CD276 as a Candidate Target for Immunotherapy in Medullary Thyroid Cancer
Abstract
1. Introduction
2. Results
2.1. Characteristics at Presentation and Primary Treatment
2.2. Response to Therapy and Final Follow-Up
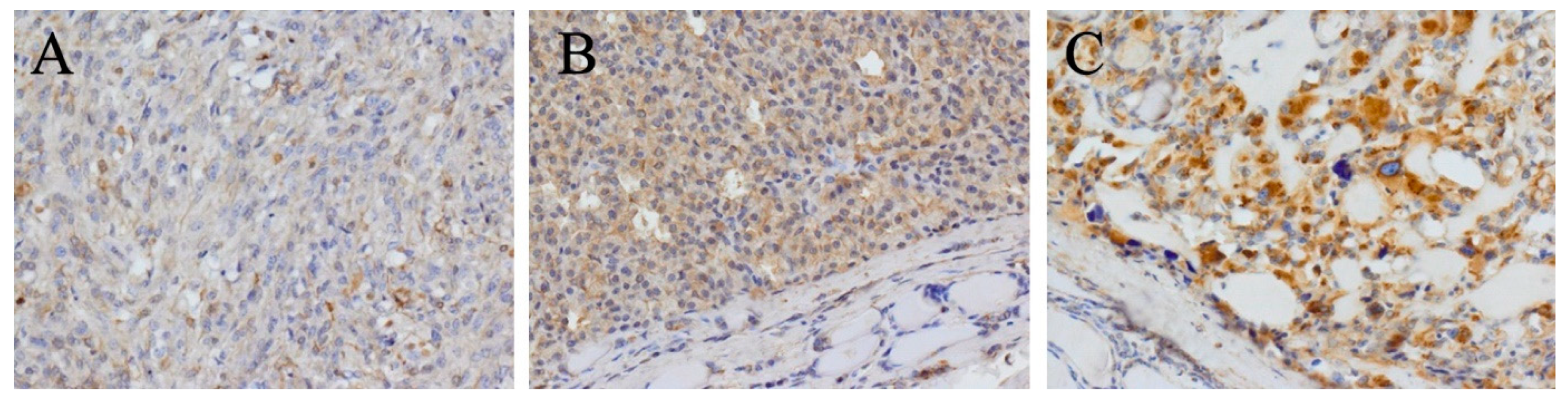
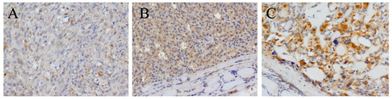
2.3. Relationship between the Intensity of Immunostaining and the Percentage of CD276 Immunoreactive Cells and Histopathologic Factors
3. Discussion
4. Materials and Methods
4.1. Patients
4.2. Immunohistochemistry
4.3. Statistical Analysis
- Study strength
- Study limitations
- Future direction
- Practical value
- Conclusions
Supplementary Materials
Author Contributions
Funding
Institutional Review Board Statement
Informed Consent Statement
Data Availability Statement
Conflicts of Interest
References
- Wells, S.A.; Asa, S.L.; Dralle, H.; Elisei, R.; Evans, D.B.; Gagel, R.F.; Lee, N.; Machens, A.; Moley, J.F.; Pacini, F.; et al. Revised American Thyroid Association guidelines for the management of medullary thyroid carcinoma. Thyroid 2015, 25, 567–610. [Google Scholar] [CrossRef] [PubMed]
- Machens, A.; Schneyer, U.; Holzhausen, H.-J.; Dralle, H. Prospects of Remission in Medullary Thyroid Carcinoma According to Basal Calcitonin Level. J. Clin. Endocrinol. Metab. 2005, 90, 2029–2034. [Google Scholar] [CrossRef]
- Filetti, S.; Durante, C.; Hartl, D.; Leboulleux, S.; Locati, L.; Newbold, K.; Papotti, M.; Berruti, A. Thyroid cancer: ESMO Clinical Practice Guidelines for diagnosis, treatment and follow-up. Ann. Oncol. 2019, 30, 1856–1883. [Google Scholar] [CrossRef] [PubMed]
- Scollo, C.; Baudin, E.; Travagli, J.-P.; Caillou, B.; Bellon, N.; Leboulleux, S.; Schlumberger, M. Rationale for central and bilateral lymph node dissection in sporadic and hereditary medullary thyroid cancer. J. Clin. Endocrinol. Metab. 2003, 88, 2070–2075. [Google Scholar] [CrossRef] [PubMed]
- Leboulleux, S.; Baudin, E.; Travagli, J.-P.; Schlumberger, M. Medullary thyroid carcinoma. Clin. Endocrinol. 2004, 61, 299–310. [Google Scholar] [CrossRef]
- Hadoux, J.; Schlumberger, M. Chemotherapy and tyrosine-kinase inhibitors for medullary thyroid cancer. Best Pract. Res. Clin. Endocrinol. Metab. 2017, 31, 335–347. [Google Scholar] [CrossRef]
- Schott, M.; Seissler, J.; Lettmann, M.; Fouxon, V.; Scherbaum, W.A.; Feldkamp, J. Immunotherapy for medullary thyroid carcinoma by dendritic cell vaccination. J. Clin. Endocrinol. Metab. 2001, 86, 4965–4969. [Google Scholar] [CrossRef]
- Bachleitner-Hofmann, T.; Friedl, J.; Hassler, M.; Hayden, H.; Dubsky, P.; Sachet, M.; Rieder, E.; Pfragner, R.; Brostjan, C.; Riss, S.; et al. Pilot trial of autologous dendritic cells loaded with tumor lysate(s) from allogeneic tumor cell lines in patients with metastatic medullary thyroid carcinoma. Oncol. Rep. 2009, 21, 1585–1592. [Google Scholar] [CrossRef]
- Bilusic, M.; Heery, C.R.; Arlen, P.M.; Rauckhorst, M.; Apelian, D.; Tsang, K.Y.; Tucker, J.A.; Jochems, C.; Schlom, J.; Gulley, J.L.; et al. Phase I trial of a recombinant yeast-CEA vaccine (GI-6207) in adults with metastatic CEA-expressing carcinoma. Cancer Immunol. Immunother. 2014, 63, 225–234. [Google Scholar] [CrossRef]
- Markham, A. Selpercatinib: First Approval. Drugs 2020, 80, 1119–1124. [Google Scholar] [CrossRef]
- Hińcza-Nowak, K.; Kowalik, A.; Walczyk, A.; Pałyga, I.; Gąsior-Perczak, D.; Płusa, A.; Kopczyński, J.; Chrapek, M.; Góźdź, S.; Kowalska, A. Immune Profiling of Medullary Thyroid Cancer—An Opportunity for Immunotherapy. Genes 2021, 12, 1534. [Google Scholar] [CrossRef] [PubMed]
- Liu, S.; Liang, J.; Liu, Z.; Zhang, C.; Wang, Y.; Watson, A.H.; Zhou, C.; Zhang, F.; Wu, K.; Zhang, F.; et al. The Role of CD276 in Cancers. Front. Oncol. 2021, 11, 654684. [Google Scholar] [CrossRef] [PubMed]
- Kuo, E.J.; Sho, S.; Li, N.; Zanocco, K.A.; Yeh, M.W.; Livhits, M.J. Risk Factors Associated With Reoperation and Disease-Specific Mortality in Patients with Medullary Thyroid Carcinoma. JAMA Surg. 2018, 153, 52–59. [Google Scholar] [CrossRef] [PubMed]
- Girelli, M.; Nacamulli, D.; Pelizzo, M.; DE Vido, D.; Mian, C.; Piccolo, M.; Busnardo, B. Medullary thyroid carcinoma: Clinical features and long-term follow-up of seventy-eight patients treated between 1969 and 1986. Thyroid 1998, 8, 517–523. [Google Scholar] [CrossRef]
- Modigliani, E.; Cohen, R.; Campos, J.-M.; Conte-Devolx, B.; Maes, B.; Boneu, A.; Schlumberger, M.; Bigorgne, J.-C.; Dumontier, P.; Leclerc, L.; et al. Prognostic factors for survival and for biochemical cure in medullary thyroid carcinoma: Results in 899 patients. The GETC Study Group. Groupe d’étude des tumeurs à calcitonine. Clin. Endocrinol. 1998, 48, 265–273. [Google Scholar] [CrossRef] [PubMed]
- Roman, S.; Lin, R.; Sosa, J.A. Prognosis of medullary thyroid carcinoma: Demographic, clinical, and pathologic predictors of survival in 1252 cases. Cancer 2006, 107, 2134–2142. [Google Scholar] [CrossRef]
- Wells, S.A., Jr.; Robinson, B.G.; Gagel, R.F.; Dralle, H.; Fagin, J.A.; Santoro, M.; Baudin, E.; Elisei, R.; Jarzab, B.; Vasselli, J.R.; et al. Vandetanib in patients with locally advanced or metastatic medullary thyroid cancer: A randomized, double-blind phase III trial. J. Clin. Oncol. 2012, 30, 134–141. [Google Scholar] [CrossRef]
- Subbiah, V.; Velcheti, V.; Tuch, B.B.; Ebata, K.; Busaidy, N.L.; Cabanillas, M.E.; Wirth, L.J.; Stock, S.; Smith, S.; Lauriault, V.; et al. Selective RET kinase inhibition for patients with RET-altered cancers. Ann Oncol. 2018, 29, 1869–1876. [Google Scholar] [CrossRef]
- Hofmeyer, K.A.; Ray, A.; Zang, X. The contrasting role of B7-H3. Proc. Natl. Acad. Sci. USA 2008, 105, 10277–10278. [Google Scholar] [CrossRef]
- Zou, W.; Chen, L. Inhibitory B7-family molecules in the tumour microenvironment. Nat. Rev. Immunol. 2008, 8, 467–477. [Google Scholar] [CrossRef]
- Chapoval, A.I.; Ni, J.; Lau, J.S.; Wilcox, R.A.; Flies, D.B.; Liu, D.; Dong, H.; Sica, G.L.; Zhu, G.; Tamada, K.; et al. B7-H3: A costimulatory molecule for T cell activation and IFN-γ production. Nat. Immunol. 2001, 2, 269–274. [Google Scholar] [CrossRef] [PubMed]
- Ingebrigtsen, V.A.; Boye, K.; Tekle, C.; Nesland, J.M.; Flatmark, K.; Fodstad, O. B7-H3 expression in colorectal cancer: Nuclear localization strongly predicts poor outcome in colon cancer. Int. J. Cancer 2012, 131, 2528–2536. [Google Scholar] [CrossRef] [PubMed]
- Chen, W.; Liu, P.; Wang, Y.; Nie, W.; Li, Z.; Xu, W.; Li, F.; Zhou, Z.; Zhao, M.; Liu, H. Characterization of a soluble B7-H3 (sB7-H3) spliced from the intron and analysis of sB7-H3 in the sera of patients with hepatocellular carcinoma. PLoS ONE 2013, 8, e76965. [Google Scholar] [CrossRef]
- Xie, C.; Liu, D.; Chen, Q.; Yang, C.; Wang, B.; Wu, H. Soluble B7-H3 promotes the invasion and metastasis of pancreatic carcinoma cells through the TLR4/NF-κB pathway. Sci. Rep. 2016, 6, 27528. [Google Scholar] [CrossRef]
- Flem-Karlsen, K.; Fodstad, Ø.; Tan, M.; Nunes-Xavier, C.E. B7-H3 in Cancer—Beyond Immune Regulation. Trends Cancer 2018, 4, 401–404. [Google Scholar] [CrossRef] [PubMed]
- Zhou, W.-T.; Jin, W.-L. B7-H3/CD276: An Emerging Cancer Immunotherapy. Front. Immunol. 2021, 12, 701006. [Google Scholar] [CrossRef] [PubMed]
- Picarda, E.; Ohaegbulam, K.C.; Zang, X. Molecular Pathways: Targeting B7-H3 (CD276) for Human Cancer Immunotherapy. Clin. Cancer Res. 2016, 22, 3425–3431. [Google Scholar] [CrossRef]
- Li, F.; Chen, H.; Wang, D. Silencing of CD276 suppresses lung cancer progression by regulating integrin signaling. J. Thorac. Dis. 2020, 12, 2137–2145. [Google Scholar] [CrossRef]
- Yonesaka, K.; Haratani, K.; Takamura, S.; Sakai, H.; Kato, R.; Takegawa, N.; Takahama, T.; Tanaka, K.; Hayashi, H.; Takeda, M.; et al. B7-H3 Negatively Modulates CTL-Mediated Cancer Immunity. Clin. Cancer Res. 2018, 24, 2653–2664. [Google Scholar] [CrossRef]
- Arigami, T.; Narita, N.; Mizuno, R.; Nguyen, L.; Ye, X.; Chung, A.; Giuliano, A.E.; Hoon, D.S.B. B7-h3 ligand expression by primary breast cancer and associated with regional nodal metastasis. Ann. Surg. 2010, 252, 1044–1051. [Google Scholar] [CrossRef]
- Zang, X.; Sullivan, P.S.; A Soslow, R.; Waitz, R.; E Reuter, V.; Wilton, A.; Thaler, H.T.; Arul, M.; Slovin, S.F.; Wei, J.; et al. Tumor associated endothelial expression of B7-H3 predicts survival in ovarian carcinomas. Mod. Pathol. 2010, 23, 1104–1112. [Google Scholar] [CrossRef] [PubMed]
- Kasten, B.B.; Arend, R.C.; Katre, A.A.; Kim, H.; Fan, J.; Ferrone, S.; Zinn, K.R.; Buchsbaum, D.J.; Kasten, B.B.; Arend, R.C.; et al. B7-H3-targeted 212Pb radioimmunotherapy of ovarian cancer in preclinical models. Nucl. Med. Biol. 2017, 47, 23–30. [Google Scholar] [CrossRef]
- Li, Y.; Yang, X.; Wu, Y.; Zhao, K.; Ye, Z.; Zhu, J.; Xu, X.; Zhao, X.; Xing, C. B7-H3 promotes gastric cancer cell migration and invasion. Oncotarget 2017, 8, 71725–71735. [Google Scholar] [CrossRef] [PubMed]
- Wang, L.; Cao, N.-N.; Wang, S.; Man, H.-W.; Li, P.-F.; Shan, B.-E. Roles of coinhibitory molecules B7-H3 and B7-H4 in esophageal squamous cell carcinoma. Tumour Biol. 2016, 37, 2961–2971. [Google Scholar] [CrossRef] [PubMed]
- Wang, R.; Ma, Y.; Zhan, S.; Zhang, G.; Cao, L.; Zhang, X.; Shi, T.; Chen, W. B7-H3 promotes colorectal cancer angiogenesis through activating the NF-κB pathway to induce VEGFA expression. Cell Death Dis. 2020, 11, 1–15. [Google Scholar] [CrossRef]
- Powderly, J.; Cote, G.; Flaherty, K.T.; Szmulewitz, R.Z.; Ribas, A.; Weber, J.S.; Loo, D.; Baughman, J.; Chen, F.; A Moore, P.; et al. Interim results of an ongoing Phase I, dose escalation study of MGA271 (Fc-optimized humanized anti-B7-H3 monoclonal antibody) in patients with refractory B7-H3-expressing neoplasms or neoplasms whose vasculature expresses B7-H3. J. ImmunoTher. Cancer 2015, 3, O8. [Google Scholar] [CrossRef]
- Lee, Y.-H.; Martin-Orozco, N.; Zheng, P.; Li, J.; Zhang, P.; Tan, H.; Park, H.J.; Jeong, M.; Chang, S.H.; Kim, B.-S.; et al. Inhibition of the B7-H3 immune checkpoint limits tumor growth by enhancing cytotoxic lymphocyte function. Cell Res. 2017, 27, 1034–1045. [Google Scholar] [CrossRef]


| Feature | Total (n = 46) |
|---|---|
| Gender, n (%) | |
| Female | 31 (67.4%) |
| Male | 15 (32.6%) |
| Median age at diagnosis, years (Q1,Q3; range) | 52.0 (41.0, 61.8; 24.0–84.0) |
| Median tumor size, mm (Q1,Q3; range) | 14.0 (7.0, 23.0; 2.0–100.0) |
| Multifocality, n (%) | |
| No | 32 (69.6%) |
| Yes | 14 (30.4%) |
| Extrathyroidal extension, n (%) | |
| No | 43 (93.5%) |
| Yes | 3 (6.5%) |
| Angioinvasion, n (%) | |
| No | 41 (89.1%) |
| Yes | 5 (10.9%) |
| Tumor stage, n (%) | |
| T1a | 12 (26.1%) |
| T1am | 8 (17.4%) |
| T1b | 9 (19.6%) |
| T1bm | 3 (6.5%) |
| T2 | 6 (13.0%) |
| T2m | 4 (8.7%) |
| T3 | 3 (6.5%) |
| T3m | 1 (2.2%) |
| Node stage, n (%) | |
| N0 | 27 (58.7%) |
| N1a | 5 (10.9%) |
| N1b | 14 (30.4%) |
| Distant metastasis, n (%) | |
| M0 | 44 (95.7%) |
| M1 | 2 (4.3%) |
| Initial Response to Therapy | n (%) |
|---|---|
| Excellent | 24 (52.2%) |
| Biochemical incomplete response | 20 (43.5%) |
| Structural incomplete response | 2 (4.3%) |
| Final Follow-Up | n (%) |
| NED | 23 (50.0%) |
| Biochemical incomplete | 17 (37.0%) |
| Structural incomplete | 2 (4.3%) |
| Death MTC-unrelated | 2 (4.3%) |
| Death MTC-related | 2 (4.3%) |
| Additional Therapies | n (%) |
| No | 34 (73.9%) |
| Yes | 12 (26.1%) |
| IHC-CD276 (1+ or 2+) (11–50% Cells) | IHC-CD276 (2+ or 3+) (51–100% Cells) | Total (n = 46) | |
|---|---|---|---|
| n = 20 | n = 26 | n = 46 | |
| Intensity of IHC-CD276 expression | |||
| 1+ | 13 (65.0%) | 0 (0.0%) | 13 (28.3%) |
| 2+ | 7 (35.0%) | 17 (65.4%) | 24 (52.2%) |
| 3+ | 0 (0.0%) | 9 (34.6%) | 9 (19.6%) |
| Percentage of CD276-positive stained cells | |||
| 11–50% | 20 (100.0%) | 0 (0.0%) | 20 (43.5%) |
| 51–75% | 0 (0.0%) | 21 (80.8%) | 21 (45.7%) |
| 76–100% | 0 (0.0%) | 5 (19.2%) | 5 (10.9%) |
| Intensity of immunostaining and the percentage of immunoreactive cells | |||
| 1+ (11–50%) | 13 (65.0%) | 0 (0.0%) | 13 (28.3%) |
| 2+ (11–50%) | 7 (35.0%) | 0 (0.0%) | 7 (15.2%) |
| 2+ (51–75%) | 0 (0.0%) | 17 (65.4%) | 17 (37.0%) |
| 3+ (51–75%) | 0 (0.0%) | 4 (15.4%) | 4 (8.7%) |
| 3+ (76–100%) | 0 (0.0%) | 5 (19.2%) | 5 (10.9%) |
Disclaimer/Publisher’s Note: The statements, opinions and data contained in all publications are solely those of the individual author(s) and contributor(s) and not of MDPI and/or the editor(s). MDPI and/or the editor(s) disclaim responsibility for any injury to people or property resulting from any ideas, methods, instructions or products referred to in the content. |
© 2023 by the authors. Licensee MDPI, Basel, Switzerland. This article is an open access article distributed under the terms and conditions of the Creative Commons Attribution (CC BY) license (https://creativecommons.org/licenses/by/4.0/).
Share and Cite
Hińcza-Nowak, K.; Kowalik, A.; Walczyk, A.; Pałyga, I.; Gąsior-Perczak, D.; Płusa, A.; Kopczyński, J.; Chrapek, M.; Góźdź, S.; Kowalska, A. CD276 as a Candidate Target for Immunotherapy in Medullary Thyroid Cancer. Int. J. Mol. Sci. 2023, 24, 10019. https://doi.org/10.3390/ijms241210019
Hińcza-Nowak K, Kowalik A, Walczyk A, Pałyga I, Gąsior-Perczak D, Płusa A, Kopczyński J, Chrapek M, Góźdź S, Kowalska A. CD276 as a Candidate Target for Immunotherapy in Medullary Thyroid Cancer. International Journal of Molecular Sciences. 2023; 24(12):10019. https://doi.org/10.3390/ijms241210019
Chicago/Turabian StyleHińcza-Nowak, Kinga, Artur Kowalik, Agnieszka Walczyk, Iwona Pałyga, Danuta Gąsior-Perczak, Agnieszka Płusa, Janusz Kopczyński, Magdalena Chrapek, Stanisław Góźdź, and Aldona Kowalska. 2023. "CD276 as a Candidate Target for Immunotherapy in Medullary Thyroid Cancer" International Journal of Molecular Sciences 24, no. 12: 10019. https://doi.org/10.3390/ijms241210019
APA StyleHińcza-Nowak, K., Kowalik, A., Walczyk, A., Pałyga, I., Gąsior-Perczak, D., Płusa, A., Kopczyński, J., Chrapek, M., Góźdź, S., & Kowalska, A. (2023). CD276 as a Candidate Target for Immunotherapy in Medullary Thyroid Cancer. International Journal of Molecular Sciences, 24(12), 10019. https://doi.org/10.3390/ijms241210019

