Ternary Mixture of Azoxystrobin, Boscalid and Pyraclostrobin Disrupts the Gut Microbiota and Metabolic Balance of Honeybees (Apis cerana cerana)
Abstract
1. Introduction
2. Results
2.1. The Acute Oral LD50 of Ternary Mixed Fungicides in Apis cerana
2.2. Fungicide Exposure Alters Midgut Morphology
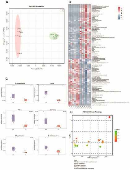
2.3. Fungicide Exposure Affects Amino Acid Metabolism
2.4. Fungicide Exposure Disturbs Gut Microbial Balance
2.5. Fungicide Exposure Alters Gene Expression
3. Discussion
4. Materials and Methods
4.1. Chemicals and Honeybees
4.1.1. Fungicide and Reagent
4.1.2. Honeybee Preparation
4.2. Acute Oral Toxicity Test (LD50)
4.3. Fungicide Exposure
4.4. Morphological Observation of the Midguts
4.5. Metabolite Extraction and Data Analysis
4.6. Gut Microbiome Analysis
4.6.1. Sample Collection
4.6.2. Metagenome Sequencing and Data Analysis
4.7. RNA Extraction, RT-qPCR and Statistics
5. Conclusions
Supplementary Materials
Author Contributions
Funding
Institutional Review Board Statement
Informed Consent Statement
Data Availability Statement
Acknowledgments
Conflicts of Interest
References
- Hung, K.J.; Kingston, J.M.; Albrecht, M.; Holway, D.A.; Kohn, J.R. The worldwide importance of honey bees as pollinators in natural habitats. Proc. Biol. Sci. 2018, 285, 20172140. [Google Scholar] [CrossRef] [PubMed]
- Potts, S.G.; Imperatriz-Fonseca, V.; Ngo, H.T.; Aizen, M.A.; Biesmeijer, J.C.; Breeze, T.D.; Dicks, L.V.; Garibaldi, L.A.; Hill, R.; Settele, J.; et al. Safeguarding pollinators and their values to human well-being. Nature 2016, 540, 220–229. [Google Scholar] [CrossRef] [PubMed]
- Neumann, P.; Carreck, N.L. Honey bee colony losses. J. Apicult. Res. 2015, 49, 1–6. [Google Scholar] [CrossRef]
- van der Zee, R.; Pisa, L.; Andonov, S.; Brodschneider, R.; Charrière, J.; Chlebo, R.; Coffey, M.F.; Crailsheim, K.; Dahle, B.; Gajda, A.; et al. Managed honey bee colony losses in Canada, China, Europe, Israel and Turkey, for the winters of 2008-9 and 2009-10. J. Apicult. Res. 2012, 51, 100–114. [Google Scholar] [CrossRef]
- Potts, S.G.; Biesmeijer, J.C.; Kremen, C.; Neumann, P.; Schweiger, O.; Kunin, W.E. Global pollinator declines: Trends, impacts and drivers. Trends Ecol. Evol. 2010, 25, 345–353. [Google Scholar] [CrossRef]
- Cullen, M.G.; Thompson, L.J.; Carolan, J.C.; Stout, J.C.; Stanley, D.A.; Nieh, J.C. Fungicides, herbicides and bees: A systematic review of existing research and methods. PLoS ONE 2019, 14, e225743. [Google Scholar] [CrossRef]
- Tsvetkov, N.; Samson-Robert, O.; Sood, K.; Patel, H.S.; Malena, D.A.; Gajiwala, P.H.; Maciukiewicz, P.; Fournier, V.; Zayed, A. Chronic exposure to neonicotinoids reduces honey bee health near corn crops. Science 2017, 356, 1395–1397. [Google Scholar] [CrossRef]
- Russell, P.E. A century of fungicide evolution. J. Agric. Sci. 2005, 143, 11–25. [Google Scholar] [CrossRef]
- Rondeau, S.; Raine, N.E. Fungicides and bees: A review of exposure and risk. Environ. Int. 2022, 165, 107311. [Google Scholar] [CrossRef]
- Ward, L.T.; Hladik, M.L.; Guzman, A.; Winsemius, S.; Bautista, A.; Kremen, C.; Mills, N.J. Pesticide exposure of wild bees and honey bees foraging from field border flowers in intensively managed agriculture areas. Sci. Total Environ. 2022, 831, 154697. [Google Scholar] [CrossRef]
- Kang, J.; Bishayee, K.; Huh, S.O. Azoxystrobin impairs neuronal migration and induces ROS dependent apoptosis in cortical neurons. Int. J. Mol. Sci. 2021, 22, 12495. [Google Scholar] [CrossRef] [PubMed]
- Abdelraheem, E.M.H.; Hassan, S.M.; Arief, M.M.H.; Mohammad, S.G. Validation of quantitative method for azoxystrobin residues in green beans and peas. Food Chem. 2015, 182, 246–250. [Google Scholar] [CrossRef] [PubMed]
- Mercader, J.V.; Suarez-Pantaleon, C.; Agullo, C.; Abad-Somovilla, A.; Abad-Fuentes, A. Production and characterization of monoclonal antibodies specific to the strobilurin pesticide pyraclostrobin. J. Agr. Food Chem. 2008, 56, 7682–7690. [Google Scholar] [CrossRef] [PubMed]
- Zhao, P.L.; Liu, C.L.; Huang, W.; Wang, Y.Z.; Yang, G.F. Synthesis and fungicidal evaluation of novel chalcone-based strobilurin analogues. J. Agric. Food Chem. 2007, 55, 5697–5700. [Google Scholar] [CrossRef]
- Stammler, G.; Brix, H.; Nave, B.; Gold, R.; Schoefl, U.; Dehne, H.; Deising, H.; Gisi, U.; Kuck, K.; Russell, P. Studies on the biological performance of boscalid and its mode of action. In Proceedings of the Modern fungicides and antifungal compounds V: 15th International Reinhardsbrunn Symposium, Friedrichroda, Germany, 25–29 April 2008. [Google Scholar]
- He, R.; Yang, Y.; Hu, Z.; Xue, R.; Hu, Y. Resistance mechanisms and fitness of pyraclostrobin-resistant isolates of Lasiodiplodia theobromae from mango orchards. PLoS ONE 2021, 16, e253659. [Google Scholar] [CrossRef]
- Yang, C.; Hamel, C.; Vujanovic, V.; Gan, Y.; Muylaert, K.; Sanderson, H. Fungicide: Modes of Action and Possible Impact on Nontarget Microorganisms. ISRN Ecology 2011, 2011, 130289. [Google Scholar] [CrossRef]
- Liao, L.H.; Wu, W.Y.; Dad, A.; Berenbaum, M.R. Fungicide suppression of flight performance in the honeybee (Apis mellifera) and its amelioration by quercetin. Proc. Biol. Sci. 2019, 286, 20192041. [Google Scholar] [CrossRef]
- Tadei, R.; Menezes-Oliveira, V.B.; Silva-Zacarin, E. Silent effect of the fungicide pyraclostrobin on the larval exposure of the non-target organism Africanized Apis mellifera and its interaction with the pathogen Nosema ceranae in adulthood. Environ. Pollut. 2020, 267, 115622. [Google Scholar] [CrossRef]
- Eduardo Da Costa Domingues, C.; Bello Inoue, L.V.; Mathias Da Silva-Zacarin, E.C.; Malaspina, O. Foragers of Africanized honeybee are more sensitive to fungicide pyraclostrobin than newly emerged bees. Environ. Pollut. 2020, 266, 115267. [Google Scholar] [CrossRef]
- Xiong, M.; Qin, G.; Wang, L.; Wang, R.; Zhou, R.; Luo, X.; Lou, Q.; Huang, S.; Huang, S.; Li, J.; et al. Field recommended concentrations of pyraclostrobin exposure disturb the development and immune response of worker bees (Apis mellifera L.) larvae and pupae. Front. Physiol. 2023, 14, 158. [Google Scholar] [CrossRef]
- Abbey, J.A.; Percival, D.; Asiedu, S.K.; Prithiviraj, B.; Schilder, A. Management of Botrytis blossom blight in wild blueberries by biological control agents under field conditions. Crop Prot. 2020, 131, 105078. [Google Scholar] [CrossRef]
- Degrandi-Hoffman, G.; Chen, Y.; Watkins, D.E.; Chambers, M.L.; Hidalgo, G. Effects of oral exposure to fungicides on honey bee nutrition and virus levels. J. Econ. Entomol. 2015, 108, 2518–2528. [Google Scholar] [CrossRef]
- Fisher, A.N.; Degrandi-Hoffman, G.; Smith, B.H.; Ozturk, C.; Kaftanoglu, O.; Fewell, J.H.; Harrison, J.F. Field cross-fostering and in vitro rearing demonstrate negative effects of both larval and adult exposure to a widely used fungicide in honey bees (Apis mellifera). Ecotoxicol. Environ. Saf. 2021, 217, 112251. [Google Scholar] [CrossRef]
- Fisher Ii, A.; Glass, J.R.; Ozturk, C.; Desjardins, N.; Raka, Y.; Degrandi-Hoffman, G.; Smith, B.H.; Fewell, J.H.; Harrison, J.F. Seasonal variability in physiology and behavior affect the impact of fungicide exposure on honey bee (Apis mellifera) health. Environ. Pollut. 2022, 311, 120010. [Google Scholar] [CrossRef] [PubMed]
- Fisher, A.N.; Degrandi-Hoffman, G.; Smith, B.H.; Johnson, M.; Kaftanoglu, O.; Cogley, T.; Fewell, J.H.; Harrison, J.F. Colony field test reveals dramatically higher toxicity of a widely-used mito-toxic fungicide on honey bees (Apis mellifera). Environ. Pollut. 2021, 269, 115964. [Google Scholar] [CrossRef] [PubMed]
- Desjardins, N.S.; Fisher, A.; Ozturk, C.; Fewell, J.H.; Degrandi-Hoffman, G.; Harrison, J.F.; Smith, B.H. A common fungicide, Pristine®, impairs olfactory associative learning performance in honey bees (Apis mellifera). Environ. Pollut. 2021, 288, 117720. [Google Scholar] [CrossRef]
- Huang, M.; Dong, J.; Yang, S.; Xiao, M.; Guo, H.; Zhang, J.; Wang, D. Ecotoxicological effects of common fungicides on the eastern honeybee Apis cerana cerana (Hymenoptera). Sci. Total Environ. 2023, 868, 161637. [Google Scholar] [CrossRef]
- Lei, P.; Zhang, X.; Xu, Y.; Xu, G.; Liu, X.; Yang, X.; Zhang, X.; Ling, Y. Synthesis and fungicidal activity of pyrazole derivatives containing 1,2,3,4-tetrahydroquinoline. Chem. Cent. J. 2016, 10, 40. [Google Scholar] [CrossRef]
- Lewis, K.A.; Green, A.; Tzilivakis, J.; Warner, D.J. The Pesticide Properties DataBase (PPDB) Developed by the Agriculture & Environment Research Unit (AERU). 2015. Available online: http://sitem.herts.ac.uk/aeru/ppdb/ (accessed on 15 April 2022).
- Jorge-Escudero, G.; Pérez Polanco, M.; Lagerlöf, J.E.; Pérez, C.A.; Míguez, D. Commercial fungicide toxic effects on terrestrial non-target species might be underestimated when based solely on active ingredient toxicity and standard earthworm tests. Toxics 2022, 10, 488. [Google Scholar] [CrossRef]
- Batista, A.C.; Domingues, C.E.D.C.; Costa, M.J.; Silva-Zacarin, E.C.M. Is a strobilurin fungicide capable of inducing histopathological effects on the midgut and Malpighian tubules of honey bees? J. Apicult. Res. 2020, 59, 834–843. [Google Scholar] [CrossRef]
- Carneiro, L.S.; Martínez, L.C.; Gonçalves, W.G.; Santana, L.M.; Serrão, J.E. The fungicide iprodione affects midgut cells of non-target honey bee Apis mellifera workers. Ecotox. Environ. Safe. 2020, 189, 109991. [Google Scholar] [CrossRef]
- Lehane, M.J. Peritrophic matrix structure and function. Annu. Rev. Entomol. 1997, 42, 525–550. [Google Scholar] [CrossRef] [PubMed]
- Terra, W.R. The origin and functions of the insect peritrophic membrane and peritrophic gel. Arch. Insect Biochem. Physiol. 2001, 47, 47–61. [Google Scholar] [CrossRef] [PubMed]
- Cook, S.M.; Awmack, C.S.; Murray, D.A.; Williams, I.H. Are honey bees’ foraging preferences affected by pollen amino acid composition? Ecol. Entomol. 2003, 28, 622–627. [Google Scholar] [CrossRef]
- Glavinic, U.; Stankovic, B.; Draskovic, V.; Stevanovic, J.; Petrovic, T.; Lakic, N.; Stanimirovic, Z. Dietary amino acid and vitamin complex protects honey bee from immunosuppression caused by Nosema ceranae. PLoS ONE 2017, 12, e187726. [Google Scholar] [CrossRef]
- Paoli, P.P.; Donley, D.; Stabler, D.; Saseendranath, A.; Nicolson, S.W.; Simpson, S.J.; Wright, G.A. Nutritional balance of essential amino acids and carbohydrates of the adult worker honeybee depends on age. Amino Acids 2014, 46, 1449–1458. [Google Scholar] [CrossRef]
- Hendriksma, H.P.; Pachow, C.D.; Nieh, J.C. Effects of essential amino acid supplementation to promote honey bee gland and muscle development in cages and colonies. J. Insect Physiol. 2019, 117, 103906. [Google Scholar] [CrossRef]
- Shi, T.; Burton, S.; Wang, Y.; Xu, S.; Zhang, W.; Yu, L. Metabolomic analysis of honey bee, Apis mellifera L. Response to thiacloprid. Pestic. Biochem. Phys. 2018, 152, 17–23. [Google Scholar] [CrossRef]
- Hamdi, C.; Balloi, A.; Essanaa, J.; Crotti, E.; Gonella, E.; Raddadi, N.; Ricci, I.; Boudabous, A.; Borin, S.; Manino, A.; et al. Gut microbiome dysbiosis and honeybee health. J. Appl. Entomol. 2011, 135, 524–533. [Google Scholar] [CrossRef]
- Alberoni, D.; Baffoni, L.; Braglia, C.; Gaggìa, F.; Di Gioia, D. Honeybees exposure to natural feed additives: How is the gut microbiota affected? Microorganisms 2021, 9, 1009. [Google Scholar] [CrossRef]
- Raymann, K.; Moran, N.A. The role of the gut microbiome in health and disease of adult honey bee workers. Curr. Opin. Insect Sci. 2018, 26, 97–104. [Google Scholar] [CrossRef] [PubMed]
- Jia, H.R.; Dai, P.L.; Geng, L.L.; Jack, C.J.; Li, Y.H.; Wu, Y.Y.; Diao, Q.Y.; Ellis, J.D. No effect of Bt Cry1Ie toxin on bacterial diversity in the midgut of the Chinese honey bees, Apis cerana cerana (Hymenoptera, Apidae). Sci. Rep. 2017, 7, 41688. [Google Scholar] [CrossRef] [PubMed]
- Yun, J.H.; Jung, M.J.; Kim, P.S.; Bae, J.W. Social status shapes the bacterial and fungal gut communities of the honey bee. Sci. Rep. 2018, 8, 2019. [Google Scholar] [CrossRef] [PubMed]
- Ellegaard, K.M.; Engel, P. Genomic diversity landscape of the honey bee gut microbiota. Nat. Commun. 2019, 10, 446. [Google Scholar] [CrossRef] [PubMed]
- Ellegaard, K.M.; Suenami, S.; Miyazaki, R.; Engel, P. Vast differences in Strain-Level diversity in the gut microbiota of two closely related honey bee species. Curr. Biol. 2020, 30, 2520–2531. [Google Scholar] [CrossRef]
- Wu, Y.; Zheng, Y.; Wang, S.; Chen, Y.; Tao, J.; Chen, Y.; Chen, G.; Zhao, H.; Wang, K.; Dong, K.; et al. Genetic divergence and functional convergence of gut bacteria between the Eastern honey bee Apis cerana and the Western honey bee Apis mellifera. J. Adv. Res. 2022, 37, 19–31. [Google Scholar] [CrossRef]
- Ricigliano, V.A.; Fitz, W.; Copeland, D.C.; Mott, B.M.; Maes, P.; Floyd, A.S.; Dockstader, A.; Anderson, K.E. The impact of pollen consumption on honey bee (Apis mellifera) digestive physiology and carbohydrate metabolism. Arch. Insect Biochem. Physiol. 2017, 96, e21406. [Google Scholar] [CrossRef]
- Zheng, H.; Nishida, A.; Kwong, W.K.; Koch, H.; Engel, P.; Steele, M.I.; Moran, N.A. Metabolism of toxic sugars by strains of the bee gut symbiont gilliamella apicola. mBio 2016, 7, e01326-16. [Google Scholar] [CrossRef]
- Kwong, W.K.; Moran, N.A. Gut microbial communities of social bees. Nat. Rev. Microbiol. 2016, 14, 374–384. [Google Scholar] [CrossRef]
- Lee, F.J.; Rusch, D.B.; Stewart, F.J.; Mattila, H.R.; Newton, I.L. Saccharide breakdown and fermentation by the honey bee gut microbiome. Environ. Microbiol. 2015, 17, 796–815. [Google Scholar] [CrossRef]
- Vasquez, A.; Forsgren, E.; Fries, I.; Paxton, R.J.; Flaberg, E.; Szekely, L.; Olofsson, T.C. Symbionts as major modulators of insect health: Lactic acid bacteria and honeybees. PLoS ONE 2012, 7, e33188. [Google Scholar] [CrossRef]
- Anuradha, M. Leclercia adecarboxylata isolation: Case reports and review. J. Clin. Diagn. Res. 2014, 8, DD03. [Google Scholar] [CrossRef] [PubMed]
- Tiwari, S.; Beriha, S.S. Pantoea species causing early onset neonatal sepsis: A case report. J. Med. Case Rep. 2015, 9, 188. [Google Scholar] [CrossRef] [PubMed]
- Casteels, P.P.G.S.; Ampe, C.; Riviere, L.; Damme, J.V.; Elicone, C.; Fleming, M.; Jacobs, F.; Tempst, P. Isolation and characterization of abaecin, a major antibacterial response peptide in the honeybee (Apis mellifera). Eur. J. Biochem. 1990, 187, 381–386. [Google Scholar] [CrossRef] [PubMed]
- Evans, J.D. Transcriptional immune responses by honey bee larvae during invasion by the bacterial pathogen, Paenibacillus larvae. J. Invertebr. Pathol. 2004, 85, 105–111. [Google Scholar] [CrossRef] [PubMed]
- Chaimanee, V.; Chantawannakul, P.; Chen, Y.; Evans, J.D.; Pettis, J.S. Differential expression of immune genes of adult honey bee (Apis mellifera) after inoculated by Nosema ceranae. J. Insect Physiol. 2012, 58, 1090–1095. [Google Scholar] [CrossRef] [PubMed]
- Casteels, P.; Ampe, C.; Jacobs, F.; Tempst, P. Functional and chemical characterization of Hymenoptaecin, an antibacterial polypeptide that is infection-inducible in the honey bee (Apis mellifera). J. Biol. Chem. 1993, 268, 7044–7054. [Google Scholar] [CrossRef]
- Casteels-Josson, K.; Zhang, W.; Capaci, T.; Casteels, P.; Tempst, P. Acute transcriptional response of the honeybee peptide-antibiotics gene repertoire and required post-translational conversion of the precursor structures. J. Biol. Chem. 1994, 269, 28569–28575. [Google Scholar] [CrossRef]
- Xu, P.; Shi, M.; Chen, X.X. Antimicrobial peptide evolution in the Asiatic honey bee Apis cerana. PLoS ONE 2009, 4, e4239. [Google Scholar] [CrossRef]
- Li, Z.; Li, M.; He, J.; Zhao, X.; Chaimanee, V.; Huang, W.; Nie, H.; Zhao, Y.; Su, S. Differential physiological effects of neonicotinoid insecticides on honey bees: A comparison between Apis mellifera and Apis cerana. Pestic. Biochem. Phys. 2017, 140, 1–8. [Google Scholar] [CrossRef]
- Schuler, M.A. P450s in plant-insect interactions. Biochimica et Biophysica Acta (BBA)-Proteins and Proteomics 2011, 1814, 36–45. [Google Scholar] [CrossRef]
- Capela, N.; Sarmento, A.; Simões, S.; Azevedo-Pereira, H.M.V.S.; Sousa, J.P. Sub-lethal doses of sulfoxaflor impair honey bee homing ability. Sci. Total Environ. 2022, 837, 155710. [Google Scholar] [CrossRef] [PubMed]
- OECD guidelines for the testing of chemicals. In Test No. 213: Honeybees, Acute Oral Toxicity Test; OECD Publishing: Paris, France, 1998.
- Sharma, R.C.; Murphy, A.J.; Dewald, M.G.; Schimke, R.T. A rapid procedure for isolation of RNA-free genomic DNA from mammalian cells. Biotechniques 1993, 14, 176–178. [Google Scholar]
- Li, D.; Liu, C.M.; Luo, R.; Sadakane, K.; Lam, T.W. MEGAHIT: An ultra-fast single-node solution for large and complex metagenomics assembly via succinct de Bruijn graph. Bioinformatics 2015, 31, 1674–1676. [Google Scholar] [CrossRef]
- Zhu, W.; Lomsadze, A.; Borodovsky, M. Ab initio gene identification in metagenomic sequences. Nucleic Acids Res. 2010, 38, e132. [Google Scholar] [CrossRef] [PubMed]
- Fu, L.; Niu, B.; Zhu, Z.; Wu, S.; Li, W. CD-HIT: Accelerated for clustering the next-generation sequencing data. Bioinformatics 2012, 28, 3150–3152. [Google Scholar] [CrossRef]
- Paradis, E.; Claude, J.; Strimmer, K. APE: Analyses of phylogenetics and evolution in R language. Bioinformatics 2004, 20, 289–290. [Google Scholar] [CrossRef] [PubMed]
- Buchfink, B.; Xie, C.; Huson, D.H. Fast and sensitive protein alignment using DIAMOND. Nat. Methods 2015, 12, 59–60. [Google Scholar] [CrossRef] [PubMed]
- Huson, D.H.; Mitra, S.; Ruscheweyh, H.J.; Weber, N.; Schuster, S.C. Integrative analysis of environmental sequences using MEGAN4. Genome Res. 2011, 21, 1552–1560. [Google Scholar] [CrossRef]
- Livak, K.J.; Schmittgen, T.D. Analysis of relative gene expression data using Real-Time quantitative PCR and the 2−ΔΔCT method. Methods 2001, 25, 402–408. [Google Scholar] [CrossRef]





Disclaimer/Publisher’s Note: The statements, opinions and data contained in all publications are solely those of the individual author(s) and contributor(s) and not of MDPI and/or the editor(s). MDPI and/or the editor(s) disclaim responsibility for any injury to people or property resulting from any ideas, methods, instructions or products referred to in the content. |
© 2023 by the authors. Licensee MDPI, Basel, Switzerland. This article is an open access article distributed under the terms and conditions of the Creative Commons Attribution (CC BY) license (https://creativecommons.org/licenses/by/4.0/).
Share and Cite
Dong, J.; Huang, M.; Guo, H.; Zhang, J.; Tan, X.; Wang, D. Ternary Mixture of Azoxystrobin, Boscalid and Pyraclostrobin Disrupts the Gut Microbiota and Metabolic Balance of Honeybees (Apis cerana cerana). Int. J. Mol. Sci. 2023, 24, 5354. https://doi.org/10.3390/ijms24065354
Dong J, Huang M, Guo H, Zhang J, Tan X, Wang D. Ternary Mixture of Azoxystrobin, Boscalid and Pyraclostrobin Disrupts the Gut Microbiota and Metabolic Balance of Honeybees (Apis cerana cerana). International Journal of Molecular Sciences. 2023; 24(6):5354. https://doi.org/10.3390/ijms24065354
Chicago/Turabian StyleDong, Jie, Minjie Huang, Haikun Guo, Jiawen Zhang, Xiaodong Tan, and Deqian Wang. 2023. "Ternary Mixture of Azoxystrobin, Boscalid and Pyraclostrobin Disrupts the Gut Microbiota and Metabolic Balance of Honeybees (Apis cerana cerana)" International Journal of Molecular Sciences 24, no. 6: 5354. https://doi.org/10.3390/ijms24065354
APA StyleDong, J., Huang, M., Guo, H., Zhang, J., Tan, X., & Wang, D. (2023). Ternary Mixture of Azoxystrobin, Boscalid and Pyraclostrobin Disrupts the Gut Microbiota and Metabolic Balance of Honeybees (Apis cerana cerana). International Journal of Molecular Sciences, 24(6), 5354. https://doi.org/10.3390/ijms24065354

