Simultaneous Improvement in the Thermostability and Catalytic Activity of Epoxidase Lsd18 for the Synthesis of Lasalocid A
Abstract
:1. Introduction
2. Results
2.1. Rational and Semi-Rational Designs
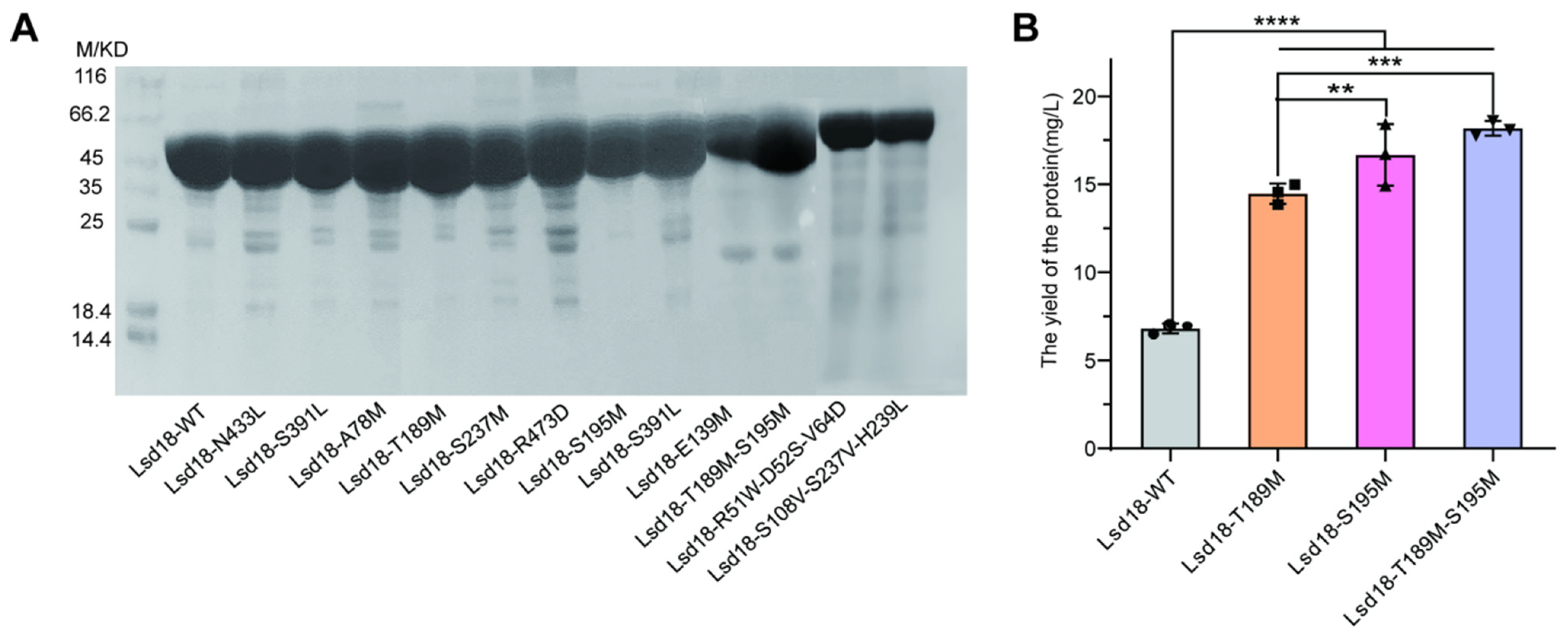
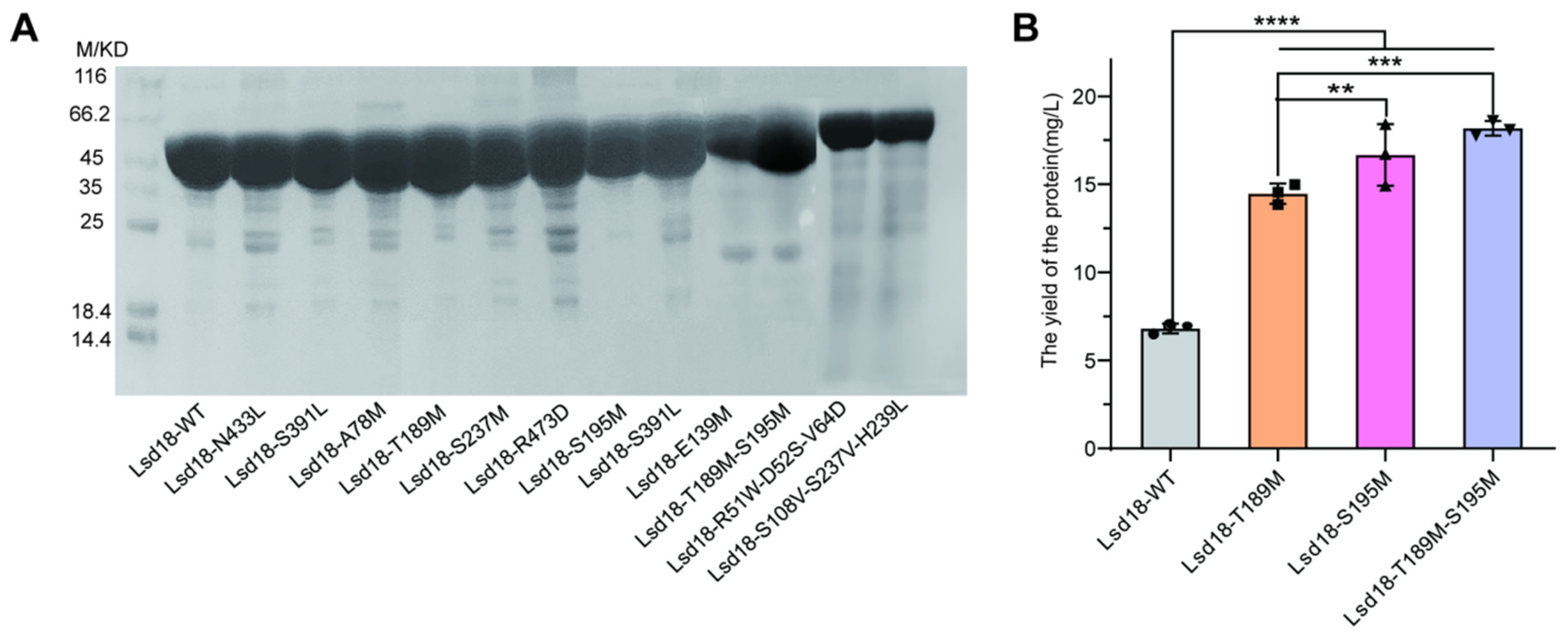
2.2. Cloning, Expression and Purification of the Designed Mutants
2.3. Screening for the Lsd18 Mutants with Increased Thermostability and Catalytic Activity
2.4. Molecular Dynamics Analysis of Lsd18-T189M, Lsd18-S195M and Lsd18-T189M-S195M
2.5. Crystallography Study of Lsd18-S195M, Lsd18-T189M-S195M
3. Discussion
4. Materials and Methods
4.1. Rational Design of the Mutants
4.2. Site-Directed Mutagenesis of Lsd18
4.3. Expression and Purification of Wild-Type and Mutant Enzymes
4.4. Thermal Shift Assay
4.5. Trypsin Digestion Assay
4.6. FAD Content Determination
4.7. The Enzymatic Assay
4.8. LC-MS Analysis
4.9. CD Analysis
4.10. Molecular Dynamics Simulations
4.11. X-ray Crystal Structure Determination
Supplementary Materials
Author Contributions
Funding
Institutional Review Board Statement
Informed Consent Statement
Data Availability Statement
Acknowledgments
Conflicts of Interest
References
- Elshafie, H.S.; Camele, I.; Mohamed, A.A. A Comprehensive Review on the Biological, Agricultural and Pharmaceutical Properties of Secondary Metabolites Based-Plant Origin. Int. J. Mol. Sci. 2023, 24, 3266. [Google Scholar] [CrossRef] [PubMed]
- Atanasov, A.G.; Zotchev, S.B.; Dirsch, V.M. International Natural Product Sciences, T. & Supuran, C.T. Natural products in drug discovery: Advances and opportunities. Nat. Rev. Drug. Discov. 2021, 20, 200–216. [Google Scholar] [PubMed]
- Chakrabarty, S.; Romero, E.O.; Pyser, J.B.; Yazarians, J.A.; Narayan, A.R.H. Chemoenzymatic Total Synthesis of Natural Products. Acc. Chem. Res. 2021, 54, 1374–1384. [Google Scholar] [CrossRef] [PubMed]
- Galanie, S.; Entwistle, D.; Lalonde, J. Engineering biosynthetic enzymes for industrial natural product synthesis. Nat. Prod. Rep. 2020, 37, 1122–1143. [Google Scholar] [CrossRef] [PubMed]
- Lynch, D.E.; Reeves, C.R.; Errabelli, D.R.; Hamilton, D.G. Structure of a potassium salt of Lasalocid A and an investigation of solid-state conformational variance of the Lasalocid A backbone in known complexes. J. Mol. Struct. 2021, 1229, 129768. [Google Scholar] [CrossRef]
- Ireland, R.E.; Anderson, R.C.; Badoud, R.; Fitzsimmons, B.J.; McGarvey, G.J.; Thaisrivongs, S.; Wilcox, C.S. The total synthesis of ionophore antibiotics. A convergent synthesis of lasalocid A (X537A). J. Am. Chem. Soc. 1983, 105, 1988–2006. [Google Scholar] [CrossRef]
- Sherman, M.M.; Hutchinson, C.R. Biosynthesis of lasalocid A: Biochemical mechanism for assembly of the carbon framework. Biochemistry 1987, 26, 438–445. [Google Scholar] [CrossRef]
- Minami, A.; Shimaya, M.; Suzuki, G.; Migita, A.; Shinde, S.S.; Sato, K.; Watanabe, K.; Tamura, T.; Oguri, H.; Oikawa, H. Sequential enzymatic epoxidation involved in polyether lasalocid biosynthesis. J. Am. Chem. Soc. 2012, 134, 7246–7249. [Google Scholar] [CrossRef]
- Moschona, F.; Savvopoulou, I.; Tsitopoulou, M.; Tataraki, D.; Rassias, G. Epoxide Syntheses and Ring-Opening Reactions in Drug Development. Catalysts 2020, 10, 1117. [Google Scholar] [CrossRef]
- Buss, O.; Rudat, J.; Ochsenreither, K. FoldX as Protein Engineering Tool: Better. Than Random Based Approaches? Comput. Struct. Biotechnol. J. 2018, 16, 25–33. [Google Scholar] [CrossRef]
- He, Y.M.; Ma, B.G. Abundance and Temperature Dependency of Protein-Protein Interaction Revealed by Interface Structure Analysis and Stability Evolution. Sci. Rep. 2016, 6, 26737. [Google Scholar] [CrossRef]
- Wang, J.; Ma, B.G.; Zhang, H.Y.; Chen, L.L.; Zhang, S.C. How does gene expression level contribute to thermophilic adaptation of prokaryotes? An exploration based on predictors. Gene 2008, 421, 32–36. [Google Scholar]
- Pucci, F.; Rooman, M. Towards an accurate prediction of the thermal stability of homologous proteins. J. Biomol. Struct. Dyn. 2016, 34, 1132–1142. [Google Scholar] [CrossRef]
- Hirano, A.; Braas, D.; Fu, Y.H.; Ptacek, L.J. FAD Regulates CRYPTOCHROME Protein Stability and Circadian Clock in Mice. Cell. Rep. 2017, 19, 255–266. [Google Scholar] [CrossRef]
- Vladimir, P.; Mati, C.; Gideon, S. Assessing computational methods for predicting protein stability upon mutation: Good on average but not in the details. Protein Eng. Des. Sel. Peds 2009, 9, 553–560. [Google Scholar]
- Case, D.A.; Iii, T.E.C.; Darden, T.; Gohlke, H.; Luo, R.; Merz, K.M. The Amber biomolecular simulation programs. J. Comput. Chem. 2010, 26, 1668–1688. [Google Scholar] [CrossRef]
- Simmerling, C.; Hauser, K.E.; Maier, J.A.; Kasavajhala, K. ff14SB: Improving the Accuracy of Protein Side Chain and Backbone Parameters from ff99SB. J. Chem. Theory Comput. 2015, 11, 3696–3713. [Google Scholar]
- Wang, J.; Wolf, R.M.; Caldwell, J.W.; Kollman, P.A.; Case, D.A. Development and Testing of a General AMBER Force Field. J. Comput. Chem. 2004, 25, 1157–1174. [Google Scholar] [CrossRef]
- Zang, Y.; Wang, H.; Hao, D.; Kang, Y.; Zhang, J.; Li, X.; Zhang, L.; Yang, Z.; Zhang, S. p38α Kinase Auto-Activation through Its Conformational Transition Induced by Tyr323 Phosphorylation. J. Chem. Inf. Model. 2022, 62, 6639–6648. [Google Scholar] [CrossRef]
- Otwinowski, Z.; Minor, W. Processing of X-ray diffraction data collected in oscillation mode. Methods Enzymol. 1997, 276, 307–326. [Google Scholar]
- McNicholas, S.; Potterton, E.; Wilson, K.S.; Noble, M.E. Presenting your structures: The CCP4mg molecular-graphics software. Acta Crystallogr. D Biol. Crystallogr. 2011, 67, 386–394. [Google Scholar] [CrossRef] [PubMed]
- Vagin, A.; Teplyakov, A. Molecular replacement with MOLREP. Acta Crystallogr. D Biol. Crystallogr. 2010, 66, 22–25. [Google Scholar] [CrossRef] [PubMed]
- Adams, P.D.; Afonine, P.V.; Bunkoczi, G.; Chen, V.B.; Davis, I.W.; Echols, N.; Headd, J.J.; Hung, L.W.; Kapral, G.J.; Grosse-Kunstleve, R.W.; et al. PHENIX: A comprehensive Python-based system for macromolecular structure solution. Acta Crystallogr. D Biol. Crystallogr. 2010, 66, 213–221. [Google Scholar] [CrossRef] [PubMed]
- Murshudov, G.N.; Skubak, P.; Lebedev, A.A.; Pannu, N.S.; Steiner, R.A.; Nicholls, R.A.; Winn, M.D.; Long, F.; Vagin, A.A. REFMAC5 for the refinement of macromolecular crystal structures. Acta Crystallogr. D Biol. Crystallogr. 2011, 67, 355–367. [Google Scholar] [CrossRef]
- Emsley, P.; Cowtan, K. Coot: Model-building tools for molecular graphics. Acta Crystallogr. D Biol. Crystallogr. 2004, 60, 2126–2132. [Google Scholar] [CrossRef]




| Mutant | ΔΔG (kcal/mol) |
|---|---|
| S195M | −4.59 |
| N433L | −3.49 |
| A78M | −3.49 |
| T189M | −3.37 |
| S237M | −3.19 |
| R473D | −3.00 |
| E139M | −2.91 |
| S391L | −2.73 |
| G101P | −2.57 |
| Mutant | ΔΔG (kcal/mol) |
|---|---|
| P326A | −9.38 |
| P326S | −7.06 |
| R21G | −8.85 |
| Primer | Sequence (5′→3′) |
|---|---|
| Lsd18-F-NdeI | GGAATTCCATATGACGAACACGCGCTC |
| Lsd18-R-EcoRI | CCGGAATTCTTAAGCGGTAACACCAG |
| S195M-F | CGCGGTAGCCCGATGAAACGTCTG |
| S195M-R | CAGACGTTTCATCGGGCTACCGCG |
| N433L-F | CAGGTTGTCCTTCGTGCAGCTGTG |
| N433L-R | CACAGCTGCACGAAGGACAACCTG |
| A78M-F | GTCTGGCGGTATGCGTATCGTTGAAG |
| A78M-R | CTTCAACGATACGCATACCGCCAGAC |
| T189M-F | GATCTGGTGGTTGACACCATGGGTCG |
| T189M-R | CGACCCATGGTGTCAACCACCAGATC |
| S237M-F | CTTCCCGCTGGTTATGGTCCATGC |
| S237M-R | GCATGGACCATAACCAGCGGGAAG |
| R473D-F | GAACCGCCGCTGGACCCGGATGAAG |
| R473D-R | CTTCATCCGGGTCCAGCGGCGGTTC |
| E139M-F | CGTTCGTGAAATGACGCTGCGTGAAG |
| E139M-R | CTTCACGCAGCGTCATTTCACGAACG |
| S391L-F | GTGCTGGCAACCCTTCATGATATC |
| S391L-R | GATATCATGAAGGGTTGCCAGCAC |
| G101P-F | GCTCATCGTATTCCCATCCCGGAC |
| G101P-R | GTCCGGGATGGGAATACGATGAGC |
| R21G-F | GGAATTCCATATGACGAACACGGGCTCGGCGGT |
| R21G-R | CCGGAATTCTTAAGCGGTAACACCAG |
| P326A-F | CTGGCAACCTGGGCGGAAGGCCTG |
| P326A-R | CAGGCCTTCCGCCCAGGTTGCCAG |
| P326S-F | CTGGCAACCTGGTCGGAAGGCCTG |
| P326S-R | CAGGCCTTCCGACCAGGTTGCCAG |
| R51W-D52S-F | CGTTATTGATTGGAGCGCATTTCCGG |
| R51W-D52S-R | CCGGAAATGCGCTCCAATCAATAACG |
| V64D-F | GCGCAAAGGTGACCCGCAAGCTCG |
| V64D-R | CGAGCTTGCGGGTCACCTTTGCGC |
| S237V-H239L-F | CCGCTGGTTGTGGTCCTTGCTGATCAC |
| S237V-H239L-R | GTGATCAGCAAGGACCACAACCAGCGG |
| S108V-F | CGGTCAGGTGGTTTATACCGC |
| S108V-R | GCGGTATAAACCACCTGACCG |
| Reagent | Amount |
|---|---|
| 50× Sypro-Orange | 6 μL |
| 4× Tris-HCl buffer | 15 μL |
| Lsd18 WT/mutants | 12 μg |
| ddH2O | Add to 60 μL |
| Reagent | Concentration | Amount |
|---|---|---|
| Buffer | 4× | 50 μL |
| substrate | 4 mM | 10 μL |
| NADH | 100 mM | 4 μL |
| NADPH | 100 mM | 4 μL |
| FAD | 10 mM | 1.6 μL |
| Enzyme | 20 mg/mL | 8.5 μL |
| Fre | 15 μM | 16.4 μL |
| Methanol | 30% | 55 μL |
| MQ | 50.5 μL |
| Time | A, B Ratio | Speed |
|---|---|---|
| 0 min | 20%A, 80%B | 0.2 mL/min |
| 0.5 min | 20%A, 80%B | 0.2 mL/min |
| 6 min | 0%A, 100%B | 0.2 mL/min |
| 6.5 min | 0%A, 100%B | 0.2 mL/min |
| 8 min | 20%A, 80%B | 0.2 mL/min |
Disclaimer/Publisher’s Note: The statements, opinions and data contained in all publications are solely those of the individual author(s) and contributor(s) and not of MDPI and/or the editor(s). MDPI and/or the editor(s) disclaim responsibility for any injury to people or property resulting from any ideas, methods, instructions or products referred to in the content. |
© 2023 by the authors. Licensee MDPI, Basel, Switzerland. This article is an open access article distributed under the terms and conditions of the Creative Commons Attribution (CC BY) license (https://creativecommons.org/licenses/by/4.0/).
Share and Cite
Liu, N.; Xiao, H.; Zang, Y.; Zhou, L.; Mencius, J.; Yang, Z.; Quan, S.; Chen, X. Simultaneous Improvement in the Thermostability and Catalytic Activity of Epoxidase Lsd18 for the Synthesis of Lasalocid A. Int. J. Mol. Sci. 2023, 24, 16795. https://doi.org/10.3390/ijms242316795
Liu N, Xiao H, Zang Y, Zhou L, Mencius J, Yang Z, Quan S, Chen X. Simultaneous Improvement in the Thermostability and Catalytic Activity of Epoxidase Lsd18 for the Synthesis of Lasalocid A. International Journal of Molecular Sciences. 2023; 24(23):16795. https://doi.org/10.3390/ijms242316795
Chicago/Turabian StyleLiu, Ning, Hongli Xiao, Yongjian Zang, Longji Zhou, Jun Mencius, Zhiwei Yang, Shu Quan, and Xi Chen. 2023. "Simultaneous Improvement in the Thermostability and Catalytic Activity of Epoxidase Lsd18 for the Synthesis of Lasalocid A" International Journal of Molecular Sciences 24, no. 23: 16795. https://doi.org/10.3390/ijms242316795
APA StyleLiu, N., Xiao, H., Zang, Y., Zhou, L., Mencius, J., Yang, Z., Quan, S., & Chen, X. (2023). Simultaneous Improvement in the Thermostability and Catalytic Activity of Epoxidase Lsd18 for the Synthesis of Lasalocid A. International Journal of Molecular Sciences, 24(23), 16795. https://doi.org/10.3390/ijms242316795

