Photo-Methionine, Azidohomoalanine and Homopropargylglycine Are Incorporated into Newly Synthesized Proteins at Different Rates and Differentially Affect the Growth and Protein Expression Levels of Auxotrophic and Prototrophic E. coli in Minimal Medium
Abstract
1. Introduction
2. Results
2.1. Prototrophic E. coli Grow in Mineral Medium Supplemented with pMet and Aha but Not Hpg
2.2. Prototrophic E. coli Undergo a Second Growth Phase, Whereas Auxotrophic E. coli Enter a Late Stationary Phase When Depleting Methionine Accumulated in Cells by Transfer from Nutritionally Rich to Mineral Medium with ncAA
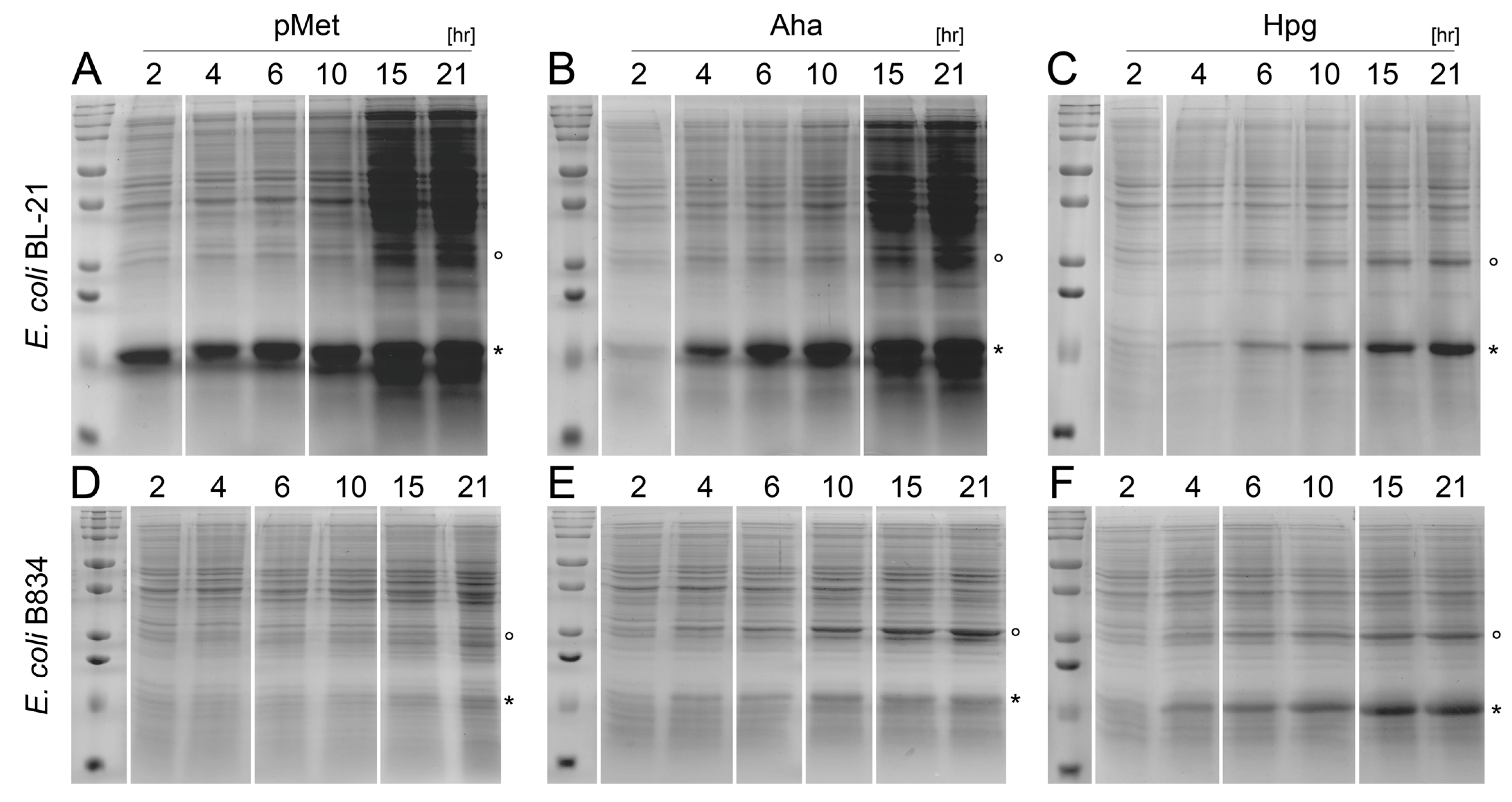
2.3. Protein Expression Rates Are Higher in the Presence of pMet Than in the Presence of Aha and in Prototrophic Than in Auxotrophic E. coli
2.4. Incorporation of Non-Canonical Amino Acids
3. Discussion
4. Materials and Methods
4.1. Materials and Reagents
4.2. Bacterial Growth
4.3. Protein Expression
4.4. Electrophoresis and Protein Digestion
4.5. MALDI-TOF Analysis
4.6. LC-MS/MS Analysis
4.7. Estimation of the Frequency of Methionine Analog Incorporation
5. Conclusions
Supplementary Materials
Author Contributions
Funding
Institutional Review Board Statement
Informed Consent Statement
Data Availability Statement
Acknowledgments
Conflicts of Interest
References
- Koberova, M.; Jecmen, T.; Sulc, M.; Cerna, V.; Kizek, R.; Hudecek, J.; Stiborova, M.; Hodek, P. Photo-cytochrome b5—A New Tool to Study the Cytochrome P450 Electron-transport Chain. Int. J. Electrochem. Sci. 2013, 8, 125–134. [Google Scholar] [CrossRef]
- Piotrowski, C.; Ihling, C.H.; Sinz, A. Extending the cross-linking/mass spectrometry strategy: Facile incorporation of photo-activatable amino acids into the model protein calmodulin in Escherichia coli cells. Methods 2015, 89, 121–127. [Google Scholar] [CrossRef] [PubMed]
- Dieterich, D.C.; Link, A.J.; Graumann, J.; Tirrell, D.A.; Schuman, E.M. Selective identification of newly synthesized proteins in mammalian cells using bioorthogonal noncanonical amino acid tagging (BONCAT). Proc. Natl. Acad. Sci. USA 2006, 103, 9482–9487. [Google Scholar] [CrossRef]
- Hatzenpichler, R.; Scheller, S.; Tavormina, P.L.; Babin, B.M.; Tirrell, D.A.; Orphan, V.J. In situ visualization of newly synthesized proteins in environmental microbes using amino acid tagging and click chemistry. Environ. Microbiol. 2014, 16, 2568–2590. [Google Scholar] [CrossRef] [PubMed]
- Calve, S.; Witten, A.J.; Ocken, A.R.; Kinzer-Ursem, T.L. Incorporation of non-canonical amino acids into the developing murine proteome. Sci. Rep. 2016, 6, 32377. [Google Scholar] [CrossRef]
- Leizeaga, A.; Estrany, M.; Forn, I.; Sebastián, M. Using Click-Chemistry for Visualizing in Situ Changes of Translational Activity in Planktonic Marine Bacteria. Front. Microbiol. 2017, 8, 2360. [Google Scholar] [CrossRef]
- Tivendale, N.D.; Fenske, R.; Duncan, O.; Millar, A.H. In vivo homopropargylglycine incorporation enables sampling, isolation and characterization of nascent proteins from Arabidopsis thaliana. Plant J. 2021, 107, 1260–1276. [Google Scholar] [CrossRef]
- Nagasundarapandian, S.; Merkel, L.; Budisa, N.; Govindan, R.; Ayyadurai, N.; Sriram, S.; Yun, H.; Lee, S.-G. Engineering Protein Sequence Composition for Folding Robustness Renders Efficient Noncanonical Amino acid Incorporations. Chembiochem 2010, 11, 2521–2524. [Google Scholar] [CrossRef]
- Ma, Y.; Thota, B.N.S.; Haag, R.; Budisa, N. Dendronylation: Residue-specific chemoselective attachment of oligoglycerol dendrimers on proteins with noncanonical amino acids. Bioorganic Med. Chem. Lett. 2015, 25, 5247–5249. [Google Scholar] [CrossRef]
- Ptáčková, R.; Ječmen, T.; Novák, P.; Hudeček, J.; Stiborová, M.; Šulc, M. The Application of an Emerging Technique for Protein–Protein Interaction Interface Mapping: The Combination of Photo-Initiated Cross-Linking Protein Nanoprobes with Mass Spectrometry. Int. J. Mol. Sci. 2014, 15, 9224–9241. [Google Scholar] [CrossRef]
- Black, D.J.; Tran, Q.-K.; Keightley, A.; Chinawalkar, A.; McMullin, C.; Persechini, A. Evaluating Calmodulin–Protein Interactions by Rapid Photoactivated Cross-Linking in Live Cells Metabolically Labeled with Photo-Methionine. J. Proteome Res. 2019, 18, 3780–3791. [Google Scholar] [CrossRef] [PubMed]
- Ječmen, T.; Ptáčková, R.; Kavan, D.; Cerná, V.; Hodek, P.; Stiborová, M.; Hudeček, J.; Sulc, M. Quantification of interactions between cytochrome P450 2B4 and cytochrome b5 in a functional membrane complex. Neuro Endocrinol. Lett. 2014, 35 (Suppl. S2), 114–122. [Google Scholar] [PubMed]
- Kiick, K.L.; Saxon, E.; Tirrell, D.A.; Bertozzi, C.R. Incorporation of azides into recombinant proteins for chemoselective modification by the Staudinger ligation. Proc. Natl. Acad. Sci. USA 2002, 99, 19–24. [Google Scholar] [CrossRef] [PubMed]
- LaRiviere, F.J.; Wolfson, A.D.; Uhlenbeck, O.C. Uniform binding of aminoacyl-tRNAs to elongation factor Tu by thermodynamic compensation. Science 2001, 294, 165–168. [Google Scholar] [CrossRef] [PubMed]
- Bagert, J.D.; Xie, Y.J.; Sweredoski, M.J.; Qi, Y.; Hess, S.; Schuman, E.M.; Tirrell, D.A. Quantitative, Time-Resolved Proteomic Analysis by Combining Bioorthogonal Noncanonical Amino Acid Tagging and Pulsed Stable Isotope Labeling by Amino Acids in Cell Culture. Mol. Cell Proteom. 2014, 13, 1352–1358. [Google Scholar] [CrossRef] [PubMed]
- Ječmen, T.; Ptáčková, R.; Černá, V.; Dračínská, H.; Hodek, P.; Stiborová, M.; Hudeček, J.; Šulc, M. Photo-initiated crosslinking extends mapping of the protein–protein interface to membrane-embedded portions of cytochromes P450 2B4 and b5. Methods 2015, 89, 128–137. [Google Scholar] [CrossRef]
- Vlcek, A. (Queen Mary University of London, London, UK). Personal communication, 2023.
- Sulc, M.; Jecmen, T.; Snajdrova, R.; Novak, P.; Martinek, V.; Hodek, P.; Stiborova, M.; Hudecek, J. Mapping of interaction between cytochrome P450 2B4 and cytochrome b5: The first evidence of two mutual orientations. Neuro Endocrinol. Lett. 2012, 33 (Suppl. S3), 41–47. [Google Scholar]
- Brissette, J.L.; Weiner, L.; Ripmaster, T.L.; Model, P. Characterization and sequence of the Escherichia coli stress-induced psp operon. J. Mol. Biol. 1991, 220, 35–48. [Google Scholar] [CrossRef]
- Steward, K.F.; Eilers, B.; Tripet, B.; Fuchs, A.; Dorle, M.; Rawle, R.; Soriano, B.; Balasubramanian, N.; Copié, V.; Bothner, B.; et al. Metabolic Implications of Using BioOrthogonal Non-Canonical Amino Acid Tagging (BONCAT) for Tracking Protein Synthesis. Front. Microbiol. 2020, 11, 197. [Google Scholar] [CrossRef]
- Saleh, A.M.; Wilding, K.M.; Calve, S.; Bundy, B.C.; Kinzer-Ursem, T.L. Non-canonical amino acid labeling in proteomics and biotechnology. J. Biol. Eng. 2019, 13, 43. [Google Scholar] [CrossRef]
- Beatty, K.E.; Liu, J.C.; Xie, F.; Dieterich, D.C.; Schuman, E.M.; Wang, Q.; Tirrell, D.A. Fluorescence Visualization of Newly Synthesized Proteins in Mammalian Cells. Angew. Chem. Int. Ed. 2006, 45, 7364–7367. [Google Scholar] [CrossRef]
- Landor, L.A.I.; Bratbak, G.; Larsen, A.; Tjendra, J.; Våge, S. Differential toxicity of bioorthogonal non-canonical amino acids (BONCAT) in Escherichia coli. J. Microbiol. Methods 2023, 206, 106679. [Google Scholar] [CrossRef] [PubMed]
- Kotrbová, V.; Aimová, D.; Ingr, M.; Bořek-Dohalská, L.; Martínek, V.; Stiborová, M. Preparation of a biologically active apo-cytochrome b5 via heterologous expression in Escherichia coli. Protein Expr. Purif. 2009, 66, 203–209. [Google Scholar] [CrossRef] [PubMed]
- Sprouffske, K.; Wagner, A. Growthcurver: An R package for obtaining interpretable metrics from microbial growth curves. BMC Bioinform. 2016, 17, 172. [Google Scholar] [CrossRef] [PubMed]
- Haladová, K.; Mrázek, H.; Ječmen, T.; Halada, P.; Man, P.; Novák, P.; Chmelík, J.; Obšil, T.; Šulc, M. The combination of hydrogen/deuterium exchange or chemical cross-linking techniques with mass spectrometry: Mapping of human 14-3-3ζ homodimer interface. J. Struct. Biol. 2012, 179, 10–17. [Google Scholar] [CrossRef]
- Peri, S.; Steen, H.; Pandey, A. GPMAW—A software tool for analyzing proteins and peptides. Trends Biochem. Sci. 2001, 26, 687–689. [Google Scholar] [CrossRef]
- Sommerer, N.; Centeno, D.; Rossignol, M. Peptide Mass Fingerprinting: Identification of Proteins by MALDI-TOF. In Plant Proteomics. Methods in Molecular Biology; Thiellement, H., Zivy, M., Damerval, C., Méchin, V., Eds.; Humana Press: Totowa, NJ, USA, 2007; Volume 355, pp. 219–234. [Google Scholar] [CrossRef]






| E. coli BL-21 | E. coli B834 | |||||||
|---|---|---|---|---|---|---|---|---|
| Met | pMet | Aha | Hpg | Met | pMet | Aha | Hpg | |
| r | 0.82 | 0.47 | 0.52 | - | 0.63 | - | - | - |
| K | 1.79 | 2.00 | 1.97 | - | 1.80 | - | - | - |
| t5%K [h] | 4.2 | 7.1 | 6.6 | - | 3.3 | - | 16.1 * | - |
| t1%r [h] | 13.3 | 23.3 | 21.0 | - | 15.2 | - | >25.0 | - |
| Protein | Methionine Sites in | Sequence | From-To | Monoisotopic Mass (Da) | |
|---|---|---|---|---|---|
| Protein | Peptide | ||||
| b5M46 | 1 | 1 | K.FLEEHPMGEEVLR.E | 39–51 | 1584.7606 |
| MBP-GFP | 12 | 1 | K.SAMPEGYIQER.T | 494–504 | 1279.5867 |
| 2 | K.GEIMPNIPQMSAFWYAVR.T | 327–344 | 2109.0176 | ||
| pspA | 7 | 1 | R.QQALMLR.H | 136–142 | 858.4746 |
| 2 | R.LMIQEMEDTLVEVR.S | 31–44 | 1704.8426 | ||
| Amino Acid | Side Chain | Formula | Monoisotopic Mass (Da) | Δ Mass (AA-Met) (Da) | Origin of the Derivative |
|---|---|---|---|---|---|
| Methionine | -(CH2)2-S-CH3 | C5H11NO2S | 149.0510 | - | - |
| MetOx | -(CH2)2-S(=O)-CH3 | C5H11NO3S | 165.0460 | 15.9950 | sp |
| pMet | -(CH2)2-C(=N2)-CH3 | C6H11N3O2 | 157.0851 | 8.0341 | - |
| pMet D1 | -(CH2)2-CH=CH2 | C6H11NO2 | 129.0790 | −19.9720 | pi |
| -CH2-CH=CH-CH3 | |||||
| Aha | -(CH2)2-N=N+=N− | C4H8N4O2 | 144.0647 | −4.9863 | - |
| Aha D1 | -(CH2)2-NH2 | C4H10N2O2 | 118.0742 | −30.9768 | bc/sp |
| Aha D2 | -(CH2)2-OH | C4H9NO3 | 119.0582 | −29.9928 | bc/sp |
| Aha D3 | -CH=CH2 | C4H7NO2 | 101.0477 | −48.0033 | bc/sp |
| Hpg | -(CH2)2-C≡CH | C6H9NO2 | 127.0633 | −21.9877 | - |
| ncAA | pMet (%) | Aha (%) | Hpg (%) | |||||||||
|---|---|---|---|---|---|---|---|---|---|---|---|---|
| Approach | MS | LC-MS | MS | LC-MS | MS | LC-MS | ||||||
| Peptide | P1 | P2 | P1 | P2 | P1 | P2 | P1 | P2 | P1 | P2 | P1 | P2 |
| Ave (P1/2) | 56.8 | 54.2 | 74.1 | 73.0 | 64.6 | 73.3 | 53.0 | 57.0 | 46.6 | 59.7 | 51.4 | 58.9 |
| S.D. (P1/2) | 5.4 | 3.6 | 1.5 | 0.9 | 2.6 | 2.1 | 2.7 | 3.1 | 7.3 | 6.1 | 4.1 | 5.9 |
| Ave (total) | 55.5 | 73.5 | 68.9 | 55.0 | 53.1 | 54.7 | ||||||
| S.D. (total) | 4.8 | 1.3 | 5.0 | 3.5 | 9.4 | 6.2 | ||||||
| Δ Ave (P1-P2) | 2.7 | 1.1 | −8.7 | −3.9 | −13.1 | −7.5 | ||||||
| Δ Ave (MS-LCMS) | −17.3 | −18.8 | 11.6 | 16.4 | −4.8 | 0.8 | ||||||
Disclaimer/Publisher’s Note: The statements, opinions and data contained in all publications are solely those of the individual author(s) and contributor(s) and not of MDPI and/or the editor(s). MDPI and/or the editor(s) disclaim responsibility for any injury to people or property resulting from any ideas, methods, instructions or products referred to in the content. |
© 2023 by the authors. Licensee MDPI, Basel, Switzerland. This article is an open access article distributed under the terms and conditions of the Creative Commons Attribution (CC BY) license (https://creativecommons.org/licenses/by/4.0/).
Share and Cite
Jecmen, T.; Tuzhilkin, R.; Sulc, M. Photo-Methionine, Azidohomoalanine and Homopropargylglycine Are Incorporated into Newly Synthesized Proteins at Different Rates and Differentially Affect the Growth and Protein Expression Levels of Auxotrophic and Prototrophic E. coli in Minimal Medium. Int. J. Mol. Sci. 2023, 24, 11779. https://doi.org/10.3390/ijms241411779
Jecmen T, Tuzhilkin R, Sulc M. Photo-Methionine, Azidohomoalanine and Homopropargylglycine Are Incorporated into Newly Synthesized Proteins at Different Rates and Differentially Affect the Growth and Protein Expression Levels of Auxotrophic and Prototrophic E. coli in Minimal Medium. International Journal of Molecular Sciences. 2023; 24(14):11779. https://doi.org/10.3390/ijms241411779
Chicago/Turabian StyleJecmen, Tomas, Roman Tuzhilkin, and Miroslav Sulc. 2023. "Photo-Methionine, Azidohomoalanine and Homopropargylglycine Are Incorporated into Newly Synthesized Proteins at Different Rates and Differentially Affect the Growth and Protein Expression Levels of Auxotrophic and Prototrophic E. coli in Minimal Medium" International Journal of Molecular Sciences 24, no. 14: 11779. https://doi.org/10.3390/ijms241411779
APA StyleJecmen, T., Tuzhilkin, R., & Sulc, M. (2023). Photo-Methionine, Azidohomoalanine and Homopropargylglycine Are Incorporated into Newly Synthesized Proteins at Different Rates and Differentially Affect the Growth and Protein Expression Levels of Auxotrophic and Prototrophic E. coli in Minimal Medium. International Journal of Molecular Sciences, 24(14), 11779. https://doi.org/10.3390/ijms241411779

