High-Intensity Training Represses FXYD5 and Glycosylates Na,K-ATPase in Type II Muscle Fibres, Which Are Linked with Improved Muscle K+ Handling and Performance
Abstract
1. Introduction
2. Results
2.1. HIIT Counters Exercise-Related K+ Shifts and Enhances Muscle Performance
2.2. HIIT Downregulates Muscle FXYD5 Independent of Changes in NKA Isoforms
2.3. HIIT Increases Muscle NKAβ1 Glycosylation
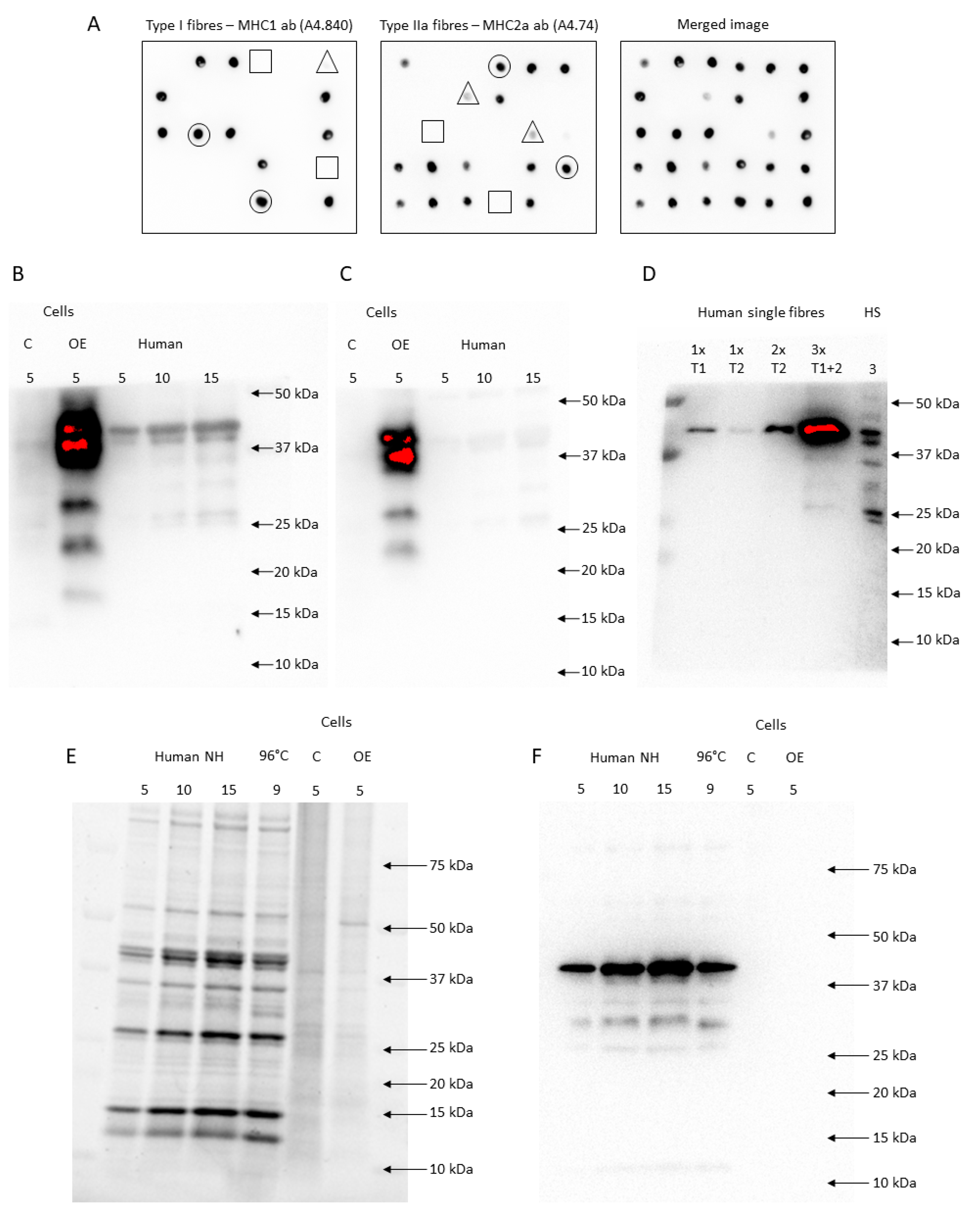
2.4. Fibre Type-Specific FXYD5 Abundance and Influence of Sex
3. Discussion
4. Materials and Methods
4.1. Subjects
4.2. Assessment of Eligibility and Familiarisation
4.3. Pre- and Post-Training Intervention Trials
Training Intervention
4.4. Experimental Procedures
4.4.1. Maximal Oxygen Consumption during Incremental Bike Ergometer Exercise
4.4.2. Femoral Arterial and Venous Blood Samples and Blood Flow
4.4.3. Leg Plasma K+ Shifts
4.4.4. Human Muscle Single Fibre Dissection
4.4.5. Fibre Typing Using Dot Blotting
4.4.6. Immunoblotting and SDS Page
4.4.7. FXYD5 Antibody Validation and Specificity
4.4.8. NKAβ1 Glycosylation
4.4.9. Statistics
Author Contributions
Funding
Institutional Review Board Statement
Informed Consent Statement
Data Availability Statement
Conflicts of Interest
References
- Clausen, T. Na+-K+ pump regulation and skeletal muscle contractility. Physiol. Rev. 2003, 83, 1269–1324. [Google Scholar] [CrossRef]
- Wyckelsma, V.L.; Perry, B.D.; Bangsbo, J.; McKenna, M.J. Inactivity and exercise training differentially regulate abundance of Na+-K+-ATPase in human skeletal muscle. J. Appl. Physiol. 2019, 127, 905–920. [Google Scholar] [CrossRef]
- Hostrup, M.; Cairns, S.P.; Bangsbo, J. Muscle Ionic Shifts During Exercise: Implications for Fatigue and Exercise Performance. Compr. Physiol. 2021, 11, 1895–1959. [Google Scholar] [CrossRef]
- Blanco, G.; Mercer, R.W. Isozymes of the Na-K-ATPase: Heterogeneity in structure, diversity in function. Am. J. Physiol.-Ren. Physiol. 1998, 275, F633–F650. [Google Scholar] [CrossRef]
- Geering, K. Functional roles of Na, K-ATPase subunits. Curr. Opin. Nephrol. Hypertens. 2008, 17, 526–532. [Google Scholar] [CrossRef]
- Geering, K. FXYD proteins: New regulators of Na-K-ATPase. Am. J. Physiol.-Ren. Physiol. 2006, 290, F241–F250. [Google Scholar] [CrossRef]
- Pirkmajer, S.; Chibalin, A.V. Na, K-ATPase regulation in skeletal muscle. Am. J. Physiol.-Endocrinol. Metab. 2016, 311, E1–E31. [Google Scholar] [CrossRef]
- Murphy, K.T.; Snow, R.J.; Petersen, A.; Murphy, R.M.; Mollica, J.; Lee, J.S.; Garnham, A.P.; Aughey, R.; Leppik, J.A.; Medved, I. Intense exercise up-regulates Na+, K+-ATPase isoform mRNA, but not protein expression in human skeletal muscle. J. Physiol. 2004, 556, 507–519. [Google Scholar] [CrossRef]
- Benziane, B.; Widegren, U.; Pirkmajer, S.; Henriksson, J.; Stepto, N.K.; Chibalin, A.V. Effect of exercise and training on phospholemman phosphorylation in human skeletal muscle. Am. J. Physiol.-Endocrinol. Metab. 2011, 301, E456–E466. [Google Scholar] [CrossRef]
- Crambert, G.; Füzesi, M.; Garty, H.; Karlish, S.; Geering, K. Phospholemman (FXYD1) associates with Na, K-ATPase and regulates its transport properties. Proc. Natl. Acad. Sci. USA 2002, 99, 11476–11481. [Google Scholar] [CrossRef]
- Bibert, S.; Roy, S.; Schaer, D.; Horisberger, J.-D.; Geering, K. Phosphorylation of phospholemman (FXYD1) by protein kinases A and C modulates distinct Na, K-ATPase isozymes. J. Biol. Chem. 2008, 283, 476–486. [Google Scholar] [CrossRef]
- Thomassen, M.; Murphy, R.M.; Bangsbo, J. Fibre type-specific change in FXYD1 phosphorylation during acute intense exercise in humans. J. Physiol. 2013, 591, 1523–1533. [Google Scholar] [CrossRef]
- Rasmussen, M.; Kristensen, M.; Juel, C. Exercise-induced regulation of phospholemman (FXYD1) in rat skeletal muscle: Implications for Na+/K+-ATPase activity. Acta Physiol. 2008, 194, 67–79. [Google Scholar] [CrossRef]
- Kutz, L.C.; Mukherji, S.T.; Wang, X.; Bryant, A.; Larre, I.; Heiny, J.A.; Lingrel, J.B.; Pierre, S.V.; Xie, Z. Isoform-specific role of Na/K-ATPase α1 in skeletal muscle. Am. J. Physiol.-Endocrinol. Metab. 2018, 314, E620–E629. [Google Scholar] [CrossRef]
- Lubarski, I.; Karlish, S.J.; Garty, H. Structural and functional interactions between FXYD5 and the Na+-K+-ATPase. Am. J. Physiol. Renal. Physiol. 2007, 293, F1818–F1826. [Google Scholar] [CrossRef]
- Lubarski, I.; Pihakaski-Maunsbach, K.; Karlish, S.J.; Maunsbach, A.B.; Garty, H. Interaction with the Na,K-ATPase and tissue distribution of FXYD5 (related to ion channel). J. Biol. Chem. 2005, 280, 37717–37724. [Google Scholar] [CrossRef]
- Jan, V.; Miš, K.; Nikolic, N.; Dolinar, K.; Petrič, M.; Bone, A.; Thoresen, G.H.; Rustan, A.C.; Marš, T.; Chibalin, A.V. Effect of differentiation, de novo innervation, and electrical pulse stimulation on mRNA and protein expression of Na+, K+-ATPase, FXYD1, and FXYD5 in cultured human skeletal muscle cells. PLoS ONE 2021, 16, e0247377. [Google Scholar] [CrossRef]
- Boon, H.; Kostovski, E.; Pirkmajer, S.; Song, M.; Lubarski, I.; Iversen, P.O.; Hjeltnes, N.; Widegren, U.; Chibalin, A.V. Influence of chronic and acute spinal cord injury on skeletal muscle Na+-K+-ATPase and phospholemman expression in humans. Am. J. Physiol.-Endocrinol. Metab. 2012, 302, E864–E871. [Google Scholar] [CrossRef]
- Thomassen, M.; Christensen, P.M.; Gunnarsson, T.P.; Nybo, L.; Bangsbo, J. Effect of 2-wk intensified training and inactivity on muscle Na+-K+ pump expression, phospholemman (FXYDI) phosphorylation, and performance in soccer players. J. Appl. Physiol. 2010, 108, 898–905. [Google Scholar] [CrossRef]
- Thomassen, M.; Gunnarsson, T.P.; Christensen, P.M.; Pavlovic, D.; Shattock, M.J.; Bangsbo, J. Intensive training and reduced volume increases muscle FXYD1 expression and phosphorylation at rest and during exercise in athletes. Am. J. Physiol.-Regul. Integr. Comp. Physiol. 2016, 310, R659–R669. [Google Scholar] [CrossRef]
- Deshmukh, A.; Steenberg, D.; Hostrup, M.; Birk, J.; Larsen, J.; Santos, A.; Kjøbsted, R.; Hingst, J.; Schéele, C.; Murgia, M. Deep muscle-proteomic analysis of freeze-dried human muscle biopsies reveals fiber type-specific adaptations to exercise training. Nat. Commun. 2021, 12, 304. [Google Scholar] [CrossRef]
- Hostrup, M.; Bangsbo, J. Limitations in intense exercise performance of athletes–effect of speed endurance training on ion handling and fatigue development. J. Physiol. 2017, 595, 2897–2913. [Google Scholar] [CrossRef]
- Wyckelsma, V.L.; McKenna, M.J.; Levinger, I.; Petersen, A.C.; Lamboley, C.R.; Murphy, R.M. Cell specific differences in the protein abundances of GAPDH and Na+, K+-ATPase in skeletal muscle from aged individuals. Exp. Gerontol. 2016, 75, 8–15. [Google Scholar] [CrossRef]
- Wyckelsma, V.L.; McKenna, M.J.; Serpiello, F.R.; Lamboley, C.R.; Aughey, R.J.; Stepto, N.K.; Bishop, D.J.; Murphy, R.M. Single-fiber expression and fiber-specific adaptability to short-term intense exercise training of Na+-K+-ATPase α-and β-isoforms in human skeletal muscle. J. Appl. Physiol. 2015, 118, 699–706. [Google Scholar] [CrossRef]
- Murphy, K.T.; Aughey, R.; Petersen, A.; Clark, S.A.; Goodman, C.; Hawley, J.A.; Cameron-Smith, D.; Snow, R.J.; McKenna, M. Effects of endurance training status and sex differences on Na+, K+-pump mRNA expression, content and maximal activity in human skeletal muscle. Acta Physiol. 2007, 189, 259–269. [Google Scholar] [CrossRef]
- Lubarski, I.; Asher, C.; Garty, H. FXYD5 (dysadherin) regulates the paracellular permeability in cultured kidney collecting duct cells. Am. J. Physiol.-Ren. Physiol. 2011, 301, F1270–F1280. [Google Scholar] [CrossRef]
- Fiorenza, M.; Hostrup, M.; Gunnarsson, T.P.; Shirai, Y.; Schena, F.; Iaia, F.M.; Bangsbo, J. Neuromuscular fatigue and metabolism during high-intensity intermittent exercise. Med. Sci. Sports Exerc. 2019, 51, 1642–1652. [Google Scholar] [CrossRef]
- Gunnarsson, T.P.; Brandt, N.; Fiorenza, M.; Hostrup, M.; Pilegaard, H.; Bangsbo, J. Inclusion of sprints in moderate intensity continuous training leads to muscle oxidative adaptations in trained individuals. Physiol. Rep. 2019, 7, e13976. [Google Scholar] [CrossRef]
- Fiorenza, M.; Gunnarsson, T.; Hostrup, M.; Iaia, F.; Schena, F.; Pilegaard, H.; Bangsbo, J. Metabolic stress-dependent regulation of the mitochondrial biogenic molecular response to high-intensity exercise in human skeletal muscle. J. Physiol. 2018, 596, 2823–2840. [Google Scholar] [CrossRef]
- Brandt, N.; Gunnarsson, T.P.; Hostrup, M.; Tybirk, J.; Nybo, L.; Pilegaard, H.; Bangsbo, J. Impact of adrenaline and metabolic stress on exercise-induced intracellular signaling and PGC-1α mRNA response in human skeletal muscle. Physiol. Rep. 2016, 4, e12844. [Google Scholar] [CrossRef]
- Nikolić, N.; Görgens, S.; Thoresen, G.; Aas, V.; Eckel, J.; Eckardt, K. Electrical pulse stimulation of cultured skeletal muscle cells as a model for in vitro exercise–possibilities and limitations. Acta Physiol. 2017, 220, 310–331. [Google Scholar] [CrossRef] [PubMed]
- Hostrup, M.; Kalsen, A.; Onslev, J.; Jessen, S.; Haase, C.; Habib, S.; Ørtenblad, N.; Backer, V.; Bangsbo, J. Mechanisms underlying enhancements in muscle force and power output during maximal cycle ergometer exercise induced by chronic β2-adrenergic stimulation in men. J. Appl. Physiol. 2015, 119, 475–486. [Google Scholar] [CrossRef] [PubMed]
- Hostrup, M.; Jessen, S.; Onslev, J.; Clausen, T.; Porsbjerg, C. Two-week inhalation of budesonide increases muscle Na, K ATPase content but not endurance in response to terbutaline in men. Scand. J. Med. Sci. Sport. 2017, 27, 684–691. [Google Scholar] [CrossRef] [PubMed]
- Verrey, F.; Summa, V.; Heitzmann, D.; Mordasini, D.; Vandewalle, A.; Féraille, E.; Zecevic, M. Short-term aldosterone action on Na, K-ATPase surface expression: Role of aldosterone-induced SGK1? Ann. N. Y. Acad. Sci. 2003, 986, 554–561. [Google Scholar] [CrossRef] [PubMed]
- Christiansen, D.; Bishop, D.J.; Broatch, J.R.; Bangsbo, J.; McKenna, M.J.; Murphy, R.M. Cold-water immersion after training sessions: Effects on fiber type-specific adaptations in muscle K+ transport proteins to sprint-interval training in men. J. Appl. Physiol. 2018, 125, 429–444. [Google Scholar] [CrossRef]
- Nielsen, J.J.; Mohr, M.; Klarskov, C.; Kristensen, M.; Krustrup, P.; Juel, C.; Bangsbo, J. Effects of high-intensity intermittent training on potassium kinetics and performance in human skeletal muscle. J. Physiol. 2004, 554, 857–870. [Google Scholar] [CrossRef]
- Mohr, M.; Krustrup, P.; Nielsen, J.J.; Nybo, L.; Rasmussen, M.K.; Juel, C.; Bangsbo, J. Effect of two different intense training regimens on skeletal muscle ion transport proteins and fatigue development. Am. J. Physiol.-Regul. Integr. Comp. Physiol. 2007, 292, R1594–R1602. [Google Scholar] [CrossRef]
- Lemminger, A.K.; Fiorenza, M.; Eibye, K.; Bangsbo, J.; Hostrup, M. High-Intensity Exercise Training Alters the Effect of N-Acetylcysteine on Exercise-Related Muscle Ionic Shifts in Men. Antioxidants 2022, 12, 53. [Google Scholar] [CrossRef]
- Hostrup, M.; Gunnarsson, T.P.; Fiorenza, M.; Mørch, K.; Onslev, J.; Pedersen, K.M.; Bangsbo, J. In-season adaptations to intense intermittent training and sprint interval training in sub-elite football players. Scand. J. Med. Sci. Sport. 2019, 29, 669–677. [Google Scholar] [CrossRef]
- Vorup, J.; Tybirk, J.; Gunnarsson, T.P.; Ravnholt, T.; Dalsgaard, S.; Bangsbo, J. Effect of speed endurance and strength training on performance, running economy and muscular adaptations in endurance-trained runners. Eur. J. Appl. Physiol. 2016, 116, 1331–1341. [Google Scholar] [CrossRef]
- Gunnarsson, T.P.; Christensen, P.M.; Thomassen, M.; Nielsen, L.R.; Bangsbo, J. Effect of intensified training on muscle ion kinetics, fatigue development, and repeated short-term performance in endurance-trained cyclists. Am. J. Physiol.-Regul. Integr. Comp. Physiol. 2013, 305, R811–R821. [Google Scholar] [CrossRef]
- Gunnarsson, T.P.; Christensen, P.M.; Holse, K.; Christiansen, D.; Bangsbo, J. Effect of additional speed endurance training on performance and muscle adaptations. Med. Sci. Sports Exerc. 2012, 44, 1942–1948. [Google Scholar] [CrossRef]
- Wyckelsma, V.L.; Levinger, I.; Murphy, R.M.; Petersen, A.C.; Perry, B.D.; Hedges, C.P.; Anderson, M.J.; McKenna, M.J. Intense interval training in healthy older adults increases skeletal muscle [3H] ouabain-binding site content and elevates Na+, K+-ATPase α2 isoform abundance in Type II fibers. Physiol. Rep. 2017, 5, e13219. [Google Scholar] [CrossRef] [PubMed]
- Perry, B.D.; Wyckelsma, V.L.; Murphy, R.M.; Steward, C.H.; Anderson, M.; Levinger, I.; Petersen, A.C.; McKenna, M.J. Dissociation between short-term unloading and resistance training effects on skeletal muscle Na+, K+-ATPase, muscle function, and fatigue in humans. J. Appl. Physiol. 2016, 121, 1074–1086. [Google Scholar] [CrossRef]
- Christiansen, D.; Eibye, K.H.; Rasmussen, V.; Voldbye, H.M.; Thomassen, M.; Nyberg, M.; Gunnarsson, T.G.; Skovgaard, C.; Lindskrog, M.S.; Bishop, D.J. Cycling with blood flow restriction improves performance and muscle K+ regulation and alters the effect of anti-oxidant infusion in humans. J. Physiol. 2019, 597, 2421–2444. [Google Scholar] [CrossRef] [PubMed]
- Altarawneh, M.M.; Hanson, E.D.; Betik, A.C.; Petersen, A.C.; Hayes, A.; McKenna, M.J. Effects of testosterone suppression, hindlimb immobilization, and recovery on [3H] ouabain binding site content and Na+, K+-ATPase isoforms in rat soleus muscle. J. Appl. Physiol. 2020, 128, 501–513. [Google Scholar] [CrossRef]
- Obradovic, M.; Stanimirovic, J.; Panic, A.; Bogdanovic, N.; Sudar-Milovanovic, E.; Cenic-Milosevic, D.; Isenovic, E.R. Regulation of Na+/K+-ATPase by estradiol and IGF-1 in cardio-metabolic diseases. Curr. Pharm. Des. 2017, 23, 1551–1561. [Google Scholar] [CrossRef] [PubMed]
- Nam, J.-S.; Hirohashi, S.; Wakefield, L.M. Dysadherin: A new player in cancer progression. Cancer Lett. 2007, 255, 161–169. [Google Scholar] [CrossRef]
- Codella, R.; Della Guardia, L.; Terruzzi, I.; Solini, A.; Folli, F.; Varoni, E.M.; Carrassi, A.; Luzi, L. Physical activity as a proxy to ameliorate inflammation in patients with type 2 diabetes and periodontal disease at high cardiovascular risk. Nutr. Metab. Cardiovasc. Dis. 2021, 31, 2199–2209. [Google Scholar] [CrossRef] [PubMed]
- Della Guardia, L.; Carnevale Pellino, V.; Filipas, L.; Bonato, M.; Gallo, G.; Lovecchio, N.; Vandoni, M.; Codella, R. Nordic Walking Improves Cardiometabolic Parameters, Fitness Performance, and Quality of Life in Older Adults With Type 2 Diabetes. Endocr. Pract. 2023, 29, 135–140. [Google Scholar] [CrossRef]
- Hostrup, M.; Lemminger, A.K.; Stocks, B.; Gonzalez-Franquesa, A.; Larsen, J.K.; Quesada, J.P.; Thomassen, M.; Weinert, B.T.; Bangsbo, J.; Deshmukh, A.S. High-intensity interval training remodels the proteome and acetylome of human skeletal muscle. Elife 2022, 11, e69802. [Google Scholar] [CrossRef]
- Hostrup, M.; Onslev, J.; Jacobson, G.A.; Wilson, R.; Bangsbo, J. Chronic β2-adrenoceptor agonist treatment alters muscle proteome and functional adaptations induced by high intensity training in young men. J. Physiol. 2018, 596, 231–252. [Google Scholar] [CrossRef] [PubMed]
- Bergström, J. Percutaneous needle biopsy of skeletal muscle in physiological and clinical research. Scand. J. Clin. Lab. Investig. 1975, 35, 609–616. [Google Scholar] [CrossRef]
- Bangsbo, J.; Krustrup, P.; Gonzalez-Alonso, J.; Boushel, R.; Saltin, B. Muscle oxygen kinetics at onset of intense dynamic exercise in humans. Am. J. Physiol. Regul. Integr. Comp. Physiol. 2000, 279, R899–R906. [Google Scholar] [CrossRef] [PubMed]
- Nyberg, M.; Christensen, P.M.; Mortensen, S.P.; Hellsten, Y.; Bangsbo, J. Infusion of ATP increases leg oxygen delivery but not oxygen uptake in the initial phase of intense knee-extensor exercise in humans. Exp. Physiol. 2014, 99, 1399–1408. [Google Scholar] [CrossRef]
- Lindinger, M.I.; Spriet, L.L.; Hultman, E.; Putman, T.; McKelvie, R.S.; Lands, L.C.; Jones, N.L.; Heigenhauser, G.J. Plasma volume and ion regulation during exercise after low- and high-carbohydrate diets. Am. J. Physiol. 1994, 266, R1896–R1906. [Google Scholar] [CrossRef] [PubMed]
- Putman, C.T.; Jones, N.L.; Heigenhauser, G.J. Effects of short-term training on plasma acid-base balance during incremental exercise in man. J. Physiol. 2003, 550, 585–603. [Google Scholar] [CrossRef]
- Skovgaard, C.; Christiansen, D.; Christensen, P.M.; Almquist, N.W.; Thomassen, M.; Bangsbo, J. Effect of speed endurance training and reduced training volume on running economy and single muscle fiber adaptations in trained runners. Physiol. Rep. 2018, 6, e13601. [Google Scholar] [CrossRef]
- Thomassen, M.; Hostrup, M.; Murphy, R.M.; Cromer, B.A.; Skovgaard, C.; Gunnarsson, T.P.; Christensen, P.M.; Bangsbo, J. Abundance of ClC-1 chloride channel in human skeletal muscle: Fiber type specific differences and effect of training. J. Appl. Physiol. 2018, 125, 470–478. [Google Scholar] [CrossRef]
- Ino, Y.; Gotoh, M.; Sakamoto, M.; Tsukagoshi, K.; Hirohashi, S. Dysadherin, a cancer-associated cell membrane glycoprotein, down-regulates E-cadherin and promotes metastasis. Proc. Natl. Acad. Sci. USA 2002, 99, 365–370. [Google Scholar] [CrossRef] [PubMed]
- Tsuiji, H.; Takasaki, S.; Sakamoto, M.; Irimura, T.; Hirohashi, S. Aberrant O-glycosylation inhibits stable expression of dysadherin, a carcinoma-associated antigen, and facilitates cell-cell adhesion. Glycobiology 2003, 13, 521–527. [Google Scholar] [CrossRef] [PubMed]
- Hotta, T.; Nariai, Y.; Kajitani, N.; Kadota, K.; Maruyama, R.; Tajima, Y.; Isobe, T.; Kamino, H.; Urano, T. Generation of the novel anti-FXYD5 monoclonal antibody and its application to the diagnosis of pancreatic and lung cancer. Biochimie 2023, in press. [Google Scholar] [CrossRef] [PubMed]
- Tokhtaeva, E.; Sun, H.; Deiss-Yehiely, N.; Wen, Y.; Soni, P.N.; Gabrielli, N.M.; Marcus, E.A.; Ridge, K.M.; Sachs, G.; Vazquez-Levin, M. The O-glycosylated ectodomain of FXYD5 impairs adhesion by disrupting cell–cell trans-dimerization of Na, K-ATPase β1 subunits. J. Cell Sci. 2016, 129, 2394–2406. [Google Scholar] [CrossRef] [PubMed]





Disclaimer/Publisher’s Note: The statements, opinions and data contained in all publications are solely those of the individual author(s) and contributor(s) and not of MDPI and/or the editor(s). MDPI and/or the editor(s) disclaim responsibility for any injury to people or property resulting from any ideas, methods, instructions or products referred to in the content. |
© 2023 by the authors. Licensee MDPI, Basel, Switzerland. This article is an open access article distributed under the terms and conditions of the Creative Commons Attribution (CC BY) license (https://creativecommons.org/licenses/by/4.0/).
Share and Cite
Hostrup, M.; Lemminger, A.K.; Thomsen, L.B.; Schaufuss, A.; Alsøe, T.L.; Bergen, G.K.; Bell, A.B.; Bangsbo, J.; Thomassen, M. High-Intensity Training Represses FXYD5 and Glycosylates Na,K-ATPase in Type II Muscle Fibres, Which Are Linked with Improved Muscle K+ Handling and Performance. Int. J. Mol. Sci. 2023, 24, 5587. https://doi.org/10.3390/ijms24065587
Hostrup M, Lemminger AK, Thomsen LB, Schaufuss A, Alsøe TL, Bergen GK, Bell AB, Bangsbo J, Thomassen M. High-Intensity Training Represses FXYD5 and Glycosylates Na,K-ATPase in Type II Muscle Fibres, Which Are Linked with Improved Muscle K+ Handling and Performance. International Journal of Molecular Sciences. 2023; 24(6):5587. https://doi.org/10.3390/ijms24065587
Chicago/Turabian StyleHostrup, Morten, Anders Krogh Lemminger, Laura Bachmann Thomsen, Amanda Schaufuss, Tobias Langballe Alsøe, Gustav Krogh Bergen, Annika Birring Bell, Jens Bangsbo, and Martin Thomassen. 2023. "High-Intensity Training Represses FXYD5 and Glycosylates Na,K-ATPase in Type II Muscle Fibres, Which Are Linked with Improved Muscle K+ Handling and Performance" International Journal of Molecular Sciences 24, no. 6: 5587. https://doi.org/10.3390/ijms24065587
APA StyleHostrup, M., Lemminger, A. K., Thomsen, L. B., Schaufuss, A., Alsøe, T. L., Bergen, G. K., Bell, A. B., Bangsbo, J., & Thomassen, M. (2023). High-Intensity Training Represses FXYD5 and Glycosylates Na,K-ATPase in Type II Muscle Fibres, Which Are Linked with Improved Muscle K+ Handling and Performance. International Journal of Molecular Sciences, 24(6), 5587. https://doi.org/10.3390/ijms24065587

