Microporous Polylactic Acid Scaffolds Enable Fluorescence-Based Perfusion Imaging of Intrinsic In Vivo Vascularization
Abstract
:1. Introduction
2. Results
2.1. Experimental Setup, Basic Data and Patency Rates upon Explantation among the Studied Groups
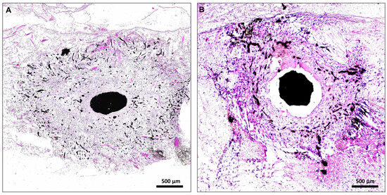
2.2. Comparative Histomorphometrical Studies of Axial Vascularization
2.3. Fluorescence 2D Imaging after Intravascular Perfusion of PLA-Based Constructs with MHI148-PEI
3. Discussion
4. Materials and Methods
4.1. Materials
4.2. Microsurgical Procedure and AV Loop Model
4.3. Intravascular Perfusion
4.4. Histological, Histomorphometrical and Immunofluorescence Studies
4.5. Statistical Analysis
Author Contributions
Funding
Institutional Review Board Statement
Informed Consent Statement
Data Availability Statement
Conflicts of Interest
References
- Zhang, Y.; Zhang, C.; Li, Y.; Zhou, L.; Dan, N.; Min, J.; Chen, Y.; Wang, Y. Evolution of Biomimetic ECM Scaffolds from Decellularized Tissue Matrix for Tissue Engineering: A Comprehensive Review. Int. J. Biol. Macromol. 2023, 246, 125672. [Google Scholar] [CrossRef] [PubMed]
- O’Brien, F.J. Biomaterials & Scaffolds for Tissue Engineering. Mater. Today 2011, 14, 88–95. [Google Scholar] [CrossRef]
- Liu, C.; Xia, Z.; Czernuszka, J.T. Design and Development of Three-Dimensional Scaffolds for Tissue Engineering. Chem. Eng. Res. Des. 2007, 85, 1051–1064. [Google Scholar] [CrossRef]
- Loh, Q.L.; Choong, C. Three-Dimensional Scaffolds for Tissue Engineering Applications: Role of Porosity and Pore Size. Tissue Eng. Part B Rev. 2013, 19, 485–502. [Google Scholar] [CrossRef]
- Nomi, M.; Miyake, H.; Sugita, Y.; Fujisawa, M.; Soker, S. Role of Growth Factors and Endothelial Cells in Therapeutic Angiogenesis and Tissue Engineering. Curr. Stem Cell Res. Ther. 2006, 1, 333–343. [Google Scholar] [CrossRef] [PubMed]
- Farris, A.L.; Rindone, A.N.; Grayson, W.L. Oxygen Delivering Biomaterials for Tissue Engineering. J. Mater. Chem. B 2016, 4, 3422–3432. [Google Scholar] [CrossRef]
- Rademakers, T.; Horvath, J.M.; van Blitterswijk, C.A.; LaPointe, V.L.S. Oxygen and Nutrient Delivery in Tissue Engineering: Approaches to Graft Vascularization. J. Tissue Eng. Regen. Med. 2019, 13, 1815–1829. [Google Scholar] [CrossRef]
- Schmidt, V.J.; Wietbrock, J.O.; Leibig, N.; Hernekamp, J.F.; Henn, D.; Radu, C.A.; Kneser, U. Haemodynamically Stimulated and in Vivo Generated Axially Vascularized Soft-Tissue Free Flaps for Closure of Complex Defects: Evaluation in a Small Animal Model. J. Tissue Eng. Regen. Med. 2018, 12, 622–632. [Google Scholar] [CrossRef]
- Schmidt, V.J.; Hilgert, J.G.; Covi, J.M.; Leibig, N.; Wietbrock, J.O.; Arkudas, A.; Polykandriotis, E.; de Wit, C.; Horch, R.E.; Kneser, U. Flow Increase Is Decisive to Initiate Angiogenesis in Veins Exposed to Altered Hemodynamics. PLoS ONE 2015, 10, e0117407. [Google Scholar] [CrossRef]
- Schmidt, V.J.; Hilgert, J.G.; Covi, J.M.; Weis, C.; Wietbrock, J.O.; de Wit, C.; Horch, R.E.; Kneser, U. High Flow Conditions Increase Connexin43 Expression in a Rat Arteriovenous and Angioinductive Loop Model. PLoS ONE 2013, 8, e78782. [Google Scholar] [CrossRef]
- Koepple, C.; Zhou, Z.; Huber, L.; Schulte, M.; Schmidt, K.; Gloe, T.; Kneser, U.; Schmidt, V.J.; de Wit, C. Expression of Connexin43 Stimulates Endothelial Angiogenesis Independently of Gap Junctional Communication In Vitro. Int. J. Mol. Sci. 2021, 22, 7400. [Google Scholar] [CrossRef] [PubMed]
- Weis, C.; Covi, J.M.; Hilgert, J.G.; Leibig, N.; Arkudas, A.; Horch, R.E.; Kneser, U.; Schmidt, V.J. Automatic quantification of angiogenesis in 2D sections: A precise and timesaving approach. J. Microsc. 2015, 259, 185–196. [Google Scholar] [CrossRef] [PubMed]
- Gómez-Gaviro, M.V.; Sanderson, D.; Ripoll, J.; Desco, M. Biomedical Applications of Tissue Clearing and Three-Dimensional Imaging in Health and Disease. iScience 2020, 23, 1–30. [Google Scholar] [CrossRef]
- Echeverria Molina, M.I.; Malollari, K.G.; Komvopoulos, K. Design Challenges in Polymeric Scaffolds for Tissue Engineering. Front. Bioeng. Biotechnol. 2021, 9, 617141. [Google Scholar] [CrossRef]
- Ghosh, B.; Agarwal, K. Viewing Life without Labels under Optical Microscopes. Commun. Biol. 2023, 6, 559. [Google Scholar] [CrossRef] [PubMed]
- Monici, M. Cell and Tissue Autofluorescence Research and Diagnostic Applications. In Biotechnology Annual Review; Elsevier: Amsterdam, The Netherlands, 2005; Volume 11, pp. 227–256. [Google Scholar]
- Ongaro, A.E.; Di Giuseppe, D.; Kermanizadeh, A.; Miguelez Crespo, A.; Mencattini, A.; Ghibelli, L.; Mancini, V.; Wlodarczyk, K.L.; Hand, D.P.; Martinelli, E.; et al. Polylactic Is a Sustainable, Low Absorption, Low Autofluorescence Alternative to Other Plastics for Microfluidic and Organ-on-Chip Applications. Anal. Chem. 2020, 92, 6693–6701. [Google Scholar] [CrossRef] [PubMed]
- Ueda, Y.; Kobayashi, M. Spectroscopic Studies of Autofluorescence Substances Existing in Human Tissue: Influences of Lactic Acid and Porphyrins. Appl. Opt. 2004, 43, 3993–3998. [Google Scholar] [CrossRef]
- Boos, A.M.; Loew, J.S.; Weigand, A.; Deschler, G.; Klumpp, D.; Arkudas, A.; Bleiziffer, O.; Gulle, H.; Kneser, U.; Horch, R.E.; et al. Engineering Axially Vascularized Bone in the Sheep Arteriovenous-Loop Model. J. Tissue Eng. Regen. Med. 2013, 7, 654–664. [Google Scholar] [CrossRef]
- Kengelbach-Weigand, A.; Thielen, C.; Bäuerle, T.; Götzl, R.; Gerber, T.; Körner, C.; Beier, J.P.; Horch, R.E.; Boos, A.M. Personalized Medicine for Reconstruction of Critical-Size Bone Defects—A Translational Approach with Customizable Vascularized Bone Tissue. NPJ Regen. Med. 2021, 6, 49. [Google Scholar] [CrossRef]
- Kneser, U.; Polykandriotis, E.; Ohnolz, J.; Heidner, K.; Grabinger, L.; Euler, S.; Amann, K.U.; Hess, A.; Brune, K.; Greil, P.; et al. Engineering of Vascularized Transplantable Bone Tissues: Induction of Axial Vascularization in an Osteoconductive Matrix Using an Arteriovenous Loop. Tissue Eng. 2006, 12, 1721–1731. [Google Scholar] [CrossRef]
- Ren, L.-L.; Ma, D.-Y.; Feng, X.; Mao, T.-Q.; Liu, Y.-P.; Ding, Y. A Novel Strategy for Prefabrication of Large and Axially Vascularized Tissue Engineered Bone by Using an Arteriovenous Loop. Med. Hypotheses 2008, 71, 737–740. [Google Scholar] [CrossRef] [PubMed]
- Dickson, K.; Lee, K.C.; Abdulsalam, A.; Amirize, E.; Kankam, H.K.N.; ter Horst, B.; Gardiner, F.; Bamford, A.; Hejmadi, R.K.; Moiemen, N. A Histological and Clinical Study of MatriDerm® Use in Burn Reconstruction. J. Burn Care Res. 2023, 44, 1100–1109. [Google Scholar] [CrossRef] [PubMed]
- Dill, V.; Mörgelin, M. Biological Dermal Templates with Native Collagen Scaffolds Provide Guiding Ridges for Invading Cells and May Promote Structured Dermal Wound Healing. Int. Wound J. 2020, 17, 618–630. [Google Scholar] [CrossRef] [PubMed]
- Cervelli, V.; Brinci, L.; Spallone, D.; Tati, E.; Palla, L.; Lucarini, L.; De Angelis, B. The Use of MatriDerm® and Skin Grafting in Post-traumatic Wounds. Int. Wound J. 2011, 8, 400–405. [Google Scholar] [CrossRef]
- Ryssel, H.; Germann, G.; Kloeters, O.; Gazyakan, E.; Radu, C.A. Dermal Substitution with Matriderm® in Burns on the Dorsum of the Hand. Burns 2010, 36, 1248–1253. [Google Scholar] [CrossRef]
- Schmidt, V.J.; Wietbrock, J.O.; Leibig, N.; Gloe, T.; Henn, D.; Hernekamp, J.F.; Harhaus, L.; Kneser, U. Collagen-Elastin and Collagen-Glycosaminoglycan Scaffolds Promote Distinct Patterns of Matrix Maturation and Axial Vascularization in Arteriovenous Loop–Based Soft Tissue Flaps. Ann. Plast. Surg. 2017, 79, 92–100. [Google Scholar] [CrossRef]
- Gérard, C.; Doillon, C.J. Facilitating Tissue Infiltration and Angiogenesis in a Tubular Collagen Scaffold. J. Biomed. Mater. Res. 2009, 93, 615–624. [Google Scholar] [CrossRef]
- Galati, V.; Vonthein, R.; Stang, F.; Mailaender, P.; Kisch, T. Split Thickness Skin Graft versus Application of the Temporary Skin Substitute Suprathel in the Treatment of Deep Dermal Hand Burns: A Retrospective Cohort Study of Scar Elasticity and Perfusion. Int. J. Burn. Trauma 2021, 11, 312–320. [Google Scholar]
- Keck, M.; Selig, H.F.; Lumenta, D.B.; Kamolz, L.P.; Mittlböck, M.; Frey, M. The Use of Suprathel® in Deep Dermal Burns: First Results of a Prospective Study. Burns 2012, 38, 388–395. [Google Scholar] [CrossRef]
- Jain, S.; Xu, H.; Duncan, H.; Jones, J.W.; Zhang, J.X.; Clemens, M.G.; Lee, C.Y. Ex-Vivo Study of Flow Dynamics and Endothelial Cell Structure during Extended Hypothermic Machine Perfusion Preservation of Livers. Cryobiology 2004, 48, 322–332. [Google Scholar] [CrossRef]
- Polykandriotis, E.; Tjiawi, J.; Euler, S.; Arkudas, A.; Hess, A.; Brune, K.; Greil, P.; Lametschwandtner, A.; Horch, R.E.; Kneser, U. The Venous Graft as an Effector of Early Angiogenesis in a Fibrin Matrix. Microvasc. Res. 2008, 75, 25–33. [Google Scholar] [CrossRef] [PubMed]
- Ghanavati, S.; Yu, L.X.; Lerch, J.P.; Sled, J.G. A Perfusion Procedure for Imaging of the Mouse Cerebral Vasculature by X-Ray Micro-CT. J. Neurosci. Methods 2014, 221, 70–77. [Google Scholar] [CrossRef] [PubMed]
- Zhu, J.; Deng, Y.; Yu, T.; Liu, X.; Li, D.; Zhu, D. Optimal Combinations of Fluorescent Vessel Labeling and Tissue Clearing Methods for Three-Dimensional Visualization of Vasculature. Neurophotonics 2022, 9, 045008. [Google Scholar] [CrossRef]
- Croce, A.C.; Bottiroli, G. Autofluorescence Spectroscopy and Imaging: A Tool for Biomedical Research and Diagnosis. Eur. J. Histochem. 2014, 58, 2461. [Google Scholar] [CrossRef] [PubMed]
- Richardson, D.S.; Lichtman, J.W. Clarifying Tissue Clearing. Cell 2015, 162, 246–257. [Google Scholar] [CrossRef]
- Nareika, A.; He, L.; Game, B.A.; Slate, E.H.; Sanders, J.J.; London, S.D.; Lopes-Virella, M.F.; Huang, Y. Sodium Lactate Increases LPS-Stimulated MMP and Cytokine Expression in U937 Histiocytes by Enhancing AP-1 and NF-κB Transcriptional Activities. Am. J. Physiol.-Endocrinol. Metab. 2005, 289, E534–E542. [Google Scholar] [CrossRef]
- Wu, Y.; Wang, M.; Feng, H.; Peng, Y.; Sun, J.; Qu, X.; Li, C. Lactate Induces Osteoblast Differentiation by Stabilization of HIF1α. Mol. Cell. Endocrinol. 2017, 452, 84–92. [Google Scholar] [CrossRef]
- Ring, A.; Tilkorn, D.; Ottomann, C.; Geomelas, M.; Steinstraesser, L.; Langer, S.; Goertz, O. Intravital Monitoring of Microcirculatory and Angiogenic Response to Lactocapromer Terpolymer Matrix in a Wound Model. Int. Wound J. 2011, 8, 112–117. [Google Scholar] [CrossRef]
- Kottmann, R.M.; Trawick, E.; Judge, J.L.; Wahl, L.A.; Epa, A.P.; Owens, K.M.; Thatcher, T.H.; Phipps, R.P.; Sime, P.J. Pharmacologic Inhibition of Lactate Production Prevents Myofibroblast Differentiation. Am. J. Physiol. Lung Cell. Mol. Physiol. 2015, 309, L1305–L1312. [Google Scholar] [CrossRef]
- Herz, H.; Blake, D.R.; Grootveld, M. Multicomponent Investigations of the Hydrogen Peroxide- and Hydroxyl Radical-Scavenging Antioxidant Capacities of Biofluids: The Roles of Endogenous Pyruvate and Lactate. Relevance to Inflammatory Joint Diseases. Free Radic. Res. 1997, 26, 19–35. [Google Scholar] [CrossRef]
- de la Roche, J.; Walther, I.; Leonow, W.; Hage, A.; Eberhardt, M.; Fischer, M.; Reeh, P.W.; Sauer, S.; Leffler, A. Lactate Is a Potent Inhibitor of the Capsaicin Receptor TRPV1. Sci. Rep. 2016, 6, 36740. [Google Scholar] [CrossRef] [PubMed]
- Gladden, L.B. Lactate Metabolism: A New Paradigm for the Third Millennium. J. Physiol. 2004, 558, 5–30. [Google Scholar] [CrossRef] [PubMed]
- Constant, J.S.; Feng, J.J.; Zabel, D.D.; Yuan, H.; Suh, D.Y.; Scheuenstuhl, H.; Hunt, T.K.; Hussain, M.Z. Lactate Elicits Vascular Endothelial Growth Factor from Macrophages: A Possible Alternative to Hypoxia. Wound Repair Regen. 2000, 8, 353–360. [Google Scholar] [CrossRef] [PubMed]
- Beckert, S.; Farrahi, F.; Aslam, R.S.; Scheuenstuhl, H.; Königsrainer, A.; Hussain, M.Z.; Hunt, T.K. Lactate Stimulates Endothelial Cell Migration. Wound Repair Regen. 2006, 14, 321–324. [Google Scholar] [CrossRef] [PubMed]
- Sun, Q.; Picascia, T.; Khan, A. ul M.; Brenna, C.; Heuveline, V.; Schmaus, A.; Sleeman, J.P.; Gretz, N. Application of Ethyl Cinnamate Based Optical Tissue Clearing and Expansion Microscopy Combined with Retrograde Perfusion for 3D Lung Imaging. Exp. Lung Res. 2020, 46, 393–408. [Google Scholar] [CrossRef]
- Todorov, M.I.; Paetzold, J.C.; Schoppe, O.; Tetteh, G.; Shit, S.; Efremov, V.; Todorov-Völgyi, K.; Düring, M.; Dichgans, M.; Piraud, M.; et al. Machine Learning Analysis of Whole Mouse Brain Vasculature. Nat. Methods 2020, 17, 442–449. [Google Scholar] [CrossRef]
- Brenna, C.; Khan, A. ul M.; Picascia, T.; Sun, Q.; Heuveline, V.; Gretz, N. New Technical Approaches for 3D Morphological Imaging and Quantification of Measurements. Anat. Rec. 2020, 303, 2702–2715. [Google Scholar] [CrossRef]
- Unnersjö-Jess, D.; Scott, L.; Sevilla, S.Z.; Patrakka, J.; Blom, H.; Brismar, H. Confocal Super-Resolution Imaging of the Glomerular Filtration Barrier Enabled by Tissue Expansion. Kidney Int. 2018, 93, 1008–1013. [Google Scholar] [CrossRef]
- Huang, J.; Brenna, C.; Khan, A.U.; Daniele, C.; Rudolf, R.; Heuveline, V.; Gretz, N. A Cationic near Infrared Fluorescent Agent and Ethyl-Cinnamate Tissue Clearing Protocol for Vascular Staining and Imaging. Sci. Rep. 2019, 9, 521. [Google Scholar] [CrossRef]
- Berg, S.; Kutra, D.; Kroeger, T.; Straehle, C.N.; Kausler, B.X.; Haubold, C.; Schiegg, M.; Ales, J.; Beier, T.; Rudy, M.; et al. Ilastik: Interactive Machine Learning for (Bio)Image Analysis. Nat. Methods 2019, 16, 1226–1232. [Google Scholar] [CrossRef]






Disclaimer/Publisher’s Note: The statements, opinions and data contained in all publications are solely those of the individual author(s) and contributor(s) and not of MDPI and/or the editor(s). MDPI and/or the editor(s) disclaim responsibility for any injury to people or property resulting from any ideas, methods, instructions or products referred to in the content. |
© 2023 by the authors. Licensee MDPI, Basel, Switzerland. This article is an open access article distributed under the terms and conditions of the Creative Commons Attribution (CC BY) license (https://creativecommons.org/licenses/by/4.0/).
Share and Cite
Koepple, C.; Pollmann, L.; Pollmann, N.S.; Schulte, M.; Kneser, U.; Gretz, N.; Schmidt, V.J. Microporous Polylactic Acid Scaffolds Enable Fluorescence-Based Perfusion Imaging of Intrinsic In Vivo Vascularization. Int. J. Mol. Sci. 2023, 24, 14813. https://doi.org/10.3390/ijms241914813
Koepple C, Pollmann L, Pollmann NS, Schulte M, Kneser U, Gretz N, Schmidt VJ. Microporous Polylactic Acid Scaffolds Enable Fluorescence-Based Perfusion Imaging of Intrinsic In Vivo Vascularization. International Journal of Molecular Sciences. 2023; 24(19):14813. https://doi.org/10.3390/ijms241914813
Chicago/Turabian StyleKoepple, Christoph, Lukas Pollmann, Nicola Sariye Pollmann, Matthias Schulte, Ulrich Kneser, Norbert Gretz, and Volker J. Schmidt. 2023. "Microporous Polylactic Acid Scaffolds Enable Fluorescence-Based Perfusion Imaging of Intrinsic In Vivo Vascularization" International Journal of Molecular Sciences 24, no. 19: 14813. https://doi.org/10.3390/ijms241914813
APA StyleKoepple, C., Pollmann, L., Pollmann, N. S., Schulte, M., Kneser, U., Gretz, N., & Schmidt, V. J. (2023). Microporous Polylactic Acid Scaffolds Enable Fluorescence-Based Perfusion Imaging of Intrinsic In Vivo Vascularization. International Journal of Molecular Sciences, 24(19), 14813. https://doi.org/10.3390/ijms241914813

