Blood Inflammatory-like and Lung Resident-like Eosinophils Affect Migration of Airway Smooth Muscle Cells and Their ECM-Related Proliferation in Asthma
Abstract
1. Introduction
2. Results
2.1. Study Subject Characteristics
2.2. Eosinophil Subtypes Adhesion to ASM Cells or Their Secreted ECM Components
2.3. Eosinophil Subtypes Effect on Gene Expression of TGF-β1, Primary Fibril and Contractile Apparatus Proteins in ASM Cells
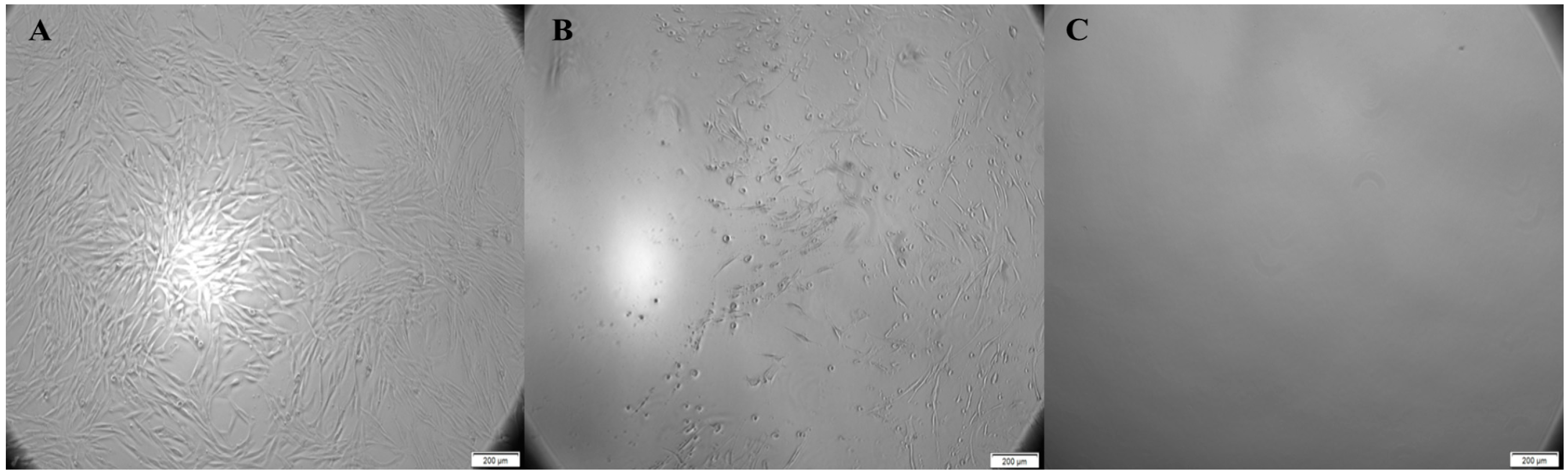
2.4. Migration of ASM Cells after Incubation with Eosinophil Subtypes
2.5. ASM Cell ECM-Related Proliferation after Incubation with Eosinophil Subtypes
2.6. Eosinophil Subtypes Spontaneous ROS Production
3. Discussion
4. Materials and Methods
4.1. Ethics
4.2. Study Population
4.3. Study Design and Experimental Plan
4.4. Complete Blood Count and Immunoglobulin E
4.5. Lung Function Testing
4.6. Methacholine Challenge Test
4.7. Skin Prick Testing
4.8. Fractional Exhaled Nitric Oxide Measurement
4.9. ASM Cell Cultivation In Vitro
4.10. Blood Eosinophil Isolation, Purification, and Eosinophil Subtyping
4.11. ASM Cell-Secreted ECM Purification with NH4OH-Based Cell Lysis
4.12. Eosinophil Subtypes Adhesion to ASM Cells or Their Secreted ECM Evaluation
4.13. RNA Isolation and Quantitative Reverse Transcriptase PCR Analysis
4.14. ASM Cell Migration—Wound Healing Assay
4.15. AlamarBlue ASM Cell Proliferation Assay
4.16. Evaluation of Spontaneous Reactive Oxygen Species Production in Eosinophil Subtypes
4.17. Statistical Analysis Methods
Author Contributions
Funding
Institutional Review Board Statement
Informed Consent Statement
Data Availability Statement
Acknowledgments
Conflicts of Interest
Abbreviations
| AA | allergic asthma |
| ASM | airway smooth muscle |
| Co-culture | combined cell culture |
| COL1A1 | collagen type I α 1 chain |
| DHR | Dihydrorhodamine |
| D. pteronyssinus | Dermatophagoides pteronyssinus |
| DMEM | Dulbecco’s modified Eagle’s medium |
| ECM | extracellular matrix |
| EPO | eosinophil peroxidase |
| ERK | extracellular signal-regulated kinase |
| FBS | fetal bovine serum |
| FeNO | fractional exhaled nitric oxide |
| FEV1 | forced expiratory volume in 1 s |
| FN | fibronectin |
| FVC | forced vital capacity |
| hTERT | human telomerase reverse transcriptase |
| HS | healthy subject |
| ICAM-1 | intercellular adhesion molecule 1 |
| iEOS | inflammatory eosinophil |
| IgE | immunoglobulin E |
| IL | interleukin |
| ILC2 | type 2 innate lymphoid cells |
| MHC | myosin heavy chain |
| MLCK | myosin light chain kinase |
| MMP | matrix metalloproteinases |
| mRNA | messenger ribonucleic acid |
| NH4OH | ammonium hydroxide |
| PBS | phosphate-buffered saline |
| PD20 | provocation dose of methacholine causing a 20% decrease in FEV1 |
| PDGF | platelet-derived growth factor |
| rEOS | lung resident eosinophil |
| ROS | reactive oxygen species |
| qRT-PCR | quantitative reverse transcriptase polymerase chain reaction |
| SEA | severe eosinophilic asthma |
| SEM | standard error of the mean |
| SM22 | transgelin |
| Sm | smooth muscle |
| TGF- β | transforming growth factor-beta |
| Th2 | T helper type 2 cells |
| TSLP | thymic stromal lymphopoietin |
| VCAM-1 | vascular cell adhesion molecule 1 |
References
- Fehrenbach, H.; Wagner, C.; Wegmann, M. Airway remodeling in asthma: What really matters. Cell Tissue Res. 2017, 367, 551–569. [Google Scholar] [CrossRef] [PubMed]
- Bergeron, C.; Tulic, M.K.; Hamid, Q. Airway remodelling in asthma: From benchside to clinical practice. Can. Respir. J. 2010, 17, e85–e93. [Google Scholar] [CrossRef] [PubMed]
- Ito, J.T.; Lourenço, J.D.; Righetti, R.F.; Tibério, I.; Prado, C.M.; Lopes, F. Extracellular Matrix Component Remodeling in Respiratory Diseases: What Has Been Found in Clinical and Experimental Studies? Cells 2019, 8, 342. [Google Scholar] [CrossRef] [PubMed]
- Araujo, B.B.; Dolhnikoff, M.; Silva, L.F.F.; Elliot, J.; Lindeman, J.H.N.; Ferreira, D.S.; Mulder, A.; Gomes, H.A.P.; Fernezlian, S.M.; James, A.; et al. Extracellular matrix components and regulators in the airway smooth muscle in asthma. Eur. Respir. J. 2008, 32, 61. [Google Scholar] [CrossRef] [PubMed]
- Hough, K.P.; Curtiss, M.L.; Blain, T.J.; Liu, R.-M.; Trevor, J.; Deshane, J.S.; Thannickal, V.J. Airway Remodeling in Asthma. Front. Med. 2020, 7, 191. [Google Scholar] [CrossRef]
- Danen, E.H.; Sonnenberg, A. Integrins in regulation of tissue development and function. J. Pathol. 2003, 201, 632–641. [Google Scholar] [CrossRef]
- Berair, R.; Hartley, R.; Mistry, V.; Sheshadri, A.; Gupta, S.; Singapuri, A.; Gonem, S.; Marshall, R.P.; Sousa, A.R.; Shikotra, A.; et al. Associations in asthma between quantitative computed tomography and bronchial biopsy-derived airway remodelling. Eur. Respir. J. 2017, 49, 1601507. [Google Scholar] [CrossRef]
- Fahy, J.V. Eosinophilic and neutrophilic inflammation in asthma: Insights from clinical studies. Proc. Am. Thorac. Soc. 2009, 6, 256–259. [Google Scholar] [CrossRef]
- de Groot, J.C.; Ten Brinke, A.; Bel, E.H. Management of the patient with eosinophilic asthma: A new era begins. ERJ Open Res. 2015, 1, 00024-2015. [Google Scholar] [CrossRef]
- Mesnil, C.; Raulier, S.; Paulissen, G.; Xiao, X.; Birrell, M.A.; Pirottin, D.; Janss, T.; Starkl, P.; Ramery, E.; Henket, M.; et al. Lung-resident eosinophils represent a distinct regulatory eosinophil subset. J. Clin. Investig. 2016, 126, 3279–3295. [Google Scholar] [CrossRef]
- Marichal, T.; Mesnil, C.; Bureau, F. Homeostatic Eosinophils: Characteristics and Functions. Front. Med. 2017, 4, 101. [Google Scholar] [CrossRef]
- Januskevicius, A.; Jurkeviciute, E.; Janulaityte, I.; Kalinauskaite-Zukauske, V.; Miliauskas, S.; Malakauskas, K. Blood Eosinophils Subtypes and Their Survivability in Asthma Patients. Cells 2020, 9, 1248. [Google Scholar] [CrossRef]
- Brusselle, G.G.; Maes, T.; Bracke, K.R. Eosinophils in the spotlight: Eosinophilic airway inflammation in nonallergic asthma. Nat. Med. 2013, 19, 977–979. [Google Scholar] [CrossRef]
- Johansson, M.W.; Kelly, E.A.; Busse, W.W.; Jarjour, N.N.; Mosher, D.F. Up-regulation and activation of eosinophil integrins in blood and airway after segmental lung antigen challenge. J. Immunol. 2008, 180, 7622–7635. [Google Scholar] [CrossRef]
- McBrien, C.N.; Menzies-Gow, A. The Biology of Eosinophils and Their Role in Asthma. Front. Med. 2017, 4, 93. [Google Scholar] [CrossRef]
- Halwani, R.; Vazquez-Tello, A.; Sumi, Y.; Pureza, M.A.; Bahammam, A.; Al-Jahdali, H.; Soussi-Gounni, A.; Mahboub, B.; Al-Muhsen, S.; Hamid, Q. Eosinophils induce airway smooth muscle cell proliferation. J. Clin. Immunol. 2013, 33, 595–604. [Google Scholar] [CrossRef]
- de Groot, L.E.S.; Sabogal Piñeros, Y.S.; Bal, S.M.; van de Pol, M.A.; Hamann, J.; Sterk, P.J.; Kulik, W.; Lutter, R. Do eosinophils contribute to oxidative stress in mild asthma? Clin. Exp. Allergy J. Br. Soc. Allergy Clin. Immunol. 2019, 49, 929–931. [Google Scholar] [CrossRef]
- Salter, B.; Pray, C.; Radford, K.; Martin, J.G.; Nair, P. Regulation of human airway smooth muscle cell migration and relevance to asthma. Respir. Res. 2017, 18, 156. [Google Scholar] [CrossRef]
- Tliba, O.; Panettieri, R.A. Noncontractile Functions of Airway Smooth Muscle Cells in Asthma. Annu. Rev. Physiol. 2009, 71, 509–535. [Google Scholar] [CrossRef]
- Halwani, R.; Al-Muhsen, S.; Al-Jahdali, H.; Hamid, Q. Role of transforming growth factor-β in airway remodeling in asthma. Am. J. Respir. Cell Mol. Biol. 2011, 44, 127–133. [Google Scholar] [CrossRef]
- Janulaityte, I.; Januskevicius, A.; Kalinauskaite-Zukauske, V.; Palacionyte, J.; Malakauskas, K. Asthmatic Eosinophils Promote Contractility and Migration of Airway Smooth Muscle Cells and Pulmonary Fibroblasts In Vitro. Cells 2021, 10, 1389. [Google Scholar] [CrossRef] [PubMed]
- Lavinskiene, S.; Malakauskas, K.; Jeroch, J.; Hoppenot, D.; Sakalauskas, R. Functional activity of peripheral blood eosinophils in allergen-induced late-phase airway inflammation in asthma patients. J. Inflamm. 2015, 12, 25. [Google Scholar] [CrossRef] [PubMed]
- Cho, Y.S.; Moon, H.B. The role of oxidative stress in the pathogenesis of asthma. Allergy Asthma Immunol. Res. 2010, 2, 183–187. [Google Scholar] [CrossRef] [PubMed]
- Snezhkina, A.V.; Kudryavtseva, A.V.; Kardymon, O.L.; Savvateeva, M.V.; Melnikova, N.V.; Krasnov, G.S.; Dmitriev, A.A. ROS Generation and Antioxidant Defense Systems in Normal and Malignant Cells. Oxidative Med. Cell. Longev. 2019, 2019, 6175804. [Google Scholar] [CrossRef]
- Barthel, S.R.; Johansson, M.W.; McNamee, D.M.; Mosher, D.F. Roles of integrin activation in eosinophil function and the eosinophilic inflammation of asthma. J. Leukoc. Biol. 2008, 83, 1–12. [Google Scholar] [CrossRef]
- Johansson, M.W.; Mosher, D.F. Integrin activation States and eosinophil recruitment in asthma. Front. Pharmacol. 2013, 4, 33. [Google Scholar] [CrossRef]
- Whetstone, C.E.; Ranjbar, M.; Omer, H.; Cusack, R.P.; Gauvreau, G.M. The Role of Airway Epithelial Cell Alarmins in Asthma. Cells 2022, 11, 1105. [Google Scholar] [CrossRef]
- Teoh, C.M.; Tan, S.S.; Tran, T. Integrins as Therapeutic Targets for Respiratory Diseases. Curr. Mol. Med. 2015, 15, 714–734. [Google Scholar] [CrossRef]
- Fettrelet, T.; Gigon, L.; Karaulov, A.; Yousefi, S.; Simon, H.-U. The Enigma of Eosinophil Degranulation. Int. J. Mol. Sci. 2021, 22, 7091. [Google Scholar] [CrossRef]
- Gerthoffer, W.T. Migration of airway smooth muscle cells. Proc. Am. Thorac. Soc. 2008, 5, 97–105. [Google Scholar] [CrossRef]
- De Donatis, A.; Ranaldi, F.; Cirri, P. Reciprocal control of cell proliferation and migration. Cell Commun. Signal. 2010, 8, 20. [Google Scholar] [CrossRef]
- Ammann, K.R.; DeCook, K.J.; Li, M.; Slepian, M.J. Migration versus proliferation as contributor to in vitro wound healing of vascular endothelial and smooth muscle cells. Exp. Cell Res. 2019, 376, 58–66. [Google Scholar] [CrossRef]
- Zuyderduyn, S.; Sukkar, M.B.; Fust, A.; Dhaliwal, S.; Burgess, J.K. Treating asthma means treating airway smooth muscle cells. Eur. Respir. J. 2008, 32, 265. [Google Scholar] [CrossRef]
- Sukkar, M.B.; Stanley, A.J.; Blake, A.E.; Hodgkin, P.D.; Johnson, P.R.; Armour, C.L.; Hughes, J.M. ‘Proliferative’ and ‘synthetic’ airway smooth muscle cells are overlapping populations. Immunol. Cell Biol. 2004, 82, 471–478. [Google Scholar] [CrossRef]
- Parameswaran, K.; Radford, K.; Zuo, J.; Janssen, L.J.; O’Byrne, P.M.; Cox, P.G. Extracellular matrix regulates human airway smooth muscle cell migration. Eur. Respir. J. 2004, 24, 545–551. [Google Scholar] [CrossRef]
- Damera, G.; Tliba, O.; Panettieri, R.A., Jr. Airway smooth muscle as an immunomodulatory cell. Pulm. Pharmacol. Ther. 2009, 22, 353–359. [Google Scholar] [CrossRef]
- Verrecchia, F.; Mauviel, A. Transforming growth factor-beta signaling through the Smad pathway: Role in extracellular matrix gene expression and regulation. J. Investig. Dermatol. 2002, 118, 211–215. [Google Scholar] [CrossRef]
- Ojiaku, C.A.; Yoo, E.J.; Panettieri, R.A., Jr. Transforming Growth Factor β1 Function in Airway Remodeling and Hyperresponsiveness. The Missing Link? Am. J. Respir. Cell Mol. Biol. 2017, 56, 432–442. [Google Scholar] [CrossRef]
- Ohno, I.; Nitta, Y.; Yamauchi, K.; Hoshi, H.; Honma, M.; Woolley, K.; O’Byrne, P.; Tamura, G.; Jordana, M.; Shirato, K. Transforming growth factor beta 1 (TGF beta 1) gene expression by eosinophils in asthmatic airway inflammation. Am. J. Respir. Cell Mol. Biol. 1996, 15, 404–409. [Google Scholar] [CrossRef]
- Ito, I.; Fixman, E.D.; Asai, K.; Yoshida, M.; Gounni, A.S.; Martin, J.G.; Hamid, Q. Platelet-derived growth factor and transforming growth factor-beta modulate the expression of matrix metalloproteinases and migratory function of human airway smooth muscle cells. Clin. Exp. Allergy J. Br. Soc. Allergy Clin. Immunol. 2009, 39, 1370–1380. [Google Scholar] [CrossRef]
- Fukushima, T.; Yamasaki, A.; Harada, T.; Chikumi, H.; Watanabe, M.; Okazaki, R.; Takata, M.; Hasegawa, Y.; Kurai, J.; Yanai, M.; et al. γ-Tocotrienol Inhibits TGF-β1-Induced Contractile Phenotype Expression of Human Airway Smooth Muscle Cells. Yonago Acta Med. 2017, 60, 16–23. [Google Scholar] [PubMed]
- Hinz, B. The extracellular matrix and transforming growth factor-β1: Tale of a strained relationship. Matrix Biol. 2015, 47, 54–65. [Google Scholar] [CrossRef] [PubMed]
- Ohno, I.; Ohtani, H.; Nitta, Y.; Suzuki, J.; Hoshi, H.; Honma, M.; Isoyama, S.; Tanno, Y.; Tamura, G.; Yamauchi, K.; et al. Eosinophils as a source of matrix metalloproteinase-9 in asthmatic airway inflammation. Am. J. Respir. Cell Mol. Biol. 1997, 16, 212–219. [Google Scholar] [CrossRef] [PubMed]
- Han, S.W.; Roman, J. Fibronectin induces cell proliferation and inhibits apoptosis in human bronchial epithelial cells: Pro-oncogenic effects mediated by PI3-kinase and NF-kappa B. Oncogene 2006, 25, 4341–4349. [Google Scholar] [CrossRef] [PubMed]
- Duronio, R.J.; Xiong, Y. Signaling pathways that control cell proliferation. Cold Spring Harb. Perspect. Biol. 2013, 5, a008904. [Google Scholar] [CrossRef]
- Al-Muhsen, S.; Johnson, J.R.; Hamid, Q. Remodeling in asthma. J. Allergy Clin. Immunol. 2011, 128, 451–462. [Google Scholar] [CrossRef]
- Samitas, K.; Carter, A.; Kariyawasam, H.H.; Xanthou, G. Upper and lower airway remodelling mechanisms in asthma, allergic rhinitis and chronic rhinosinusitis: The one airway concept revisited. Allergy 2018, 73, 993–1002. [Google Scholar] [CrossRef]
- Redza-Dutordoir, M.; Averill-Bates, D.A. Activation of apoptosis signalling pathways by reactive oxygen species. Biochim. Biophys. Acta 2016, 1863, 2977–2992. [Google Scholar] [CrossRef]
- Hellewell, A.L.; Rosini, S.; Adams, J.C. A Rapid, Scalable Method for the Isolation, Functional Study, and Analysis of Cell-derived Extracellular Matrix. J. Vis. Exp. JoVE 2017, 119, e55051. [Google Scholar] [CrossRef]
- Scherzer, M.T.; Waigel, S.; Donninger, H.; Arumugam, V.; Zacharias, W.; Clark, G.; Siskind, L.J.; Soucy, P.; Beverly, L. Fibroblast-Derived Extracellular Matrices: An Alternative Cell Culture System That Increases Metastatic Cellular Properties. PLoS ONE 2015, 10, e0138065. [Google Scholar] [CrossRef]
- Chen, Y.; Chen, J.; Zhang, Z.; Lou, K.; Zhang, Q.; Wang, S.; Ni, J.; Liu, W.; Fan, S.; Lin, X. Current advances in the development of natural meniscus scaffolds: Innovative approaches to decellularization and recellularization. Cell Tissue Res. 2017, 370, 41–52. [Google Scholar] [CrossRef]
- Mathur, S.K.; Schwantes, E.A.; Jarjour, N.N.; Busse, W.W. Age-related changes in eosinophil function in human subjects. Chest 2008, 133, 412–419. [Google Scholar] [CrossRef]
- Koussounadis, A.; Langdon, S.P.; Um, I.H.; Harrison, D.J.; Smith, V.A. Relationship between differentially expressed mRNA and mRNA-protein correlations in a xenograft model system. Sci. Rep. 2015, 5, 10775. [Google Scholar] [CrossRef]
- Gosens, R.; Stelmack, G.L.; Dueck, G.; McNeill, K.D.; Yamasaki, A.; Gerthoffer, W.T.; Unruh, H.; Gounni, A.S.; Zaagsma, J.; Halayko, A.J. Role of caveolin-1 in p42/p44 MAP kinase activation and proliferation of human airway smooth muscle. Am. J. Physiol. Lung Cell. Mol. Physiol. 2006, 291, L523–L534. [Google Scholar] [CrossRef]
- Liang, C.C.; Park, A.Y.; Guan, J.L. In vitro scratch assay: A convenient and inexpensive method for analysis of cell migration in vitro. Nat. Protoc. 2007, 2, 329–333. [Google Scholar] [CrossRef]
- Crow, J.P. Dichlorodihydrofluorescein and dihydrorhodamine 123 are sensitive indicators of peroxynitrite in vitro: Implications for intracellular measurement of reactive nitrogen and oxygen species. Nitric Oxide Biol. Chem. 1997, 1, 145–157. [Google Scholar] [CrossRef]
- Djiadeu, P.; Azzouz, D.; Khan, M.A.; Kotra, L.P.; Sweezey, N.; Palaniyar, N. Ultraviolet irradiation increases green fluorescence of dihydrorhodamine (DHR) 123: False-positive results for reactive oxygen species generation. Pharmacol. Res. Perspect. 2017, 5, e00303. [Google Scholar] [CrossRef]
- Balaiya, S.; Chalam, K.V. An In vitro Assay to Quantify Nitrosative Component of Oxidative Stress. J. Mol. Genet. Med. Int. J. Biomed. Res. 2014, 8, 120. [Google Scholar] [CrossRef]









| AA | SEA | HS | |
|---|---|---|---|
| Number, n | 17 | 15 | 12 |
| Age, median (range), years | 26 (18–53) | 60 (45–75) **† | 27 (23–53) |
| Sex (male/female), n | 11/6 | 2/13 | 5/7 |
| BMI, median (range) kg/m2 | 23.2 (17.5–34.1) | 29.1 (17.6–39.8) *# | 23.2 (19.3–33.1) |
| Sensitization to D. pteronyssinus (patients), n | 17 | 2 | 0 |
| FEV1, L | 3.4 ± 0.2 | 1.4 ± 0.1 **† | 4.0 ± 0.2 |
| FEV1, % of predicted | 83.5 ± 2.6 * | 57.3 ± 4.6 **† | 101.8 ± 2.9 |
| PD20 | 0.17 ± 0.03 | ND | NR |
| Blood eosinophil count (×109)/L | 0.37 ± 0.06 ** | 0.57 ± 0.09 **# | 0.15 ± 0.02 |
| Blood eosinophil count, % | 5.9 ± 0.8 ** | 7.8 ± 1.1 ** | 2.5 ± 0.4 |
| IgE, IU/mL | 558.7 ± 213.0 ** | 132.5 ± 33.6 **# | 21.7 ± 5.1 |
| FeNO, ppb | 34.8 ± 5.0 ** | 36.9 ± 5.5 ** | 12.0 ± 2.0 |
| Gene | Forward 5′–3′ | Reverse 5′–3′ |
|---|---|---|
| 18S | CGCCGCTAGAGGTGAAATTC | TTGGCAAATGCTTTCGCTC |
| α-sm-actin | TGGGTGACGAAGCAC AGAGC | CTTCAGGGGCAACACGAAGC |
| sm-MHC | CGCCAAGAGACTCGTCTGG | TCTTTCCCAACCGTGACCTTC |
| SM22 | AGGAGCGGCTGGTGGAGTGGAT | CATGTCAGTCTTGATGACCCCATAGT |
| sm-MLCK | GACTGCAAGATTGAAGGATAC | GTTTCCACAATGAGCTCTGC |
| COL1A1 | TCGAGGAGGAAATTCCAATG | ACACACGTGCACCTCATCAT |
| FN | AGCCAGCAGATCGAGAACAT | TCTTGTCCTTGGGGTTCTTG |
| TGF-β1 | GTACCTGAACCCGTGTTGCT | GAACCCGTTGATGTCCACTT |
Disclaimer/Publisher’s Note: The statements, opinions and data contained in all publications are solely those of the individual author(s) and contributor(s) and not of MDPI and/or the editor(s). MDPI and/or the editor(s) disclaim responsibility for any injury to people or property resulting from any ideas, methods, instructions or products referred to in the content. |
© 2023 by the authors. Licensee MDPI, Basel, Switzerland. This article is an open access article distributed under the terms and conditions of the Creative Commons Attribution (CC BY) license (https://creativecommons.org/licenses/by/4.0/).
Share and Cite
Rimkunas, A.; Januskevicius, A.; Vasyle, E.; Palacionyte, J.; Janulaityte, I.; Miliauskas, S.; Malakauskas, K. Blood Inflammatory-like and Lung Resident-like Eosinophils Affect Migration of Airway Smooth Muscle Cells and Their ECM-Related Proliferation in Asthma. Int. J. Mol. Sci. 2023, 24, 3469. https://doi.org/10.3390/ijms24043469
Rimkunas A, Januskevicius A, Vasyle E, Palacionyte J, Janulaityte I, Miliauskas S, Malakauskas K. Blood Inflammatory-like and Lung Resident-like Eosinophils Affect Migration of Airway Smooth Muscle Cells and Their ECM-Related Proliferation in Asthma. International Journal of Molecular Sciences. 2023; 24(4):3469. https://doi.org/10.3390/ijms24043469
Chicago/Turabian StyleRimkunas, Airidas, Andrius Januskevicius, Egle Vasyle, Jolita Palacionyte, Ieva Janulaityte, Skaidrius Miliauskas, and Kestutis Malakauskas. 2023. "Blood Inflammatory-like and Lung Resident-like Eosinophils Affect Migration of Airway Smooth Muscle Cells and Their ECM-Related Proliferation in Asthma" International Journal of Molecular Sciences 24, no. 4: 3469. https://doi.org/10.3390/ijms24043469
APA StyleRimkunas, A., Januskevicius, A., Vasyle, E., Palacionyte, J., Janulaityte, I., Miliauskas, S., & Malakauskas, K. (2023). Blood Inflammatory-like and Lung Resident-like Eosinophils Affect Migration of Airway Smooth Muscle Cells and Their ECM-Related Proliferation in Asthma. International Journal of Molecular Sciences, 24(4), 3469. https://doi.org/10.3390/ijms24043469

