A Proteomic Screen to Unravel the Molecular Pathways Associated with Warfarin-Induced or TNAP-Inhibited Arterial Calcification in Rats
Abstract
1. Introduction
2. Results
2.1. Proteome Profile of the Aortic Tissue of SBI-425 versus Vehicle-Treated Animals Exposed to Warfarin
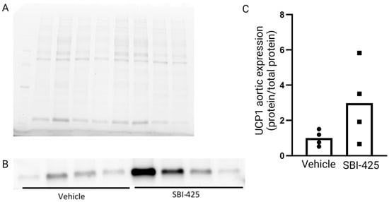
2.2. Relative Quantification of Fat Uncoupling Protein 1 in the Aortic Tissue
2.3. Decrease in Aortic Calcification by TNAP Inhibition Associates with Lipid/Glucose Homeostasis and Inflammation Pathways
2.4. Decrease in Aortic Calcification by TNAP Inhibition Associates with Anti-Hyperglycemic Events
3. Discussion
4. Materials and Methods
4.1. Animal Experimentation
4.2. Mass Spectrometry and Quantitative Proteomics of Aortic Samples
4.3. Bioinformatic Analyses
4.4. Western Blot
4.5. Statistical Analysis
Supplementary Materials
Author Contributions
Funding
Institutional Review Board Statement
Informed Consent Statement
Data Availability Statement
Acknowledgments
Conflicts of Interest
References
- Bakula, D.; Aliper, A.M.; Mamoshina, P.; Petr, M.A.; Teklu, A.; Baur, J.A.; Campisi, J.; Ewald, C.Y.; Georgievskaya, A.; Gladyshev, V.N.; et al. Aging and drug discovery. Aging 2018, 10, 3079–3088. [Google Scholar] [CrossRef] [PubMed]
- Montero-Odasso, M.; van der Velde, N.; Alexander, N.B.; Becker, C.; Blain, H.; Camicioli, R.; Close, J.; Duan, L.; Duque, G.; Ganz, D.A.; et al. New horizons in falls prevention and management for older adults: A global initiative. Age Ageing 2021, 50, 1499–1507. [Google Scholar] [CrossRef] [PubMed]
- van Gastel, J.; Leysen, H.; Boddaert, J.; Vangenechten, L.; Luttrell, L.M.; Martin, B.; Maudsley, S. Aging-related modifications to G protein-coupled receptor signaling diversity. Pharmacol. Ther. 2021, 223, 107793. [Google Scholar] [CrossRef]
- Cho, I.J.; Chang, H.J.; Park, H.B.; Heo, R.; Shin, S.; Shim, C.Y.; Hong, G.R.; Chung, N. Aortic calcification is associated with arterial stiffening, left ventricular hypertrophy, and diastolic dysfunction in elderly male patients with hypertension. J. Hypertens. 2015, 33, 1633–1641. [Google Scholar] [CrossRef]
- Mizobuchi, M.; Towler, D.; Slatopolsky, E. Vascular calcification: The killer of patients with chronic kidney disease. J. Am. Soc. Nephrol. JASN 2009, 20, 1453–1464. [Google Scholar] [CrossRef]
- Tölle, M.; Reshetnik, A.; Schuchardt, M.; Höhne, M.; van der Giet, M. Arteriosclerosis and vascular calcification: Causes, clinical assessment and therapy. Eur. J. Clin. Investig. 2015, 45, 976–985. [Google Scholar] [CrossRef]
- Van den Bergh, G.; Opdebeeck, B.; D’Haese, P.C.; Verhulst, A. The Vicious Cycle of Arterial Stiffness and Arterial Media Calcification. Trends. Mol. Med. 2019, 25, 1133–1146. [Google Scholar] [CrossRef] [PubMed]
- Neven, E.; De Schutter, T.M.; De Broe, M.E.; D’Haese, P.C. Cell biological and physicochemical aspects of arterial calcification. Kidney Int. 2011, 79, 1166–1177. [Google Scholar] [CrossRef]
- Proudfoot, D.; Skepper, J.N.; Hegyi, L.; Bennett, M.R.; Shanahan, C.M.; Weissberg, P.L. Apoptosis regulates human vascular calcification in vitro: Evidence for initiation of vascular calcification by apoptotic bodies. Circ. Res. 2000, 87, 1055–1062. [Google Scholar] [CrossRef] [PubMed]
- Shroff, R.C.; McNair, R.; Figg, N.; Skepper, J.N.; Schurgers, L.; Gupta, A.; Hiorns, M.; Donald, A.E.; Deanfield, J.; Rees, L.; et al. Dialysis accelerates medial vascular calcification in part by triggering smooth muscle cell apoptosis. Circulation 2008, 118, 1748–1757. [Google Scholar] [CrossRef]
- De Maré, A.; Maudsley, S.; Azmi, A.; Hendrickx, J.O.; Opdebeeck, B.; Neven, E.; D’Haese, P.C.; Verhulst, A. Sclerostin as Regulatory Molecule in Vascular Media Calcification and the Bone-Vascular Axis. Toxins 2019, 11, 428. [Google Scholar] [CrossRef] [PubMed]
- Price, P.A.; Faus, S.A.; Williamson, M.K. Warfarin causes rapid calcification of the elastic lamellae in rat arteries and heart valves. Arterioscler. Thromb. Vasc. Biol. 1998, 18, 1400–1407. [Google Scholar] [CrossRef] [PubMed]
- Villa-Bellosta, R.; Wang, X.; Millán, J.L.; Dubyak, G.R.; O’Neill, W.C. Extracellular pyrophosphate metabolism and calcification in vascular smooth muscle. Am. J. Physiol. Heart Circ. Physiol. 2011, 301, H61–H68. [Google Scholar] [CrossRef]
- Romanelli, F.; Corbo, A.; Salehi, M.; Yadav, M.C.; Salman, S.; Petrosian, D.; Rashidbaigi, O.J.; Chait, J.; Kuruvilla, J.; Plummer, M.; et al. Overexpression of tissue-nonspecific alkaline phosphatase (TNAP) in endothelial cells accelerates coronary artery disease in a mouse model of familial hypercholesterolemia. PLoS ONE 2017, 12, e0186426. [Google Scholar] [CrossRef]
- Savinov, A.Y.; Salehi, M.; Yadav, M.C.; Radichev, I.; Millán, J.L.; Savinova, O.V. Transgenic Overexpression of Tissue-Nonspecific Alkaline Phosphatase (TNAP) in Vascular Endothelium Results in Generalized Arterial Calcification. J. Am. Heart Assoc. 2015, 4, e002499. [Google Scholar] [CrossRef] [PubMed]
- Sheen, C.R.; Kuss, P.; Narisawa, S.; Yadav, M.C.; Nigro, J.; Wang, W.; Chhea, T.N.; Sergienko, E.A.; Kapoor, K.; Jackson, M.R.; et al. Pathophysiological role of vascular smooth muscle alkaline phosphatase in medial artery calcification. J. Bone Miner. Res. Off. J. Am. Soc. Bone Miner. Res. 2015, 30, 824–836. [Google Scholar] [CrossRef]
- Opdebeeck, B.; Neven, E.; Millán, J.L.; Pinkerton, A.B.; D’Haese, P.C.; Verhulst, A. Pharmacological TNAP inhibition efficiently inhibits arterial media calcification in a warfarin rat model but deserves careful consideration of potential physiological bone formation/mineralization impairment. Bone 2020, 137, 115392. [Google Scholar] [CrossRef]
- Opdebeeck, B.; Maudsley, S.; Azmi, A.; De Maré, A.; De Leger, W.; Meijers, B.; Verhulst, A.; Evenepoel, P.; D’Haese, P.C.; Neven, E. Indoxyl Sulfate and p-Cresyl Sulfate Promote Vascular Calcification and Associate with Glucose Intolerance. J. Am. Soc. Nephrol. JASN 2019, 30, 751–766. [Google Scholar] [CrossRef]
- Okui, T.; Iwashita, M.; Rogers, M.A.; Halu, A.; Atkins, S.K.; Kuraoka, S.; Abdelhamid, I.; Higashi, H.; Ramsaroop, A.; Aikawa, M.; et al. CROT (Carnitine O-Octanoyltransferase) Is a Novel Contributing Factor in Vascular Calcification via Promoting Fatty Acid Metabolism and Mitochondrial Dysfunction. Arterioscler. Thromb. Vasc. Biol. 2021, 41, 755–768. [Google Scholar] [CrossRef]
- Villa-Bellosta, R.; Rivera-Torres, J.; Osorio, F.G.; Acín-Pérez, R.; Enriquez, J.A.; López-Otín, C.; Andrés, V. Defective extracellular pyrophosphate metabolism promotes vascular calcification in a mouse model of Hutchinson-Gilford progeria syndrome that is ameliorated on pyrophosphate treatment. Circulation 2013, 127, 2442–2451. [Google Scholar] [CrossRef] [PubMed]
- Hsu, J.J.; Lu, J.; Huang, M.S.; Geng, Y.; Sage, A.P.; Bradley, M.N.; Tontonoz, P.; Demer, L.L.; Tintut, Y. T0901317, an LXR agonist, augments PKA-induced vascular cell calcification. FEBS Lett. 2009, 583, 1344–1348. [Google Scholar] [CrossRef]
- Long, J.Z.; Svensson, K.J.; Tsai, L.; Zeng, X.; Roh, H.C.; Kong, X.; Rao, R.R.; Lou, J.; Lokurkar, I.; Baur, W.; et al. A smooth muscle-like origin for beige adipocytes. Cell Metab. 2014, 19, 810–820. [Google Scholar] [CrossRef] [PubMed]
- Pilkington, A.C.; Paz, H.A.; Wankhade, U.D. Beige Adipose Tissue Identification and Marker Specificity-Overview. Front. Endocrinol. 2021, 12, 599134. [Google Scholar] [CrossRef] [PubMed]
- Zhu, Y.; Qi, Z.; Ding, S. Exercise-Induced Adipose Tissue Thermogenesis and Browning: How to Explain the Conflicting Findings? Int. J. Mol. Sci. 2022, 23, 13142. [Google Scholar] [CrossRef]
- Aengevaeren, V.L.; Mosterd, A.; Sharma, S.; Prakken, N.H.J.; Möhlenkamp, S.; Thompson, P.D.; Velthuis, B.K.; Eijsvogels, T.M.H. Exercise and Coronary Atherosclerosis: Observations, Explanations, Relevance, and Clinical Management. Circulation 2020, 141, 1338–1350. [Google Scholar] [CrossRef]
- Kogel, A.; Fikenzer, S.; Uhlmann, L.; Opitz, L.; Kneuer, J.M.; Haeusler, K.G.; Endres, M.; Kratzsch, J.; Schwarz, V.; Werner, C.; et al. Extracellular Inflammasome Particles Are Released After Marathon Running and Induce Proinflammatory Effects in Endothelial Cells. Front. Physiol. 2022, 13, 866938. [Google Scholar] [CrossRef]
- Gu, P.; Hui, X.; Zheng, Q.; Gao, Y.; Jin, L.; Jiang, W.; Zhou, C.; Liu, T.; Huang, Y.; Liu, Q.; et al. Mitochondrial uncoupling protein 1 antagonizes atherosclerosis by blocking NLRP3 inflammasome-dependent interleukin-1β production. Sci. Adv. 2021, 7, eabl4024. [Google Scholar] [CrossRef] [PubMed]
- Bassini, A.; Sartoretto, S.; Jurisica, L.; Magno-França, A.; Anderson, L.; Pearson, T.; Razavi, M.; Chandran, V.; Martin, L., 3rd; Jurisica, I.; et al. Sportomics method to assess acute phase proteins in Olympic level athletes using dried blood spots and multiplex assay. Sci. Rep. 2022, 12, 19824. [Google Scholar] [CrossRef]
- Hou, Z.H.; Lu, B.; Gao, Y.; Jiang, S.L.; Wang, Y.; Li, W.; Budoff, M.J. Prognostic value of coronary CT angiography and calcium score for major adverse cardiac events in outpatients. JACC. Cardiovasc. Imaging 2012, 5, 990–999. [Google Scholar] [CrossRef]
- Roy, S.; Heinrich, K.; Phan, V.; Berry, M.W.; Homayouni, R. Latent Semantic Indexing of PubMed abstracts for identification of transcription factor candidates from microarray derived gene sets. BMC Bioinform. 2011, 12 (Suppl. 10), S19. [Google Scholar] [CrossRef]
- Chadwick, W.; Martin, B.; Chapter, M.C.; Park, S.S.; Wang, L.; Daimon, C.M.; Brenneman, R.; Maudsley, S. GIT2 acts as a potential keystone protein in functional hypothalamic networks associated with age-related phenotypic changes in rats. PLoS ONE 2012, 7, e36975. [Google Scholar] [CrossRef] [PubMed]
- Wang, J.; Duncan, D.; Shi, Z.; Zhang, B. WEB-based GEne SeT AnaLysis Toolkit (WebGestalt): Update 2013. Nucleic Acids Res. 2013, 41, W77–W83. [Google Scholar] [CrossRef] [PubMed]
- Cai, H.; Chen, H.; Yi, T.; Daimon, C.M.; Boyle, J.P.; Peers, C.; Maudsley, S.; Martin, B. VennPlex—A novel Venn diagram program for comparing and visualizing datasets with differentially regulated datapoints. PLoS ONE 2013, 8, e53388. [Google Scholar] [CrossRef] [PubMed]





| Protein Description | Gene Symbol | Log2 iTRAQ Ratio |
|---|---|---|
| Acyl-CoA desaturase | SCD1 | 0.718574 |
| Histidine-rich calcium binding protein, isoform CRA_b | HRC | 0.710522 |
| Mitochondrial brown fat uncoupling protein 1 | UCP1 | 0.66522 |
| Collagen alpha-1(I) chain | COL1A1 | 0.663793 |
| CCR4-NOT transcription complex, subunit 1 | CNOT1 | 0.657795 |
| Insulin receptor substrate 1 | IRS1 | 0.655246 |
| Mitochondrial uncoupling protein 3 | UCP3 | 0.654558 |
| Adenylosuccinate synthetase isozyme 1 | ADSSL1 | 0.650851 |
| Fatty acid-binding protein, adipocyte | FABP4 | 0.648864 |
| Long-chain-fatty-acid-CoA ligase 1 | ACSL1 | 0.637461 |
| Seminal vesicle secretory protein 4 | SVS4 | −3.16592 |
| Seminal vesicle secretory protein 6 | SVS6 | −1.85127 |
| Seminal vesicle secretory protein 5 | SVS5 | −1.53876 |
| Epsilon 2 globin | HBE2 | −1.33216 |
| Dehydrogenase/reductase 7 | DHRS7 | −1.28143 |
| Keratin, type II cytoskeletal 5 | KRT5 | −1.20467 |
| Bone marrow proteoglycan | PRG2 | −1.05433 |
| Uncharacterized protein | LOC100912707 | −1.03433 |
| Coronin 7 | CORO7 | −1.0073 |
Disclaimer/Publisher’s Note: The statements, opinions and data contained in all publications are solely those of the individual author(s) and contributor(s) and not of MDPI and/or the editor(s). MDPI and/or the editor(s) disclaim responsibility for any injury to people or property resulting from any ideas, methods, instructions or products referred to in the content. |
© 2023 by the authors. Licensee MDPI, Basel, Switzerland. This article is an open access article distributed under the terms and conditions of the Creative Commons Attribution (CC BY) license (https://creativecommons.org/licenses/by/4.0/).
Share and Cite
Opdebeeck, B.; Neven, E.; Maudsley, S.; Leysen, H.; Walter, D.; Geryl, H.; D’Haese, P.C.; Verhulst, A. A Proteomic Screen to Unravel the Molecular Pathways Associated with Warfarin-Induced or TNAP-Inhibited Arterial Calcification in Rats. Int. J. Mol. Sci. 2023, 24, 3657. https://doi.org/10.3390/ijms24043657
Opdebeeck B, Neven E, Maudsley S, Leysen H, Walter D, Geryl H, D’Haese PC, Verhulst A. A Proteomic Screen to Unravel the Molecular Pathways Associated with Warfarin-Induced or TNAP-Inhibited Arterial Calcification in Rats. International Journal of Molecular Sciences. 2023; 24(4):3657. https://doi.org/10.3390/ijms24043657
Chicago/Turabian StyleOpdebeeck, Britt, Ellen Neven, Stuart Maudsley, Hanne Leysen, Deborah Walter, Hilde Geryl, Patrick C. D’Haese, and Anja Verhulst. 2023. "A Proteomic Screen to Unravel the Molecular Pathways Associated with Warfarin-Induced or TNAP-Inhibited Arterial Calcification in Rats" International Journal of Molecular Sciences 24, no. 4: 3657. https://doi.org/10.3390/ijms24043657
APA StyleOpdebeeck, B., Neven, E., Maudsley, S., Leysen, H., Walter, D., Geryl, H., D’Haese, P. C., & Verhulst, A. (2023). A Proteomic Screen to Unravel the Molecular Pathways Associated with Warfarin-Induced or TNAP-Inhibited Arterial Calcification in Rats. International Journal of Molecular Sciences, 24(4), 3657. https://doi.org/10.3390/ijms24043657

