Sign in to use this feature.

Years

Between: -

Subjects

remove_circle_outline
remove_circle_outline
remove_circle_outline
remove_circle_outline
remove_circle_outline
remove_circle_outline
remove_circle_outline
remove_circle_outline
remove_circle_outline

Journals

remove_circle_outline
remove_circle_outline
remove_circle_outline
remove_circle_outline
remove_circle_outline
remove_circle_outline
remove_circle_outline
remove_circle_outline
remove_circle_outline
remove_circle_outline

Article Types

Countries / Regions

remove_circle_outline
remove_circle_outline
remove_circle_outline
remove_circle_outline

Search Results (325)

Search Parameters:
Keywords = free light chains

Order results
Result details
Results per page
Select all
Export citation of selected articles as:
10 pages, 1403 KB  
Case Report
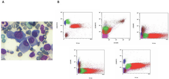
Complex Chromothripsis-like Features in Plasma Cell Myeloma: A Case Report and Review of the Literature
by Jaymie Oentoro, Sonia Yu, Kevin A. Murgas, Jacob Rocha, Tahmeena Ahmed and Carlos A. Tirado
Diagnostics 2026, 16(9), 1280; https://doi.org/10.3390/diagnostics16091280 - 24 Apr 2026
Abstract
Background and Clinical Significance: Chromothripsis represents a catastrophic genomic event in plasma cell myeloma (PCM) associated with poor prognosis. We report a case of newly diagnosed PCM with complex cytogenetic abnormalities indicative of genomic instability. Case Presentation: A 67-year-old man presented with [...] Read more.
Background and Clinical Significance: Chromothripsis represents a catastrophic genomic event in plasma cell myeloma (PCM) associated with poor prognosis. We report a case of newly diagnosed PCM with complex cytogenetic abnormalities indicative of genomic instability. Case Presentation: A 67-year-old man presented with acute dyspnea and was found to have severe acute kidney injury, anemia, hypercalcemia, and IgG lambda monoclonal gammopathy. Bone marrow biopsy revealed plasma cell infiltration. Comprehensive FISH analysis demonstrated a complex pattern with gain of 1q, monosomy 13, and multiple numeric and structural abnormalities affecting chromosomes 5, 9, and 15, suggestive of a chromothripsis-like pattern. Despite requiring hemodialysis, the patient achieved complete renal recovery and >99% reduction in serum-free light chains after one cycle of CyBorD plus daratumumab, which was continued for four cycles. Follow-up bone marrow evaluation at three months confirmed complete histologic, flow cytometric, and cytogenetic remission, allowing for preparation for autologous stem cell transplantation. Conclusions: This case demonstrates that exceptional clinical responses can be achieved in high-risk disease with contemporary quadruplet regimens. While the long-term durability of such responses in genomically unstable cases remains uncertain, this case highlights the importance of comprehensive cytogenetic characterization to identify and monitor genomic instability in PCM. Full article
(This article belongs to the Section Pathology and Molecular Diagnostics)
Show Figures

Figure 1

10 pages, 1022 KB  
Case Report
Clinical Significance of Serum Protein Electrophoresis in Rapid Progression of Multiple Myeloma: A Case Report
by Silvia Iannelli, Melania Scarcella, Antonella Cusano, Federica Feleppa, Ylenia Pancione, Luigi Michele Pavone and Pasquale Cocchiaro
Clin. Pract. 2026, 16(4), 81; https://doi.org/10.3390/clinpract16040081 - 21 Apr 2026
Viewed by 88
Abstract
Background/Objectives: Serum protein electrophoresis (SPE) is a widely used laboratory test for the detection and monitoring of monoclonal gammopathies, including multiple myeloma (MM). Although SPE is usually recommended in the presence of specific clinical or laboratory abnormalities, monoclonal gammopathies may occasionally develop [...] Read more.
Background/Objectives: Serum protein electrophoresis (SPE) is a widely used laboratory test for the detection and monitoring of monoclonal gammopathies, including multiple myeloma (MM). Although SPE is usually recommended in the presence of specific clinical or laboratory abnormalities, monoclonal gammopathies may occasionally develop rapidly and without typical symptoms. This case report aims to emphasize the diagnostic value of SPE in identifying an unexpected and fast-evolving monoclonal gammopathy. Methods: We report the clinical and laboratory eight-month follow-up of a 58-year-old male who initially underwent SPE for unrelated clinical conditions. Serial SPE analyses were performed using capillary zone electrophoresis. When abnormalities emerged, immunotyping and serum free light chain (FLC) assays were conducted. The diagnostic workup was completed with bone marrow aspiration, flow cytometry, and imaging studies according to current international diagnostic criteria. Results: The initial SPE (November 2023) showed a normal protein profile. After eight months, follow-up SPE revealed a prominent monoclonal spike in the gamma region (2.9 g/dL), associated with increased total serum proteins (91 g/L; range 64–82 g/L), elevated IgA levels (20.0 g/L; range 0.4–3.5 g/L), and a markedly abnormal κ/λ FLC ratio (54.00; range 0.31–1.56). Bone marrow analysis demonstrated >18% plasma cell infiltration, confirming the diagnosis of IgA-κ MM. The patient underwent standard therapy followed by autologous stem cell transplantation, achieving disease remission. Conclusions: This case highlights that clinically relevant monoclonal gammopathies may arise rapidly in the absence of classical diagnostic features. Routine SPE represents a cost-effective and accessible screening tool that can identify subtle protein abnormalities, prompting the timely use of more specific and invasive diagnostic procedures for aggressive plasma cell disorders. Full article
Show Figures

Figure 1

12 pages, 494 KB  
Article
Use of High- and Medium-Cut-off Membrane Hemodialysis for Removal of Free Light Chains in Patients with Multiple Myeloma—A Single-Center Experience
by Matevz Skerget, Barbara Vajdic Trampuz, Tajda Starman and Jakob Gubensek
J. Clin. Med. 2026, 15(8), 2917; https://doi.org/10.3390/jcm15082917 - 11 Apr 2026
Viewed by 256
Abstract
Background/Objectives: Light-chain cast nephropathy remains a major cause of morbidity in newly diagnosed multiple myeloma (MM), and rapidly reducing circulating free light chains (FLCs) is considered essential for renal recovery and survival. Methods: We conducted a single-center retrospective study evaluating high- [...] Read more.
Background/Objectives: Light-chain cast nephropathy remains a major cause of morbidity in newly diagnosed multiple myeloma (MM), and rapidly reducing circulating free light chains (FLCs) is considered essential for renal recovery and survival. Methods: We conducted a single-center retrospective study evaluating high- and medium-cut-off hemodialysis (HCO/MCO HD) in newly diagnosed MM patients presenting with acute kidney injury (AKI). Consecutive patients treated at the University Medical Center Ljubljana between 1 January 2020 and 31 December 2023 were included. As per institutional protocols, HCO/MCO HD- and myeloma-directed therapy were initiated on the day of diagnosis. Primary endpoints were the magnitude of FLC reduction, renal and hematologic responses at three months, and overall survival. Results: The median FLC concentration at presentation was 9630 mg/L. FLC levels declined rapidly after HCO/MCO HD initiation, reaching 2400 mg/L by day 7, 1083 mg/L by day 14, and 370 mg/L by day 30. MCO HD achieved kapa FLC clearance comparable to HCO HD for the lambda isotype. Despite a median of only four HCO/MCO-HD sessions, the reduction in FLC was rapid, with an additional decline observed over time, while the median FLC concentration fell below 500 mg/L. At three months, the overall hematologic response was 87%, including very good partial response or better in 35% of patients, and renal response in 79% of patients. Achieving a ≥70% FLC reduction by day 7 was associated with superior outcomes, including markedly longer median overall survival (82.5 vs. 23.2 months). Conclusions: Our data show that HCO/MCO-HD treatment alongside anti-myeloma therapy achieves sustained FLC reduction in newly diagnosed MM with AKI and early FLC reduction is highlighted as a key determinant of survival. Full article
(This article belongs to the Special Issue Acute and Chronic Hemodialysis: Clinical Updates and Advances)
Show Figures

Figure 1

20 pages, 2593 KB  
Article
Electrochemical Detection of Neuronal Injury in Cell Culture Samples: A Cost-Effective Biosensor for Neurofilament Light Sensing
by Anna Panteleeva, Sujey Palma-Florez, Ashlyne M. Smith, Sara Palma-Tortosa, Zaal Kokaia, Josep Samitier and Mònica Mir
Biosensors 2026, 16(4), 212; https://doi.org/10.3390/bios16040212 - 9 Apr 2026
Viewed by 487
Abstract
Neurofilament light chain (NfL) is a promising biomarker of axonal injury across acute and chronic neurodegeneration, which can improve drug discovery and disease monitoring models. Traditional in vivo animal models cannot fully mimic human pathophysiology of neurodegenerative diseases (NDDs), but in vitro models [...] Read more.
Neurofilament light chain (NfL) is a promising biomarker of axonal injury across acute and chronic neurodegeneration, which can improve drug discovery and disease monitoring models. Traditional in vivo animal models cannot fully mimic human pathophysiology of neurodegenerative diseases (NDDs), but in vitro models based on human cells solve this problem, reducing the time and cost of drug testing. We developed an electrochemical immunosensor for NfL detection in cell culture media to monitor acute neuronal injury in in vitro models. The biosensor was designed in two configurations: the label-free system, which directly detects NfL in the sample via the antibody–antigen interaction, and the sandwich configuration, which incorporates two additional antibodies. Detection was examined using electrochemical techniques, including cyclic voltammetry (CV), electrochemical impedance spectroscopy (EIS), and chronoamperometry (CA). The sensor demonstrated a detection limit of 3–9 pg mL−1, and a dynamic working range spanning from 10 up to 107 pg mL−1. Importantly, NfL was successfully detected in physiological media collected from cultured neurons that were differentiated from the long-term human neuroepithelial-like stem cells. This discovery highlights the platform’s applicability for in vitro neurodegenerative models. The immunosensor offers a sensitive, scalable, and cost-effective alternative for neurodegeneration detection in drug testing applications. Full article
Show Figures

Figure 1

22 pages, 4804 KB  
Article
Enhancement of Thermal Sealing and Solubility Properties of Konjac-Glucan/Gelatin Films by Hydroxypropyl Cassava Starch Thermoplastic Effect
by Lingxin Yu, Wenxu Gao, Meining Li, Zhiwen Hu, Yang Li, Junhua Li, Jie Pang and Junyan Shi
Foods 2026, 15(7), 1254; https://doi.org/10.3390/foods15071254 - 7 Apr 2026
Viewed by 377
Abstract
The burgeoning convenience food sector, particularly in China, has intensified demand for packaging that simultaneously delivers convenience, environmental sustainability, and functional performance. This study addresses this need by developing a novel self-sealing, rapidly soluble food packaging film. The film was prepared using solvent [...] Read more.
The burgeoning convenience food sector, particularly in China, has intensified demand for packaging that simultaneously delivers convenience, environmental sustainability, and functional performance. This study addresses this need by developing a novel self-sealing, rapidly soluble food packaging film. The film was prepared using solvent casting technology, with a konjac glucomannan (KGM) matrix as the base material and gelatin (Gel) and hydroxypropyl tapioca starch (HS) as reinforcing agents. Leveraging the thermoplastic effect of HS (its hydroxypropyl side chains disrupt the ordered hydrogen bond network of KGM and Gel, enhancing molecular chain mobility) characterization via FTIR and SEM confirmed successful heat-sealing upon HS incorporation, while dissolution testing validated enhanced dissolution kinetics. The optimal formulation (KGH3) exhibited superior mechanical properties (tensile strength (TS): 17.54 MPa) and excellent barrier performance against both light and oxygen transmission compared to pristine KGM and KG control films. Self-sealed pouches fabricated from KGH films preserved edible oil for 65 days, maintaining peroxide values within acceptable limits and demonstrating 48.7% reduction in oxidation compared to KG films. These findings establish KGM–Gel–HS film as promising candidates for adhesive-free, biodegradable packaging of lipid-rich foods. Full article
Show Figures

Graphical abstract

17 pages, 354 KB  
Review
Early Prognostic Factors in Multiple Sclerosis: Clinical and Therapeutic Implications
by Katarzyna Maciejowska-Szydło and Przemysław Puz
Medicina 2026, 62(3), 475; https://doi.org/10.3390/medicina62030475 - 2 Mar 2026
Viewed by 668
Abstract
Introduction: Multiple sclerosis (MS) is a chronic, inflammatory, demyelinating disease of the central nervous system with a highly heterogeneous clinical course. Early identification of patients at risk of aggressive disease progression is crucial for optimizing therapeutic strategies, including eligibility for highly effective [...] Read more.
Introduction: Multiple sclerosis (MS) is a chronic, inflammatory, demyelinating disease of the central nervous system with a highly heterogeneous clinical course. Early identification of patients at risk of aggressive disease progression is crucial for optimizing therapeutic strategies, including eligibility for highly effective treatments. Objective: The aim of this review was to synthesize current data on prognostic factors in multiple sclerosis, with particular emphasis on their significance in the early stages of the disease and potential clinical implications. Methods: A narrative systematic review of the literature was conducted, including observational studies, cohort studies, meta-analyses, and systematic reviews on the natural course of MS, prognostic factors, and clinical, neuroimaging, and laboratory biomarkers. We comprehensively reviewed PubMed and Scopus databases, focusing on English-language publications. Study selection prioritized longitudinal studies and meta-analyses with clear outcome definitions and sufficient follow-up. Formal quality scoring was not applied due to the narrative design of the review. Results: Key adverse prognostic factors include older age at onset, polysymptomatic onset, high relapse activity in the first years, incomplete remission after relapses, and the primary progressive form. Magnetic resonance imaging features, including the number and location of T2 lesions, contrast activity, the presence of spinal cord lesions, PRLs and SELs, and severe brain atrophy, also have significant predictive value. Increasing importance is being attached to laboratory biomarkers, such as oligoclonal bands, light neurofilaments, free kappa light chains, and GFAP. Conclusions: An integrated assessment of clinical, neuroimaging, and laboratory factors enables more effective risk stratification in patients with newly diagnosed MS. Early identification of an unfavorable prognostic profile may provide a basis for individualizing treatment and considering the use of highly effective therapies early in the course of the disease. Full article
(This article belongs to the Section Neurology)
12 pages, 331 KB  
Article
The Role of Therapeutic Plasma Exchange in the Management of Myeloma-Related Cast Nephropathy: A 10-Year Real-World Cohort Study
by Hasan Salur, Unal Atas, Nurcan Alhan, Ece Vural, Utku Iltar, Orhan Kemal Yucel and Ozan Salim
J. Clin. Med. 2026, 15(2), 417; https://doi.org/10.3390/jcm15020417 - 6 Jan 2026
Viewed by 618
Abstract
Background: Renal impairment is a frequent and severe complication of multiple myeloma, most commonly caused by light-chain cast nephropathy. Therapeutic plasma exchange (TPE) has been proposed as an adjunctive approach to rapidly reduce circulating free light chains; however, its clinical benefit remains controversial. [...] Read more.
Background: Renal impairment is a frequent and severe complication of multiple myeloma, most commonly caused by light-chain cast nephropathy. Therapeutic plasma exchange (TPE) has been proposed as an adjunctive approach to rapidly reduce circulating free light chains; however, its clinical benefit remains controversial. Methods: We retrospectively analyzed 71 patients treated between 2013 and 2023, of whom 30 received TPE in addition to anti-myeloma therapy and 41 received anti-myeloma therapy alone. Renal outcomes were assessed within a predefined early treatment window encompassing the first 4–6 cycles of therapy. Renal response was defined as a ≥50% reduction in serum creatinine and/or dialysis independence. Multivariable logistic regression and sensitivity analyses were performed to adjust for baseline imbalances, including renal function and anti-myeloma backbone therapy. Results: Although renal function improved significantly over time in both groups, renal response rates were comparable between patients treated with and without TPE (40% vs. 36.6%). In multivariable analysis, TPE was not independently associated with renal response. Importantly, in a sensitivity analyses restricted to patients receiving bortezomib-based regimens, the addition of TPE remained unassociated with improved renal outcomes. Conclusions: In this real-world cohort, adjunctive TPE did not confer a significant advantage in renal recovery or dialysis independence beyond contemporary anti-myeloma therapy. These findings indicate that renal recovery is predominantly driven by effective anti-myeloma treatment rather than extracorporeal light-chain removal. Full article
(This article belongs to the Special Issue Multiple Myeloma: Therapeutic and Management Strategies)
Show Figures

Figure 1

11 pages, 783 KB  
Article
Investigation of Biomarkers in Allergic Patients with Long COVID
by Fabio Romano Selvi, David Longhino, Gabriele Lucca, Ilaria Baglivo, Maria Antonietta Zavarella, Chiara Laface, Laura Bruno, Sara Gamberale, Ludovica Fabbroni, Angela Rizzi, Arianna Aruanno, Rosa Buonagura, Marina Curci, Alessandro Buonomo, Marinella Viola, Gianluca Ianiro, Francesco Landi, Matteo Tosato, Antonio Gasbarrini and Cristiano Caruso
J. Pers. Med. 2026, 16(1), 31; https://doi.org/10.3390/jpm16010031 - 5 Jan 2026
Viewed by 654
Abstract
Background: Long COVID remains a challenging and heterogeneous condition, with mechanisms that are still incompletely understood. Emerging evidence suggests that patients with allergic disease may experience more persistent post-COVID symptoms, possibly due to immune dysregulation and epithelial barrier fragility. Methods: We [...] Read more.
Background: Long COVID remains a challenging and heterogeneous condition, with mechanisms that are still incompletely understood. Emerging evidence suggests that patients with allergic disease may experience more persistent post-COVID symptoms, possibly due to immune dysregulation and epithelial barrier fragility. Methods: We carried out an observational, single-center study at the Allergy and Clinical Immunology Unit of Policlinico Universitario A. Gemelli IRCCS (Rome, Italy). Seventeen adults with confirmed allergic disease and long COVID were evaluated between July and December 2024. Biomarkers reflecting allergic inflammation and barrier integrity, blood eosinophil count, total immunoglobulin E (IgE), eosinophil cationic protein (ECP), and serum free light chains (FLCs), were measured and analyzed for interrelationships and symptom correlations. Results: Participants (10 men, 7 women; mean age 43.7 years) showed variable biomarker profiles, consistent with the heterogeneity of allergic inflammation. Mean eosinophil count was 179 ± 72 cells/µL, total IgE 165.4 ± 140.6 kU/L, ECP 64.2 ± 48.5 ng/mL, and the kappa/lambda FLC ratio 1.20 ± 0.69. Notably, elevated kappa FLC levels (>19.4 mg/L) were significantly associated with high ECP (>20 ng/mL) (χ2 = 10.6, p = 0.001) and increased IgE (>200 kU/L) (χ2 = 6.0, p = 0.015). Individuals with higher ECP and FLCs more often reported respiratory and systemic symptoms, especially fatigue, dyspnea, and cognitive fog, that persisted beyond six months. Conclusions: These findings suggest that biomarkers of allergic inflammation and barrier dysfunction, particularly ECP and FLCs, may contribute to the persistence of long-COVID symptoms in allergic patients. The observed links between humoral activation, eosinophilic activity, and prolonged symptom burden support a model of sustained inflammation and delayed epithelial recovery. Larger, longitudinal studies including non-allergic controls are warranted to confirm these associations and to explore whether restoring barrier integrity could shorten recovery trajectories in this vulnerable population. Full article
Show Figures

Graphical abstract

13 pages, 1052 KB  
Article
Immunoglobulin Free Light Chains as a Biomarker of Inflammation and Heart Failure in Myocarditis and Non-Inflammatory Heart Disease
by Olga Blagova, Yulia Lutokhina, Maria Kozhevnikova, Elena Zheleznykh and Evgeniya Kogan
Diagnostics 2026, 16(1), 50; https://doi.org/10.3390/diagnostics16010050 - 23 Dec 2025
Viewed by 647
Abstract
Aim: to study the level of immunoglobulin FLC in patients with myocarditis in comparison with non-inflammatory heart diseases, and FLC’s correlation with the severity of CHF. Methods: Ninety-nine patients (41 women, 59.6 ± 14.6 y.o.) were included in the study: 50 [...] Read more.
Aim: to study the level of immunoglobulin FLC in patients with myocarditis in comparison with non-inflammatory heart diseases, and FLC’s correlation with the severity of CHF. Methods: Ninety-nine patients (41 women, 59.6 ± 14.6 y.o.) were included in the study: 50 patients with myocarditis [confirmed by myocardial biopsy (n = 20) and/or cardiac MRI]; 49 patients with non-inflammatory heart disease. CHF was diagnosed in 66% and 65% of patients, respectively. The levels of FLC were determined using the ‘Cloneus S-FLC-K TIA Kit’ and ‘Cloneus S-FLC-L TIA Kit’ reagents. Results: Elevated FLC levels were found in 56% of patients with myocarditis and in 67% of comparison group patients (p > 0.05). Mean FLC kappa levels were 13.4 [11.7; 16.7] and 16.0 [11.3; 23.7] mg/L, FLC lambda 22.7 [16.7; 32.4] and 24.7 [18.1; 39.1] mg/L, FLC kappa/lambda ratio 0.62 [0.50; 0.73] and 0.65 [0.56; 0.76] in myocarditis and comparison groups, respectively; there were no significant differences between groups. Both groups showed correlations of FLC levels with levels of CRP and leukocytes, as well as with glomerular filtration rate, CHF NYHA class, and left ventricular ejection fraction. Only in patients with myocarditis did we observe a significant correlation between both kappa and lambda FLC and NT-proBNP (r = 0.528, p = 0.004, and r = 0.756, p < 0.001) and high-sensitivity troponin (r = 0.829, p = 0.042) levels. Conclusions: Increased FLC level may be considered an important pathogenetic link reflecting both specific mechanisms of myocarditis and severity of CHF. The determination of FLC can be used as an additional diagnostic marker, as well as one predictor of the decompensated course of myocarditis. Full article
Show Figures

Figure 1

42 pages, 2995 KB  
Review
Plasma Cell Myeloma: Biochemical Insights into Diagnosis, Treatment, and Smart Nanocarrier-Based Therapeutic Development
by Lizeth Geraldine Muñoz, Sixta Palencia Luna and Andrés Felipe Chamorro
Pharmaceutics 2025, 17(12), 1570; https://doi.org/10.3390/pharmaceutics17121570 - 5 Dec 2025
Cited by 1 | Viewed by 1385
Abstract
Plasma cell myeloma (PCM) is classified as a blood cancer and is characterized by the abnormal proliferation of plasma cells in the bone marrow and the excessive production of monoclonal immunoglobulins, which lead to permanent damage to vital organs. Although treatment strategies have [...] Read more.
Plasma cell myeloma (PCM) is classified as a blood cancer and is characterized by the abnormal proliferation of plasma cells in the bone marrow and the excessive production of monoclonal immunoglobulins, which lead to permanent damage to vital organs. Although treatment strategies have improved with the development of proteasome inhibitors (PIs), immunomodulatory drugs (IMiDs), and monoclonal antibodies (mAbs), PCM remains an incurable disease due to its molecular heterogeneity and the development of drug resistance. In this review, we discuss the biochemical and molecular foundations underlying the diagnosis and treatment of PCM, emphasizing both traditional and advanced approaches. Classical methods such as serum protein electrophoresis (SPEP), immunofixation electrophoresis (IFE), and serum free light chain (sFLC) determination are highlighted alongside their integration with highly sensitive techniques like mass spectrometry (MS) and next-generation sequencing (NGS). Special attention is given to nanotechnology-based systems, including liposomes, polymeric nanoparticles (NPs), dendrimers, and hybrid nanocapsules, which enable controlled drug release, targeted delivery, and the minimization of systemic toxicity. Increasingly, nanomaterials are being shown to greatly enhance the biodistribution and pharmacokinetics of anticancer drugs, leading to improved therapeutic effects and escaping resistance mechanisms by employing multifunctional strategies that include dual drug co-encapsulation, pH-sensitive release and theranostic applications. Furthermore, the integration of nanotechnology with immunotherapy platforms represents a paradigm shift toward precision and personalized medicine for the treatment of PCM. Overall, this review views nanotechnology as an enabling technology to improve therapeutic effectiveness, minimize toxicity and open new avenues toward next-generation smart and personalized therapeutics for the treatment of PCM. Full article
(This article belongs to the Special Issue Nanomedicine and Nanotechnology: Recent Advances and Applications)
Show Figures

Figure 1

18 pages, 4499 KB  
Article
Design of Surfactant-Free Microemulsions Composed of n-Pentanol, Ethanol, and Water: Application in Silica Nanoparticle Synthesis
by Martina Gudelj, Marina Kranjac, Ita Hajdin, Matija Tomšič, Janez Cerar, Ante Prkić and Perica Bošković
Inorganics 2025, 13(12), 392; https://doi.org/10.3390/inorganics13120392 - 28 Nov 2025
Viewed by 822
Abstract
This study investigates the formation, physicochemical properties, and applicability of surfactant-free microemulsions (SFMEs) as nanoreactors for the synthesis of silicon dioxide nanoparticles. Surfactant-free systems offer a promising and environmentally benign alternative to traditional microemulsions in which particle formation is governed by surfactants, yet [...] Read more.
This study investigates the formation, physicochemical properties, and applicability of surfactant-free microemulsions (SFMEs) as nanoreactors for the synthesis of silicon dioxide nanoparticles. Surfactant-free systems offer a promising and environmentally benign alternative to traditional microemulsions in which particle formation is governed by surfactants, yet their structural behavior and synthesis mechanisms remain insufficiently understood. A ternary system composed of water, ethanol, and n-pentanol was selected as a model, and its structural organization was analyzed through electrical conductivity, surface tension, and dynamic light scattering (DLS) measurements. The results revealed a broad single-phase region, indicating high miscibility of the components and the formation of dynamically connected polar domains. Electrical conductivity data suggested gradual reorganization of the internal structure without a distinct percolation threshold, while surface tension analysis and the corresponding Gibbs free energies of aggregation (ΔG°) reflected a weaker thermodynamic driving force for aggregation compared to systems containing longer-chain alcohols. DLS measurements confirmed the presence of fluctuating aggregates with hydrodynamic radii between 30 and 85 nm, consistent with literature values for surfactant-free systems. Based on these findings, silica nanoparticles were synthesized within selected compositions of the single-phase region. The resulting particles exhibited predominantly spherical morphology and variable dispersity, reflecting the moderate structural stability of the underlying microemulsion. The synthesized silica nanoparticles typically ranged from approximately 0.9 to 1.2 μm in diameter, reflecting the structural characteristics of the selected SFME compositions. Overall, the results demonstrate that water/ethanol/n-pentanol SFMEs provide new insights into surfactant-free aggregation processes and offer a sustainable route for the synthesis of inorganic nanoparticles. Full article
Show Figures

Graphical abstract

25 pages, 25378 KB  
Article
RF Characterization and Beam Measurements with Additively Manufactured Fast Faraday Cups
by Stephan Klaproth, Rahul Singh, Samira Gruber, Lukas Stepien, Herbert De Gersem and Andreas Penirschke
Instruments 2025, 9(4), 32; https://doi.org/10.3390/instruments9040032 - 28 Nov 2025
Viewed by 806
Abstract
The early stages of most particle accelerator chains produce sub-ns bunches with velocities in the range of 1% to 20% of the speed of light. Fast Faraday Cups (FFCs) are designed to measure the longitudinal charge distribution of these short bunches of free [...] Read more.
The early stages of most particle accelerator chains produce sub-ns bunches with velocities in the range of 1% to 20% of the speed of light. Fast Faraday Cups (FFCs) are designed to measure the longitudinal charge distribution of these short bunches of free charges. Coaxial designs have been utilized at the GSI Helmholtz Centre for Heavy Ion Research (GSI)’s linear accelerator UNILAC to characterize ion bunches with bunch lengths ranging from a few hundred ps to a few ns. The typical design goals are to avoid the pre-field of the charges and to suppress secondary electron emission (SEE) while preserving the capability of bunch-by-bunch measurements. This contribution presents a novel FFC design manufactured using additive manufacturing, e.g., laser powder bed fusion (LPBF), and compares it with a traditionally produced FFC. The article highlights the design process, RF characterization, and selected measurements with ion beam carried out at GSI. Full article
Show Figures

Figure 1

14 pages, 2145 KB  
Article
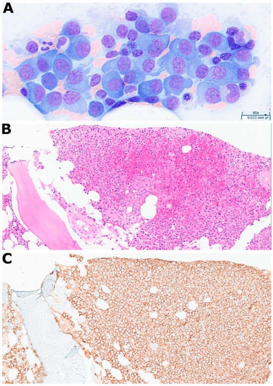
Proving Bone Marrow Plasma Cell Clonality by Flow Cytometry: An Important Tool in the Diagnosis of Immunoglobulin Light-Chain Amyloidosis
by Sorina Nicoleta Badelita, Horia Mihail Sandu, Daniel Coriu, Andreea Jercan, Sinziana Barbu, Larisa Zidaru, Mihai Emanuel Himcinschi, Camelia Dobrea, Monica Popescu and Delia Codruta Popa
Biomedicines 2025, 13(12), 2925; https://doi.org/10.3390/biomedicines13122925 - 28 Nov 2025
Viewed by 940
Abstract
Background/Objectives: Light-chain amyloidosis (AL Amyloidosis) is a rare systemic plasma cell disorder in which misfolded light chains form amyloid fibrils that damage vital organs. Diagnosis is often delayed because of variable presentation and overlap with other plasma cell diseases. Methods: We [...] Read more.
Background/Objectives: Light-chain amyloidosis (AL Amyloidosis) is a rare systemic plasma cell disorder in which misfolded light chains form amyloid fibrils that damage vital organs. Diagnosis is often delayed because of variable presentation and overlap with other plasma cell diseases. Methods: We retrospectively analyzed 23 patients diagnosed between 2022 and 2025 at the Fundeni Clinical Institute. All cases underwent free light-chain testing, serum immunofixation, immunohistochemistry, and bone marrow analysis. Since 2022, next-generation flow cytometry (NGF) has been applied to detect clonal plasma cells and characterize their immunophenotype. Results: NGF confirmed clonality in 21 of 23 patients (91.3%), including two cases undetected by conventional assays. Serum immunofixation was positive in 69.6% and immunohistochemistry in 78.3%. Among clonal cases, λ restriction predominated (71.4%). Detection was highest when NGF was combined with standard methods, especially in patients with dFLC < 100, where negative immunofixation was more frequent (p = 0.027). Conclusions: Multiparameter flow cytometry (MFC) provides highly sensitive detection of small clonal plasma cell populations often missed by standard assays, offering a valuable tool for early and accurate diagnosis of low-burden plasma cells in AL amyloidosis. Integrating MFC into routine evaluation improves diagnostic accuracy, identifies overlooked clonal populations, and supports earlier, more informed clinical decisions. Full article
(This article belongs to the Section Molecular and Translational Medicine)
Show Figures

Graphical abstract

13 pages, 1297 KB  
Article
Monoclonal Gammopathy Prevalence in Newly Diagnosed Prostate Cancer Patients: A Correlative Perspective Observational Study
by Gabriele Tulone, Nicola Pavan, Rosa Giaimo, Anna Martorana, Giuseppe Salvaggio, Giuseppe Cutaia, Francesco Claps, Emilia Gigliotta, Dalila Marmo, Cristina Minasola, Sergio Siragusa, Alchiede Simonato and Cirino Botta
Cancers 2025, 17(23), 3790; https://doi.org/10.3390/cancers17233790 - 27 Nov 2025
Viewed by 702
Abstract
Background: While there have been limited reports suggesting a possible association between Monoclonal Gammopathy (MG) of Undetermined Significance (MGUS) and prostate cancer, a clear biological correlation has yet to be established. Methods: In this study, we aimed to investigate the incidence of MGUS [...] Read more.
Background: While there have been limited reports suggesting a possible association between Monoclonal Gammopathy (MG) of Undetermined Significance (MGUS) and prostate cancer, a clear biological correlation has yet to be established. Methods: In this study, we aimed to investigate the incidence of MGUS in a cohort of 168 patients undergoing TRUSBx for suspected prostate cancer between September 2022 and December 2023. Results: Our findings revealed that the incidence of MGUS, identified by serum immunofixation or abnormal free light chain ratio, was significantly higher in this cohort than the anticipated global incidence (33.93% vs. 5%). Furthermore, the prevalence of MGUS was higher in patients with a Gleason Score (GS) exceeding 7 compared to those with GS6 or with ASAP/HG PIN (34.2% vs. 28% vs. 25%, respectively). A systematic univariate analysis of 42 clinical and biological variables identified fibrinogen levels, neutrophil-to-lymphocyte ratio, and the percentage of alpha2 band in serum protein electrophoresis as significantly associated with MGUS presence. Conclusions: These findings suggest that a systemic inflammatory status and a highest GS in these patients may increase the likelihood of detecting an MGUS. To our knowledge, this study is the first to suggest an association between prostate cancer and MG. Further and larger studies are required to confirm the increased prevalence of MGUS within this target population and to establish the clinical relevance of these precocious diagnoses. Full article
Show Figures

Figure 1

28 pages, 6267 KB  
Article
Screening of Macadamia integrifolia Varieties Based on the Comparison of Seedling Adaptability and Quality Differences
by Xibin Zhang, Xu Li, Liangyi Zhao, Zhitao Yang, Chengping Luo, Fuyan Ma, Weifeng Zhao, Baoqiong Zhang, Wenxiu Yang, Xuehu Yang and Liangliang Sun
Biology 2025, 14(12), 1638; https://doi.org/10.3390/biology14121638 - 21 Nov 2025
Viewed by 896
Abstract
Macadamia (Macadamia spp.), as a high-value cash crop, relies on varietal adaptability screening and quality optimization for enhanced industrial benefits. However, existing research has predominantly focused on the mature tree stage. Systematic studies on the physiological characteristics during the seedling stage and [...] Read more.
Macadamia (Macadamia spp.), as a high-value cash crop, relies on varietal adaptability screening and quality optimization for enhanced industrial benefits. However, existing research has predominantly focused on the mature tree stage. Systematic studies on the physiological characteristics during the seedling stage and comprehensive multi-indicator evaluations remain insufficient, limiting improved variety selection and industrial development. This study investigated three macadamia varieties (A4, A16, A203). We systematically measured leaf morphology, photosynthetic parameters, antioxidant enzyme activities, and free amino acid content at the seedling stage, combined with a comprehensive analysis of mature fruit morphology, mineral elements, amino acid composition, and pericarp phenolic compounds. The results indicated that at the seedling stage: A4 exhibited the highest SPAD value and CAT activity, significantly exceeding A16 and A203 by 137.14% and 139.82%, respectively, alongside the lowest MDA content, highlighting its superior stress resistance; A16 showed the highest Pn, Cleaf, and WUE, with total amino acid content being 38.09% and 18.79% higher than A4 and A203, respectively; A203 demonstrated the highest light energy utilization efficiency, significantly higher SOD activity compared to A16 and A203, and the lowest O2− content. Regarding fruit quality: A16 kernels contained the highest total amino acids and umami amino acids, with sweet and aromatic amino acids also being significantly higher than in other varieties; A203 performed notably well in K, Mg, and Mn content, with medicinal amino acids accounting for over 70% of the total; A4 pericarp contained significantly higher levels of phenolic compounds, such as p-hydroxybenzoic acid, compared to A16 and A203, some exceeding 80%. Correlation analysis revealed a complex regulatory network among fruit traits, mineral elements, amino acids, and phenolics. In summary, A4, A16, and A203 possess respective advantages in high stress resistance, superior flavor quality, and high nutritional functionality. This study establishes a comprehensive “morphology–photosynthesis–antioxidant activity–amino acids–quality” evaluation system, providing a scientific basis for targeted breeding and whole-industry-chain development of macadamia. Full article
(This article belongs to the Special Issue Advances in Tropical and Subtropical Plant Ecology and Physiology)
Show Figures

Figure 1

Back to TopTop