). Diabetes Care 2011, 34, 813–817. [Google Scholar] [CrossRef]
- Fumeron, F.; Lamri, A.; Emery, N.; Bellili, N.; Jaziri, R.; Porchay-Baldérelli, I.; Lantieri, O.; Balkau, B.; Marre, M.; DESIR Study Group. Dairy Products and the Metabolic Syndrome in a Prospective Study, DESIR. J. Am. Coll. Nutr. 2011, 30 (Suppl. 1), 454S–463S. [Google Scholar] [CrossRef]
- National Kidney Foundation. K/DOQI Clinical Practice Guidelines for Chronic Kidney Disease: Evaluation, Classification, and Stratification. Am. J. Kidney Dis. 2002, 39 (Suppl. 1), S1–S266. [Google Scholar]
- Patel, S.S.; Kimmel, P.L.; Singh, A. New Clinical Practice Guidelines for Chronic Kidney Disease: A Framework for K/DOQI. Semin. Nephrol. 2002, 22, 449–458. [Google Scholar] [CrossRef]
- Hallan, S.I.; Matsushita, K.; Sang, Y.; Mahmoodi, B.K.; Black, C.; Ishani, A.; Kleefstra, N.; Naimark, D.; Roderick, P.; Tonelli, M.; et al. Age and Association of Kidney Measures with Mortality and End-Stage Renal Disease. JAMA 2012, 308, 2349–2360. [Google Scholar] [CrossRef]
- Sarnak, M.J.; Levey, A.S.; Schoolwerth, A.C.; Coresh, J.; Culleton, B.; Hamm, L.L.; McCullough, P.A.; Kasiske, B.L.; Kelepouris, E.; Klag, M.J.; et al. Kidney Disease as a Risk Factor for Development of Cardiovascular Disease: A Statement from the American Heart Association Councils on Kidney in Cardiovascular Disease, High Blood Pressure Research, Clinical Cardiology, and Epidemiology and Prevention. Circulation 2003, 108, 2154–2169. [Google Scholar] [CrossRef] [PubMed]
- Chronic Kidney Disease Prognosis Consortium; Matsushita, K.; van der Velde, M.; Astor, B.C.; Woodward, M.; Levey, A.S.; de Jong, P.E.; Coresh, J.; Gansevoort, R.T. Association of Estimated Glomerular Filtration Rate and Albuminuria with All-Cause and Cardiovascular Mortality in General Population Cohorts: A Collaborative Meta-Analysis. Lancet 2010, 375, 2073–2081. [Google Scholar] [CrossRef] [PubMed]
- GBD Chronic Kidney Disease Collaboration. Global, Regional, and National Burden of Chronic Kidney Disease, 1990–2017: A Systematic Analysis for the Global Burden of Disease Study 2017. Lancet 2020, 395, 709–733. [Google Scholar] [CrossRef] [PubMed]
- Knight, E.L.; Stampfer, M.J.; Hankinson, S.E.; Spiegelman, D.; Curhan, G.C. The Impact of Protein Intake on Renal Function Decline in Women with Normal Renal Function or Mild Renal Insufficiency. Ann. Intern. Med. 2003, 138, 460–467. [Google Scholar] [CrossRef] [PubMed]
- Cirillo, M.; Lombardi, C.; Chiricone, D.; De Santo, N.G.; Zanchetti, A.; Bilancio, G. Protein Intake and Kidney Function in the Middle-Age Population: Contrast between Cross-Sectional and Longitudinal Data. Nephrol. Dial. Transplant. 2014, 29, 1733–1740. [Google Scholar] [CrossRef]
- Hostetter, T.H.; Meyer, T.W.; Rennke, H.G.; Brenner, B.M. Chronic Effects of Dietary Protein in the Rat with Intact and Reduced Renal Mass. Kidney Int. 1986, 30, 509–517. [Google Scholar] [CrossRef]
- Sánchez-Lozada, L.G.; Tapia, E.; Johnson, R.J.; Rodríguez-Iturbe, B.; Herrera-Acosta, J. Glomerular Hemodynamic Changes Associated with Arteriolar Lesions and Tubulointerstitial Inflammation. Kidney Int. Suppl. 2003, 86, S9–S14. [Google Scholar] [CrossRef]
- Levey, A.S.; Eckardt, K.-U.; Tsukamoto, Y.; Levin, A.; Coresh, J.; Rossert, J.; De Zeeuw, D.; Hostetter, T.H.; Lameire, N.; Eknoyan, G. Definition and Classification of Chronic Kidney Disease: A Position Statement from Kidney Disease: Improving Global Outcomes (KDIGO). Kidney Int. 2005, 67, 2089–2100. [Google Scholar] [CrossRef]
- Yang, H.-C.; Zuo, Y.; Fogo, A.B. Models of Chronic Kidney Disease. Drug Discov. Today Dis. Models 2010, 7, 13–19. [Google Scholar] [CrossRef]
- Hostetter, T.H.; Olson, J.L.; Rennke, H.G.; Venkatachalam, M.A.; Brenner, B.M. Hyperfiltration in Remnant Nephrons: A Potentially Adverse Response to Renal Ablation. Am. J. Physiol. 1981, 241, F85–F93. [Google Scholar] [CrossRef]
- Ma, L.-J.; Nakamura, S.; Aldigier, J.C.; Rossini, M.; Yang, H.; Liang, X.; Nakamura, I.; Marcantoni, C.; Fogo, A.B. Regression of Glomerulosclerosis with High-Dose Angiotensin Inhibition Is Linked to Decreased Plasminogen Activator Inhibitor-1. J. Am. Soc. Nephrol. 2005, 16, 966–976. [Google Scholar] [CrossRef]
- Liu, Q.-Q.; Zhou, Y.-Q.; Liu, H.-Q.; Qiu, W.-H.; Liu, H.; Hu, T.-Y.; Xu, Q.; Lv, Y.-M.; Wu, K.-M. Decreased DACH1 Expression in Glomerulopathy Is Associated with Disease Progression and Severity. Oncotarget 2016, 7, 86547–86560. [Google Scholar] [CrossRef]
- Okabe, M.; Motojima, M.; Miyazaki, Y.; Pastan, I.; Yokoo, T.; Matsusaka, T. Global Polysome Analysis of Normal and Injured Podocytes. Am. J. Physiol. Renal Physiol. 2019, 316, F241–F252. [Google Scholar] [CrossRef]
- Yancy, W.S.; Westman, E.C.; McDuffie, J.R.; Grambow, S.C.; Jeffreys, A.S.; Bolton, J.; Chalecki, A.; Oddone, E.Z. A Randomized Trial of a Low-Carbohydrate Diet vs Orlistat plus a Low-Fat Diet for Weight Loss. Arch. Intern. Med. 2010, 170, 136–145. [Google Scholar] [CrossRef]
- Fogo, A.B. Animal Models of FSGS: Lessons for Pathogenesis and Treatment. Semin. Nephrol. 2003, 23, 161–171. [Google Scholar] [CrossRef]
- Hayslett, J.P. Functional Adaptation to Reduction in Renal Mass. Physiol. Rev. 1979, 59, 137–164. [Google Scholar] [CrossRef]
- Shimamura, T.; Morrison, A.B. A Progressive Glomerulosclerosis Occurring in Partial Five-Sixths Nephrectomized Rats. Am. J. Pathol. 1975, 79, 95–106. [Google Scholar]
- Ma, L.-J.; Fogo, A.B. Model of Robust Induction of Glomerulosclerosis in Mice: Importance of Genetic Background. Kidney Int. 2003, 64, 350–355. [Google Scholar] [CrossRef]
- Hirayama, A.; Konta, T.; Kamei, K.; Suzuki, K.; Ichikawa, K.; Fujimoto, S.; Iseki, K.; Moriyama, T.; Yamagata, K.; Tsuruya, K.; et al. Blood Pressure, Proteinuria, and Renal Function Decline: Associations in a Large Community-Based Population. Am. J. Hypertens. 2015, 28, 1150–1156. [Google Scholar] [CrossRef]
- Inker, L.A.; Tighiouart, H.; Aspelund, T.; Gudnason, V.; Harris, T.; Indridason, O.S.; Palsson, R.; Shastri, S.; Levey, A.S.; Sarnak, M.J. Lifetime Risk of Stage 3-5 CKD in a Community-Based Sample in Iceland. Clin. J. Am. Soc. Nephrol. 2015, 10, 1575–1584. [Google Scholar] [CrossRef]
- Yano, Y.; Fujimoto, S.; Kramer, H.; Sato, Y.; Konta, T.; Iseki, K.; Iseki, C.; Moriyama, T.; Yamagata, K.; Tsuruya, K.; et al. Long-Term Blood Pressure Variability, New-Onset Diabetes Mellitus, and New-Onset Chronic Kidney Disease in the Japanese General Population. Hypertension 2015, 66, 30–36. [Google Scholar] [CrossRef] [PubMed]
- Elliott, P.; Stamler, J.; Dyer, A.R.; Appel, L.; Dennis, B.; Kesteloot, H.; Ueshima, H.; Okayama, A.; Chan, Q.; Garside, D.B.; et al. Association between Protein Intake and Blood Pressure: The INTERMAP Study. Arch. Intern. Med. 2006, 166, 79–87. [Google Scholar] [CrossRef] [PubMed]
- Lew, S.W.; Bosch, J.P. Effect of Diet on Creatinine Clearance and Excretion in Young and Elderly Healthy Subjects and in Patients with Renal Disease. J. Am. Soc. Nephrol. 1991, 2, 856–865. [Google Scholar] [CrossRef] [PubMed]
- Duranton, F.; Cohen, G.; De Smet, R.; Rodriguez, M.; Jankowski, J.; Vanholder, R.; Argiles, A.; European Uremic Toxin Work Group. Normal and Pathologic Concentrations of Uremic Toxins. J. Am. Soc. Nephrol. 2012, 23, 1258–1270. [Google Scholar] [CrossRef]
- Mafra, D.; Borges, N.A.; Cardozo, L.F.M.D.F.; Anjos, J.S.; Black, A.P.; Moraes, C.; Bergman, P.; Lindholm, B.; Stenvinkel, P. Red Meat Intake in Chronic Kidney Disease Patients: Two Sides of the Coin. Nutrition 2018, 46, 26–32. [Google Scholar] [CrossRef]
- Wong, J.; Piceno, Y.M.; DeSantis, T.Z.; Pahl, M.; Andersen, G.L.; Vaziri, N.D. Expansion of Urease- and Uricase-Containing, Indole- and p-Cresol-Forming and Contraction of Short-Chain Fatty Acid-Producing Intestinal Microbiota in ESRD. Am. J. Nephrol. 2014, 39, 230–237. [Google Scholar] [CrossRef]
- Ichii, O.; Otsuka-Kanazawa, S.; Nakamura, T.; Ueno, M.; Kon, Y.; Chen, W.; Rosenberg, A.Z.; Kopp, J.B. Podocyte Injury Caused by Indoxyl Sulfate, a Uremic Toxin and Aryl-Hydrocarbon Receptor Ligand. PLoS ONE 2014, 9, e108448. [Google Scholar] [CrossRef]
- Kriz, W.; LeHir, M. Pathways to Nephron Loss Starting from Glomerular Diseases-Insights from Animal Models. Kidney Int. 2005, 67, 404–419. [Google Scholar] [CrossRef]
- Javaid, B.; Olson, J.L.; Meyer, T.W. Glomerular Injury and Tubular Loss in Adriamycin Nephrosis. J. Am. Soc. Nephrol. 2001, 12, 1391–1400. [Google Scholar] [CrossRef]
- Kobayashi, R.; Wakui, H.; Azushima, K.; Uneda, K.; Haku, S.; Ohki, K.; Haruhara, K.; Kinguchi, S.; Matsuda, M.; Ohsawa, M.; et al. An Angiotensin II Type 1 Receptor Binding Molecule Has a Critical Role in Hypertension in a Chronic Kidney Disease Model. Kidney Int. 2017, 91, 1115–1125. [Google Scholar] [CrossRef]
- Ohki, K.; Wakui, H.; Azushima, K.; Uneda, K.; Haku, S.; Kobayashi, R.; Haruhara, K.; Kinguchi, S.; Matsuda, M.; Ohsawa, M.; et al. ATRAP Expression in Brown Adipose Tissue Does Not Influence the Development of Diet-Induced Metabolic Disorders in Mice. Int. J. Mol. Sci. 2017, 18, 676. [Google Scholar] [CrossRef]
- Wakui, H.; Yamaji, T.; Azushima, K.; Uneda, K.; Haruhara, K.; Nakamura, A.; Ohki, K.; Kinguchi, S.; Kobayashi, R.; Urate, S.; et al. Effects of Rikkunshito Treatment on Renal Fibrosis/Inflammation and Body Weight Reduction in a Unilateral Ureteral Obstruction Model in Mice. Sci. Rep. 2020, 10, 1782. [Google Scholar] [CrossRef]
- Wakui, H.; Tamura, K.; Masuda, S.-I.; Tsurumi-Ikeya, Y.; Fujita, M.; Maeda, A.; Ohsawa, M.; Azushima, K.; Uneda, K.; Matsuda, M.; et al. Enhanced Angiotensin Receptor-Associated Protein in Renal Tubule Suppresses Angiotensin-Dependent Hypertension. Hypertension 2013, 61, 1203–1210. [Google Scholar] [CrossRef]
- Kinguchi, S.; Wakui, H.; Azushima, K.; Haruhara, K.; Koguchi, T.; Ohki, K.; Uneda, K.; Matsuda, M.; Haku, S.; Yamaji, T.; et al. Effects of ATRAP in Renal Proximal Tubules on Angiotensin-Dependent Hypertension. J. Am. Heart Assoc. 2019, 8, e012395. [Google Scholar] [CrossRef]
- Tsurumi, H.; Harita, Y.; Kurihara, H.; Kosako, H.; Hayashi, K.; Matsunaga, A.; Kajiho, Y.; Kanda, S.; Miura, K.; Sekine, T.; et al. Epithelial Protein Lost in Neoplasm Modulates Platelet-Derived Growth Factor-Mediated Adhesion and Motility of Mesangial Cells. Kidney Int. 2014, 86, 548–557. [Google Scholar] [CrossRef]
- Ohsawa, M.; Tamura, K.; Wakui, H.; Maeda, A.; Dejima, T.; Kanaoka, T.; Azushima, K.; Uneda, K.; Tsurumi-Ikeya, Y.; Kobayashi, R.; et al. Deletion of the Angiotensin II Type 1 Receptor-Associated Protein Enhances Renal Sodium Reabsorption and Exacerbates Angiotensin II-Mediated Hypertension. Kidney Int. 2014, 86, 570–581. [Google Scholar] [CrossRef]
- Babelova, A.; Jansen, F.; Sander, K.; Löhn, M.; Schäfer, L.; Fork, C.; Ruetten, H.; Plettenburg, O.; Stark, H.; Daniel, C.; et al. Activation of Rac-1 and RhoA Contributes to Podocyte Injury in Chronic Kidney Disease. PLoS ONE 2013, 8, e80328. [Google Scholar] [CrossRef]
- Wu, H.; Chen, G.; Wyburn, K.R.; Yin, J.; Bertolino, P.; Eris, J.M.; Alexander, S.I.; Sharland, A.F.; Chadban, S.J. TLR4 Activation Mediates Kidney Ischemia/Reperfusion Injury. J. Clin. Investig. 2007, 117, 2847–2859. [Google Scholar] [CrossRef]
- Takaori, K.; Nakamura, J.; Yamamoto, S.; Nakata, H.; Sato, Y.; Takase, M.; Nameta, M.; Yamamoto, T.; Economides, A.N.; Kohno, K.; et al. Severity and Frequency of Proximal Tubule Injury Determines Renal Prognosis. J. Am. Soc. Nephrol. 2016, 27, 2393–2406. [Google Scholar] [CrossRef]
- Taguchi, S.; Azushima, K.; Yamaji, T.; Urate, S.; Suzuki, T.; Abe, E.; Tanaka, S.; Tsukamoto, S.; Kamimura, D.; Kinguchi, S.; et al. Effects of Tumor Necrosis Factor-α Inhibition on Kidney Fibrosis and Inflammation in a Mouse Model of Aristolochic Acid Nephropathy. Sci. Rep. 2021, 11, 23587. [Google Scholar] [CrossRef]
- Ohki, K.; Wakui, H.; Kishio, N.; Azushima, K.; Uneda, K.; Haku, S.; Kobayashi, R.; Haruhara, K.; Kinguchi, S.; Yamaji, T.; et al. Angiotensin II Type 1 Receptor-Associated Protein Inhibits Angiotensin II-Induced Insulin Resistance with Suppression of Oxidative Stress in Skeletal Muscle Tissue. Sci. Rep. 2018, 8, 2846. [Google Scholar] [CrossRef] [PubMed]
- Azushima, K.; Ohki, K.; Wakui, H.; Uneda, K.; Haku, S.; Kobayashi, R.; Haruhara, K.; Kinguchi, S.; Matsuda, M.; Maeda, A.; et al. Adipocyte-Specific Enhancement of Angiotensin II Type 1 Receptor-Associated Protein Ameliorates Diet-Induced Visceral Obesity and Insulin Resistance. J. Am. Heart Assoc. 2017, 6, e004488. [Google Scholar] [CrossRef] [PubMed]





Disclaimer/Publisher’s Note: The statements, opinions and data contained in all publications are solely those of the individual author(s) and contributor(s) and not of MDPI and/or the editor(s). MDPI and/or the editor(s) disclaim responsibility for any injury to people or property resulting from any ideas, methods, instructions or products referred to in the content. |
© 2023 by the authors. Licensee MDPI, Basel, Switzerland. This article is an open access article distributed under the terms and conditions of the Creative Commons Attribution (CC BY) license (https://creativecommons.org/licenses/by/4.0/).
Share and Cite
Tanaka, S.; Wakui, H.; Azushima, K.; Tsukamoto, S.; Yamaji, T.; Urate, S.; Suzuki, T.; Abe, E.; Taguchi, S.; Yamada, T.; et al. Effects of a High-Protein Diet on Kidney Injury under Conditions of Non-CKD or CKD in Mice. Int. J. Mol. Sci. 2023, 24, 7778. https://doi.org/10.3390/ijms24097778
Tanaka S, Wakui H, Azushima K, Tsukamoto S, Yamaji T, Urate S, Suzuki T, Abe E, Taguchi S, Yamada T, et al. Effects of a High-Protein Diet on Kidney Injury under Conditions of Non-CKD or CKD in Mice. International Journal of Molecular Sciences. 2023; 24(9):7778. https://doi.org/10.3390/ijms24097778
Chicago/Turabian StyleTanaka, Shohei, Hiromichi Wakui, Kengo Azushima, Shunichiro Tsukamoto, Takahiro Yamaji, Shingo Urate, Toru Suzuki, Eriko Abe, Shinya Taguchi, Takayuki Yamada, and et al. 2023. "Effects of a High-Protein Diet on Kidney Injury under Conditions of Non-CKD or CKD in Mice" International Journal of Molecular Sciences 24, no. 9: 7778. https://doi.org/10.3390/ijms24097778
APA StyleTanaka, S., Wakui, H., Azushima, K., Tsukamoto, S., Yamaji, T., Urate, S., Suzuki, T., Abe, E., Taguchi, S., Yamada, T., Kobayashi, R., Kanaoka, T., Kamimura, D., Kinguchi, S., Takiguchi, M., Funakoshi, K., Yamashita, A., Ishigami, T., & Tamura, K. (2023). Effects of a High-Protein Diet on Kidney Injury under Conditions of Non-CKD or CKD in Mice. International Journal of Molecular Sciences, 24(9), 7778. https://doi.org/10.3390/ijms24097778

