Phenotypic Test of Benzo[4,5]imidazo[1,2-c]pyrimidinone-Based Nucleoside and Non-Nucleoside Derivatives against DNA and RNA Viruses, Including Coronaviruses
Abstract
:1. Introduction
2. Results and Discussion
2.1. Chemistry
2.2. Biological Evaluation
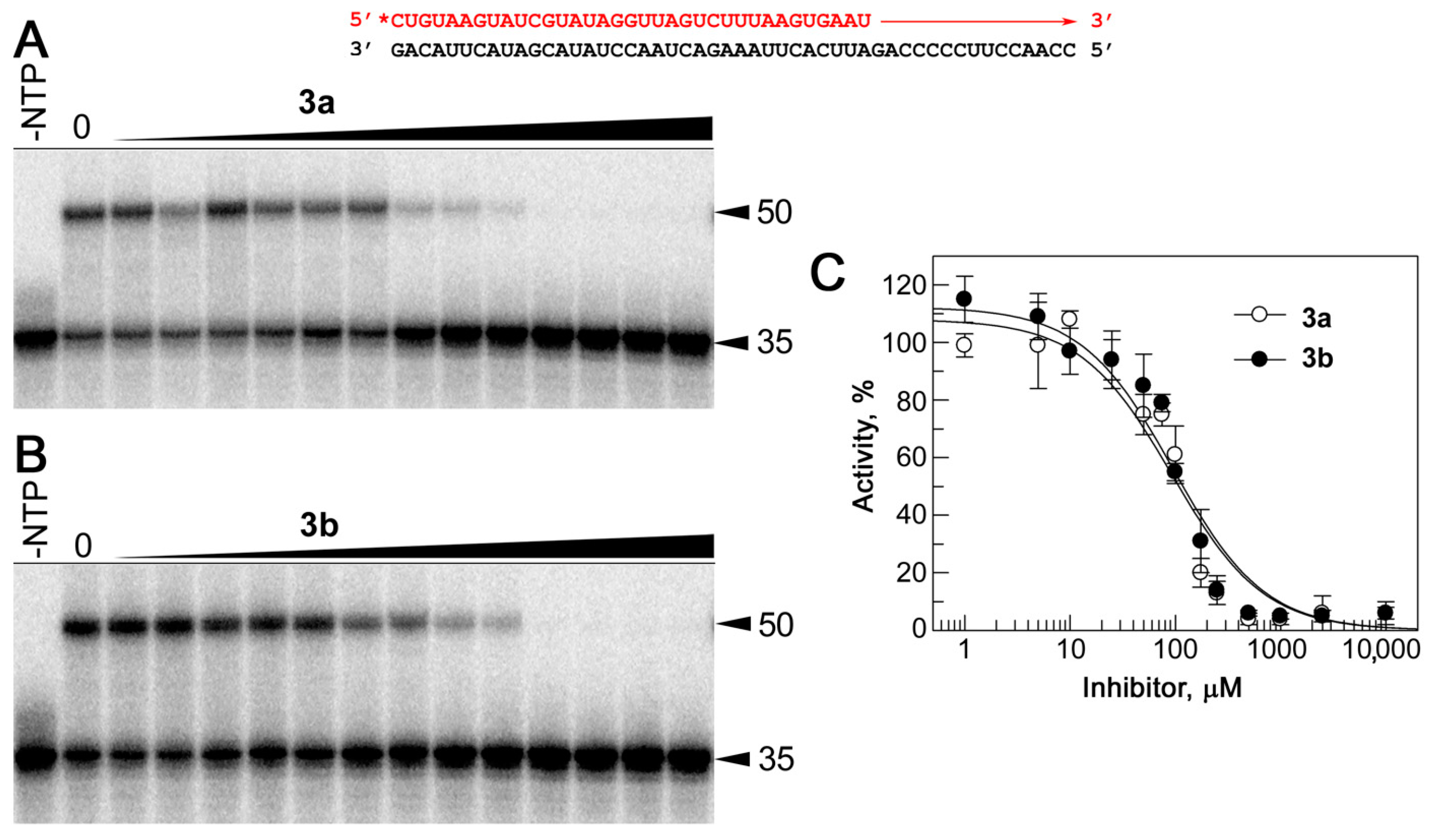
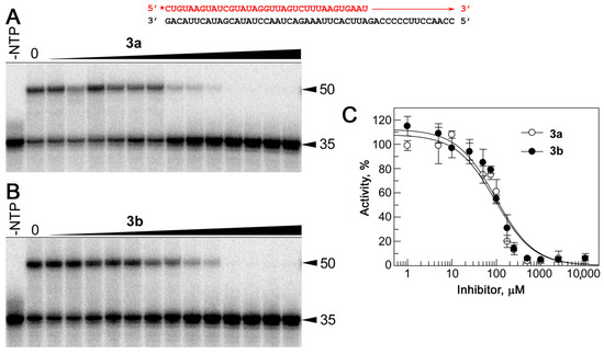
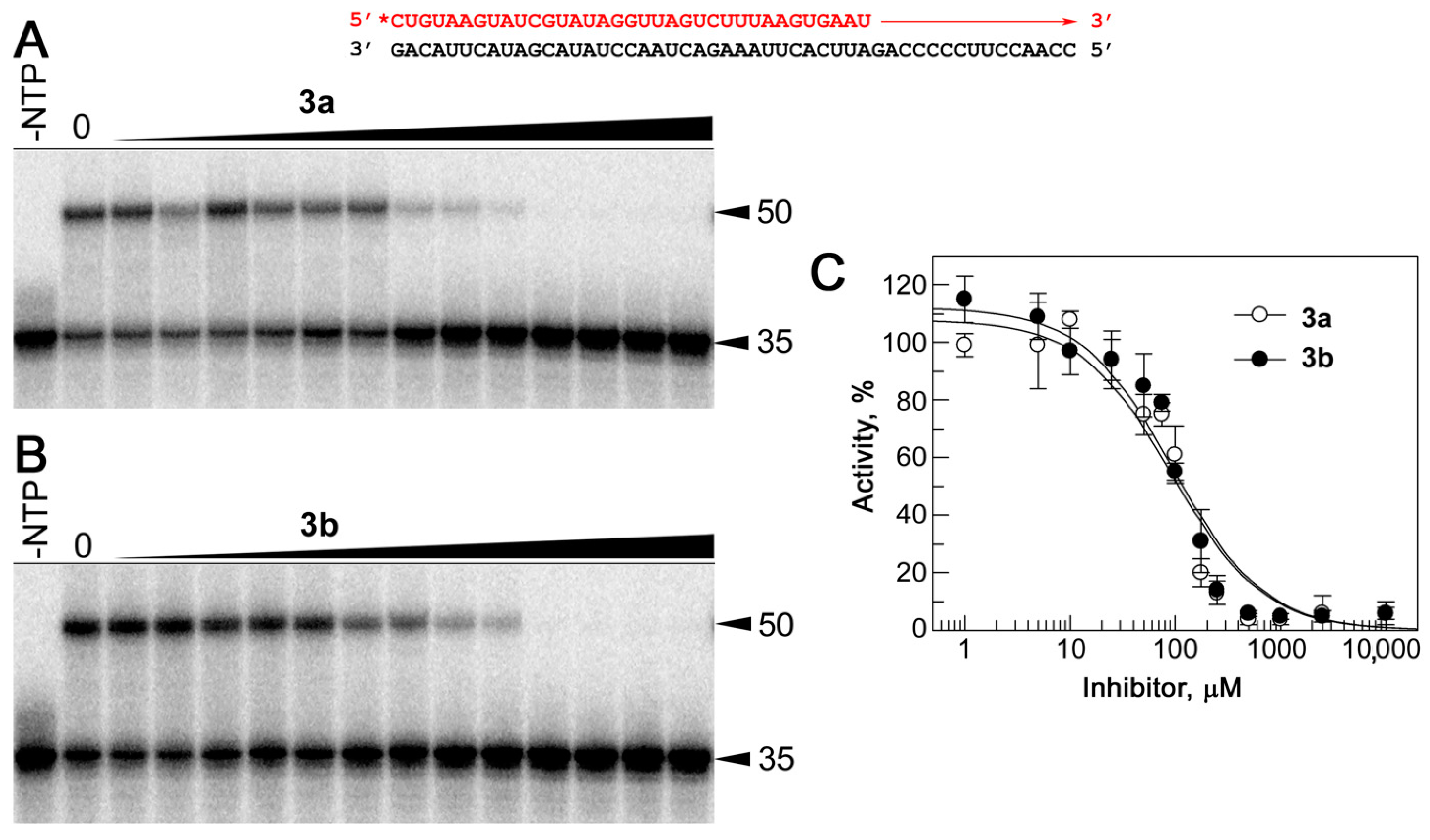
2.3. Inhibition of RdRp Activity In Vitro
2.4. Inhibition of Biocondensate Formation In Vitro
3. Materials and Methods
3.1. Chemistry
3.1.1. General
3.1.2. Synthesis and Characterization of Compounds
3.2. Biology
3.2.1. Cells and Viruses
3.2.2. Methods
Cell Toxicity Evaluation in HEL299, Vero, Huh7 and MDCK Cells
Cytopathicity or Plaque Reduction Test
3.3. Biochemical Assays
3.3.1. RdRp and Reagents
3.3.2. In Vitro Transcription Assay
3.3.3. LLPS Assays
- Template sense strand:
- TAATACGACTCACTATAGGGAGAACTAATTACTGTCGTTGACAGGACACGAGTAACTCGTCTATCTTCTGCAGGCTGCTTACGGTTTCGTCCGTGTTGCAGCCGATCATCAGCACATCTAGGTTTCGTCCGGGTGTGACCGAAAGGTAAGATGGAGAGCCTTGTCCCTGGTTTCAACGACAGTAATTAGT
4. Conclusions
Supplementary Materials
Author Contributions
Funding
Institutional Review Board Statement
Informed Consent Statement
Data Availability Statement
Acknowledgments
Conflicts of Interest
References
- Chowell, G.; Echevarría-Zuno, S.; Viboud, C.; Simonsen, L.; Tamerius, J.; Miller, M.A.; Borja-Aburto, V.H. Characterizing the Epidemiology of the 2009 Influenza A/H1N1 Pandemic in Mexico. PLoS Med. 2011, 8, e1000436. [Google Scholar] [CrossRef] [PubMed]
- Cenciarelli, O.; Pietropaoli, S.; Malizia, A.; Carestia, M.; D’Amico, F.; Sassolini, A.; Di Giovanni, D.; Rea, S.; Gabbarini, V.; Tamburrini, A.; et al. Ebola Virus Disease 2013-2014 Outbreak in West Africa: An Analysis of the Epidemic Spread and Response. Int. J. Microbiol. 2015, 2015, 769121. [Google Scholar] [CrossRef] [PubMed]
- Mackay, I.M.; Arden, K.E. MERS Coronavirus: Diagnostics, Epidemiology and Transmission. Virol. J. 2015, 12, 222. [Google Scholar] [CrossRef] [PubMed]
- Walsh, D.; Mohr, I. Viral Subversion of the Host Protein Synthesis Machinery. Nat. Rev. Microbiol. 2011, 9, 860–875. [Google Scholar] [CrossRef] [PubMed]
- Mercorelli, B.; Palù, G.; Loregian, A. Drug Repurposing for Viral Infectious Diseases: How Far Are We? Trends Microbiol. 2018, 26, 865–876. [Google Scholar] [CrossRef] [PubMed]
- Hadj Hassine, I.; Ben M’hadheb, M.; Menéndez-Arias, L. Lethal Mutagenesis of RNA Viruses and Approved Drugs with Antiviral Mutagenic Activity. Viruses 2022, 14, 841. [Google Scholar] [CrossRef]
- Thames, J.E.; Seley-Radtke, K.L. Comparison of the Old and New—Novel Mechanisms of Action for Anti-Coronavirus Nucleoside Analogues. Chimia 2022, 76, 409. [Google Scholar] [CrossRef]
- Zenchenko, A.A.; Drenichev, M.S.; Il’icheva, I.A.; Mikhailov, S.N. Antiviral and Antimicrobial Nucleoside Derivatives: Structural Features and Mechanisms of Action. Mol. Biol. 2021, 55, 786–812. [Google Scholar] [CrossRef]
- Ramdhan, P.; Li, C. Targeting Viral Methyltransferases: An Approach to Antiviral Treatment for SsRNA Viruses. Viruses 2022, 14, 379. [Google Scholar] [CrossRef]
- Takizawa, N.; Takada, H.; Umekita, M.; Igarashi, M.; Takahashi, Y. Anti-Influenza Virus Activity of Methylthio-Formycin Distinct From That of T-705. Front. Microbiol. 2022, 13, 802671. [Google Scholar] [CrossRef]
- Geraghty, R.; Aliota, M.; Bonnac, L. Broad-Spectrum Antiviral Strategies and Nucleoside Analogues. Viruses 2021, 13, 667. [Google Scholar] [CrossRef]
- Jordheim, L.P.; Durantel, D.; Zoulim, F.; Dumontet, C. Advances in the Development of Nucleoside and Nucleotide Analogues for Cancer and Viral Diseases. Nat. Rev. Drug Discov. 2013, 12, 447–464. [Google Scholar] [CrossRef] [PubMed]
- Nijhuis, M.; Van Maarseveen, N.M.; Boucher, C.A.B. Antiviral Resistance and Impact on Viral Replication Capacity: Evolution of Viruses Under Antiviral Pressure Occurs in Three Phases. In Antiviral Strategies; Kräusslich, H.-G., Bartenschlager, R., Eds.; Handbook of Experimental Pharmacology; Springer: Berlin/Heidelberg, Germany, 2009; Volume 189, pp. 299–320. ISBN 978-3-540-79085-3. [Google Scholar]
- Seley-Radtke, K.L.; Yates, M.K. The Evolution of Nucleoside Analogue Antivirals: A Review for Chemists and Non-Chemists. Part 1: Early Structural Modifications to the Nucleoside Scaffold. Antivir. Res. 2018, 154, 66–86. [Google Scholar] [CrossRef] [PubMed]
- Yates, M.K.; Seley-Radtke, K.L. The Evolution of Antiviral Nucleoside Analogues: A Review for Chemists and Non-Chemists. Part II: Complex Modifications to the Nucleoside Scaffold. Antivir. Res. 2019, 162, 5–21. [Google Scholar] [CrossRef] [PubMed]
- Cho, A.; Saunders, O.L.; Butler, T.; Zhang, L.; Xu, J.; Vela, J.E.; Feng, J.Y.; Ray, A.S.; Kim, C.U. Synthesis and Antiviral Activity of a Series of 1′-Substituted 4-Aza-7,9-Dideazaadenosine C-Nucleosides. Bioorg. Med. Chem. Lett. 2012, 22, 2705–2707. [Google Scholar] [CrossRef] [PubMed]
- Zhou, L.; Amblard, F.; Zhang, H.; McBrayer, T.R.; Detorio, M.A.; Whitaker, T.; Coats, S.J.; Schinazi, R.F. Synthesis and Evaluation of Janus Type Nucleosides as Potential HCV NS5B Polymerase Inhibitors. Bioorg. Med. Chem. Lett. 2013, 23, 3385–3388. [Google Scholar] [CrossRef]
- Chudinov, M.V. Nucleoside Analogs with Fleximer Nucleobase. Chem. Heterocycl. Compd. 2020, 56, 636–643. [Google Scholar] [CrossRef]
- Thames, J.E.; Waters, C.D.; Valle, C.; Bassetto, M.; Aouadi, W.; Martin, B.; Selisko, B.; Falat, A.; Coutard, B.; Brancale, A.; et al. Synthesis and Biological Evaluation of Novel Flexible Nucleoside Analogues That Inhibit Flavivirus Replication in Vitro. Bioorg. Med. Chem. 2020, 28, 115713. [Google Scholar] [CrossRef] [PubMed]
- Jahnz-Wechmann, Z.; Framski, G.R.; Januszczyk, P.A.; Boryski, J. Base-Modified Nucleosides: Etheno Derivatives. Front. Chem. 2016, 4, 19. [Google Scholar] [CrossRef] [PubMed]
- Jahnz-Wechmann, Z.; Framski, G.; Januszczyk, P.; Boryski, J. Bioactive Fused Heterocycles: Nucleoside Analogs with an Additional Ring. Eur. J. Med. Chem. 2015, 97, 388–396. [Google Scholar] [CrossRef]
- Kozlovskaya, L.I.; Andrei, G.; Orlov, A.A.; Khvatov, E.V.; Koruchekov, A.A.; Belyaev, E.S.; Nikolaev, E.N.; Korshun, V.A.; Snoeck, R.; Osolodkin, D.I.; et al. Antiviral Activity Spectrum of Phenoxazine Nucleoside Derivatives. Antivir. Res. 2019, 163, 117–124. [Google Scholar] [CrossRef] [PubMed]
- McGuigan, C.; Brancale, A.; Andrei, G.; Snoeck, R.; De Clercq, E.; Balzarini, J. Novel Bicyclic Furanopyrimidines with Dual Anti-VZV and -HCMV Activity. Bioorg. Med. Chem. Lett. 2003, 13, 4511–4513. [Google Scholar] [CrossRef] [PubMed]
- McGuigan, C.; Barucki, H.; Blewett, S.; Carangio, A.; Erichsen, J.T.; Andrei, G.; Snoeck, R.; De Clercq, E.; Balzarini, J. Highly Potent and Selective Inhibition of Varicella-Zoster Virus by Bicyclic Furopyrimidine Nucleosides Bearing an Aryl Side Chain. J. Med. Chem. 2000, 43, 4993–4997. [Google Scholar] [CrossRef] [PubMed]
- De Clercq, E. FV-100 for the Treatment of Varicella-Virus (VZV) Infections: Quo Vadis? Viruses 2022, 14, 770. [Google Scholar] [CrossRef] [PubMed]
- Matyugina, E.; Petushkov, I.; Surzhikov, S.; Kezin, V.; Maslova, A.; Ivanova, O.; Smirnova, O.; Kirillov, I.; Fedyakina, I.; Kulbachinskiy, A.; et al. Nucleoside Analogs That Inhibit SARS-CoV-2 Replication by Blocking Interaction of Virus Polymerase with RNA. Int. J. Mol. Sci. 2023, 24, 3361. [Google Scholar] [CrossRef]
- Svetlova, J.; Knizhnik, E.; Manuvera, V.; Severov, V.; Shirokov, D.; Grafskaia, E.; Bobrovsky, P.; Matyugina, E.; Khandazhinskaya, A.; Kozlovskaya, L.; et al. Nucleoside Analogs and Perylene Derivatives Modulate Phase Separation of SARS-CoV-2 N Protein and Genomic RNA In Vitro. Int. J. Mol. Sci. 2022, 23, 15281. [Google Scholar] [CrossRef]
- Cascarina, S.M.; Ross, E.D. Phase Separation by the SARS-CoV-2 Nucleocapsid Protein: Consensus and Open Questions. J. Biol. Chem. 2022, 298, 101677. [Google Scholar] [CrossRef]
- Yang, S.; Shen, W.; Hu, J.; Cai, S.; Zhang, C.; Jin, S.; Guan, X.; Wu, J.; Wu, Y.; Cui, J. Molecular Mechanisms and Cellular Functions of Liquid-Liquid Phase Separation during Antiviral Immune Responses. Front. Immunol. 2023, 14, 1162211. [Google Scholar] [CrossRef]
- Wei, W.; Bai, L.; Yan, B.; Meng, W.; Wang, H.; Zhai, J.; Si, F.; Zheng, C. When Liquid-Liquid Phase Separation Meets Viral Infections. Front. Immunol. 2022, 13, 985622. [Google Scholar] [CrossRef]
- Banani, S.F.; Lee, H.O.; Hyman, A.A.; Rosen, M.K. Biomolecular Condensates: Organizers of Cellular Biochemistry. Nat. Rev. Mol. Cell Biol. 2017, 18, 285–298. [Google Scholar] [CrossRef]
- Di Nunzio, F.; Uversky, V.N.; Mouland, A.J. Biomolecular Condensates: Insights into Early and Late Steps of the HIV-1 Replication Cycle. Retrovirology 2023, 20, 4. [Google Scholar] [CrossRef]
- Svetlova, Y.I.; Pavlova, Y.I.; Aralov, A.V.; Varizhuk, A.M. Condensates of SARS-CoV-2 Nucleoprotein on Viral RNA and Their Small Molecule Modulators (A Review). Russ. J. Bioorganic Chem. 2023, 49, 917–929. [Google Scholar] [CrossRef]
- Dang, M.; Li, Y.; Song, J. ATP Biphasically Modulates LLPS of SARS-CoV-2 Nucleocapsid Protein and Specifically Binds Its RNA-Binding Domain. Biochem. Biophys. Res. Commun. 2021, 541, 50–55. [Google Scholar] [CrossRef] [PubMed]
- Zhao, M.; Yu, Y.; Sun, L.-M.; Xing, J.-Q.; Li, T.; Zhu, Y.; Wang, M.; Yu, Y.; Xue, W.; Xia, T.; et al. GCG Inhibits SARS-CoV-2 Replication by Disrupting the Liquid Phase Condensation of Its Nucleocapsid Protein. Nat. Commun. 2021, 12, 2114. [Google Scholar] [CrossRef] [PubMed]
- Zhao, D.; Xu, W.; Zhang, X.; Wang, X.; Ge, Y.; Yuan, E.; Xiong, Y.; Wu, S.; Li, S.; Wu, N.; et al. Understanding the Phase Separation Characteristics of Nucleocapsid Protein Provides a New Therapeutic Opportunity against SARS-CoV-2. Protein Cell 2021, 12, 734–740. [Google Scholar] [CrossRef] [PubMed]
- Chenna, A.; Singer, B. Large Scale Synthesis of P-Benzoquinone-2′-Deoxycytidine and p-Benzoquinone-2′-Deoxyadenosine Adducts and Their Site-Specific Incorporation into DNA Oligodeoxyribonucleotides. Chem. Res. Toxicol. 1995, 8, 865–874. [Google Scholar] [CrossRef]
- De Burghgraeve, T.; Selisko, B.; Kaptein, S.; Chatelain, G.; Leyssen, P.; Debing, Y.; Jacobs, M.; Van Aerschot, A.; Canard, B.; Neyts, J. 3′,5′Di-O-Trityluridine Inhibits in Vitro Flavivirus Replication. Antivir. Res. 2013, 98, 242–247. [Google Scholar] [CrossRef]
- McGuigan, C.; Serpi, M.; Slusarczyk, M.; Ferrari, V.; Pertusati, F.; Meneghesso, S.; Derudas, M.; Farleigh, L.; Zanetta, P.; Bugert, J. Anti-Flavivirus Activity of Different Tritylated Pyrimidine and Purine Nucleoside Analogues. ChemistryOpen 2016, 5, 227–235. [Google Scholar] [CrossRef]
- De Farias, S.T.; Dos Santos Junior, A.P.; Rêgo, T.G.; José, M.V. Origin and Evolution of RNA-Dependent RNA Polymerase. Front. Genet. 2017, 8, 125. [Google Scholar] [CrossRef]
- Petushkov, I.; Esyunina, D.; Kulbachinskiy, A. Effects of Natural RNA Modifications on the Activity of SARS-CoV-2 RNA-dependent RNA Polymerase. FEBS J. 2023, 290, 80–92. [Google Scholar] [CrossRef]
- Savastano, A.; Ibáñez De Opakua, A.; Rankovic, M.; Zweckstetter, M. Nucleocapsid Protein of SARS-CoV-2 Phase Separates into RNA-Rich Polymerase-Containing Condensates. Nat. Commun. 2020, 11, 6041. [Google Scholar] [CrossRef] [PubMed]
- Roden, C.A.; Dai, Y.; Giannetti, C.A.; Seim, I.; Lee, M.; Sealfon, R.; McLaughlin, G.A.; Boerneke, M.A.; Iserman, C.; Wey, S.A.; et al. Double-Stranded RNA Drives SARS-CoV-2 Nucleocapsid Protein to Undergo Phase Separation at Specific Temperatures. Nucleic Acids Res. 2022, 50, 8168–8192. [Google Scholar] [CrossRef] [PubMed]





| Cmpd # | Antiviral Activity (EC50, μM) a | Cytotoxicity (CC50, μM) b | ||||
|---|---|---|---|---|---|---|
| HCoV | RSV | HEL299 | Huh7 | |||
| 229E | OC43 | NL63 | Long | |||
| 2a | >100 | >100 | >100 | >100 | >100 | >100 |
| 2b | >100 | >100 | >100 | >100 | >100 | >100 |
| 3a | 8.5 ± 0.36 | <0.8 | >100 | 0.67 ± 0.23 | >100 | <0.8 |
| 3b | 4.1 ± 2.0 | <0.8 | >100 | 5.7 ± 0.8 | >20 | <0.8 |
| 4a | >100 | >100 | >100 | >100 | >40 | >40 |
| 4b | >100 | >100 | >100 | >100 | >100 | >100 |
| 4c | >100 | >100 | >100 | >100 | >40 | >100 |
| 4d | >100 | >100 | >100 | >100 | >40 | >40 |
| 4e | >100 | >100 | >100 | >100 | >100 | >100 |
| 5a | >100 | >100 | >100 | >100 | >100 | >100 |
| 5b | >100 | >50 | >100 | >100 | >100 | >10 |
| 5c | >100 | >100 | >100 | >100 | >100 | >10 |
| 5d | >100 | >100 | >100 | >100 | >100 | >100 |
| 5e | >100 | >100 | >100 | >100 | >100 | >40 |
| 6a | >100 | >100 | >100 | >100 | >100 | >100 |
| 6b | >100 | >100 | >100 | >100 | >100 | >100 |
| 6c | >100 | >100 | >100 | >100 | >100 | >100 |
| 6d | >100 | >100 | >100 | >100 | >100 | >100 |
| 6e | >100 | >100 | >100 | >100 | >100 | >100 |
| Remdesivir | 0.03 | 0.03 | 0.03 | 0.02 | >10 c | >10 c |
| Cmpd # | Antiviral Activity (EC50, μM) a | Cytotoxicity | ||
|---|---|---|---|---|
| TK+ VZV Strain | TK− VZV Strain | Cell Morphology | Cell Growth | |
| OKA | 07-1 | (MCC, μM) b | (CC50, μM) c | |
| 3a | >4 | >4 | 20 | ND d |
| 3b | >4 | >4 | 20 | ND |
| 7a | 8.15 ± 3.59 | 3.28 ± 2.23 | 100 | >100 |
| 7b | 30.7 ± 4.68 | 7.13 ± 0.94 | ≥100 | 10.3 ± 5.63 |
| 8a | >20 | >20 | 100 | ND |
| 8b | >20 | >20 | 100 | ND |
| 9a | >20 | >20 | 100 | ND |
| 9b | >4 | >20 | ≥20 | ND |
| Aciclovir | 6.97 ± 4.74 | 29.9 ± 13.4 | >100 | >100 |
| Brivudine | 0.10 ± 0.07 | 0.14 ± 0.03 | >100 | >100 |
| Cmpd # | Antiviral Activity (EC50, μM) a | Cytotoxicity | |||||
|---|---|---|---|---|---|---|---|
| UC-1074 (Wuhan) | RG-2675 (South Africa) | NVDBB-2220 (UK) | 860-J1 (Delta) | B1.1 529 BA.1 (Omicron) | Cell Morphology (MCC, μM) b | Cell Growth (CC50, μM) c | |
| 3a | 8.82 ± 0.21 | 9.10 ± 0.62 | 8.92 ± 6.38 | 11.3 ± 3.5 | 10.6 ± 0.7 | ≥20 | >100 |
| 3b | >20 | ND d | ND | ND | >20 | 20 | ND |
| 7a | >20 | ND | ND | ND | >100 | >100 | ND |
| 7b | >20 | ND | ND | ND | >20 | >100 | ND |
| 8a | >20 | ND | ND | ND | >20 | 100 | ND |
| 8b | >20 | ND | ND | ND | >20 | 100 | ND |
| 9a | >100 | ND | ND | ND | >100 | >100 | ND |
| 9b | >20 | ND | ND | ND | >20 | 100 | ND |
| Remdesivir | 1.96 ± 1.00 | 1.31 ± 0.68 | 0.72 ± 0.15 | 3.23 ± 0.61 | 0.91 ± 0.17 | ≥40 | ≥40 |
| Molnupiravir | 5.52 ± 0.28 | 5.18 ± 0.26 | 3.08 ± 2.12 | 5.78 ± 0.29 | 5.20 ± 0.23 | >100 | >100 |
Disclaimer/Publisher’s Note: The statements, opinions and data contained in all publications are solely those of the individual author(s) and contributor(s) and not of MDPI and/or the editor(s). MDPI and/or the editor(s) disclaim responsibility for any injury to people or property resulting from any ideas, methods, instructions or products referred to in the content. |
© 2023 by the authors. Licensee MDPI, Basel, Switzerland. This article is an open access article distributed under the terms and conditions of the Creative Commons Attribution (CC BY) license (https://creativecommons.org/licenses/by/4.0/).
Share and Cite
Kamzeeva, P.; Petushkov, I.; Knizhnik, E.; Snoeck, R.; Khodarovich, Y.; Ryabukhina, E.; Alferova, V.; Eshtukov-Shcheglov, A.; Belyaev, E.; Svetlova, J.; et al. Phenotypic Test of Benzo[4,5]imidazo[1,2-c]pyrimidinone-Based Nucleoside and Non-Nucleoside Derivatives against DNA and RNA Viruses, Including Coronaviruses. Int. J. Mol. Sci. 2023, 24, 14540. https://doi.org/10.3390/ijms241914540
Kamzeeva P, Petushkov I, Knizhnik E, Snoeck R, Khodarovich Y, Ryabukhina E, Alferova V, Eshtukov-Shcheglov A, Belyaev E, Svetlova J, et al. Phenotypic Test of Benzo[4,5]imidazo[1,2-c]pyrimidinone-Based Nucleoside and Non-Nucleoside Derivatives against DNA and RNA Viruses, Including Coronaviruses. International Journal of Molecular Sciences. 2023; 24(19):14540. https://doi.org/10.3390/ijms241914540
Chicago/Turabian StyleKamzeeva, Polina, Ivan Petushkov, Ekaterina Knizhnik, Robert Snoeck, Yuri Khodarovich, Ekaterina Ryabukhina, Vera Alferova, Artur Eshtukov-Shcheglov, Evgeny Belyaev, Julia Svetlova, and et al. 2023. "Phenotypic Test of Benzo[4,5]imidazo[1,2-c]pyrimidinone-Based Nucleoside and Non-Nucleoside Derivatives against DNA and RNA Viruses, Including Coronaviruses" International Journal of Molecular Sciences 24, no. 19: 14540. https://doi.org/10.3390/ijms241914540
APA StyleKamzeeva, P., Petushkov, I., Knizhnik, E., Snoeck, R., Khodarovich, Y., Ryabukhina, E., Alferova, V., Eshtukov-Shcheglov, A., Belyaev, E., Svetlova, J., Vedekhina, T., Kulbachinskiy, A., Varizhuk, A., Andrei, G., & Aralov, A. (2023). Phenotypic Test of Benzo[4,5]imidazo[1,2-c]pyrimidinone-Based Nucleoside and Non-Nucleoside Derivatives against DNA and RNA Viruses, Including Coronaviruses. International Journal of Molecular Sciences, 24(19), 14540. https://doi.org/10.3390/ijms241914540

