Beneficial Effects of Dinitrosyl Iron Complexes on Wound Healing Compared to Commercial Nitric Oxide Plasma Generator
Abstract
1. Introduction
2. Results
2.1. Gross Examination
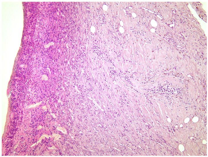
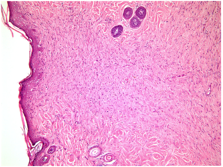
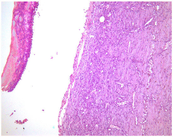
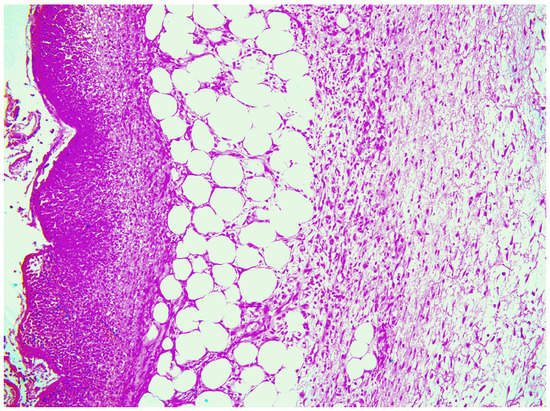
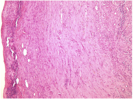
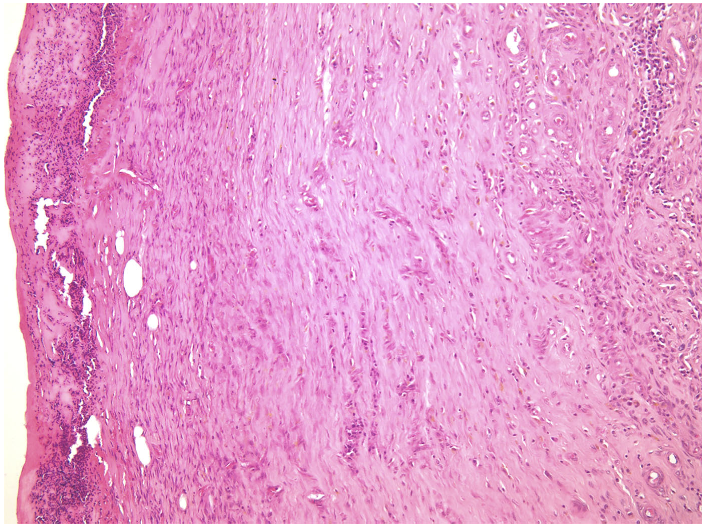
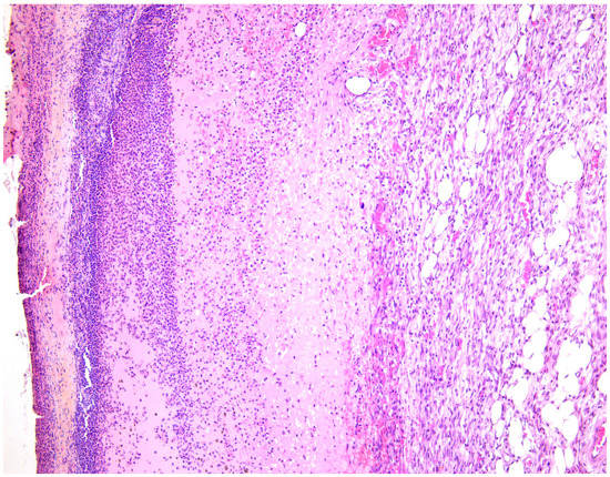
2.2. Histological Study
2.3. Transmission Electron Microscopy
3. Discussion
4. Materials and Methods
4.1. NO-Containing Gas Flow
4.2. DNIC Containing Spray
4.3. Animal Studies
4.4. Wound Area Measurement
4.5. Histological Study
4.6. Morphometrical Analysis
4.7. Immunohistochemical Study
4.8. Transmission Electron Microscopy
4.9. Statistical Analysis
5. Conclusions
Author Contributions
Funding
Institutional Review Board Statement
Informed Consent Statement
Data Availability Statement
Acknowledgments
Conflicts of Interest
Appendix A








References
- Butenko, A.V.; Shekhter, A.B.; Pekshev, A.V.; Vagapov, A.B.; Fayzullin, A.L.; Serejnikova, N.B.; Sharapov, N.A.; Zaborova, V.A.; Vasilets, V.N. Review of clinical applications of nitric oxide-containing air-plasma gas flow generated by Plason device. Clin. Plasma Med. 2020, 19, 100112. [Google Scholar] [CrossRef]
- Schwentker, A.; Vodovotz, Y.; Weller, R.; Billiar, T.R. Nitric oxide and wound repair: Role of cytokines? Nitric Oxide 2002, 7, 1–10. [Google Scholar] [CrossRef] [PubMed]
- Witte, M.B.; Barbul, A. Role of nitric oxide in wound repair. Am. J. Surg. 2002, 183, 406–412. [Google Scholar] [CrossRef] [PubMed]
- Hasan, N.; Lee, J.; Kwak, D.; Kim, H.; Saparbayeva, A.; Ahn, H.-J.; Yoon, I.-S.; Kim, M.-S.; Jung, Y.; Yoo, J.-W. Diethylenetriamine/NONOate-doped alginate hydrogel with sustained nitric oxide release and minimal toxicity to accelerate healing of MRSA-infected wounds. Carbohydr. Polym. 2021, 270, 118387. [Google Scholar] [CrossRef] [PubMed]
- Wu, M.; Lu, Z.; Wu, K.; Nam, C.; Zhang, L.; Guo, J. Recent advances in the development of nitric oxide-releasing biomaterials and their application potentials in chronic wound healing. J. Mater. Chem. B 2021, 9, 7063–7075. [Google Scholar] [CrossRef] [PubMed]
- Malone-Povolny, M.J.; Maloney, S.E.; Schoenfisch, M.H. Nitric oxide therapy for diabetic wound healing. Adv. Healthc. Mater. 2019, 8, 1801210. [Google Scholar] [CrossRef]
- Barnes, M.; Brisbois, E.J. Clinical use of inhaled nitric oxide: Local and systemic applications. Free Radic. Biol. Med. 2020, 152, 422–431. [Google Scholar] [CrossRef]
- Shekhter, A.B.; Pekshev, A.V.; Vagapov, A.B.; Butenko, A.V.; Fayzullin, A.L.; Rudenko, T.G.; Sharapov, N.A.; Serejnikova, N.B.; Vasilets, V.N. Dose-dependent effect of plasma-chemical NO-containing gas flow on wound healing. An experimental study. Clin. Plasma Med. 2020, 19, 100101. [Google Scholar] [CrossRef]
- Bernhardt, T.; Semmler, M.L.; Schäfer, M.; Bekeschus, S.; Emmert, S.; Boeckmann, L. Plasma medicine: Applications of cold atmospheric pressure plasma in dermatology. Oxid. Med. Cell. Longev. 2019, 2019, 4873928. [Google Scholar] [CrossRef]
- Majumder, S.; Sinha, S.; Siamwala, J.H.; Muley, A.; Seerapu, H.R.; Kolluru, G.K.; Veeriah, V.; Nagarajan, S.; Sridhara, S.R.C.; Priya, M.K. A comparative study of NONOate based NO donors: Spermine NONOate is the best suited NO donor for angiogenesis. Nitric Oxide 2014, 36, 76–86. [Google Scholar] [CrossRef]
- Shekhter, A.B.; Rudenko, T.G.; Istranov, L.P.; Guller, A.E.; Borodulin, R.R.; Vanin, A.F. Dinitrosyl iron complexes with glutathione incorporated into a collagen matrix as a base for the design of drugs accelerating skin wound healing. Eur. J. Pharm. Sci. 2015, 78, 8–18. [Google Scholar] [CrossRef]
- Vanin, A.F. Dinitrosyl Iron Complexes as a “Working Form” of Nitric Oxide in Living Organisms; Cambridge Scholars Publishing: Newcastle upon Tyne, UK, 2019. [Google Scholar]
- Timoshin, A.A.; Lakomkin, V.L.; Abramov, A.A.; Ruuge, E.K.; Kapel’ko, V.I.; Chazov, E.I.; Vanin, A.F. The hypotensive effect of the nitric monoxide donor Oxacom at different routs of its administration to experimental animals. Eur. J. Pharmacol. 2015, 765, 525–532. [Google Scholar] [CrossRef]
- Wu, S.-C.; Lu, C.-Y.; Chen, Y.-L.; Lo, F.-C.; Wang, T.-Y.; Chen, Y.-J.; Yuan, S.-S.; Liaw, W.-F.; Wang, Y.-M. Water-soluble dinitrosyl iron complex (DNIC): A nitric oxide vehicle triggering cancer cell death via apoptosis. Inorg. Chem. 2016, 55, 9383–9392. [Google Scholar] [CrossRef]
- Sung, Y.-C.; Jin, P.-R.; Chu, L.-A.; Hsu, F.-F.; Wang, M.-R.; Chang, C.-C.; Chiou, S.-J.; Qiu, J.T.; Gao, D.-Y.; Lin, C.-C. Delivery of nitric oxide with a nanocarrier promotes tumour vessel normalization and potentiates anti-cancer therapies. Nat. Nanotechnol. 2019, 14, 1160–1169. [Google Scholar] [CrossRef] [PubMed]
- Burgova, E.N.; Tkachev, N.A.; Adamyan, L.V.; Mikoyan, V.D.; Paklina, O.V.; Stepanyan, A.A.; Vanin, A.F. Dinitrosyl iron complexes with glutathione suppress experimental endometriosis in rats. Eur. J. Pharmacol. 2014, 727, 140–147. [Google Scholar] [CrossRef] [PubMed]
- Chen, Y.-J.; Wu, S.-C.; Wang, H.-C.; Wu, T.-H.; Yuan, S.-S.F.; Lu, T.-T.; Liaw, W.-F.; Wang, Y.-M. Activation of angiogenesis and wound healing in diabetic mice using NO-delivery dinitrosyl iron complexes. Mol. Pharm. 2019, 16, 4241–4251. [Google Scholar] [CrossRef] [PubMed]
- Chen, Y.-C.; Chen, Y.-H.; Chiu, H.; Ko, Y.-H.; Wang, R.-T.; Wang, W.-P.; Chuang, Y.-J.; Huang, C.-C.; Lu, T.-T. Cell-penetrating delivery of nitric oxide by biocompatible dinitrosyl iron complex and its dermato-physiological implications. Int. J. Mol. Sci. 2021, 22, 10101. [Google Scholar] [CrossRef] [PubMed]
- Igrunkova, A.; Fayzullin, A.; Churbanov, S.; Shevchenko, P.; Serejnikova, N.; Chepelova, N.; Pahomov, D.; Blinova, E.; Mikaelyan, K.; Zaborova, V. Spray with nitric oxide donor accelerates wound healing: Potential off-the-shelf solution for therapy? Drug Des. Dev. Ther. 2022, 16, 349. [Google Scholar] [CrossRef] [PubMed]
- Shekhter, A.B.; Rudenko, T.G.; Serezhenkov, V.A.; Vanin, A.F. Dinitrosyl iron complexes with thiol ligands promote skin wound healing in animals. Biophysics 2007, 52, 515–520. [Google Scholar] [CrossRef]
- Kletschkus, K.; Haralambiev, L.; Mustea, A.; Bekeschus, S.; Stope, M.B. Review of innovative physical therapy methods: Introduction to the principles of cold physical plasma. In Vivo 2020, 34, 3103–3107. [Google Scholar] [CrossRef]
- Fridman, G.; Friedman, G.; Gutsol, A.; Shekhter, A.B.; Vasilets, V.N.; Fridman, A. Applied plasma medicine. Plasma Process. Polym. 2008, 5, 503–533. [Google Scholar] [CrossRef]
- Zaborova, V.A.; Butenko, A.V.; Shekhter, A.B.; Fayzullin, A.L.; Pekshev, A.V.; Serejnikova, N.B.; Ol’ga, V.C.; Kryuchkova, K.Y.; Gurevich, K.G. Nitric oxide therapy is beneficial to rehabilitation in professional soccer players: Clinical and experimental studies. Med. Gas Res. 2023, 13, 128. [Google Scholar] [CrossRef]
- De Farias Gabriel, A.; Wagner, V.P.; Correa, C.; Webber, L.P.; Pilar, E.F.S.; Curra, M.; Carrard, V.C.; Martins, M.A.T.; Martins, M.D. Photobiomodulation therapy modulates epigenetic events and NF-κB expression in oral epithelial wound healing. Lasers Med. Sci. 2019, 34, 1465–1472. [Google Scholar] [CrossRef]
- Jia, Y.; Turek, J.J. Inducible nitric oxide synthase links NF-κB to PGE2 in polyunsaturated fatty acid altered fibroblast in-vitro wound healing. Lipids Health Dis. 2005, 4, 14. [Google Scholar] [CrossRef]
- Kobayashi, Y. The regulatory role of nitric oxide in proinflammatory cytokine expression during the induction and resolution of inflammation. J. Leukoc. Biol. 2010, 88, 1157–1162. [Google Scholar] [CrossRef]
- Hattori, Y.; Kasai, K.; Gross, S.S. NO suppresses while peroxynitrite sustains NF-κB: A paradigm to rationalize cytoprotective and cytotoxic actions attributed to NO. Cardiovasc. Res. 2004, 63, 31–40. [Google Scholar] [CrossRef]
- Shi, H.P.; Most, D.; Efron, D.T.; Tantry, U.; Fischel, M.; Barbul, A. The role of iNOS in wound healing. Surgery 2001, 130, 225–229. [Google Scholar] [CrossRef] [PubMed]
- Kaplani, K.; Koutsi, S.; Armenis, V.; Skondra, F.G.; Karantzelis, N.; Tsaniras, S.C.; Taraviras, S. Wound healing related agents: Ongoing research and perspectives. Adv. Drug Deliv. Rev. 2018, 129, 242–253. [Google Scholar] [CrossRef]
- Lo, H.-W.; Hsu, S.-C.; Ali-Seyed, M.; Gunduz, M.; Xia, W.; Wei, Y.; Bartholomeusz, G.; Shih, J.-Y.; Hung, M.-C. Nuclear interaction of EGFR and STAT3 in the activation of the iNOS/NO pathway. Cancer Cell 2005, 7, 575–589. [Google Scholar] [CrossRef] [PubMed]
- Liu, L.; Li, J.; Kundu, J.K.; Surh, Y.-J. Piceatannol inhibits phorbol ester-induced expression of COX-2 and iNOS in HR-1 hairless mouse skin by blocking the activation of NF-κB and AP-1. Inflamm. Res. 2014, 63, 1013–1021. [Google Scholar] [CrossRef]
- Vanin, A.F. Physico-chemistry of dinitrosyl iron complexes as a determinant of their biological activity. Int. J. Mol. Sci. 2021, 22, 10356. [Google Scholar] [CrossRef]
- Ridnour, L.A.; Windhausen, A.N.; Isenberg, J.S.; Yeung, N.; Thomas, D.D.; Vitek, M.P.; Roberts, D.D.; Wink, D.A. Nitric oxide regulates matrix metalloproteinase-9 activity by guanylyl-cyclase-dependent and-independent pathways. Proc. Natl. Acad. Sci. USA 2007, 104, 16898–16903. [Google Scholar] [CrossRef]
- Yuan, F.L.; Sun, Z.L.; Feng, Y.; Liu, S.Y.; Du, Y.; Yu, S.; Yang, M.L.; Lv, G.Z. Epithelial-mesenchymal transition in the formation of hypertrophic scars and keloids. J. Cell. Physiol. 2019, 234, 21662–21669. [Google Scholar] [CrossRef] [PubMed]
- Chitturi, R.T.; Murali Balasubramaniam, A.; Arjun Parameswar, R.; Kesavan, G.; Muhamed Haris, K.; Mohideen, K. The role of myofibroblasts in wound healing, contraction and its clinical implications in cleft palate repair. J. Int. Oral Health 2015, 7, 75–80. [Google Scholar]
- Tomasek, J.J.; Gabbiani, G.; Hinz, B.; Chaponnier, C.; Brown, R.A. Myofibroblasts and mechano-regulation of connective tissue remodelling. Nat. Rev. Mol. Cell Biol. 2002, 3, 349–363. [Google Scholar] [CrossRef]
- Vanin, A.F.; Borodulin, R.R.; Mikoyan, V.D. Dinitrosyl iron complexes with natural thiol-containing ligands in aqueous solutions: Synthesis and some physico-chemical characteristics (a methodological review). Nitric Oxide 2017, 66, 1–9. [Google Scholar] [CrossRef] [PubMed]
- Borodulin, R.R.; Kubrina, L.N.; Shvydkiy, V.O.; Lakomkin, V.L.; Vanin, A.F. A simple protocol for the synthesis of dinitrosyl iron complexes with glutathione: EPR, optical, chromatographic and biological characterization of reaction products. Nitric Oxide 2013, 35, 110–115. [Google Scholar] [CrossRef] [PubMed]
- Dorsett-Martin, W.A.; Wysocki, A.B. Rat models of skin wound healing. In Sourcebook of Models for Biomedical Research; Springer: Berlin/Heidelberg, Germany, 2008; pp. 631–638. [Google Scholar]


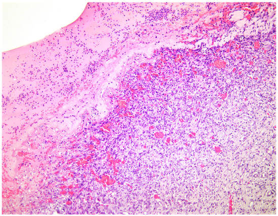
—fibrin clot,
—granulation tissue,
—adipose tissue.
—fibrin clot,
—granulation tissue,
—adipose tissue.






—fibrin clot,
—granulation tissue,
—adipose tissue.
—fibrin clot,
—granulation tissue,
—adipose tissue.

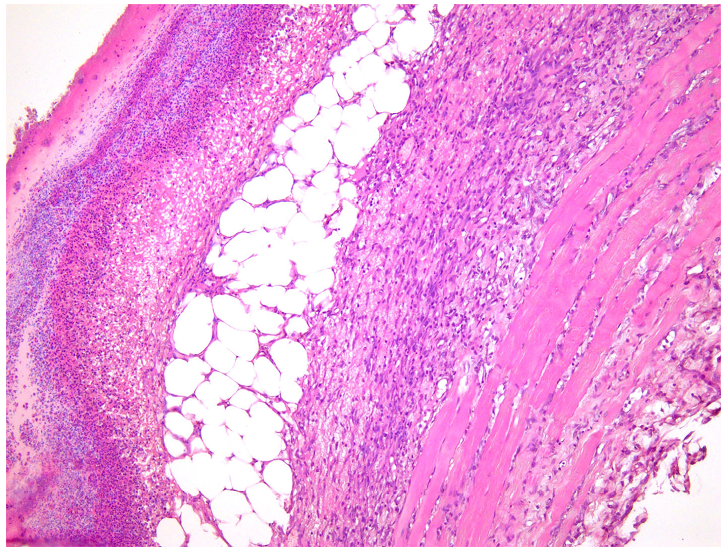
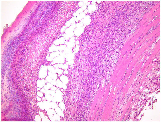
—fibrin clot,
—granulation tissue,
—fibrotic tissue,
—adipose tissue.
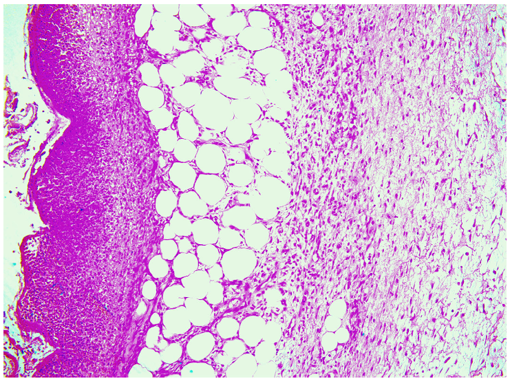
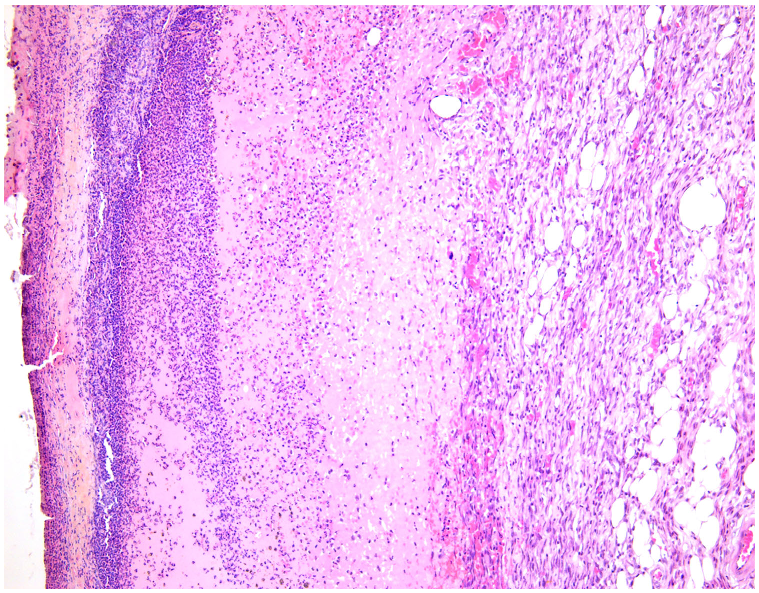
—fibrin clot,
—granulation tissue,
—fibrotic tissue,
—adipose tissue.


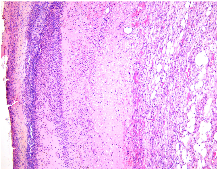
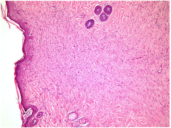
—fibrin clot,
—granulation tissue,
—epithelium,
—fibrotic tissue.
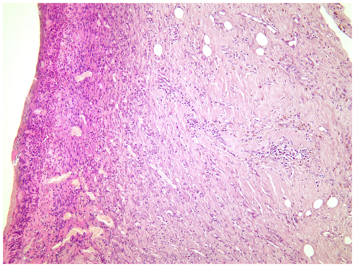
—fibrin clot,
—granulation tissue,
—epithelium,
—fibrotic tissue.





Disclaimer/Publisher’s Note: The statements, opinions and data contained in all publications are solely those of the individual author(s) and contributor(s) and not of MDPI and/or the editor(s). MDPI and/or the editor(s) disclaim responsibility for any injury to people or property resulting from any ideas, methods, instructions or products referred to in the content. |
© 2023 by the authors. Licensee MDPI, Basel, Switzerland. This article is an open access article distributed under the terms and conditions of the Creative Commons Attribution (CC BY) license (https://creativecommons.org/licenses/by/4.0/).
Share and Cite
Igrunkova, A.; Fayzullin, A.; Serejnikova, N.; Lipina, T.; Pekshev, A.; Vanin, A.; Zaborova, V.; Budanova, E.; Shestakov, D.; Kastyro, I.; et al. Beneficial Effects of Dinitrosyl Iron Complexes on Wound Healing Compared to Commercial Nitric Oxide Plasma Generator. Int. J. Mol. Sci. 2023, 24, 4439. https://doi.org/10.3390/ijms24054439
Igrunkova A, Fayzullin A, Serejnikova N, Lipina T, Pekshev A, Vanin A, Zaborova V, Budanova E, Shestakov D, Kastyro I, et al. Beneficial Effects of Dinitrosyl Iron Complexes on Wound Healing Compared to Commercial Nitric Oxide Plasma Generator. International Journal of Molecular Sciences. 2023; 24(5):4439. https://doi.org/10.3390/ijms24054439
Chicago/Turabian StyleIgrunkova, Alexandra, Alexey Fayzullin, Natalia Serejnikova, Tatiana Lipina, Alexandr Pekshev, Anatoly Vanin, Victoria Zaborova, Elena Budanova, Dmitry Shestakov, Igor Kastyro, and et al. 2023. "Beneficial Effects of Dinitrosyl Iron Complexes on Wound Healing Compared to Commercial Nitric Oxide Plasma Generator" International Journal of Molecular Sciences 24, no. 5: 4439. https://doi.org/10.3390/ijms24054439
APA StyleIgrunkova, A., Fayzullin, A., Serejnikova, N., Lipina, T., Pekshev, A., Vanin, A., Zaborova, V., Budanova, E., Shestakov, D., Kastyro, I., & Shekhter, A. (2023). Beneficial Effects of Dinitrosyl Iron Complexes on Wound Healing Compared to Commercial Nitric Oxide Plasma Generator. International Journal of Molecular Sciences, 24(5), 4439. https://doi.org/10.3390/ijms24054439

