Epicutaneous Sensitization to the Phytocannabinoid β-Caryophyllene Induces Pruritic Inflammation
Abstract
:1. Introduction
2. Results
2.1. Epicutaneous Administration of β-CP Induces Itch-like Response in Mice
2.2. Gross Histopathological Analysis Reveals Agonist-Dependent Effects
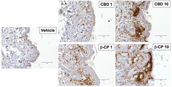
2.3. β-CP and CBD Induce Immune Cell Infiltration
2.4. β-CP and CBD Differentially Activate Soluble Immune Components
2.5. β-CP and CBD Evoke Distinct Patterns of Filaggrin Expression
2.6. β-CP and CBD Differentially Stimulate IgE Accumulation in Serum
3. Discussion
4. Materials and Methods
4.1. Methods
4.1.1. Cannabinoids, Antibodies, and Other Reagents
4.1.2. Animals
4.1.3. Epicutaneous Sensitization Model and Behavioral Analyses
4.1.4. Examination of Dermatitis
4.1.5. Skin Tissue Lysates and Measurement of Chemokine and Cytokine Levels
4.1.6. Histopathological Analysis and Immunohistochemistry
4.2. Serum IgE Analysis
4.3. Data Analysis and Statistics
Author Contributions
Funding
Institutional Review Board Statement
Informed Consent Statement
Data Availability Statement
Acknowledgments
Conflicts of Interest
References
- Liskow, B.; Liss, J.L.; Parker, C.W. Allergy to marihuana. Ann. Intern. Med. 1971, 75, 571–573. [Google Scholar] [CrossRef] [PubMed]
- Nayak, A.P.; Green, B.J.; Sussman, G.; Berlin, N.; Lata, H.; Chandra, S.; ElSohly, M.A.; Hettick, J.M.; Beezhold, D.H. Characterization of Cannabis sativa allergens. Ann. Allergy Asthma Immunol. 2013, 111, 32–37. [Google Scholar] [CrossRef] [PubMed]
- Skypala, I.J.; Jeimy, S.; Brucker, H.; Nayak, A.P.; Decuyper, I.I.; Bernstein, J.A.; Connors, L.; Kanani, A.; Klimek, L.; Lo, S.C.R.; et al. International Cannabis Allergy, C. Cannabis-related allergies: An international overview and consensus recommendations. Allergy 2022, 77, 2038–2052. [Google Scholar] [CrossRef] [PubMed]
- Decuyper, I.I.; Green, B.J.; Sussman, G.L.; Ebo, D.G.; Silvers, W.S.; Pacheco, K.; King, B.S.; Cohn, J.R.; Zeiger, R.S.; Zeiger, J.S.; et al. Occupational Allergies to Cannabis. J. Allergy Clin. Immunol. Pract. 2020, 8, 3331–3338. [Google Scholar] [CrossRef]
- Ebo, D.G.; Swerts, S.; Sabato, V.; Hagendorens, M.M.; Bridts, C.H.; Jorens, P.G.; De Clerck, L.S. New food allergies in a European non-Mediterranean region: Is Cannabis sativa to blame? Int. Arch. Allergy Immunol. 2013, 161, 220–228. [Google Scholar] [CrossRef]
- Tessmer, A.; Berlin, N.; Sussman, G.; Leader, N.; Chung, E.C.; Beezhold, D. Hypersensitivity reactions to marijuana. Ann. Allergy Asthma Immunol. 2012, 108, 282–284. [Google Scholar] [CrossRef]
- Stadtmauer, G.; Beyer, K.; Bardina, L.; Sicherer, S.H. Anaphylaxis to ingestion of hempseed (Cannabis sativa). J. Allergy Clin. Immunol. 2003, 112, 216–217. [Google Scholar] [CrossRef]
- Gamboa, P.; Sanchez-Monge, R.; Sanz, M.L.; Palacin, A.; Salcedo, G.; Diaz-Perales, A. Sensitization to Cannabis sativa caused by a novel allergenic lipid transfer protein, Can s 3. J. Allergy Clin. Immunol. 2007, 120, 1459–1460. [Google Scholar] [CrossRef]
- Decuyper, I.I.; Rihs, H.P.; Mertens, C.H.; Van Gasse, A.L.; Elst, J.; De Puysseleyr, L.; Faber, M.A.; Sabato, V.; Hagendorens, M.M.; Lapeere, H.; et al. A new cannabis allergen in Northwestern Europe: The oxygen-evolving enhancer protein 2 (OEEP2). J. Allergy Clin. Immunol. Pract. 2020, 8, 2421–2424.e2. [Google Scholar] [CrossRef]
- Ebo, D.G.; Decuyper, I.I.; Rihs, H.P.; Mertens, C.; Van Gasse, A.L.; van der Poorten, M.M.; De Puysseleyr, L.; Faber, M.A.; Hagendorens, M.M.; Bridts, C.H.; et al. IgE-binding and mast cell-activating capacity of the homologue of the major birch pollen allergen and profilin from Cannabis sativa. J. Allergy Clin. Immunol. Pract. 2021, 9, 2509–2512.e3. [Google Scholar] [CrossRef]
- Morelli, H.P.; Thorpe, C.; Ebo, D.G.; Chapman, M.D.; Abbas, K.; Sussman, G.L.; Nayak, A.P. Relevance of lipid transfer protein (LTP) to Cannabis sensitization in North America. J. Allergy Clin. Immunol. Pract. 2023, in press.
- Rojas Perez-Ezquerra, P.; Sanchez-Morillas, L.; Davila-Ferandez, G.; Ruiz-Hornillos, F.J.; Carrasco Garcia, I.; Herranz Manas, M.; Laguna Martinez, J.J.; Bartolome, B. Contact urticaria to Cannabis sativa due to a lipid transfer protein (LTP). Allergol. Immunopathol. (Madr) 2015, 43, 231–233. [Google Scholar] [CrossRef] [PubMed]
- Sack, C.; Ghodsian, N.; Jansen, K.; Silvey, B.; Simpson, C.D. Allergic and Respiratory Symptoms in Employees of Indoor Cannabis Grow Facilities. Ann. Work. Expo. Health 2020, 64, 754–764. [Google Scholar] [CrossRef] [PubMed]
- OSHA. Inspection Information # 1572011.015; U.S. Department of Labor: Washington, DC, USA, 2022. [Google Scholar]
- Sommano, S.R.; Chittasupho, C.; Ruksiriwanich, W.; Jantrawut, P. The Cannabis Terpenes. Molecules 2020, 25, 5792. [Google Scholar] [CrossRef]
- Matura, M.; Skold, M.; Borje, A.; Andersen, K.E.; Bruze, M.; Frosch, P.; Goossens, A.; Johansen, J.D.; Svedman, C.; White, I.R.; et al. Selected oxidized fragrance terpenes are common contact allergens. Contact Dermat. 2005, 52, 320–328. [Google Scholar] [CrossRef]
- Dalle Carbonare, M.; Del Giudice, E.; Stecca, A.; Colavito, D.; Fabris, M.; D’Arrigo, A.; Bernardini, D.; Dam, M.; Leon, A. A saturated N-acylethanolamine other than N-palmitoyl ethanolamine with anti-inflammatory properties: A neglected story. J. Neuroendocrinol. 2008, 20 (Suppl. S1), 26–34. [Google Scholar] [CrossRef]
- Nayak, A.P.; Loblundo, C.; Bielory, L. Immunomodulatory actions of cannabinoids: Clinical correlates and therapeutic opportunities for allergic inflammation. J. Allergy Clin. Immunol. Pract. 2023, 11, 449–457. [Google Scholar] [CrossRef]
- Oka, S.; Wakui, J.; Ikeda, S.; Yanagimoto, S.; Kishimoto, S.; Gokoh, M.; Nasui, M.; Sugiura, T. Involvement of the cannabinoid CB2 receptor and its endogenous ligand 2-arachidonoylglycerol in oxazolone-induced contact dermatitis in mice. J. Immunol. 2006, 177, 8796–8805. [Google Scholar] [CrossRef]
- Gertsch, J.; Leonti, M.; Raduner, S.; Racz, I.; Chen, J.Z.; Xie, X.Q.; Altmann, K.H.; Karsak, M.; Zimmer, A. Beta-caryophyllene is a dietary cannabinoid. Proc. Natl. Acad. Sci. USA 2008, 105, 9099–9104. [Google Scholar] [CrossRef]
- Hashiesh, H.M.; Sharma, C.; Goyal, S.N.; Sadek, B.; Jha, N.K.; Kaabi, J.A.; Ojha, S. A focused review on CB2 receptor-selective pharmacological properties and therapeutic potential of beta-caryophyllene, a dietary cannabinoid. Biomed. Pharmacother. 2021, 140, 111639. [Google Scholar] [CrossRef]
- Jha, N.K.; Sharma, C.; Hashiesh, H.M.; Arunachalam, S.; Meeran, M.N.; Javed, H.; Patil, C.R.; Goyal, S.N.; Ojha, S. beta-Caryophyllene, A Natural Dietary CB2 Receptor Selective Cannabinoid can be a Candidate to Target the Trinity of Infection, Immunity, and Inflammation in COVID-19. Front. Pharmacol. 2021, 12, 590201. [Google Scholar] [CrossRef] [PubMed]
- Hammell, D.C.; Zhang, L.P.; Ma, F.; Abshire, S.M.; McIlwrath, S.L.; Stinchcomb, A.L.; Westlund, K.N. Transdermal cannabidiol reduces inflammation and pain-related behaviours in a rat model of arthritis. Eur. J. Pain 2016, 20, 936–948. [Google Scholar] [CrossRef] [PubMed]
- Philpott, H.T.; O’Brien, M.; McDougall, J.J. Attenuation of early phase inflammation by cannabidiol prevents pain and nerve damage in rat osteoarthritis. Pain 2017, 158, 2442–2451. [Google Scholar] [CrossRef] [PubMed]
- Malfait, A.M.; Gallily, R.; Sumariwalla, P.F.; Malik, A.S.; Andreakos, E.; Mechoulam, R.; Feldmann, M. The nonpsychoactive cannabis constituent cannabidiol is an oral anti-arthritic therapeutic in murine collagen-induced arthritis. Proc. Natl. Acad. Sci. USA 2000, 97, 9561–9566. [Google Scholar] [CrossRef] [PubMed]
- Silvestre-Roig, C.; Hidalgo, A.; Soehnlein, O. Neutrophil heterogeneity: Implications for homeostasis and pathogenesis. Blood 2016, 127, 2173–2181. [Google Scholar] [CrossRef] [PubMed]
- Tordesillas, L.; Lozano-Ojalvo, D.; Dunkin, D.; Mondoulet, L.; Agudo, J.; Merad, M.; Sampson, H.A.; Berin, M.C. PDL2(+) CD11b(+) dermal dendritic cells capture topical antigen through hair follicles to prime LAP(+) Tregs. Nat. Commun. 2018, 9, 5238. [Google Scholar] [CrossRef] [PubMed]
- Drislane, C.; Irvine, A.D. The role of filaggrin in atopic dermatitis and allergic disease. Ann. Allergy Asthma Immunol. 2020, 124, 36–43. [Google Scholar] [CrossRef] [PubMed]
- Picciolo, G.; Pallio, G.; Altavilla, D.; Vaccaro, M.; Oteri, G.; Irrera, N.; Squadrito, F. beta-Caryophyllene Reduces the Inflammatory Phenotype of Periodontal Cells by Targeting CB2 Receptors. Biomedicines 2020, 8, 164. [Google Scholar] [CrossRef]
- Askari, V.R.; Shafiee-Nick, R. The protective effects of beta-caryophyllene on LPS-induced primary microglia M1/M2 imbalance: A mechanistic evaluation. Life Sci. 2019, 219, 40–73. [Google Scholar] [CrossRef]
- Askari, V.R.; Shafiee-Nick, R. Promising neuroprotective effects of beta-caryophyllene against LPS-induced oligodendrocyte toxicity: A mechanistic study. Biochem. Pharmacol. 2019, 159, 154–171. [Google Scholar] [CrossRef]
- Assis, L.C.; Straliotto, M.R.; Engel, D.; Hort, M.A.; Dutra, R.C.; de Bem, A.F. beta-Caryophyllene protects the C6 glioma cells against glutamate-induced excitotoxicity through the Nrf2 pathway. Neuroscience 2014, 279, 220–231. [Google Scholar] [CrossRef] [PubMed]
- Irrera, N.; D’Ascola, A.; Pallio, G.; Bitto, A.; Mannino, F.; Arcoraci, V.; Rottura, M.; Ieni, A.; Minutoli, L.; Metro, D.; et al. beta-Caryophyllene Inhibits Cell Proliferation through a Direct Modulation of CB2 Receptors in Glioblastoma Cells. Cancers 2020, 12, 1038. [Google Scholar] [CrossRef] [PubMed]
- Hwang, E.S.; Kim, H.B.; Lee, S.; Kim, M.J.; Kim, K.J.; Han, G.; Han, S.Y.; Lee, E.A.; Yoon, J.H.; Kim, D.O.; et al. Antidepressant-like effects of beta-caryophyllene on restraint plus stress-induced depression. Behav. Brain Res. 2020, 380, 112439. [Google Scholar] [CrossRef]
- Chicca, A.; Caprioglio, D.; Minassi, A.; Petrucci, V.; Appendino, G.; Taglialatela-Scafati, O.; Gertsch, J. Functionalization of beta-caryophyllene generates novel polypharmacology in the endocannabinoid system. ACS Chem. Biol. 2014, 9, 1499–1507. [Google Scholar] [CrossRef] [PubMed]
- Azim, S.A.; Yim, K.; Higgins, S.; Wurzer, J.; Adler, B.L. Contact Allergy to Cannabis and Related Essential Oils. Dermatitis 2022, 33, e69–e70. [Google Scholar] [CrossRef] [PubMed]
- Skold, M.; Karlberg, A.T.; Matura, M.; Borje, A. The fragrance chemical beta-caryophyllene-air oxidation and skin sensitization. Food Chem. Toxicol. 2006, 44, 538–545. [Google Scholar] [CrossRef]
- Foster, E.; Nguyen, C.; Norris, P. Contact Buzz: Allergic Contact Dermatitis to Cannabis. Dermatitis 2018, 29, 223–224. [Google Scholar] [CrossRef]
- Prasanthi, D.; Lakshmi, P.K. Terpenes: Effect of lipophilicity in enhancing transdermal delivery of alfuzosin hydrochloride. J. Adv. Pharm. Technol. Res. 2012, 3, 216–223. [Google Scholar] [CrossRef]
- Karlberg, A.T.; Lepoittevin, J.P. One hundred years of allergic contact dermatitis due to oxidized terpenes: What we can learn from old research on turpentine allergy. Contact Dermat. 2021, 85, 627–636. [Google Scholar] [CrossRef]
- Nayak, A.P.; Hettick, J.M.; Siegel, P.D.; Anderson, S.E.; Long, C.M.; Green, B.J.; Beezhold, D.H. Toluene diisocyanate (TDI) disposition and co-localization of immune cells in hair follicles. Toxicol. Sci. 2014, 140, 327–337. [Google Scholar] [CrossRef]
- Yancey, K.B.; Hammer, C.H.; Harvath, L.; Renfer, L.; Frank, M.M.; Lawley, T.J. Studies of human C5a as a mediator of inflammation in normal human skin. J. Clin. Investig. 1985, 75, 486–495. [Google Scholar] [CrossRef]
- Yanase, Y.; Takahagi, S.; Ozawa, K.; Hide, M. The Role of Coagulation and Complement Factors for Mast Cell Activation in the Pathogenesis of Chronic Spontaneous Urticaria. Cells 2021, 10, 1759. [Google Scholar] [CrossRef]
- Koide, M.; Tokura, Y.; Furukawa, F.; Takigawa, M. Soluble intercellular adhesion molecule-1 (sICAM-1) in atopic dermatitis. J. Dermatol. Sci. 1994, 8, 151–156. [Google Scholar] [CrossRef] [PubMed]
- Wolkerstorfer, A.; Savelkoul, H.F.J.; De Waard van der Spek, F.B.; Neijens, H.J.; van Meurs, T.; Oranje, A.P. Soluble E-selectin and soluble ICAM-1 levels as markers of the activity of atopic dermatitis in children. Pediatr. Allergy Immunol. 2003, 14, 302–306. [Google Scholar] [CrossRef] [PubMed]
- Puxeddu, I.; Panza, F.; Pratesi, F.; Bartaloni, D.; Casigliani Rabl, S.; Rocchi, V.; Del Corso, I.; Migliorini, P. CCL5/RANTES, sVCAM-1, and sICAM-1 in chronic spontaneous urticaria. Int. Arch. Allergy Immunol. 2013, 162, 330–334. [Google Scholar] [CrossRef]
- Inan, S.; Torres-Huerta, A.; Jensen, L.E.; Dun, N.J.; Cowan, A. Nalbuphine, a kappa opioid receptor agonist and mu opioid receptor antagonist attenuates pruritus, decreases IL-31, and increases IL-10 in mice with contact dermatitis. Eur. J. Pharmacol. 2019, 864, 172702. [Google Scholar] [CrossRef]
- Baswan, S.M.; Klosner, A.E.; Glynn, K.; Rajgopal, A.; Malik, K.; Yim, S.; Stern, N. Therapeutic Potential of Cannabidiol (CBD) for Skin Health and Disorders. Clin. Cosmet. Investig. Dermatol. 2020, 13, 927–942. [Google Scholar] [CrossRef] [PubMed]
- Sivesind, T.E.; Maghfour, J.; Rietcheck, H.; Kamel, K.; Malik, A.S.; Dellavalle, R.P. Cannabinoids for the Treatment of Dermatologic Conditions. JID Innov. 2022, 2, 100095. [Google Scholar] [CrossRef]
- Nayak, A.P.; Deshpande, D.A.; Shah, S.D.; Villalba, D.R.; Yi, R.; Wang, N.; Penn, R.B. OGR1-dependent regulation of the allergen-induced asthma phenotype. Am. J. Physiol. Lung Cell Mol. Physiol. 2021, 321, L1044–L1054. [Google Scholar] [CrossRef]
- Shah, S.D.; Nayak, A.P.; Sharma, P.; Villalba, D.R.; Addya, S.; Huang, W.; Shapiro, P.; Kane, M.A.; Deshpande, D.A. Targeted Inhibition of Select Extracellular Signal-regulated Kinases 1 and 2 Functions Mitigates Pathological Features of Asthma in Mice. Am. J. Respir. Cell Mol. Biol. 2023, 68, 23–38. [Google Scholar] [CrossRef]
- Rizzo, H.L.; Kagami, S.; Phillips, K.G.; Kurtz, S.E.; Jacques, S.L.; Blauvelt, A. IL-23-mediated psoriasis-like epidermal hyperplasia is dependent on IL-17A. J. Immunol. 2011, 186, 1495–1502. [Google Scholar] [CrossRef] [PubMed]
- Kim, W.H.; An, H.J.; Kim, J.Y.; Gwon, M.G.; Gu, H.; Jeon, M.; Sung, W.J.; Han, S.M.; Pak, S.C.; Kim, M.K.; et al. Beneficial effects of melittin on ovalbumin-induced atopic dermatitis in mouse. Sci. Rep. 2017, 7, 17679. [Google Scholar] [CrossRef] [PubMed]










Disclaimer/Publisher’s Note: The statements, opinions and data contained in all publications are solely those of the individual author(s) and contributor(s) and not of MDPI and/or the editor(s). MDPI and/or the editor(s) disclaim responsibility for any injury to people or property resulting from any ideas, methods, instructions or products referred to in the content. |
© 2023 by the authors. Licensee MDPI, Basel, Switzerland. This article is an open access article distributed under the terms and conditions of the Creative Commons Attribution (CC BY) license (https://creativecommons.org/licenses/by/4.0/).
Share and Cite
Inan, S.; Ward, S.J.; Baltazar, C.T.; Peruggia, G.A.; Javed, E.; Nayak, A.P. Epicutaneous Sensitization to the Phytocannabinoid β-Caryophyllene Induces Pruritic Inflammation. Int. J. Mol. Sci. 2023, 24, 14328. https://doi.org/10.3390/ijms241814328
Inan S, Ward SJ, Baltazar CT, Peruggia GA, Javed E, Nayak AP. Epicutaneous Sensitization to the Phytocannabinoid β-Caryophyllene Induces Pruritic Inflammation. International Journal of Molecular Sciences. 2023; 24(18):14328. https://doi.org/10.3390/ijms241814328
Chicago/Turabian StyleInan, Saadet, Sara J. Ward, Citlalli T. Baltazar, Gabrielle A. Peruggia, Elham Javed, and Ajay P. Nayak. 2023. "Epicutaneous Sensitization to the Phytocannabinoid β-Caryophyllene Induces Pruritic Inflammation" International Journal of Molecular Sciences 24, no. 18: 14328. https://doi.org/10.3390/ijms241814328
APA StyleInan, S., Ward, S. J., Baltazar, C. T., Peruggia, G. A., Javed, E., & Nayak, A. P. (2023). Epicutaneous Sensitization to the Phytocannabinoid β-Caryophyllene Induces Pruritic Inflammation. International Journal of Molecular Sciences, 24(18), 14328. https://doi.org/10.3390/ijms241814328

