Do Aging and Parity Affect VEGF-A/VEGFR Content and Signaling in the Ovary?—A Mouse Model Study
Abstract
:1. Introduction
2. Results
2.1. VEGF and VEGFR Tissue Localization and Protein Content in Whole Ovaries from Late and Post-Reproductive Mice
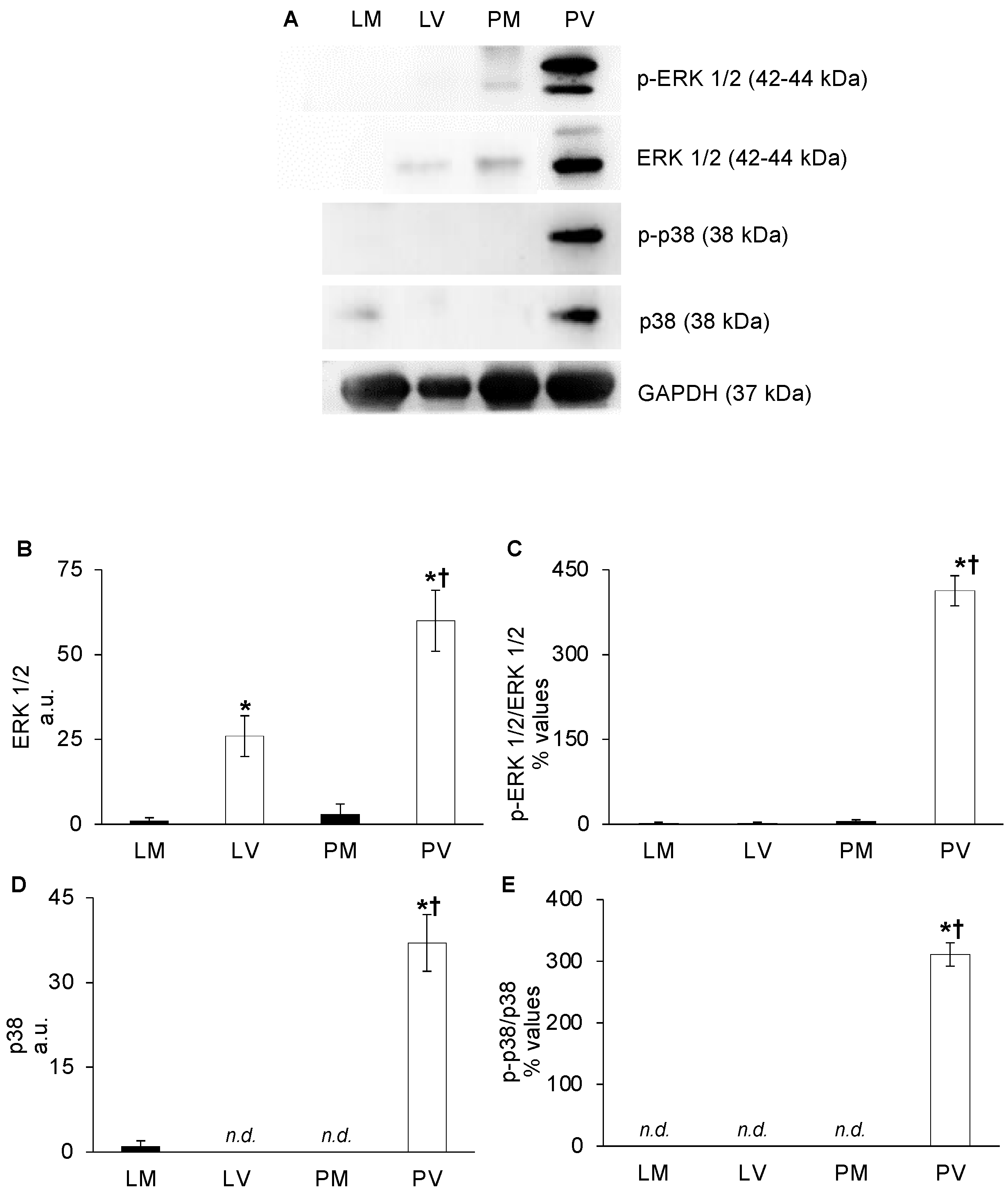
2.2. VEGFR2 Signaling Pathway Activation
3. Discussion
4. Materials and Methods
4.1. Chemicals
4.2. Animals and Sample Collection
4.3. Western Blotting
4.4. Hematoxylin-Eosin (H&E) and Immunohistochemistry (IHC)
4.5. Statistical Analysis
Author Contributions
Funding
Institutional Review Board Statement
Data Availability Statement
Acknowledgments
Conflicts of Interest
References
- Baldwin, K.; Culley, L.; Hudson, N.; Mitchell, H. Running out of Time: Exploring Women’s Motivations for Social Egg Freezing. J. Psychosom. Obstet. Gynaecol. 2019, 40, 166–173. [Google Scholar] [CrossRef] [PubMed]
- Jones, B.P.; Kasaven, L.; L’Heveder, A.; Jalmbrant, M.; Green, J.; Makki, M.; Odia, R.; Norris, G.; Bracewell Milnes, T.; Saso, S.; et al. Perceptions, Outcomes, and Regret Following Social Egg Freezing in the UK; a Cross-Sectional Survey. Acta Obstet. Gynecol. Scand. 2020, 99, 324–332. [Google Scholar] [CrossRef] [PubMed]
- Canipari, R.; De Santis, L.; Cecconi, S. Female Fertility and Environmental Pollution. Int. J. Environ. Res. Public Health 2020, 17, 8802. [Google Scholar] [CrossRef]
- Di Nisio, V.; Antonouli, S.; Damdimopoulou, P.; Salumets, A.; Cecconi, S. In Vivo and In Vitro Postovulatory Aging: When Time Works against Oocyte Quality? J. Assist. Reprod. Genet. 2022, 39, 905–918. [Google Scholar] [CrossRef]
- Ignatov, A.; Ortmann, O. Endocrine Risk Factors of Endometrial Cancer: Polycystic Ovary Syndrome, Oral Contraceptives, Infertility, Tamoxifen. Cancers 2020, 12, 1766. [Google Scholar] [CrossRef]
- Olsson, H.L.; Olsson, M.L. The Menstrual Cycle and Risk of Breast Cancer: A Review. Front. Oncol. 2020, 10, 10–13. [Google Scholar] [CrossRef]
- Troisi, R.; Bjørge, T.; Gissler, M.; Grotmol, T.; Kitahara, C.M.; Myrtveit Sæther, S.M.; Ording, A.G.; Sköld, C.; Sørensen, H.T.; Trabert, B.; et al. The Role of Pregnancy, Perinatal Factors and Hormones in Maternal Cancer Risk: A Review of the Evidence. J. Intern. Med. 2018, 283, 430–445. [Google Scholar] [CrossRef]
- Fu, Z.; Taylor, S.; Modugno, F. Lifetime Ovulations and Epithelial Ovarian Cancer Risk and Survival: A Systematic Review and Meta-Analysis. Gynecol. Oncol. 2022, 165, 650–663. [Google Scholar] [CrossRef]
- Costarelli, V.; Yiannakouris, N. Breast Cancer Risk in Women: The Protective Role of Pregnancy. Nurs. Stand. 2010, 24, 35–40. [Google Scholar] [CrossRef]
- Gutiérrez-Díez, P.J.; Gomez-Pilar, J.; Hornero, R.; Martínez-Rodríguez, J.; López-Marcos, M.A.; Russo, J. The Role of Gene to Gene Interaction in the Breast’s Genomic Signature of Pregnancy. Sci. Rep. 2021, 11, 2643. [Google Scholar] [CrossRef]
- Cobain, E.F.; Milliron, K.J.; Merajver, S.D. Updates on Breast Cancer Genetics: Clinical Implications of Detecting Syndromes of Inherited Increased Susceptibility to Breast Cancer. Semin. Oncol. 2016, 43, 528–535. [Google Scholar] [CrossRef] [PubMed]
- Ahern, T.P.; Sprague, B.L.; Bissell, M.C.S.; Miglioretti, D.L.; Buist, D.S.M.; Braithwaite, D.; Kerlikowske, K. Family History of Breast Cancer, Breast Density, and Breast Cancer Risk in a U.S. Breast Cancer Screening Population. Cancer Epidemiol. Biomark. Prev. 2017, 26, 938–944. [Google Scholar] [CrossRef] [PubMed]
- Kresovich, J.K.; Xu, Z.; O’Brien, K.M.; Weinberg, C.R.; Sandler, D.P.; Taylor, J.A. Methylation-Based Biological Age and Breast Cancer Risk. J. Natl. Cancer Inst. 2019, 111, 1051–1058. [Google Scholar] [CrossRef]
- Dai, Q.; Liu, B.; Du, Y. Meta-Analysis of the Risk Factors of Breast Cancer Concerning Reproductive Factors and Oral Contraceptive Use. Front. Med. China 2009, 3, 452–458. [Google Scholar] [CrossRef]
- Daraei, A.; Izadi, P.; Khorasani, G.; Nafissi, N.; Naghizadeh, M.M.; Meysamie, A.; Mansoori, Y.; Nariman-Saleh-Fam, Z.; Bastami, M.; Saadatian, Z.; et al. A Methylation Signature at the CpG Island Promoter of Estrogen Receptor Beta (ER-β) in Breasts of Women May Be an Early Footmark of Lack of Breastfeeding and Nulliparity. Pathol. Res. Pract. 2021, 218, 153328. [Google Scholar] [CrossRef]
- Butt, S.; Borgquist, S.; Anagnostaki, L.; Landberg, G.; Manjer, J. Parity and Age at First Childbirth in Relation to the Risk of Different Breast Cancer Subgroups. Int. J. Cancer 2009, 125, 1926–1934. [Google Scholar] [CrossRef]
- Momenimovahed, Z.; Tiznobaik, A.; Taheri, S.; Salehiniya, H. Ovarian Cancer in the World: Epidemiology and Risk Factors. Int. J. Women’s Health 2019, 11, 287–299. [Google Scholar] [CrossRef]
- Sasamoto, N.; Stewart, P.A.; Wang, T.; Yoder, S.J.; Chellappan, S.; Hecht, J.L.; Fridley, B.L.; Terry, K.L.; Tworoger, S.S. Lifetime Ovulatory Years and Ovarian Cancer Gene Expression Profiles. J. Ovarian Res. 2022, 15, 59. [Google Scholar] [CrossRef]
- American Cancer Society Ovarian Cancer Risk Factors. Available online: https://www.cancer.org/cancer/ovarian-cancer/causes-risks-prevention/risk-factors.html (accessed on 29 December 2022).
- Kim, S.J.; Rosen, B.; Fan, I.; Ivanova, A.; McLaughlin, J.R.; Risch, H.; Narod, S.A.; Kotsopoulos, J. Epidemiologic Factors That Predict Long-Term Survival Following a Diagnosis of Epithelial Ovarian Cancer. Br. J. Cancer 2017, 116, 964–971. [Google Scholar] [CrossRef]
- Khalafi-Nezhad, A.; Ebrahimi, V.; Ahmadpour, F.; Momtahan, M.; Robati, M.; Saraf, Z.; Ramzi, M.; Jowkar, Z.; Ghaffari, P. Parity as a Prognostic Factor in Patients with Advanced-Stage Epithelial Ovarian Cancer. Cancer Manag. Res. 2020, 12, 1447–1456. [Google Scholar] [CrossRef]
- Di Nisio, V.; Rossi, G.; Iorio, R.; Pellegrini, C.; Macchiarelli, G.; Tiboni, G.M.; Petricca, S.; Cecconi, S. VEGFR2 Expression Is Differently Modulated by Parity and Nulliparity in Mouse Ovary. Biomed. Res. Int. 2018, 2018, 16–19. [Google Scholar] [CrossRef] [PubMed]
- Gómez-Raposo, C.; Mendiola, M.; Barriuso, J.; Casado, E.; Hardisson, D.; Redondo, A. Angiogenesis and Ovarian Cancer. Clin. Transl. Oncol. 2009, 11, 564–571. [Google Scholar] [CrossRef] [PubMed]
- Farzaneh Behelgardi, M.; Zahri, S.; Mashayekhi, F.; Mansouri, K.; Asghari, S.M. A Peptide Mimicking the Binding Sites of VEGF-A and VEGF-B Inhibits VEGFR-1/-2 Driven Angiogenesis, Tumor Growth and Metastasis. Sci. Rep. 2018, 8, 17924. [Google Scholar] [CrossRef] [PubMed]
- Mebratu, Y.; Tesfaigzi, Y. How ERK1/2 Activation Controls Cell Proliferation and Cell Death Is Subcellular Localization the Answer? Cell Cycle 2009, 8, 1168–1175. [Google Scholar] [CrossRef] [PubMed]
- Hou, X.; Zhai, Y.; Hu, K.; Liu, C.J.; Udager, A.; Pearce, C.L.; Fearon, E.R.; Cho, K.R. Aging Accelerates While Multiparity Delays Tumorigenesis in Mouse Models of High-Grade Serous Carcinoma. Gynecol. Oncol. 2022, 165, 552–559. [Google Scholar] [CrossRef] [PubMed]
- Wang, X.; Bove, A.M.; Simone, G.; Ma, B. Molecular Bases of VEGFR-2-Mediated Physiological Function and Pathological Role. Front. Cell Dev. Biol. 2020, 8, 599281. [Google Scholar] [CrossRef] [PubMed]
- Sopo, M.; Anttila, M.; Hämäläinen, K.; Kivelä, A.; Ylä-Herttuala, S.; Kosma, V.M.; Keski-Nisula, L.; Sallinen, H. Expression Profiles of VEGF-A, VEGF-D and VEGFR1 Are Higher in Distant Metastases than in Matched Primary High Grade Epithelial Ovarian Cancer. BMC Cancer 2019, 19, 584. [Google Scholar] [CrossRef] [PubMed]
- Yang, Y.; Xia, L.; Wu, Y.; Zhou, H.; Chen, X.; Li, H.; Xu, M.; Qi, Z.; Wang, Z.; Sun, H.; et al. Programmed Death Ligand-1 Regulates Angiogenesis and Metastasis by Participating in the c-JUN/VEGFR2 Signaling Axis in Ovarian Cancer. Cancer Commun. 2021, 41, 511–527. [Google Scholar] [CrossRef]
- Hennessy, B.T.; Coleman, R.L.; Markman, M. Ovarian Cancer. Lancet 2009, 374, 1371–1382. [Google Scholar] [CrossRef]
- Cakra, A.; Mappaware, N.A.; Tiro, E.; Chalid, S.M.T.; Tahir, M. A Comparison of Vascular Endothelial Growth Factors (Vegf) Levels in Menstrual Blood Between Women with and Without Endometriosis. Gynecol. Reprod. Health 2020, 4, 1–5. [Google Scholar] [CrossRef]
- Laszczýnska, M.; Brodowska, A.; Starczewski, A.; Masiuk, M.; Brodowski, J. Human Postmenopausal Ovary—Hormonally Inactive Fibrous Connective Tissue or More? Histol. Histopathol. 2008, 23, 219–226. [Google Scholar] [CrossRef] [PubMed]
- Kanehisa, M.; Furumichi, M.; Sato, Y.; Kawashima, M.; Ishiguro-Watanabe, M. KEGG for Taxonomy-Based Analysis of Pathways and Genomes. Nucleic Acids Res. 2022, 51, D587–D592. [Google Scholar] [CrossRef] [PubMed]
- Gong, G.; Zheng, Y.; Kong, X.; Wen, Z. Anti-Angiogenesis Function of Ononin via Suppressing the MEK/Erk Signaling Pathway. J. Nat. Prod. 2021, 84, 1755–1762. [Google Scholar] [CrossRef] [PubMed]
- Srinivasan, R.; Zabuawala, T.; Huang, H.; Zhang, J.; Gulati, P.; Fernandez, S.; Karlo, J.C.; Landreth, G.E.; Leone, G.; Ostrowski, M.C. Erk1 and Erk2 Regulate Endothelial Cell Proliferation and Migration during Mouse Embryonic Angiogenesis. PLoS ONE 2009, 4, e8283. [Google Scholar] [CrossRef] [PubMed]
- Okuda, K.S.; Keyser, M.S.; Gurevich, D.B.; Sturtzel, C.; Mason, E.A.; Paterson, S.; Chen, H.; Scott, M.; Condon, N.D.; Martin, P.; et al. Live-Imaging of Endothelial Erk Activity Reveals Dynamic and Sequential Signalling Events during Regenerative Angiogenesis. Elife 2021, 10, e62196. [Google Scholar] [CrossRef] [PubMed]
- Shin, M.; Beane, T.J.; Quillien, A.; Male, I.; Zhu, L.J.; Lawson, N.D. Vegfa Signals through ERK to Promote Angiogenesis, but Not Artery Differentiation. Development 2016, 143, 3796–3805. [Google Scholar] [CrossRef] [PubMed]
- Pua, L.J.W.; Mai, C.W.; Chung, F.F.L.; Khoo, A.S.B.; Leong, C.O.; Lim, W.M.; Hii, L.W. Functional Roles of JNK and P38 MAPK Signaling in Nasopharyngeal Carcinoma. Int. J. Mol. Sci. 2022, 23, 1108. [Google Scholar] [CrossRef]
- Zhang, W.; Liu, H.T. MAPK Signal Pathways in the Regulation of Cell Proliferation in Mammalian Cells. Cell Res. 2002, 12, 9–18. [Google Scholar] [CrossRef]
- Li, J.Z.; Zhou, X.X.; Wu, W.Y.; Qiang, H.F.; Xiao, G.S.; Wang, Y.; Li, G. Concanavalin A Promotes Angiogenesis and Proliferation in Endothelial Cells through the Akt/ERK/Cyclin D1 Axis. Pharm. Biol. 2021, 60, 65–74. [Google Scholar] [CrossRef]
- Chambard, J.C.; Lefloch, R.; Pouysségur, J.; Lenormand, P. ERK Implication in Cell Cycle Regulation. Biochim. Biophys. Acta 2007, 1773, 1299–1310. [Google Scholar] [CrossRef]
- Tao, J.; Yan, C.; Tian, X.; Liu, S.; Li, Y.; Zhang, J.; Sun, M.; Ma, X.; Han, Y. Creg Promotes the Proliferation of Human Umbilical Vein Endothelial Cells through the ERK/Cyclin E Signaling Pathway. Int. J. Mol. Sci. 2013, 14, 18437–18456. [Google Scholar] [CrossRef] [PubMed]
- Bauer, A.; Mylroie, H.; Thornton, C.C.; Calay, D.; Birdsey, G.M.; Kiprianos, A.P.; Wilson, G.K.; Soares, M.P.; Yin, X.; Mayr, M.; et al. Identification of Cyclins A1, E1 and Vimentin as Downstream Targets of Heme Oxygenase-1 in Vascular Endothelial Growth Factor-Mediated Angiogenesis. Sci. Rep. 2016, 6, 29417. [Google Scholar] [CrossRef] [PubMed]
- Shen, T.; Huang, S. The Role of Cdc25A in the Regulation of Cell Proliferation and Apoptosis. Anticancer Agents Med. Chem. 2012, 12, 631–639. [Google Scholar] [CrossRef] [PubMed]
- Kok, Y.P.; Guerrero Llobet, S.; Schoonen, P.M.; Everts, M.; Bhattacharya, A.; Fehrmann, R.S.N.; van den Tempel, N.; van Vugt, M.A.T.M. Overexpression of Cyclin E1 or Cdc25A Leads to Replication Stress, Mitotic Aberrancies, and Increased Sensitivity to Replication Checkpoint Inhibitors. Oncogenesis 2020, 9, 88. [Google Scholar] [CrossRef] [PubMed]
- Limas, J.C.; Littlejohn, A.N.; House, A.M.; Kedziora, K.M.; Mouery, B.L.; Ma, B.; Fleifel, D.; Walens, A.; Aleman, M.M.; Dominguez, D.; et al. Quantitative Profiling of Adaptation to Cyclin E Overproduction. Life Sci. Alliance 2022, 5, e202201378. [Google Scholar] [CrossRef] [PubMed]
- Saad, A.F.; Hu, W.; Sood, A.K. Microenvironment and Pathogenesis of Epithelial Ovarian Cancer. Horm. Cancer 2010, 1, 277–290. [Google Scholar] [CrossRef] [PubMed]
- Gorski, J.W.; Ueland, F.R.; Kolesar, J.M. CCNE1 Amplification as a Predictive Biomarker of Chemotherapy Resistance in Epithelial Ovarian Cancer. Diagnostics 2020, 10, 279. [Google Scholar] [CrossRef]
- Masamha, C.P.; Benbrook, D.M. Cyclin D1 Degradation Is Sufficient to Induce G1 Cell Cycle Arrest despite Constitutive Expression of Cyclin E2 in Ovarian Cancer Cells. Cancer Res. 2009, 69, 6565–6572. [Google Scholar] [CrossRef]
- Zayyan, M.S. Risk Factors for Ovarian Cancer. In Tumor Progression and Metastasis; Lasfar, A., Cohen-Solal, K., Eds.; IntechOpen: Rijeka, Croatia, 2020. [Google Scholar]
- Asano, Y. Age-Related Accumulation of Non-Heme Ferric and Ferrous Iron in Mouse Ovarian Stroma Visualized by Sensitive Non-Heme Iron Histochemistry. J. Histochem. Cytochem. 2012, 60, 229–242. [Google Scholar] [CrossRef]
- Di Nisio, V.; Rossi, G.; Palmerini, M.G.; Macchiarelli, G.; Tiboni, G.M.; Cecconi, S. Increased Rounds of Gonadotropin Stimulation Have Side Effects on Mouse Fallopian Tubes and Oocytes. Reproduction 2018, 155, 245–250. [Google Scholar] [CrossRef]




Disclaimer/Publisher’s Note: The statements, opinions and data contained in all publications are solely those of the individual author(s) and contributor(s) and not of MDPI and/or the editor(s). MDPI and/or the editor(s) disclaim responsibility for any injury to people or property resulting from any ideas, methods, instructions or products referred to in the content. |
© 2023 by the authors. Licensee MDPI, Basel, Switzerland. This article is an open access article distributed under the terms and conditions of the Creative Commons Attribution (CC BY) license (https://creativecommons.org/licenses/by/4.0/).
Share and Cite
Di Nisio, V.; Rossi, G.; Chiominto, A.; Pompili, E.; Cecconi, S. Do Aging and Parity Affect VEGF-A/VEGFR Content and Signaling in the Ovary?—A Mouse Model Study. Int. J. Mol. Sci. 2023, 24, 3318. https://doi.org/10.3390/ijms24043318
Di Nisio V, Rossi G, Chiominto A, Pompili E, Cecconi S. Do Aging and Parity Affect VEGF-A/VEGFR Content and Signaling in the Ovary?—A Mouse Model Study. International Journal of Molecular Sciences. 2023; 24(4):3318. https://doi.org/10.3390/ijms24043318
Chicago/Turabian StyleDi Nisio, Valentina, Gianna Rossi, Alessandro Chiominto, Ezio Pompili, and Sandra Cecconi. 2023. "Do Aging and Parity Affect VEGF-A/VEGFR Content and Signaling in the Ovary?—A Mouse Model Study" International Journal of Molecular Sciences 24, no. 4: 3318. https://doi.org/10.3390/ijms24043318
APA StyleDi Nisio, V., Rossi, G., Chiominto, A., Pompili, E., & Cecconi, S. (2023). Do Aging and Parity Affect VEGF-A/VEGFR Content and Signaling in the Ovary?—A Mouse Model Study. International Journal of Molecular Sciences, 24(4), 3318. https://doi.org/10.3390/ijms24043318

