Genotype–Phenotype Association in ABCC2 Exon 18 Missense Mutation Leading to Dubin–Johnson Syndrome: A Case Report
Abstract
1. Introduction
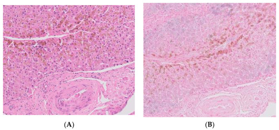
2. Case Report
3. Discussion
Author Contributions
Funding
Institutional Review Board Statement
Informed Consent Statement
Data Availability Statement
Conflicts of Interest
References
- Dubin, I.N.; Johnson, F.B. Chronic idiopathic jaundice with unidentified pigment in liver cells; a new clinicopathologic entity with a report of 12 cases. Med. (Baltim.) 1954, 33, 155–197. [Google Scholar] [CrossRef] [PubMed]
- Strassburg, C.P. Hyperbilirubinemia syndromes (Gilbert-Meulengracht, Crigler-Najjar, Dubin-Johnson, and Rotor syndrome). Best Pract. Res. Clin. Gastroenterol. 2010, 24, 555–571. [Google Scholar] [CrossRef] [PubMed]
- Memon, N.; Weinberger, B.I.; Hegyi, T.; Aleksunes, L.M. Inherited disorders of bilirubin clearance. Pediatr. Res. 2016, 79, 378–386. [Google Scholar] [CrossRef] [PubMed]
- Junge, N.; Goldschmidt, I.; Wiegandt, J.; Leiskau, C.; Mutschler, F.; Laue, T.; Ohlendorf, J.; Stalke, A.; Hartleben, B.; Stindt, J.; et al. Dubin-Johnson Syndrome as Differential Diagnosis for Neonatal Cholestasis. J. Pediatr. Gastroenterol. Nutr. 2021, 72, e105–e111. [Google Scholar] [CrossRef] [PubMed]
- Jemnitz, K.; Heredi-Szabo, K.; Janossy, J.; Ioja, E.; Vereczkey, L.; Krajcsi, P. ABCC2/Abcc2: A multispecific transporter with dominant excretory functions. Drug Metab. Rev. 2010, 42, 402–436. [Google Scholar] [CrossRef] [PubMed]
- Dubin, I.N. Chronic idiopathic jaundice; a review of fifty cases. Am. J. Med. 1958, 24, 268–292. [Google Scholar] [CrossRef] [PubMed]
- Cohen, L.; Lewis, C.; Arias, I.M. Pregnancy, oral contraceptives, and chronic familial jaundice with predominantly conjugated hyperbilirubinemia (Dubin-Johnson syndrome). Gastroenterology 1972, 62, 1182–1190. [Google Scholar] [CrossRef] [PubMed]
- Shani, M.; Seligsohn, U.; Gilon, E.; Sheba, C.; Adam, A. Dubin-Johnson syndrome in Israel. I. Clinical, laboratory, and genetic aspects of 101 cases. Q J. Med. 1970, 39, 549–567. [Google Scholar] [PubMed]
- Wu, L.; Zhang, W.; Jia, S.; Zhao, X.; Zhou, D.; Xu, A.; Duan, W.; Wu, Z.; Li, H.; Zheng, S.; et al. Mutation analysis of the ABCC2 gene in Chinese patients with Dubin-Johnson syndrome. Exp. Ther. Med. 2018, 16, 4201–4206. [Google Scholar] [CrossRef] [PubMed]
- Toh, S.; Wada, M.; Uchiumi, T.; Inokuchi, A.; Makino, Y.; Horie, Y.; Adachi, Y.; Sakisaka, S.; Kuwano, M. Genomic structure of the canalicular multispecific organic anion-transporter gene (MRP2/cMOAT) and mutations in the ATP-binding-cassette region in Dubin-Johnson syndrome. Am. J. Hum. Genet. 1999, 64, 739–746. [Google Scholar] [CrossRef] [PubMed]
- Zhao, C.; Shi, X.; Zhang, Y.; Huang, H. Case Report: Three novel pathogenic ABCC2 mutations identified in two patients with Dubin-Johnson syndrome. Front. Genet. 2022, 13, 895247. [Google Scholar] [CrossRef] [PubMed]
- Kamal, N.M.; Saadah, O.; Alghamdi, H.; Algarni, A.; El-Shabrawi, M.H.F.; Sherief, L.M.; Abosabie, S.A.S. Case Report: Dubin-Johnson Syndrome Presenting With Infantile Cholestasis: An Overlooked Diagnosis in an Extended Family. Front. Pediatr. 2022, 10, 855210. [Google Scholar] [CrossRef]
- Gupta, A.; Tiwari, P.; Sachdeva, P. A Case of Dubin-Johnson Syndrome in Pregnancy. Cureus 2019, 11, e4048. [Google Scholar] [CrossRef]
- Hashimoto, K.; Uchiumi, T.; Konno, T.; Ebihara, T.; Nakamura, T.; Wada, M.; Sakisaka, S.; Maniwa, F.; Amachi, T.; Ueda, K.; et al. Trafficking and functional defects by mutations of the ATP-binding domains in MRP2 in patients with Dubin-Johnson syndrome. Hepatology 2002, 36, 1236–1245. [Google Scholar] [CrossRef] [PubMed]
- Lee, H.A.; Chang, Y.; Sung, P.S.; Yoon, E.L.; Lee, H.W.; Yoo, J.J.; Lee, Y.S.; An, J.; Song, D.S.; Cho, Y.Y.; et al. Therapeutic mechanisms and beneficial effects of non-antidiabetic drugs in chronic liver diseases. Clin. Mol. Hepatol. 2022, 28, 425–472. [Google Scholar] [CrossRef] [PubMed]



Publisher’s Note: MDPI stays neutral with regard to jurisdictional claims in published maps and institutional affiliations. |
© 2022 by the authors. Licensee MDPI, Basel, Switzerland. This article is an open access article distributed under the terms and conditions of the Creative Commons Attribution (CC BY) license (https://creativecommons.org/licenses/by/4.0/).
Share and Cite
Kim, J.-H.; Kang, M.-W.; Kim, S.; Han, J.W.; Jang, J.W.; Choi, J.Y.; Yoon, S.K.; Sung, P.S. Genotype–Phenotype Association in ABCC2 Exon 18 Missense Mutation Leading to Dubin–Johnson Syndrome: A Case Report. Int. J. Mol. Sci. 2022, 23, 16168. https://doi.org/10.3390/ijms232416168
Kim J-H, Kang M-W, Kim S, Han JW, Jang JW, Choi JY, Yoon SK, Sung PS. Genotype–Phenotype Association in ABCC2 Exon 18 Missense Mutation Leading to Dubin–Johnson Syndrome: A Case Report. International Journal of Molecular Sciences. 2022; 23(24):16168. https://doi.org/10.3390/ijms232416168
Chicago/Turabian StyleKim, Ji-Hoon, Min-Woo Kang, Sangmi Kim, Ji Won Han, Jeong Won Jang, Jong Young Choi, Seung Kew Yoon, and Pil Soo Sung. 2022. "Genotype–Phenotype Association in ABCC2 Exon 18 Missense Mutation Leading to Dubin–Johnson Syndrome: A Case Report" International Journal of Molecular Sciences 23, no. 24: 16168. https://doi.org/10.3390/ijms232416168
APA StyleKim, J.-H., Kang, M.-W., Kim, S., Han, J. W., Jang, J. W., Choi, J. Y., Yoon, S. K., & Sung, P. S. (2022). Genotype–Phenotype Association in ABCC2 Exon 18 Missense Mutation Leading to Dubin–Johnson Syndrome: A Case Report. International Journal of Molecular Sciences, 23(24), 16168. https://doi.org/10.3390/ijms232416168

