First Report of aac(6′)-Ib and aac(6′)-Ib-cr Variant Genes Associated with Mutations in gyrA Encoded Fluoroquinolone Resistance in Avian Campylobacter coli Strains Collected in Tunisia
Abstract
:1. Introduction
2. Results
2.1. Antimicrobial Susceptibility Testing
2.2. Detection of Mutations in GyrA
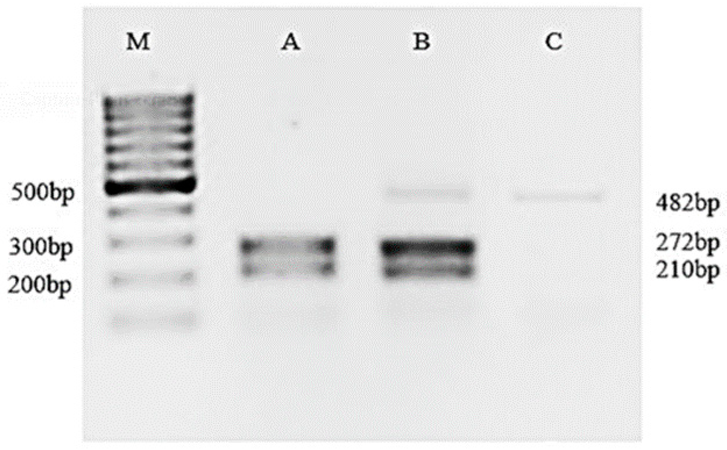
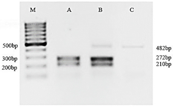
2.3. Prevalence of the aac(6′)-Ib and aac(6′)-Ib-cr Genes
2.4. aac(6′)-Ib Sequencing and Phylogenetic Analysis
3. Discussion
4. Materials and Methods
4.1. Ethics Statement
4.2. Campylobacter Isolates Collection and Phenotypic Susceptibility
4.3. Extraction of Bacterial DNA
4.4. Detection of Mutation in the QRDR of gyrA via Mismatch Amplification Mutation Assay (MAMA-PCR)
4.5. Détection and Sequencing of aac(6′)-Ib in Selected Isolates
4.6. Molecular Phylogenetic Analysis via the Maximum Likelihood Method
4.7. Data Analysis
5. Conclusions
Author Contributions
Funding
Institutional Review Board Statement
Informed Consent Statement
Data Availability Statement
Conflicts of Interest
References
- Isada, M.J.; Reist, M.; MacKinnon, M.C.; Uhland, F.C.; Young, K.M.; Gibbens, K.; Parmley, E.J.; Carson, C.A. Characterisation of burden of illness measures associated with human (Fluoro)quinolone-resistant Campylobacter spp. infections—A scoping review. Epidemiol. Infect. 2022, 150, e205. [Google Scholar] [CrossRef]
- Xia, J.; Pang, J.; Tang, Y.; Wu, Z.; Dai, L.; Singh, K.; Xu, C.; Ruddell, B.; Kreuder, A.; Xia, L.; et al. High prevalence of fluoroquinolone-resistant Campylobacter bacteria in sheep and increased Campylobacter counts in the bile and gallbladders of sheep medicated with tetracycline in feed. Appl. Environ. Microbiol. 2019, 85, e06406. [Google Scholar] [CrossRef] [PubMed]
- European Food Safety European Centre for Disease Prevention and Control. The European Union One Health 2019 Zoonoses Report. EFSA J. 2021, 19, e06406. [Google Scholar] [CrossRef]
- Hooper, D.C.; Jacoby, G.A. Mechanisms of drug resistance: Quinolone resistance. Ann. N. Y. Acad. Sci. 2015, 1354, 12–31. [Google Scholar] [CrossRef]
- Yang, H.Y.; Nam, Y.S.; Lee, H.J. Prevalence of plasmid-mediated quinolone resistance genes among ciprofloxacin-non susceptible Escherichia coli and Klebsiella pneumoniae isolated from blood cultures in Korea. Can. J. Infect. Dis. Med. Microbiol. 2014, 25, 163–169. [Google Scholar] [CrossRef]
- Vakulenko, S.B.; Mobashery, S. Versatility of aminoglycosides and prospects for their future. Clin. Microbiol. Rev. 2003, 16, 430–450. [Google Scholar] [CrossRef]
- Tolmansky, M.E.; Roberts, M.; Woloj, M.; Crosa, J.H. Molecular cloning of amikacin resistance determinants from a Klebsiella pneumoniae plasmid. Antimicrob. Agents Chemother. 1986, 30, 315–320. [Google Scholar] [CrossRef]
- Hidalgo-Grass, C.; Strahilevitz, J. High-resolution melt curve analysis for identification of single nucleotide mutations in the quinolone resistance gene aac(6′)-Ib-cr. Antimicrob. Agents Chemother. 2010, 54, 3509–3511. [Google Scholar] [CrossRef]
- Wang, P.; Hu, L.; Hao, Z. Palmatine is a plasmid-mediated quinolone resistance (PMQR) inhibitor that restores the activity of ciprofloxacin against qnrS and aac(6ʹ)-Ib-cr-producing Escherichia coli. Infect. Drug Resist. 2020, 13, 749–759. [Google Scholar] [CrossRef]
- Martínez-Martínez, L.; Cano, M.E.; Rodríguez-Martínez, J.M.; Calvo, J.; Pascual, Á. Plasmid-mediated quinolone resistance. Expert Rev. Anti-Infect. Ther. 2008, 6, 685–711. [Google Scholar] [CrossRef]
- Ramamurthy, T.; Ghosh, A.; Chowdhury, G.; Mukhopadhyay, A.K.; Dutta, S.; Miyoshi, S.I. Deciphering the genetic network and programmed regulation of antimicrobial resistance in bacterial pathogens. Front. Cell. Infect. Microbiol. 2022, 12, 952491. [Google Scholar] [CrossRef]
- Cody, A.J.; Clarke, L.; Bowler, I.C.; Dingle, K.E. Ciprofloxacin-resistant Campylobacteriosis in the UK. Lancet 2010, 376, 1987. [Google Scholar] [CrossRef]
- Kurekci, C.; Pehlivanlar Önen, S. Characteristics of ciprofloxacin resistant Campylobacter spp. isolated from chicken meat in Turkey. J. Food Meas. Charact. 2017, 11, 586–591. [Google Scholar] [CrossRef]
- Portes, A.B.; Panzenhagen, P.; Pereira dos Santos, A.M.; Junior, C.A.C. Antibiotic resistance in Campylobacter: A systematic review of South American isolates. Antibiotics 2023, 12, 548. [Google Scholar] [CrossRef]
- Sproston, E.L.; Wimalarathna, H.M.L.; Sheppard, S.K. Trends in fluoroquinolone resistance in Campylobacter. Microb. Genom. 2018, 4, e000198. [Google Scholar] [CrossRef]
- Sierra-Arguello, Y.M.; Furian, T.Q.; Perdoncini, G.; Moraes, H.L.S.; Salle, C.T.P.; Rodrigues, L.B.; Dos Santos, L.R.; Pereira Gomes, M.J.; Do Nascimento, V.P. Fluoroquinolone resistance in Campylobacter jejuni and Campylobacter coli from poultry and human samples assessed by PCR-Restriction Fragment Length Polymorphism Assay. PLoS ONE 2018, 13, e0199974. [Google Scholar] [CrossRef]
- Sasaki, Y.; Iwata, T.; Uema, M.; Yonemitsu, K.; Igimi, S.; Asakura, H. Campylobacter spp. prevalence and fluoroquinolone resistance in chicken layer farms. J. Vet. Med. Sci. 2022, 84, 743–746. [Google Scholar] [CrossRef]
- Luo, Y.; Zhang, W.; Cheng, Y.; Lu, Q.; Guo, Y.; Wen, G.; Shao, H.; Cheng, Z.; Luo, Q.; Zhang, T. Droplet Digital PCR-based detection and quantification of GyrA Thr-86-Ile mutation based fluoroquinolone-resistant Campylobacter jejuni. Microbiol. Spectr. 2022, 10, e0276921. [Google Scholar] [CrossRef]
- Han, J.; Wang, Y.; Sahin, O.; Shen, Z.; Guo, B.; Shen, J.; Zhang, Q. A Fluoroquinolone resistance associated mutation in GyrA affects DNA supercoiling in Campylobacter jejuni. Front. Cell. Infect. Microbiol. 2012, 2, 21. [Google Scholar] [CrossRef]
- Gharbi, M.; Béjaoui, A.; Ben Hamda, C.; Ghedira, K.; Ghram, A.; Maaroufi, A. Distribution of virulence and antibiotic resistance genes in Campylobacter jejuni and Campylobacter coli isolated from broiler chickens in Tunisia. J. Microbiol. Immunol. Infect. 2022, 55 Pt 2, 1273–1282. [Google Scholar] [CrossRef]
- Tenover, F.C.; Elvrum, P.M. Detection of two different kanamycin resistance genes in naturally occurring isolates of Campylobacter jejuni and Campylobacter coli. Antimicrob. Agents Chemother. 1988, 32, 1170–1173. [Google Scholar] [CrossRef]
- Zhang, X.; Zhou, Q.; Tang, M.; Pu, J.; Zhang, J.; Lu, J.; Zhang, Y.; Gao, Y. Aminoglycoside resistance and possible mechanisms in Campylobacter spp. isolated from chicken and swine in Jiangsu, China. Front. Microbiol. 2021, 12, 716185. [Google Scholar] [CrossRef]
- Silva, S.M.D.; Ramos, B.A.; Lima, A.V.A.; Sá, R.A.C.Q.; Lima, J.L.D.C.; Maciel, M.A.V.; Paiva, P.M.G.; Silva, M.V.D.; Correia, M.T.D.S.; Oliveira, M.B.M. First report of the aac(6’)-Ib-cr gene in Providencia stuartii isolates in Brazil. Rev. Soc. Bras. Med. Trop. 2020, 54, e20190524. [Google Scholar] [CrossRef]
- Araujo, B.F.; Ferreira, M.L.; De Campos, P.A.; Royer, S.; Batistão, D.W.D.F.; Dantas, R.C.C.; Gonçalves, I.R.; Faria, A.L.S.; De Brito, C.S.; Yokosawa, J.; et al. Clinical and molecular epidemiology of multidrug-resistant P. aeruginosa carrying aac(6′)-Ib-cr, qnrS1 and blaSPM genes in Brazil. PLoS ONE 2016, 11, e0155914. [Google Scholar] [CrossRef]
- Raherison, S.; Jove, T.; Gaschet, M.; Pinault, E.; Tabesse, A.; Torres, C.; Ploy, M.C. Expression of the aac(6’)-Ib-cr gene in class 1 integrons. Antimicrob. Agents Chemother. 2017, 61, e02704-16. [Google Scholar] [CrossRef]
- Miller, J.J. Gentamicin and tobramycin. In Handbook of Ototoxicity; CRC Press: Boca Raton, FL, USA, 2019; pp. 187–232. [Google Scholar]
- McMullan, B.J.; Haeusler, G.M.; Hall, L.; Cooley, L.; Stewardson, A.J.; Blyth, C.C.; Jones, C.A.; Konecny, P.; Babl, F.E.; Mechinaud, F.; et al. Aminoglycoside use in paediatric febrile neutropenia—Outcomes from a nationwide prospective cohort study. PLoS ONE 2020, 15, e0238787. [Google Scholar] [CrossRef]
- Volcão, L.M.; Lacava, J.P.; Gewehr, M.F.; Leal, V.L.; Ramis, I.B.; Ramos, D.F.; Gonçalves, C.V.; Possuelo, L.G.; Minarini, L.A.R.; da Silva, P.E.A.; et al. High frequency of aac(6′)-Ib-cr gene associated with double mutations in GyrA and ParC in Escherichia coli isolates from patients with urinary tract infections. J. Glob. Antimicrob. Resist. 2018, 13, 180–183. [Google Scholar] [CrossRef]
- Machuca, J.; Ortiz, M.; Recacha, E.; Díaz-De-Alba, P.; Docobo-Perez, F.; Rodríguez-Martínez, J.M.; Pascual, A. Impact of aac(6′)-Ib-cr in combination with chromosomal-mediated mechanisms on clinical quinolone resistance in Escherichia coli. J. Antimicrob. Chemother. 2016, 71, 3066–3071. [Google Scholar] [CrossRef]
- Frasson, I.; Cavallaro, A.; Bergo, C.; Richter, S.N.; Palù, G. Prevalence of aac(6′)-Ib-cr plasmid-mediated and chromosome-encoded fluoroquinolone resistance in Enterobacteriaceae in Italy. Gut Pathog. 2011, 3, 3–7. [Google Scholar] [CrossRef]
- Lee, M.D.; Sanchez, S.; Zimmer, M.; Idris, U.; Berrang, M.E.; McDermott, P.F. Class 1 integron-associated tobramycin-gentamicin resistance in Campylobacter jejuni isolated from the broiler chicken house environment. Antimicrob. Agents Chemother. 2002, 46, 3660–3664. [Google Scholar] [CrossRef]
- Salipante, S.J.; Hall, B.G. Determining the limits of the evolutionary potential of an antibiotic resistance gene. Mol. Biol. Evol. 2003, 20, 653–659. [Google Scholar] [CrossRef] [PubMed]
- Gharbi, M.; Béjaoui, A.; Ben Hamda, C.; Alaya, N.; Hamrouni, S.; Bessoussa, G.; Ghram, A.; Maaroufi, A. Campylobacter spp. in eggs and laying hens in the North-East of Tunisia: High prevalence and multidrug-resistance phenotypes. Vet. Sci. 2022, 9, 108. [Google Scholar] [CrossRef] [PubMed]
- Gharbi, M.; Kamoun, S.; Hkimi, C.; Ghedira, K.; Béjaoui, A.; Maaroufi, A. Relationships between virulence genes and antibiotic resistance phenotypes/genotypes in Campylobacter spp. isolated from layer hens and eggs in the north of Tunisia: Statistical and computational insights. Foods 2022, 11, 3554. [Google Scholar] [CrossRef] [PubMed]
- EUCAST. The European Committee on Antimicrobial Susceptibility Testing; EUCAST: Växjö, Sweden, 2015; pp. 1–77. [Google Scholar]
- Sifré, E.; Salha, B.A.; Ducournau, A.; Floch, P.; Chardon, H.; Mégraud, F.; Lehours, P. EUCAST recommendations for antimicrobial susceptibility testing applied to the three main Campylobacter species isolated in humans. J. Microbiol. Methods 2015, 119, 206–213. [Google Scholar] [CrossRef]
- Zirnstein, G.; Li, Y.; Swaminathan, B.; Angulo, F. Ciprofloxacin resistance in Campylobacter jejuni isolates: Detection of GyrA resistance mutations by Mismatch Amplification Mutation Assay PCR and DNA sequence analysis. J. Clin. Microbiol. 1999, 37, 3276–3280. [Google Scholar] [CrossRef]
- Zirnstein, G.; Helsel, L.; Li, Y.; Swaminathan, B.; Besser, J. Characterization of GyrA mutations associated with fluoroquinolone resistance in Campylobacter coli by DNA sequence analysis and MAMA PCR. FEMS Microbiol. Lett. 2000, 190, 1–7. [Google Scholar] [CrossRef]
- Kimura, M. A simple method for estimating evolutionary rates of base substitutions through comparative studies of nucleotide sequences. J. Mol. Evol. 1980, 16, 111–120. [Google Scholar] [CrossRef]
- Kumar, S.; Stecher, G.; Tamura, K. MEGA7: Molecular evolutionary genetics analysis Version 7.0 for bigger data sets. Mol. Biol. Evol. 2016, 33, 1870–1874. [Google Scholar] [CrossRef]
- Mchugh, M.L. The Chi-Square test of independence lessons in biostatistics. Biochem. Medica 2013, 23, 143–149. [Google Scholar] [CrossRef]


| Antibiotics | C. jejuni (n = 91) % (n) | C. coli (n = 41) % (n) | Total (n = 132) % (n) |
|---|---|---|---|
| Gentamicin | 14.3 (13) | 9.8 (4) | 12.9 (17) |
| Kanamycin | 19.78 (18) | 46.34 * (19) | 28.03 (37) |
| Tobramycin | 19.78 (18) | 60.97 * (25) | 58.33 (77) |
| Streptomycin | 34.06 (31) | 80.48 (33) | 48.48 (64) |
| Ciprofloxacin | 98.9 (90) | 100 (41) | 99.2 (131) |
| Nalidixic Acid | 57.1 * (52) | 22 (9) | 46.2 (61) |
Disclaimer/Publisher’s Note: The statements, opinions and data contained in all publications are solely those of the individual author(s) and contributor(s) and not of MDPI and/or the editor(s). MDPI and/or the editor(s) disclaim responsibility for any injury to people or property resulting from any ideas, methods, instructions or products referred to in the content. |
© 2023 by the authors. Licensee MDPI, Basel, Switzerland. This article is an open access article distributed under the terms and conditions of the Creative Commons Attribution (CC BY) license (https://creativecommons.org/licenses/by/4.0/).
Share and Cite
Gharbi, M.; Abbas, M.A.S.; Hamrouni, S.; Maaroufi, A. First Report of aac(6′)-Ib and aac(6′)-Ib-cr Variant Genes Associated with Mutations in gyrA Encoded Fluoroquinolone Resistance in Avian Campylobacter coli Strains Collected in Tunisia. Int. J. Mol. Sci. 2023, 24, 16116. https://doi.org/10.3390/ijms242216116
Gharbi M, Abbas MAS, Hamrouni S, Maaroufi A. First Report of aac(6′)-Ib and aac(6′)-Ib-cr Variant Genes Associated with Mutations in gyrA Encoded Fluoroquinolone Resistance in Avian Campylobacter coli Strains Collected in Tunisia. International Journal of Molecular Sciences. 2023; 24(22):16116. https://doi.org/10.3390/ijms242216116
Chicago/Turabian StyleGharbi, Manel, Mohammed Abdo Saghir Abbas, Safa Hamrouni, and Abderrazak Maaroufi. 2023. "First Report of aac(6′)-Ib and aac(6′)-Ib-cr Variant Genes Associated with Mutations in gyrA Encoded Fluoroquinolone Resistance in Avian Campylobacter coli Strains Collected in Tunisia" International Journal of Molecular Sciences 24, no. 22: 16116. https://doi.org/10.3390/ijms242216116
APA StyleGharbi, M., Abbas, M. A. S., Hamrouni, S., & Maaroufi, A. (2023). First Report of aac(6′)-Ib and aac(6′)-Ib-cr Variant Genes Associated with Mutations in gyrA Encoded Fluoroquinolone Resistance in Avian Campylobacter coli Strains Collected in Tunisia. International Journal of Molecular Sciences, 24(22), 16116. https://doi.org/10.3390/ijms242216116

