The Effect of Curcuma phaeocaulis Valeton (Zingiberaceae) Extract on Prion Propagation in Cell-Based and Animal Models
Abstract
1. Introduction
2. Results
2.1. CpV Extract Inhibited Aggregation of Unfolded/Misfolded rPrP In Vitro
2.2. CpV Extract Decreased the Level of PrPSc in ScN2a Cells
2.3. CpV Extract Was Tolerable in Mice
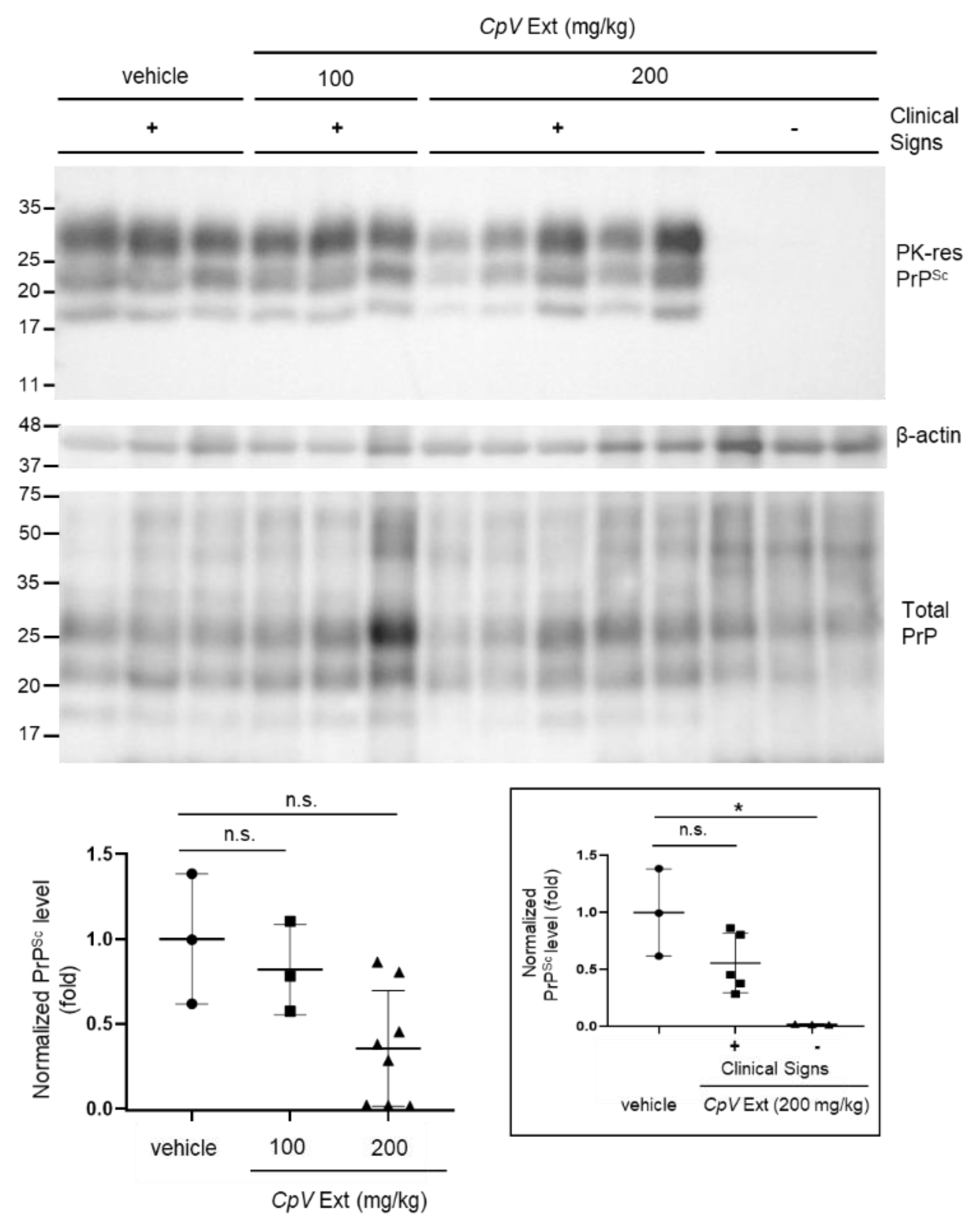
2.4. CpV Extract Modified the Course of Prion Disease
2.5. CpV Extract Reduced PrPSc Accumulation in Mouse Brains
2.6. CpV Extract Reduced Neuropathological Deteriorations
2.7. CpV Extract Decreased PrPSc Accumulation but Did Not Affect Follicular Dendritic Cells in Mouse Spleens
2.8. CpV Extract Precluded Prion Infection In Vitro
3. Discussion
4. Materials and Methods
4.1. Preparation of CpV Extracts
4.2. PAFA
4.3. RT-QuIC
4.4. PrPSc Stability Assay
4.5. Cytotoxicity Assay
4.6. Cell-Based PrPSc Assay
4.7. Incubation Period Assay
4.8. PrPSc Assay Using Brain and Spleen Tissue
4.9. Detection of FDC Activation in the Spleen
4.10. Serum Chemistry
4.11. Histology and Immunohistochemistry
4.12. In Vitro Prion Infection Assay
4.13. Statistical Analysis
5. Conclusions
Supplementary Materials
Author Contributions
Funding
Institutional Review Board Statement
Informed Consent Statement
Data Availability Statement
Acknowledgments
Conflicts of Interest
References
- Prusiner, S.B. Prions. Proc. Natl. Acad. Sci. USA 1998, 95, 13363–13383. [Google Scholar] [CrossRef] [PubMed]
- Ryou, C. Prions and prion diseases: Fundamentals and mechanistic details. J. Microbiol. Biotechnol. 2007, 17, 1059–1070. [Google Scholar] [PubMed]
- Johnson, R.T.; Gibes, C.J. Creutzfeldt-Jakob disease and related transmissible spongiform encephalopathies. N. Engl. J. Med. 1998, 339, 1994–2004. [Google Scholar] [CrossRef] [PubMed]
- Montagna, P.; Gambetti, P.; Cortelli, P.; Lugaresi, E. Familial and sporadic fatal insomnia. Lancet Neurol. 2003, 2, 167–176. [Google Scholar] [CrossRef]
- Mastrianni, J.A. The genetics of prion diseases. Genet. Med. 2010, 12, 187–195. [Google Scholar] [CrossRef]
- Sengupta, I.; Udgaonkar, J.B. Structural mechanisms of oligomer and amyloid fibril formation by the prion protein. Chem. Commun. 2018, 54, 6230–6242. [Google Scholar] [CrossRef]
- Konig, A.S.; Rosener, N.S.; Gremer, L.; Tusche, M.; Flender, D.; Reinartz, E.; Hoyer, W.; Neudecker, P.; Willbold, D.; Heise, H. Structural details of amyloid beta oligomers in complex with human prion protein as revealed by solid-state MAS NMR spec-troscopy. J. Biol. Chem. 2021, 296, 100499. [Google Scholar] [CrossRef]
- DeArmond, S.J.; Prusiner, S.B. Etiology and pathogenesis of prion diseases. Am. J. Pathol. 1995, 146, 785–811. [Google Scholar]
- Budka, H. Neuropathology of prion diseases. Br. Med. Bull. 2003, 66, 121–130. [Google Scholar] [CrossRef]
- Wadsworth, J.D.F.; Collinge, J. Molecular pathology of human prion disease. Acta Neuropathol. 2010, 121, 69–77. [Google Scholar] [CrossRef]
- Xia, G.-Y.; Sun, D.-J.; Ma, J.-H.; Liu, Y.; Zhao, F.; Donkor, P.O.; Ding, L.-Q.; Chen, L.-X.; Qiu, F. (+)/(−)-Phaeocaulin A-D, four pairs of new enantiomeric germacrane-type sesquiterpenes from Curcuma phaeocaulis as natural nitric oxide inhibitors. Sci. Rep. 2017, 7, 43576. [Google Scholar] [CrossRef] [PubMed]
- Yang, F.-Q.; Wang, Y.; Li, S. Simultaneous determination of 11 characteristic components in three species of Curcuma rhizomes using pressurized liquid extraction and high-performance liquid chromatography. J. Chromatogr. A 2006, 1134, 226–231. [Google Scholar] [CrossRef] [PubMed]
- Ma, J.H.; Zhao, F.; Wang, Y.; Liu, Y.; Gao, S.Y.; Ding, L.Q.; Chen, L.X.; Qiu, F. Natural nitric oxide (NO) inhibitors from the rhizomes of Curcuma phaeocaulis. Org. Biomol. Chem. 2015, 13, 8349–8358. [Google Scholar] [CrossRef] [PubMed]
- Chen, X.; Pei, L.; Zhong, Z.; Guo, J.; Zhang, Q.; Wang, Y. Anti-tumor potential of ethanol extract of Curcuma phaeocaulis Valeton against breast cancer cells. Phytomedicine 2011, 18, 1238–1243. [Google Scholar] [CrossRef] [PubMed]
- Chen, Z.; Li, W.; Quan, L.; Zhou, H.; Zhao, Y.; Zhang, X.; Hu, L.; Hu, C. The Effects of Curcumae longae Radix, Curcuma phaeocaulis Radix and their processed products on Epo/EpoR pathway and CD62p. Front. Pharmacol. 2018, 9, 736. [Google Scholar] [CrossRef] [PubMed]
- Caughey, B.; Raymond, L.D.; Raymond, G.J.; Maxson, L.; Silveira, J.; Baron, G.S. Inhibition of protease-resistant prion protein accumulation in vitro by curcumin. J. Virol. 2003, 77, 5499–5502. [Google Scholar] [CrossRef]
- Collinge, J. Molecular neurology of prion disease. J. Neurol. Neurosurg. Psychiatry 2005, 76, 906–919. [Google Scholar] [CrossRef]
- Centers for Disease Control and Prevention, Prion Disease. Available online: https://www.cdc.gov/prions/index.html (accessed on 5 September 2022).
- World Health Organization. WHO Infection Control Guidelines for Transmissible Spongiform Encephalopathies: Report of a WHO Consultation; World Health Organization: Geneva, Switzerland, 1999. [Google Scholar]
- Panegyres, P.K.; Armari, E. Therapies for human prion diseases. Am. J. Neurodegener. Dis. 2013, 2, 176–186. [Google Scholar]
- Forloni, G.; Roiter, I.; Tagliavini, F. Clinical trials of prion disease therapeutics. Curr. Opin. Pharmacol. 2019, 44, 53–60. [Google Scholar] [CrossRef]
- Korth, C.; May, B.C.H.; Cohen, F.E.; Prusiner, S.B. Acridine and phenothiazine derivatives as pharmacotherapeutics for prion disease. Proc. Natl. Acad. Sci. USA 2001, 98, 9836–9841. [Google Scholar] [CrossRef]
- Ryou, C.; Legname, G.; Peretz, D.; Craig, J.C.; A Baldwin, M.; Prusiner, S.B. Differential inhibition of prion propagation by enantiomers of quinacrine. Lab. Investig. 2003, 83, 837–843. [Google Scholar] [CrossRef] [PubMed]
- Yung, L.; Huang, Y.; Lessard, P.; Legname, G.; Lin, E.T.; Baldwin, M.; Prusiner, S.B.; Ryou, C.; Guglielmo, B.J. Pharmaco-kinetics of quinacrine in the treatment of prion disease. BMC Infect. Dis. 2004, 4, 53. [Google Scholar] [CrossRef] [PubMed]
- Collinge, J.; Gorham, M.; Hudson, F.; Kennedy, A.; Keogh, G.; Pal, S.; Rossor, M.; Rudge, P.; Siddique, D.; Spyer, M.; et al. Safety and efficacy of quinacrine in human prion disease (PRION-1 study): A patient-preference trial. Lancet Neurol. 2009, 8, 334–344. [Google Scholar] [CrossRef]
- Geschwind, M.D.; Kuo, A.L.; Wong, K.S.; Haman, A.; Devereux, G.; Raudabaugh, B.J.; Johnson, D.Y.; Torres-Chae, C.C.; Finley, R.; Garcia, P.; et al. Quinacrine treatment trial for sporadic Creutzfeldt-Jakob disease. Neurology 2013, 81, 2015–2023. [Google Scholar] [CrossRef] [PubMed]
- Doh-Ura, K.; Ishikawa, K.; Murakami-Kubo, I.; Sasaki, K.; Mohri, S.; Race, R.; Iwaki, T. Treatment of transmissible spongiform encephalopathy by intraventricular drug infusion in animal models. J. Virol. 2004, 78, 4999–5006. [Google Scholar] [CrossRef] [PubMed]
- Caughey, B.; Raymond, G.J. Sulfated polyanion inhibition of scrapie-associated PrP accumulation in cultured cells. J. Virol. 1993, 67, 643–650. [Google Scholar] [CrossRef]
- Todd, N.; Morrow, J.; Doh-Ura, K.; Dealler, S.; O’Hare, S.; Farling, P.; Duddy, M.; Rainov, N. Cerebroventricular infusion of pentosan polysulphate in human variant Creutzfeldt–Jakob disease. J. Infect. 2005, 50, 394–396. [Google Scholar] [CrossRef]
- Parry, A.; Baker, I.; Stacey, R.; Wimalaratna, S. Long term survival in a patient with variant Creutzfeldt-Jakob disease treated with intraventricular pentosan polysulphate. J. Neurol. Neurosurg. Psychiatry 2006, 78, 733–734. [Google Scholar] [CrossRef]
- Whittle, I.R.; Knight, R.S.; Will, R.G. Unsuccessful intraventricular pentosan polysulphate treatment of variant Creutzfeldt-Jakob disease. Acta Neurochir. 2006, 148, 677–679, discussion 679. [Google Scholar] [CrossRef]
- Kim, D.H.; Ren, C.; Ryou, C.; Li, J. Direct interaction of DNMT inhibitors to PrP(C) suppresses pathogenic process of prion. Acta Pharm. Sin. B 2019, 9, 952–959. [Google Scholar] [CrossRef]
- Ryou, C.; Titlow, W.B.; Mays, C.E.; Bae, Y.; Kim, S. The suppression of prion propagation using poly-l-lysine by targeting plasminogen that stimulates prion protein conversion. Biomaterials 2011, 32, 3141–3149. [Google Scholar] [CrossRef] [PubMed]
- Waqas, M.; Lee, H.-M.; Kim, J.; Telling, G.; Kim, J.-K.; Kim, D.-H.; Ryou, C. Effect of poly-L-arginine in inhibiting scrapie prion protein of cultured cells. Mol. Cell. Biochem. 2017, 428, 57–66. [Google Scholar] [CrossRef] [PubMed]
- Honda, R.; Yamaguchi, K.-I.; Elhelaly, A.E.; Fuji, M.; Kuwata, K. Poly-L-histidine inhibits prion propagation in a prion-infected cell line. Prion 2018, 12, 226–233. [Google Scholar] [CrossRef] [PubMed]
- Ladogana, A.; Casaccia, P.; Ingrosso, L.; Cibati, M.; Salvatore, M.; Xi, Y.-G.; Masullo, C.; Pocchiari, M. Sulphate polyanions prolong the incubation period of scrapie-infected hamsters. J. Gen. Virol. 1992, 73 Pt 3, 661–665. [Google Scholar] [CrossRef]
- Mead, S.; Khalili-Shirazi, A.; Potter, C.; Mok, T.; Nihat, A.; Hyare, H.; Canning, S.; Schmidt, C.; Campbell, T.; Darwent, L.; et al. Prion protein monoclonal antibody (PRN100) therapy for Creutzfeldt–Jakob disease: Evaluation of a first-in-human treatment programme. Lancet Neurol. 2022, 21, 342–354. [Google Scholar] [CrossRef] [PubMed]
- Raymond, G.J.; Zhao, H.T.; Race, B.; Raymond, L.D.; Williams, K.; Swayze, E.E.; Graffam, S.; Le, J.; Caron, T.; Stathopoulos, J.; et al. Antisense oligonucleotides extend survival of prion-infected mice. JCI Insight 2019, 4, e131175. [Google Scholar] [CrossRef]
- Toupet, K.; Compan, V.; Crozet, C.; Mourton-Gilles, C.; Mestre-Francés, N.; Ibos, F.; Corbeau, P.; Verdier, J.-M.; Perrier, V. Effective gene therapy in a mouse model of prion diseases. PLoS ONE 2008, 3, e2773. [Google Scholar] [CrossRef]
- Schmidt, B.; Ribnicky, D.M.; Poulev, A.; Logendra, S.; Cefalu, W.T.; Raskin, I. A natural history of botanical therapeutics. Metabolism 2008, 57, S3–S9. [Google Scholar] [CrossRef]
- Ekor, M. The growing use of herbal medicines: Issues relating to adverse reactions and challenges in monitoring safety. Front. Pharmacol. 2014, 4, 177. [Google Scholar] [CrossRef]
- Carmona, F.; Pereira, A.M.S. Herbal medicines: Old and new concepts, truths and misunderstandings. Rev. Bras. Farm. 2013, 23, 379–385. [Google Scholar] [CrossRef]
- Tyring, S.K. Sinecatechins: Effects on HPV-induced enzymes involved in inflammatory mediator generation. J. Clin. Aesthetic Dermatol. 2012, 5, 19–26. [Google Scholar]
- Crutchley, R.D.; Miller, J.; Garey, K. Crofelemer, a novel agent for treatment of secretory diarrhea. Ann. Pharmacother. 2010, 44, 878–884. [Google Scholar] [CrossRef] [PubMed]
- Kocisko, D.A.; Baron, G.S.; Rubenstein, R.; Chen, J.; Kuizon, S.; Caughey, B. New inhibitors of scrapie-associated prion protein formation in a library of 2000 drugs and natural products. J. Virol. 2003, 77, 10288–10294. [Google Scholar] [CrossRef] [PubMed]
- Kocisko, D.A.; Morrey, J.D.; Race, R.E.; Chen, J.; Caughey, B. Evaluation of new cell culture inhibitors of protease-resistant prion protein against scrapie infection in mice. J. Gen. Virol. 2004, 85 Pt 8, 2479–2483. [Google Scholar] [CrossRef]
- Eiden, M.; Leidel, F.; Strohmeier, B.; Fast, C.; Groschup, M.H. A medicinal herb Scutellaria lateriflora inhibits PrP replication in vitro and delays the onset of prion disease in mice. Front. Psychiatry 2012, 3, 9. [Google Scholar] [CrossRef]
- Wang, J.; Zhang, B.Y.; Zhang, J.; Xiao, K.; Chen, L.N.; Wang, H.; Sun, J.; Shi, Q.; Dong, X.P. Treatment of SMB-S15 cells with resveratrol efficiently removes the PrP(Sc) accumulation in vitro and prion infectivity in vivo. Mol. Neurobiol. 2016, 53, 5367–5376. [Google Scholar] [CrossRef]
- Li, L.; Zhu, Y.; Zhou, S.; An, X.; Zhang, Y.; Bai, Q.; He, Y.-X.; Liu, H.; Yao, X. Experimental and theoretical insights into the inhibition mechanism of prion fibrillation by resveratrol and its derivatives. ACS Chem. Neurosci. 2017, 8, 2698–2707. [Google Scholar] [CrossRef]
- Huang, H.C.; Xu, K.; Jiang, Z.F. Curcumin-mediated neuroprotection against amyloid-beta-induced mitochondrial dys-function involves the inhibition of GSK-3beta. J. Alzheimers Dis. 2012, 32, 981–996. [Google Scholar] [CrossRef]
- Lin, C.-F.; Yu, K.-H.; Jheng, C.-P.; Chung, R.; Lee, C.-I. Curcumin reduces amyloid fibrillation of prion protein and decreases reactive oxidative stress. Pathogens 2013, 2, 506–519. [Google Scholar] [CrossRef]
- Tohda, C.; Nakayama, N.; Hatanaka, F.; Komatsu, K. Comparison of anti-inflammatory activities of six Curcuma rhizomes: A possible curcuminoid-independent pathway mediated by Curcuma phaeocaulis extract. Evidence-Based Complement. Altern. Med. 2006, 3, 255–260. [Google Scholar] [CrossRef]
- Telling, G.C.; Scott, M.; Hsiao, K.K.; Foster, D.; Yang, S.L.; Torchia, M.; Sidle, K.C.; Collinge, J.; DeArmond, S.J.; Prusiner, S.B. Transmission of Creutzfeldt-Jakob disease from humans to transgenic mice expressing chimeric human-mouse prion protein. Proc. Natl. Acad. Sci. USA 1994, 91, 9936–9940. [Google Scholar] [CrossRef] [PubMed]
- Vickery, C.M.; Lockey, R.; Holder, T.M.; Thorne, L.; Beck, K.E.; Wilson, C.; Denyer, M.; Sheehan, J.; Marsh, S.; Webb, P.R.; et al. Assessing the susceptibility of transgenic mice overexpressing deer prion protein to bovine spongiform encephalopathy. J. Virol. 2014, 88, 1830–1833. [Google Scholar] [CrossRef] [PubMed][Green Version]
- Kim, S.-G.; Lee, H.-M.; Ryou, C. Parameters that affect macromolecular self-assembly of prion protein. Protein J. 2014, 33, 243–252. [Google Scholar] [CrossRef]
- Atarashi, R.; Wilham, J.M.; Christensen, L.B.; Hughson, A.G.; Moore, R.A.; Johnson, L.M.; A Onwubiko, H.; A Priola, S.; Caughey, B. Simplified ultrasensitive prion detection by recombinant PrP conversion with shaking. Nat. Methods 2008, 5, 211–212. [Google Scholar] [CrossRef] [PubMed]
- Butler, D.A.; Scott, M.R.; Bockman, J.M.; Borchelt, D.R.; Taraboulos, A.; Hsiao, K.K.; Kingsbury, D.T.; Prusiner, S.B. Scrapie-infected murine neuroblastoma cells produce protease-resistant prion proteins. J. Virol. 1988, 62, 1558–1564. [Google Scholar] [CrossRef]
- Waqas, M.; Trinh, H.T.; Lee, S.; Kim, D.-H.; Lee, S.Y.; Choe, K.K.; Ryou, C. Decrease of protease-resistant PrPSc level in ScN2a cells by polyornithine and polyhistidine. J. Microbiol. Biotechnol. 2018, 28, 2141–2144. [Google Scholar] [CrossRef]
- Donovan, J.; Brown, P. Blood collection. Curr. Protoc. Immunol. 2006, 1, 1–7. [Google Scholar] [CrossRef]
- Klohn, P.-C.; Stoltze, L.; Flechsig, E.; Enari, M.; Weissmann, C. A quantitative, highly sensitive cell-based infectivity assay for mouse scrapie prions. Proc. Natl. Acad. Sci. USA 2003, 100, 11666–11671. [Google Scholar] [CrossRef]







| Group | Incubation Period Mean ± SEM (Days) | n/n0 | p Value (versus Vehicle) |
|---|---|---|---|
| vehicle | 202.4 ± 4.44 | 9/9 | |
| CpV Ext 100 mg/kg | 209.0 ± 6.3 | 9/9 | n.s. |
| CpV Ext 200 mg/kg | 212.8 ± 4.71 † | 5/8 | 0.009 (n.s. †) |
Disclaimer/Publisher’s Note: The statements, opinions and data contained in all publications are solely those of the individual author(s) and contributor(s) and not of MDPI and/or the editor(s). MDPI and/or the editor(s) disclaim responsibility for any injury to people or property resulting from any ideas, methods, instructions or products referred to in the content. |
© 2022 by the authors. Licensee MDPI, Basel, Switzerland. This article is an open access article distributed under the terms and conditions of the Creative Commons Attribution (CC BY) license (https://creativecommons.org/licenses/by/4.0/).
Share and Cite
Lee, S.; Lee, H.; Kim, J.; Kim, J.H.; Gao, E.M.; Lee, Y.; Yoo, M.; Trinh, T.H.T.; Kim, J.; Kim, C.Y.; et al. The Effect of Curcuma phaeocaulis Valeton (Zingiberaceae) Extract on Prion Propagation in Cell-Based and Animal Models. Int. J. Mol. Sci. 2023, 24, 182. https://doi.org/10.3390/ijms24010182
Lee S, Lee H, Kim J, Kim JH, Gao EM, Lee Y, Yoo M, Trinh THT, Kim J, Kim CY, et al. The Effect of Curcuma phaeocaulis Valeton (Zingiberaceae) Extract on Prion Propagation in Cell-Based and Animal Models. International Journal of Molecular Sciences. 2023; 24(1):182. https://doi.org/10.3390/ijms24010182
Chicago/Turabian StyleLee, Sungeun, Hakmin Lee, Jaehyeon Kim, Ji Hoon Kim, Eun Mei Gao, Yoonjeong Lee, Miryeong Yoo, Trang H. T. Trinh, Jieun Kim, Chul Young Kim, and et al. 2023. "The Effect of Curcuma phaeocaulis Valeton (Zingiberaceae) Extract on Prion Propagation in Cell-Based and Animal Models" International Journal of Molecular Sciences 24, no. 1: 182. https://doi.org/10.3390/ijms24010182
APA StyleLee, S., Lee, H., Kim, J., Kim, J. H., Gao, E. M., Lee, Y., Yoo, M., Trinh, T. H. T., Kim, J., Kim, C. Y., & Ryou, C. (2023). The Effect of Curcuma phaeocaulis Valeton (Zingiberaceae) Extract on Prion Propagation in Cell-Based and Animal Models. International Journal of Molecular Sciences, 24(1), 182. https://doi.org/10.3390/ijms24010182

