Diagnostic Challenges and Solutions in Systemic Amyloidosis
Abstract
1. Amyloidosis as a Protein Deposition Disease
2. Clinical Manifestations of AL, ATTR, and AA Amyloidosis
3. Importance of Determining the Amyloid Type in Clinical Practice
4. Biopsy-Based Diagnosis of Amyloidosis: Pitfalls and Challenges
5. Common Noninvasive Laboratory and Imaging Techniques as Auxiliary Tools in Amyloidosis Diagnosis
6. Other Tests That Determine Amyloid Type
6.1. Immunochemical/Chemical Amyloid Typing in Biopsy Tissue Extracts
- Patient #1
- Patient #2
- Patient #3
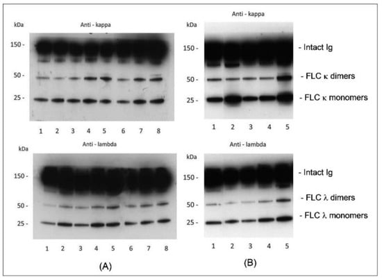
6.2. Serum FLC Monomer-Dimer Pattern Analysis in the Diagnosis of AL Amyloidosis
7. Conclusions
Author Contributions
Funding
Conflicts of Interest
Abbreviations
| AA | amyloidosis A; |
| AL | immunoglobulin light chain amyloidosis; |
| ATTR | transthyretin amyloidosis; |
| ATTRv | variant/hereditary type transthyretin amyloidosis |
| ATTRwt | Wild-type transthyretin amyloidois; |
| CR | Congo red; |
| FMF | familial Mediterranean fever; |
| IEM | immunoelectron microscopy; |
| IF | immunofluorescence; |
| IHC | immunohistochemistry; |
| LC-MS/MS | liquid chromatography–tandem mass spectrometry; |
| MGUS | monoclonal gammopathy of unknown significance; |
| MS | mass spectrometry; |
| MW | molecular weight; |
| PCD | plasma cell dyscrasia; |
| SAA | serum amyloid A; |
| SAP | serum amyloid P component; |
| SDS-PAGE | sodium dodecyl sulfate–polyacrylamide gel electrophoresis; |
| TcDPD | technetium diphosphono-propanodicarboxylic acid |
| TTR | transthyretin; |
| WB | Western blotting. |
References
- Buxbaum, J.N.; Dispenzieri, A.; Eisenberg, D.S.; Fändrich, M.; Merlini, G.; Saraiva, M.J.M.; Sekijima, Y.; Westermark, P. Amyloid nomenclature 2022: Update, novel proteins, and recommendations by the International Society of Amyloidosis (ISA) Nomenclature Committee. Amyloid 2022, 29, 213–219. [Google Scholar] [CrossRef] [PubMed]
- Buxbaum, J. Mechanisms of disease—Monoclonal immunoglobulin deposition—Amyloidosis, light chain deposition disease, and light and heavy-chain deposition disease. Hematol. Oncol. Clin. N. Am. 1992, 6, 323–346. [Google Scholar] [CrossRef]
- Bergstrom, J.; Gustavsson, A.; Hellman, U.; Sletten, K.; Murphy, C.L.; Weiss, D.T.; Solomon, A.; Olofsson, B.-O.; Westermark, P. Amyloid deposits in transthyretin-derived amyloidosis: Cleaved transthyretin is associated with distinct amyloid morphology. J. Pathol. 2005, 206, 224–232. [Google Scholar] [CrossRef]
- Marcoux, J.; Mangione, P.P.; Porcari, R.; Degiacomi, M.T.; Verona, G.; Taylor, G.W.; Giorgetti, S.; Raimondi, S.; Sanglier-Clanférani, S.; Benesch, J.L.P. A novel mechano-enzymatic cleavage mechanism underlies transthyretin amyloidogenesis. EMBO Mol. Med. 2015, 7, 1337–1349. [Google Scholar] [CrossRef] [PubMed]
- Comenzo, R.L.; Zhang, Y.; Martinez, C.; Osman, K.; Herrera, G.A. The tropism of organ involvement in primary systemic amyloidosis: Contributions of Ig V(L) germ line gene use and clonal plasma cell burden. Blood 2001, 98, 714–720. [Google Scholar] [CrossRef]
- Abraham, R.S.; Geyer, S.M.; Price-Troska, T.L.; Allmer, C.; Kyle, R.A.; Gertz, M.A.; Fonseca, R. Immunoglobulin light chainvariable (V) region genes influence clinical presentation and outcome in light chain–associated amyloidosis (AL). Blood 2003, 101, 3801–3807. [Google Scholar] [CrossRef]
- Perfetti, V.; Palladini, G.; Casarini, S.; Navazza, V.; Rognoni, P.; Obici, L.; Invernizzi, R.; Perlini, S.; Klersy, C.; Merlini, G. The repertoire of light chains causing predominant amyloid heart involvement and identification of a preferentially involved germline gene, IGLV1-44. Blood 2012, 119, 144–150. [Google Scholar] [CrossRef]
- Ihse, E.; Rapezzi, C.; Merlini, G.; Benson, M.D.; Ando, Y.; Suhr, O.B.; Ikeda, S.-I.; Lavatelli, F.; Obici, L.; Quarta, C.C.; et al. Amyloid fibrils containing fragmented ATTR may be the standard fibril composition in ATTR amyloidosis. Amyloid 2013, 20, 142–150. [Google Scholar] [CrossRef]
- Blancas-Mejia, L.M.; Misra, P.; Dick, C.J.; Cooper, S.A.; Redhage, K.R.; Bergman, M.R.; Jordan, T.L.; Maar, K.; Ramirez-Alvarado, M. Immunoglobulin light chain amyloid aggregation. Chem. Commun. 2018, 54, 10664–10674. [Google Scholar] [CrossRef] [PubMed]
- Lavatelli, F.; Mazzini, G.; Ricagno, S.; Iavarone, F.; Rognoni, P.; Milani, P.; Nuvolone, M.; Swuec, P.; Caminito, S.; Tasaki, M.; et al. Mass spectrometry characterization of light chain fragmentation sites in cardiac AL amyloidosis: Insights into the timing of proteolysis. Biol. Chem. 2020, 295, 16572–16584. [Google Scholar] [CrossRef]
- Lavatelli, F. Mechanisms of organ damage and novel treatment targets in AL amyloidosis. Hemato 2022, 3, 5. [Google Scholar] [CrossRef]
- Muchtar, E.; Dispenzieri, A.; Magen, H.; Grogan, M.; Mauermann, M.; McPhail, E.D.; Kurtin, P.J.; Leung, N.; Buadi, F.K.; Dingli, D.; et al. Systemic amyloidosis from A (AA) to T (ATTR): A review. J. Inter. Med. 2021, 286, 268–292. [Google Scholar] [CrossRef] [PubMed]
- Gertz, M.A.; Dispenzieri, A. Systemic amyloidosis recognition, prognosis, and therapy: A systematic review. JAMA 2020, 324, 79–89. [Google Scholar] [CrossRef] [PubMed]
- Morfino, P.; Aimo, A.; Panichella, G.; Rapezzi, C.; Emdin, M. Amyloid seeding as a disease mechanism and treatment target in transthyretin cardiac amyloidosis. Heart Fail. Rev. 2022, 27, 2187–2200. [Google Scholar] [CrossRef] [PubMed]
- Maurer, M.S.; Schwartz, J.H.; Gundapaneni, B.; Elliott, P.M.; Merlini, G.; Waddington-Cruz, M.; Kristen, A.V.; Grogan, M.; Witteles, R.; Damy, T.; et al. Tafamidis treatment for patients with transthyretin amyloid cardiomyopathy. N. Engl. J. Med. 2018, 379, 1007–10016. [Google Scholar] [CrossRef]
- Nyström, S.; Bäck, M.; Nilsson, K.P.R.; Hammarström, P. Imaging amyloid tissues stained with luminescent conjugated oligothiophenes by hyperspectral confocal microscopy and fluorescence lifetime imaging. J. Vis. Exp. 2017, 56279. [Google Scholar] [CrossRef]
- Sjölander, D.; Bijzet, J.; Hazenberg, B.P.; Nilsson, K.P.; Hammarström, P. Sensitive and rapid assessment of amyloid by oligothiophene fluorescence in subcutaneous fat tissue. Amyloid 2015, 22, 19–25. [Google Scholar] [CrossRef]
- Mollee, P.; Boros, S.; Loo, D.; Ruelcke, J.E.; Lakis, V.A.; Lê Cao, K.-A.; Renaut, P.; Hill, M.M. Implementation and evaluation of amyloidosis subtyping by laser-capture microdissection and tandem mass spectrometry. Clin. Proteom. 2016, 13, 30. [Google Scholar] [CrossRef]
- Vrana, J.A.; Theis, J.D.; Dasari, S.; Mereuta, O.M.; Dispenzieri, A.; Zeldenrust, S.R.; Gertz, M.A.; Kurtin, P.J.; Grogg, K.L.; Dogan, A. Clinical diagnosis and typing of systemic amyloidosis in subcutaneous fat aspirates by mass spectrometry-based proteomics. Haematologica 2014, 99, 1239–1247. [Google Scholar] [CrossRef]
- Dasari, S.; Theis, J.D.; Vrana, J.A.; Rech, K.L.; Dao, L.N.; Howard, M.T.; Dispenzieri, A.; Gertz, M.A.; Hasadsri, L.; Highsmith, W.E.; et al. Amyloid typing by mass spectrometry in clinical practice: A comprehensive review of 16,175 samples. Mayo Clin. Proc. 2020, 95, 1852–1864. [Google Scholar] [CrossRef]
- Gottwald, J.; Röcken, C. The amyloid proteome: A systematic review and proposal of a protein classification system. Crit. Rev. Biochem. Mol. Biol. 2021, 56, 526–542. [Google Scholar] [CrossRef]
- Palstrøm, N.B.; Rojek, A.M.; Møller, H.E.H.; Hansen, C.T.; Matthiesen, R.; Rasmussen, L.M.; Abildgaard, N.; Beck, H.C. Classification of amyloidosis by model-assisted mass spectrometry-based proteomics. Int. J. Mol. Sci. 2022, 23, 319. [Google Scholar] [CrossRef]
- Fotiou, D.; Dimopoulos, M.A.; Kastritis, E. Systemic AL amyloidosis: Current approaches to diagnosis and management. HemaSphere 2020, 4, e454. [Google Scholar] [CrossRef]
- Linke, R.P.; Oos, R.; Wiegel, N.M.; Nathrath, W.B. Classification of amyloidosis: Misdiagnosis by way of incomplete immunohistochemistry and how to prevent it. Acta Histochem. 2006, 108, 197–208. [Google Scholar] [CrossRef]
- Leung, N.; Nasr, S.H.; Sethi, S. How I treat amyloidosis: The importance of accurate diagnosis and amyloid typing. Blood 2012, 120, 3206–3213. [Google Scholar] [CrossRef] [PubMed]
- Linke, R.P. On typing amyloidosis using immunohistochemistry. Detailed illustrations, review and a note on mass spectrometry. Prog. Histochem. Cytochem. 2012, 47, 61–132. [Google Scholar] [CrossRef] [PubMed]
- Chee, C.E.; Lacy, M.Q.; Dogan, A.; Zeldenrust, S.R.; Gertz, M.A. Pitfalls in the diagnosis of primary amyloidosis. Clin. Lymphoma Myeloma Leuk. 2010, 10, 177–180. [Google Scholar] [CrossRef] [PubMed]
- de Larrea, C.F.; Verga, L.; Morbini, P.; Klersy, C.; Lavatelli, F.; Folli, A.; Obici, L.; Milani, P.; Capello, G.L.; Paulli, M.; et al. A practical approach to the diagnosis of systemic amyloidoses. Blood 2015, 125, 2239–2244. [Google Scholar] [CrossRef] [PubMed]
- Abildgaard, N.; Rojek, A.M.; Møller, H.E.H.; Palstrøm, N.B.; Nyvold, C.G.; Rasmussen, L.M.; Hansen, C.T.; Beck, H.C.; Marcussen, N. Immunoelectron microscopy and mass spectrometry for classification of amyloid deposits. Amyloid 2020, 27, 59–66. [Google Scholar] [CrossRef]
- Vrana, J.A.; Gamez, J.D.; Madden, B.J.; Theis, J.D.; Bergen, H.R., 3rd; Dogan, A. Classification of amyloidosis by laser microdissection and mass spectrometry-based proteomic analysis in clinical biopsy specimens. Blood 2009, 114, 4957–4959. [Google Scholar] [CrossRef]
- Cohen, A.D.; Comenzo, R.L. Systemic light-chain amyloidosis: Advances in diagnosis, prognosis, and therapy. Hematol. Am. Soc. Hematol. Educ. Program 2010, 2010, 287–294. [Google Scholar] [CrossRef] [PubMed]
- Gertz, M.A.; Kyle, R.A.; Greipp, P.R. The plasma cell labeling index: A valuable tool in primary systemic amyloidosis. Blood 1989, 74, 1108–1111. [Google Scholar] [CrossRef]
- Lachmann, H.J.; Booth, D.R.; Booth, S.E.; Bybee, A.; Gilbertson, J.A.; Gillmore, J.D.; Pepys, M.B.; Hawkins, P.N. Misdiagnosis of hereditary amyloidosis as AL (primary) amyloidosis. N. Engl. J. Med. 2002, 346, 1786–1791. [Google Scholar] [CrossRef] [PubMed]
- Gillmore, J.D.; Maurer, M.S.; Falk, R.H.; Merlini, G.; Damy, T.; Dispenzieri, A.; Wechalekar, A.D.; Berk, J.L.; Quarta, C.C.; Grogan, M.; et al. Non-biopsy diagnosis of cardiac transthyretin amyloidosis. Circulation 2020, 133, 2404–2412. [Google Scholar] [CrossRef] [PubMed]
- Hanna, M.; Ruberg, F.L.; Maurer, M.S.; Dispenzieri, A.; Dorbala, S.; Falk, R.H.; Hoffman, J.; Jaber, W.; Soman, P.; Witteles, R.M.; et al. Cardiac scintigraphy with Technetium-99m-labeled bone-seeking tracers for suspected amyloidosis: JACS review topic of the week. J. Am. Coll. Cardiol. 2020, 75, 2851–2862. [Google Scholar] [CrossRef] [PubMed]
- Kaplan, B.; Yakar, S.; Kumar, A.; Pras, M.; Gallo, G. Immunochemical characterization of amyloid in diagnostic biopsy tissues. Amyloid 1997, 4, 80–86. [Google Scholar] [CrossRef]
- Kaplan, B.; Vidal, R.; Kumar, A.; Ghiso, J.; Frangione, B.; Gallo, G. Amino-terminal identity of co-existent amyloid and non-amyloid immunoglobulin light chain deposits. A human disease to study alterations of protein conformation. Clin. Exp. Immunol. 1997, 110, 472–478. [Google Scholar] [CrossRef]
- Kaplan, B.; Hrncic, R.; Murphy, C.L.; Gallo, G.; Weiss, D.T.; Solomon, A. Microextraction and purification techniques applicable to the characterization of amyloid proteins in minute amounts of tissue. Methods Enzymol. 1999, 309, 67–81. [Google Scholar] [CrossRef]
- Kaplan, B.; Vidal, R.; Kumar, A.; Ghiso, J.; Gallo, G. Immunochemical microanalysis of amyloid proteins in fine-needle aspirates of abdominal fat. Am. J. Clin. Pathol. 1999, 112, 403–407. [Google Scholar] [CrossRef]
- Rostango, A.; Vidal, R.; Kaplan, B.; Chuba, J.; Kumar, A.; Elliott, J.I.; Frangione, B.; Gallo, G.; Ghiso, J. pH-dependent fibrillogenesis of a VkappaIII Bence Jones protein. Br. J. Haematol. 1999, 107, 835–843. [Google Scholar] [CrossRef]
- Kaplan, B.; Martin, B.M.; Livneh, A.; Pras, M.; Gallo, G. Biochemical subtyping of amyloid in formalin-fixed tissue confirms and supplements immunohistological data. Am. J. Clin. Pathol. 2004, 121, 794–800. [Google Scholar] [CrossRef] [PubMed]
- Kaplan, B.; Martin, B.M.; Cohen, H.A.; Manaster, J.; Kassif, Y.; Rehany, U.; Livneh, A. Primary local orbital amyloidosis: Biochemical identification of the immunoglobulin light chain kIII subtype in a small formalin fixed, paraffin wax embedded tissue sample. J. Clin. Pathol. 2005, 58, 539–542. [Google Scholar] [CrossRef] [PubMed]
- Kaplan, B.; Martin, B.M.; Boykov, O.; Gal, R.; Pras, M.; Shechtman, I.; Saute, M.; Kramer, M.R. Co-deposition of amyloidogenic immunoglobulin light and heavy chains in localized pulmonary amyloidosis. Virchows Arch. 2005, 447, 756–761. [Google Scholar] [CrossRef] [PubMed]
- Kaplan, B.; Martin, B.M.; Livoff, A.; Yeremenko, D.; Livneh, A.; Cohen, H.I. Gastrointestinal β2-microglobulin amyloidosis in hemodialysis patients: Biochemical analysis of amyloid proteins in small formalin-fixed paraffin-embedded tissue specimens. Modern. Pathol. 2005, 18, 1610–1617. [Google Scholar] [CrossRef] [PubMed]
- Kaplan, B.; Martin, B.M.; Livneh, A.; Pras, M.; Gallo, G. Biochemical micro-techniques in the diagnosis and classification of amyloidosis. Curr. Pharm. Anal. 2006, 2, 45–52. [Google Scholar] [CrossRef]
- Kaplan, B.; Shinar, Y.; Avisar, C.; Livneh, A. Transthyretin amyloidosis in a patient of Iranian-Jewish extraction: A second Israeli-Jewish case. Clin. Chem. Lab. Med. 2007, 45, 625–628. [Google Scholar] [CrossRef] [PubMed]
- Kaplan, B.; Ramirez-Alvarado, M.; Sikking, L.; Golderman, S.; Dispenzieri, A.; Livneh, A.; Gallo, G. Free light chains in plasma of patients with light chain amyloidosis and non-amyloid light chain deposition disease. High proportion and heterogeneity of disulfide-linked monoclonal free light chains as pathogenic features of amyloid disease. Br. J. Haematol. 2009, 144, 705–715. [Google Scholar] [CrossRef] [PubMed]
- Kaplan, B.; Ziv, T.; Livneh, A. A simple amyloid typing procedure based on proteomic approach. In Proceedings of the XIII International Symposium on Amyloidosis, Groningen, The Netherlands, 6–10 May 2012; Hazenberg, B.P.C., Bijzet, J., Eds.; UMC: Groningen, The Netherlands, 2012; pp. 190–193, ISBN 978-90-821593-0-1. [Google Scholar]
- Mazzini, J.; Ricagno, S.; Caminito, S.; Rognoni, P.; Milani, P.; Nuvolone, M.; Baset, M.; Foli, A.; Russo, R.; Merlini, G.; et al. Protease-sensitive regions in amyloid light chains: What a common pattern of fragmentation across organs suggests about aggregation. FEBSJ 2022, 289, 494–506. [Google Scholar] [CrossRef]
- Kukuy, O.; Kaplan, B.; Golderman, S.; Volkov, A.; Duek, A.; Leiba, M.; ben-Zvi, I.; Livneh, A. Kidney disease and plasma cell dyscrasias: Ambiguous cases solved by serum free light chain dimerization analysis. Clin. Exp. Nephrol. 2019, 23, 763–772. [Google Scholar] [CrossRef]
- Kaplan, B.; Golderman, S.; Aizenbud, B.; Esev, K.; Kukuy, O.; Leiba, M.; Livneh, A.; Ben-Zvi, I. Immunoglobulin-free light chain monomer-dimer patterns help to distinguish malignant from premalignant monoclonal gammopathies: A pilot study. Am. J. Hematol. 2014, 89, 882–888. [Google Scholar] [CrossRef]
- Gatt, M.E.; Kaplan, B.; Yogev, D.; Slyusarevsky, E.; Pogrebijski, G.; Golderman, S.; Kukuy, O.; Livneh, A. The use of serum free light chain dimerization patterns assist in the diagnosis of AL amyloidosis. Br. J. Haematol. 2018, 182, 86–92. [Google Scholar] [CrossRef] [PubMed]
- Goldis, R.; Kaplan, B.; Arad, M.; Dispenzieri, A.; Dasari, S.; Kukuy, O.; Simon, A.J.; Ziv, T.; Murray, D.; Kourelis, T.; et al. Detection of amyloidogenic FLC in serum as a non-invasive tool to facilitate the diagnosis of AL amyloidosis. In Abstract Book, Proceedings of the XVIII International Symposium on amyloidosis ISA 2022, Heidelberg, Germany, 4–8 September 2022; Heidelberg University: Heidelberg, Germany, 2022; pp. 666–667. [Google Scholar]
- Souillac, P.O.; Uversky, V.N.; Millett, I.S.; Khurana, R.; Doniach, S.; Fink, A.L. Elucidation of the molecular mechanism during the early events in immunoglobulin light chain amyloid fibrillation: Evidence for an offpathwayoligomer at acidic pH. J. Biol. Chem. 2002, 277, 12666–12679. [Google Scholar] [CrossRef] [PubMed]
- Migrino, R.Q.; Hari, P.; Gutterman, D.D.; Bright, M.; Truran, S.; Schlundt, B.; Phillips, S.A. Systemic and microvascular oxidative stress induced by light chain amyloidosis. Int. J. Cardiol. 2010, 145, 67–68. [Google Scholar] [CrossRef]
- Sharma, A.; Tripathi, M.; Satyam, A.; Kumar, L. Study on antioxidant level in patients with multiple myeloma. Leuk. Lymphoma 2009, 50, 809–815. [Google Scholar] [CrossRef]
- Wilkinson, B.; Gilbert, H. Protein disulfide isomerase. Biochem. Biophys. Acta Proteins Proteom. 2004, 1699, 35–44. [Google Scholar] [CrossRef]
- Xiao, R.; Lundstrom-Ljung, J.; Holmgren, A.; Gilbert, H.F. Catalysis of thiol/disulfide exchange. J. Biol. Chem. 2005, 280, 21099–21106. [Google Scholar] [CrossRef]
- Nienhuis, H.L.A.; Bouke, J.B.; Hazenberg, B.P.C. The prevalence and management of systemic amyloidosis in Western countries. Kidney Dis. 2016, 2, 10–19. [Google Scholar] [CrossRef]
- McCausland, K.L.; White, M.K.; Gutfhrie, S.D.; Quock, T.; Finkel, M.; Lousada, I.; Bayliss, M.S. Light chain (AL) amyloidosis. The journey to diagnosis. Patient 2018, 11, 207–216. [Google Scholar] [CrossRef]



| Amyloid Typing Techniques | Number of Cases with Identical Results |
|---|---|
| WB vs. IF | 21 of 22 [36,37,39,40] |
| WB vs. amino acid sequence analysis of immunoreactive bands: (a) N-terminal sequencing (b) LC-MS/MS | 13 of 13 [37,38,40,41,42,43,44] 6 of 6 [47,48] |
| Total: 40 of 41 |
Disclaimer/Publisher’s Note: The statements, opinions and data contained in all publications are solely those of the individual author(s) and contributor(s) and not of MDPI and/or the editor(s). MDPI and/or the editor(s) disclaim responsibility for any injury to people or property resulting from any ideas, methods, instructions or products referred to in the content. |
© 2023 by the authors. Licensee MDPI, Basel, Switzerland. This article is an open access article distributed under the terms and conditions of the Creative Commons Attribution (CC BY) license (https://creativecommons.org/licenses/by/4.0/).
Share and Cite
Goldis, R.; Kaplan, B.; Kukuy, O.; Arad, M.; Magen, H.; Shavit-Stein, E.; Dori, A.; Livneh, A. Diagnostic Challenges and Solutions in Systemic Amyloidosis. Int. J. Mol. Sci. 2023, 24, 4655. https://doi.org/10.3390/ijms24054655
Goldis R, Kaplan B, Kukuy O, Arad M, Magen H, Shavit-Stein E, Dori A, Livneh A. Diagnostic Challenges and Solutions in Systemic Amyloidosis. International Journal of Molecular Sciences. 2023; 24(5):4655. https://doi.org/10.3390/ijms24054655
Chicago/Turabian StyleGoldis, Rivka, Batia Kaplan, Olga (Lesya) Kukuy, Michael Arad, Hila Magen, Efrat Shavit-Stein, Amir Dori, and Avi Livneh. 2023. "Diagnostic Challenges and Solutions in Systemic Amyloidosis" International Journal of Molecular Sciences 24, no. 5: 4655. https://doi.org/10.3390/ijms24054655
APA StyleGoldis, R., Kaplan, B., Kukuy, O., Arad, M., Magen, H., Shavit-Stein, E., Dori, A., & Livneh, A. (2023). Diagnostic Challenges and Solutions in Systemic Amyloidosis. International Journal of Molecular Sciences, 24(5), 4655. https://doi.org/10.3390/ijms24054655

