Anti-Adhesive Resorbable Indomethacin/Bupivacaine-Eluting Nanofibers for Tendon Rupture Repair: In Vitro and In Vivo Studies
Abstract
:1. Introduction
2. Results
2.1. Physical and Chemical Properties of the Biomolecule-Incorporated Nanofibers
2.1.1. Surface Topography
2.1.2. Assessment of Hydrophilicity
2.1.3. Assessment of the Chemical Polarity
2.1.4. Mechanical Strength of the Fabricated PLGA Nanofibers
2.1.5. In Vitro Drug Elution from PLGA Nanofibers
2.1.6. In Vivo Drug Release of Nanofibers
2.1.7. Bioactivity Examination
2.2. Assessment of the Specimens
2.2.1. Assessment of Gross Specimens
2.2.2. Mechanical Strength
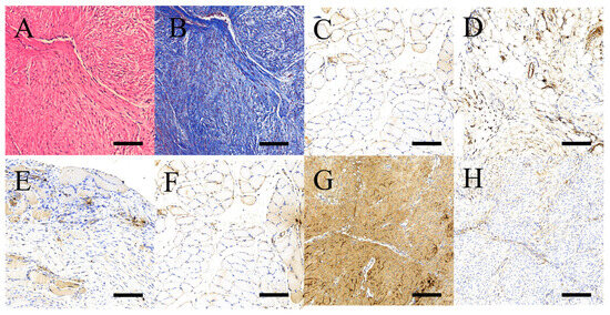
2.2.3. Microscopic Evaluations
3. Discussion
4. Materials and Methods
4.1. Materials and Fabrication of Built-in-Biomolecule PLGA Nanofibers
4.2. Physicochemical Properties of the Triple-Layered PLGA Nanofibers
4.2.1. Surface Topography
4.2.2. Assessment of Hydrophilicity
4.2.3. Assessment of Chemical Polarity
4.2.4. Mechanical Strength of the Fabricated PLGA Nanofibers
4.2.5. In Vitro Elution Characterization of Drug-Incorporated Nanofibers
4.2.6. Animal Model Simulating Achilles Tendon Injury/Repair
4.2.7. Assessment of Bioactivity
4.2.8. Characterization of Drug Elution In Vivo
4.3. Evaluation of the Specimens
4.3.1. Evaluation of the Gross Specimens
4.3.2. Evaluation of the Mechanical Strength
4.3.3. Microscopic Evaluations
4.4. Statistical Analyses
5. Conclusions
Author Contributions
Funding
Institutional Review Board Statement
Data Availability Statement
Conflicts of Interest
References
- Park, S.H.; Lee, H.S.; Young, K.W.; Seo, S.G. Treatment of acute Achilles tendon rupture. Clin. Orthop. Surg. 2020, 12, 68–75. [Google Scholar] [CrossRef]
- Touzell, A. The Achilles tendon: Management of acute and chronic conditions. Aust. J. Gen. Pract. 2020, 49, 715–719. [Google Scholar] [CrossRef]
- Lantto, I.; Heikkinen, J.; Flinkkila, T.; Ohtonen, P.; Siira, P.; Laine, V.; Leppilahti, J. A Prospective Randomized Trial Comparing Surgical and Nonsurgical Treatments of Acute Achilles Tendon Ruptures. Am. J. Sports Med. 2016, 44, 2406–2414. [Google Scholar] [CrossRef]
- Reda, Y.; Farouk, A.; Abdelmonem, I.; El Shazly, O.A. Surgical versus non-surgical treatment for acute Achilles’ tendon rupture. A systematic review of literature and meta-analysis. Foot Ankle Surg. 2020, 26, 280–288. [Google Scholar] [CrossRef]
- Smith, R.K.; Birch, H.; Patterson-Kane, J.; Firth, E.C.; Williams, L.; Cherdchutham, W.; van Weeren, W.R.; Goodship, A.E. Should equine athletes commence training during skeletal development? Changes in tendon matrix associated with development, ageing, function and exercise. Equine Vet. J. Suppl. 1999, 30, 201–209. [Google Scholar] [CrossRef]
- Gonçalves-Neto, J.; Witzel, S.S.; Teodoro, W.R.; Carvalho-Júnior, A.E.; Fernandes, T.D.; Yoshinari, H.H. Changes in collagen matrix composition in human posterior tibial tendon dysfunction. Jt. Bone Spine 2002, 69, 189–194. [Google Scholar] [CrossRef]
- Riley, G.P.; Harrall, R.L.; Constant, C.R.; Chard, M.D.; Cawston, T.E.; Hazleman, B.L. Tendon degeneration and chronic shoulder pain: Changes in the collagen composition of the human rotator cuff tendons in rotator cuff tendinitis. Ann. Rheum. Dis. 1994, 53, 359–366. [Google Scholar] [CrossRef]
- Clayton, R.A.E.; Court-Brown, C.M. The epidemiology of musculoskeletal tendinous and ligamentous injuries. Injury 2008, 39, 1338–1344. [Google Scholar] [CrossRef]
- Leppilaht, J.; Puranen, J.; Orava, S. Incidence of Achilles tendon rupture. Acta Orthop. Scand. 1996, 67, 277–279. [Google Scholar] [CrossRef]
- Voleti, P.B.; Buckley, M.R.; Soslowsky, L.J. Tendon healing: Repair and regeneration. Annu. Rev. Biomed. Eng. 2012, 14, 47–71. [Google Scholar] [CrossRef]
- Hammad, M.E.; Fayed, A.M.; Ayoub, M.A.; Emran, A.M. Early satisfactory results of percutaneous repair in neglected achilles tendon rupture. BMC Musculoskelet. Disord. 2023, 24, 446. [Google Scholar] [CrossRef]
- Gould, H.P.; Bano, J.M.; Akman, J.L.; Fillar, A.L. Postoperative Rehabilitation Following Achilles Tendon Repair: A Systematic Review. Sports Med. Arthrosc. Rev. 2021, 29, 130–145. [Google Scholar] [CrossRef]
- Bal-Ozturk, A.; Cecen, B.; Avci-Adali, M.; Topkaya, S.N.; Alarcin, E.; Yasayan, G.; Ethan, Y.C.; Bulkurcuoglu, B.; Akpek, A.; Avci, H.; et al. Tissue Adhesives: From Research to Clinical Translation. Nano Today 2021, 36, 101049. [Google Scholar] [CrossRef]
- Pearce, O.; Brown, M.T.; Fraser, K.; Lancerotto, L. Flexor tendon injuries: Repair & rehabilitation. Injury 2021, 52, 2053–2067. [Google Scholar] [CrossRef]
- Carmont, M.R.; Knutsson, S.B.; Brorsson, A.; Karlsson, J.; Nilsson-Helander, K. The release of adhesions improves outcome following minimally invasive repair of Achilles tendon rupture. Knee Surg. Sports Traumatol. Arthrosc. 2022, 30, 1109–1117. [Google Scholar] [CrossRef]
- Li, P.; Zhou, H.; Tu, T.; Lu, H. Dynamic exacerbation in inflammation and oxidative stress during the formation of peritendinous adhesion resulted from acute tendon injury. J. Orthop. Surg. Res. 2021, 16, 293. [Google Scholar] [CrossRef]
- Branford, O.A.; Klass, B.R.; Grobbelaar, A.O.; Rolfe, K.J. The growth factors involved in flexor tendon repair and adhesion formation. J. Hand Surg. Eur. 2014, 39, 60–70. [Google Scholar] [CrossRef]
- Chen, S.; Wang, G.; Wu, T.; Zhao, X.; Liu, S.; Li, G.; Cui, W.; Fan, C. Silver nanoparticles/ibuprofen-loaded poly(L-lactide) fibrous membrane: Anti-infection and anti-adhesion effects. Int. J. Mol. Sci. 2014, 15, 14014–14025. [Google Scholar] [CrossRef]
- Kao, C.W.; Lee, D.; Wu, M.H.; Chen, J.K.; He, H.L.; Liu, S.J. Lidocaine/ketorolac-loaded biodegradable nanofibrous anti-adhesive membranes that offer sustained pain relief for surgical wounds. Int. J. Nanomed. 2017, 12, 5893–5901. [Google Scholar] [CrossRef]
- Kao, C.W.; Tseng, Y.Y.; Liu, K.S.; Liu, Y.W.; Chen, J.C.; He, H.L.; Kau, Y.C.; Liu, S.J. Anesthetics and human epidermal growth factor incorporated into anti-adhesive nanofibers provide sustained pain relief and promote healing of surgical wounds. Int. J. Nanomed. 2019, 14, 4007–4016. [Google Scholar] [CrossRef]
- Abdollahiyan, P.; Oroojalian, F.; Hejazi, M.; de la Guardia, M.; Mokhtarzadeh, A. Nanotechnology, and scaffold implantation for the effective repair of injured organs: An overview on hard tissue engineering. J. Control. Release 2021, 333, 391–417. [Google Scholar] [CrossRef]
- Lou, C.W.; Yao, C.H.; Chen, Y.S.; Hsieh, T.C.; Lin, J.H.; Hsing, W.H. Manufacturing and properties of PLA absorbable surgical suture. Text. Res. J. 2008, 78, 958–965. [Google Scholar] [CrossRef]
- Kirillova, A.; Yeazel, T.R.; Asheghali, D.; Petersen, S.R.; Dort, S.; Gall, K.; Becker, M.L. Fabrication of biomedical scaffolds using biodegradable polymers. Chem. Rev. 2021, 121, 11238–11304. [Google Scholar] [CrossRef]
- Badaraev, A.D.; Lerner, M.I.; Bakina, O.V.; Sidelev, D.V.; Tran, T.-H.; Krinitcyn, M.G.; Malashicheva, A.B.; Cherempey, E.G.; Slepchenko, G.B.; Kozelskaya, A.I.; et al. Antibacterial activity and cytocompatibility of electrospun PLGA scaffolds surface-modified by pulsed DC magnetron co-sputtering of copper and titanium. Pharmaceutics 2023, 15, 939. [Google Scholar] [CrossRef] [PubMed]
- Shahbaz, S.K.; Foroughi, F.; Soltaninezhad, E.; Jamialahmadi, T.; Penson, P.E.; Sahebkar, A. Application of PLGA Nano/microparticle delivery systems for immunomodulation and prevention of allotransplant rejection. Expert Opin. Drug Deliv. 2020, 17, 767–780. [Google Scholar] [CrossRef]
- Su, Y.; Zhang, B.; Sun, R.; Liu, W.; Zhu, Q.; Zhang, X.; Wang, R.; Chen, C. PLGA-based biodegradable microspheres in drug delivery: Recent advances in research and application. Drug Deliv. 2021, 28, 1397–1418. [Google Scholar] [CrossRef] [PubMed]
- Yu, Y.H.; Lee, D.; Hsu, Y.H.; Chou, Y.C.; Ueng, S.W.; Chen, C.K.; Liu, S.J. A three-dimensional printed polycaprolactone scaffold combined with co-axially electrospun vancomycin/ceftazidime/bone morphological protein-2 sheath-core nanofibers for the repair of segmental bone defects during the Masquelet Procedure. Int. J. Nanomed. 2020, 15, 913–925. [Google Scholar] [CrossRef] [PubMed]
- Hsu, Y.H.; Yu, Y.H.; Lee, D.; Chou, Y.C.; Wu, C.K.; Lu, C.J.; Liu, S.J. Pharmaceutical-eluting hybrid degradable hydrogel/microparticle loaded sacs for finger joint interpositional arthroplasty. Biomater. Adv. 2022, 137, 212846. [Google Scholar] [CrossRef]
- Maksimenko, O.; Malinovskaya, J.; Shipulo, E.; Osipova, N.; Razzhivina, V.; Arantseva, D.; Yarovaya, O.; Mostovaya, U.; Khalansky, A.; Fedoseeva, V.; et al. Doxorubicin-loaded PLGA nanoparticles for the chemotherapy of glioblastoma: Towards the pharmaceutical development. Int. J. Pharm. 2019, 572, 118733. [Google Scholar] [CrossRef]
- Mir, M.; Ahmed, N.; Rehman, A.U. Recent applications of PLGA based nanostructures in drug delivery. Colloids Surf. B Biointerfaces 2017, 159, 217–231. [Google Scholar] [CrossRef]
- Kang, S.; Park, S.; Baek, I.; Song, Y.; Kim, S.; Choi, D.; Kim, J.; Lee, Y. Development of poly(D,L-lactic-co-glycolic acid) films coated with biomembrane-mimicking polymers for anti-adhesion activity. Mater. Sci. Eng. C Mater. Biol. Appl. 2021, 120, 111780. [Google Scholar] [CrossRef]
- Dong, C.; Lv, Y. Application of collagen scaffold in tissue engineering: Recent advances and new perspectives. Polymers 2016, 8, 42. [Google Scholar] [CrossRef] [PubMed]
- Glowacki, J.; Mizuno, S. Collagen scaffolds for tissue engineering. Biopolymers 2008, 89, 338–344. [Google Scholar] [CrossRef] [PubMed]
- Lucas, S. The Pharmacology of Indomethacin. Headache 2016, 56, 436–446. [Google Scholar] [CrossRef] [PubMed]
- Dimmen, S.; Engebretsen, L.; Nordsletten, L.; Madsen, J.E. Negative effects of parecoxib and indomethacin on tendon healing: An experimental study in rats. Knee Surg. Sports Traumatol. Arthrosc. 2009, 17, 835–839. [Google Scholar] [CrossRef]
- Forslund, C.; Bylander, B.; Aspenberg, P. Indomethacin and celecoxib improve tendon healing in rats. Acta Orthop. Scand. 2003, 74, 465–469. [Google Scholar] [CrossRef] [PubMed]
- Thomas, J.; Taylor, D.; Crowell, R.; Assor, D. The effect of indomethacin on Achilles tendon healing in rabbits. Clin. Orthop. Relat. Res. 1991, 272, 308–311. [Google Scholar] [CrossRef]
- Gliszczyńska, A.; Nowaczyk, M. Lipid formulations and bioconjugation strategies for indomethacin therapeutic advances. Molecules 2021, 26, 1576. [Google Scholar] [CrossRef]
- Paganelli, M.A.; Popescu, G.K. Actions of bupivacaine, a widely used local anesthetic, on NMDA receptor responses. J. Neurosci. 2015, 35, 831–842. [Google Scholar] [CrossRef]
- Xue, J.; Wu, T.; Dai, Y.; Xia, Y. Electrospinning and electrospun nanofibers: Methods, materials, and applications. Chem. Rev. 2019, 119, 5298–5415. [Google Scholar] [CrossRef]
- Ewing, A.V.; Clarke, G.S.; Kazarian, S.G. Stability of indomethacin with relevance to the release from amorphous solid dispersions studied with ATR-FTIR spectroscopic imaging. Eur. J. Pharm. Sci. 2014, 60, 64–71. [Google Scholar] [CrossRef] [PubMed]
- Belbachir, K.; Noreen, R.; Gouspillou, G.; Petibois, C. Collagen types analysis and differentiation by FTIR spectroscopy. Anal. Bioanal. Chem. 2009, 395, 829–837. [Google Scholar] [CrossRef]
- Niederwanger, V.; Gozzo, F.; Griesser, U.J. Characterization of four crystal polymorphs and a monohydrate of s-bupivacaine hydrochloride (levobupivacaine hydrochloride). J. Pharm. Sci. 2009, 98, 1064–1074. [Google Scholar] [CrossRef] [PubMed]
- Hope, M.; Saxby, T.S. Tendon healing. Foot Ankle Clin. 2007, 12, 553–567. [Google Scholar] [CrossRef] [PubMed]
- Sharma, P.; Maffulli, N. Biology of tendon injury: Healing, modeling and remodeling. J. Musculoskelet. Neuronal Interact. 2006, 6, 181–190. [Google Scholar]
- Güngörmüş, C.; Kolankaya, D.; Aydin, E. Histopathological and biomechanical evaluation of tenocyte seeded allografts on rat Achilles tendon regeneration. Biomaterials 2015, 51, 108–118. [Google Scholar] [CrossRef]
- Pajala, A.; Melkko, J.; Leppilahti, J.; Ohtonen, P.; Soini, Y.; Risteli, J. Tenascin-C and type I and III collagen expression in total Achilles tendon rupture. An immunohistochemical study. Histol. Histopathol. 2009, 24, 1207–1211. [Google Scholar] [CrossRef]
- Alim, A.; Domeij-Arverud, E.; Nilsson, G.; Edman, G.; Ackermann, P.W. Achilles tendon rupture healing is enhanced by intermittent pneumatic compression upregulating collagen type I synthesis. Knee Surg. Sports Traumatol. Arthrosc. 2018, 26, 2021–2029. [Google Scholar] [CrossRef]
- Veronesi, F.; Borsari, V.; Contartese, D.; Xian, J.; Baldini, N.; Fini, M. The clinical strategies for tendon repair with biomaterials: A review on rotator cuff and Achilles tendons. J. Biomed. Mater. Res. B Appl. Biomater. 2020, 108, 1826–1843. [Google Scholar] [CrossRef] [PubMed]
- Aktas, E.; Chamberlain, C.S.; Saether, E.E.; Duenwald-Kuehl, S.E.; Kondratko-Mittnacht, J.; Stitgen, M.; Lee, J.S.; Clements, A.E.; Murphy, W.L.; Vanderby, R. Immune modulation with primed mesenchymal stem cells delivered via biodegradable scaffold to repair an Achilles tendon segmental defect. J. Orthop. Res. 2017, 35, 269–280. [Google Scholar] [CrossRef]
- Chang, K.V.; Wu, C.H.; Ding, Y.H.; Shen, H.Y.; Wang, T.G.; Chen, W.S.; Bd, Y.H.D. Application of contrast-enhanced sonography with time-intensity curve analysis to explore hypervascularity in Achilles tendinopathy by using a rabbit model. J. Ultrasound Med. 2012, 31, 737–746. [Google Scholar] [CrossRef] [PubMed]
- Crowe, C.S.; Chiou, G.; McGoldrick, R.; Hui, K.; Pham, H.; Chang, J. Tendon regeneration with a novel tendon hydrogel: In vitro effects of platelet-rich plasma on rat adipose-derived stem cells. Plast. Reconstr. Surg. 2015, 135, 981e–989e. [Google Scholar] [CrossRef] [PubMed]
- Müller, S.A.; Dürselen, L.; Heisterbach, P.; Evans, C.; Majewski, M. Effect of a simple collagen type I sponge for Achilles tendon repair in a rat model. Am. J. Sports Med. 2016, 44, 1998–2004. [Google Scholar] [CrossRef] [PubMed]
- Praet, S.F.; Purdam, C.R.; Welvaert, M.; Vlahovich, N.; Lovell, G.; Burke, L.M.; Gaida, J.E.; Manzanero, S.; Hughes, D.; Waddington, G. Oral supplementation of specific collagen peptides combined with calf-strengthening exercises enhances function and reduces pain in Achilles tendinopathy patients. Nutrients 2019, 11, 76. [Google Scholar] [CrossRef]
- Stania, M.; Juras, G.; Chmielewska, D.; Polak, A.; Kucio, C.; Król, P. Extracorporeal shock wave therapy for Achilles tendinopathy. BioMed. Res. Int. 2019, 2019, 3086910. [Google Scholar] [CrossRef]
- Blomgran, P.; Hammerman, M.; Aspenberg, P. Systemic corticosteroids improve tendon healing when given after the early inflammatory phase. Sci. Rep. 2017, 7, 12468. [Google Scholar] [CrossRef] [PubMed]
- Mao, Z.; Fan, B.; Wang, X.; Huang, X.; Guan, J.; Sun, Z.; Xu, B.; Yang, M.; Chen, Z.; Jiang, D.; et al. A systematic review of tissue engineering scaffold in tendon bone healing in vivo. Front. Bioeng. Biotechnol. 2021, 9, 621483. [Google Scholar] [CrossRef]
- Pillai, D.S.; Dhinsa, B.S.; Khan, W.S. Tissue engineering in Achilles tendon reconstruction; the role of stem cells, growth factors and scaffolds. Curr. Stem Cell Res. Ther. 2017, 12, 506–512. [Google Scholar] [CrossRef]
- Sensini, A.; Gualandi, C.; Zucchelli, A.; Boyle, L.A.; Kao, A.P.; Reilly, G.C.; Tozzi, G.; Cristofolini, L.; Focarete, M.L. Tendon fascicle-inspired nanofibrous scaffold of polylactic acid/collagen with enhanced 3D-structure and biomechanical properties. Sci. Rep. 2018, 8, 17167. [Google Scholar] [CrossRef]
- Yang, L.; Tang, C.; Chen, Y.; Ruan, D.; Zhang, E.; Yin, Z.; Chen, X.; Jiang, Y.; Cai, Y.; Fei, Y.; et al. Pharmacological inhibition of Rac1 activity prevents pathological calcification and enhances tendon regeneration. ACS Biomater. Sci. Eng. 2019, 5, 3511–3522. [Google Scholar] [CrossRef]
- Arvind, V.; Huang, A.H. Reparative and maladaptive inflammation in tendon healing. Front. Bioeng. Biotechnol. 2021, 9, 719047. [Google Scholar] [CrossRef]
- Mallick, E.; Scutt, N.; Scutt, A.; Rolf, C. Passage and concentration-dependent effects of indomethacin on tendon derived cells. J. Orthop. Surg. Res. 2009, 4, 9. [Google Scholar] [CrossRef] [PubMed]
- Anselme, K.; Ponche, A.; Bigerelle, M. Relative influence of surface topography and surface chemistry on cell response to bone implant materials. Part 2: Biological aspects. Proc. Inst. Mech. Eng. H J. Eng. Med. 2010, 224, 1487–1507. [Google Scholar] [CrossRef]
- Ismail, Y.M.B.; Ferreira, A.M.; Bretcanu, O.; Dalgarno, K.; El Haj, A.J. Polyelectrolyte multi-layers assembly of SiCHA nanopowders and collagen type I on aminolysed PLA films to enhance cell-material interactions. Colloids Surf. B Biointerfaces 2017, 159, 445–453. [Google Scholar] [CrossRef]
- Gai, M.; Kurochkin, M.A.; Li, D.; Khlebtsov, B.; Dong, L.; Tarakina, N.; Poston, R.; Gould, D.J.; Frueh, J.; Sukhorukov, G.B. In-situ NIR-laser mediated bioactive substance delivery to single cell for EGFP expression based on biocompatible microchamber-arrays. J. Control. Release 2018, 276, 84–92. [Google Scholar] [CrossRef] [PubMed]
- Molloy, T.; Wang, Y.; Murrell, G.A.C. The roles of growth factors in tendon and ligament healing. Sports Med. 2003, 33, 381–394. [Google Scholar] [CrossRef]
- Cheng, Y.X.; Ramos, D.; Lee, P.; Liang, D.; Yu, X.; Kumbar, S.G. Collagen functionalized bioactive nanofiber matrices for osteogenic differentiation of mesenchymal stem cells: Bone tissue engineering. J. Biomed. Nanotechnol. 2014, 10, 287–298. [Google Scholar] [CrossRef] [PubMed]
- Fensky, F.; Reichert, J.C.; Traube, A.; Rackwitz, L.; Siebenlist, S.; Nöth, U. Chondrogenic predifferentiation of human mesenchymal stem cells in collagen type I hydrogels. Biomed. Tech. 2014, 59, 375–383. [Google Scholar] [CrossRef] [PubMed]
- George, J.; Kuboki, Y.; Miyata, T. Differentiation of mesenchymal stem cells into osteoblasts on honeycomb collagen scaffolds. Biotechnol. Bioeng. 2006, 95, 404–411. [Google Scholar] [CrossRef] [PubMed]
- Zhou, H.; Lu, H. Advances in the Development of Anti-Adhesive Biomaterials for Tendon Repair Treatment. Tissue Eng. Regen. Med. 2021, 18, 1–14. [Google Scholar] [CrossRef]
- Zukawa, M.; Okabe, M.; Osada, R.; Makino, H.; Nogami, M.; Seki, S.; Yoshida, T.; Kimura, T.; Kawaguchi, Y. Effect of hyperdry amniotic membrane in preventing tendon adhesion in a rabbit model. J. Orthop. Sci. 2022, 27, 707–712. [Google Scholar] [CrossRef]
- Khan, R.J.; Smith, C.R.L. Surgical interventions for treating acute Achilles tendon ruptures. Cochrane Database Syst. Rev. 2010, 8, CD003674. [Google Scholar] [CrossRef] [PubMed]
- Dwivedi, R.; Kumar, S.; Pandey, R.; Mahajan, A.; Nandana, D.; Katti, D.S.; Mehrotra, D. Polycaprolactone as biomaterial for bone scaffolds: Review of literature. J. Oral Biol. Craniofac. Res. 2020, 10, 381–388. [Google Scholar] [CrossRef] [PubMed]
- McKee, C.; Chaudhry, G.R. Advances and challenges in stem cell culture. Colloids Surf. B Biointerfaces 2017, 159, 62–77. [Google Scholar] [CrossRef]
- Ballieul, R.J.; Jacobs, T.F.; Herregods, S.; Jan, P.V.S.; Wyler, B.; Vereecke, H.; Almqvist, F.; Herregods, L. The peri-operative use of intra-articular local anesthetics: A review. Acta. Anaesthesiol. Belg. 2009, 60, 101–108. [Google Scholar] [PubMed]
- Sekimoto, K.; Tobe, M.; Saito, S. Local anesthetic toxicity: Acute and chronic management. Acute Med. Surg. 2017, 4, 152–160. [Google Scholar] [CrossRef]
- Pietschmann, M.F.; Frankewycz, B.; Schmitz, P.; Docheva, D.; Sievers, B.; Jansson, V.; Schieker, M.; Müller, P.E. Comparison of tenocytes and mesenchymal stem cells seeded on biodegradable scaffolds in a full-size tendon defect model. J. Mater. Sci. Mater. Med. 2013, 24, 211–220. [Google Scholar] [CrossRef] [PubMed]
- Oryan, A.; Moshiri, A.; Meimandi-Parizi, A. Implantation of a novel tissue-engineered graft in a large tendon defect initiated inflammation, accelerated fibroplasia and improved remodeling of the new Achilles tendon: A comprehensive detailed study with new insights. Cell Tissue Res. 2014, 355, 59–80. [Google Scholar] [CrossRef]
- Abràmoff, M.D.; Magalhães, P.J.; Ram, S.J. Image Processing with ImageJ. Biophotonics Int. 2004, 11, 36–42. [Google Scholar]
- Abràmoff, M.D.; Magalhães, P.J.; Ram, S.J. Image Processing with ImageJ Part II. Biophotonics Int. 2005, 11, 36–43. [Google Scholar]






| Type of Nanofibers | Maximum Strength (MPa) | Elongation at Breaking (%) |
|---|---|---|
| PLGA | 1.13 ± 0.1 | 160.85 ± 7.82 |
| PLGA/collagen | 1.06 ± 1.01 | 30.32 ± 0.21 |
| PLGA/bupivacaine | 2.69 ± 0.19 | 83.64 ± 1.95 |
| PLGA/indomethacin | 2.03 ± 1.42 | 74.43 ± 7.86 |
Disclaimer/Publisher’s Note: The statements, opinions and data contained in all publications are solely those of the individual author(s) and contributor(s) and not of MDPI and/or the editor(s). MDPI and/or the editor(s) disclaim responsibility for any injury to people or property resulting from any ideas, methods, instructions or products referred to in the content. |
© 2023 by the authors. Licensee MDPI, Basel, Switzerland. This article is an open access article distributed under the terms and conditions of the Creative Commons Attribution (CC BY) license (https://creativecommons.org/licenses/by/4.0/).
Share and Cite
Yu, Y.-H.; Lee, C.-H.; Hsu, Y.-H.; Chou, Y.-C.; Yu, P.-C.; Huang, C.-T.; Liu, S.-J. Anti-Adhesive Resorbable Indomethacin/Bupivacaine-Eluting Nanofibers for Tendon Rupture Repair: In Vitro and In Vivo Studies. Int. J. Mol. Sci. 2023, 24, 16235. https://doi.org/10.3390/ijms242216235
Yu Y-H, Lee C-H, Hsu Y-H, Chou Y-C, Yu P-C, Huang C-T, Liu S-J. Anti-Adhesive Resorbable Indomethacin/Bupivacaine-Eluting Nanofibers for Tendon Rupture Repair: In Vitro and In Vivo Studies. International Journal of Molecular Sciences. 2023; 24(22):16235. https://doi.org/10.3390/ijms242216235
Chicago/Turabian StyleYu, Yi-Hsun, Chen-Hung Lee, Yung-Heng Hsu, Ying-Chao Chou, Ping-Chun Yu, Chao-Tsai Huang, and Shih-Jung Liu. 2023. "Anti-Adhesive Resorbable Indomethacin/Bupivacaine-Eluting Nanofibers for Tendon Rupture Repair: In Vitro and In Vivo Studies" International Journal of Molecular Sciences 24, no. 22: 16235. https://doi.org/10.3390/ijms242216235
APA StyleYu, Y.-H., Lee, C.-H., Hsu, Y.-H., Chou, Y.-C., Yu, P.-C., Huang, C.-T., & Liu, S.-J. (2023). Anti-Adhesive Resorbable Indomethacin/Bupivacaine-Eluting Nanofibers for Tendon Rupture Repair: In Vitro and In Vivo Studies. International Journal of Molecular Sciences, 24(22), 16235. https://doi.org/10.3390/ijms242216235

