Peritoneal Expression of Membrane Complement Regulators Is Decreased in Peritoneal Dialysis Patients with Infected Peritonitis
Abstract
1. Introduction
2. Results
2.1. Expressions of CRegs, CD46, CD55, and CD59 Are Decreased in Injured Peritoneum with Peritonitis
2.2. Comparison between Peritonitis (Group P) and Non-Peritonitis (Group NP) Patients
2.2.1. Correlation between sC5b-9 Levels in PDF and Tissue Injury Score
2.2.2. Comparison of Blood Markers between Group P and Group NP
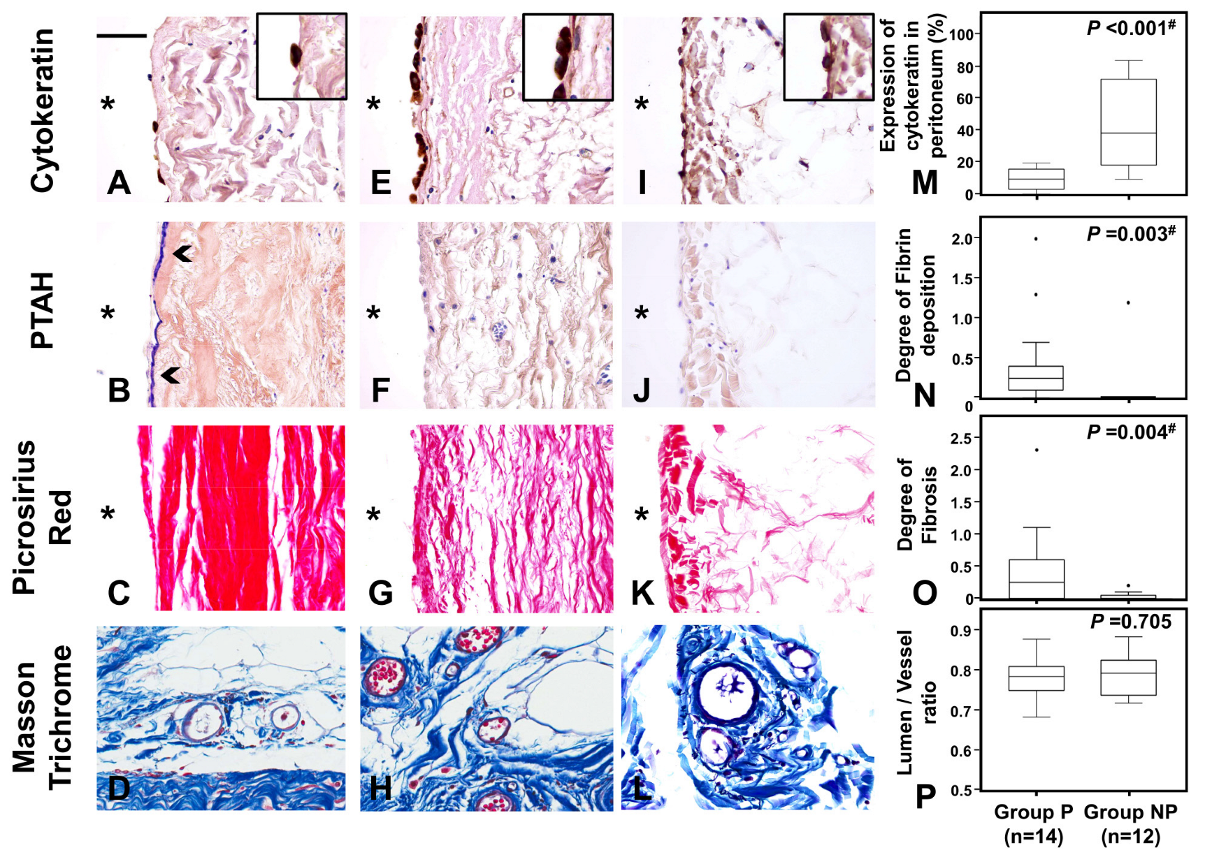
2.2.3. Pathological Changes Are More Severe in Peritoneal Tissues with Peritonitis
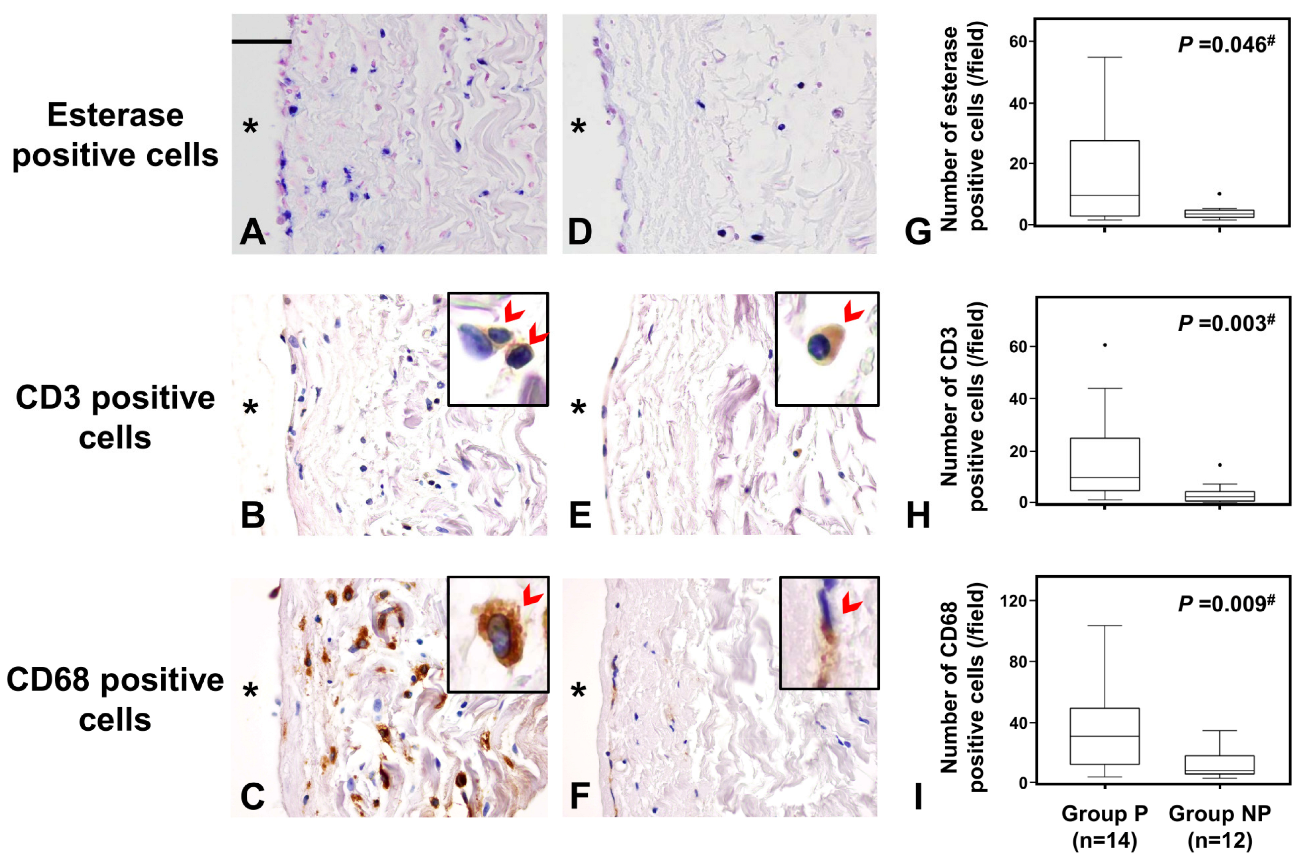
2.2.4. Expression of CRegs Is Decreased in Peritoneum with Peritonitis and Associated with Increased Complement Activation
2.3. Comparison between Peritoneal Tissues with Peritonitis Due to Fungi and P. aeruginosa (Group P1) and Due to Gram-Positive Cocci (Group P2)
2.3.1. Peritoneal Injuries Are More Severe in Peritonitis with Fungal and P. aeruginosa Infections
2.3.2. Expression of CRegs Was Significantly More Decreased with Fungal or P. aeruginosa Peritonitis Than with Gram-Positive Cocci Peritonitis
2.3.3. Depositions of aC3 and C5b-9 in Human Peritoneum by Causative Microorganisms
3. Discussion
4. Materials and Methods
4.1. Antibodies and Agents
4.2. Peritoneal Biopsies from PD Patients
4.3. Bacterial Cultures of PD Effluent to Identify Causative Microorganisms
4.4. Tissue Preparation and Staining for Light and Immunofluorescent Microscopy
4.5. Staining for Histological and Immunohistological Analyses
4.6. Evaluation of Severity of Peritoneal Tissue Injuries, Fibrin Deposition, Peritoneal Fibrosis, and Vasculopathy
4.7. Analysis of Mesothelial Cells in the Peritoneum and Expression of CRegs
4.8. Analysis of Accumulation of Inflammatory Cells in Peritoneum
4.9. Measurements of Total Protein and Soluble C5b-9 (sC5b-9) in PDF
4.10. Statistical Analysis
Supplementary Materials
Author Contributions
Funding
Institutional Review Board Statement
Informed Consent Statement
Data Availability Statement
Acknowledgments
Conflicts of Interest
References
- Mizuno, M.; Ito, Y.; Tanaka, A.; Suzuki, Y.; Hiramatsu, H.; Watanabe, M.; Tsuruta, Y.; Matsuoka, T.; Ito, I.; Tamai, H.; et al. Peritonitis is still an important factor for withdrawal from peritoneal dialysis therapy in the Tokai area of Japan. Clin. Exp. Nephrol. 2011, 15, 727–737. [Google Scholar] [CrossRef] [PubMed]
- Mizuno, M.; Ito, Y.; Suzuki, Y.; Sakata, F.; Saka, Y.; Hiramatsu, T.; Tamai, H.; Mizutani, M.; Naruse, T.; Ohashi, N.; et al. Recent analysis of status and outcomes of peritoneal dialysis in the Tokai area of Japan: The second report of the Tokai peritoneal dialysis registry. Clin. Exp. Nephrol. 2016, 20, 960–971. [Google Scholar] [CrossRef]
- Perl, J.; Fuller, D.S.; Bieber, B.A.; Boudville, N.; Kanjanabuch, T.; Ito, Y.; Nessim, S.J.; Piraino, B.M.; Pisoni, R.L.; Robinson, B.M.; et al. Peritoneal Dialysis-Related Infection Rates and Outcomes: Results from the Peritoneal Dialysis Outcomes and Practice Patterns Study (PDOPPS). Am. J. Kidney Dis. 2020, 76, 42–53. [Google Scholar] [CrossRef] [PubMed]
- Trigka, K.; Dousdampanis, P.; Chu, M.; Khan, S.; Ahmad, M.; Bargman, J.M.; Oreopoulos, D.G. Encapsulating peritoneal sclerosis: A single-center experience and review of the literature. Int. Urol. Nephrol. 2011, 43, 519–526. [Google Scholar] [CrossRef]
- Gupta, A.; Mi, H.; Wroe, C.; Jaques, B.; Talbot, D. Fatal Candida famata peritonitis complicating sclerosing peritonitis in a peritoneal dialysis patient. Nephrol. Dial. Transplant. 2006, 21, 2036–2037. [Google Scholar] [CrossRef] [PubMed]
- Li, P.K.; Szeto, C.C.; Piraino, B.; de Arteaga, J.; Fan, S.; Figueiredo, A.E.; Fish, D.N.; Goffin, E.; Kim, Y.L.; Salzer, W.; et al. ISPD peritonitis recommendations: 2016 update on prevention and treatment. Perit. Dial. Int. 2016; in press. [Google Scholar]
- Li, P.K.; Chow, K.M.; Cho, Y.; Fan, S.; Figueiredo, A.E.; Harris, T.; Kanjanabuch, T.; Kim, Y.L.; Madero, M.; Malyszko, J.; et al. ISPD peritonitis guideline recommendations: 2022 update on prevention and treatment. Perit. Dial. Int. 2022, 42, 110–153. [Google Scholar] [CrossRef] [PubMed]
- Mizuno, M.; Morgan, B.P. The possibilities and pitfalls for anti-complement therapies in inflammatory diseases. Curr. Drug Targets Inflamm. Allergy 2004, 3, 87–96. [Google Scholar] [CrossRef]
- Mizuno, M.; Suzuki, Y.; Ito, Y. Complement regulation and kidney diseases: Recent knowledge of the double-edged roles of complement activation in nephrology. Clin. Exp. Nephrol. 2018, 22, 3–14. [Google Scholar] [CrossRef]
- Mizuno, M.; Ito, Y.; Hepburn, N.; Mizuno, T.; Noda, Y.; Yuzawa, Y.; Harris, C.L.; Morgan, B.P.; Matsuo, S. Zymosan, but not lipopolysaccharide, triggers severe and progressive peritoneal injury accompanied by complement activation in a rat peritonitis model. J. Immunol. 2009, 183, 1403–1412. [Google Scholar] [CrossRef]
- Iguchi, D.; Mizuno, M.; Suzuki, Y.; Sakata, F.; Maruyama, S.; Okada, A.; Okada, H.; Ito, Y. Anti-C5a complementary peptide mitigates zymosan-induced severe peritonitis with fibrotic encapsulation in rats pretreated with methylglyoxal. Am. J. Physiol. Renal. Physiol. 2018, 315, F1732–F1746. [Google Scholar] [CrossRef]
- Tang, S.; Leung, J.C.; Chan, L.Y.; Tsang, A.W.; Chen, C.X.; Zhou, W.; Lai, K.N.; Sacks, S.H. Regulation of complement C3 and C4 synthesis in human peritoneal mesothelial cells by peritoneal dialysis fluid. Clin. Exp. Immunol. 2004, 136, 85–94. [Google Scholar] [CrossRef] [PubMed]
- Mizuno, M.; Suzuki, Y.; Higashide, K.; Sei, Y.; Iguchi, D.; Sakata, F.; Horie, M.; Maruyama, S.; Matsuo, S.; Morgan, B.P.; et al. High level of soluble C5b-9 complex in dialysis fluid may predict poor prognosis in peritonitis in peritoneal dialysis patients. PLoS ONE 2017, 12, e0169111. [Google Scholar] [CrossRef] [PubMed]
- Young, G.A.; Kendall, S.; Brownjohn, A.M. Complement activation during CAPD. Nephrol. Dial. Transplant. 1993, 8, 1372–1375. [Google Scholar] [PubMed]
- Mizuno, T.; Mizuno, M.; Morgan, B.P.; Noda, Y.; Yamada, K.; Okada, N.; Yuzawa, Y.; Matsuo, S.; Ito, Y. Specific collaboration between rat membrane complement regulators Crry and CD59 protects peritoneum from damage by autologous complement activation. Nephrol. Dial. Transplant. 2011, 26, 1821–1830. [Google Scholar] [CrossRef] [PubMed]
- Mizuno, M.; Ito, Y.; Mizuno, T.; Harris, C.L.; Suzuki, Y.; Okada, N.; Matsuo, S.; Morgan, B.P. Membrane complement regulators protect against fibrin exudation increases in a severe peritoneal inflammation model in rats. Am. J. Physiol. Renal. Physiol. 2012, 302, F1245–F1251. [Google Scholar] [CrossRef]
- Kitterer, D.; Biegger, D.; Segerer, S.; Braun, N.; Alscher, M.D.; Latus, J. Alteration of membrane complement regulators is associated with transporter status in patients on peritoneal dialysis. PLoS ONE 2017, 12, e0177487. [Google Scholar] [CrossRef]
- Sei, Y.; Mizuno, M.; Suzuki, Y.; Imai, M.; Higashide, K.; Harris, C.L.; Sakata, F.; Iguchi, D.; Fujiwara, M.; Kodera, Y. Expression of membrane complement regulators, CD46, CD55 and CD59, in mesothelial cells of patients on peritoneal dialysis therapy. Mol. Immunol. 2015, 65, 302–309. [Google Scholar] [CrossRef]
- Honda, K.; Hamada, C.; Nakayama, M.; Miyazaki, M.; Sherif, A.M.; Harada, T.; Hirano, H. Impact of uremia, diabetes, and peritoneal dialysis itself on the pathogenesis of peritoneal sclerosis: A quantitative study of peritoneal membrane morphology. Clin. J. Am. Soc. Nephrol. 2008, 3, 720–728. [Google Scholar] [CrossRef]
- Ozeki, T.; Mizuno, M.; Iguchi, D.; Kojima, H.; Kim, H.; Suzuki, Y.; Kinashi, H.; Ishimoto, T.; Maruyama, S.; Matsuo, S. C1 inhibitor mitigates peritoneal injury in zymosan-induced peritonitis. Am. J. Physiol. Renal. Physiol. 2021, 320, F1123–F1132. [Google Scholar] [CrossRef]
- Tawada, M.; Hamada, C.; Suzuki, Y.; Sakata, F.; Sun, T.; Kinashi, H.; Katsuno, T.; Takei, Y.; Maruyama, S.; Honda, K.; et al. Effects of long-term treatment with low-GDP, pH-neutral solutions on peritoneal membranes in peritoneal dialysis patients. Clin. Exp. Nephrol. 2019, 23, 689–699. [Google Scholar] [CrossRef]
- Tawada, M.; Ito, Y.; Banshodani, M.; Yamashita, M.; Shintaku, S.; Sun, T.; Suzuki, Y.; Kinashi, H.; Kubo, Y.; Ando, M.; et al. Vasculopathy plays an important role during the development and relapse of encapsulating peritoneal sclerosis with conventional peritoneal dialysis solutions. Nephrol. Dial. Transplant. 2021, 36, 1519–1526. [Google Scholar] [CrossRef] [PubMed]
- Nakayama, M.; Miyazaki, M.; Honda, K.; Kasai, K.; Tomo, T.; Nakamoto, H.; Kawanishi, H. Encapsulating peritoneal sclerosis in the era of a multi-disciplinary approach based on biocompatible solutions: The NEXT-PD study. Perit. Dial. Int. 2014, 34, 766–774. [Google Scholar] [CrossRef] [PubMed]
- Devuyst, O.; Margetts, P.J.; Topley, N. The pathophysiology of the peritoneal membrane. J. Am. Soc. Nephrol. 2010, 21, 1077–1085. [Google Scholar] [CrossRef]
- Kinashi, H.; Ito, Y.; Mizuno, M.; Suzuki, Y.; Terabayashi, T.; Nagura, F.; Hattori, R.; Matsukawa, Y.; Mizuno, T.; Noda, Y. TGF-β1 promotes lymphangiogenesis during peritoneal fibrosis. J. Am. Soc. Nephrol. 2013, 24, 1627–1642. [Google Scholar] [CrossRef]
- Mizuno, M. A review of current knowledge of the complement system and the therapeutic opportunities in inflammatory arthritis. Curr. Med. Chem. 2006, 13, 1707–1717. [Google Scholar] [CrossRef] [PubMed]
- Mizuno, M.; Morgan, B.P. An update on the roles of the complement system in autoimmune diseases and the therapeutic possibilities of anti-complement agents. Curr. Drug Ther. 2011, 6, 35–50. [Google Scholar] [CrossRef]
- Zelek, W.M.; Xie, L.; Morgan, B.P.; Harris, C.L. Compendium of current complement therapeutics. Mol. Immunol. 2019, 114, 341–352. [Google Scholar] [CrossRef]
- Hideshima, T.; Okada, N.; Okada, H. Expression of HRF20, a regulatory molecule of complement activation, on peripheral blood mononuclear cells. Immunology 1990, 69, 396–401. [Google Scholar]
- Shibuya, K.; Abe, T.; Fujita, T. Decay-accelerating factor functions as a signal transducing molecule for human monocytes. J. Immunol. 1992, 149, 1758–1762. [Google Scholar] [CrossRef]
- Mizuno, M.; Harris, C.L.; Johnson, P.M.; Morgan, B.P. Rat membrane cofactor protein (MCP.; CD46) is expressed only in the acrosome of developing and mature spermatozoa and mediates binding to immobilized activated C3. Biol. Reprod. 2004, 71, 1374–1383. [Google Scholar] [CrossRef]
- Li, P.K.; Szeto, C.C.; Piraino, B.; Bernardini, J.; Figueiredo, A.E.; Gupta, A.; Johnson, D.W.; Kuijper, E.J.; Lye, W.C.; Salzer, W.; et al. International Society for Peritoneal Dialysis. Peritoneal dialysis-related infections recommendations: 2010 update. Perit. Dial. Int. 2010, 30, 393–423. [Google Scholar] [CrossRef] [PubMed]
- Tawada, M.; Ito, Y.; Hamada, C.; Honda, K.; Mizuno, M.; Suzuki, Y.; Sakata, F.; Terabayashi, T.; Matsukawa, Y.; Maruyama, S.; et al. Vascular endothelial cell injury is an important factor in the development of encapsulating peritoneal sclerosis in long-term peritoneal dialysis patients. PLoS ONE 2016, 11, e0154644. [Google Scholar] [CrossRef] [PubMed]
- Kim, H.; Mizuno, M.; Furuhashi, K.; Katsuno, T.; Ozaki, T.; Yasuda, K.; Tsuboi, N.; Sato, W.; Suzuki, Y.; Matsuo, S.; et al. Rat adipose tissue-derived stem cells attenuate peritoneal injuries in rat zymosan-induced peritonitis accompanied by complement activation. Cytotherapy 2014, 16, 357–368. [Google Scholar] [CrossRef] [PubMed]







| Group P | Group NP | p-Value 1 | |
|---|---|---|---|
| Number of cases | 14 | 12 | |
| Age (years) | 61.5 (57.3, 76.0) | 64.0 (56.0, 70.0) | 0.980 |
| Male/Female | 12 (85.7)/2 (14.3) | 9 (75.0)/3 (25.0) | 0.636 |
| DM 2/non-DM | 8 (57.1)/6 (42.9) | 8 (66.7)/4 (33.3) | 0.297 |
| PD 3 history (months) | 41.5 (20.3, 53.5) | 60.0 (11, 103) | 0.701 |
| Serum albumin level (g/dL) | 3.0 (2.7, 3.4) | 3.7 (3.3, 4.0) | 0.005 # |
| Blood urea nitrogen level (mg/dL) | 46.0 (29.9, 72.4) | 51.0 (29.8, 66.2) | 0.799 |
| Serum creatinine level (mg/dL) | 8.13 (7.03, 9.21) | 9.76 (7.10, 11.16) | 0.205 |
| Serum C-reactive protein level (mg/dL) | 4.67 (1.91, 11.33) | 0.20 (0.05, 0.41) | <0.001 # |
| Blood white blood cell count (/µL) | 8035 (6385, 12,800) | 6200 (4800, 8700) | 0.039 # |
| Blood hemoglobin level (g/dL) | 10.9 (9.5, 11.6) | 11.2 (11.0, 13.0) | 0.137 |
| Serum Beta-2-microgroblin (µg/mL) | 24.6 (22.8, 42.8) | 23.5(21.9, 41.1) | 0.512 |
| Adequacy for PD 3 (Kt/V) | 1.71 (1.54, 1.90) | 1.74 (1.38, 1.94) | 0.600 |
| Dialysate-to-plasma creatinine concentration ratio (D/P Cr) as a peritoneal transport status | 0.68 (0.57, 0.75) | 0.65 (0.59, 0.77) | 0.786 |
| Case Number | Cause of Withdrawal | Microorganism | Duration from Infection to Catheter Removal (Days) | Age | Sex | PD history until PD Catheter Removal (Months) | LM | IF | β2-MG (μg/mL) | Kt/V | D/P Cr | PD Solution | |
|---|---|---|---|---|---|---|---|---|---|---|---|---|---|
| 1 | Peritonitis | Candida species | 9 | 77 | M | 48 | A | A | A | 46 | 1.75 | 0.60 | Glu 1,2 |
| 2 | Peritonitis | C. albicans | 14 | 58 | M | 21 | A | A | A | 16.4 | 1.89 | 0.66 | Glu 1 |
| 3 | Peritonitis | C. albicans | 9 | 73 | M | 89 | A | A | A | 27.5 | 2.32 | 0.47 | Glu1 |
| 4 | Peritonitis | C. albicans | 7 | 57 | M | 27 | A | A | N/A | 24.6 | 1.66 | 0.69 | Glu 1 |
| 5 | Peritonitis | Candida species | 16 | 61 | M | 20 | A | N/A | A | 24.2 | 1.54 | 0.56 | Glu 1 |
| 6 | Peritonitis | P. aeruginosa | 15 | 73 | M | 12 | A | A | N/A | 20.7 | N/A | 0.75 | Glu 1 |
| 7 | Peritonitis | P. aeruginosa | 9 | 62 | M | 49 | A | N/A | A | 23.8 | 1.55 | 0/77 | Glu 1 |
| 8 | Peritonitis | P. aeruginosa | 10 | 40 | F | 3 | A | A | N/A | N/A | N/A | N/A | Glu 1,2/ico |
| 9 | Peritonitis | S. aureus (MRSA) | 8 | 84 | M | 55 | A | N/A | A | 22.8 | N/A | 0.61 | Glu 1 |
| 10 | Peritonitis | Β streptococcus E. faecalis | 37 | 80 | M | 16 | A | N/A | N/A | N/A | N/A | N/A | Glu 1 |
| 11 | Peritonitis | Staphylococcus species | 127 | 66 | F | 42 | A | A | N/A | 34.7 | N/A | 0.55 | Glu 1 |
| 12 | Peritonitis | S. aureus(MRSA) | 10 | 55 | M | 29 | A | N/A | A | N/A | N/A | 0.74 | Glu 1/ico |
| 13 | Peritonitis | S. aureus(MSSA) | 3 | 32 | M | 41 | A | A | A | 42.8 | 2.06 | 0.70 | Glu 1,2 |
| 14 | Peritonitis | S. epidermidis | 15 | 60 | M | 69 | A | A | N/A | 47.9 | 2.00 | 0.85 | Glu 1 |
| 15 | To prevent EPS | - | - | 64 | F | 119 | A | A | A | 22.8 | 2.58 | 0.59 | Glu 1,2/ico |
| 16 | Over hydration | - | - | 57 | M | 55 | A | N/A | A | 45.5 | 1.94 | 0.56 | Glu 1/ico |
| 17 | Ultrafiltration failure | - | - | 72 | M | 93 | A | N/A | A | 41 | 1.74 | 0.51 | Glu 1/ico |
| 18 | Social problem | - | - | 70 | M | 48 | A | N/A | A | 23.2 | 1.41 | 0.88 | Glu 1/ico |
| 19 | To prevent EPS | - | - | 43 | M | 103 | A | A | A | 22.7 | 1.97 | 0.63 | Glu 1/ico |
| 20 | To prevent EPS | - | - | 69 | M | 106 | A | N/A | A | 11.7 | 1.93 | 0.63 | Glu 1/ico |
| 21 | Over hydration | - | - | 73 | M | 9 | A | A | A | 23.8 | 1.21 | 0.68 | Glu 1/ico |
| 22 | Ultrafiltration failure | - | - | 56 | M | 11 | A | A | N/A | 19.3 | 1.86 | 0.75 | Glu 1/ico |
| 23 | Ultrafiltration failure | - | - | 40 | M | 10 | A | A | N/A | N/A | 1.22 | N/A | Glu 1/ico |
| 24 | To prevent EPS | - | - | 75 | F | 72 | A | A | N/A | 41.3 | 1.78 | 0.84 | Glu 1/ico |
| 25 | Social problem | - | - | 64 | M | 2 | A | A | N/A | N/A | N/A | 0.77 | Glu |
| 26 | To prevent EPS | - | - | 66 | F | 60 | A | A | N/A | 38.2 | 1.54 | 0.65 | Glu 1/ico |
Disclaimer/Publisher’s Note: The statements, opinions and data contained in all publications are solely those of the individual author(s) and contributor(s) and not of MDPI and/or the editor(s). MDPI and/or the editor(s) disclaim responsibility for any injury to people or property resulting from any ideas, methods, instructions or products referred to in the content. |
© 2023 by the authors. Licensee MDPI, Basel, Switzerland. This article is an open access article distributed under the terms and conditions of the Creative Commons Attribution (CC BY) license (https://creativecommons.org/licenses/by/4.0/).
Share and Cite
Fukui, S.; Mizuno, M.; Tawada, M.; Suzuki, Y.; Kojima, H.; Matsukawa, Y.; Imai, M.; Kim, H.; Kinashi, H.; Mizutani, M.; et al. Peritoneal Expression of Membrane Complement Regulators Is Decreased in Peritoneal Dialysis Patients with Infected Peritonitis. Int. J. Mol. Sci. 2023, 24, 9146. https://doi.org/10.3390/ijms24119146
Fukui S, Mizuno M, Tawada M, Suzuki Y, Kojima H, Matsukawa Y, Imai M, Kim H, Kinashi H, Mizutani M, et al. Peritoneal Expression of Membrane Complement Regulators Is Decreased in Peritoneal Dialysis Patients with Infected Peritonitis. International Journal of Molecular Sciences. 2023; 24(11):9146. https://doi.org/10.3390/ijms24119146
Chicago/Turabian StyleFukui, Sosuke, Masashi Mizuno, Mitsuhiro Tawada, Yasuhiro Suzuki, Hiroshi Kojima, Yoshihisa Matsukawa, Masaki Imai, Hangsoo Kim, Hiroshi Kinashi, Makoto Mizutani, and et al. 2023. "Peritoneal Expression of Membrane Complement Regulators Is Decreased in Peritoneal Dialysis Patients with Infected Peritonitis" International Journal of Molecular Sciences 24, no. 11: 9146. https://doi.org/10.3390/ijms24119146
APA StyleFukui, S., Mizuno, M., Tawada, M., Suzuki, Y., Kojima, H., Matsukawa, Y., Imai, M., Kim, H., Kinashi, H., Mizutani, M., Minoshima, K., Maruyama, S., & Ito, Y. (2023). Peritoneal Expression of Membrane Complement Regulators Is Decreased in Peritoneal Dialysis Patients with Infected Peritonitis. International Journal of Molecular Sciences, 24(11), 9146. https://doi.org/10.3390/ijms24119146

