Abstract
Lung cancer is the leading cause of cancer-related deaths in the western world, with squamous cell carcinoma being one of the most common histological subtypes. Prognostic and predictive markers are still largely missing for squamous cell carcinoma of the lung (LSCC). Several studies indicate that THSD7A might at least play a role in the prognosis of different tumors. FAK seems to play an important role in lung cancer and is discussed as a potential therapeutic target. In addition, there is evidence that FAK-dependent signaling pathways might be affected by THSD7A. For that reason, we investigated the role of THSD7A as a potential tumor marker in LSCC and whether THSD7A expression has an impact on the expression level of FAK. A total of 101 LSCCs were analyzed by immunohistochemistry using tissue microarrays. THSD7A positivity was associated with poor overall survival in female patients and showed a relation to high FAK expression in this subgroup. To our knowledge, we are the first to report these correlations in lung cancer. The results might be proof of the assumed activation of FAK-dependent signaling pathways by THSD7A and that as a membrane-associated protein, THSD7A might serve as a putative therapeutic target in LSCC.
1. Introduction
Lung cancer is one of the most common types of human cancer and the leading cause of cancer-related deaths in the western world [1]. Squamous cell carcinoma represents one of the most common histological subtypes of lung cancer. Several established predictive markers exist for adenocarcinomas of the lung, which enable clinicians to perform targeted therapy for this cancer subtype. Such promising prognostic and predictive markers are missing in squamous cell carcinoma of the lung (LSCC), with the exception of PD-L1 and rare mutations in Epidermal Growth Factor Receptor (EGFR) and rearrangements in Anaplastic Lymphoma Kinase (ALK) [2,3,4]. Regarding the prognosis of LSCC, which is still poor, novel predictive (molecular) markers and targets are desirable.
In a recent study, we could show that positivity of Thrombospondin Type-1 Domain-Containing 7A (THSD7A) is associated with a high expression of Focal Adhesion Kinase (FAK) and with adverse clinicopathological parameters in prostate cancer [5]. THSD7A became known because of its involvement in the pathogenesis of membranous nephropathy (MN) [6,7,8]. There is also evidence of the participation of THSD7A in angiogenesis [9,10,11] and an association with obesity [12]. Furthermore, several studies indicate that THSD7A might at least play a role in the prognosis of different tumor types [13,14,15,16,17,18]. In addition to that, other groups report on THSD7A expression in different tumor types and a possible relationship between malignant diseases and MN [6,16,17,19,20,21,22,23,24,25].
There are a few studies that deal with THSD7A and lung cancer. However, the investigators concentrated rather on the coincidence of lung cancer and THSD7A-positive MN than on the role of THSD7A as a potential tumor marker in lung cancer [26,27,28] Data on the association between THSD7A expression and clinicopathological parameters in LSCC are missing so far.
There is evidence that Focal Adhesion Kinase (FAK) might be activated by THSD7A [5,10,11]. FAK is a protein tyrosine kinase that regulates cellular adhesion, motility, proliferation, and survival in various types of cells. FAK is overexpressed in several tumor types and is believed to play a role in tumor progression and metastasis [29,30,31,32]. For that reason, FAK is also discussed as a cancer target in various tumors [33,34,35,36,37]. In non-small cell lung cancer (NSCLC), FAK is reported to be overexpressed compared to normal lung tissue [38,39,40,41,42]. Furthermore, FAK seems to play a role in tumor progression and metastasis in NSCLC [43,44].
We conducted this study to investigate the role of THSD7A as a potential biomarker in LSCC and to see whether THSD7A positivity has an impact on the expression of FAK in its unphosphorylated form. For that, a previously described cohort of 101 tumors [41] was analyzed by immunohistochemistry (IHC) using tissue microarrays (TMAs).
In this former study, it was shown that the amplification of Fibroblast growth factor receptor 1 (FGFR1) is a frequent genetic alteration in LSCC with a mutation frequency of about 22%. FGFR1 gene amplification was associated with late tumor stages, and in female patients this alteration was linked to better overall survival [41].
Fibroblast growth factor receptors (FGFRs) are tyrosine kinase receptors regulating cell growth and cell proliferation through the stimulation of numerous intracellular signaling cascades. FGFRs are considered to be oncogenes, and alterations of FGFR are found in different tumor types. One of the most frequent alterations is FGFR1 gene amplification, notably occurring in ovarian cancer, head and neck cancer, urothelial cancer and lung cancer, with a frequency of 9 to 28% [45,46]. FGFR1 is considered to be a driver lesion in LSCC and even a potential biomarker for treatment of lung cancer [47]. ERK und FAK are considered to be two of the main depending intracellular pathways stimulated by FGFR1 in lung and ovarian cancer [48]. Furthermore, there is evidence that the FGFR1-depending activation of ERK and FAK affects epithelial-mesenchymal transition and leads to tumor growth and distant organ metastasis in lung cancer [49]. Several FGFR inhibitors have been developed in recent years. However, these agents showed only a low efficacy in clinical trials so far [50]. Hence, the prognostic and therapeutic value of FGFR1 gene amplification remains unclear. Based on the previously collected data on FGFR1 in LSCC, we were able to investigate a possible connection between FGFR1 with THSD7A and FAK, respectively.
2. Results
A total of 91 (90.1%) tumors were analyzable for THSD7A-IHC. A total of eight (8.8%) tumors showed at least a weak positivity with a membranous and/or cytoplasmic staining pattern.
Twenty-one female patients were analyzable for THSD7A, and three (14.3%) of them showed THSD7A positivity. Seventy male patients were analyzable for THSD7A, and five (7.1%) of them showed THSD7A positivity. Non-tumor tissue of the lung was mainly negative for THSD7A. Representative images are shown in Figure 1. In the subgroup of female patients, THSD7A positivity was associated with poor overall survival (p = 0.027, Figure 2A). No significant association with overall survival was seen for the whole cohort and for the subgroup of male patients (p = 0.91 and p = 0.37, respectively, Figure 2B,C). THSD7A positivity was linked to the keratinizing subtype of LSCC (p = 0.049), but there was no significant association with clinicopathological parameters, neither for the whole analyzed population nor for the subgroups of females and males. The results are shown in detail in Table 1, Table 2 and Table 3.
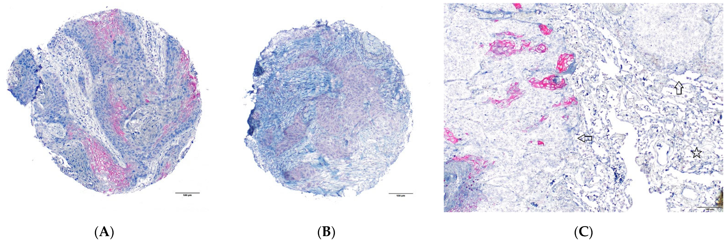
Figure 1.
THSD7A shows membranous and cytoplasmic staining pattern: (A) tumor cells with membranous staining and (B) tumor cells with cytoplasmic staining; (C) whole slide (large section validation) showing tumor cells (arrows) with at least focal THSD7A positivity, while the adjacent non-tumor tissue (star) is THSD7A-negative.

Figure 2.
(A) Association between THSD7A positivity and overall survival, female subgroup. (B) Association between THSD7A positivity and overall survival, male subgroup. (C) Association between THSD7A positivity and overall survival, whole cohort.
Table 1.
Association of THSD7A expression and FAK expression with clinicopathological parameters and with FGFR1, whole cohort.
Table 2.
Association of THSD7A expression and FAK expression with clinicopathological parameters and with FGFR1, female group.
Table 3.
Association of THSD7A expression and FAK expression with clinicopathological parameters and with FGFR1, males.
A total of 91 (90.1%) tumors were analyzable for FAK-IHC. A total of 75 (82.4%) tumors showed a low expression, and a total of 16 (17.6%) tumors showed a high expression with a cytoplasmic staining pattern, respectively. Twenty-one female patients were analyzable for FAK, and four (19.0%) of them showed a high FAK expression. Seventy male patients were analyzable for FAK, and twelve (17.1%) of them showed a high FAK expression. Non-tumor tissue of the lung at best revealed a very low cytoplasmic FAK expression. Representative images are shown in Figure 3.
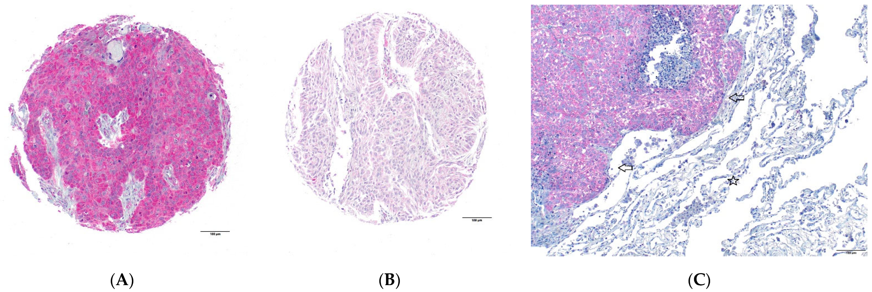
Figure 3.
FAK shows cytoplasmic staining pattern: (A) tumor cells with high FAK expression and (B) tumor cells with low FAK expression; (C) whole slide (large section validation) showing tumor cells (arrows) with a high FAK expression, while adjacent non-tumor tissue (star) shows, at best, a very low FAK expression.
In the subgroup of female patients, a high FAK expression was linked to poor overall survival (p = 0.058, Figure 4A). In the subgroup of male patients, a low FAK expression was linked to poor overall survival (p = 0.045, Figure 4B). No significant association was seen regarding the whole subgroup (p = 0.3, Figure 4C).

Figure 4.
(A) Association between FAK expression and overall survival, female subgroup. (B) Association between FAK expression and overall survival, male subgroup. (C) Association between FAK expression and overall survival, whole cohort.
There was no significant association between FAK expression and clinicopathological parameters, neither for the whole analyzed population nor for the subgroups of females and males. The results are shown in detail in Table 1, Table 2 and Table 3.
2.1. Association between THSD7A Positivity and FAK Expression
A total of 91 (90.1%) tumors were analyzable for FAK-IHC as well as for THSD7A-IHC. There was no significant association between THSD7A positivity and FAK expression regarding the whole population and the subgroup of male patients, but THSD7A positivity showed a tendency towards high FAK-expression (p = 0.080) in female patients. The results are shown in Table 4.
Table 4.
(A) Association between THSD7A positivity and FAK expression, female subgroup. (B) Association between THSD7A positivity and FAK expression, male subgroup. (C) Association between THSD7A positivity and FAK expression, whole cohort.
2.2. Association of THSD7A Positivity with FGFR1 Gene Amplification
2.3. Association of FAK Expression with FGFR1 Gene Amplification
3. Discussion
Squamous cell carcinoma represents one of the most common histological subtypes of lung cancer. Nonetheless, there still is quite a lack of prognostic and predictive markers for this tumor entity. With respect to the poor prognosis of LSCC, novel predictive (molecular) markers and targets are desirable.
In a recent study, we could show that THSD7A positivity is associated with high FAK expression in prostate cancer [5]. For that reason, we examined the role of THSD7A as a potential biomarker in squamous cell carcinomas of the lung and the association between THSD7A and FAK in this tumor entity.
Concerning the association between THSD7A expression and clinicopathological parameters in LSCC, data are missing so far. In this study, a total of eight (8.8%) tumors showed at least weak THSD7A positivity. Regarding the entire cohort, THSD7A positivity was linked to the keratinizing subtype of LSCC, but there was no significant association with any clinicopathological parameter, nor with the FAK expression level or FGFR1 gene amplification. The subdivision of the entire cohort into female and male patients, however, revealed very interesting correlations: THSD7A positivity was associated with poor overall survival and showed a tendency towards high FAK expression in the female cohort. No significant associations were seen in the male cohort in this regard.
We could not find a significant association between FAK expression and clinicopathological parameters or with the FGFR1 gene amplification status, neither for the whole analyzed population nor for the subgroups of females and males. These results are pretty much in the range of previously collected data, although, in contrast to others, we could find some interesting tendencies when dividing patients according to gender. In the subgroup of female patients, high FAK expression was linked to poor overall survival (p = 0.058), whereas in the subgroup of male patients, low FAK expression was linked to poor overall survival (p = 0.045).
Several groups analyzed FAK expression in lung cancer, though only a small number of studies deal with FAK expression in LSCC. Nan et al. report on an overexpression of FAK in premalignant lesions of the lung (squamous metaplasia and atypical adenomatous hyperplasia) using Western blot [51]. However, the number of analyzed samples is quite small (n = 13), and a statement concerning invasive tumors is missing. Wang et al. could not find a significant association between the activated/phosphorylated form of FAK and clinicopathological parameters in non-small cell lung cancer [38]. They reported a tendency towards a shorter survival time in the group with strong FAK expression, though this association did not reach significance. However, the analyzed cohort consisted of both squamous cell carcinomas and adenocarcinomas. Aboubakar et al. could show that the expression of both total FAK and activated FAK was significantly higher in lung cancer compared to normal lung tissue and was significantly higher in small-cell lung cancer compared to non-small-cell lung cancer. However, they could not find a significant association of the FAK expression status with recurrence-free and overall survival. It is also worth mentioning that only about one third of the analyzed NSCLC cohort consisted of LSCC [39]. Ji et al. also investigated FAK expression in different types of NSCLC [40]. They state that a high FAK expression (clone 4.47) is significantly correlated with tumor stage and lymph node metastasis as well as with poor overall survival. However, significant associations could now be demonstrated in the subgroup of LSCC.
Furthermore, others have shown that activation of FAK signaling is associated with EGFR-TKI resistance in NSCLC [52], although this is currently not of great importance for squamous cell carcinoma of the lung.
Several studies indicate that THSD7A might at least play a role in the prognosis of different tumor types and that it possibly activates FAK-dependent signaling pathways [5,9,11,13,14,15,16,17,18]. The aim of this study was to examine the role of THSD7A as a potential biomarker in LSCC. In addition, we were interested in the impact of THSD7A positivity on the expression level of FAK in its unphosphorylated form. An earlier study also enabled us to check whether these two proteins are related to FGFR1 gene amplification. In this former study, it was shown that FGFR1 amplification was linked to better overall survival in female patients and to late tumor stages in LSCC. Interestingly, only one THSD7A-positive case also showed an amplification in the FGFR1 gene. None of the THSD7A-positive tumors in female patients showed an FGFR1 gene amplification. In contrast to FGFR1 amplification, THSD7A positivity was correlated with poor overall survival in female patients. FGFR1 is a promising therapeutic target and prognostic marker in different tumor types [50,53]. Assuming that the amplification of FGFR1 might describe a specific manner of tumor development in LSCC, it is likely that THSD7A positivity describes a different manner of tumor development.
Like our recently published data on prostate cancer [5], THSD7A positivity showed at least a tendency towards high FAK expression in female patients with LSCC. This again might be proof of the assumed activation of FAK-dependent signaling pathways by THSD7A. High FAK expression was correlated with poor overall survival in this subgroup. Surprisingly, high FAK expression was linked to better overall survival in male patients.
A definite weakness of this study is that we only analyzed a relatively small cohort, and the group of female patients was even smaller than the group of male patients. Nevertheless, the prognostic impact of THSD7A positivity in the female group is quite striking. Furthermore, this analysis was conducted as a pure IHC-study, for reasons of feasibility as well. Therefore, it is not possible to make clear statements about functionality.
To our knowledge, we are the first to report on the association of THSD7A with clinicopathological parameters and overall survival in LSCC. We are also the first who investigated the relationship between THSD7A positivity and FAK expression status in LSCC. Based on a former study, we were able to compare the expression status of THSD7A and FAK with FGFR1 gene amplification in LSCC.
4. Materials and Methods
4.1. Material
A previously described cohort of primary LSCC was brought into a tissue microarray format. The samples came from 101 patients who were surgically treated between 2006 and 2013 at the Department of Thoracic and Cardiovascular Surgery of the University Hospital of Saarland, Germany. Details are shown in Table 1.
4.2. Tissue Microarrays
TMA construction was performed using a manual tissue Arrayer according to the manufacturer’s directions (Manual Tissue Arrayer, AlphaMetrix Biotech, Rödermark, Germany). Tissue cylinders with a diameter of 1.0 mm each were punched out of selected paraffin-embedded tumor tissue blocks and were brought into empty “recipient” paraffin blocks. Sections from the TMA blocks measuring 4 µm were transferred to adhesion slides (Matsunami TOMO) and were used for immunohistochemistry (IHC). For a total of 19 cases, whole slide validation was carried out to increase the number of analyzable cases.
4.3. Immunohistochemistry
The TMA blocks were cut into 4 µm sections, transferred to adhesive slides (Matsunami TOMO) using a water bath (46 °C) and dried overnight at 37 °C. Staining was performed with Benchmark Ultra (Ventana Medical Systems) using primary antibody specific for THSD7A (rabbit polyclonal antibody, Sigma Aldrich, St. Louis, MO, USA; cat# HPA000923; dilution 1:150) and FAK (mouse monoclonal antibody (clone 4.47), Millipore; cat# 05-537; dilution 1:100).
Bound antibody was then visualized using the ultraView Universal Alkaline Phosphatase Red Detection (Roche, Basel, Switzerland) according to the manufacturer‘s directions. Heat-induced antigen retrieval at 97 °C was performed with CC2 buffer (Ventana/Roche, Basel, Switzerland) for 56 minutes (THSD7A) and with CC1 buffer (Ventana) for 64 minutes (FAK), respectively.
For evaluation of THSD7A expression, the percentage of positive cells was estimated, and the staining intensity was recorded semiquantitatively as 0, 1+, 2+, or 3+ for each tissue sample. This was carried out by an experienced pathologist (P.R.S.). The staining results were categorized into the following four groups for statistical analysis: Tumors without any staining were considered negative. Tumors with 1+ staining in ≤70% or with 2+ staining in ≤30% of cells were considered weakly positive. Tumors with 1+ staining in >70%, with 2+ staining in >30% but ≤70%, and with 3+ staining in <30% of cells were considered moderately positive. Tumors with 2+ staining in >70% and with 3+ staining in ≥30% of cells were considered strongly positive. To better define THSD7A expression, we dichotomized THSD7A expression as negative (no staining in any tumor cell) and positive (at least 1+ staining in at least a few tumor cells).
For evaluation of FAK expression, the percentage of positive cells was estimated, and the staining intensity was recorded semiquantitatively as 0, 1+, 2+, or 3+ for each tissue sample. To better define FAK expression, we dichotomized FAK expression as low (tumors with 0 staining, 1+ staining, 2+ staining in ≤70% and with 3+ staining in ≤30% of cells) and high (tumors with 2+ staining in >70% of cells and 3+ staining in >30% of cells).
4.4. Statistics
Statistical analysis was performed using R (R Corporation 2021, R Foundation for Statistical Computing, Vienna, Austria). Pearson’s Chi-squared test (with Yate’s correction for continuity) was used for testing the null hypothesis of independence of two categorical variables. Kaplan–Meier curves and the log-rank test were used to test for differences in the survival time between the subgroups.
5. Conclusions
THSD7A positivity predicts poor overall survival in female patients with squamous cell carcinoma of the lung and shows a relation to high FAK expression and FGFR1 wild type in this subgroup. This might be proof of the assumed activation of FAK-dependent signaling pathways by THSD7A. As a membrane-associated protein, THSD7A might serve as a putative therapeutic target in LSCC therapy.
Author Contributions
Conceptualization, P.R.S.; formal analysis, J.H.; investigation, F.A.F., J.H. and P.R.S.; resources, R.M.B. and F.L.; writing—original draft preparation, P.R.S. and F.A.F.; writing—review and editing, R.M.B., F.L. and J.H.; supervision, P.R.S. and R.M.B. All authors have read and agreed to the published version of the manuscript.
Funding
This research received funding for materials from the Staatskanzlei des Saarlandes.
Institutional Review Board Statement
The study was conducted in accordance with the Declaration of Helsinki. The study has been approved by the ethics committee of the medical chamber of the Saarland, Germany (Identification number 282/19).
Informed Consent Statement
Informed consent was obtained from all subjects involved in the study.
Data Availability Statement
The datasets used and analyzed in this paper are available from the corresponding author on reasonable request.
Acknowledgments
The authors thank Martin Ertz for his great technical support.
Conflicts of Interest
The authors declare no conflict of interest.
References
- Sung, H.; Ferlay, J.; Siegel, R.L.; Laversanne, M.; Soerjomataram, I.; Jemal, A.; Bray, F. Global Cancer Statistics 2020: GLOBOCAN Estimates of Incidence and Mortality Worldwide for 36 Cancers in 185 Countries. CA Cancer J. Clin. 2021, 71, 209–249. [Google Scholar] [CrossRef]
- Jones, G.S.; Baldwin, D.R. Recent Advances in the Management of Lung Cancer. Clin. Med. 2018, 18, s41–s46. [Google Scholar] [CrossRef]
- Alexander, M.; Halmos, B. VEGF Inhibitors in EGFR-Mutated Lung Cancer: A Never-Ending Story? Ann. Transl. Med. 2018, 6, 446. [Google Scholar] [CrossRef]
- Socinski, M.A.; Obasaju, C.; Gandara, D.; Hirsch, F.R.; Bonomi, P.; Bunn, P.A.J.; Kim, E.S.; Langer, C.J.; Natale, R.B.; Novello, S.; et al. Current and Emergent Therapy Options for Advanced Squamous Cell Lung Cancer. J. Thorac. Oncol. Off. Publ. Int. Assoc. Study Lung Cancer 2018, 13, 165–183. [Google Scholar] [CrossRef]
- Flockerzi, F.A.; Hohneck, J.; Saar, M.; Bohle, R.M.; Stahl, P.R. THSD7A Positivity Is Associated with High Expression of FAK in Prostate Cancer. Diagnostics 2023, 13, 221. [Google Scholar] [CrossRef]
- Hoxha, E.; Wiech, T.; Stahl, P.R.; Zahner, G.; Tomas, N.M.; Meyer-Schwesinger, C.; Wenzel, U.; Janneck, M.; Steinmetz, O.M.; Panzer, U.; et al. A Mechanism for Cancer-Associated Membranous Nephropathy. N. Engl. J. Med. 2016, 374, 1995–1996. [Google Scholar] [CrossRef]
- Tomas, N.M.; Beck, L.H.; Meyer-Schwesinger, C.; Seitz-Polski, B.; Ma, H.; Zahner, G.; Dolla, G.; Hoxha, E.; Helmchen, U.; Dabert-Gay, A.-S.; et al. Thrombospondin Type-1 Domain-Containing 7A in Idiopathic Membranous Nephropathy. N. Engl. J. Med. 2014, 371, 2277–2287. [Google Scholar] [CrossRef]
- Tomas, N.M.; Hoxha, E.; Reinicke, A.T.; Fester, L.; Helmchen, U.; Gerth, J.; Bachmann, F.; Budde, K.; Koch-Nolte, F.; Zahner, G.; et al. Autoantibodies against Thrombospondin Type 1 Domain-Containing 7A Induce Membranous Nephropathy. J. Clin. Investig. 2016, 126, 2519–2532. [Google Scholar] [CrossRef]
- Kuo, W.; Wang, C.-H.; Wu, H.-C.; Chang, S.-J.; Chuang, Y.-J. Soluble THSD7A Is an N-Glycoprotein That Promotes Endothelial Cell Migration and Tube Formation in Angiogenesis. PLoS ONE 2011, 6, e29000. [Google Scholar] [CrossRef]
- Wang, C.-H.; Chen, I.-H.; Kuo, M.-W.; Su, P.-T.; Lai, Z.-Y.; Wang, C.-H.; Huang, W.-C.; Hoffman, J.; Kuo, C.J.; You, M.-S.; et al. Zebrafish Thsd7a Is a Neural Protein Required for Angiogenic Patterning During Development. Dev. Dyn. 2011, 240, 1412–1421. [Google Scholar] [CrossRef]
- Wang, C.H.; Su, P.T.; Du, X.Y.; Kuo, M.W.; Lin, C.Y.; Yang, C.C.; Chan, H.S.; Chang, S.J.; Kuo, C.; Seo, K.; et al. Thrombospondin Type I Domain Containing 7A (THSD7A) Mediates Endothelial Cell Migration and Tube Formation. J. Cell. Physiol. 2010, 222, 685–694. [Google Scholar] [CrossRef]
- Ahmad, M.; Nongmaithem, S.S.; Krishnaveni, G.V.; Fall, C.H.D.; Yajnik, C.S.; Chandak, G.R. Lack of Replication of Association of THSD7A with Obesity. Int. J. Obes. 2016, 40, 725–726. [Google Scholar] [CrossRef]
- Stahl, P.R.; Hoxha, E.; Wiech, T.; Schröder, C.; Simon, R.; Stahl, R.A.K. THSD7A Expression in Human Cancer. Genes Chromosom. Cancer 2017, 56, 314–327. [Google Scholar] [CrossRef]
- Aktepe, O.H.; Gundogdu, F.; Kosemehmetoglu, K.; Yeter, H.H.; Aksoy, S.; Guven, D.C.; Sahin, T.K.; Yuce, D.; Kertmen, N.; Dizdar, O.; et al. THSD7A Expression: A Novel Immunohistochemical Determinant in Predicting Overall Survival of Metastatic Renal Cell Carcinoma Treated with Targeted Therapy. Ir. J. Med. Sci. 2022, 191, 1561–1567. [Google Scholar] [CrossRef]
- Aktepe, O.H.; Koray Sahin, T.; Guner, G.; Can Guven, D.; Hasan Yeter, H.; Kurtulan, O.; Ozercan, I.H.; Dizdar, O.; Yalcin, S. Correlation Between THSD7A Expression and Tumor Characteristics of Azoxymethane-Induced Colon Cancer Model in Rats. Turk. J. Gastroenterol. 2021, 32, 1049–1056. [Google Scholar] [CrossRef]
- Xian, L.; Dong, D.; Luo, J.; Zhuo, L.; Li, K.; Zhang, P.; Wang, W.; Xu, Y.; Xu, G.; Wang, L.; et al. Expression of THSD7A in Neoplasm Tissues and Its Relationship with Proteinuria. BMC Nephrol. 2019, 20, 332. [Google Scholar] [CrossRef]
- Hou, Z.; Abudureheman, A.; Wang, L.; Hasim, A.; Ainiwaer, J.; Zhang, H.; Niyaz, M.; Upur, H.; Sheyhidin, I. Expression, Prognosis and Functional Role of Thsd7a in Esophageal Squamous Cell Carcinoma of Kazakh Patients, Xinjiang. Oncotarget 2017, 8, 60539–60557. [Google Scholar] [CrossRef]
- Oishi, M.; Munesue, S.; Harashima, A.; Nakada, M.; Yamamoto, Y.; Hayashi, Y. Aquaporin 1 Elicits Cell Motility and Coordinates Vascular Bed Formation by Downregulating Thrombospondin Type-1 Domain-Containing 7A in Glioblastoma. Cancer Med. 2020, 9, 3904–3917. [Google Scholar] [CrossRef]
- Zhang, Z.; Gong, T.; Rennke, H.G.; Hayashi, R. Duodenal Schwannoma as a Rare Association With Membranous Nephropathy: A Case Report. Am. J. Kidney Dis. 2019, 73, 278–280. [Google Scholar] [CrossRef]
- Lin, X.; Kapoor, A.; Gu, Y.; Chow, M.J.; Peng, J.; Major, P.; Tang, D. Cancers Construction of a Novel Multigene Panel Potently Predicting Poor Prognosis in Patients with Clear Cell Renal Cell Carcinoma. Cancers 2020, 12, 3471. [Google Scholar] [CrossRef]
- Lin, F.; Zhang, D.; Chang, J.; Tang, X.; Guan, W.; Jiang, G.; Zhu, C.; Bian, F. THSD7A-Associated Membranous Nephropathy in a Patient with Neurofibromatosis Type 1. Eur. J. Med. Genet. 2018, 61, 84–88. [Google Scholar] [CrossRef]
- Wang, T.; Zhang, Y.; Liu, M.; Kang, X.; Kang, L.; Zhang, H. THSD7A as a Marker for Paraneoplastic Membranous Nephropathy. Int. Urol. Nephrol. 2019, 51, 371–373. [Google Scholar] [CrossRef]
- Zhang, D.; Zhang, C.; Bian, F.; Zhang, W.; Jiang, G.; Zou, J. Clinicopathological Features in Membranous Nephropathy with Cancer: A Retrospective Single-Center Study and Literature Review. Int. J. Biol. Mrk. 2019, 34, 406–413. [Google Scholar] [CrossRef]
- Zhang, C.; Zhang, M.; Chen, D.; Ren, Q.; Xu, W.; Zeng, C.; Qin, W.; Liu, Z. Features of Phospholipase A2 Receptor and Thrombospondin Type-1 Domain-Containing 7A in Malignancy-Associated Membranous Nephropathy. J. Clin. Pathol. 2019, 72, 705–711. [Google Scholar] [CrossRef]
- Taguchi, S.; Koshikawa, Y.; Ohyama, S.; Miyachi, H.; Ozawa, H.; Asada, H. Thrombospondin Type-1 Domain-Containing 7A-Associated Membranous Nephropathy after Resection of Rectal Cancer: A Case Report. BMC Nephrol. 2019, 20, 43. [Google Scholar] [CrossRef]
- Hara, S.; Tsuji, T.; Fukasawa, Y.; Hisano, S.; Morito, S.; Hyodo, T.; Goto, S.; Nishi, S.; Yoshimoto, A.; Itoh, T. Clinicopathological Characteristics of Thrombospondin Type 1 Domain-Containing 7A-Associated Membranous Nephropathy. Virchows Arch. Int. J. Pathol. 2019, 474, 735–743. [Google Scholar] [CrossRef]
- Xu, Q.; Zou, G.; Zhuo, L.; Gao, H.; Li, W. Lung Cancer Patients with Nephropathy as the First Manifestation: Literature Review and Clinical Study Report. Front. Oncol. 2022, 12, 1002155. [Google Scholar] [CrossRef]
- Chen, M.; Zhang, L.; Zhong, W.; Zheng, K.; Ye, W.; Wang, M. Case Report: THSD7A-Positive Membranous Nephropathy Caused by Tislelizumab in a Lung Cancer Patient. Front. Immunol. 2021, 12, 619147. [Google Scholar] [CrossRef]
- Cance, W.G.; Harris, J.E.; Iacocca, M.V.; Roche, E.; Yang, X.; Chang, J.; Simkins, S.; Xu, L. Immunohistochemical Analyses of Focal Adhesion Kinase Expression in Benign and Malignant Human Breast and Colon Tissues: Correlation with Preinvasive and Invasive Phenotypes. Clin. Cancer Res. 2000, 6, 2417–2423. [Google Scholar]
- Canel, M.; Secades, P.; Rodrigo, J.-P.; Cabanillas, R.; Herrero, A.; Suarez, C.; Chiara, M.-D. Overexpression of Focal Adhesion Kinase in Head and Neck Squamous Cell Carcinoma Is Independent of Fak Gene Copy Number. Clin. Cancer Res. 2006, 12, 3272–3279. [Google Scholar] [CrossRef]
- Ocak, S.; Chen, H.; Callison, C.; Gonzalez, A.L.; Massion, P.P. Expression of Focal Adhesion Kinase in Small-Cell Lung Carcinoma. Cancer 2012, 118, 1293–1301. [Google Scholar] [CrossRef]
- Yoon, H.; Dehart, J.P.; Murphy, J.M.; Lim, S.-T.S. Understanding the Roles of FAK in Cancer: Inhibitors, Genetic Models, and New Insights. J. Histochem. Cytochem. 2015, 63, 114–128. [Google Scholar] [CrossRef]
- Halder, J.; Lin, Y.G.; Merritt, W.M.; Spannuth, W.A.; Nick, A.M.; Honda, T.; Kamat, A.A.; Han, L.Y.; Kim, T.J.; Lu, C.; et al. Therapeutic Efficacy of a Novel Focal Adhesion Kinase Inhibitor TAE226 in Ovarian Carcinoma. Cancer Res. 2007, 67, 10976–10983. [Google Scholar] [CrossRef]
- Walsh, C.; Tanjoni, I.; Uryu, S.; Tomar, A.; Nam, J.-O.; Luo, H.; Phillips, A.; Patel, N.; Kwok, C.; McMahon, G.; et al. Oral Delivery of PND-1186 FAK Inhibitor Decreases Tumor Growth and Spontaneous Breast to Lung Metastasis in Pre-Clinical Models. Cancer Biol. Ther. 2010, 9, 778–790. [Google Scholar] [CrossRef]
- Golubovskaya, V.M.; Figel, S.; Ho, B.T.; Johnson, C.P.; Yemma, M.; Huang, G.; Zheng, M.; Nyberg, C.; Magis, A.; Ostrov, D.A.; et al. A Small Molecule Focal Adhesion Kinase (FAK) Inhibitor, Targeting Y397 Site: 1-(2-Hydroxyethyl)-3, 5, 7-Triaza-1-Azoniatricyclo [3.3.1.1(3,7)]Decane; Bromide Effectively Inhibits FAK Autophosphorylation Activity and Decreases Cancer Cell Viability, Clonogenicity and Tumor Growth In Vivo. Carcinogenesis 2012, 33, 1004–1013. [Google Scholar] [CrossRef]
- Dai, F.; Chen, Y.; Huang, L.; Wang, J.; Zhang, T.; Li, J.; Tong, W.; Liu, M.; Yi, Z. A Novel Synthetic Small Molecule YH-306 Suppresses Colorectal Tumour Growth and Metastasis via FAK Pathway. J. Cell. Mol. Med. 2015, 19, 383–395. [Google Scholar] [CrossRef]
- Du, C.; Zheng, Z.; Li, D.; Chen, L.; Li, N.; Yi, X.; Yang, Y.; Liu, W.; Xie, X.; Xie, M. BKCa Promotes Growth and Metastasis of Prostate Cancer through Facilitating the Coupling between Avβ3 Integrin and FAK. Oncotarget 2016, 7, 40174–40188. [Google Scholar] [CrossRef]
- Wang, B.; Qi, X.; Li, D.; Feng, M.; Meng, X.; Fu, S. Expression of PY397 FAK Promotes the Development of Non-Small Cell Lung Cancer. Oncol. Lett. 2016, 11, 979–983. [Google Scholar] [CrossRef]
- Aboubakar Nana, F.; Hoton, D.; Ambroise, J.; Lecocq, M.; Vanderputten, M.; Sibille, Y.; Vanaudenaerde, B.; Pilette, C.; Bouzin, C.; Ocak, S. Increased Expression and Activation of FAK in Small-Cell Lung Cancer Compared to Non-Small-Cell Lung Cancer. Cancers 2019, 11, 1526. [Google Scholar] [CrossRef]
- Ji, H.-F.; Pang, D.; Fu, S.-B.; Jin, Y.; Yao, L.; Qi, J.-P.; Bai, J. Overexpression of Focal Adhesion Kinase Correlates with Increased Lymph Node Metastasis and Poor Prognosis in Non-Small-Cell Lung Cancer. J. Cancer Res. Clin. Oncol. 2013, 139, 429–435. [Google Scholar] [CrossRef]
- Flockerzi, F.A.; Roggia, C.; Langer, F.; Holleczek, B.; Bohle, R.M. FGFR1 Gene Amplification in Squamous Cell Carcinomas of the Lung: A Potential Favorable Prognostic Marker for Women and for Patients with Advanced Cancer. Virchows Arch. Int. J. Pathol. 2018, 472, 759–769. [Google Scholar] [CrossRef]
- Carelli, S.; Zadra, G.; Vaira, V.; Falleni, M.; Bottiglieri, L.; Nosotti, M.; Di Giulio, A.M.; Gorio, A.; Bosari, S. Up-Regulation of Focal Adhesion Kinase in Non-Small Cell Lung Cancer. Lung Cancer 2006, 53, 263–271. [Google Scholar] [CrossRef]
- Zhang, X.; Liu, Y.; Fan, C.; Wang, L.; Li, A.; Zhou, H.; Cai, L.; Miao, Y.; Li, Q.; Qiu, X.; et al. Lasp1 Promotes Malignant Phenotype of Non-Small-Cell Lung Cancer via Inducing Phosphorylation of FAK-AKT Pathway. Oncotarget 2017, 8, 75102–75113. [Google Scholar] [CrossRef]
- Zhou, X.; Yang, F.; Zhang, Q.; Miao, Y.; Hu, X.; Li, A.; Hou, G.; Wang, Q.; Kang, J. FAM129B Promoted Tumor Invasion and Proliferation via Facilitating the Phosphorylation of FAK Signaling and Associated with Adverse Clinical Outcome of Non-Small Cell Lung Cancer Patients. Oncotargets Ther. 2018, 11, 7493–7501. [Google Scholar] [CrossRef]
- Miao, J.-L.; Liu, R.-J.; Zhou, J.-H.; Meng, S.-H. Fibroblast Growth Factor Receptor 1 Gene Amplification in Nonsmall Cell Lung Cancer. Chin. Med. J. 2016, 129, 2868–2872. [Google Scholar] [CrossRef]
- Krook, M.A.; Reeser, J.W.; Ernst, G.; Barker, H.; Wilberding, M.; Li, G.; Chen, H.-Z.; Roychowdhury, S. Fibroblast Growth Factor Receptors in Cancer: Genetic Alterations, Diagnostics, Therapeutic Targets and Mechanisms of Resistance. Br. J. Cancer 2021, 124, 880–892. [Google Scholar] [CrossRef]
- Schildhaus, H.-U.; Nogova, L.; Wolf, J.; Buettner, R. FGFR1 Amplifications in Squamous Cell Carcinomas of the Lung: Diagnostic and Therapeutic Implications. Transl. Lung Cancer Res. 2013, 2, 92–100. [Google Scholar] [CrossRef]
- Ou, L.; He, X.; Liu, N.; Song, Y.; Li, J.; Gao, L.; Huang, X.; Deng, Z.; Wang, X.; Lin, S. Sialylation of FGFR1 by ST6Gal-I Overexpression Contributes to Ovarian Cancer Cell Migration and Chemoresistance. Mol. Med. Rep. 2020, 21, 1449–1460. [Google Scholar] [CrossRef]
- Chang, M.-M.; Wu, S.-Z.; Yang, S.-H.; Wu, C.-C.; Wang, C.-Y.; Huang, B.-M. FGF9/FGFR1 Promotes Cell Proliferation, Epithelial-Mesenchymal Transition, M2 Macrophage Infiltration and Liver Metastasis of Lung Cancer. Transl. Oncol. 2021, 14, 101208. [Google Scholar] [CrossRef]
- Pacini, L.; Jenks, A.D.; Lima, N.C.; Huang, P.H. Targeting the Fibroblast Growth Factor Receptor (FGFR) Family in Lung Cancer. Cells 2021, 10, 1154. [Google Scholar] [CrossRef]
- Nan, Y.; Du, J.; Ma, L.; Jiang, H.; Jin, F.; Yang, S. Early Candidate Biomarkers of Non-Small Cell Lung Cancer Are Screened and Identified in Premalignant Lung Lesions. Technol. Cancer Res. Treat. 2017, 16, 66–74. [Google Scholar] [CrossRef]
- Yue, J.; Lv, D.; Wang, C.; Li, L.; Zhao, Q.; Chen, H.; Xu, L. Epigenetic Silencing of MiR-483-3p Promotes Acquired Gefitinib Resistance and EMT in EGFR-Mutant NSCLC by Targeting Integrin Β3. Oncogene 2018, 37, 4300–4312. [Google Scholar] [CrossRef]
- Xiao, J.-F.; Caliri, A.W.; Duex, J.E.; Theodorescu, D. Targetable Pathways in Advanced Bladder Cancer: FGFR Signaling. Cancers 2021, 13, 4891. [Google Scholar] [CrossRef]
Disclaimer/Publisher’s Note: The statements, opinions and data contained in all publications are solely those of the individual author(s) and contributor(s) and not of MDPI and/or the editor(s). MDPI and/or the editor(s) disclaim responsibility for any injury to people or property resulting from any ideas, methods, instructions or products referred to in the content. |
© 2023 by the authors. Licensee MDPI, Basel, Switzerland. This article is an open access article distributed under the terms and conditions of the Creative Commons Attribution (CC BY) license (https://creativecommons.org/licenses/by/4.0/).





