Synthesis and Structural Optimization of 2,7,9-Trisubstituted purin-8-ones as FLT3-ITD Inhibitors
Abstract
1. Introduction
2. Results and Discussion
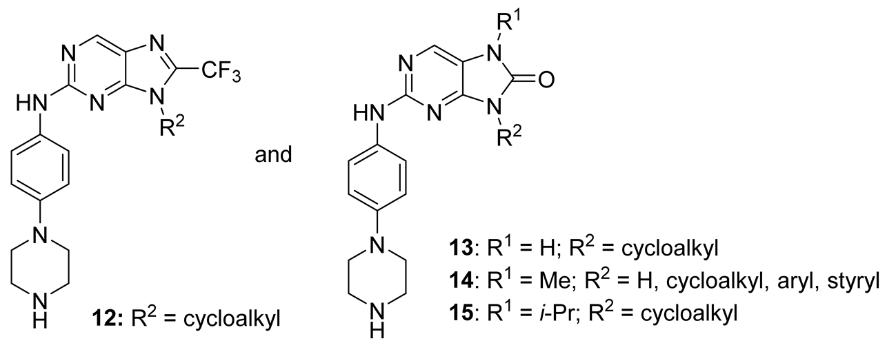
2.1. Chemistry
2.2. Kinase Inhibitory Activities—The SAR Study
2.3. Kinase Selectivity
2.4. Binding of 15a in the FLT3 Active Site
2.5. Antiproliferative Properties of Prepared Compounds
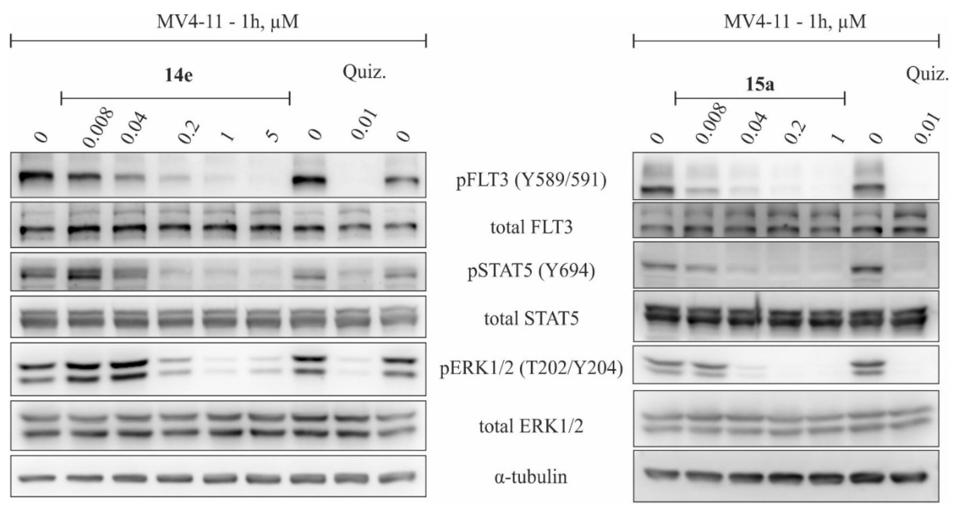
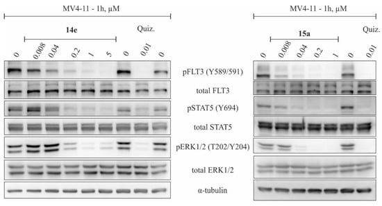
2.6. Inhibition of FLT3 Signaling In Vivo
2.7. In Vivo Activity of 15a in MV4-11 Xenograft Model
3. Materials and Methods
3.1. General Information
3.2. Instrumentation
3.3. General Synthetic Procedure 1: Pyrimidine-4,5-Diamines Formation
3.4. General Synthetic Procedure 2: Cyclization with TFAA
3.5. General Synthetic Procedure 3: Cyclization with Phosgene
3.6. Preparation of Intermediate 9 (R1 = Me, R2 = H)
3.7. General Synthetic Procedure 4: Chan-Lam Cross-Coupling Reaction
3.8. General Synthetic Procedure 5: Buchwald–Hartwi Amination and Boc Deprotection
3.9. Cell Cultures and Viability Assay
3.10. Kinase Inhibition Assays
3.11. Immunoblotting
3.12. Flow Cytometry
3.13. Molecular Docking
3.14. Experimental Therapy
4. Conclusions
Supplementary Materials
Author Contributions
Funding
Institutional Review Board Statement
Data Availability Statement
Acknowledgments
Conflicts of Interest
References
- Daver, N.; Schlenk, R.F.; Russell, N.H.; Levis, M.J. Targeting FLT3 mutations in AML: Review of current knowledge and evidence. Leukemia 2019, 33, 299–312. [Google Scholar] [CrossRef] [PubMed]
- Kayser, S.; Levis, M.J. Updates on targeted therapies for acute myeloid leukaemia. Br. J. Haematol. 2022, 196, 316–328. [Google Scholar] [CrossRef] [PubMed]
- Ahn, J.S.; Kim, H.J. FLT3 mutations in acute myeloid leukemia: A review focusing on clinically applicable drugs. Blood Res. 2022, 57, 32–36. [Google Scholar] [CrossRef] [PubMed]
- Scholl, S.; Fleischmann, M.; Schnetzke, U.; Heidel, F.H. Molecular Mechanisms of Resistance to FLT3 Inhibitors in Acute Myeloid Leukemia: Ongoing Challenges and Future Treatments. Cells 2020, 9, 2493. [Google Scholar] [CrossRef]
- Ma, J.; Zhao, S.; Qiao, X.; Knight, T.; Edwards, H.; Polin, L.; Kushner, J.; Dzinic, S.H.; White, K.; Wang, G.; et al. Inhibition of Bcl-2 Synergistically Enhances the Antileukemic Activity of Midostaurin and Gilteritinib in Preclinical Models of FLT3-Mutated Acute Myeloid Leukemia. Clin. Cancer Res. 2019, 25, 6815–6826. [Google Scholar] [CrossRef]
- Zhu, R.; Li, L.; Nguyen, B.; Seo, J.; Wu, M.; Seale, T.; Levis, M.; Duffield, A.; Hu, Y.; Small, D. FLT3 tyrosine kinase inhibitors synergize with BCL-2 inhibition to eliminate FLT3/ITD acute leukemia cells through BIM activation. Signal. Transduct. Target Ther. 2021, 6, 186. [Google Scholar] [CrossRef]
- Ohanian, M.; Garcia-Manero, G.; Levis, M.; Jabbour, E.; Daver, N.; Borthakur, G.; Kadia, T.; Pierce, S.; Burger, J.; Richie, M.A.; et al. Sorafenib Combined with 5-azacytidine in Older Patients with Untreated FLT3-ITD Mutated Acute Myeloid Leukemia. Am. J. Hematol. 2018, 93, 1136–1141. [Google Scholar] [CrossRef]
- Djamai, H.; Berrou, J.; Dupont, M.; Kaci, A.; Ehlert, J.E.; Weber, H.; Baruchel, A.; Paublant, F.; Prudent, R.; Gardin, C.; et al. Synergy of FLT3 inhibitors and the small molecule inhibitor of LIM kinase1/2 CEL_Amide in FLT3-ITD mutated Acute Myeloblastic Leukemia (AML) cells. Leuk. Res. 2021, 100, 106490. [Google Scholar] [CrossRef]
- Inaba, H.; van Oosterwijk, J.G.; Panetta, J.C.; Li, L.; Buelow, D.R.; Blachly, J.S.; Shurtleff, S.; Pui, C.H.; Ribeiro, R.C.; Rubnitz, J.E.; et al. Preclinical and Pilot Study of Type I FLT3 Tyrosine Kinase Inhibitor, Crenolanib, with Sorafenib in Acute Myeloid Leukemia and FLT3-Internal Tandem Duplication. Clin. Cancer Res. 2022, 28, 2536–2546. [Google Scholar] [CrossRef]
- Qiao, X.; Ma, J.; Knight, T.; Su, Y.; Edwards, H.; Polin, L.; Li, J.; Kushner, J.; Dzinic, S.H.; White, K.; et al. The combination of CUDC-907 and gilteritinib shows promising in vitro and in vivo antileukemic activity against FLT3-ITD AML. Blood Cancer J. 2021, 11, 111. [Google Scholar] [CrossRef]
- Yamaura, T.; Nakatani, T.; Uda, K.; Ogura, H.; Shin, W.; Kurokawa, N.; Saito, K.; Fujikawa, N.; Date, T.; Takasaki, M.; et al. A novel irreversible FLT3 inhibitor, FF-10101, shows excellent efficacy against AML cells with FLT3 mutations. Blood 2018, 131, 426–438. [Google Scholar] [CrossRef] [PubMed]
- Yuan, T.; Qi, B.; Jiang, Z.; Dong, W.; Zhong, L.; Bai, L.; Tong, R.; Yu, J.; Shi, J. Dual FLT3 inhibitors: Against the drug resistance of acute myeloid leukemia in recent decade. Eur. J. Med. Chem. 2019, 178, 468–483. [Google Scholar] [CrossRef] [PubMed]
- Drexler, H.G. Review of alterations of the cyclin-dependent kinase inhibitor INK4 family genes p15, p16, p18 and p19 in human leukemia-lymphoma cells. Leukemia 1998, 12, 845–859. [Google Scholar] [CrossRef] [PubMed]
- Uras, I.Z.; Walter, G.J.; Scheicher, R.; Bellutti, F.; Prchal-Murphy, M.; Tigan, A.S.; Valent, P.; Heidel, F.H.; Kubicek, S.; Scholl, C.; et al. Palbociclib treatment of FLT3-ITD+ AML cells uncovers a kinase-dependent transcriptional regulation of FLT3 and PIM1 by CDK6. Blood 2016, 127, 2890–2902. [Google Scholar] [CrossRef]
- Wang, L.; Wang, J.; Blaser, B.W.; Duchemin, A.M.; Kusewitt, D.F.; Liu, T.; Caligiuri, M.A.; Briesewitz, R. Pharmacologic inhibition of CDK4/6: Mechanistic evidence for selective activity or acquired resistance in acute myeloid leukemia. Blood 2007, 110, 2075–2083. [Google Scholar] [CrossRef]
- Bisi, J.E.; Sorrentino, J.A.; Jordan, J.L.; Darr, D.D.; Roberts, P.J.; Tavares, F.X.; Strum, J.C. Preclinical development of G1T38: A novel, potent and selective inhibitor of cyclin dependent kinases 4/6 for use as an oral antineoplastic in patients with CDK4/6 sensitive tumors. Oncotarget 2017, 8, 42343–42358. [Google Scholar] [CrossRef]
- Li, C.; Liu, L.; Liang, L.; Xia, Z.; Li, Z.; Wang, X.; McGee, L.R.; Newhall, K.; Sinclair, A.; Kamb, A.; et al. AMG 925 is a dual FLT3/CDK4 inhibitor with the potential to overcome FLT3 inhibitor resistance in acute myeloid leukemia. Mol. Cancer Ther. 2015, 14, 375–383. [Google Scholar] [CrossRef]
- Sun, D.; Yang, Y.; Lyu, J.; Zhou, W.; Song, W.; Zhao, Z.; Chen, Z.; Xu, Y.; Li, H. Discovery and Rational Design of Pteridin-7(8H)-one-Based Inhibitors Targeting FMS-like Tyrosine Kinase 3 (FLT3) and Its Mutants. J. Med. Chem. 2016, 59, 6187–6200. [Google Scholar] [CrossRef]
- Li, X.; Yang, T.; Hu, M.; Yang, Y.; Tang, M.; Deng, D.; Liu, K.; Fu, S.; Tan, Y.; Wang, H.; et al. Synthesis and biological evaluation of 6-(pyrimidin-4-yl)-1H-pyrazolo[4,3-b]pyridine derivatives as novel dual FLT3/CDK4 inhibitors. Bioorg. Chem. 2022, 121, 105669. [Google Scholar] [CrossRef]
- Wang, Y.; Zhi, Y.; Jin, Q.; Lu, S.; Lin, G.; Yuan, H.; Yang, T.; Wang, Z.; Yao, C.; Ling, J.; et al. Discovery of 4-((7H-Pyrrolo[2,3-d]pyrimidin-4-yl)amino)-N-(4-((4-methylpiperazin-1-yl)methyl)phenyl)-1H-pyrazole-3-carboxamide (FN-1501), an FLT3- and CDK-Kinase Inhibitor with Potentially High Efficiency against Acute Myelocytic Leukemia. J. Med. Chem. 2018, 61, 1499–1518. [Google Scholar] [CrossRef]
- Huang, Z.; Zhang, Q.; Yan, L.; Zhong, G.; Zhang, L.; Tan, X.; Wang, Y. Approaching the active conformation of 1,3-diaminopyrimidine based covalent inhibitors of Bruton’s tyrosine kinase for treatment of Rheumatoid arthritis. Bioorganic Med. Chem. Lett. 2016, 26, 1954–1957. [Google Scholar] [CrossRef] [PubMed]
- Jin, B.; Scorah, N.; Dong, Q. Hexahydrooxazinopterine Compounds for Use as mTOR Inhibitors. WO2011025889A1, 3 March 2011. [Google Scholar]
- Vijay, K.D.; Hoarau, C.; Bursavich, M.; Slattum, P.; Gerrish, D.; Yager, K.; Saunders, M.; Shenderovich, M.; Roth, B.L.; McKinnon, R.; et al. Lead optimization of purine based orally bioavailable Mps1 (TTK) inhibitors. Bioorg. Med. Chem. Lett. 2012, 22, 4377–4385. [Google Scholar] [CrossRef] [PubMed]
- Janíková, K.; Jedinák, L.; Volná, T.; Cankař, P. Chan-Lam cross-coupling reaction based on the Cu2S/TMEDA system. Tetrahedron 2018, 74, 606–617. [Google Scholar] [CrossRef]
- Jedinák, L.; Zátopková, R.; Zemánková, H.; Šustková, A.; Cankař, P. The Suzuki-Miyaura Cross-Coupling Reaction of Halogenated Aminopyrazoles: Method Development, Scope, and Mechanism of Dehalogenation Side Reaction. J. Org. Chem. 2017, 82, 157–169. [Google Scholar] [CrossRef]
- Magano, J.; Dunetz, J.R. Large-scale applications of transition metal-catalyzed couplings for the synthesis of pharmaceuticals. Chem. Rev. 2011, 111, 2177–2250. [Google Scholar] [CrossRef]
- Tomanová, M.; Jedinák, L.; Košař, J.; Kvapil, L.; Hradil, P.; Cankař, P. Synthesis of 4-substituted pyrazole-3,5-diamines via Suzuki-Miyaura coupling and iron-catalyzed reduction. Org. Biomol. Chem. 2017, 15, 10200–10211. [Google Scholar] [CrossRef]
- Hendrychova, D.; Jorda, R.; Kryštof, V. How selective are clinical CDK4/6 inhibitors? Med. Res. Rev. 2021, 41, 1578–1598. [Google Scholar] [CrossRef]
- Gucky, T.; Reznickova, E.; Radosova, M.T.; Jorda, R.; Klejova, Z.; Malinkova, V.; Berka, K.; Bazgier, V.; Ajani, H.; Lepsik, M.; et al. Discovery of N(2)-(4-Amino-cyclohexyl)-9-cyclopentyl- N(6)-(4-morpholin-4-ylmethyl-phenyl)- 9H-purine-2,6-diamine as a Potent FLT3 Kinase Inhibitor for Acute Myeloid Leukemia with FLT3 Mutations. J. Med. Chem. 2018, 61, 3855–3869. [Google Scholar] [CrossRef]
- Chen, P.; Lee, N.V.; Hu, W.; Xu, M.; Ferre, R.A.; Lam, H.; Bergqvist, S.; Solowiej, J.; Diehl, W.; He, Y.A.; et al. Spectrum and degree of CDK drug interactions predicts clinical performance. Mol. Cancer Ther. 2016, 15, 2273–2281. [Google Scholar] [CrossRef]
- Li, Z.; Wang, X.; Eksterowicz, J.; Gribble, M.W., Jr.; Alba, G.Q.; Ayres, M.; Carlson, T.J.; Chen, A.; Chen, X.; Cho, R.; et al. Discovery of AMG 925, a FLT3 and CDK4 dual kinase inhibitor with preferential affinity for the activated state of FLT3. J. Med. Chem. 2014, 57, 3430–3449. [Google Scholar] [CrossRef]
- Goldberg, F.W.; Finlay, M.R.V.; Ting, A.K.T.; Beattie, D.; Lamont, G.M.; Fallan, C.; Wrigley, S.M.; Howard, M.R.; Williamson, B.; Vazquez-Chantada, M.; et al. The Discovery of 7-Methyl-2-[(7-methyl[1,2,4]triazolo[1,5-a]pyridin-6-yl)amino]-9-(tetrahydro-2H-pyran-4-yl)-7,9-dihydro-8H-purin-8-one (AZD7648), a Potent and Selective DNA-Dependent Protein Kinase (DNA-PK) Inhibitor. J. Med. Chem. 2020, 63, 3461–3471. [Google Scholar] [CrossRef] [PubMed]
- Eastwood, P.R.; Rodriguez, J.G.; Castillo, E.G.; Taña, J.B. Heteroaryl Imidazolone Derivatives as Jak Inhibitors. WO2011157397A1, 22 December 2011. [Google Scholar]
- Stadtmueller, H.; Engelhardt, H.; Schoop, A.; Steegmaier, M. Pteridinones Used as plk (Polo Like Kinase) Inhibitors. WO2006021547, 2 March 2006. [Google Scholar]
- Adachi, K.; Kuroda, Y.; Furuta, T.; Fujii, Y. 2-Amino Substituted 8-Oxodihydropurine Derivative. Patent JP2012184205A, 27 September 2012. [Google Scholar]
- Jorda, R.; Hendrychova, D.; Voller, J.; Reznickova, E.; Gucky, T.; Krystof, V. How selective are pharmacological inhibitors of cell-cycle-regulating cyclin-dependent kinases? J. Med. Chem. 2018, 61, 9105–9120. [Google Scholar] [CrossRef] [PubMed]
- Jorda, R.; Havlicek, L.; Perina, M.; Vojackova, V.; Pospisil, T.; Djukic, S.; Skerlova, J.; Gruz, J.; Renesova, N.; Klener, P.; et al. 3,5,7-Substituted Pyrazolo[4,3-d]Pyrimidine Inhibitors of Cyclin-Dependent Kinases and Cyclin K Degraders. J. Med. Chem. 2022, 65, 8881–8896. [Google Scholar] [CrossRef] [PubMed]
- Trott, O.; Olson, A.J. AutoDock Vina: Improving the speed and accuracy of docking with a new scoring function, efficient optimization, and multithreading. J. Comput. Chem. 2010, 31, 455–461. [Google Scholar] [CrossRef] [PubMed]
- Adasme, M.F.; Linnemann, K.L.; Bolz, S.N.; Kaiser, F.; Salentin, S.; Haupt, V.J.; Schroeder, M. PLIP 2021: Expanding the scope of the protein-ligand interaction profiler to DNA and RNA. Nucleic Acids Res. 2021, 49, W530–W534. [Google Scholar] [CrossRef] [PubMed]










| GI50 (µM) * | IC50 (µM) * | ||||||
|---|---|---|---|---|---|---|---|
| Cmpd. | R1 | R2 | MV4-11 | K562 | CDK2/E | CDK4/D1 | FLT3-ITD |
| 12a | - | cyclopentyl | 0.22 | 1.11 | 1.63 | 0.051 | 0.224 |
| 12b | - | cyclohexyl | 0.11 | 1.17 | 0.23 | 0.016 | 0.060 |
| 12c | - | 4-methylcyclohexyl | 0.44 | 8.21 | 0.23 | 0.012 | 0.085 |
| 12d | - | cycloheptyl | 0.25 | 2.45 | 0.15 | 0.022 | 0.088 |
| 13a | -H | cyclopentyl | 0.68 | 1.63 | 24.5 | 2.885 | 2.366 |
| 13b | -H | cyclohexyl | 0.69 | 1.78 | 3.36 | 0.782 | 1.592 |
| 13c | -H | 4-methylcyclohexyl | 0.70 | 1.9 | 2.56 | 0.451 | 1.047 |
| 13d | -H | cycloheptyl | 0.56 | 1.58 | 1.00 | 0.479 | 0.425 |
| 14a | methyl | -H | 5.65 | >100 | >20 | >20 | 6.90 |
| 14b | methyl | cyclopropyl | 0.71 | 45.3 | >20 | 8.02 | 0.642 |
| 14c | methyl | cyclobutyl | 0.11 | 1.04 | 3.90 | 0.524 | 0.056 |
| 14d | methyl | cyclopentyl | 0.12 | 0.96 | 1.82 | 0.157 | 0.083 |
| 14e | methyl | cyclohexyl | 0.20 | 4.53 | 0.30 | 0.020 | 0.068 |
| 14f | methyl | 4-hydroxycyclohexyl | 0.51 | 9.37 | 2.87 | 0.250 | 0.132 |
| 14g | methyl | 4-methylcyclohexyl | 0.11 | 1.26 | 0.18 | 0.027 | 0.068 |
| 14h | methyl | cycloheptyl | 0.10 | 1.48 | 0.06 | 0.022 | 0.034 |
| 14i | methyl | cyclooctyl | 0.09 | 2.46 | 0.09 | 0.025 | 0.012 |
| 14j | methyl | dodeka | 1.81 | 3.59 | 1.02 | 0.338 | 0.075 |
| 14k | methyl | tetrahydropyranyl | 0.59 | 18.2 | 9.25 | 2.53 | 0.450 |
| 14l | methyl | 4-methylpiperidin | 1.72 | 31.6 | 15.8 | >20 | 2.85 |
| 14m | methyl | phenyl | 0.34 | 3.03 | 3.74 | 0.40 | 0.054 |
| 14n | methyl | 2-methylphenyl | 1.25 | 16.7 | 0.54 | 1.87 | 2.94 |
| 14o | methyl | 4-methylphenyl | 0.46 | 7.62 | 2.40 | 0.169 | 0.160 |
| 14p | methyl | 2-methoxyphenyl | 0.31 | 0.37 | 1.59 | 2.72 | 0.306 |
| 14q | methyl | 4-methoxyphenyl | 0.40 | 1.97 | 6.18 | 0.488 | 0.262 |
| 14r | methyl | 2,4-dimethoxybenzyl | 0.90 | 11.9 | 20.0 | >20 | 0.456 |
| 14s | methyl | naphtyl | 0.33 | 2.53 | 9.53 | 6.90 | 0.850 |
| 14t | methyl | 4-fluorostyryl | 0.52 | 2.29 | 7.7 | 0.216 | 0.345 |
| 15a | isopropyl | cyclopentyl | 0.05 | 0.58 | 5.06 | 1.90 | 0.037 |
| 15b | isopropyl | cyclohexyl | 0.13 | 1.51 | 10.3 | 2.12 | 0.068 |
| 15c | isopropyl | 4-methylcyclohexyl | 0.13 | 1.45 | 4.14 | 1.10 | 0.040 |
| 15d | isopropyl | cycloheptyl | 0.10 | 1.18 | 2.32 | 1.10 | 0.027 |
Publisher’s Note: MDPI stays neutral with regard to jurisdictional claims in published maps and institutional affiliations. |
© 2022 by the authors. Licensee MDPI, Basel, Switzerland. This article is an open access article distributed under the terms and conditions of the Creative Commons Attribution (CC BY) license (https://creativecommons.org/licenses/by/4.0/).
Share and Cite
Tomanová, M.; Kozlanská, K.; Jorda, R.; Jedinák, L.; Havlíková, T.; Řezníčková, E.; Peřina, M.; Klener, P.; Dolníková, A.; Cankař, P.; et al. Synthesis and Structural Optimization of 2,7,9-Trisubstituted purin-8-ones as FLT3-ITD Inhibitors. Int. J. Mol. Sci. 2022, 23, 16169. https://doi.org/10.3390/ijms232416169
Tomanová M, Kozlanská K, Jorda R, Jedinák L, Havlíková T, Řezníčková E, Peřina M, Klener P, Dolníková A, Cankař P, et al. Synthesis and Structural Optimization of 2,7,9-Trisubstituted purin-8-ones as FLT3-ITD Inhibitors. International Journal of Molecular Sciences. 2022; 23(24):16169. https://doi.org/10.3390/ijms232416169
Chicago/Turabian StyleTomanová, Monika, Karolína Kozlanská, Radek Jorda, Lukáš Jedinák, Tereza Havlíková, Eva Řezníčková, Miroslav Peřina, Pavel Klener, Alexandra Dolníková, Petr Cankař, and et al. 2022. "Synthesis and Structural Optimization of 2,7,9-Trisubstituted purin-8-ones as FLT3-ITD Inhibitors" International Journal of Molecular Sciences 23, no. 24: 16169. https://doi.org/10.3390/ijms232416169
APA StyleTomanová, M., Kozlanská, K., Jorda, R., Jedinák, L., Havlíková, T., Řezníčková, E., Peřina, M., Klener, P., Dolníková, A., Cankař, P., & Kryštof, V. (2022). Synthesis and Structural Optimization of 2,7,9-Trisubstituted purin-8-ones as FLT3-ITD Inhibitors. International Journal of Molecular Sciences, 23(24), 16169. https://doi.org/10.3390/ijms232416169

